Forefoot Deformities in Patients with Rheumatoid Arthritis: Mid- to Long-Term Result of Joint-Preserving Surgery in Comparison with Resection Arthroplasty
Abstract
:1. Introduction
2. Patients and Methods
2.1. Patients and Surgical Procedures
2.2. Analyses
2.3. Statistical Analysis
2.4. Surgical Procedure
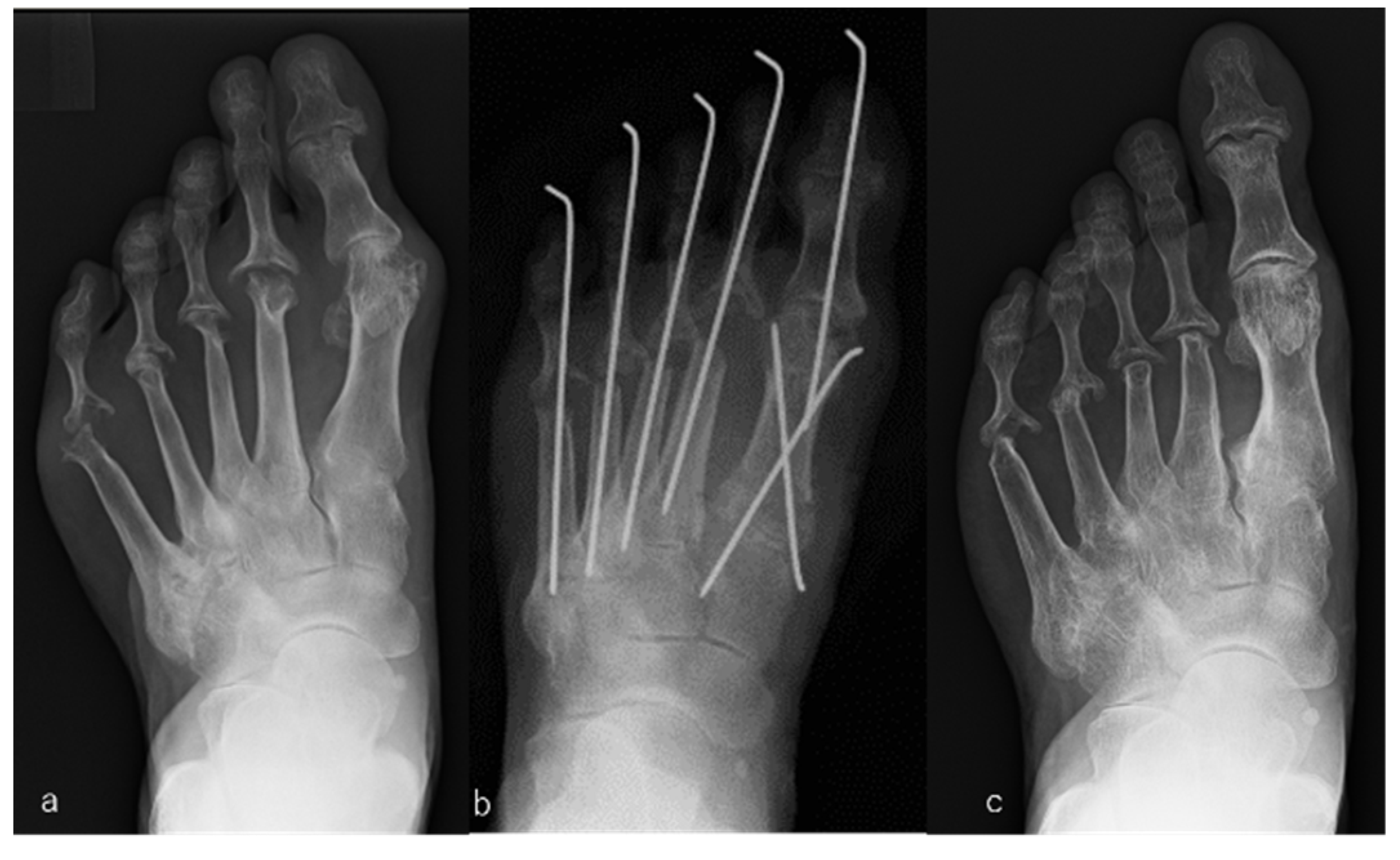
2.4.1. MTP Joint-Preserving Surgery with the Modified Mann Method for the Big Toe and Offset Osteotomy for Lesser Toes
2.4.2. MTP Joint-Preserving Surgery Involving the Modified Mann Method for the Big Toe and Resection Arthroplasty for Lesser Toes
2.4.3. Resection Arthroplasty for the Big and Lesser Toes
2.5. Postoperative Protocol
3. Results
3.1. JSSF Scores
3.2. Radiographic Measurements
3.3. Complications of Surgery
4. Discussion
5. Conclusions
Author Contributions
Funding
Institutional Review Board Statement
Informed Consent Statement
Data Availability Statement
Conflicts of Interest
References
- Coughlin, M.J. Rheumatoid forefoot reconstruction. A long-term follow-up study. J. Bone Joint Surg. Am. 2000, 82, 322–341. [Google Scholar] [CrossRef]
- Vainio, K. The rheumatoid foot: A clinical study with pathologic and roentgenological comments. Ann. Chir. Gynaecol. 1956, 45, 1–107. [Google Scholar]
- Mulcahy, D.; Daniels, T.R.; Lau, J.T.; Boyle, E.; Bogoch, E. Rheumatoid forefoot deformity: A comparison study of 2 functional methods of reconstruction. J. Rheumatol. 2003, 30, 1440–1450. [Google Scholar]
- Farrow, S.J.; Kingsley, G.H.; Scott, D.L. Interventions for foot disease in rheumatoid arthritis: A systematic review. Arthritis Rheum. 2005, 53, 593–602. [Google Scholar] [CrossRef]
- Yano, K.; Ikari, K.; Tobimatsu, H.; Okazaki, K. Patient-reported and radiographic outcomes of joint-preserving surgery for rheumatoid forefoot deformities: A retrospective case series with mean follow-up of 6 years. J. Bone Joint Surg. Am. 2021, 103, 506–516. [Google Scholar] [CrossRef] [PubMed]
- Takakubo, Y.; Takagi, M.; Tamaki, Y.; Sasaki, A.; Nakano, H.; Orui, H.; Ogino, T. Mid-term results of joint-preserving procedures by a modified Mann method for big toe deformities in rheumatoid patients undergoing forefoot surgeries. Mod. Rheumatol. 2010, 20, 147–153. [Google Scholar] [CrossRef] [PubMed]
- Niki, H.; Hirano, T.; Okada, H.; Beppu, M. Combination joint-preserving surgery for forefoot deformity in patients with rheumatoid arthritis. J. Bone Joint Surg. Br. 2010, 92, 380–386. [Google Scholar] [CrossRef] [PubMed] [Green Version]
