Tumor-Bowel Fistula as a Rare Form of Recurrent Ovarian Cancer—Imaging and Treatment: Preliminary Report
Abstract
1. Introduction
2. Methods
2.1. Imaging Technique
2.1.1. CT Protocol
2.1.2. MRI Protocol
2.2. Treatment Protocol
3. Results
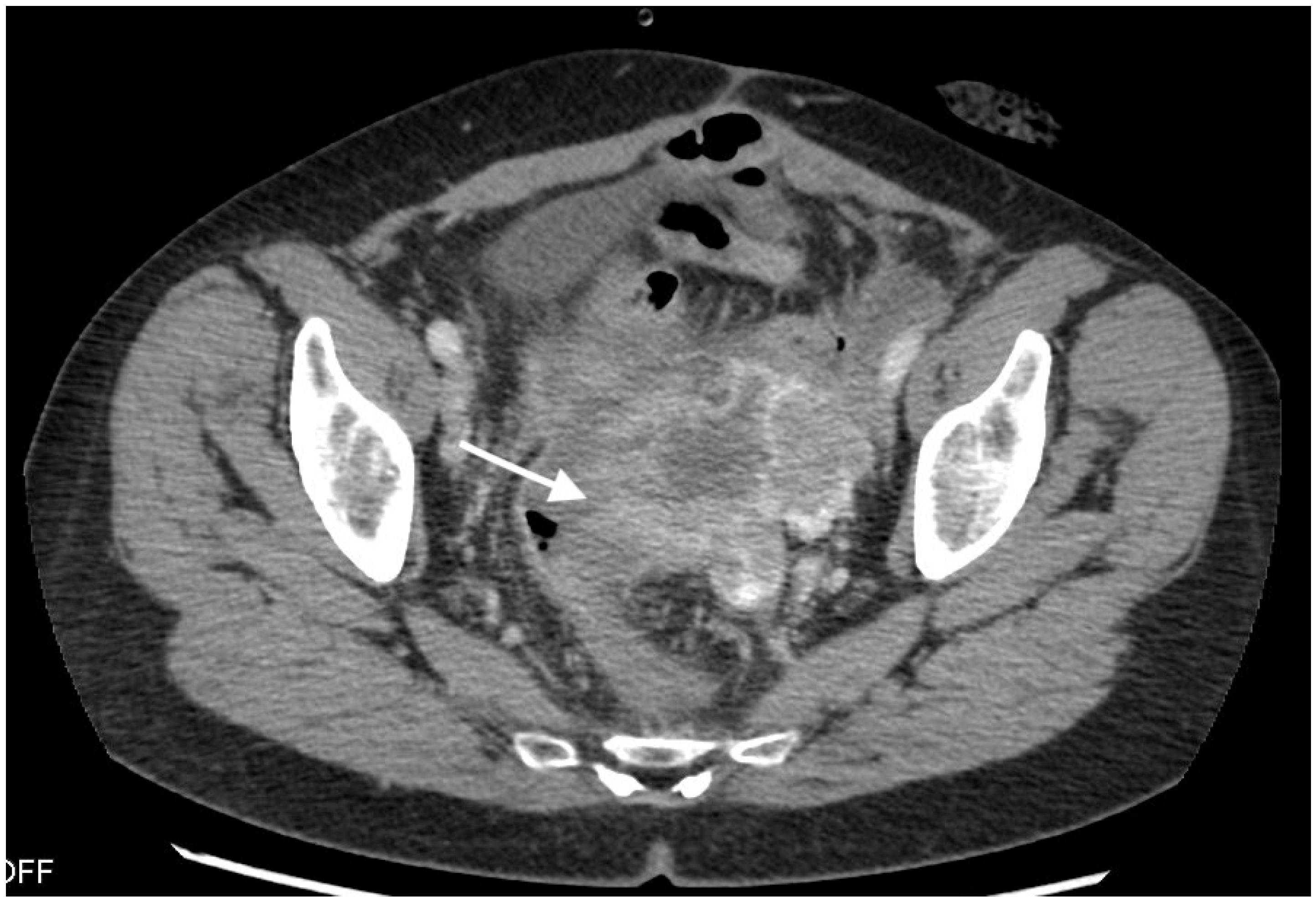
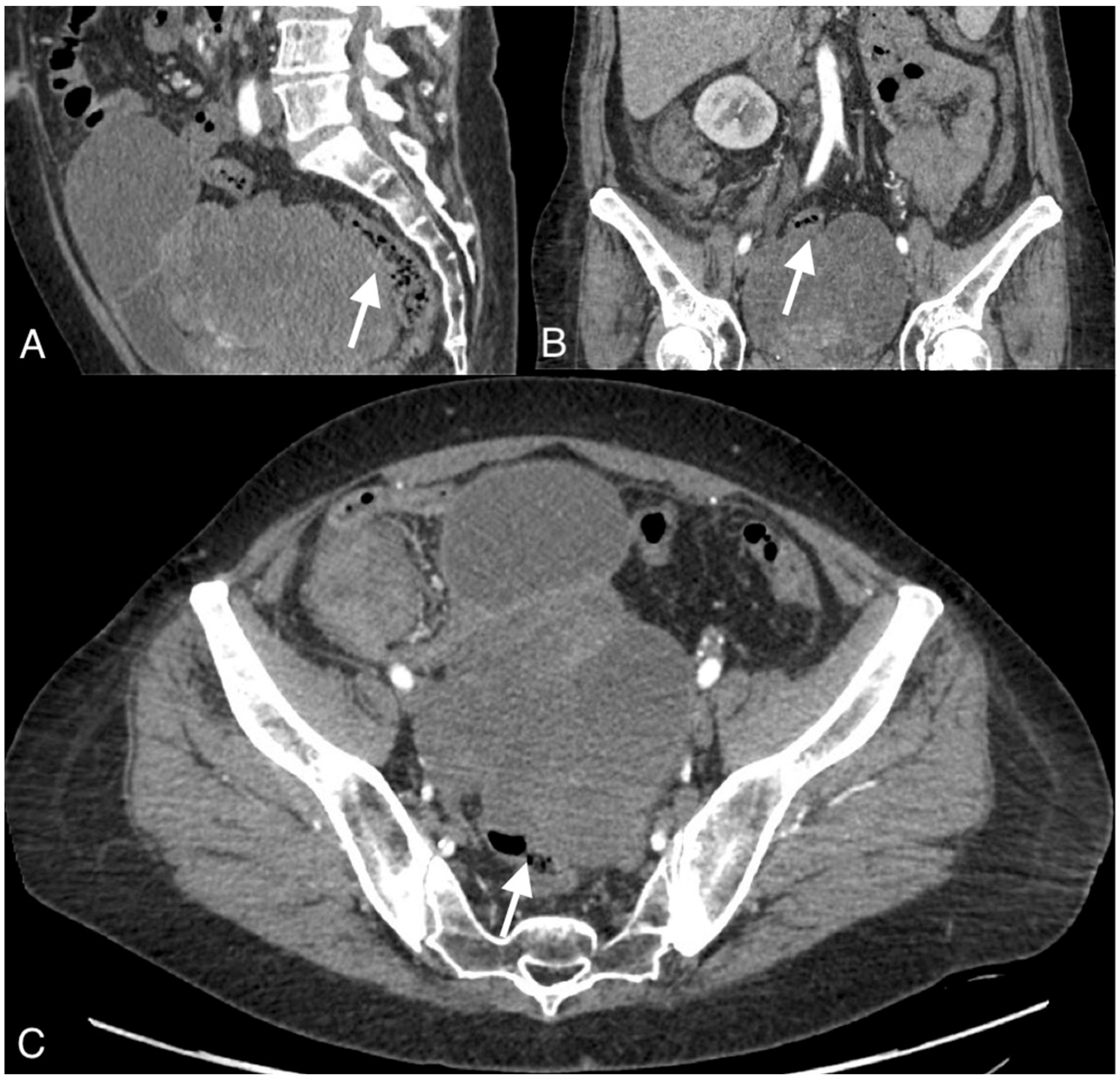
3.1. Imaging Findings
3.2. Surgical Findings
3.3. Oncological Outcomes
4. Discussion
5. Conclusions
Author Contributions
Funding
Institutional Review Board Statement
Informed Consent Statement
Data Availability Statement
Conflicts of Interest
References
- Ledermann, J.A.; Raja, F.A.; Fotopoulou, C.; Gonzalez-Martin, A.; Colombo, N.; Sessa, C.; Esmo Guidelines Working Group. Newly Diagnosed and Relapsed Epithelial Ovarian Carcinoma: Esmo Clinical Practice Guidelines for Diagnosis, Treatment and Follow-Up. Ann. Oncol. 2013, 24 (Suppl. S6), vi24–vi32. [Google Scholar] [CrossRef] [PubMed]
- Lowe, K.A.; Chia, V.M.; Taylor, A.; O’Malley, C.; Kelsh, M.; Mohamed, M.; Mowat, F.S.; Goff, B. An International Assessment of Ovarian Cancer Incidence and Mortality. Gynecol. Oncol. 2013, 130, 107–114. [Google Scholar] [CrossRef] [PubMed]
- Sioulas, V.D.; Schiavone, M.B.; Kadouri, D.; Zivanovic, O.; Roche, K.L.; O’Cearbhaill, R.; Abu-Rustum, N.R.; Levine, D.A.; Sonoda, Y.; Gardner, G.J.; et al. Optimal Primary Management of Bulky Stage Iiic Ovarian, Fallopian Tube and Peritoneal Carcinoma: Are the Only Options Complete Gross Resection at Primary Debulking Surgery or Neoadjuvant Chemotherapy? Gynecol. Oncol. 2017, 145, 15–20. [Google Scholar] [CrossRef] [PubMed]
- Vergote, I.; Trope, C.G.; Amant, F.; Kristensen, G.B.; Ehlen, T.; Johnson, N.; Verheijen, R.H.; van der Burg, M.E.; Lacave, A.J.; Panici, P.B.; et al. Research European Organization for, Group Treatment of Cancer-Gynaecological Cancer, and Ncic Clinical Trials Group. Neoadjuvant Chemotherapy or Primary Surgery in Stage Iiic or Iv Ovarian Cancer. N. Engl. J. Med. 2010, 363, 943–953. [Google Scholar] [CrossRef] [PubMed]
