Mandibular Torus as a New Index of Success for Mandibular Advancement Devices
Abstract
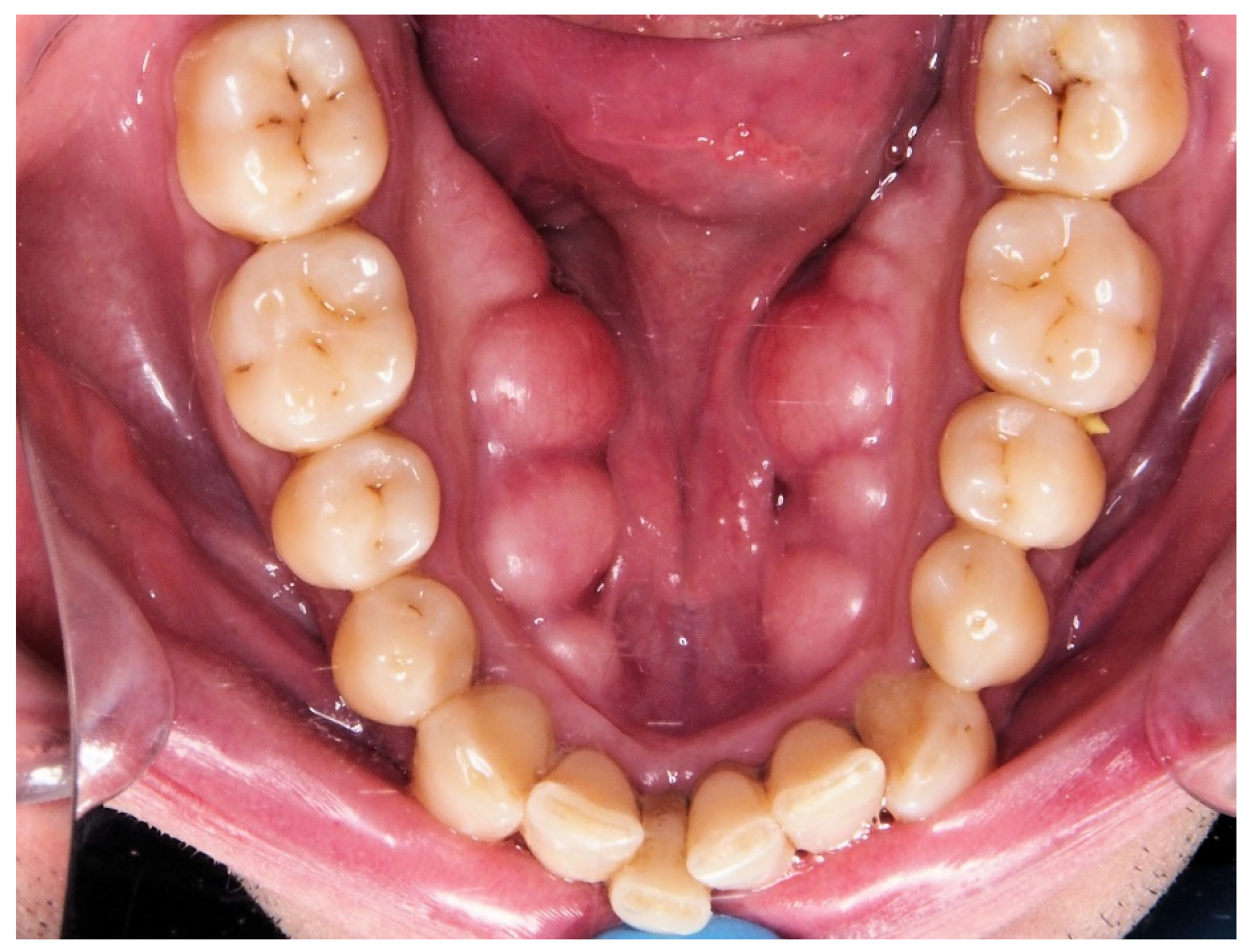
1. Introduction
2. Material and Methods
- A diagnosis of mild-to-moderate OSA (Apnoea–Hypopnoea index (AHI) ≥ 15 and <30) with relevant symptomatology such as presence of snoring, witnessed apnoea, excessive daytime sleepiness, and asthenia not explained by other causes.
