Boric Acid Protects the Uterus and Fallopian Tubes from Cyclophosphamide-Induced Toxicity in a Rat Model
Abstract
1. Introduction
2. Results
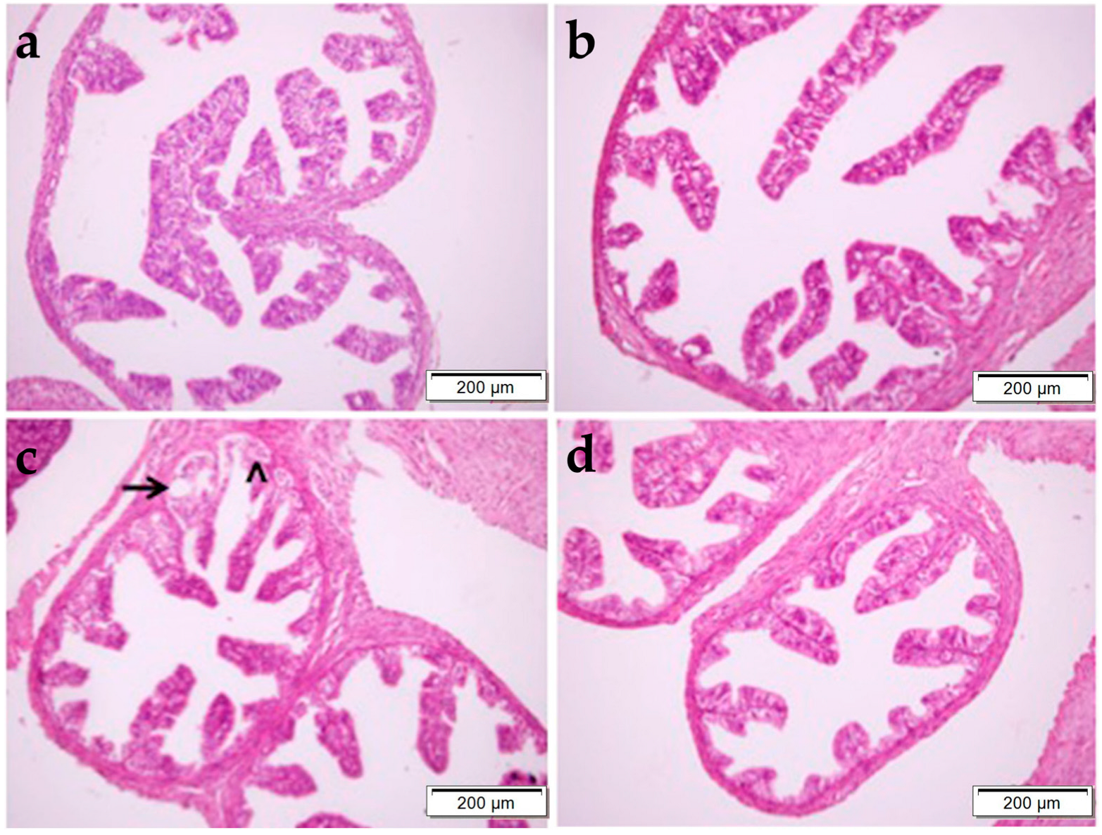
2.1. Histopathology
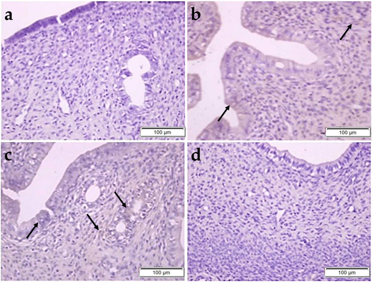
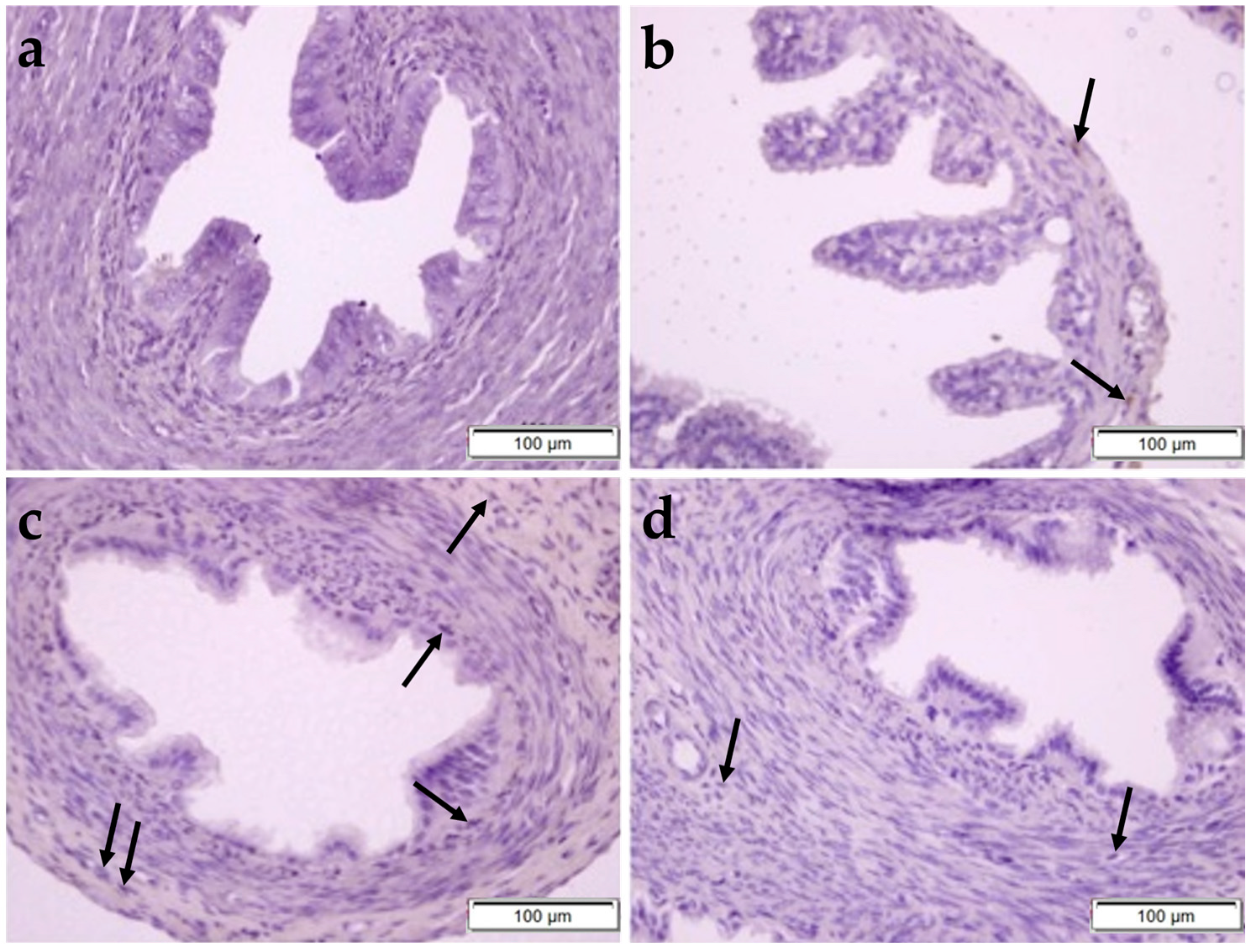
2.2. Immunohistochemical Analysis
3. Discussion
4. Materials and Methods
4.1. Chemicals and Antibodies
4.2. Animals
4.3. Experimental Protocol
4.4. Histological Procedure
4.5. Immunohistochemical Procedure
4.6. Statistical Analysis
5. Conclusions
Author Contributions
Funding
Institutional Review Board Statement
Informed Consent Statement
Data Availability Statement
Acknowledgments
Conflicts of Interest
References
- Khamis, T.; Hegazy, A.A.; El-Fatah, S.S.A.; Abdelfattah, E.R.; Abdelfattah, M.M.M.; Fericean, L.M.; Arisha, A.H. Hesperidin Mitigates Cyclophosphamide-Induced Testicular Dysfunction via Altering the Hypothalamic Pituitary Gonadal Axis and Testicular Steroidogenesis, Inflammation, and Apoptosis in Male Rats. Pharmaceuticals 2023, 16, 301. [Google Scholar] [CrossRef] [PubMed]
- Merwid-Ląd, A.; Ksiądzyna, D.; Hałoń, A.; Szkudlarek, D.; Trocha, M.; Szandruk-Bender, M.; Matuszewska, A.; Nowak, B.; Sozański, T.; Kuźniar, A.; et al. Morin-5′-Sulfonic Acid Sodium Salt (NaMSA) Attenuates Cyclophosphamide-Induced Histological Changes in Genitourinary Tract in Rats—Short Report. Pharmaceuticals 2021, 14, 192. [Google Scholar] [CrossRef] [PubMed]
- Highley, M.S.; Landuyt, B.; Prenen, H.; Harper, P.G.; De Bruijn, E.A. The Nitrogen Mustards. Pharmacol. Rev. 2022, 74, 552–599. [Google Scholar] [CrossRef] [PubMed]
- Gate, L.; Tew, K.D. Cancer Management in Man: Chemotherapy, Biological Therapy, Hyperthermia and Supporting Measures; Minev, B.R., Ed.; Springer: Dordrecht, The Netherlands, 2011; pp. 61–85. [Google Scholar]
- Meyer, V. Ueber Thiodiglykolverbindungen. Berichte Dtsch. Chem. Ges. 1886, 19, 3259–3266. [Google Scholar] [CrossRef]
- El-Serafi, I.; Steele, S. Cyclophosphamide Pharmacogenomic Variation in Cancer Treatment and Its Effect on Bioactivation and Pharmacokinetics. Adv. Pharmacol. Pharm. Sci. 2024, 2024, 4862706. [Google Scholar] [CrossRef]