- Oza, A.M.; Cook, A.D.; Pfisterer, J.; Embleton, A.; Ledermann, J.A.; Pujade-Lauraine, E.; Kristensen, G.; Carey, M.S.; Beale, P.; Cervantes, A.; et al. Standard Chemotherapy with or without Bevacizumab for Women with Newly Diagnosed Ovarian Cancer (ICON 7): Overall Survival Results of a Phase 3 Randomised Trial. Lancet Oncol. 2015, 16, 928–936. [Google Scholar] [CrossRef]
- Burger, R.A.; Brady, M.F.; Bookman, M.A.; Fleming, G.F.; Monk, B.J.; Huang, H.; Mannel, R.S.; Homesley, H.D.; Fowler, J.; Greer, B.E.; et al. Incorporation of Bevacizumab in the Primary Treatment of Ovarian Cancer. N. Engl. J. Med. 2011, 365, 2473–2483. [Google Scholar] [CrossRef]
- Harter, P.; Bois, A.; Hahmann, M.; Hasenburg, A.; Burges, A.; Loibl, S.; Gropp, M.; Huober, J.; Fink, D.; Schroder, W.; et al. Surgery in Recurrent Ovarian Cancer: The Arbeitsgemeinschaft Gynaekologische Onkologie (Ago) Desktop Ovar Trial. Ann. Surg. Oncol. 2006, 13, 1702–1710. [Google Scholar] [CrossRef]
- Harter, P.; Sehouli, J.; Reuss, A.; Hasenburg, A.; Scambia, G.; Cibula, D.; Mahner, S.; Vergote, I.; Reinthaller, A.; Burges, A.; et al. Prospective Validation Study of a Predictive Score for Operability of Recurrent Ovarian Cancer: The Multicenter Intergroup Study Desktop II. A Project of the Ago Kommission Ovar, Ago Study Group, Noggo, Ago-Austria, and Mito. Int. J. Gynecol. Cancer 2011, 21, 289–295. [Google Scholar] [CrossRef]
- Harter, P.; Sehouli, J.; Vergote, I.; Ferron, G.; Reuss, A.; Meier, W.; Greggi, S.; Mosgaard, B.J.; Selle, F.; Guyon, F.; et al. Randomized Trial of Cytoreductive Surgery for Relapsed Ovarian Cancer. N. Engl. J. Med. 2021, 385, 2123–2131. [Google Scholar] [CrossRef]
- Ushijima, K. Treatment for Recurrent Ovarian Cancer-at First Relapse. J. Oncol. 2010, 2010, 497429. [Google Scholar] [CrossRef]
- Yahagi, N.; Kobayashi, Y.; Ohara, T.; Suzuki, N.; Kiguchi, K.; Ishizuka, B. Ovarian Carcinoma Complicated by Sigmoid Colon Fistula Formation: A Case Report and Review of the Literature. J. Obstet. Gynaecol. Res. 2011, 37, 250–253. [Google Scholar] [CrossRef]
