Allergenicity and Bioavailability of Nickel Nanoparticles Compared to Nickel Microparticles in Mice
Abstract
1. Introduction
2. Materials and Methods
2.1. Preparation of Particle Dispersion
2.2. Physical Characterization of Particles
2.2.1. Morphological Observation and Elemental Analysis
2.2.2. Calculation of Specific Surface Area
2.2.3. Particle Size Distribution Measurement
2.2.4. Ion Elution Test
2.3. Experimental Animals
2.4. Pharmacokinetic Evaluation
2.4.1. Twenty-Eight-Day Repeated Oral Administration Test
2.4.2. Histopathological Evaluation
2.4.3. Quantitative Evaluation of Nickel Accumulation
2.4.4. Transmission Electron Microscopy
2.4.5. Measurement of Serum Cytokine Concentrations
2.5. Evaluation of Allergenicity
2.5.1. Production of Nickel Allergy-Model Mice
2.5.2. Measurement of Auricle Thickness
2.5.3. Histopathological Evaluation
2.5.4. Measurement of Serum Cytokine Concentration
2.5.5. Statistical Analysis
3. Results
3.1. Evaluation of Particle Characteristics
3.1.1. Morphological Observation and Elemental Analysis
3.1.2. Calculation of Specific Surface Area
3.1.3. Particle Size Distribution Measurement
3.1.4. Ion Elution Test
3.2. Evaluation of Pharmacokinetics
3.2.1. Twenty-Eight-Day Repeated Oral Dose Study
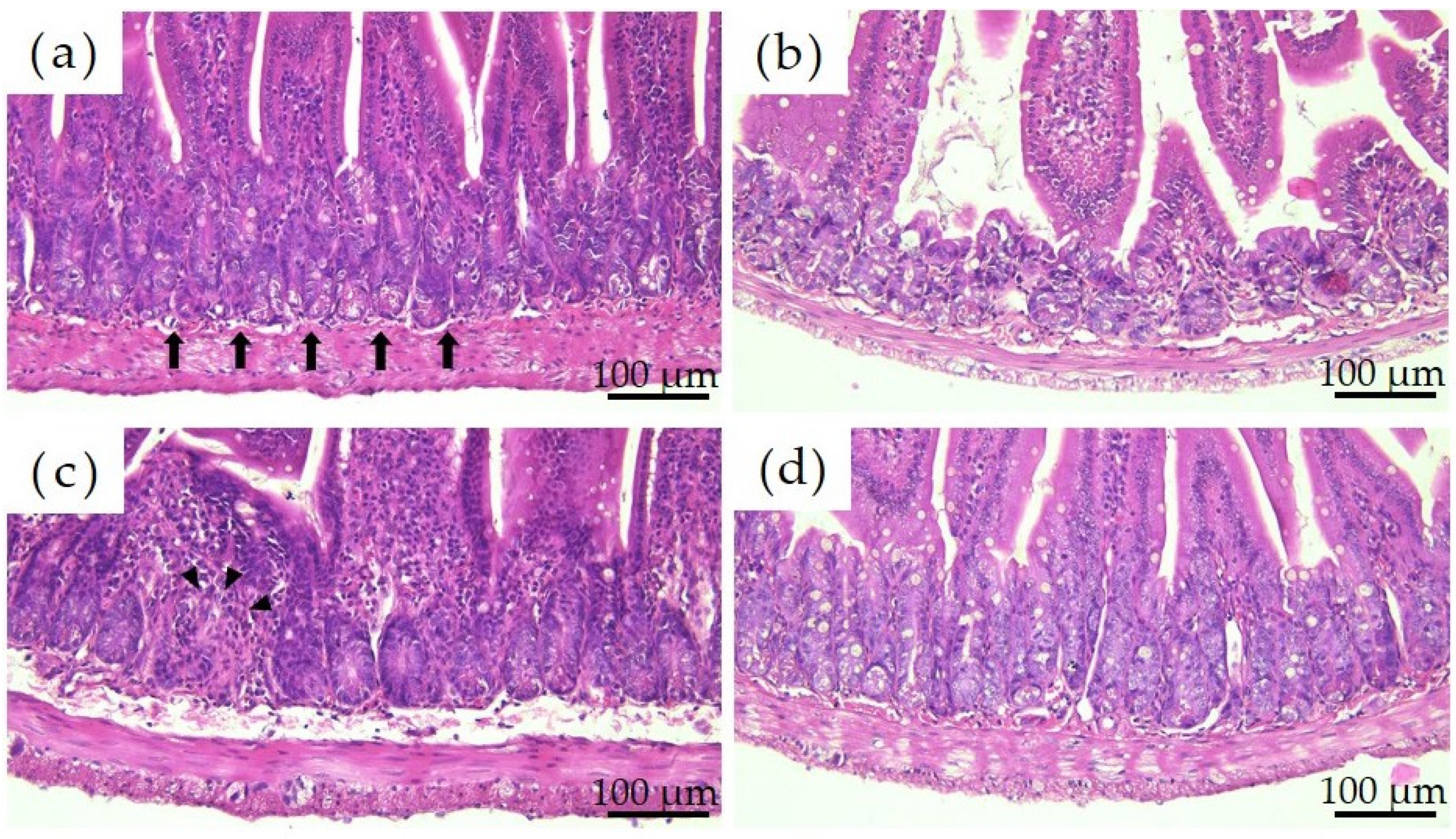
3.2.2. Histopathological Evaluation
3.2.3. Quantitative Evaluation of Nickel Accumulation
3.2.4. Transmission Electron Microscopy
3.2.5. Measurement of Serum Cytokine Concentrations
3.3. Evaluation of Allergenicity
3.3.1. Measurement of Auricle Thickness
3.3.2. Histopathological Evaluation
3.3.3. Measurement of Serum Cytokine Concentrations
4. Discussion
4.1. Particle Characteristics
4.2. Evaluation of Pharmacokinetics
4.3. Evaluation of Allergenicity
4.4. Summary of Results
5. Conclusions
Author Contributions
Funding
Institutional Review Board Statement
Informed Consent Statement
Data Availability Statement
Acknowledgments
Conflicts of Interest
References
- El Kouifat, M.K.; El hamdouni, Y.; Ouaki, B.; El hajjaji, S. Fretting-Corrosion of Orthodontic Arch-Wire/Bracket Contacts in Saliva Environment. World J. Dent. 2018, 9, 387–393. [Google Scholar] [CrossRef]
- Kameda, T.; Oda, H.; Ohkuma, K.; Sano, N.; Batbayar, N.; Terashima, Y.; Sato, S.; Terada, K. Microbiologically Influenced Corrosion of Orthodontic Metallic Appliances. Dent. Mater. J. 2014, 33, 187–195. [Google Scholar] [CrossRef] [PubMed]