- Weber, G.F. DNA Damaging Drugs. In Molecular Therapies of Cancer; Springer: Cham, Switzerland, 2014; pp. 9–112. [Google Scholar] [CrossRef]
- Binotto, G.; Trentin, L.; Semenzato, G. Ifosfamide and cyclophosphamide: Effects on immunosurveillance. Oncology 2003, 65, 17–20. [Google Scholar] [CrossRef]
- de Jonge, M.E.; Huitema, A.D.; Rodenhuis, S.; Beijnen, J.H. Clinical pharmacokinetics of cyclophosphamide. Clin. Pharmacokinet. 2005, 44, 1135–1164. [Google Scholar] [CrossRef]
- Haldar, S.; Dru, C.; Bhowmick, N.A. Mechanisms of hemorrhagic cystitis. Am. J. Clin. Exp. Urol. 2014, 2, 199–208. [Google Scholar]
- Kawanishi, M.; Matsuda, T.; Nakayama, A.; Takebe, H.; Matsui, S.; Yagi, T. Molecular analysis of mutations induced by acrolein in human fibroblast cells using supF shuttle vector plasmids. Mutat. Res. 1998, 417, 65–73. [Google Scholar] [CrossRef]
- Mythili, Y.; Sudharsan, P.T.; Selvakumar, E.; Varalakshmi, P. Protective effect of DL-alpha-lipoic acid on cyclophosphamide induced oxidative cardiac injury. Chem. Biol. Interact. 2004, 151, 13–19. [Google Scholar] [CrossRef]
- Povirk, L.F.; Shuker, D.E. DNA damage and mutagenesis induced by nitrogen mustards. Mutat. Res. 1994, 318, 205–226. [Google Scholar] [CrossRef] [PubMed]
- Daleboudt, G.M.; Reinders, M.E.; den Hartigh, J.; Huizinga, T.W.; Rabelink, A.J.; de Fijter, J.W.; Berger, S.P. Concentration-controlled treatment of lupus nephritis with mycophenolate mofetil. Lupus 2013, 22, 171–179. [Google Scholar] [CrossRef] [PubMed]
- Ahlmann, M.; Hempel, G. The effect of cyclophosphamide on the immune system: Implications for clinical cancer therapy. Cancer Chemother. Pharmacol. 2016, 78, 661–671. [Google Scholar] [CrossRef] [PubMed]
- Barberino, R.S.; Silva, R.L.S.; Palheta Junior, R.C.; Smitz, J.E.J.; Matos, M.H.T. Protective Effects of Antioxidants on Cyclophosphamide-Induced Ovarian Toxicity. Biopreserv. Biobank. 2023, 21, 121–141. [Google Scholar] [CrossRef] [PubMed]
