Abstract
New Psychoactive Substances (NPS) are modifying the drug scenario worldwide and have become a public health concern because of their toxicological profiles and their harmful physical/psychological effects. 3-Methoxy-Phencyclidine (3-MeO-PCP), a non-competitive antagonist of glutamate N-methyl-D-aspartate (NMDA) receptors, belongs to the phencyclidine-like subfamily of arylcyclohexylamines and has gained attention for its toxic, sometimes fatal, effects. Despite several cases of intoxication and death reported in the literature, little is known about substance-induced psychotic disorders (SIP) and potential cognitive impairment following 3-MeO-PCP intake. This literature review aimed to summarize available evidence about 3-MeO-PCP mechanisms of action and physical and psychotropic effects and to spread preliminary findings about persistent psychotic symptoms and impaired cognitive functioning. Additionally, the case of an SIP is reported in a 29-year-old man with small oral intakes of 3-MeO-PCP over two weeks until a high dose ingestion. Psychometric and neuropsychological assessment and brain [18F]-fluorodeoxyglucose positron emission tomography integrated with computed tomography were used to support clinical description. Identifying and addressing the characteristic clinical features and neural substrates of NPS-induced psychoses might help clinicians with a more precise differentiation from other psychotic disorders. Although further studies are required, phenotyping the cognitive profile of NPS users might provide targets for tailored therapeutic approaches.
1. Introduction
1.1. The Emerging Phenomenon of NPS
‘New Psychoactive Substances’ (NPS) is an umbrella term that was officially used by the United Nations Office on Drugs and Crime (UNODC) to refer to ‘substances of abuse, either in a pure form or a preparation, that are not controlled by the 1961 Single Convention on Narcotic Drugs or the 1971 Convention on Psychotropic Substances, but which may pose a health threat’ [1]. Such unregulated psychoactive compounds have become a public health concern since their spread from the 2000s onwards [2] and peaked in 2021 after several years of stabilization, with a cumulative number of 1184 substances currently identified worldwide [3].
The COVID-19 pandemic also influenced the illicit drug market, and more than 200 cases of NPS consumption, including both intoxications and fatalities, have been reported from different countries [4]. Indeed, the European Monitoring Centre for Drugs and Drug Addiction (EMCDDA) was tracking around 930 new substances at the end of 2022 and reported alarming estimates of lifetime and last-year use among adolescents and young adults [5]. Accordingly, Italian data showed an increasing trend for NPS use in the general population in 2022 and pointed to these compounds as the second most-used illegal substance class, after cannabis, among students aged 15–19 years, with up to 6% reporting at least one intake in the last 12 months [6].
Being synthetic derivates of traditional drugs with minor functional or chemical changes, NPS display different pharmacological properties and are generally excluded from the list of registered narcotic products, having the possibility to be sold as legal alternatives [2,7]. Also known as “designer drugs” or “bath salts”, NPS have been promoted as “legal highs” and are rapidly modifying the drug scenario worldwide [5] because of their relatively low cost, ready availability through online purchasing, and undetectability at routine drug screening tests [8,9].
Over the last few years, this emerging phenomenon has been monitored by the authorities, and many activities have been implemented to identify and schedule NPS as law-controlled substances [10]. However, although information is regularly spread by official reports and alerts, the increasing number of available NPS and the wide structural variety make it difficult to understand their toxicological profiles and the potentially harmful physical, psychological, and social effects [8,9].
1.2. About 3-Methoxy-Phencyclidine
NPS include different chemical classes like synthetic cathinone and cannabinoids, piperazines, phenethylamines, tryptamines, and phencyclidines [11]. Analogs and substitutes of 1-1-phenylcyclohexyl-piperidine (PCP), a dissociative anesthetic, constitute the phencyclidine class and have spread as street drugs since the 1960–1970s [12], following PCP removal from the market because of its psychotic-like effects [8]. PCP, also known as “angel dust”, and related compounds have been shown to exert their psychotropic effects via the antagonism of glutamate N-methyl-D-aspartate (NMDA) receptors, a mechanism involved in both schizophrenia-like positive and negative symptoms, as well as in cognitive alterations [13]. Since then, PCP-treated animals served as preclinical research models of schizophrenia, supporting the role of glutamatergic dysfunction in this disease [14].
Arylcyclohexylamines (ACHs) are PCP derivatives with three distinct subcategories obtained through modifications of the aryl ring, and although a recreational interest has been reported only for a few of these compounds [15], the PCP-like subfamily has gained increasing attention for its extremely toxic, sometimes fatal, effects [12]. After the peak in PCP consumption ten years ago, its derivatives and other novel dissociatives have progressively expanded on the market, being increasingly reported by drug users, especially adolescents and young adults, and being detected in clinical drug analyses more often than PCP itself and more frequently than in the pre-pandemic period [16,17,18,19].
1-[1-(3-methoxyphenyl)cyclohexyl]piperidine (i.e., 3-MeO-PCP) was the last of the isomers synthesized in 1979 [20] and has been placed under regulatory control in many countries since the first EMCDDA notification in 2012 because of its risks and misuse potential [21,22]. Although the consumption of 3-MeO-PCP remained relatively stable in the very last years compared to the increase in past-year and past-month use of other substances (e.g., cannabis, ketamine, synthetic cathinone, novel psychedelics), it has been identified in most cases of single-substance intoxication of PCP analogs [3,6,16,22].
1.2.1. General Pharmacology
The non-competitive antagonism of glutamate NMDA receptors is the primary mechanism of action of 3-MeO-PCP. Additionally, this compound showed minor effects on the serotonin transporter [23] and sigma-1 receptors, along with a functional interaction with the dopamine transporter [24]. Like other dissociative hallucinogens and PCP derivatives, the NMDA antagonism is responsible for the psychotropic effects, and 3-MeO-PCP showed a greater binding affinity than PCP [9,12].
3-MeO-PCP is usually consumed through sniffing, followed by oral intake. However, further routes of administration are available (i.e., smoking, injection), with differences in the action onset and duration [22,25]. 3-MeO-PCP-induced effects arise between 30 and 90 min after ingestion, may last from 4 to 48 h, and can follow the consumption of doses as low as 1 mg [22]. 3-MeO-PCP undergoes extensive metabolism, with several phase I and II metabolites produced through hydroxylation, carboxylation, and O-demethylation processes [26].
A thorough measurement of blood concentrations leading to toxicity and fatality is missing due to the lack of documented intoxication cases and information about the preservation status of samples. Indeed, the stability of 3-MeO-PCP and its metabolites in post-mortem specimens is unclear, and the frequent co-presence of other substances prevents from clearly identifying the lethal dose [25]. Nevertheless, nasal/oral consumption of more than 12/15 milligrams could be considered a heavy dose [22]. Blood ranges of 50–3525 ng/mL were measured in fatal intoxications, with a concentration of approximately 380 ng/mL identified in one case where death could certainly be ascribed to 3-MeO-PCP [25,27].
1.2.2. Intoxication and Clinical Manifestations
Cardiovascular, respiratory, and cerebral alterations, including hypertension, tachycardia, pulmonary edema, and brain swelling, have been reported among the acute pathophysiological consequences of 3-MeO-PCP intake and require symptomatic treatments (e.g., hyperhydration, tracheal intubation) and constant monitoring of vital signs and biochemical parameters [9,12]. Recent observations suggested a potential exacerbating effect of physical effort on the toxicity of this compound, highlighting a higher risk associated with the use of 3-MeO-PCP in recreational contexts or any situation that may be associated with increased heart rate, blood pressure, and body temperature [25].
Although data on the toxicity profile of chronic consumption are still inconsistent, bladder and liver damage, digestive disorders with significant abdominal pain, and neurological symptoms (including memory and attention deficits, blunted reactivity, impaired perception of time, and color) may characterize the prolonged use of 3-MeO-PCP [12,28]. As for the psychoactive consequences, 3-MeO-PCP users generally report euphoria, increased empathy, dissociation, and hallucinations as the immediate, desired effects, although behavioral alterations with psychomotor agitation, confusion, cognitive impairment, and severe psychotic symptoms can occur [8].
To date, several 3-MeO-PCP intoxication cases, both fatal and nonfatal, have been described in the literature [3,8,25,26,27,29,30,31,32,33,34,35,36,37,38,39,40,41,42,43,44,45,46,47,48]. It is noteworthy that 3-MeO-PCP figured as the only substance assumed in less than one-third of reports, eight nonfatal and one fatal, and that the concurrent intake of multiple substances can modify the clinical picture and contribute to a more severe presentation [25,29]. Available reports with publication details, numbers, and brief descriptions of cases (i.e., gender, age, toxicological profile, and outcome) are summarized in Table 1.
Table 1.
Intoxication cases with 3-MeO-PCP from the literature. Abbreviations: 3-MeO-PCP: 3-Methoxyphencyclidine; F: female; M: male; UK: United Kingdom; USA: United States of America.
