Antioxidant Activity of Quercetin-Containing Liposomes-in-Gel and Its Effect on Prevention and Treatment of Cutaneous Eczema
Abstract
:1. Introduction
2. Results
2.1. Standard Curve for QU Solution
2.2. The Morphological Character and Physicochemical Properties of QU-L
2.3. Quality Evaluation Results of QU-LG
2.4. In Vitro Results of Antioxidation of QU, QU-L, QU-G, and QU-LG: Scavenging DPPH
2.5. Dialysis Membrane Release Rates of QU, QU-L, QU-G, and QU-LG
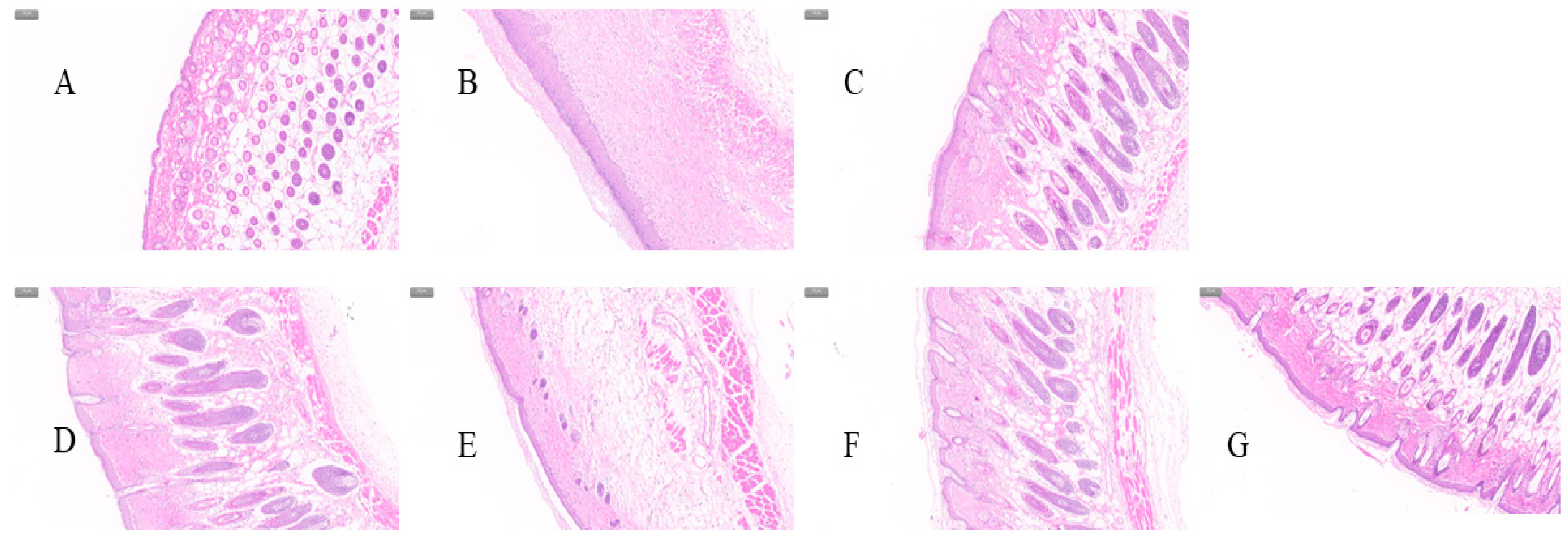
2.6. The Results of Applying QU-LG to the Treatment of Mouse Skin of Cutaneous Eczema
2.7. Results of MDA Experiments after Applying QU-LG to the Treatment of Mice with Cutaneous Eczema
3. Discussion
4. Materials and Methods
4.1. Materials and Instruments
4.2. Animals
4.3. Preparation of Quercetin Solution
4.4. Preparation of Quercetin-Containing Liposomes (QU-L)
4.5. Preparation of QU-Containing Hydrogel (QU-G)
4.6. Preparation of QU-Containing Liposomes-Hydrogel (QU-LG)
4.7. In Vitro Antioxidation: Scavenging DPPH Free Radical (DPPH)
4.8. In Vitro Release Rates of QU, QU-L, QU-G, and QU-LG across the Dialysis Membranes
4.9. Preliminary Study on the Preventive and Therapeutic Effects of QU-LG on the Skin of Mice with Cutaneous Eczema
5. Conclusions
Author Contributions
Funding
Institutional Review Board Statement
Informed Consent Statement
Data Availability Statement
Conflicts of Interest
References
- Na, C.H.; Baghoomian, W.; Simpson, E.L. A Therapeutic Renaissance—Emerging Treatments for Atopic Dermatitis. Acta Derm. Venereol. 2020, 100, adv00165. [Google Scholar] [CrossRef]
- Borok, J.; Matiz, C.; Goldenberg, A.; Jacob, S.E. Contact Dermatitis in Atopic Dermatitis Children-Past, Present, and Future. Clin. Rev. Allergy Immunol. 2019, 56, 86–98. [Google Scholar] [CrossRef] [PubMed]
- Reich, K.; Thyssen, J.P.; Blauvelt, A.; Eyerich, K.; Soong, W.; Rice, Z.P.; Hong, H.C.; Katoh, N.; Valenzuela, F.; DiBonaventura, M.; et al. Efficacy and safety of abrocitinib versus dupilumab in adults with moderate-to-severe atopic dermatitis: A randomised, double-blind, multicentre phase 3 trial. Lancet 2022, 400, 273–282. [Google Scholar] [CrossRef] [PubMed]
- Chatrath, S.; Silverberg, J.I. Phenotypic differences of atopic dermatitis stratified by age. JAAD Int. 2023, 11, 1–7. [Google Scholar] [CrossRef] [PubMed]
- Jablonska-Trypuc, A.; Kretowski, R.; Kalinowska, M.; Swiderski, G.; Cechowska-Pasko, M.; Lewandowski, W. Possible Mechanisms of the Prevention of Doxorubicin Toxicity by Cichoric Acid-Antioxidant Nutrient. Nutrients 2018, 10, 44. [Google Scholar] [CrossRef]