- Marda, A.; Mouflih, K.; Bellaouchou, A.; Guenbour, A.; Elmansari, A.; Souly, K.; Zouhdi, M.; Zaoui, F.; Bahije, L. The Effect of Streptococcus Mutans on the Corrosion Behavior of Nickel-Titanium Dental Alloys-In Vitro Study. Mediterr. J. Chem. 2019, 8, 435–440. [Google Scholar] [CrossRef]
- Bass, J.K.; Fine, H.; Cisneros, G.J. Nickel Hypersensitivity in the Orthodontic Patient. Am. J. Orthod. Dentofac. Orthop. 1993, 103, 280–285. [Google Scholar] [CrossRef] [PubMed]
- Olms, C.; Yahiaoui-Doktor, M.; Remmerbach, T.W. Contact Allergies to Dental Materials. Swiss Dent. J. 2019, 129, 571–579. [Google Scholar]
- De Rossi, S.S.; Greenberg, M.S. Intraoral Contact Allergy: A Literature Review and Case Reports. J. Am. Dent. Assoc. 1998, 129, 1435–1441. [Google Scholar] [CrossRef]
- Yiannias, J.; Elazhary, R.; Hand, J.; Pakzad, S.; Rogersiii, R. Relevant Contact Sensitivities in Patients with the Diagnosis of Oral Lichen Planus. J. Am. Acad. Dermatol. 2000, 42, 177–182. [Google Scholar] [CrossRef]
- Platts-Mills, T.A.E.; Woodfolk, J.A. Allergens and Their Role in the Allergic Immune Response: Allergens and the Allergic Immune Response. Immunol. Rev. 2011, 242, 51–68. [Google Scholar] [CrossRef]
- Aquino, M.; Rosner, G. Systemic Contact Dermatitis. Clin. Rev. Allergy Immunol. 2019, 56, 9–18. [Google Scholar] [CrossRef]
- Mallo Pérez, L.; Díaz Donado, C. Intraoral Contact Allergy to Materials Used in Dental Practice. A Critical Review. Med. Oral Organo Of. Soc. Espanola Med. Oral Acad. Iberoam. Patol. Med. Bucal. 2003, 8, 334–347. [Google Scholar]
- Yoshihisa, Y.; Shimizu, T. Metal Allergy and Systemic Contact Dermatitis: An Overview. Dermatol. Res. Pract. 2012, 2012, 749561. [Google Scholar] [CrossRef]
- Garner, L.A. Contact Dermatitis to Metals. Dermatol. Ther. 2004, 17, 321–327. [Google Scholar] [CrossRef]
- Thyssen, J.P.; Linneberg, A.; Menné, T.; Johansen, J.D. The Epidemiology of Contact Allergy in the General Population–Prevalence and Main Findings. Contact Dermat. 2007, 57, 287–299. [Google Scholar] [CrossRef]
- Thyssen, J.P.; Menné, T. Metal Allergy—A Review on Exposures, Penetration, Genetics, Prevalence, and Clinical Implications. Chem. Res. Toxicol. 2010, 23, 309–318. [Google Scholar] [CrossRef]
- Suzuki, N. Metal Allergy in Dentistry: Detection of Allergen Metals with X-Ray Fluorescence Spectroscope and Its Application toward Allergen Elimination. Int. J. Prosthodont. 1995, 8, 351–359. [Google Scholar]