Signs and symptoms of nonfatal intoxication include erratic behavior, confusion, disorientation, dissociation, hallucinations, and other signs of psychosis, often associated with altered neurological status and amnesia regarding the intoxication timeframe [27,30,31]. Psychomotor agitation was particularly prominent in subjects with multiple substance abuses [29]. Four cases of patients hospitalized after 3-MeO-PCP ingestion have been described by Italian reports that described, among other symptoms, neurological impairment and delirium with agitation and euphoria still detectable after 24 h hospital monitoring [8,32].
1.2.3. The Effects of Other PCP-Derivatives and Novel Dissociative Compounds
The physical and psychopathological effects of the consumption of other PCP derivatives and novel dissociative compounds only partially differ from those induced by 3-MeO-PCP, making it difficult for clinicians to differentiate clinical pictures. Estimates of PCP use and related emergency department referrals were alarmingly widespread in 2013 [3]. While subjects reported distorted perceptions of sight and sound, dissociation from the environment, and out-of-body experiences as the desired effects of the compound, the acute psychopathological symptoms included memory impairments, altered perception of time, slowness, anxiety, apathy, irritability, psychotic symptoms, violent behaviors, and states of stupor until coma. As for the physical effects, increased breathing rate, elevated blood pressure, tachycardia, flushing and excessive sweating, nausea and vomiting, blurred vision, loss of balance, dizziness, kidney failure, seizures, cardiac arrest, and cerebrovascular accidents have been described [49].
Among PCP first-generation isomers synthesized between the 1960s and 1990s, 4-MeO-PCP and 3-OH-PCP started spreading on the narcotics market in 2008 and 2009, respectively. Despite the almost overlapping effects, 4-MeO-PCP proved to be less potent than PCP and 3-MeO-PCP, with few intoxications reported so far, while no cases have been described for 3-OH-PCP, although it is active at low doses [3].
As for the effects of other dissociatives, depersonalization and dissociation with intense detachment, near-death experiences, and auditory and visual hallucinations are generally sought by ketamine users. However, acute symptoms also include anxiety, flashbacks, and a set of physical effects (i.e., tachycardia, agitation, hypertension, nausea, slurred speech, dizziness, and collapse) that can result in accidental injury, drowning, or death from hypothermia. Finally, methoxetamine should be mentioned for its desired effects, such as relaxation, euphoria, and more intense, longer-lasting sympathomimetic activity than ketamine, which might combine with physical symptoms like blackouts, cerebellar toxicity, and cardiac arrhythmias [50].
Cognitive impairment and mood shifts/alterations have been described after chronic use of PCP and methoxetamine, while perceptual disorders seem to be more common after ketamine and methoxetamine intake. The development of addiction with withdrawal signs and symptoms has been discussed for both PCP/PCP-analogues and ketamine, while more specific chronic effects may include anxiety disorders and suicidal thoughts for PCP/PCP-analogues and impairment of attention and recall, psychosis, and hallucinogen-persisting perception disorder for ketamine [50].
1.3. Limitations and ‘Unmet Needs’
The psychoactive consequences of 3-MeO-PCP, both in the short and long term, have only been partially understood, possibly because of some limitations of the available evidence. First, most reports from the literature have described fatal intoxications with post-mortem detection of 3-MeO-PCP. Other studies focused on the acute presentation after admission to the emergency department or during the intensive care unit stay, where patients are mostly intubated and unconscious. Further, because of the pharmacodynamic/kinetic interactions between compounds, the concurrent intake of several substances (primarily alcohol and stimulants like amphetamines and cocaine, followed by sedative-hypnotics/anxiolytics) may modify the clinical presentation, increase severity, and hinder the exact attribution of the effects to one substance over another. Lastly, once the acute symptoms of intoxication are remitted, patients are usually discharged from the hospital within a few days, and information on what happens afterward is missing [25].
Illicit substances can induce transient psychotic symptoms during an acute phase but also lead to a more persistent syndrome with predominant delusions and/or hallucinations occurring during or immediately after intoxication/withdrawal, which has been officially recognized by the Diagnostic and Statistical Manual of Mental Disorder (DSM) as a substance-induced psychotic disorder [51,52]. Although substance-induced psychoses (SIP) have become a common issue in clinical practice and some evidence has been collected about the psychopathological consequences of NPS [49,50], the description of cases of substance-induced psychotic disorders following 3-MeO-PCP consumption and its potential effects on brain functions is still lacking. To our knowledge, there is only one report in the literature about the consequences of NPS from a neuroimaging perspective, which described the effects on brain metabolism and activity of an NMDA receptor antagonist belonging to the same ACH class as 3-MeO-PCP [53].
Hereafter, we present the case of a patient with oral ingestion of 3-MeO-PCP who experienced prolonged psychotic symptoms following the intake and displayed impaired brain functioning at neuropsychological and neuroimaging investigations.
2. Case History
A 29-year-old man referred to the “Centro Psichiatrico Integrato per la ricerca, la prevenzione e la cura delle Dipendenze” (CePID), Department of Psychiatry of Fondazione Policlinico Universitario Agostino Gemelli IRCCS in Rome, in an outpatient setting, for psychotic symptoms and behavioral alterations. The medical history outlined normal child development and the absence of relevant organic diseases, except for the presence of genetic variants of coagulation factors and enzymes (heterozygous mutation of Leiden factor V, homozygous C677T mutation of MTHFR). While there was no history of family psychiatric disorders, the onset of psychiatric symptoms occurred in adolescence, around the age of 17, with depressed mood, social anxiety, ruminative thoughts about social functioning and sexual orientation, and subsequent use of alcohol and psychotropic substances with a self-medicating purpose. The patient underwent a first psychiatric consultation during the last years of high school and was prescribed different psychopharmacological therapies (i.e., antidepressants, mood stabilizers, anxiolytics/sedative-hypnotics, variously combined) but displayed discontinuous treatment adherence and poor symptomatic improvement. As a young adult, he declares the intake of multiple substances without meeting the criteria for a specific Substance Use Disorder (SUD), as well as the misuse of prescription and over-the-counter drugs (including dextromethorphan, quetiapine, selegiline, and tramadol). The patient underwent a detoxification program and, after four weeks of abstinence, was prescribed psychopharmacotherapy targeting anxious-depressive symptoms (paroxetine 20 mg/day, quetiapine extended-release 150 mg/day, valproate 750 mg/day, and trazodone extended release 75 mg/day). However, over the past few weeks before the following evaluation, he developed a manic-like episode with psychotic features, including both visual and tactile hallucinations, paranoid delusions, severe dissociation, and insomnia, as referred to by his relatives and still detectable at the clinical interview. The patient reports having started the online purchase of NPS a month before and, specifically, to have consumed small dosages of 3-MeO-PCP for at least two weeks until the oral ingestion of an unspecified but large amount (almost 300–500 mg referred) about three days before the evaluation. The consequences of this massive intake were significant despair, a sense of impending doom, psychomotor agitation, and aggressive behaviors towards the family and himself, followed by total amnesia. Relatives reported that the presence of 3-MeO-PCP in blood samples (concentration not quantified) was confirmed through gas and liquid chromatography coupled to mass spectrometry techniques during a previous attendance to the emergency department for a nasal fracture that occurred during an episode of psychomotor agitation.
2.1. Methods
A clinical interview and a psychometric assessment were carried out at baseline and after one week via the following clinician-rated scales and patient self-reported questionnaires: Brief Psychiatric Rating Scale (BPRS) [54], Clinical Global Impression, Severity, and Improvement (CGI-S/I) [55], and Self-report Symptom Checklist Inventory 90—Revised Version (SCL90-R) [56]. A neuropsychological evaluation was performed through the pen-and-paper versions of the Digit Symbol Substitution Test (DSST) [57] and the Trail Making Test (TMT) [58], administered according to the guidelines outlined by Strauss et al. [59] and scored respectively through the number of correct symbols matched within 90 s (range: 0–90, higher scores indicating better performance) [60] and the number of seconds required to complete the task (on average 29 and 75 s for parts A and B, with longer times suggesting higher impairment) [61]. The presence of cognitive decline or neurocognitive disorders was excluded as a result of a Mini-Mental State Examination (MMSE) total score > 26 [62].