- A diagnosis of severe OSA (AHI ≥ 30) with CPAP rejected as the first therapeutic option.
- Patients with OSA undergoing CPAP treatment with a lack of adherence and/or intolerance or refusal of therapy.
2.1. Defining MAD Effectiveness
2.2. Statistical Analysis
3. Results
4. Discussion
5. Conclusions
Author Contributions
Funding
Institutional Review Board Statement
Informed Consent Statement
Conflicts of Interest
References
- Sullivan, C.E.; Issa, F.G.; Berthon-Jones, M.; Eves, L. Reversal of obstructive sleep apnoea by continuous positive airway pressure applied through the nares. Lancet 1981, 1, 862–865. [Google Scholar] [CrossRef]
- Marklund, M.; Verbraecken, J.; Randerath, W. Non-CPAP therapies in obstructive sleep apnoea: Mandibular advancement device therapy. Eur. Respir. J. 2012, 39, 1241–1247. [Google Scholar] [CrossRef] [PubMed]
- Cobo, J.; Canut, J.A.; Carlos, F.; Vijande, M.; Llamas, J.M. Changes in the upper airway of patients who wear a modified functional appliance to treat obstructive sleep apnea. Int. J. Adult Orthodon. Orthognath. Surg. 1995, 10, 53–57. [Google Scholar] [PubMed]
- Ryan, C.F.; Love, L.L.; Peat, D.; Fleetham, J.A.; Lowe, A.A. Mandibular advancement oral appliance therapy for obstructive sleep apnoea: Effect on awake calibre of the velopharynx. Thorax 1999, 54, 972–977. [Google Scholar] [CrossRef] [PubMed]
- Okuno, K.; Pliska, B.T.; Hamoda, M.; Lowe, A.A.; Almeida, F.R. Prediction of oral appliance treatment outcomes in obstructive sleep apnea: A systematic review. Sleep Med. Rev. 2016, 30, 25–33. [Google Scholar] [CrossRef] [PubMed]
- Guarda-Nardini, L.; Manfredini, D.; Mion, M.; Heir, G.; Marchese-Ragona, R. Anatomically Based Outcome Predictors of Treatment for Obstructive Sleep Apnea with Intraoral Splint Devices: A Systematic Review of Cephalometric Studies. J. Clin. Sleep Med. 2015, 11, 1327–1334. [Google Scholar] [CrossRef]
- Seah, Y.H. Torus palatinus and torus mandibularis: A review of the literature. Aust. Dent. J. 1995, 40, 318–321. [Google Scholar] [CrossRef]
- Haugen, L.K. Palatine and mandibular torus. A morphologic study in the current Norwegian population. Acta Odontol. Scand. 1992, 50, 65–77. [Google Scholar] [CrossRef]
- Eggen, S.; Natvig, B. Variation in torus mandibularis prevalence in Norway. A statistical analysis using logistic regression. Community Dent. Oral Epidemiol. 1991, 19, 32–35. [Google Scholar] [CrossRef]
- Palm, E.; Franklin, K.A.; Marklund, M. Mandibular torus size is related to obstructive sleep apnea and treatment success with an oral appliance. Sleep Breath. 2014, 18, 431–438. [Google Scholar] [CrossRef]
- Hosmer, D.W.; Lemeshow, S. Variable Selection. Applied Logistic Regression, 2nd ed.; Hosmer, D.W., Lemeshow, S., Eds.; Willey: New York, NY, USA, 2000; pp. 92–116. [Google Scholar]
- American Academy of Sleep Medicine. The international Classification of Sleep Disorders, 3rd ed.; Westcherter AAoSM: Darien, IL, USA, 2014. [Google Scholar]