- Schmalz, G.; Hickel, R.; van Landuyt, K.L.; Reichl, F.-X. Nanoparticles in Dentistry. Dent. Mater. 2017, 33, 1298–1314. [Google Scholar] [CrossRef]
- Hirai, T.; Yoshioka, Y.; Izumi, N.; Ichihashi, K.; Handa, T.; Nishijima, N.; Uemura, E.; Sagami, K.; Takahashi, H.; Yamaguchi, M.; et al. Metal Nanoparticles in the Presence of Lipopolysaccharides Trigger the Onset of Metal Allergy in Mice. Nat. Nanotechnol. 2016, 11, 808–816. [Google Scholar] [CrossRef]
- Sager, T.; Wolfarth, M.; Keane, M.; Porter, D.; Castranova, V.; Holian, A. Effects of Nickel-Oxide Nanoparticle Pre-Exposure Dispersion Status on Bioactivity in the Mouse Lung. Nanotoxicology 2016, 10, 151–161. [Google Scholar] [CrossRef]
- van der Zande, M.; Vandebriel, R.J.; Van Doren, E.; Kramer, E.; Herrera Rivera, Z.; Serrano-Rojero, C.S.; Gremmer, E.R.; Mast, J.; Peters, R.J.B.; Hollman, P.C.H.; et al. Distribution, Elimination, and Toxicity of Silver Nanoparticles and Silver Ions in Rats after 28-Day Oral Exposure. ACS Nano 2012, 6, 7427–7442. [Google Scholar] [CrossRef]
- McFadyen, P.; Fairhurst, D. High-Resolution Particle Size Analysis from Nanometres to Microns. Clay Miner. 1993, 28, 531–537. [Google Scholar] [CrossRef]
- Tsao, T.M.; Chen, Y.M.; Wang, M.K. Origin, Separation and Identification of Environmental Nanoparticles: A Review. J. Environ. Monit. 2011, 13, 1156–1163. [Google Scholar] [CrossRef] [PubMed]
- Ju, Y.; Wan, Q.; Hochella, M.F. Editorial for Special Issue “Nanomineralogy”. Minerals 2020, 10, 520. [Google Scholar] [CrossRef]
- Mo, Y.; Jiang, M.; Zhang, Y.; Wan, R.; Li, J.; Zhong, C.-J.; Li, H.; Tang, S.; Zhang, Q. Comparative Mouse Lung Injury by Nickel Nanoparticles with Differential Surface Modification. J. Nanobiotechnol. 2019, 17, 2. [Google Scholar] [CrossRef] [PubMed]
- Aruoja, V.; Dubourguier, H.-C.; Kasemets, K.; Kahru, A. Toxicity of Nanoparticles of CuO, ZnO and TiO2 to Microalgae Pseudokirchneriella Subcapitata. Sci. Total Environ. 2009, 407, 1461–1468. [Google Scholar] [CrossRef] [PubMed]
- Kim, Y.S.; Kim, J.S.; Cho, H.S.; Rha, D.S.; Kim, J.M.; Park, J.D.; Choi, B.S.; Lim, R.; Chang, H.K.; Chung, Y.H.; et al. Twenty-Eight-Day Oral Toxicity, Genotoxicity, and Gender-Related Tissue Distribution of Silver Nanoparticles in Sprague-Dawley Rats. Inhal. Toxicol. 2008, 20, 575–583. [Google Scholar] [CrossRef]