- Roberts, J.E.; Benoit, J.; Foong, S.; Saumet, J.; Korkidakis, A.; Marr, K.; McQuillan, S.; Todd, N. Fertility preservation in patients undergoing gonadotoxic treatments: A Canadian Fertility and Andrology Society clinical practice guideline. Reprod. Biomed. Online 2024, 48, 103767. [Google Scholar] [CrossRef]
- Goodwin, P.J.; Ennis, M.; Pritchard, K.I.; Trudeau, M.; Hood, N. Risk of menopause during the first year after breast cancer diagnosis. J. Clin. Oncol. 1999, 17, 2365–2370. [Google Scholar] [CrossRef]
- Plowchalk, D.R.; Meadows, M.J.; Mattison, D.R. Reproductive toxicity of cyclophosphamide in the C57BL/6N mouse: 2. Effects on uterine structure and function. Reprod. Toxicol. 1992, 6, 423–429. [Google Scholar] [CrossRef]
- Pascuali, N.; Scotti, L.; Di Pietro, M.; Oubiña, G.; Bas, D.; May, M.; Gómez Muñoz, A.; Cuasnicú, P.S.; Cohen, D.J.; Tesone, M.; et al. Ceramide-1-phosphate has protective properties against cyclophosphamide-induced ovarian damage in a mice model of premature ovarian failure. Hum. Reprod. 2018, 33, 844–859. [Google Scholar] [CrossRef]
- Yilmaz, E.; Melekoglu, R.; Ciftci, O.; Eraslan, S.; Cetin, A.; Basak, N. The therapeutic effects of curcumin and capsaicin against cyclophosphamide side effects on the uterus in rats. Acta Cir. Bras. 2018, 33, 499–507. [Google Scholar] [CrossRef]
- Paties Montagner, G.; Dominici, S.; Piaggi, S.; Pompella, A.; Corti, A. Redox Mechanisms Underlying the Cytostatic Effects of Boric Acid on Cancer Cells-An Issue Still Open. Antioxidants 2023, 12, 1302. [Google Scholar] [CrossRef]
- Murray, F.J. A comparative review of the pharmacokinetics of boric acid in rodents and humans. Biol. Trace Elem. Res. 1998, 66, 331–341. [Google Scholar] [CrossRef] [PubMed]
- Nielsen, F.H. Nutritional requirements for boron, silicon, vanadium, nickel, and arsenic: Current knowledge and speculation. FASEB J. 1991, 5, 2661–2667. [Google Scholar] [CrossRef] [PubMed]
- Hunt, C.D. The biochemical effects of physiologic amounts of dietary boron in animal nutrition models. Environ. Health Perspect. 1994, 102 (Suppl. S7), 35–43. [Google Scholar] [CrossRef] [PubMed]