- Han, S.; Liu, P.; Yan, Q.; Cen, Y.; Wu, G.; Chen, Z.; Li, M.; Deng, Y.; Luo, F.; Lin, J. Seawater pearl hydrolysate inhibits photoaging via decreasing oxidative stress, autophagy and apoptosis of Ultraviolet B-induced human skin keratinocytes. J. Cosmet. Dermatol. 2023. [Google Scholar] [CrossRef] [PubMed]
- Md Jaffri, J. Reactive Oxygen Species and Antioxidant System in Selected Skin Disorders. Malays. J. Med. Sci. 2023, 30, 7–20. [Google Scholar] [CrossRef]
- Jia, Y.; Hu, J.; An, K.; Zhao, Q.; Dang, Y.; Liu, H.; Wei, Z.; Geng, S.; Xu, F. Hydrogel dressing integrating FAK inhibition and ROS scavenging for mechano-chemical treatment of atopic dermatitis. Nat. Commun. 2023, 14, 2478. [Google Scholar] [CrossRef]
- Liu, C.; Xia, Y.; Li, Y.; Cheng, Y.; Xia, H.; Wang, Y.; Yue, Y.; Wu, Y.; Cheng, X.; Xu, Y.; et al. Ligustrazine as an Extract from Medicinal and Edible Plant Chuanxiong Encapsulated in Liposome-Hydrogel Exerting Antioxidant Effect on Preventing Skin Photoaging. Polymers 2022, 14, 4778. [Google Scholar] [CrossRef]
- Ngum, J.A.; Tatang, F.J.; Toumeni, M.H.; Nguengo, S.N.; Simo, U.S.F.; Mezajou, C.F.; Kameni, C.; Ngongang, N.N.; Tchinda, M.F.; Dongho Dongmo, F.F.; et al. An overview of natural products that modulate the expression of non-coding RNAs involved in oxidative stress and inflammation-associated disorders. Front. Pharmacol. 2023, 14, 1144836. [Google Scholar] [CrossRef]
- Mandour, D.A.; Morsy, M.M.; Fawzy, A.; Mohamed, N.M.; Ahmad, M.M. Structural and molecular changes in the rat myocardium following perfluoroctane sulfonate (PFOS) exposure are mitigated by quercetin via modulating HSP 70 and SERCA 2. J. Mol. Histol. 2023, 54, 283–296. [Google Scholar] [CrossRef]
- Lee, S.H.; Lim, J.M.; Lee, S.W.; Jang, T.H.; Park, J.H.; Seo, Y.S.; Lee, J.H.; Seralathan, K.K.; Oh, B.T. Effect of fermentation on antioxidant, antimicrobial, anti-inflammatory, and anti-Helicobacter pylori adhesion activity of Ulmus davidiana var. japonica root bark. Food Sci. Biotechnol. 2023, 32, 1257–1268. [Google Scholar] [CrossRef] [PubMed]
- Belchor, M.N.; Costa, C.; Roggero, A.; Moraes, L.L.F.; Samelo, R.; Annunciato, I.; de Oliveira, M.A.; Sousa, S.F.; Toyama, M.H. In Silico Evaluation of Quercetin Methylated Derivatives on the Interaction with Secretory Phospholipases A2 from Crotalus durissus terrificus and Bothrops jararacussu. Pharmaceuticals 2023, 16, 597. [Google Scholar] [CrossRef] [PubMed]
