The Alpha-Lipoic Acid Improves Survival and Prevents Irinotecan-Induced Inflammation and Intestinal Dysmotility in Mice
Abstract
1. Introduction
2. Results
2.1. α-LA Pretreatment Attenuates Irinotecan-Induced Histological Alterations in the Duodenum
2.2. α-LA Pretreatment Decreases Irinotecan-Induced Proliferation Inhibition in Duodenum Crypts
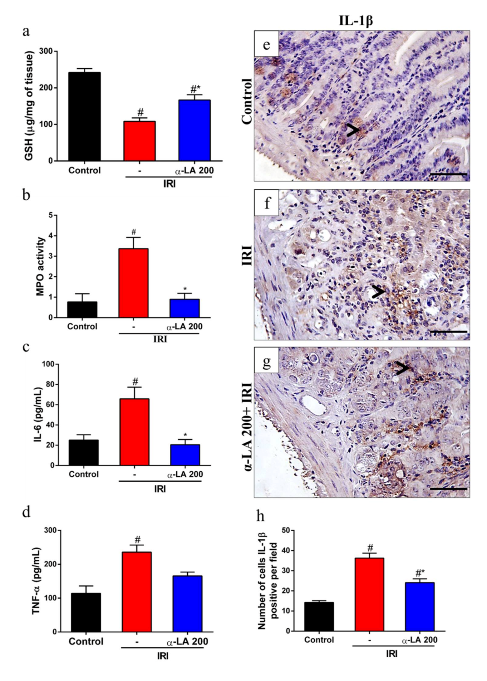
2.3. α-LA Pretreatment Enhances Duodenal GSH Levels during Irinotecan-Induced Intestinal Mucositis in Mice
2.4. α-LA Pretreatment Diminishes Irinotecan-Induced Duodenum Inflammation in Mice
2.5. α-LA Pretreatment Prevents Irinotecan-Induced Diarrhea and Intestinal Dysmotility in Mice
2.6. α-LA Pretreatment Diminishes Irinotecan-Induced Body Weight Loss in Mice
2.7. α-LA Pretreatment Improves the Survival of Mice with Irinotecan-Induced Intestinal Mucositis
3. Discussion
4. Materials and Methods
4.1. Mice
4.2. Induction of Experimental Intestinal Mucositis
4.3. Experimental Groups
4.4. Histopathological Analysis
4.5. GSH (a Non-Protein Sulfhydryl) Measurement
4.6. MPO Measurement
4.7. Analysis of TNF-α and IL-6 Levels
4.8. Immunohistochemistry
4.9. Diarrhea Assessment
4.10. Gastric Emptying and Intestinal Transit
4.11. Statistical Analysis
5. Conclusions
Author Contributions
Funding
Acknowledgments
Conflicts of Interest
References
- Elez, E.; Pericay, C.; Valladares-Ayerbes, M.; Bando, I.; Safont, M.J.; Gallego, J.; Grávalos, C.; Arrivi, A.; Carrato, A.; Conde, V.; et al. A phase 2 study of panitumumab with irinotecan as salvage therapy in chemorefractory KRAS exon 2 wild-type metastatic colorectal cancer patients. Br. J. Cancer 2019, 121, 378–383. [Google Scholar] [CrossRef] [PubMed]
- McQuade, R.M.; Stojanovska, V.; Abalo, R.; Bornstein, J.C.; Nurgali, K. Chemotherapy-Induced Constipation and Diarrhea: Pathophysiology, Current and Emerging Treatments. Front. Pharmacol. 2016, 7, 414. [Google Scholar] [CrossRef] [PubMed]
- Bossi, P.; Antonuzzo, A.; Cherny, N.; Rosengarten, O.; Pernot, S.; Trippa, F.; Schuler, U.; Snegovoy, A.; Jordan, K.; Ripamonti, C. Diarrhoea in adult cancer patients: ESMO Clinical Practice Guidelines. Ann. Oncol. 2018, 29, 126–142. [Google Scholar] [CrossRef] [PubMed]
- Tang, L.; Li, X.; Wan, L.; Xiao, Y.; Zeng, X.; Ding, H. Herbal Medicines for Irinotecan-Induced Diarrhea. Front. Pharmacol. 2019, 10, 182. [Google Scholar] [CrossRef]
- Kurutas, E.B. The importance of antioxidants which play the role in cellular response against oxidative/nitrosative stress: Current state. Nutr. J. 2015, 15, 71. [Google Scholar] [CrossRef]
- Molz, P.; Schröder, N. Potential Therapeutic Effects of Lipoic Acid on Memory Deficits Related to Aging and Neurodegeneration. Front. Pharmacol. 2017, 8, 849. [Google Scholar] [CrossRef]
- Hermann, R.; Mungo, J.; Cnota, P.J.; Ziegler, D. Enantiomer-selective pharmacokinetics, oral bioavailability, and sex effects of various alpha-lipoic acid dosage forms. Clin. Pharmacol. 2014, 6, 195–204. [Google Scholar] [CrossRef]