- Nakano, H.; Mishima, K.; Matsushita, A.; Suga, H.; Matsumura, M.; Mano, T.; Fukuda, T.; Hara, H.; Yamashita, H.; Ueyama, Y. Efficacy of the Silensor for treating obstructive sleep apnea syndrome. Oral Maxillofac. Surg. 2013, 17, 105–108. [Google Scholar] [CrossRef] [PubMed]
- Kushida, C.A.; Morgenthaler, T.I.; Littner, M.R.; Alessi, C.A.; Bailey, D.; Coleman, J.; Friedman, L.; Hirshkowitz, M.; Kapen, S.; Kramer, M.; et al. Practice parameters for the treatment of snoring and Obstructive Sleep Apnea with oral appliances: An update for 2005. Sleep 2006, 29, 240–243. [Google Scholar] [CrossRef] [PubMed]
- Camañes-Gonzalvo, S.; Bellot-Arcís, C.; Marco-Pitarch, R.; Montiel-Company, J.M.; García-Selva, M.; Agustín-Panadero, R.; Paredes-Gallardo, V.; Puertas-Cuesta, F.J. Comparison of the phenotypic characteristics between responders and non-responders to obstructive sleep apnea treatment using mandibular advancement devices in adult patients: Systematic review and meta-analysis. Sleep Med. Rev. 2022, 64, 10164. [Google Scholar] [CrossRef]
- Menard, S. Applied Logistic Regression Analisis, 2nd ed.; Sage University Papers Series on quantitave Applications in social Sciens, 07-103; Sage: Thousands Oaks, CA, USA, 2020; pp. 75–78. [Google Scholar]
- Randerath, W.; Verbraecken, J.; de Raaff, C.A.L.; Hedner, J.; Herkenrath, S.; Hohenhorst, W.; Jakob, T.; Marrone, O.; Marklund, M.; McNicholas, W.T.; et al. European Respiratory Society guideline on non-CPAP therapies for obstructive sleep apnoea. Eur. Respir. Rev. 2021, 30, 210200. [Google Scholar] [CrossRef] [PubMed]
- Hoffstein, V. Review of oral appliances for treatment of sleep-disordered breathing. Sleep Breath. 2007, 11, 1–22. [Google Scholar] [CrossRef]
- Gotsopoulos, H.; Chen, C.; Qian, J.; Cistulli, P.A. Oral appliance therapy improves symptoms in obstructive sleep apnea: A randomized, controlled trial. Am. J. Respir. Crit. Care Med. 2002, 166, 743–748. [Google Scholar] [CrossRef]
- Tsuiki, S.; Ito, E.; Isono, S.; Ryan, C.F.; Komada, Y.; Matsuura, M.; Inoue, Y. Oropharyngeal crowding and obesity as predictors of oral appliance treatment response to moderate obstructive sleep apnea. Chest 2013, 144, 558–563. [Google Scholar] [CrossRef]
- Camañes-Gonzalvo, S.; Marco-Pitarch, R.; Plaza-Espín, A.; Puertas-Cuesta, J.; Agustín-Panadero, R.; Fons-Font, A.; Fons-Badal, C.; García-Selva, M. Correlation between Polysomnographic Parameters and Tridimensional Changes in the Upper Airway of Obstructive Sleep Apnea Patients Treated with Mandibular Advancement Devices. J. Clin. Med. 2021, 10, 5255. [Google Scholar] [CrossRef]
- Walker-Engström, M.L.; Ringqvist, I.; Vestling, O.; Wilhelmsson, B.; Tegelberg, A. A prospective randomized study comparing two different degrees of mandibular advancement with a dental appliance in treatment of severe obstructive sleep apnea. Sleep Breath. 2003, 7, 119–130. [Google Scholar] [CrossRef]