- Fang, Y.; Jin, W.; Guo, Z.; Hao, J. Quercetin Alleviates Asthma-Induced Airway Inflammation and Remodeling through Downregulating Periostin via Blocking TGF-beta1/Smad Pathway. Pharmacology 2023, 1–12. [Google Scholar] [CrossRef]
- Ogagayere, L.O.; Naiho, A.O.; Emojevwe, V.; Igweh, J.C. Quercetin flavonoid and vitamin C recuperate kidney functions in potassium bromate-induced renal dysfunction in Wistar rats. Naunyn Schmiedebergs Arch. Pharmacol. 2023. [Google Scholar] [CrossRef]
- Wyles, S.P.; Tchkonia, T.; Kirkland, J.L. Targeting Cellular Senescence for Age-Related Diseases: Path to Clinical Translation. Plast. Reconstr. Surg. 2022, 150, 20S–26S. [Google Scholar] [CrossRef] [PubMed]
- Ji, H.; Li, K.; Xu, W.; Li, R.; Xie, S.; Zhu, X. Prediction of the Mechanisms by Which Quercetin Enhances Cisplatin Action in Cervical Cancer: A Network Pharmacology Study and Experimental Validation. Front. Oncol. 2021, 11, 780387. [Google Scholar] [CrossRef]
- Feng, G.; Yang, Y.; Zeng, J.; Zhu, J.; Liu, J.; Wu, L.; Yang, Z.; Yang, G.; Mei, Q.; Chen, Q.; et al. Highly sensitive electrochemical determination of rutin based on the synergistic effect of 3D porous carbon and cobalt tungstate nanosheets. J. Pharm. Anal. 2022, 12, 453–459. [Google Scholar] [CrossRef] [PubMed]
- Beken, B.; Serttas, R.; Yazicioglu, M.; Turkekul, K.; Erdogan, S. Quercetin Improves Inflammation, Oxidative Stress, and Impaired Wound Healing in Atopic Dermatitis Model of Human Keratinocytes. Pediatr. Allergy Immunol. Pulmonol. 2020, 33, 69–79. [Google Scholar] [CrossRef]
- Kanamoto, M.; Takahagi, S.; Aoyama, S.; Kido, Y.; Nakanishi, M.; Naito, M.; Kanna, M.; Yamamotoya, T.; Tanaka, A.; Hide, M.; et al. The expression of prolyl isomerase Pin1 is expanded in the skin of patients with atopic dermatitis and facilitates IL-33 expression in HaCaT cells. J. Dermatol. 2023, 50, 462–471. [Google Scholar] [CrossRef]
- Mehta, Y.; Fulmali, D.G. Relationship Between Atopic Dermatitis and Food Allergy in Children. Cureus 2022, 14, e33160. [Google Scholar] [CrossRef]
- Wang, D.; Liu, Y.; Zong, X.; Li, X.; Yang, S.; Zeng, Y.; Lu, J. Sodium thiosulfate ameliorates atopic dermatitis via inhibiting the activation of NLRP3 inflammasome. Biochem. Biophys. Res. Commun. 2023, 673, 160–168. [Google Scholar] [CrossRef] [PubMed]
- Almeida, B.; Nag, O.K.; Rogers, K.E.; Delehanty, J.B. Recent Progress in Bioconjugation Strategies for Liposome-Mediated Drug Delivery. Molecules 2020, 25, 5672. [Google Scholar] [CrossRef]
- Shafiei, M.; Ansari, M.N.M.; Razak, S.I.A.; Khan, M.U.A. A Comprehensive Review on the Applications of Exosomes and Liposomes in Regenerative Medicine and Tissue Engineering. Polymers 2021, 13, 2529. [Google Scholar] [CrossRef]