- Takahashi, H.; Kinbara, M.; Sato, N.; Sasaki, K.; Sugawara, S.; Endo, Y. Nickel Allergy-Promoting Effects of Microbial or Inflammatory Substances at the Sensitization Step in Mice. Int. Immunopharmacol. 2011, 11, 1534–1540. [Google Scholar] [CrossRef] [PubMed]
- Schnuch, A.; Geier, J.; Uter, W.; Frosch, P.J.; Lehmacher, W.; Aberer, W.; Agathos, M.; Arnold, R.; Fuchs, T.; Laubstein, B.; et al. National Rates and Regional Differences in Sensitization to Allergens of the Standard Series: Population-Adjusted Frequencies of Sensitization (PAFS) in 40,000 Patients from a Multicenter Study (IVDK). Contact Dermat. 1997, 37, 200–209. [Google Scholar] [CrossRef]
- Magaye, R.; Zhao, J. Recent Progress in Studies of Metallic Nickel and Nickel-Based Nanoparticles’ Genotoxicity and Carcinogenicity. Environ. Toxicol. Pharmacol. 2012, 34, 644–650. [Google Scholar] [CrossRef]
- Wu, Y.; Kong, L. Advance on Toxicity of Metal Nickel Nanoparticles. Environ. Geochem. Health 2020, 42, 2277–2286. [Google Scholar] [CrossRef]
- Dumala, N.; Mangalampalli, B.; Kalyan Kamal, S.S.; Grover, P. Repeated Oral Dose Toxicity Study of Nickel Oxide Nanoparticles in Wistar Rats: A Histological and Biochemical Perspective. J. Appl. Toxicol. 2019, 39, 1012–1029. [Google Scholar] [CrossRef]
- Goodman, J.E.; Prueitt, R.L.; Thakali, S.; Oller, A.R. The Nickel Ion Bioavailability Model of the Carcinogenic Potential of Nickel-Containing Substances in the Lung. Crit. Rev. Toxicol. 2011, 41, 142–174. [Google Scholar] [CrossRef]
- Oberdörster, G.; Maynard, A.; Donaldson, K.; Castranova, V.; Fitzpatrick, J.; Ausman, K.; Carter, J.; Karn, B.; Kreyling, W.; Lai, D.; et al. Principles for Characterizing the Potential Human Health Effects from Exposure to Nanomaterials: Elements of a Screening Strategy. Part. Fibre Toxicol. 2005, 2, 8. [Google Scholar] [CrossRef] [PubMed]
- Rejman, J.; Oberle, V.; Zuhorn, I.S.; Hoekstra, D. Size-Dependent Internalization of Particles via the Pathways of Clathrin- and Caveolae-Mediated Endocytosis. Biochem. J. 2004, 377, 159–169. [Google Scholar] [CrossRef] [PubMed]
- Yuan, J.; Zhang, Y.; Zhang, Y.; Mo, Y.; Zhang, Q. Effects of Metal Nanoparticles on Tight Junction-Associated Proteins via HIF-1α/MiR-29b/MMPs Pathway in Human Epidermal Keratinocytes. Part. Fibre Toxicol. 2021, 18, 13. [Google Scholar] [CrossRef]
- Latvala, S.; Hedberg, J.; Di Bucchianico, S.; Möller, L.; Odnevall Wallinder, I.; Elihn, K.; Karlsson, H.L. Nickel Release, ROS Generation and Toxicity of Ni and NiO Micro- and Nanoparticles. PLoS ONE 2016, 11, e0159684. [Google Scholar] [CrossRef]