The patient underwent laboratory exams and an electrocardiogram at baseline and a brain [18F]-fluorodeoxyglucose positron emission tomography integrated with computed tomography (18F-FDG PET/CT) after one week (i.e., almost one month after the beginning of 3-MeO-PCP consumption and ten days following the massive intake). A brain 18F-FDG PET/CT scan was performed only once as part of the initial assessment to support the description of clinical features. The exam was conducted with a Biograph mCT64 PET/CT scanner (Siemens Healthineers). The patient fasted for 6 h before the radiotracer injection. FDG PET/CT acquisition started 40 min after intravenous bolus injection of 18F-FDG (3.7 MBq/kg), while the subject rested quietly in a dimly lit and silent room. PET acquisition lasted 20 min, and images were reconstructed using an iterative time of flight algorithm with CT-based attenuation correction. After a visual examination, a semiquantitative analysis was performed through voxel-wise comparison using Statistical Parametric Mapping version 8 (SPM8, Wellcome Department of Cognitive Neurology, London, UK) to identify regional 18F-FDG-PET hypo- or hyper-metabolism. Patient images were compared with those of 12 male healthy controls (age range: 27–45 years), selected from a previously gathered database. The SPM8 normalization algorithm was employed to register 18F-FDG PET images with an MNI-based template of 18F-FDG, using the following settings: a 12-parameter affine transformation (3 for translations, 3 for rotations, 3 for shears, and 3 for zooms), a nonlinear frequency cut-off of 25 mm, 16 nonlinear iterations, and a nonlinear regularization switched at 1. A tri-linear interpolation was applied during the final re-slicing. Spatially normalized images were smoothed by convolution with an isotropic Gaussian kernel (full-width half maximum, FWHM = 8 mm) to increase the signal-to-noise ratio. Global normalization was performed using proportional scaling by setting the global cerebral blood flow value to 50 mL/dl/min. Statistical analysis was carried out through an unpaired 2-sample t-test with the SPM contrast set, respectively, at “−1,1” and “1,−1” to detect regional hypo- and hyper-metabolism compared to the control group. The resultant t-statistic was created with a threshold of p < 0.001 and a cluster extension of 120 voxels.
A further clinical interview with psychometric and neuropsychological assessment was carried out at one-month follow-up, while 18F-FDG PET/CT was not repeated throughout the evaluation period. A timeline summarizing events and interventions has been provided in Figure 1.
Figure 1.
Case-history timeline.
After a thorough explanation of the procedures, the patient signed a written informed consent that included the use of de-identified clinical data for research purposes.
2.2. Results
The patient resulted in being ‘markedly ill’ according to baseline CGI-S (5) and BPRS (98, cut-off ≥53) total scores [63,64], as well as for the SCL90-R global severity index (2.61, cut-off >2). A total of 9 out of the 24 BPRS items were rated as ‘severe’ or ‘very severe’, specifically somatic concerns, elevated mood, grandiosity, suspiciousness, unusual thought content, bizarre behavior, self-neglect, conceptual disorganization, and tension. Accordingly, the patient displayed severe scores in every SCL90-R dimension, with the highest being ‘sleep disruptions’, ‘anxiety’, ‘phobic anxiety’, and ‘paranoid ideation’. The patient scored a total of 29 symbols out of 90 at the DSST (a little over a quarter of the possible correct answers), with one mistake during the performance, and took 30 s and 2 min to complete, respectively, TMT-A and B (with two mistakes in part B of the task). Laboratory tests showed heightened values of serum glutamic pyruvic transaminase/alanine-aminotransferase (54 UI/L) and an altered lipid profile (triglycerides 275 mg/dL, total cholesterol 265 mg/dL, low-density lipoproteins 166 mg/dL).
At the end of the first evaluation, the psychopharmacological treatment was modified as follows: paroxetine 10 mg/day, valproate 1 g/day, gabapentin 1.2 g/day, and olanzapine 10 mg/day. After one week of treatment, clinicians detected a 20% reduction in the BPRS total score, although the items ‘suspiciousness’, ‘unusual thought content’, and ‘conceptual disorganization’ were still rated as ‘severe’. Slightly lower SCL90-R scores were obtained by the patient for ‘sleep disruption’ and ‘anxiety’. The patient also showed a mild improvement in DSST (31/90 symbols), TMT-A (26 s), and TMT-B (1 min 58 s) scores, without mistakes during the performances.
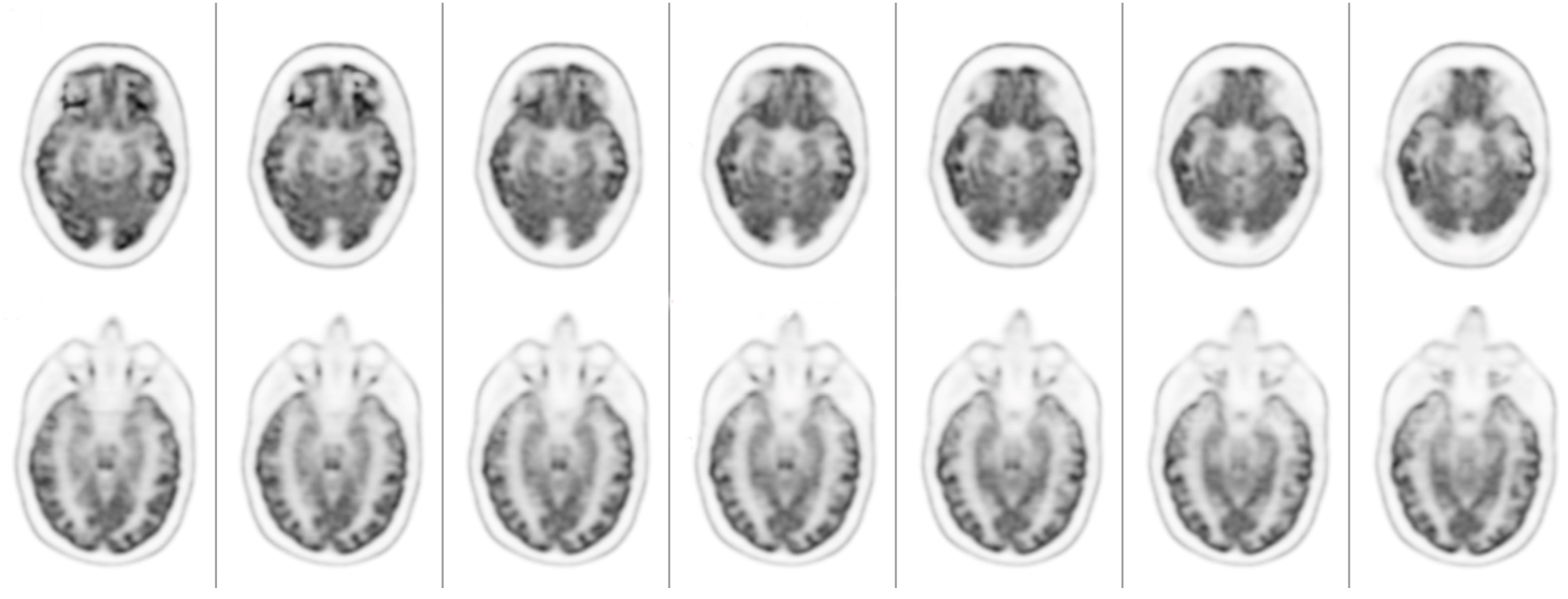
Brain 18F-FDG PET/CT visual analysis showed a mild reduction in 18F-FDG uptake within the bilateral frontal inferior cortex and bilateral temporal inferior cortex (Figure 2).
Figure 2.
Brain 18F-FDG PET axial slices show a mild reduction in 18F-FDG uptake in the bilateral inferior frontal cortex and bilateral inferior temporal cortex.
The voxel-wise analysis, using p values of <0.001, showed lower 18F-FDG-PET uptake in the bilateral inferior frontal cortex and bilateral temporal inferior cortex compared to healthy controls (Figure 3).
Figure 3.
Axial magnetic resonance slices (A) and brain surface rendering (B) show the results of SPM analysis. The color-coded regions indicate the locations where the patients’ voxel values are significantly hypometabolic compared with the healthy control group (p < 0.001).
Specifically, clusters of major hypometabolic voxels were found in the right inferior frontal gyrus, with a peak at 58/30/4 mm (1036 voxels, T-Score 7.9), and in the inferior and middle temporal gyrus, with a peak at 46/2/−40 mm (522 voxels, T-Score 7.8). Conversely, by setting the voxel-wise analysis to reveal regions of increased 18F-FDG uptake, no voxels of significant hypermetabolism were found in comparison to healthy subjects (p values > 0.001).
After one month of treatment, visual hallucinations, paranoid delusions, and thought disorganization, as well as psychomotor agitation, had totally disappeared, while some anxious and depressive symptoms were still reported by the patient (Figure 4). The neuropsychological performance improved as well based on DSST (42/90 symbols—almost half of the possible total score) and TMT Parts A and B (23 s and 1 min 21 s, respectively) scores (Table 2).
Figure 4.
Psychometric assessment at different time points. Abbreviations: BPRS, Brief Psychiatric Rating Scale; SCL-90, Self-report Symptom Checklist Inventory 90—Revised version.
Table 2.
Neuropsychological assessment at different time points. Abbreviations: DSST: Digit Symbol Substitution Test; TMT: Trail Making Test.
3. Discussion
To the best of our knowledge, this is the first report describing a substance-induced psychotic disorder following oral ingestion of 3-MeO-PCP, characterizing the clinical course over time, i.e., beyond the intoxication timeframe, and focusing on cognitive functioning with the support of a brain 18F-FDG PET/CT.