- Yamanaka, H.; Tanaka, E.; Nakajima, A.; Furuya, T.; Ikari, K.; Taniguchi, A.; Inoue, E.; Harigai, M. A large observational cohort study of rheumatoid arthritis, IORRA: Providing context for today’s treatment options. Mod. Rheumatol. 2020, 30, 1–6. [Google Scholar] [CrossRef] [Green Version]
- Poddubnyy, D. Precision medicine in rheumatology: Are we getting closer? Lancet 2021, 397, 258–259. [Google Scholar] [CrossRef]
- Barouk, L.S.; Barouk, P. Joint-preserving surgery in rheumatoid forefoot: Preliminary study with more-than-two-year follow-up. Foot Ankle Clin. 2007, 12, 435–454. [Google Scholar] [CrossRef]
- Bhavikatti, M.; Sewell, M.D.; Al-Hadithy, N.; Awan, S.; Bawarish, M.A. Joint preserving surgery for rheumatoid forefoot deformities improves pain and corrects deformity at midterm follow-up. Foot (Edinb) 2012, 22, 81–84. [Google Scholar] [CrossRef]
- Kushioka, J.; Hirao, M.; Tsuboi, H.; Ebina, K.; Noguchi, T.; Nampei, A.; Tsuji, S.; Akita, S.; Hashimoto, J.; Yoshikawa, H. Modified scarf osteotomy with medial capsule interposition for hallux valgus in rheumatoid arthritis: A study of cases including severe first metatarsophalangeal joint destruction. J. Bone Joint Surg. Am. 2018, 100, 765–776. [Google Scholar] [CrossRef]
- Nagashima, M.; Kato, K.; Miyamoto, Y.; Takenouchi, K. A modified Hohmann method for hallux valgus and telescoping osteotomy for lesser toe deformities in patients with rheumatoid arthritis. Clin. Rheumatol. 2007, 26, 748–752. [Google Scholar] [CrossRef] [PubMed]
- Niki, H.; Hirano, T.; Akiyama, Y.; Mitsui, H.; Fujiya, H. Long-term outcome of joint-preserving surgery by combination metatarsal osteotomies for shortening for forefoot deformity in patients with rheumatoid arthritis. Mod. Rheumatol. 2015, 25, 683–688. [Google Scholar] [CrossRef] [PubMed]
- Yano, K.; Ikari, K.; Iwamoto, T.; Saito, A.; Naito, Y.; Kawakami, K.; Suzuki, T.; Imamura, H.; Sakuma, Y.; Hiroshima, R.; et al. Proximal rotational closing-wedge osteotomy of the first metatarsal in rheumatoid arthritis: Clinical and radiographic evaluation of a continuous series of 35 cases. Mod. Rheumatol. 2013, 23, 953–958. [Google Scholar] [CrossRef]
- Hirao, M.; Ebina, K.; Tsuboi, H.; Nampei, A.; Kushioka, J.; Noguchi, T.; Tsuji, S.; Owaki, H.; Hashimoto, J.; Yoshikawa, H. Outcomes of modified metatarsal shortening offset osteotomy for forefoot deformity in patients with rheumatoid arthritis: Short to mid-term follow-up. Mod. Rheumatol. 2017, 27, 981–989. [Google Scholar] [CrossRef]
- Hanyu, T.; Yamazaki, H.; Murasawa, A.; Tohyama, C. Arthroplasty for rheumatoid forefoot deformities by a shortening oblique osteotomy. Clin. Orthop. Relat. Res. 1997, 338, 131–138. [Google Scholar] [CrossRef]