- Packer, L.; Cadenas, E. Lipoic acid: Energy metabolism and redox regulation of transcription and cell signaling. J. Clin. Biochem. Nutr. 2011, 48, 26–32. [Google Scholar] [CrossRef]
- Baziar, N.; Nasli-Esfahani, E.; Djafarian, K.; Qorbani, M.; Hedayati, M.; Mishani, M.A.; Faghfoori, Z.; Ahmaripour, N.; Hosseini, S. The Beneficial Effects of Alpha Lipoic Acid Supplementation on Lp-PLA2 Mass and Its Distribution between HDL and apoB-Containing Lipoproteins in Type 2 Diabetic Patients: A Randomized, Double-Blind, Placebo-Controlled Trial. Oxidative Med. Cell. Longev. 2020, 2020, 5850865. [Google Scholar] [CrossRef]
- Chen, W.L.; Kang, C.H.; Wang, S.G.; Lee, H.M. α-Lipoic acid regulates lipid metabolism through induction of sirtuin (SIRT1) and activation of AMP-activated protein kinase. Diabetologia 2012, 55, 1824–1835. [Google Scholar] [CrossRef]
- Wang, W.; An, L.-P.; Li, Y.-F.; An, R.; Bian, Z.; Liu, W.-Z.; Song, Q.-H.; Li, A.-Y. Alpha-lipoic acid ameliorates H2O2-induced human vein endothelial cells injury via suppression of inflammation and oxidative stress. Biosci. Biotechnol. Biochem. 2020, 13, 1–11. [Google Scholar]
- Sanders, L.L.O.; Menezes, C.E.D.S.; Filho, A.J.M.C.; Viana, G.D.A.; Fechine, F.V.; Queiroz, M.G.; Fonseca, S.G.D.C.; Vasconcelos, S.M.M.; De Moraes, M.E.A.; Gama, C.S.; et al. α-Lipoic Acid as Adjunctive Treatment for Schizophrenia. J. Clin. Psychopharmacol. 2017, 37, 697–701. [Google Scholar] [CrossRef] [PubMed]
- Feuerecker, B.; Pirsig, S.; Seidl, C.; Aichler, M.; Feuchtinger, A.; Bruchelt, G.; Senekowitsch-Schmidtke, R. Lipoic acid inhibits cell proliferation of tumor cells in vitro and in vivo. Cancer Biol. Ther. 2012, 13, 1425–1435. [Google Scholar] [CrossRef] [PubMed]
- Moura, F.A.; De Andrade, K.Q.; De Araújo, O.R.P.; Nunes-Souza, V.; Santos, J.C.D.F.; Rabelo, L.A.; Goulart, M.O.F. Colonic and Hepatic Modulation by Lipoic Acid and/or N-Acetylcysteine Supplementation in Mild Ulcerative Colitis Induced by Dextran Sodium Sulfate in Rats. Oxidative Med. Cell. Longev. 2016, 2016, 1–18. [Google Scholar] [CrossRef]
- Ikuno, N.; Soda, H.; Watanabe, M.; Oka, M. Irinotecan (CPT-11) and characteristic mucosal changes in the mouse ileum and cecum. J. Natl. Cancer Inst. 1995, 87, 1876–1883. [Google Scholar] [CrossRef] [PubMed]
- Fernandes, C.; Wanderley, C.W.S.; Silva, C.M.S.; Muniz, H.A.; Teixeira, M.A.; Souza, N.R.P.; Cândido, A.G.F.; Falcão, R.B.; Souza, M.H.L.P.; Almeida, P.R.C.; et al. Role of regulatory T cells in irinotecan-induced intestinal mucositis. Eur. J. Pharm. Sci. 2018, 115, 158–166. [Google Scholar] [CrossRef] [PubMed]
- Lian, Q.; Xu, J.; Yan, S.; Huang, M.; Ding, H.; Sun, X.; Bi, A.; Ding, J.; Sun, B.; Geng, M. Chemotherapy-induced intestinal inflammatory responses are mediated by exosome secretion of double-strand DNA via AIM2 inflammasome activation. Cell Res. 2017, 27, 784–800. [Google Scholar] [CrossRef]