- Borofsky, S.E.; Levine, M.S.; Rubesin, S.E.; Tanyi, J.L.; Chu, C.S.; Lev-Toaff, A.S. Bevacizumab-Induced Perforation of the Gastrointestinal Tract: Clinical and Radiographic Findings in 11 Patients. Abdom. Imaging 2013, 38, 265–272. [Google Scholar] [CrossRef]
- Tonolini, M. Elucidating Vaginal Fistulas on Ct and Mri. Insights Imaging 2019, 10, 123. [Google Scholar] [CrossRef]
- Sohaib, S.A.; Reznek, R.H. Mr Imaging in Ovarian Cancer. Cancer Imaging 2007, 7, S119–S129. [Google Scholar] [CrossRef]
- Forstner, R.; Sala, E.; Kinkel, K.; Spencer, J.A.; Radiology European Society of Urogenital. Esur Guidelines: Ovarian Cancer Staging and Follow-Up. Eur. Radiol. 2010, 20, 2773–2780. [Google Scholar] [CrossRef]
- VanBuren, W.M.; Lightner, A.L.; Kim, S.T.; Sheedy, S.P.; Woolever, M.C.; Menias, C.O.; Fletcher, J.G. Imaging and Surgical Management of Anorectal Vaginal Fistulas. Radiographics 2018, 38, 1385–1401. [Google Scholar] [CrossRef]
- Cavusoglu, M.; Duran, S.; Ciliz, D.S.; Tufan, G.; Cetin, H.G.H.; Ozsoy, A.; Sakman, B. Added Value of Diffusion-Weighted Magnetic Resonance Imaging for the Diagnosis of Perianal Fistula. Diagn. Interv. Imaging 2017, 98, 401–408. [Google Scholar] [CrossRef]
- Manganaro, L.; Gigli, S.; Antonelli, A.; Saldari, M.; Tomao, F.; Marchetti, C.; Anastasi, E.; Laghi, A. Imaging Strategy in Recurrent Ovarian Cancer: A Practical Review. Abdom. Radiol. 2019, 44, 1091–1102. [Google Scholar] [CrossRef]
- de Miguel Criado, J.; del Salto, L.G.; Rivas, P.F.; del Hoyo, L.F.; Velasco, L.G.; de las Vacas, M.I.; Sanz, A.G.M.; Paradela, M.M.; Moreno, E.F. Mr Imaging Evaluation of Perianal Fistulas: Spectrum of Imaging Features. Radiographics 2012, 32, 175–194. [Google Scholar] [CrossRef]
- Boruah, D.K.; Hazarika, K.; Ahmed, H.; Borah, K.K.; Borah, S.; Malakar, S.; Hajoari, N. Role of Diffusion-Weighted Imaging in the Evaluation of Perianal Fistulae. Indian J. Radiol. Imaging 2021, 31, 91–101. [Google Scholar] [CrossRef]