Following the repeated ingestion of small dosages of 3-MeO-PCP for almost a month and then a massive oral intake, the patient developed persistent psychotic symptoms and behavioral alterations and displayed poor performance on neuropsychological assessment. The impaired cognitive functioning was supported by a reduced uptake of 18F-FDG in some brain regions and was detectable one month after the beginning of 3-MeO-PCP consumption and about ten days after the consumption of a large amount.
3.1. Substance-Induced Psychosis: A Diagnostic Challenge
Substance-induced psychosis (SIP) has been generally depicted as a different variant of psychotic disorder, although the risk of progression to schizophrenia can be high and variable depending on the type of substance assumed [65]. The first mention of substances causing transient psychotic states that mimic positive and negative symptoms of schizophrenia dates to the 1960s, while the introduction of the term SIP with diagnostic criteria occurred in 1994 in the fourth edition of the DSM, remaining unchanged up to the latest versions of the manual [51]. A timeframe for the resolution of symptoms (from one to six months) is specified in both the DSM and the International Classification of Diseases [22,51,66]. However, diagnoses convert into primary psychotic disorders in up to 50% of cases, and growing evidence highlights a persistent syndrome following chronic use, which can endure over the identified timeframes and despite abstinence [65,67].
Differential diagnosis is challenging, considering estimates of 7–25% of misdiagnosis between first-episode psychosis and SIP. This raises the question of whether SIP could be considered a separate diagnostic entity, stable over time, and with distinct clinical and psychopathological features only partially recognized by the current classification systems [67]. Visual and kinesthetic hallucinations, persecutory and paranoid delusions (highly related to the abnormal perceptions and based on processes of confirmation and interpretation), depersonalization and derealization associated with affective symptoms, disorganized behaviors, motor hyperactivity (often resulting in aggressiveness), and sufficient (albeit fluctuating) levels of insight have been reported among the main characteristics of SIP [52,67,68,69].
Compared to schizophrenic patients, it has been noted that subjects with SIP display a higher age-at-onset and less frequent family history of psychosis, with higher rates of relatives with substance use [68,69]. The prognosis can vary according to the type of substance consumed, and young adults are considered most at risk of progression to a severe mental illness within two years from the onset of SIP [68]. Independently of the exact diagnosis or the pathophysiology, the comorbidity between substance use and severe mental illness is burdened by negative outcomes, including non-adherence, increased relapse, and more frequent hospitalizations [69], suggesting the need for timely and more effective therapeutic interventions.
3.2. NPS-Induced Psychosis: Focus on 3-MeO-PCP
It is noteworthy that the occurrence of drug-induced psychosis, besides the severity of use, is highly related to the pathogenetic mechanism (e.g., serotonergic, dopaminergic, glutamatergic) related to the pharmacodynamics of substances [52]. Although a primary mechanism of action can be generally identified, the frequent use of multiple substances and the fact that NPS exert their effects on several pathways can determine an overlap of symptoms and neurobiological underpinnings [67].
Since PCP animal models of psychosis were first proposed about 20 years ago, glutamatergic hypotheses have been increasingly accepted among the etiopathological underpinnings of schizophrenia and are primarily based on glutamate NMDA receptor antagonism [14]. However, there is evidence of actions other than NMDA and mGlu2/3 metabotropic receptor antagonism in the prefrontal cortex that might underlie psychotic symptoms [52,67].
As for the clinical consequences of substances primarily acting on glutamatergic pathways (e.g., 3-MeO-PCP and other PCP-like compounds), dissociation, bodily and kinesthetic hallucinations, near-death experiences, and detachment from the environment, along with somatic delusions, negative affective symptoms, irritability and, sometimes, aggressiveness, seem to be prominent [49,50].
Clinical features induced by 3-MeO-PCP described in this patient are in line with previous findings and are potentially sustained by the neural correlates highlighted at the brain 18F-FDG PET/CT. According to the disease model of addiction, SUD relies on the interplay of biological, psychological, and social factors, which can lead to long-lasting neuroadaptations in brain structure and functioning (e.g., in neurotransmission and blood flow) [70]. The application of neuroimaging techniques to the field has contributed to a better understanding of the impact of psychotropic substances both at the anatomical and physiological levels, highlighting the involvement of several regions and networks that are in charge of executive function, memory, reward, and stress response [71].
The effects of 3-MeO-PCP could be explained within previous evidence reporting the role of glutamatergic dysfunctions in corticostriatal networks in the development of addiction [72], as well as the relationship between drug-induced psychotic symptoms and alterations in multiple brain regions following the acute administration of NMDA receptor antagonists [73]. As for the deficits in specific brain areas identified at the brain scan, it should be noted that chronic use of PCP-like compounds is associated with a reduced gray matter volume in the bilateral frontal cortex [53] and, more recently, the involvement of additional brain regions, including the inferior temporal cortex, has been recognized as a distinct feature of subjects with SUD [71]. Regarding behavioral abnormalities, recent studies highlighted a long-lasting activation of the medial prefrontal cortex only after a systemic administration of PCP, suggesting that the induced locomotor activity and behavioral stereotypes might be mediated by inputs from regions outside the prefrontal cortex [74]. Therefore, a composite network should be more properly argued for the complex clinical presentation.
Besides the psychotic and behavioral manifestations that are frequently observed in SIP, little is known about the cognitive profile, and mixed results have been collected so far [52]. A recent systematic review reported that, similarly to schizophrenic patients, cognitive impairment is frequent in SIP with distinct deficits in attention, working memory, processing speed, executive functioning, social cognition, and worse global functioning than non-psychotic SUD patients, and outlined unique differences for the visual-based processing [65].
3.3. The Effects of 3-MeO-PCP on Cognitive Functioning and Brain Metabolism
Like other PCP-like compounds, some cognitive changes have been described among the acute and chronic consequences of 3-MeO-PCP ingestion [50]. Cognitive deficits, i.e., selectively reduced memory capacity, have been reported for two other NMDA receptor antagonists, PCP and methoxetamine, in animal models [75]. Further, alterations of neuropsychological tasks and an impaired brain metabolism in prefrontal cortex areas, as revealed by 18F-FDG PET/CT images, were reported in the case of a 23-year-old man with methoxetamine-induced psychotic disorder [53]. Unlike dopamine, NMDA receptors are widely distributed throughout the brain, including sensory and association cortices and subcortical areas, and it has been hypothesized that such a distribution pattern might affect higher-order cognitive dysfunctions as detected by behavioral, neurophysiological, and functional imaging studies in schizophrenia [13].
Here, poor neuropsychological performance was observed at baseline and one-week follow-up both during DSST and TMT execution, which cannot be attributed to any previous cognitive impairment of the patient given his young age, the absence of neurological diseases in his medical history, or the MMSE score > 26.
Scores on the DSST seem quite in line with average values (±standard deviations) reported by previous studies on psychiatric patients with different diagnoses, e.g., with depression (32.4 ± 15.8) and schizophrenia (38.18 ± 10.47), and remarkably compromised if compared to healthy controls (62.31 ± 11.92) [76,77]. Performance on the DSST represents the final common pathway for the expression of different types of impairment, and the integrity of several mental functions is required to perform well on the task, such as motor speed, attention, visual perception, associative learning, and working memory [57]. Moreover, the role of executive functioning has been demonstrated to contribute to the performance of DSST and to correlate with the activation of specific cerebral areas, such as the frontal lobes [78].
The execution of TMT involves several cognitive functions as well and depends on both prefrontal and non-frontal brain region activity, although there are some differences between the two parts of the task [79,80]. Indeed, it has been reported that TMT-A scores can be considered a measure of attention and speed that mainly relies on visual scanning and graphomotor and visuomotor processing speed, while working memory, inhibition control, or set-switching abilities seem to be more specifically implicated in TMT-B performance [79].
Executive functioning should be considered a multifaceted construct comprising several higher-order cognitive processes that ensure flexibility, self-regulation, strategic planning, and goal-directed actions [81]. Although the physiological substrates have been mostly ascribed to the frontal lobes, the involvement of a more widespread network, which extends beyond the frontal cortex and encompasses additional brain areas, has been argued [82]. A thorough, reciprocal interconnection between the nodes of the fronto-parietal network and with other association cortices and subcortical areas is necessary to access several high-level cognitive processes, and dysfunctions in some of these regions can be differentially detected by neuropsychological tests [81].
A previous analysis of resting brain metabolism and neuropsychological performance in schizophrenic patients showed similar cognitive deficits and highlighted that hypometabolism in the frontal lobes (i.e., superior, middle, and inferior frontal gyruses bilaterally) may be the substrate for a deficient performance on some tasks, specifically TMT part B [83]. Conversely, both animal and human studies on long-term exposure to PCP reveal metabolic hypofunction and deficits in the frontal lobes, which mimic the hypofrontality typically detected in schizophrenia [84].