- Ince, S.; Kucukkurt, I.; Cigerci, I.H.; Fidan, A.F.; Eryavuz, A. The effects of dietary boric acid and borax supplementation on lipid peroxidation, antioxidant activity, and DNA damage in rats. J. Trace Elem. Med. Biol. 2010, 24, 161–164. [Google Scholar] [CrossRef]
- Karaman, E.; Onder, G.O.; Goktepe, O.; Karakas, E.; Mat, O.C.; Bolat, D.; Koseoglu, E.; Tur, K.; Baran, M.; Ermis, M.; et al. Protective Effects of Boric Acid Taken in Different Ways on Experimental Ovarian İschemia and Reperfusion. Biol. Trace Elem. Res. 2024, 202, 2730–2743. [Google Scholar] [CrossRef]
- Ayhanci, A.; Tanriverdi, D.T.; Sahinturk, V.; Cengiz, M.; Appak-Baskoy, S.; Sahin, I.K. Protective Effects of Boron on Cyclophosphamide-Induced Bladder Damage and Oxidative Stress in Rats. Biol. Trace Elem. Res. 2020, 197, 184–191. [Google Scholar] [CrossRef]
- Cengiz, M.; Sahinturk, V.; Yildiz, S.C.; Şahin, İ.K.; Bilici, N.; Yaman, S.O.; Altuner, Y.; Appak-Baskoy, S.; Ayhanci, A. Cyclophosphamide induced oxidative stress, lipid peroxidation, apoptosis and histopathological changes in rats: Protective role of boron. J. Trace Elem. Med. Biol. 2020, 62, 126574. [Google Scholar] [CrossRef]
- Li, H.S.; Zhou, Y.N.; Li, L.; Li, S.F.; Long, D.; Chen, X.L.; Zhang, J.B.; Feng, L.; Li, Y.P. HIF-1α protects against oxidative stress by directly targeting mitochondria. Redox Biol. 2019, 25, 101109. [Google Scholar] [CrossRef]
- Rose-John, S.; Jenkins, B.J.; Garbers, C.; Moll, J.M.; Scheller, J. Targeting IL-6 trans-signalling: Past, present and future prospects. Nat. Rev. Immunol. 2023, 23, 666–681. [Google Scholar] [CrossRef]
- Bulbul, M.; Tekce, A.; Annac, E.; Korkmaz, O.; Onderci, M.; Korkmaz, D.; Demirci, A.M. Identification of royal jelly as a potential new drug to protect the ovarian reserve and uterus against cyclophosphamide in rats. Clin. Exp. Reprod. Med. 2023, 50, 34–43. [Google Scholar] [CrossRef]
- Winkler, I.; Tolkachov, A.; Lammers, F.; Lacour, P.; Daugelaite, K.; Schneider, N.; Koch, M.L.; Panten, J.; Grünschläger, F.; Poth, T.; et al. The cycling and aging mouse female reproductive tract at single-cell resolution. Cell 2024, 187, 981–998.e25. [Google Scholar] [CrossRef] [PubMed]