- Petri, N.; Svanholt, P.; Solow, B.; Wildschiodtz, G.; Winkel, P. Mandibular advancement appliance for obstructive sleep apnoea: Results of a randomised placebo controlled trial using parallel group design. J. Sleep Res. 2008, 17, 221–229. [Google Scholar] [CrossRef]
- Vanderveken, O.M.; Devolder, A.; Marklund, M.; Boudewyns, A.N.; Braem, M.J.; Okkerse, W.; Verbraecken, J.A.; Franklin, K.A.; De Backer, W.A.; de Heyning, P.H.V. Comparison of a custom-made and a thermoplastic oral appliance for the treatment of mild sleep apnea. Am. J. Respir. Crit. Care Med. 2008, 178, 197–202. [Google Scholar] [CrossRef] [PubMed]
- Marklund, M.; Stenlund, H.; Franklin, K.A. Mandibular advancement devices in 630 men and women with obstructive sleep apnea and snoring: Tolerability and predictors of treatment success. Chest 2004, 125, 1270–1278. [Google Scholar] [CrossRef] [PubMed]
- Lettieri, C.J.; Paolino, N.; Eliasson, A.H.; Shah, A.A.; Holley, A.B. Comparison of adjustable and fixed oral appliances for the treatment of obstructive sleep apnea. J. Clin. Sleep Med. 2011, 7, 439–445. [Google Scholar] [CrossRef] [PubMed]
- Metha, A.; Qian, J.; Petocz, P.; Darendeliler, M.A.; Cistulli, P.A. A randomized, controlled study of a mandibular advancement splint for obstructive sleep apnea. Am. J. Respir. Crit. Care Med. 2001, 163, 1457–1461. [Google Scholar]
- Tan, Y.K.; L’Estrange, P.R.; Luo, Y.M.; Smith, C.; Grant, H.R.; Simonds, A.K.; Spiro, S.G.; Battagel, J.M. Mandibular advancement splints and continuous positive airway pressure in patients with obstructive sleep apnoea: A randomized cross-over trial. Eur. J. Orthod. 2002, 24, 239–249. [Google Scholar] [CrossRef] [PubMed]
- Segù, M.; Cosi, A.; Santagostini, A.; Scribante, A. Efficacy of a trial oral appliance in OSAS management: A new protocol to recognize responder/nonresponder patients. Int. J. Dent. 2021, 2021, 8811700. [Google Scholar] [CrossRef]
- Ramon, M.A.; Sampol, G.; Anitua, E.; Cobo, J.; de Carlos, F.; González, M. Guía española de práctica clínica sobre la utilización de dispositivos de avance mandibular (DAM) en el tratamiento de pacientes adultos con síndrome de apneas-hipopneas del sueño. Guía Práctica Clínica Sist. Nac. Salud 2017. Available online: ses.org.es/wp-content/uploads/2016/12/SES_Guia-Espanola-de-pratica-clinica_17-04-2017.pdf (accessed on 26 October 2022).
- Cunha, T.C.A.; Guimaraes, T.M.; Schultz, T.C.B.; Almeida, F.R.; Cunha, T.M.; Simamoto, P.C.J.; Bittencourt, L.R.A. Predictors of success for mandibular repositioning appliance in obstructive sleep apnea syndrome. Braz. Oral Res. 2017, 31, e37. [Google Scholar] [CrossRef]
- Choi, Y.; Park, H.; Lee, J.-S.; Park, J.-C.; Kim, C.-S.; Choi, S.-H.; Cho, K.-S.; Chai, J.-K.; Jung, U.-W. Prevalence and anatomic topography of mandibular torus: Computed tomographic analysis. J. Oral Maxillofac. Surg. 2012, 70, 1286–1291. [Google Scholar] [CrossRef]
- Ruangsri, S.; Puasiri, S.; Ruangsri, S.; Jorns, T.P.; Luecha, T.; Chaithap, C.; Sawanyawisuth, K. Which oropharyngeal factors are significant risk factors for Obstructive sleep apnea? Nat. Sci. Sleep 2016, 8, 215–219. [Google Scholar]