Within this framework, it has been reported that distinct networks can underlie different cognitive abnormalities in SUD, and a differential association has been found between specific executive functions (such as inhibition and flexibility on one side, self-regulation, decision-making, and emotion processing on the other) and the regional metabolism in the prefrontal cortex, frontal gyrus, and temporoparietal regions [85]. Further, reduced impulse control has been noticed in relation to decreased metabolic rates in the frontal executive areas, as well as in alcoholic samples [86].
Thus, it could be hypothesized that 3-MeO-PCP consumption led to impaired patient performance on neuropsychological tasks (especially on baseline part B of TMT, with two mistakes) and that it might relate to the hypometabolism in bilateral frontal and temporal cortices detected at brain 18F-FDG PET/CT. As reported in this case history, a comprehensive assessment (combining laboratory exams, psychometric and neuropsychological tests, and functional neuroimaging techniques) might better support the investigation of complex clinical features and their underlying mechanisms, possibly unveiling new targets for prevention and intervention strategies, which are particularly needed in a constantly changing field like that of NPS. It has been recently shown that combining brain-wide positron emission tomography, transcriptomic data (e.g., receptor distribution), and computational neuroimaging methods can reproduce the effect of specific substances on the human brain [87]. Indeed, the integration of functional and molecular-level alterations might help identify markers of interindividual variability and pave the way for precision psychiatry approaches.
3.4. Limitations
There are some limitations that must be acknowledged and suggest caution in interpreting these findings, such as the lack of information about the exact blood concentration of 3-MeO-PCP, the concomitant assumption of drugs during the execution of 18F-FDG PET/CT, and the presence of previous multiple substance use in the patient’s history, which might prevent us from unambiguously attributing brain image findings to 3-MeO-PCP effects, as well as the missing longitudinal neuroimaging follow-up. Moreover, a specific NPS may cause different psychopathological effects according to the individual vulnerability [49]. High levels of comorbidity in subjects using substances and developing SIP can usually be detected [67], and the self-medication theory has been discussed for several NPS uses, including 3-MeO-PCP, mainly to overcome symptoms of ADHD, anxiety, and depression [10]. Indeed, also the patient from this case had reported the presence of anxious-depressive symptoms during adolescence and youth. Thus, present results might be poorly generalizable to wider and more representative samples.
However, considering the absence of a SUD diagnosis and the relatively recent detoxification program, the displayed symptomatology and the brain 18F-FDG PET/CT findings could be quite reliably ascribed to the compound. Therefore, this is the first report describing repeated oral ingestion of 3-MeO-PCP with subsequent occurrence and persistence of psychotic symptoms and highlighting the possibility of brain impairment, detectable both through neuropsychological tests and neuroimaging, in young, healthy subjects such as the 29-year-old man in this case. Therefore, the additional contribution to the field may be suggested by considering that, compared to previous reports of acute intoxication, in our study, the clinical picture was observed over a longer period, a multidimensional assessment was performed, and particular attention was paid to cognitive effects. Although cognitive impairment following acute and chronic intake of PCP-analogues has been mentioned in the literature, the administration of specific neuropsychological tasks and the 18F-FDG scan allowed us to describe the cognitive functions affected and the neurofunctional substrates involved more precisely.
4. Conclusions
The spread of NPS has been rapidly and progressively modifying the worldwide drug scene. The high rates of consumption among vulnerable populations, like adolescents, young adults, and psychiatric patients, the wide range of medical and psychopathological consequences, as well as the frequent acute intoxications and deaths, make NPS a challenge for public health [49]. The peculiar clinical features and the variety of neurobiological pathways involved require clinicians to constantly update not only about the range of NPS and their psychoactive effects but also about their toxicity and safety profile [50].
Further research about clinical phenomenology and underlying mechanisms is needed to identify better therapeutic approaches to manage both acute and long-term consequences of NPS intake, including the occurrence of substance-induced psychotic disorders [67]. In this view, our findings outline the need for carefully warning clinicians, psychiatric patients, and the general population about the risks of NPS use in relation to cognitive functioning.
More neuroimaging studies on NPS with longitudinal follow-up are certainly needed to assess whether their effects are limited to recreational consumption or imply more long-term consequences, especially on cognition, and if the latter should be considered independent from the development of psychotic symptoms/disorders. Although domain-specific dysfunctions could not be identified, phenotyping the cognitive profile of SIP might help tailor the therapeutic approach and, besides allowing a more precise differentiation from other psychotic disorders, provide targets for specific treatment strategies, such as cognitive remediation techniques that showed some effectiveness as adjunctive treatments in both SUD and schizophrenia [88,89]. Multidomain functional neuroimaging has been shown to be predictive of illness progression and outcomes in both neurological and psychiatric diseases [90,91], including SUD [92]. In this light, a multidisciplinary assessment (including more informative techniques like PET/CT scans) could provide clinicians with more accurate diagnostic tools and help develop more personalized prevention strategies and treatments based on a better understanding of neuroanatomy and neurobiology implied in substance use [71].
Author Contributions
M.P.: conceptualization, investigation, data curation, writing—original draft preparation, writing—review and editing, and visualization. M.D.N.: conceptualization, methodology, investigation, resources, writing—review and editing, and project administration. F.C.: resources, methodology, data curation, and writing—original draft preparation. S.C.: writing—review and editing and visualization. G.M.: resources and visualization. M.L.C.: resources and supervision. G.S.: supervision and project administration. All authors have read and agreed to the published version of the manuscript.
Funding
This research received no external funding.
Institutional Review Board Statement
This study was conducted according to the guidelines of the Declaration of Helsinki and approved by the Institutional Review Board of the Università Cattolica del Sacro Cuore, Rome, Italy, with protocol code 2122.
Informed Consent Statement
Written informed consent has been obtained from the patient to publish this paper.
Data Availability Statement
No new data were created or analyzed in this study. Data sharing is not applicable to this article.
Acknowledgments
The CePID is partly supported by an unrestricted grant from Fondazione Lottomatica.
Conflicts of Interest
The authors declare no conflicts of interest.
References
- United Nations Office on Drugs and Crime. UNODC, World Drug Report, 2013; United Nations Publication: New York, NY, USA, 2013. [Google Scholar]
- United Nations Office on Drugs and Crime. UNODC, World Drug Report 2023; United Nations Publication: New York, NY, USA, 2023. [Google Scholar]
- Pelletier, R.; Le Daré, B.; Grandin, L.; Couette, A.; Ferron, P.-J.; Morel, I.; Gicquel, T. New psychoactive substance cocktail in an intensive care intoxication case elucidated by molecular networking. Clin. Toxicol. 2022, 60, 122–125. [Google Scholar] [CrossRef] [PubMed]
- Lo Faro, A.F.; Berardinelli, D.; Cassano, T.; Dendramis, G.; Montanari, E.; Montana, A.; Berretta, P.; Zaami, S.; Busardò, F.P.; Huestis, M.A. New Psychoactive Substances Intoxications and Fatalities during the COVID-19 Epidemic. Biology 2023, 12, 273. [Google Scholar] [CrossRef] [PubMed]
- European Monitoring Centre for Drugs and Drug Addiction. European Drug Report 2023: Trends and Developments. 2023. Available online: https://www.emcdda.europa.eu/publications/european-drug-report/2023_en (accessed on 22 November 2023).
- Presidenza Consiglio dei Ministri, Dipartimento Politiche Antidroga. Relazione annuale al Parlamento sul Fenomeno Delle Tossicodipendenze in Italia Anno 2023 (Dati 2022). Available online: https://www.politicheantidroga.gov.it (accessed on 4 December 2023).