- Nagy, G.; Roodenrijs, N.M.T.; Welsing, P.M.; Kedves, M.; Hamar, A.; van der Goes, M.C.; Kent, A.; Bakkers, M.; Blaas, E.; Senolt, L.; et al. EULAR definition of difficult-to-treat rheumatoid arthritis. Ann. Rheum. Dis. 2021, 80, 31–35. [Google Scholar] [CrossRef]
- Ramos-Petersen, L.; Nester, C.J.; Reinoso-Cobo, A.; Nieto-Gil, P.; Ortega-Avila, A.B.; Gijon-Nogueron, G. A Systematic Review to Identify the Effects of Biologics in the Feet of Patients with Rheumatoid Arthritis. Medicina (Kaunas) 2020, 57, 23. [Google Scholar] [CrossRef] [PubMed]
- Felson, D.T.; Anderson, J.J.; Boers, M.; Bombardier, C.; Furst, D.; Goldsmith, C.; Katz, L.M.; Lightfoot, R., Jr.; Paulus, H.; Strand, V. American College of Rheumatology. Preliminary definition of improvement in rheumatoid arthritis. Arthritis Rheum. 1995, 38, 727–735. [Google Scholar] [CrossRef]
- Aletaha, D.; Neogi, T.; Silman, A.J.; Funovits, J.; Felson, D.T.; Bingham, C.O., 3rd; Birnbaum, N.S.; Burmester, G.R.; Bykerk, V.P.; Cohen, M.D.; et al. 2010 rheumatoid arthritis classification criteria: An American College of Rheumatology/European League Against Rheumatism collaborative initiative. Ann. Rheum. Dis. 2010, 69, 1580–1588. [Google Scholar] [CrossRef]
- Niki, H.; Tatsunami, S.; Haraguchi, N.; Aoki, T.; Okuda, R.; Suda, Y.; Takao, M.; Tanaka, Y. Validity and reliability of a self-administered foot evaluation questionnaire (SAFE-Q). J. Orthop. Sci. 2013, 18, 298–320. [Google Scholar] [CrossRef] [Green Version]
- Helal, B.; Greiss, M. Telescoping osteotomy for pressure metatarsalgia. J. Bone Joint Surg. Br. 1984, 66, 213–217. [Google Scholar] [CrossRef]
- Fukushi, J.; Nakashima, Y.; Okazaki, K.; Yamada, H.; Mawatari, T.; Ohishi, M.; Oyamada, A.; Akasaki, Y.; Iwamoto, Y. Outcome of joint-preserving arthroplasty for rheumatoid forefoot deformities. Foot Ankle Int. 2016, 37, 262–268. [Google Scholar] [CrossRef]
- Hulse, N.; Thomas, A.M. Metatarsal head resection in the rheumatoid foot: 5-year follow-up with and without resection of the first metatarsal head. J. Foot Ankle Surg. 2006, 45, 107–112. [Google Scholar] [CrossRef]
- Okuda, R.; Kinoshita, M.; Yasuda, T.; Jotoku, T.; Kitano, N.; Shima, H. Postoperative incomplete reduction of the sesamoids as a risk factor for recurrence of hallux valgus. J. Bone Joint Surg. Am. 2009, 91, 1637–1645. [Google Scholar] [CrossRef]
- Yano, K.; Ikari, K.; Takatsuki, Y.; Taniguchi, A.; Yamanaka, H.; Momohara, S. Longer operative time is the risk for delayed wound healing after forefoot surgery in patients with rheumatoid arthritis. Mod. Rheumatol. 2016, 26, 211–215. [Google Scholar] [CrossRef] [PubMed]