- Burgdorf, S.; Kurts, C. Endocytosis Mechanisms and the Cell Biology of Antigen Presentation. Curr. Opin. Immunol. 2008, 20, 89–95. [Google Scholar] [CrossRef]
- Park, E.-J.; Yi, J.; Kim, Y.; Choi, K.; Park, K. Silver Nanoparticles Induce Cytotoxicity by a Trojan-Horse Type Mechanism. Toxicol. In Vitro 2010, 24, 872–878. [Google Scholar] [CrossRef] [PubMed]
- Zhu, M.; Li, Y.; Shi, J.; Feng, W.; Nie, G.; Zhao, Y. Exosomes as Extrapulmonary Signaling Conveyors for Nanoparticle-Induced Systemic Immune Activation. Small 2012, 8, 404–412. [Google Scholar] [CrossRef] [PubMed]
- Ishizaka, T.; Nagano, K.; Tasaki, I.; Tao, H.; Gao, J.-Q.; Harada, K.; Hirata, K.; Saito, S.; Tsujino, H.; Higashisaka, K.; et al. Optimization and Evaluation of Pretreatment Method for Sp-ICP-MS to Reveal the Distribution of Silver Nanoparticles in the Body. Nanoscale Res. Lett. 2019, 14, 180. [Google Scholar] [CrossRef]
- Ammar, I.A.; Darwish, S. Effect of Halogens on Passivity of Nickel—I. Chloride Ions. Electrochim. Acta 1968, 13, 781–796. [Google Scholar] [CrossRef]
- Gamble, J. Chemical Anatomy, Physiology and Pathology of Extracellular Fluid, 6th ed.; Harvard University Press: Cambridge, MA, USA, 1954. [Google Scholar]
- Kuroishi, T.; Bando, K.; Tanaka, Y.; Shishido, K.; Kinbara, M.; Ogawa, T.; Muramoto, K.; Endo, Y.; Sugawara, S. CXCL4 Is a Novel Nickel-Binding Protein and Augments Nickel Allergy. Clin. Exp. Allergy 2017, 47, 1069–1078. [Google Scholar] [CrossRef] [PubMed]
- Sato, N.; Kinbara, M.; Kuroishi, T.; Kimura, K.; Iwakura, Y.; Ohtsu, H.; Sugawara, S.; Endo, Y. Lipopolysaccharide Promotes and Augments Metal Allergies in Mice, Dependent on Innate Immunity and Histidine Decarboxylase. Clin. Exp. Allergy 2007, 37, 743–751. [Google Scholar] [CrossRef] [PubMed]
- Kinbara, M.; Nagai, Y.; Takano-Yamamoto, T.; Sugawara, S.; Endo, Y. Cross-Reactivity among Some Metals in a Murine Metal Allergy Model: Metal Allergy Cross-Reactivity in a Murine Model. Br. J. Dermatol. 2011, 165, 1022–1029. [Google Scholar] [CrossRef] [PubMed]
- Büdinger, L.; Hertl, M.; Büdinger, L. Immunologic Mechanisms in Hypersensitivity Reactions to Metal Ions: An Overview. Allergy 2000, 55, 108–115. [Google Scholar] [CrossRef] [PubMed]