- Shafi, A.; Berry, A.J.; Sumnall, H.; Wood, D.M.; Tracy, D.K. New psychoactive substances: A review and updates. Ther. Adv. Psychopharmacol. 2020, 10, 2045125320967197. [Google Scholar] [CrossRef] [PubMed]
- Bertol, E.; Pascali, J.; Palumbo, D.; Catalani, V.; Di Milia, M.G.; Fioravanti, A.; Mari, F.; Vaiano, F. 3-MeO-PCP intoxication in two young men: First in vivo detection in Italy. Forensic Sci. Int. 2017, 274, 7–12. [Google Scholar] [CrossRef]
- Castro, A.L.; da Costa, M.J.C.S.P.; Tarelho, S.; Sousa, L.; Russo, F.; Franco, J.M. Intoxication by 3-MeO-PCP and O-desmethyltramadol: An unusual NPS mix. Int. J. Leg. Med. 2022, 136, 1297–1301. [Google Scholar] [CrossRef] [PubMed]
- Holborn, T.; Schifano, F.; Deluca, P. No prescription? No problem: A qualitative study investigating self-medication with novel psychoactive substances (NPS). Int. J. Drug Policy 2023, 118, 104109. [Google Scholar] [CrossRef] [PubMed]
- Tracy, D.K.; Wood, D.M.; Baumeister, D. Novel psychoactive substances: Types, mechanisms of action, and effects. BMJ. 2017, 356, i6848. [Google Scholar] [CrossRef] [PubMed]
- Pelletier, R.; Le Daré, B.; Le Bouëdec, D.; Kernalléguen, A.; Ferron, P.-J.; Morel, I.; Gicquel, T. Arylcyclohexylamine Derivatives: Pharmacokinetic, Pharmacodynamic, Clinical and Forensic Aspects. Int. J. Mol. Sci. 2022, 23, 15574. [Google Scholar] [CrossRef] [PubMed]
- Javitt, D.C.; Zukin, S.R.; Heresco-Levy, U.; Umbricht, D. Has an angel shown the way? Etiological and therapeutic implications of the PCP/NMDA model of schizophrenia. Schizophr. Bull. 2012, 38, 958–966. [Google Scholar] [CrossRef]
- Mouri, A.; Noda, Y.; Enomoto, T.; Nabeshima, T. Phencyclidine animal models of schizophrenia: Approaches from abnormality of glutamatergic neurotransmission and neurodevelopment. Neurochem. Int. 2007, 51, 173–184. [Google Scholar] [CrossRef]
- Morris, H.; Wallach, J. From PCP to MXE: A comprehensive review of the non-medical use of dissociative drugs. Drug Test. Anal. 2014, 6, 614–632. [Google Scholar] [CrossRef] [PubMed]
- Palamar, J.J.; Le, A.; Cleland, C.M.; Keyes, K.M. Trends in drug use among nightclub and festival attendees in New York City, 2017–2022. Int. J. Drug Policy 2023, 115, 104001. [Google Scholar] [CrossRef] [PubMed]
- Axelsson, M.A.B.; Lövgren, H.; Kronstrand, R.; Green, H.; Bergström, M.A. Retrospective identification of new psychoactive substances in patient samples submitted for clinical drug analysis. Basic Clin. Pharmacol. Toxicol. 2022, 131, 420–434. [Google Scholar] [CrossRef] [PubMed]
- Bates, M.L.S.; Trujillo, K.A. Use and abuse of dissociative and psychedelic drugs in adolescence. Pharmacol. Biochem. Behav. 2021, 203, 173129. [Google Scholar] [CrossRef] [PubMed]
- Bendau, A.; Viohl, L.; Petzold, M.B.; Helbig, J.; Reiche, S.; Marek, R.; Romanello, A.; Moon, D.U.; Gross, R.E.; Masah, D.J.; et al. No party, no drugs? Use of stimulants, dissociative drugs, and GHB/GBL during the early COVID-19 pandemic. Int. J. Drug Policy 2022, 102, 103582. [Google Scholar] [CrossRef] [PubMed]
- Geneste, P.; Kamenka, J.M.; Ung, S.N.; Herrmann, P.; Goudal, R.; Trouiller, G. Conformational determination of phencyclidine derivatives in view of structure-activity correlation. Eur. J. Med. Chem. 1979, 14–301. [Google Scholar]
- EMCDDA–Europol 2012 Annual Report on the Implementation of Council Decision 2005/387/JHA (New Drugs in Europe, 2012). Available online: https://www.emcdda.europa.eu/publications/implementation-reports/2012_en (accessed on 10 December 2023).
- Expert Committee on Drug Dependence. Critical Review Report: 3-Methoxyphencyclidine 3-MeO-PCP; World Health Organization: Vienna, Austria, 2020. [Google Scholar]
- Wallach, J.; Brandt, S.D. Phencyclidine-based new psychoactive substances. Handb. Exp. Pharmacol. 2018, 252, 261–303. [Google Scholar] [CrossRef] [PubMed]
- Roth, B.L.; Gibbons, S.; Arunotayanun, W.; Huang, X.P.; Setola, V.; Treble, R.; Iversen, L. The ketamine analogue methoxetamine and 3- and 4-methoxy analogues of phencyclidine are high affinity and selective ligands for the glutamate NMDA receptor. PLoS ONE 2013, 8, e59334. [Google Scholar] [CrossRef] [PubMed]
- Copeland, C.S.; Hudson, S.; Treble, R.; Hamnett, H.J. The First Fatal Intoxication with 3-MeO-PCP in the UK and a Review of the Literature. J. Anal. Toxicol. 2022, 46, 461–470. [Google Scholar] [CrossRef]
- Allard, S.; Allard, P.M.; Morel, I.; Gicquel, T. Application of a molecular networking approach for clinical and forensic toxicology exemplified in three cases involving 3-MeO-PCP, doxylamine, and chlormequat. Drug Test. Anal. 2019, 11, 669–677. [Google Scholar] [CrossRef]
- Johansson, A.; Lindstedt, D.; Roman, M.; Thelander, G.; Nielsen, E.I.; Lennborn, U.; Sandler, H.; Rubertsson, S.; Ahlner, J.; Kronstrand, R.; et al. A non-fatal intoxication and seven deaths involving the dissociative drug 3-MeO-PCP. Forensic Sci. Int. 2017, 275, 76–82. [Google Scholar] [CrossRef] [PubMed]
- Liao, Y.; Tang, J.; Ma, M.; Wu, Z.; Yang, M.; Wang, X.; Liu, T.; Chen, X.; Fletcher, P.C.; Hao, W. Frontal white matter abnormalities following chronic ketamine use: A diffusion tensor imaging study. Brain 2010, 133 Pt 7, 2115–2122. [Google Scholar] [CrossRef] [PubMed]
- Bäckberg, M.; Beck, O.; Helander, A. Phencyclidine analog use in Sweden—Intoxication cases involving 3-MeO-PCP and 4-MeO-PCP from the STRIDA project. Clin. Toxicol. 2015, 53, 856–864. [Google Scholar] [CrossRef] [PubMed]
- Berar, A.; Allain, J.S.; Allard, S.; Lefevre, C.; Baert, A.; Morel, I.; Bouvet, R.; Gicquel, T. Intoxication with 3-MeO-PCP alone: A case report and literature review. Medicine 2019, 98, e18295. [Google Scholar] [CrossRef] [PubMed]
- Zidkova, M.; Hlozek, T.; Balik, M.; Kopecky, O.; Tesinsky, P.; Svanda, J.; Balikova, M.A. Two Cases of Non-fatal Intoxication with a Novel Street Hallucinogen: 3-Methoxy-Phencyclidine. J. Anal. Toxicol. 2017, 41, 350–354. [Google Scholar] [CrossRef] [PubMed][Green Version]
- Frison, G.; Zancanaro, F.; Frasson, S.; Quadretti, L.; Agnati, M.; Vlassich, F.; Gagliardi, G.; Salerno, T.M.G.; Donato, P.; Mondello, L. Analytical Characterization of 3-MeO-PCP and 3-MMC in Seized Products and Biosamples: The Role of LC-HRAM-Orbitrap-MS and Solid Deposition GC-FTIR. Front Chem. 2021, 8, 618339. [Google Scholar] [CrossRef] [PubMed]
- Ameline, A.; Garnier, D.; Gheddar, L.; Richeval, C.; Gaulier, J.-M.; Raul, J.-S.; Kintz, P. Identification and analytical characterization of seven NPS, by combination of 1H NMR spectroscopy, GC-MS and UPLC-MS/MS®, to resolve a complex toxicological fatal case. Forensic Sci. Int. 2019, 298, 140–148. [Google Scholar] [CrossRef]
- Ameline, A.; Greney, H.; Monassier, L.; Raul, J.S.; Kintz, P. Metabolites to parent 3-MeO-PCP ratio in human urine collected in two fatal cases. J. Anal. Toxicol. 2019, 43, 321–324. [Google Scholar] [CrossRef] [PubMed]
- Arbouche, N.; Kintz, P.; Zagdoun, C.; Gheddar, L.; Raul, J.S.; Ameline, A. Determination of 3-MeO-PCP in human blood and urine in a fatal intoxication case, with a specific focus on metabolites identification. Forensic Sci. Res. 2021, 6, 208–214. [Google Scholar] [CrossRef]