- Smith, K.A.; Waypa, G.B.; Schumacker, P.T. Redox signaling during hypoxia in mammalian cells. Redox Biol. 2017, 13, 228–234. [Google Scholar] [CrossRef] [PubMed]
- Ince, S.; Kucukkurt, I.; Demirel, H.H.; Acaroz, D.A.; Akbel, E.; Cigerci, I.H. Protective effects of boron on cyclophosphamide induced lipid peroxidation and genotoxicity in rats. Chemosphere 2014, 108, 197–204. [Google Scholar] [CrossRef] [PubMed]
- Manda, K.; Bhatia, A.L. Prophylactic action of melatonin against cyclophosphamide-induced oxidative stress in mice. Cell Biol. Toxicol. 2003, 19, 367–372. [Google Scholar] [CrossRef]
- Tripathi, D.N.; Jena, G.B. Astaxanthin inhibits cytotoxic and genotoxic effects of cyclophosphamide in mice germ cells. Toxicology 2008, 248, 96–103. [Google Scholar] [CrossRef]
- Tekeli, H.; Ekren Asıcı, G.S.; Bildik, A. Anti-inflammatory effect of boric acid on cytokines in ovariectomy-induced rats. Cell. Mol. Biol. 2022, 67, 313–320. [Google Scholar] [CrossRef]
- Çolak, S.; Koc, K.; Yıldırım, S.; Geyikoğlu, F. Effects of boric acid on ovarian tissue damage caused by experimental ischemia/reperfusion. Biotech. Histochem. 2022, 97, 415–422. [Google Scholar] [CrossRef]
- Zhang, C.P.; Xie, Y.Z.; Chen, P.; Hong, X.; Nie, H.J.; Dong, H.B.; Yin, Z.Y. Effects of hypoxia on the secretions of proinflammatory cytokines TNF-alpha and IL-6 in macrophages and its mechanism. Zhongguo Ying Yong Sheng Li Xue Za Zhi 2005, 21, 281–284. [Google Scholar] [PubMed]
- Gray, C.A.; Bartol, F.F.; Tarleton, B.J.; Wiley, A.A.; Johnson, G.A.; Bazer, F.W.; Spencer, T.E. Developmental biology of uterine glands. Biol. Reprod. 2001, 65, 1311–1323. [Google Scholar] [CrossRef]
- Naghii, M.R.; Mofid, M.; Asgari, A.R.; Hedayati, M.; Daneshpour, M.S. Comparative effects of daily and weekly boron supplementation on plasma steroid hormones and proinflammatory cytokines. J. Trace Elem. Med. Biol. 2011, 25, 54–58. [Google Scholar] [CrossRef]
- Song, D.; Zhong, Y.; Qian, C.; Zou, Q.; Ou, J.; Shi, Y.; Gao, L.; Wang, G.; Liu, Z.; Li, H.; et al. Human umbilical cord mesenchymal stem cells therapy in cyclophosphamide-induced premature ovarian failure rat model. BioMed Res. Int. 2016, 2016, 2517514. [Google Scholar] [CrossRef]