- Ma, N.; Yan, Z. Research Progress of Thermosensitive Hydrogel in Tumor Therapeutic. Nanoscale Res. Lett. 2021, 16, 42. [Google Scholar] [CrossRef] [PubMed]
- Naik, H.; Sonju, J.J.; Singh, S.; Chatzistamou, I.; Shrestha, L.; Gauthier, T.; Jois, S. Lipidated Peptidomimetic Ligand-Functionalized HER2 Targeted Liposome as Nano-Carrier Designed for Doxorubicin Delivery in Cancer Therapy. Pharmaceuticals 2021, 14, 221. [Google Scholar] [CrossRef]
- Flieger, J.; Flieger, M. The [DPPH●/DPPH-H]-HPLC-DAD Method on Tracking the Antioxidant Activity of Pure Antioxidants and Goutweed (Aegopodium podagraria L.) Hydroalcoholic Extracts. Molecules 2020, 25, 6005. [Google Scholar] [CrossRef] [PubMed]
- Foti, M.C. Use and Abuse of the DPPH(•) Radical. J. Agric. Food Chem. 2015, 63, 8765–8776. [Google Scholar] [CrossRef]
- Hsiao, G.; Chen, Y.C.; Lin, J.H.; Lin, K.H.; Chou, D.S.; Lin, C.H.; Sheu, J.R. Inhibitory mechanisms of tetramethylpyrazine in middle cerebral artery occlusion (MCAO)-induced focal cerebral ischemia in rats. Planta Med. 2006, 72, 411–417. [Google Scholar] [CrossRef]
- Cooper, K.D. Atopic dermatitis: Recent trends in pathogenesis and therapy. J. Investig. Dermatol. 1994, 102, 128–137. [Google Scholar] [CrossRef]
- Del Rio, D.; Stewart, A.J.; Pellegrini, N. A review of recent studies on malondialdehyde as toxic molecule and biological marker of oxidative stress. Nutr. Metab. Cardiovasc. Dis. 2005, 15, 316–328. [Google Scholar] [CrossRef] [PubMed]
- Ayala, A.; Munoz, M.F.; Arguelles, S. Lipid peroxidation: Production, metabolism, and signaling mechanisms of malondialdehyde and 4-hydroxy-2-nonenal. Oxid. Med. Cell Longev. 2014, 2014, 360438. [Google Scholar] [CrossRef] [PubMed]
- Al-Serwi, R.H.; Eladl, M.A.; El-Sherbiny, M.; Saleh, M.A.; Othman, G.; Alshahrani, S.M.; Alnefaie, R.; Jan, A.M.; Alnasser, S.M.; Albalawi, A.E.; et al. Targeted Drug Administration onto Cancer Cells Using Hyaluronic Acid-Quercetin-Conjugated Silver Nanoparticles. Molecules 2023, 28, 4146. [Google Scholar] [CrossRef] [PubMed]
- Yamaura, K.; Nelson, A.L.; Nishimura, H.; Rutledge, J.C.; Ravuri, S.K.; Bahney, C.; Philippon, M.J.; Huard, J. Therapeutic potential of senolytic agent quercetin in osteoarthritis: A systematic review and meta-analysis of preclinical studies. Ageing Res. Rev. 2023, 90, 101989. [Google Scholar] [CrossRef] [PubMed]