- Bakota, E.; Arndt, C.; Romoser, A.A.; Wilson, S.K. Fatal Intoxication Involving 3-MeO-PCP: A Case Report and Validated Method. J. Anal. Toxicol. 2016, 40, 504–510. [Google Scholar] [CrossRef]
- Chang, B.N.; Smith, M.P. A Case of Unusual Drug Screening Results. Clin. Chem. 2017, 63, 958–961. [Google Scholar] [CrossRef] [PubMed]
- de Jong, L.A.A.; Olyslager, E.J.H.; Duijst, W.L.J.M. The risk of emerging new psychoactive substances: The first fatal 3-MeO-PCP intoxication in The Netherlands. J. Forensic Leg. Med. 2019, 65, 101–104. [Google Scholar] [CrossRef] [PubMed]
- Gomila, I.; Leciñena, M.Á.; Elorza, M.Á.; Pastor, Y.; Sahuquillo, L.; Servera, M.; Puiguriguer, J.; Barcelo, B. Detectability of Dissociative Psychoactive Substances in Urine by Five Commercial Phencyclidine Immunoassays. J. Anal. Toxicol. 2019, 43, 497–503. [Google Scholar] [CrossRef] [PubMed]
- Grossenbacher, F.; Cazaubon, Y.; Feliu, C.; Ameline, A.; Kintz, P.; Passouant, O.; Mourvillier, B.; Djerada, Z. About 5 cases with 3 Meo-PCP including 2 deaths and 3 non-fatal cases seen in France in 2018. Toxicol. Anal. Clin. 2019, 31, 332–336. [Google Scholar] [CrossRef]
- Helander, A.; Beck, O.; Bäckberg, M. Intoxications by the dissociative new psychoactive substances diphenidine and methoxphenidine. Clin. Toxicol. 2015, 53, 446–453. [Google Scholar] [CrossRef] [PubMed]
- Kintz, P.; Ameline, A.; Walch, A.; Farrugia, A.; Raul, J.S. Murdered while under the influence of 3-MeO-PCP. Int. J. Legal Med. 2019, 133, 475–478. [Google Scholar] [CrossRef] [PubMed]
- Krotulski, A.J.; Papsun, D.M.; Friscia, M.; Swartz, J.L.; Holsey, B.D.; Logan, B.K. Fatality Following Ingestion of Tetrahydrofuranylfentanyl, U-49900 and Methoxy-Phencyclidine. J. Anal. Toxicol. 2018, 42, e27–e32. [Google Scholar] [CrossRef] [PubMed]
- Leciñena, M.A.; Moreno, E.; Sahuquillo, L.; Ferrando, J.P.; Yates, C.; Gomila, I.; Elorza, M.A.; Martin, B.B. Analytically confirmed use of 3-methoxy-phencyclidine (3-MeO-PCP) in acute non-fatal polysubstance poisonings in Ibiza. In Proceedings of the 39th international Congress of the European Association of Poisons Centres and Clinical Toxicologists (EAPCCT), Naples, Italy, 21–24 May 2019; p. 432. [Google Scholar]
- Mitchell-Mata, C.; Thomas, B.; Peterson, B.; Couper, F. Two Fatal Intoxications Involving 3-Methoxyphencyclidine. J. Anal. Toxicol. 2017, 41, 503–507. [Google Scholar] [CrossRef] [PubMed]
- Stevenson, R.; Tuddenham, L. Novel psychoactive substance intoxication resulting in attempted murder. J. Forensic Leg. Med. 2014, 25, 60–61. [Google Scholar] [CrossRef]
- Thornton, S.; Lisbon, D.; Lin, T.; Gerona, R. Beyond Ketamine and Phencyclidine: Analytically Confirmed Use of Multiple Novel Arylcyclohexylamines. J. Psychoact. Drugs 2017, 49, 289–293. [Google Scholar] [CrossRef]
- van den Bersselaar, L.R.; van der Hoeven, J.G.; de Jong, B. Feeling death, being alive: 4-methylethcathinone/pentedrone addiction and 3-methoxyphencyclidine intoxication. Addict. Disord. Their Treatment 2021, 20, 69–73. [Google Scholar] [CrossRef]
- Orsolini, L.; Chiappini, S.; Papanti, D.; De Berardis, D.; Corkery, J.M.; Schifano, F. The Bridge between Classical and “Synthetic”/Chemical Psychoses: Towards a Clinical, Psychopathological, and Therapeutic Perspective. Front. Psychiatry 2019, 10, 851. [Google Scholar] [CrossRef] [PubMed]
- Schifano, F.; Napoletano, F.; Chiappini, S.; Guirguis, A.; Corkery, J.M.; Bonaccorso, S.; Ricciardi, A.; Scherbaum, N.; Vento, A. New/emerging psychoactive substances and associated psychopathological consequences. Psychol. Med. 2021, 51, 30–42. [Google Scholar] [CrossRef] [PubMed]
- American Psychiatric Association. Diagnostic and Statistical Manual of Mental Disorders, 5th ed.; American Psychiatric Association: Washington, DC, USA, 2022. [Google Scholar] [CrossRef]
- Fiorentini, A.; Cantù, F.; Crisanti, C.; Cereda, G.; Oldani, L.; Brambilla, P. Substance-Induced Psychoses: An Updated Literature Review. Front. Psychiatry 2021, 12, 694863. [Google Scholar] [CrossRef] [PubMed]
- Moccia, L.; Tofani, A.; Mazza, M.; Covino, M.; Martinotti, G.; Schifano, F.; Janiri, L.; Di Nicola, M. Dorsolateral Prefrontal Cortex Impairment in Methoxetamine-Induced Psychosis: An 18F-FDG PET/CT Case Study. J. Psychoact. Drugs 2019, 51, 254–259. [Google Scholar] [CrossRef] [PubMed]
- Morosini, P.L.; Casacchia, M. Traduzione italiana della Brief Psychiatric Rating Scale, versione 4.0 ampliata (BPRS 4.0). Riv. Di Riabil. Psichiatr. E Psicosoc. 1995, III, 199–228. [Google Scholar]
- Guy, W. (Ed.) ECDEU Assessment Manual for Psychopharmacology; US Department of Health, Education, and Welfare Public Health Service Alcohol, Drug Abuse, and Mental Health Administration: Rockville, MD, USA, 1976.
- Prunas, A.; Sarno, I.; Preti, E.; Madeddu, F.; Perugini, M. Psychometric properties of the Italian version of the SCL-90-R: A study on a large community sample. Eur. Psychiatry 2012, 27, 591–597. [Google Scholar] [CrossRef]
- Jaeger, J. Digit Symbol Substitution Test: The Case for Sensitivity Over Specificity in Neuropsychological Testing. J. Clin. Psychopharmacol. 2018, 38, 513–519. [Google Scholar] [CrossRef] [PubMed]
- Tombaugh, T.N. Trail Making Test A and B: Normative data stratified by age and education. Arch. Clin. Neuropsychol. 2004, 19, 203–214. [Google Scholar] [CrossRef]
- Strauss, E.; Sherman, E.M.S.; Spreen, O. A Compendium of Neuropsychological Tests: Administration, Norms, and Commentary; Oxford University Press: New York, NY, USA, 2006; Volume 14, pp. 62–63. [Google Scholar]
- Newman, A.B.; Visser, M.; Kritchevsky, S.B.; Simonsick, E.; Cawthon, P.M.; Harris, T.B. The Health, Aging, and Body Composition (Health ABC) Study-Ground-Breaking Science for 25 Years and Counting. J. Gerontol. A Biol. Sci. Med. Sci. 2023, 78, 2024–2034. [Google Scholar] [CrossRef]
- Lezak, M.D. Neuropsychological Assessment, 3rd ed.; Oxford University Press: New York, NY, USA, 1995. [Google Scholar]
- Foderaro, G.; Isella, V.; Mazzone, A.; Biglia, E.; Di Gangi, M.; Pasotti, F.; Sansotera, F.; Grobberio, M.; Raimondi, V.; Mapelli, C.; et al. Brand new norms for a good old test: Northern Italy normative study of MiniMental State Examination. Neurol. Sci. 2022, 43, 3053–3063. [Google Scholar] [CrossRef] [PubMed]
- Leucht, S.; Kane, J.M.; Kissling, W.; Hamann, J.; Etschel, E.; Engel, R. Clinical implications of Brief Psychiatric Rating Scale scores. Br. J. Psychiatry 2005, 187, 366–371. [Google Scholar] [CrossRef] [PubMed]
- Leucht, S.; Kane, J.M.; Etschel, E.; Kissling, W.; Hamann, J.; Engel, R.R. Linking the PANSS, BPRS, and CGI: Clinical implications. Neuropsychopharmacology 2006, 31, 2318–2325. [Google Scholar] [CrossRef] [PubMed]
- Gicas, K.M.; Parmar, P.K.; Fabiano, G.F.; Mashhadi, F. Substance-induced psychosis and cognitive functioning: A systematic review. Psychiatry Res. 2022, 308, 114361. [Google Scholar] [CrossRef] [PubMed]
- International Classification of Diseases Eleventh Revision (ICD-11); World Health Organization: Geneva, Switzerland, 2022.