- Arifa, R.D.; Madeira, M.F.M.; De Paula, T.P.; Lima, R.L.; Tavares, L.D.; Menezes-Garcia, Z.; Fagundes, C.T.; Rachid, M.A.; Ryffel, B.; Zamboni, D.S.; et al. Inflammasome Activation Is Reactive Oxygen Species Dependent and Mediates Irinotecan-Induced Mucositis through IL-1β and IL-18 in Mice. Am. J. Pathol. 2014, 184, 2023–2034. [Google Scholar] [CrossRef]
- Fan, P.; Tan, Y.; Jin, K.; Lin, C.; Xia, S.; Han, B.; Zhang, F.; Wu, L.; Ma, X. Supplemental lipoic acid relieves post-weaning diarrhoea by decreasing intestinal permeability in rats. J. Anim. Physiol. Anim. Nutr. 2015, 101, 136–146. [Google Scholar] [CrossRef]
- Jeong, B.K.; Song, J.H.; Jeong, H.; Choi, H.S.; Jung, J.H.; Hahm, J.R.; Woo, S.H.; Jung, M.H.; Choi, B.-H.; Kim, J.H.; et al. Effect of alpha-lipoic acid on radiation-induced small intestine injury in mice. Oncotarget 2016, 7, 15105–15117. [Google Scholar] [CrossRef]
- Daly, L.E.; Ní Bhuachalla, É.B.; Power, D.G.; Cushen, S.J.; James, K.; Ryan, A.M. Loss of skeletal muscle during systemic chemotherapy is prognostic of poor survival in patients with foregut cancer. J. Cachexia Sarcopenia Muscle 2018, 9, 315–325. [Google Scholar] [CrossRef] [PubMed]
- Farhat, D.; Léon, S.; Ghayad, S.E.; Gadot, N.; Icard, P.; Le Romancer, M.; Hussein, N.; Lincet, H. Lipoic acid decreases breast cancer cell proliferation by inhibiting IGF-1R via furin downregulation. Br. J. Cancer 2020, 122, 885–894. [Google Scholar] [CrossRef] [PubMed]
- Shi, C.; Zhou, X.; Zhang, J.; Wang, J.; Xie, H.; Wu, Z. α-Lipoic acid protects against the cytotoxicity and oxidative stress induced by cadmium in HepG2 cells through regeneration of glutathione by glutathione reductase via Nrf2/ARE signaling pathway. Environ. Toxicol. Pharmacol. 2016, 45, 274–281. [Google Scholar] [CrossRef] [PubMed]
- Yang, T.; Xu, Z.; Liu, W.; Xu, B.; Deng, Y. Protective effects of Alpha-lipoic acid on MeHg-induced oxidative damage and intracellular Ca2+ dyshomeostasis in primary cultured neurons. Free Radic. Res. 2016, 50, 542–556. [Google Scholar] [CrossRef] [PubMed]
- Lin, Y.C.; Lai, Y.S.; Chou, T.C. The protective effect of alpha-lipoic Acid in lipopolysaccharide-induced acute lung injury is mediated by heme oxygenase-1. Evid. Based Complement. Altern. Med. 2013, 2013, 590363. [Google Scholar]
- Kolgazi, M.; Jahovic, N.; Yüksel, M.; Ercan, F.; Alican, I. Alpha-lipoic acid modulates gut inflammation induced by trinitrobenzene sulfonic acid in rats. J. Gastroenterol. Hepatol. 2007, 22, 1859–1865. [Google Scholar] [CrossRef]
- Oliveira, T.H.C.; Marques, P.E.; Proost, P.; Teixeira, M.M.M. Neutrophils: A cornerstone of liver ischemia and reperfusion injury. Lab. Investig. 2018, 98, 51–62. [Google Scholar] [CrossRef]
- Drummond, R.A.; Swamydas, M.; Oikonomou, V.; Zhai, B.; Dambuza, I.M.; Schaefer, B.C.; Bohrer, A.C.; Mayer-Barber, K.D.; Lira, S.A.; Iwakura, Y.; et al. CARD9+ microglia promote antifungal immunity via IL-1β- and CXCL1-mediated neutrophil recruitment. Nat. Immunol. 2019, 20, 559–570. [Google Scholar] [CrossRef]
- Liu, T.; Zhang, L.; Joo, D.; Sun, S.C. NF-κB signaling in inflammation. Signal. Transduct. Target Ther. 2017, 2, 17023. [Google Scholar] [CrossRef]