- Kizaki, Y.; Nagai, T.; Ohara, K.; Gomi, Y.; Akahori, T.; Ono, Y.; Matsunaga, S.; Takai, Y.; Saito, M.; Baba, K.; et al. Ovarian Mature Cystic Teratoma with Fistula Formation into the Rectum: A Case Report. Springerplus 2016, 5, 1700. [Google Scholar] [CrossRef] [PubMed]
- Esterson, Y.B.; Gaballah, M.; Grimaldi, G.M.; Raj, M.H.; Pellerito, J.S. Ovarian Dermoid Cyst Complicated by Small Bowel Obstruction, Entero-Ovarian Fistula Formation, and Malignant Degeneration. Clin. Imaging 2019, 56, 47–51. [Google Scholar] [CrossRef] [PubMed]
- Tozzi, R.; Valenti, G.; Vinti, D.; Campanile, R.G.; Cristaldi, M.; Ferrari, F. Rectosigmoid Resection During Visceral-Peritoneal Debulking (Vpd) in Patients with Stage Iiic-Iv Ovarian Cancer: Morbidity of Gynecologic Oncology Vs. Colorectal Team. J. Gynecol. Oncol. 2021, 32, e42. [Google Scholar] [CrossRef] [PubMed]
- Chang, S.J.; Fotopoulou, C.; Bristow, R.E.; Chi, D.S.; Cliby, W.A. Rectosigmoid Resection by Gynecologic Oncologists Versus Colorectal Surgeons: As Long as It Catches the Mouse, Does the Color of the Cat Matter? J. Gynecol. Oncol. 2021, 32, e51. [Google Scholar] [CrossRef]
- Lee, C.K.; Lord, S.; Grunewald, T.; Gebski, V.; Hardy-Bessard, A.C.; Sehouli, J.; Woie, K.; Heywood, M.; Schauer, C.; Vergote, I.; et al. Impact of Secondary Cytoreductive Surgery on Survival in Patients with Platinum Sensitive Recurrent Ovarian Cancer: Analysis of the Calypso Trial. Gynecol. Oncol. 2015, 136, 18–24. [Google Scholar] [CrossRef]
- Shi, T.; Zhu, J.; Feng, Y.; Tu, D.; Zhang, Y.; Zhang, P.; Jia, H.; Huang, X.; Cai, Y.; Yin, S.; et al. Secondary Cytoreduction Followed by Chemotherapy Versus Chemotherapy Alone in Platinum-Sensitive Relapsed Ovarian Cancer (Soc-1): A Multicentre, Open-Label, Randomised, Phase 3 Trial. Lancet Oncol. 2021, 22, 439–449. [Google Scholar] [CrossRef]





| Clinical Data | Number (Median) | 
|---|---|
| Number of patients | 8 | 
| Age | 37–78 (59) | 
| FIGO stage | |
| II | 1 | 
| III | 6 | 
| IV | 1 | 
| Histopathology of EOC | |
| high-grade serous | 5 | 
| low-grade serous | 1 | 