- Hirao, M.; Tsuboi, H.; Tazaki, N.; Kushimoto, K.; Ebina, K.; Yoshikawa, H.; Hashimoto, J. Effects of range of motion exercise of the metatarsophalangeal joint from 2-weeks after joint-preserving rheumatoid forefoot surgery. Mod. Rheumatol. 2020, 30, 305–312. [Google Scholar] [CrossRef] [PubMed]
- Ebina, K.; Hirao, M.; Hashimoto, J.; Nampei, A.; Shi, K.; Tomita, T.; Futai, K.; Kunugiza, Y.; Noguchi, T.; Yoshikawa, H. Comparison of a self-administered foot evaluation questionnaire (SAFE-Q) between joint-preserving arthroplasty and resection-replacement arthroplasty in forefoot surgery for patients with rheumatoid arthritis. Mod. Rheumatol. 2017, 27, 795–800. [Google Scholar] [CrossRef] [PubMed]



| Characteristic | PP Group | PR Group | RR Group | |
|---|---|---|---|---|
| No. of feet/cases | 31/22 | 15/9 | 16/11 | |
| Age (years) | Mean | 55 | 60 | 66 |
| Range | (35–71) | (51–76) | (42–74) | |
| Male/female | 0/22 | 1/8 | 1/10 | |
| Duration of RA | Mean | 12.1 | 16 | 11 |
| Range | 5–18 | 4–24 | 6–2 | |
| Steinbrocker stage | III (n = 15), IV (n = 7) | III (n = 4), IV (n = 5) | III (n = 5), IV (n = 6) | |
| Steinbrocker class | 2 (n = 14), 3 (n = 8) | 2 (n = 6), 3 (n = 3) | 2 (n = 7), 3 (n = 4) | |
| DAS28-CRP | Mean | 3.8 | 3.6 | 3.9 |
| Range | 1.9–5.2 | 2.6–5.2 | 3.7–5.0 | |
| CRP level | Mean | 1.5 | 1.3 | 3.3 |
| Range | 0.1–5.3 | 0.1–4.5 | 0.1–4.3 | |
| No. of patients receiving biologic treatment, n (%) | 5 | 3 | 2 | |
| (22.7) | (33.3) | (18.2) | ||
| No. of patients receiving MTX, n (%) | 13 | 6 | 4 | |
| (59.1) | (66.7) | (36.4) | ||
| Mean dose of MTX | 6 mg/week | 5 mg/week | 3 mg/week | |
| No. of patients receiving PSL, n (%) | 4 | 3 | 5 | |
| (18.2) | (33.3) | (45.5) | ||
| Mean dose of PSL, | 2 mg/day | 2 mg/day | 4 mg/day | |
| Duration of follow-up (years) | Mean | 8.4 | 7.2 | 9 |
| Range | 3–13 | 3–15 | 6–12 | |
| Group | Before Surgery | After Surgery | Latest Follow-Up | |
|---|---|---|---|---|
| PP | Mean | 45 | 86 | 79 * |
| Range | 21–55 | 72–98 | 61–98 | |
| PR | Mean | 37 | 80 | 74 |
| Range | 21–57 | 63–94 | 59–90 | |
| RR | Mean | 36 | 75 | 69 |
| Range | 23–45 | 68–83 | 61–81 | |
| Group | Before Surgery | After Surgery | Latest Follow-Up | Recurrence of Hallux Valgus (>20°) at the Latest Follow-Up | |
|---|---|---|---|---|---|
| PP | Mean | 41.4 | 12.1 | 21.6 | n = 10/31 (32%) |
| Range | 17–67 | 9–25 | 4–60 | ||
| PR | Mean | 38.3 | 9.9 | 20.1 | n = 9/15 (60%) |
| Range | 21–63 | 0–12 | 9–49 | ||
| RR | Mean | 46.3 | 15.0 | 27.9 | n = 16/16 (100%) |
| Range | 30–67 | 4–26 | 22–40 | ||