- Leite, F.R.M.N.G.; Scheutz, F.; Lopez, R. Effect of smoking on periodontitis: A systematic review and meta-regression. Am. J. Prev. Med. 2018, 54, 831–841. [Google Scholar] [CrossRef] [PubMed]
- Baldini, N.; Gagnadoux, F.; Trzepizur, W.; Meslier, N.; Dugas, J.; Gerves-Pinquie, C.; Chouet-Girard, F.; Kün-Darbois, J.-D. Long-term dentoskeletal side effects of mandibular advancement therapy in patients with obstructive sleep apnea: Data from the Pays de la Loire sleep cohort. Clin. Oral Investig. 2022, 26, 863–874. [Google Scholar] [CrossRef] [PubMed]





| 1. SNA | Horizontal Upper Jaw Relationship. |
| 2. SNB | Horizontal mandibular relationship. |
| 3. Midface length | Condilion Point-A. Midface length. |
| 4. Gn-CV4 IP. | Distance from the Gation (Gn) to the most inferior tip of the C4. |
| 5. OCC | Occlusal plane (OCC) to the S-N plane. Angle formed by the occlusal plane to the sella-nasion plane. Vertical maxillomandibular relationship. |
| 6. MPSN | Angle formed by the mandibular plane and the S-N line. |
| 7. Overbite | Distance between the superior and inferior incisal edges measured perpendicularly to the occlusal plane. |
| 8. Overjet | Distance between the upper and lower incisal edges measured in the occlusal plane. |
| 9. Hfaceant | Anterior face height (Na-Me). |
| 10. Hfacepost | Posterior Face Height (S-Go). |
| 11. MPH | HYOID MP PERP Perpendicular to the mandibular plane (PMD) passing through the H point. Distance of the hyoid bone from the lower jaw. |
| 12. HRGn | Hyoid to C3-Retrognathion Line joining point H with point (Retrognation) RGn. Anatomically, this corresponds to the floor of the mouth. |
| 13. C3H | H-C3 Line joining point H with point C3. |
| 14. TGL | Tongue Length (mm). Length of the tongue. |
| 15. TGH | Dorsum of tongue. Maximum height of the dorsum of the tongue. |
| 16. PNSP | PNS to P (see Figure 1). Length of the soft palate. |
| 17. MPT | Maximum soft palate thickness. |
| 18. SPAS | Superior airway space. Measurement (mm) of the airway between the soft palate and the posterior pharyngeal wall along a line parallel to the Go-B plane, passing through the most posterior and superior point of the soft palate. |
| 19. MAS | Middle airway space. Measurement (mm) of the airway between the anterior wall and the posterior pharyngeal wall along a line parallel to the Go-B plane, passing through point P. |
| 20. IAS | Inferior airway space. Measurement (mm) of the airway located between the anterior wall and the posterior pharyngeal wall along the Go-B line. |
| 21. VAL | (PNS-Eb) Oropharyngeal length. |
| (a) | |||
|---|---|---|---|
| Variable | |||
| Age Mean (SD) | 46.3 (9.1) | ||
| Sex Nº (%) | |||
| Men | 92 (89.3%) | ||
| Women | 11 (10.7%) | ||
| Current smoker Nº (%) | 33 (32%) | ||
| BMI Mean (SD) | 28.6 (3.6) | ||
| Epworth Mean (SD) | 11.1 (4.8) | ||
| AHI pre-MAD Mean (SD) | 31.4 (16.2) | ||