| carcinosarcoma | 1 | 
| clear cell carcinoma | 1 | 
| Primary surgical treatment | |
| optimal debulking surgery | 4 | 
| suboptimal surgery | 4 | 
| Adjuvant therapy | |
| paclitaxel + carboplatin | 8 | 
| bevacizumab * | 4 | 
| Treatment response (after first-line chemotherapy) | |
| CR | 8 | 
| PR | 0 | 
| SD | 0 | 
| PD | 0 | 
| PFS (months) | 6–27 (17) | 
| Diagnosis of recurrence/clinical symptoms | |
| CT/MRI | 8 | 
| bowel obstruction | 1 | 
| rectal bleeding/bloody diarrhea | 2 | 
| abdominal pain | 3 | 
| weight loss | 3 | 
| Current | 120 kV | 
|---|---|
| Voltage | 250 mA | 
| Slice Thickness | 1.25–2.5 mm | 
| FOV | 33.7 × 39.9 cm | 
| Rotation time | 0.7 s | 
| Pitch | 0.984:1 | 
| Parameter | T2 TSE | T2 Tirm | VIBE T1 GRE 3D | T2 TSE Fat-Sat | DWI EPI b = 5,050,010,001,500 mm2/s | T1 TSE Fat-Sat | T2 TSE BLADE (Fat-Sat) SPAIR | T1 GRE (In- and Out-Phase) | 
|---|---|---|---|---|---|---|---|---|
| FOV [mm] | 360 | 360 | 360 | 360 | 360 | 360 | 360 | 360 | 
| Orientation | axial, sagittal, coronal | axial | axial | axial | Axial | axial, coronal, sagittal | axial, coronal | axial | 
| Repetition time [ms] | 3190 | 6100 | 3.05 | 4250 | 4240 | 666 | 2300 | 125 | 
| Echo time [ms] | 116 | 39 | 1.13 | 114 | 73 | 10 | 116 | 1:2.22 2:4.92 | 
| Flip angle [deg.] | 137 | 150 | 10 | 137 | 90 | 90 | 150 | 70 | 
| Breath hold | no | no | no | no | No | no | yes | no | 
| Matrix | 256 × 236 | 320 × 320 | 188 × 216 | 256 × 256 | 128 × 84 | 256 × 168 | 256 × 256 | 512 × 384 | 
| Slice thickness [mm] | 3 | 4 | 3 | 3 | 6 | 3 | 4 | 6 | 
| Number of signal averages | 1 | 1 | 1 | 1 | 4 | 1 | 1 | 1 | 
| Patient’s Number | Localization | Surgical Procedure | Anastomosis | Surgical Outcome | 
|---|---|---|---|---|
| 1 | sigmoid | anterior resection | end to end | R-0 | 
| 2 | sigmoid and descending colon | left hemicolectomy | end to end | R-0 | 
| 3 | rectum | anterior resection | end to end | R-0 | 
| 4 | rectum | Hartman’s operation | colostomy | R-1 (1–2 mm peritoneal implants in the mesentery) | 