- Scheller, J.; Chalaris, A.; Schmidt-Arras, D.; Rose-John, S. The pro- and anti-inflammatory properties of the cytokine interleukin-6. Biochim. Biophys. Acta 2011, 1813, 878–888. [Google Scholar] [CrossRef]
- Lee, H.A.; Hughes, D.A. Alpha-lipoic acid modulates NF-kappaB activity in human monocytic cells by direct interaction with DNA. Exp. Gerontol. 2002, 37, 401–410. [Google Scholar] [CrossRef]
- Guabiraba, R.; Besnard, A.G.; Menezes, G.B.; Secher, T.; Jabir, M.S.; Amaral, S.S.; Braun, H.; Lima-Junior, R.C.P.; Ribeiro, R.A.; Cunha, F.Q.; et al. IL-33 targeting attenuates intestinal mucositis and enhances effective tumor chemotherapy in mice. Mucosal Immunol. 2014, 7, 1079–1093. [Google Scholar] [CrossRef]
- Mittal, R.; Debs, L.H.; Patel, A.P.; Nguyen, D.; Patel, K.; O’Connor, G.; Grati, M.; Mittal, J.; Yan, D.; Eshraghi, A.A.; et al. Neurotransmitters: The Critical Modulators Regulating Gut-Brain Axis. J. Cell. Physiol. 2017, 232, 2359–2372. [Google Scholar] [CrossRef]
- Greenwood-Van Meerveld, B.; Johnson, A.C.; Grundy, D. Gastrointestinal Physiology and Function. Handb. Exp. Pharmacol. 2017, 239, 1–16. [Google Scholar]
- Luo, J.; Qian, A.; Oetjen, L.K.; Yu, W.; Yang, P.; Feng, J.; Xie, Z.; Liu, S.; Yin, S.; Dryn, D.; et al. TRPV4 Channel Signaling in Macrophages Promotes Gastrointestinal Motility via Direct Effects on Smooth Muscle Cells. Immunity 2018, 49, 107–119. [Google Scholar] [CrossRef]
- De Sousa, C.N.S.; Meneses, L.N.; Vasconcelos, S.M.M.; Silva, M.C.C.; Da Silva, J.C.; Macedo, D.; De Lucena, D.F.; Vasconcelos, S.M.M. Reversal of corticosterone-induced BDNF alterations by the natural antioxidant alpha-lipoic acid alone and combined with desvenlafaxine: Emphasis on the neurotrophic hypothesis of depression. Psychiatry Res. 2015, 230, 211–219. [Google Scholar] [CrossRef]
- Costa, D.V.S.; Bon-Frauches, A.C.; Silva, A.M.H.P.; Lima-Júnior, R.C.P.; Martins, C.S.; Leitão, R.F.C.; Freitas, G.B.; Castelucci, P.; Bolick, D.T.; Guerrant, R.L.; et al. 5-Fluorouracil Induces Enteric Neuron Death and Glial Activation During Intestinal Mucositis via a S100B-RAGE-NFκB-Dependent Pathway. Sci. Rep. 2019, 24, 665. [Google Scholar] [CrossRef]
- Ramos, M.V.; Freitas, A.P.F.; Leitão, R.F.C.; Costa, D.V.S.; Cerqueira, G.S.; Martins, D.S.; Martins, C.S.; Alencar, N.M.N.; Freitas, L.B.N.; Brito, G.A.C. Anti-inflammatory latex proteins of the medicinal plant Calotropis procera: A promising alternative for oral mucositis treatment. Inflamm. Res. 2020, 69, 951–966. [Google Scholar] [CrossRef]
- De Miranda, J.A.L.; Barreto, J.E.F.; Martins, D.S.; Pimentel, P.V.D.S.; Costa, D.V.D.S.; Silva, E.R.R.; Souza, L.K.M.; De Lima, C.N.C.; Rocha, J.A.; De Freitas, A.P.F.; et al. Protective Effect of Cashew Gum (Anacardium occidentale L.) on 5-Fluorouracil-Induced Intestinal Mucositis. Pharmaceuticals 2019, 12, 51. [Google Scholar] [CrossRef] [PubMed]