| Group | Before Surgery | After Surgery | Latest Follow-Up | |
|---|---|---|---|---|
| PP | Mean | 14.6 | 9.2 | 9.6 * |
| Range | 8–21 | 1–16 | 1–16 | |
| PR | Mean | 15.5 | 11.8 | 12.0 |
| Range | 9–20 | 6–18 | 1–22 | |
| RR | Mean | 15.7 | 12.0 | 17.6 |
| Range | 12–22 | 6–20 | 6–27 | |
| Group | Before Surgery | After Surgery | Latest Follow-Up | |
|---|---|---|---|---|
| PP | Mean | 32.4 | 25.0 | 26.6 * |
| Range | 25–45 | 15–33 | 19–37 | |
| PR | Mean | 33.8 | 24.9 | 26.6 * |
| Range | 18–48 | 15–31 | 18–40 | |
| RR | Mean | 35.6 | 26.6 | 33.5 |
| Range | 26–44 | 20–38 | 25–40 | |
Publisher’s Note: MDPI stays neutral with regard to jurisdictional claims in published maps and institutional affiliations. |
© 2021 by the authors. Licensee MDPI, Basel, Switzerland. This article is an open access article distributed under the terms and conditions of the Creative Commons Attribution (CC BY) license (https://creativecommons.org/licenses/by/4.0/).
Share and Cite
Takakubo, Y.; Wanezaki, Y.; Oki, H.; Naganuma, Y.; Shibuya, J.; Honma, R.; Suzuki, A.; Satake, H.; Takagi, M. Forefoot Deformities in Patients with Rheumatoid Arthritis: Mid- to Long-Term Result of Joint-Preserving Surgery in Comparison with Resection Arthroplasty. Int. J. Environ. Res. Public Health 2021, 18, 11257. https://doi.org/10.3390/ijerph182111257
Takakubo Y, Wanezaki Y, Oki H, Naganuma Y, Shibuya J, Honma R, Suzuki A, Satake H, Takagi M. Forefoot Deformities in Patients with Rheumatoid Arthritis: Mid- to Long-Term Result of Joint-Preserving Surgery in Comparison with Resection Arthroplasty. International Journal of Environmental Research and Public Health. 2021; 18(21):11257. https://doi.org/10.3390/ijerph182111257
Chicago/Turabian StyleTakakubo, Yuya, Yoshihiro Wanezaki, Hiroharu Oki, Yasushi Naganuma, Junichiro Shibuya, Ryusuke Honma, Akemi Suzuki, Hiroshi Satake, and Michiaki Takagi. 2021. "Forefoot Deformities in Patients with Rheumatoid Arthritis: Mid- to Long-Term Result of Joint-Preserving Surgery in Comparison with Resection Arthroplasty" International Journal of Environmental Research and Public Health 18, no. 21: 11257. https://doi.org/10.3390/ijerph182111257
APA StyleTakakubo, Y., Wanezaki, Y., Oki, H., Naganuma, Y., Shibuya, J., Honma, R., Suzuki, A., Satake, H., & Takagi, M. (2021). Forefoot Deformities in Patients with Rheumatoid Arthritis: Mid- to Long-Term Result of Joint-Preserving Surgery in Comparison with Resection Arthroplasty. International Journal of Environmental Research and Public Health, 18(21), 11257. https://doi.org/10.3390/ijerph182111257