- Reyes-Jimenez, E.; Ramirez-Hernandez, A.A.; Santos-Alvarez, J.C.; Velazquez-Enriquez, J.M.; Gonzalez-Garcia, K.; Carrasco-Torres, G.; Villa-Trevino, S.; Baltierrez-Hoyos, R.; Vasquez-Garzon, V.R. Coadministration of 3′5-dimaleamylbenzoic acid and quercetin decrease pulmonary fibrosis in a systemic sclerosis model. Int. Immunopharmacol. 2023, 122, 110664. [Google Scholar] [CrossRef]
- Hostetler, G.L.; Ralston, R.A.; Schwartz, S.J. Flavones: Food Sources, Bioavailability, Metabolism, and Bioactivity. Adv. Nutr. 2017, 8, 423–435. [Google Scholar] [CrossRef]
- Zorov, D.B.; Juhaszova, M.; Sollott, S.J. Mitochondrial reactive oxygen species (ROS) and ROS-induced ROS release. Physiol. Rev. 2014, 94, 909–950. [Google Scholar] [CrossRef]
- Sapkota, R.; Dash, A.K. Liposomes and transferosomes: A breakthrough in topical and transdermal delivery. Ther. Deliv. 2021, 12, 145–158. [Google Scholar] [CrossRef]
- Cai, Y.; Zhang, J.; He, Y.; Li, Z.; Hua, Y.; Wu, Z.; Gao, J.; Ou, C.; Chen, M. A Supramolecular Hydrogel of Puerarin. J. Biomed. Nanotechnol. 2018, 14, 257–266. [Google Scholar] [CrossRef]
- Boots, A.W.; Haenen, G.R.; Bast, A. Health effects of quercetin: From antioxidant to nutraceutical. Eur. J. Pharmacol. 2008, 585, 325–337. [Google Scholar] [CrossRef]
- Lomphithak, T.; Jaikla, P.; Sae-Fung, A.; Sonkaew, S.; Jitkaew, S. Natural Flavonoids Quercetin and Kaempferol Targeting G2/M Cell Cycle-Related Genes and Synergize with Smac Mimetic LCL-161 to Induce Necroptosis in Cholangiocarcinoma Cells. Nutrients 2023, 15, 3090. [Google Scholar] [CrossRef] [PubMed]
- Park, E.J.; Kim, J.Y.; Jeong, M.S.; Park, K.Y.; Park, K.H.; Lee, M.W.; Joo, S.S.; Seo, S.J. Effect of topical application of quercetin-3-O-(2″-gallate)-alpha-l-rhamnopyranoside on atopic dermatitis in NC/Nga mice. J. Dermatol. Sci. 2015, 77, 166–172. [Google Scholar] [CrossRef] [PubMed]
- Patil, Y.P.; Jadhav, S. Novel methods for liposome preparation. Chem. Phys. Lipids 2014, 177, 8–18. [Google Scholar] [CrossRef] [PubMed]
- Sroka-Tomaszewska, J.; Trzeciak, M. Molecular Mechanisms of Atopic Dermatitis Pathogenesis. Int. J. Mol. Sci. 2021, 22, 4130. [Google Scholar] [CrossRef] [PubMed]
- Ashby, G.; Keng, K.E.; Hayden, C.C.; Gollapudi, S.; Houser, J.R.; Jamal, S.; Stachowiak, J.C. Selective endocytic uptake of targeted liposomes occurs within a narrow range of liposome diameter. bioRxiv 2023. [Google Scholar] [CrossRef]
- Liao, Y.; Mai, X.; Wu, X.; Hu, X.; Luo, X.; Zhang, G. Exploring the Inhibition of Quercetin on Acetylcholinesterase by Multispectroscopic and In Silico Approaches and Evaluation of Its Neuroprotective Effects on PC12 Cells. Molecules 2022, 27, 7971. [Google Scholar] [CrossRef] [PubMed]