| AHI post-MAD Mean (SD) | 11.3 (9.2) | ||
| Torus. Nº (%) | 34 (33%) | ||
| (b) | |||
| Variable | Torus | No Torus | p |
| Age Mean (SD) a | 45.15 (8.5) | 46.6 (9.5) | 0.396 |
| Sex. Nº (%) b | 0.802 | ||
| Men | 30 (88.2%) | 62 (89.9%) | |
| Women | 4 (11.8%) | 7 (10.1%) | |
| Current smoker Nº (%) b | 9 (26.5%) | 24 (34.8%) | 0.395 |
| BMI WHO classification Nº(%) b | 0.176 | ||
| <25 | 5 (16.1%) | 6 (9.4%) | |
| 25–29.9 | 20 (64.5%) | 34 (53.1%) | |
| ≥30–34.9 | 6 (19.4%) | 24 (37.5%) | |
| Epworth Mean (SD) a | 10.6 (5.2) | 11.4 (4.7) | 0.462 |
| Supine Nº (%) b mean (SD) | 18 (54.5%) | 29 (45.3%) | 0.389 |
| ODI pre-MAD Mean (SD) a | 22.1 (16.6) (16.7) | 26.6 (18.9) | 0.231 |
| AHI pre-MAD Mean (SD) a mean (SD) | 28.2 (13.1) | 32.5 (16.9) | 0.250 |
| Torus | No Torus | |||||
|---|---|---|---|---|---|---|
| Pre-MAD Mean (SD) | Post-MAD Mean (SD) | p | Pre-MAD Mean (SD) | Post-MAD Mean (SD) | p | |
| AHI | 28.7 (13.4) | 7.1 (6.2) | <0.001 | 33.6 (17.4) | 13.6 (9.9) | <0.001 |
| ODI | 22.1 (17.5) | 7.2 (7.6) | <0.001 | 27.9 (19.5) | 11.7 (9.7) | <0.001 |
| CT90% | 6.5 (9.3) | 2.1 (3.7) | 0.024 | 8.5 (14.6) | 5.8 (12.3) | 0.228 |
| Mean Sat% | 94.0 (1.6) | 94.0 (1.6) | 0.312 | 92.1 (9.7) | 93.8 (1.6) | 0.148 |
| % 95%Confidence Interval | ||
|---|---|---|
| Effective (AHI < 10 with decrease of more than 50% from baseline) | 58.3 | 48.2–67.9 |
| Partially effective (AHI ≥ 10 with a decrease of more than 50% from baseline) | 12.6 | 6.8–20.6 |
| Not effective (AHI decrease lower than 50% from baseline, regardless of the current AHI) | 29.1 | 20.6–38.9 |
| OR | CI | p | |
|---|---|---|---|
| Age (years) | 0.97 | 0.930–1.015 | 0.196 |
| Female sex | 0.88 | 0.251–3.103 | 0.846 |
| SNA | 0.98 | 0.855–1.085 | 0.837 |
| SNB | 1.02 | 0.882–1.112 | 0.302 |
| Midface length | 0.98 | 0.924–1.045 | 0.628 |
| Gn-CV4 infP | 0.83 | 0.963–1.028 | 0.997 |
| OCC | 0.94 | 0.887–1.053 | 0.194 |
| MPSN | 0.98 | 0.934–1.064 | 0.585 |
| Overbite | 1.06 | 0.844–1.291 | 0.583 |
| Overjet | 0.84 | 0.637–1.110 | 0.217 |
| Hfaceant | 1.01 | 0.978–1.062 | 0.543 |
| Hfacepost | 1.03 | 0.973–1.087 | 0.319 |
| C3H | 0.95 | 0.902–1.054 | 0.729 |
| TGL | 0.99 | 0.979–1.082 | 0.339 |
| TGH | 1.05 | 0.970–1.101 | 0.375 |
| PNSP | 1.04 | 0.942–1.119 | 0.358 |
| MPT | 1.07 | 0.814–1.296 | 0.503 |
| SPAS | 1.01 | 0.894–1.128 | 0.892 |
| MAS | 0.95 | 0.864–1.128 | 0.738 |
| IAS | 0.99 | 0.889–1.205 | 0.543 |
| VAL | 1.01 | 0.966–1.069 | 0.812 |
| BMI | 0.91 | 0.814–1.024 | 0.112 |
| Supine-dependent respiratory events | 1.50 | 0.666–3.394 | 0.327 |
| Smoking history | 0.49 | 0.213–1.140 | 0.098 |
| Neck circumference | 0.92 | 0.794–1.083 | 0.343 |
| Torus | 3.54 | 1.409–8.919 | 0.007 |
| OR | 95% CI | p | |
|---|---|---|---|
| Age | 0.97 | 0.924–1.017 | 0.209 |
| Sex | 1.39 | 0.332-5.821 | 0.653 |
| BMI | 0.93 | 0.818- 0.933 | 0.296 |
| OCC | 0.97 | 0.884–0.969 | 0.506 |
| Overjet | 0.84 | 0.628–1.128 | 0.248 |
| Current smoker | 0.55 | 0.222–1.366 | 0.198 |