- Thierse, H.-J.; Moulon, C.; Allespach, Y.; Zimmermann, B.; Doetze, A.; Kuppig, S.; Wild, D.; Herberg, F.; Weltzien, H.U. Metal-Protein Complex-Mediated Transport and Delivery of Ni2+ to TCR/MHC Contact Sites in Nickel-Specific Human T Cell Activation. J. Immunol. 2004, 172, 1926–1934. [Google Scholar] [CrossRef]
- Iwakura, Y.; Ishigame, H.; Saijo, S.; Nakae, S. Functional Specialization of Interleukin-17 Family Members. Immunity 2011, 34, 149–162. [Google Scholar] [CrossRef]









| Ni-NPs | Ni-MPs | |
|---|---|---|
| Shape Surface properties | Spherical Smooth Oxide film structure | Spherical or cubic Rough |
| Primary particle size | 22.3 ± 8.0 nm | 2796.0 ± 1471.7 nm |
| Secondary particle size | 174.0 nm | 11,890.0 nm |
| Aggregation rate (Secondary particle size/ primary particle size ratio) | 7.8 | 4.3 |
| Nickel ion elution rate (At 24 h) | 1.92 ± 0.04% | 5.00 ± 0.16% |
| Specific surface area SBET | 13.89 m2/g | 1.34 m2/g |
Disclaimer/Publisher’s Note: The statements, opinions and data contained in all publications are solely those of the individual author(s) and contributor(s) and not of MDPI and/or the editor(s). MDPI and/or the editor(s) disclaim responsibility for any injury to people or property resulting from any ideas, methods, instructions or products referred to in the content. |
© 2023 by the authors. Licensee MDPI, Basel, Switzerland. This article is an open access article distributed under the terms and conditions of the Creative Commons Attribution (CC BY) license (https://creativecommons.org/licenses/by/4.0/).
Share and Cite
Tsuchida, D.; Matsuki, Y.; Tsuchida, J.; Iijima, M.; Tanaka, M. Allergenicity and Bioavailability of Nickel Nanoparticles Compared to Nickel Microparticles in Mice. Materials 2023, 16, 1834. https://doi.org/10.3390/ma16051834
Tsuchida D, Matsuki Y, Tsuchida J, Iijima M, Tanaka M. Allergenicity and Bioavailability of Nickel Nanoparticles Compared to Nickel Microparticles in Mice. Materials. 2023; 16(5):1834. https://doi.org/10.3390/ma16051834
Chicago/Turabian StyleTsuchida, Dai, Yuko Matsuki, Jin Tsuchida, Masahiro Iijima, and Maki Tanaka. 2023. "Allergenicity and Bioavailability of Nickel Nanoparticles Compared to Nickel Microparticles in Mice" Materials 16, no. 5: 1834. https://doi.org/10.3390/ma16051834
APA StyleTsuchida, D., Matsuki, Y., Tsuchida, J., Iijima, M., & Tanaka, M. (2023). Allergenicity and Bioavailability of Nickel Nanoparticles Compared to Nickel Microparticles in Mice. Materials, 16(5), 1834. https://doi.org/10.3390/ma16051834