- Olennikov, D.N.; Kashchenko, N.I.; Chirikova, N.K.; Akobirshoeva, A.; Zilfikarov, I.N.; Vennos, C. Isorhamnetin and Quercetin Derivatives as Anti-Acetylcholinesterase Principles of Marigold (Calendula officinalis) Flowers and Preparations. Int. J. Mol. Sci. 2017, 18, 1685. [Google Scholar] [CrossRef]
- Wang, Y.; Li, W.; Wang, M.; Chen, H.; Li, Y.; Wei, W.; Liu, X.; Wu, Y.; Luo, S.; Liu, X.; et al. Quercetin prevents the ferroptosis of OPCs by inhibiting the Id2/transferrin pathway. Chem. Biol. Interact. 2023, 381, 110556. [Google Scholar] [CrossRef]
- Cheng, Y.; Zhao, Z.; Zhang, S.; Wu, Y.; Han, Z.; Li, L.; Teng, Y.; Lin, J.; Liu, N.; He, S.; et al. Quercetin alleviates nanoparticle-induced osteolysis via deactivating pyroptosis. Biomater. Sci. 2023, 11, 4616–4629. [Google Scholar] [CrossRef]
- Singh, C.K.; Mintie, C.A.; Ndiaye, M.A.; Chhabra, G.; Roy, S.; Sullivan, R.; Longley, B.J.; Schieke, S.M.; Ahmad, N. Protective effects of dietary grape against atopic dermatitis-like skin lesions in NC/NgaTndCrlj mice. Front. Immunol. 2022, 13, 1051472. [Google Scholar] [CrossRef]
- Wang, Z.; Zhang, H.; Qi, C.; Guo, H.; Jiao, X.; Yan, J.; Wang, Y.; Li, Q.; Zhao, M.; Guo, X.; et al. Ursolic acid ameliorates DNCB-induced atopic dermatitis-like symptoms in mice by regulating TLR4/NF-kappaB and Nrf2/HO-1 signaling pathways. Int. Immunopharmacol. 2023, 118, 110079. [Google Scholar] [CrossRef] [PubMed]
- Carullo, G.; Cappello, A.R.; Frattaruolo, L.; Badolato, M.; Armentano, B.; Aiello, F. Quercetin and derivatives: Useful tools in inflammation and pain management. Future Med. Chem. 2017, 9, 79–93. [Google Scholar] [CrossRef] [PubMed]











| QU-L | QU-G | |
|---|---|---|
| First-order | R2 = 0.9881 | R2 = 0.9784 |
| Higuchi | R2 = 0.3403 | R2 = 0.5228 |
| Weibull | R2 = 0.9888 | R2 = 0.7184 |
| Korsmeyer–Peppas | R2 = 0.6201 | R2 = 0.6971 |
| Zero order | R2 = 0.1351 | R2 = 0.2758 |
| QU-LG | QU | |
| First-order | R2 = 0.9946 | R2 = 0.9659 |
| Higuchi | R2 = 0.3957 | R2 = 0.3764 |
| Weibull | R2 = 0.9962 | R2 = 0.9862 |
| Korsmeyer–Peppas | R2 = 0.6657 | R2 = 0.6680 |
| Zero order | R2 = 0.1747 | R2 = 0.1594 |
| Day1 | Day 4 | Day 7 | Day 10 | Day 13 | Day 16 | |
|---|---|---|---|---|---|---|
| Blank | ![]() | ![]() | ![]() | ![]() | ![]() | ![]() |
| Model | ![]() | ![]() | ![]() | ![]() | ![]() | ![]() |
| Positive | ![]() | ![]() | ![]() | ![]() | ![]() | ![]() |
| QU | ![]() | ![]() | ![]() | ![]() | ![]() | ![]() |
| QU-L | ![]() | ![]() | ![]() | ![]() | ![]() | ![]() |
| QU-G | ![]() | ![]() | ![]() | ![]() | ![]() | ![]() |