| 5 | cecum and ascending colon | right hemicolectomy | side to side | R-0 | 
| 6 | sigmoid and left ureter | anterior resection and resection of part of the ureter with implantation into the urinary bladder | end to end | R-0 | 
| 7 | rectum | anterior resection | end to end | R-0 | 
| 8 | sigmoid | anterior resection | end to end | R-0 | 
| Disclaimer/Publisher’s Note: The statements, opinions and data contained in all publications are solely those of the individual author(s) and contributor(s) and not of MDPI and/or the editor(s). MDPI and/or the editor(s) disclaim responsibility for any injury to people or property resulting from any ideas, methods, instructions or products referred to in the content. | 
© 2022 by the authors. Licensee MDPI, Basel, Switzerland. This article is an open access article distributed under the terms and conditions of the Creative Commons Attribution (CC BY) license (https://creativecommons.org/licenses/by/4.0/).
Share and Cite
Jankowska-Lombarska, M.; Grabowska-Derlatka, L.; Derlatka, P. Tumor-Bowel Fistula as a Rare Form of Recurrent Ovarian Cancer—Imaging and Treatment: Preliminary Report. Curr. Oncol. 2023, 30, 506-517. https://doi.org/10.3390/curroncol30010040
Jankowska-Lombarska M, Grabowska-Derlatka L, Derlatka P. Tumor-Bowel Fistula as a Rare Form of Recurrent Ovarian Cancer—Imaging and Treatment: Preliminary Report. Current Oncology. 2023; 30(1):506-517. https://doi.org/10.3390/curroncol30010040
Chicago/Turabian StyleJankowska-Lombarska, Melania, Laretta Grabowska-Derlatka, and Pawel Derlatka. 2023. "Tumor-Bowel Fistula as a Rare Form of Recurrent Ovarian Cancer—Imaging and Treatment: Preliminary Report" Current Oncology 30, no. 1: 506-517. https://doi.org/10.3390/curroncol30010040
APA StyleJankowska-Lombarska, M., Grabowska-Derlatka, L., & Derlatka, P. (2023). Tumor-Bowel Fistula as a Rare Form of Recurrent Ovarian Cancer—Imaging and Treatment: Preliminary Report. Current Oncology, 30(1), 506-517. https://doi.org/10.3390/curroncol30010040
 
        

 
       