| Groups | Agent | Dosage | Gender | n |
|---|---|---|---|---|
| Group I: Control | No | No | Female | 10 |
| Group II: OBR | Boric acid (Orally) | 20 mg/kg/day (for 15 days) | Female | 10 |
| Group III: CP | Cyclophosphamide (i.p.) | 200 mg/kg/day (only first day) and 8 mg/kg/day (for 14 days) | Female | 10 |
| Group IV: CP + OBR | Cyclophosphamide (i.p.) | 200 mg/kg/day (only first day) and 8 mg/kg/day (for 14 days) | Female | 10 |
| Boric acid (Orally) | 20 mg/kg/day (for 15 days) |
Disclaimer/Publisher’s Note: The statements, opinions and data contained in all publications are solely those of the individual author(s) and contributor(s) and not of MDPI and/or the editor(s). MDPI and/or the editor(s) disclaim responsibility for any injury to people or property resulting from any ideas, methods, instructions or products referred to in the content. |
© 2024 by the authors. Licensee MDPI, Basel, Switzerland. This article is an open access article distributed under the terms and conditions of the Creative Commons Attribution (CC BY) license (https://creativecommons.org/licenses/by/4.0/).
Share and Cite
Karaman, E.; Yavuz, A. Boric Acid Protects the Uterus and Fallopian Tubes from Cyclophosphamide-Induced Toxicity in a Rat Model. Pharmaceuticals 2024, 17, 1716. https://doi.org/10.3390/ph17121716
Karaman E, Yavuz A. Boric Acid Protects the Uterus and Fallopian Tubes from Cyclophosphamide-Induced Toxicity in a Rat Model. Pharmaceuticals. 2024; 17(12):1716. https://doi.org/10.3390/ph17121716
Chicago/Turabian StyleKaraman, Enes, and Adem Yavuz. 2024. "Boric Acid Protects the Uterus and Fallopian Tubes from Cyclophosphamide-Induced Toxicity in a Rat Model" Pharmaceuticals 17, no. 12: 1716. https://doi.org/10.3390/ph17121716
APA StyleKaraman, E., & Yavuz, A. (2024). Boric Acid Protects the Uterus and Fallopian Tubes from Cyclophosphamide-Induced Toxicity in a Rat Model. Pharmaceuticals, 17(12), 1716. https://doi.org/10.3390/ph17121716