| QU-LG | ![]() | ![]() | ![]() | ![]() | ![]() | ![]() |
| Group | Weight of Spleen(g) | Weight(g) | Splenic Index |
|---|---|---|---|
| Blank | 0.101 | 28.88 | 0.3497 |
| Model | 0.094 | 23.46 | 0.4036 |
| Positive | 0.085 | 21.74 | 0.3919 |
| QU | 0.124 | 32.25 | 0.3838 |
| QU-L | 0.099 | 28.87 | 0.3460 |
| QU-G | 0.109 | 28.22 | 0.3876 |
| QU-LG | 0.110 | 28.7 | 0.3846 |
| Group | Appearance | ||||
|---|---|---|---|---|---|
| Wrinkle | Roughness | Edema | Erythema | Ulceration | |
| Blank | - | - | - | - | - |
| Model | +++ | +++ | + | +++ | ++ |
| Positive | ++ | ++ | - | ++ | + |
| QU | + | + | + | + | + |
| QU-L | + | + | + | - | - |
| QU-G | + | + | - | + | - |
| QU-LG | + | + | - | - | - |
Disclaimer/Publisher’s Note: The statements, opinions and data contained in all publications are solely those of the individual author(s) and contributor(s) and not of MDPI and/or the editor(s). MDPI and/or the editor(s) disclaim responsibility for any injury to people or property resulting from any ideas, methods, instructions or products referred to in the content. |
© 2023 by the authors. Licensee MDPI, Basel, Switzerland. This article is an open access article distributed under the terms and conditions of the Creative Commons Attribution (CC BY) license (https://creativecommons.org/licenses/by/4.0/).
Share and Cite
Liu, C.; Cheng, X.; Wu, Y.; Xu, W.; Xia, H.; Jia, R.; Liu, Y.; Shen, S.; Xu, Y.; Cheng, Z. Antioxidant Activity of Quercetin-Containing Liposomes-in-Gel and Its Effect on Prevention and Treatment of Cutaneous Eczema. Pharmaceuticals 2023, 16, 1184. https://doi.org/10.3390/ph16081184
Liu C, Cheng X, Wu Y, Xu W, Xia H, Jia R, Liu Y, Shen S, Xu Y, Cheng Z. Antioxidant Activity of Quercetin-Containing Liposomes-in-Gel and Its Effect on Prevention and Treatment of Cutaneous Eczema. Pharmaceuticals. 2023; 16(8):1184. https://doi.org/10.3390/ph16081184
Chicago/Turabian StyleLiu, Chang, Xiaoman Cheng, Yifang Wu, Weifang Xu, Hongmei Xia, Ruoyang Jia, Yinyin Liu, Si Shen, Yinxiang Xu, and Zhiqing Cheng. 2023. "Antioxidant Activity of Quercetin-Containing Liposomes-in-Gel and Its Effect on Prevention and Treatment of Cutaneous Eczema" Pharmaceuticals 16, no. 8: 1184. https://doi.org/10.3390/ph16081184
APA StyleLiu, C., Cheng, X., Wu, Y., Xu, W., Xia, H., Jia, R., Liu, Y., Shen, S., Xu, Y., & Cheng, Z. (2023). Antioxidant Activity of Quercetin-Containing Liposomes-in-Gel and Its Effect on Prevention and Treatment of Cutaneous Eczema. Pharmaceuticals, 16(8), 1184. https://doi.org/10.3390/ph16081184











