| Torus | 2.85 | 1.075–7.577 | 0.035 |
| No Torus | Torus | ||||
|---|---|---|---|---|---|
| Variable | Median | P25–P75 | Median | P25–P75 | p * |
| SNA | 81.1 | 78.5–82.7 | 81.8 | 79.5–83.8 | 0.345 |
| SNB | 77.9 | 75.9–79.8 | 78.9 | 75.7–80.7 | 0.502 |
| midface length | 82.8 | 78.8–88.0 | 82.0 | 79.1–86.0 | 0.680 |
| Gn-CV4 infP | 101.6 | 96.3–106,3 | 102.2 | 93.8–108.2 | 0.683 |
| OCC | 17.6 | 14.2–19.7 | 14.7 | 11.6–19.8 | 0.317 |
| MPSN | 35.5 | 30.0–39.6 | 33.0 | 30.2–37.7 | 0.277 |
| Overbite | 1.5 | 0.4–2.7 | 2.1 | 1.1–3.3 | 0.175 |
| Overjet | 3.8 | 3.0–4.7 | 3.5 | 2.9–4.6 | 0.671 |
| Alfaciala | 124.6 | 116.4–131.2 | 120.4 | 114.7–124.3 | 0.164 |
| Alfacialpost | 82.6 | 77.4–85.9 | 82.6 | 76.4–87.4 | 0.721 |
| C3H | 40.2 | 36.4–43.1 | 37.5 | 36.2–40.4 | 0.055 |
| TGL | 81.6 | 76.6–84.9 | 80.3 | 74.9–84.9 | 0.411 |
| TGH | 29.5 | 25.9–32.6 | 27.9 | 25.5–31.4 | 0.228 |
| PNSP | 38.3 | 35.4–41.3 | 38.4 | 34.3–40.7 | 0.972 |
| MPT | 10.7 | 9.6–12.0 | 10.2 | 9.5–11.5 | 0.409 |
| SPAS | 9.2 | 7.2–12.0 | 9.0 | 6.8–11.2 | 0.818 |
| MAS | 12.5 | 10.0–14.4 | 11.6 | 9.4–13.0 | 0.150 |
| IAS | 10.5 | 9.2–12.7 | 10.0 | 7.8–13.6 | 0.492 |
| VAL | 75.0 | 68.6–81.5 | 74.7 | 71.0–78.2 | 0.662 |
Publisher’s Note: MDPI stays neutral with regard to jurisdictional claims in published maps and institutional affiliations. |
© 2022 by the authors. Licensee MDPI, Basel, Switzerland. This article is an open access article distributed under the terms and conditions of the Creative Commons Attribution (CC BY) license (https://creativecommons.org/licenses/by/4.0/).
Share and Cite
Diaz de Teran, T.; Muñoz, P.; de Carlos, F.; Macias, E.; Cabello, M.; Cantalejo, O.; Banfi, P.; Nicolini, A.; Solidoro, P.; Gonzalez, M. Mandibular Torus as a New Index of Success for Mandibular Advancement Devices. Int. J. Environ. Res. Public Health 2022, 19, 14154. https://doi.org/10.3390/ijerph192114154
Diaz de Teran T, Muñoz P, de Carlos F, Macias E, Cabello M, Cantalejo O, Banfi P, Nicolini A, Solidoro P, Gonzalez M. Mandibular Torus as a New Index of Success for Mandibular Advancement Devices. International Journal of Environmental Research and Public Health. 2022; 19(21):14154. https://doi.org/10.3390/ijerph192114154
Chicago/Turabian StyleDiaz de Teran, Teresa, Pedro Muñoz, Felix de Carlos, Emilio Macias, Marta Cabello, Olga Cantalejo, Paolo Banfi, Antonello Nicolini, Paolo Solidoro, and Monica Gonzalez. 2022. "Mandibular Torus as a New Index of Success for Mandibular Advancement Devices" International Journal of Environmental Research and Public Health 19, no. 21: 14154. https://doi.org/10.3390/ijerph192114154
APA StyleDiaz de Teran, T., Muñoz, P., de Carlos, F., Macias, E., Cabello, M., Cantalejo, O., Banfi, P., Nicolini, A., Solidoro, P., & Gonzalez, M. (2022). Mandibular Torus as a New Index of Success for Mandibular Advancement Devices. International Journal of Environmental Research and Public Health, 19(21), 14154. https://doi.org/10.3390/ijerph192114154