- Martinotti, G.; De Risio, L.; Vannini, C.; Schifano, F.; Pettorruso, M.; Di Giannantonio, M. Substance-related exogenous psychosis: A postmodern syndrome. CNS Spectr. 2021, 26, 84–91. [Google Scholar] [CrossRef] [PubMed]
- Beckmann, D.; Lowman, K.L.; Nargiso, J.; McKowen, J.; Watt, L.; Yule, A.M. Substance-induced Psychosis in Youth. Child Adolesc. Psychiatr. Clin. N. Am. 2020, 29, 131–143. [Google Scholar] [CrossRef] [PubMed]
- Wilson, L.; Szigeti, A.; Kearney, A.; Clarke, M. Clinical characteristics of primary psychotic disorders with concurrent substance abuse and substance-induced psychotic disorders: A systematic review. Schizophr. Res. 2018, 197, 78–86. [Google Scholar] [CrossRef] [PubMed]
- Volkow, N.D.; Koob, G.F.; McLellan, A.T.; Longo, D.L. Neurobiologic advances from the brain disease model of addiction. N. Engl. J. Med. 2016, 374, 363–371. [Google Scholar] [CrossRef] [PubMed]
- Murnane, K.S.; Edinoff, A.N.; Cornett, E.M.; Kaye, A.D. Updated Perspectives on the Neurobiology of Substance Use Disorders Using Neuroimaging. Subst. Abuse Rehabil. 2023, 14, 99–111. [Google Scholar] [CrossRef]
- Terbeck, S.; Akkus, F.; Chesterman, L.P.; Hasler, G. The role of metabotropic glutamate receptor 5 in the pathogenesis of mood disorders and addiction: Combining preclinical evidence with human Positron Emission Tomography (PET) studies. Front. Neurosci. 2015, 9, 86. [Google Scholar] [CrossRef]
- Abdallah, C.G.; De Feyter, H.M.; Averill, L.A.; Jiang, L.; Averill, C.L.; Chowdhury, G.M.I.; Purohit, P.; de Graaf, R.A.; Esterlis, I.; Juchem, C.; et al. The effects of ketamine on prefrontal glutamate neurotransmission in healthy and depressed subjects. Neuropsychopharmacology 2018, 43, 2154–2160. [Google Scholar] [CrossRef] [PubMed]
- Jodo, E. The role of the hippocampo-prefrontal cortex system in phencyclidine-induced psychosis: A model for schizophrenia. J. Physiol. Paris 2013, 107, 434–440. [Google Scholar] [CrossRef] [PubMed]
- Mathews, M.J.; Mead, R.N.; Galizio, M. Effects of N-Methyl-D-aspartate (NMDA) antagonists ketamine, methoxetamine, and phencyclidine on the odor span test of working memory in rats. Exp. Clin. Psychopharmacol. 2018, 26, 6–17. [Google Scholar] [CrossRef] [PubMed]
- De Filippis, S.; Pugliese, A.; Christensen, M.C.; Rosso, G.; Di Nicola, M.; Simonsen, K.; Ren, H. Effectiveness of Vortioxetine in Patients with Major Depressive Disorder in Real-World Clinical Practice in Italy: Results from the RELIEVE Study. Neuropsychiatr. Dis. Treat. 2022, 18, 1665–1677. [Google Scholar] [CrossRef] [PubMed]
- Yang, Y.; Li, X.; Cui, Y.; Liu, K.; Qu, H.; Lu, Y.; Li, W.; Zhang, L.; Zhang, Y.; Song, J.; et al. Reduced Gray Matter Volume in Orbitofrontal Cortex Across Schizophrenia, Major Depressive Disorder, and Bipolar Disorder: A Comparative Imaging Study. Front. Neurosci. 2022, 16, 919272. [Google Scholar] [CrossRef] [PubMed]
- Thornton, K.E.; Carmody, D.P. Symbol Digit and the Quantitative EEG. J. Neurother. 2012, 16, 210–222. [Google Scholar] [CrossRef]
- Llinàs-Reglà, J.; Vilalta-Franch, J.; López-Pousa, S.; Calvó-Perxas, L.; Torrents Rodas, D.; Garre-Olmo, J. The Trail Making Test. Assessment 2017, 24, 183–196. [Google Scholar] [CrossRef] [PubMed]
- Pepe, M.; Bartolucci, G.; Marcelli, I.; Simonetti, A.; Camardese, G.; Di Nicola, M.; Sani, G. Reduction in Cognitive Symptoms Following Intranasal Esketamine Administration in Patients with Chronic Treatment-resistant Depression: A 12-Week Case Series. J. Psychiatr. Pract. 2023, 29, 325–332. [Google Scholar] [CrossRef] [PubMed]
- Barbey, A.K.; Colom, R.; Solomon, J.; Krueger, F.; Forbes, C.; Grafman, J. An integrative architecture for general intelligence and executive function revealed by lesion mapping. Brain 2012, 135 Pt 4, 1154–1164. [Google Scholar] [CrossRef]
- Munro, B.A.; Weyandt, L.L.; Hall, L.E.; Oster, D.R.; Gudmundsdottir, B.G.; Kuhar, B.G. Physiological substrates of executive functioning: A systematic review of the literature. Atten. Defic Hyperact. Disord. 2018, 10, 1–20. [Google Scholar] [CrossRef]
- Horacek, J.; Dockery, C.; Kopecek, M.; Spaniel, F.; Novak, T.; Tislerova, B.; Klirova, M.; Palenicek, T.; Höschl, C. Regional brain metabolism as the predictor of performance on the Trail Making Test in schizophrenia. A 18FDG PET covariation study. Neuroendocrinol. Lett. 2006, 27, 587–594. [Google Scholar] [PubMed]
- Reynolds, L.M.; Cochran, S.M.; Morris, B.J.; Pratt, J.A.; Reynolds, G.P. Chronic phencyclidine administration induces schizophrenia-like changes in N-acetylaspartate and N-acetylaspartylglutamate in rat brain. Schizophr. Res. 2005, 73, 147–152. [Google Scholar] [CrossRef] [PubMed]
- Moreno-López, L.; Stamatakis, E.A.; Fernández-Serrano, M.J.; Gómez-Río, M.; Rodríguez-Fernández, A.; Pérez-García, M.; Verdejo-García, A. Neural correlates of hot and cold executive functions in polysubstance addiction: Association between neuropsychological performance and resting brain metabolism as measured by positron emission tomography. Psychiatry Res. 2012, 203, 214–221. [Google Scholar] [CrossRef] [PubMed]
- Bralet, M.C.; Mitelman, S.A.; Goodman, C.R.; Lincoln, S.; Hazlett, E.A.; Buchsbaum, M.S. Fluorodeoxyglucose positron emission tomography scans in patients with alcohol use disorder. Alcohol. Clin. Exp. Res. 2022, 46, 994–1010. [Google Scholar] [CrossRef] [PubMed]
- Moujaes, F.; Preller, K.H.; Ji, J.L.; Murray, J.D.; Berkovitch, L.; Vollenweider, F.X.; Anticevic, A. Toward Mapping Neurobehavioral Heterogeneity of Psychedelic Neurobiology in Humans. Biol. Psychiatry 2023, 93, 1061–1070. [Google Scholar] [CrossRef] [PubMed]
- Nardo, T.; Batchelor, J.; Berry, J.; Francis, H.; Jafar, D.; Borchard, T. Cognitive Remediation as an Adjunct Treatment for Substance Use Disorders: A Systematic Review. Neuropsychol. Rev. 2022, 32, 161–191. [Google Scholar] [CrossRef] [PubMed]
- Vita, A.; Barlati, S.; Ceraso, A.; Ariu, C.; Deste, G.; Wykes, T. Effectiveness, Core Elements, and Moderators of Response of Cognitive Remediation for Schizophrenia: A Systematic Review and Meta-analysis of Randomized Clinical Trials. JAMA Psychiatry 2021, 78, 848–858. [Google Scholar] [CrossRef]
- Fowler, C.; Rainey-Smith, S.R.; Bird, S.; Bomke, J.; Bourgeat, P.; Brown, B.M.; Burnham, S.C.; Bush, A.I.; Chadunow, C.; Collins, S.; et al. Fifteen Years of the Australian Imaging, Biomarkers and Lifestyle (AIBL) Study: Progress and Observations from 2,359 Older Adults Spanning the Spectrum from Cognitive Normality to Alzheimer’s Disease. J. Alzheimers Dis. Rep. 2021, 5, 443–468. [Google Scholar] [CrossRef]
- Ostrosky, F.; Decety, J.; Lozano, A.; Lujan, A.; Perez, M.; Munguia, A.; Castañeda, D.; Diaz, K.; Lara, R.; Sacristan, E.; et al. Can psychopathy be prevented? Clinical, neuroimaging, and genetic data: An exploratory study. Child Neuropsychol. 2023, 10, 1–21. [Google Scholar] [CrossRef]
- Hillmer, A.T.; Mason, G.F.; Fucito, L.M.; O’Malley, S.S.; Cosgrove, K.P. How Imaging Glutamate, γ-Aminobutyric Acid, and Dopamine Can Inform the Clinical Treatment of Alcohol Dependence and Withdrawal. Alcohol. Clin. Exp. Res. 2015, 39, 2268–2282. [Google Scholar] [CrossRef]
Disclaimer/Publisher’s Note: The statements, opinions and data contained in all publications are solely those of the individual author(s) and contributor(s) and not of MDPI and/or the editor(s). MDPI and/or the editor(s) disclaim responsibility for any injury to people or property resulting from any ideas, methods, instructions or products referred to in the content. |
© 2024 by the authors. Licensee MDPI, Basel, Switzerland. This article is an open access article distributed under the terms and conditions of the Creative Commons Attribution (CC BY) license (https://creativecommons.org/licenses/by/4.0/).