- Boeing, T.; De Souza, P.; Speca, S.; Somensi, L.B.; Mariano, L.N.B.; Cury, B.J.; Dos Anjos, M.F.; Quintão, N.L.M.; Dubuqoy, L.; Desreumaux, P.; et al. Luteolin prevents irinotecan-induced intestinal mucositis in mice through antioxidant and anti-inflammatory properties. Br. J. Pharmacol. 2020, 177, 2393–2408. [Google Scholar] [CrossRef]
- Justino, P.F.C.; Melo, L.F.M.; Nogueira, A.F.; Morais, C.M.; Mendes, W.O.; Franco, A.X.; Souza, E.P.; Ribeiro, R.A.; Souza, M.H.L.P.; Soares, P.M.G. Regulatory role of Lactobacillus acidophilus on inflammation and gastric dysmotility in intestinal mucositis induced by 5-fluorouracil in mice. Cancer Chemother. Pharmacol. 2015, 75, 559–567. [Google Scholar] [CrossRef] [PubMed]






| Intestine Segments | Experimental Groups | |||||
|---|---|---|---|---|---|---|
| Control | IRI | α-LA50+IRI | α-LA100+IRI | α-LA200+IRI | α-LA200 | |
| Duodenum | 0 (0–0) | 3 (3–3) # | 2 (2–3) # | 2 (1–3) * | 1 (0–2) * | 0 (0–0) |
| Jejunum | 0 (0–0) | 3 (3–3) # | 3 (3–3) # | 3 (1–3) # | 3 (2–3) # | 0 (0–0) |
| Ileum | 0 (0–0) | 3 (2–3) # | 2 (0–3) | 2 (1–3) # | 2 (0–3) # | 0 (0–0) |
Publisher’s Note: MDPI stays neutral with regard to jurisdictional claims in published maps and institutional affiliations. |
© 2020 by the authors. Licensee MDPI, Basel, Switzerland. This article is an open access article distributed under the terms and conditions of the Creative Commons Attribution (CC BY) license (http://creativecommons.org/licenses/by/4.0/).
Share and Cite
Costa, D.V.S.; Costa, D.V.S.; Sousa, C.N.S.; Silva, A.M.H.P.; Medeiros, I.S.; Martins, D.S.; Martins, C.S.; Pequeno, A.L.V.; Lima-Júnior, R.C.P.; Soares, P.M.G.; et al. The Alpha-Lipoic Acid Improves Survival and Prevents Irinotecan-Induced Inflammation and Intestinal Dysmotility in Mice. Pharmaceuticals 2020, 13, 361. https://doi.org/10.3390/ph13110361
Costa DVS, Costa DVS, Sousa CNS, Silva AMHP, Medeiros IS, Martins DS, Martins CS, Pequeno ALV, Lima-Júnior RCP, Soares PMG, et al. The Alpha-Lipoic Acid Improves Survival and Prevents Irinotecan-Induced Inflammation and Intestinal Dysmotility in Mice. Pharmaceuticals. 2020; 13(11):361. https://doi.org/10.3390/ph13110361
Chicago/Turabian StyleCosta, Daniely V. S., Deiziane V. S. Costa, Caren N. S. Sousa, Angeline M. H. P. Silva, Ingridy S. Medeiros, Dainesy S. Martins, Conceição S. Martins, Ana L. V. Pequeno, Roberto C. P. Lima-Júnior, Pedro M. G. Soares, and et al. 2020. "The Alpha-Lipoic Acid Improves Survival and Prevents Irinotecan-Induced Inflammation and Intestinal Dysmotility in Mice" Pharmaceuticals 13, no. 11: 361. https://doi.org/10.3390/ph13110361
APA StyleCosta, D. V. S., Costa, D. V. S., Sousa, C. N. S., Silva, A. M. H. P., Medeiros, I. S., Martins, D. S., Martins, C. S., Pequeno, A. L. V., Lima-Júnior, R. C. P., Soares, P. M. G., Vasconcelos, S. M. M., Brito, G. A. C., & Souza, E. P. (2020). The Alpha-Lipoic Acid Improves Survival and Prevents Irinotecan-Induced Inflammation and Intestinal Dysmotility in Mice. Pharmaceuticals, 13(11), 361. https://doi.org/10.3390/ph13110361

