Abstract
Enzootic nasal tumor virus (ENTV) has two types, ENTV-1 in sheep and ENTV-2 in goats, respectively. In China, the incidence of ENTV-2 related diseases has increased year by year. In this study, we reported an outbreak of ENTV-2 in a commercial goat farm in Qingyuan city, Guangdong province, southern China. A full-length genome of ENTV-2 (designated GDQY2017), with 7479 base pairs, was sequenced. Although GDQY2017 shared the highest nucleotide identity with a Chinese ENTV-2 isolate (ENTV-2CHN4, GenBank accession number KU258873), it possesses distinct genome characteristics undescribed, including a non-continuous 21-nucleotide insertion in the gag gene and a non-continuous 12-nucleotide deletion in the env gene. Notably, most of these indel nucleotide sequences were originated from a Chinese jaagsiekte sheep retrovirus (JSRV) isolate (GenBank accession number DQ838494). In the gag and env genes, GDQY2017 was phylogenetically related to those Chinese ENTV-2 isolates and a Chinese JSRV isolate (DQ838494). For GDQY2017-like viruses, more surveillance work should be made to explain their pathogenicity in goat herds. To our knowledge, this study represents the first to demonstrate the circulating pattern of ENTV-2 in Guangdong province, China, which will help to better understand the epidemiology and genetic diversity of ENTV-2.
1. Introduction
Enzootic nasal tumor virus (ENTV) is a single positive-stranded RNA virus that belongs to the genus Betaretrovirus in the family Retroviridae. The genome of ENTV is about 7.5 kilo-base pairs and contains four open reading frames (ORFs), which encode gag (group antigen) protein, pro protease protein, pol protein, and env protein, respectively. Genetically, ENTV is close to jaagsiekte sheep retrovirus (JSRV, another ovine betaretrovirus), which is the causative agent of ovine pulmonary adenocarcinoma (OPA) [1]. ENTV has two types, ENTV-1 in sheep and ENTV-2 in goats [2,3], which mainly cause enzootic nasal adenocarcinoma (ENA), including copious serous nasal discharge, dyspnea, and even death due to respiratory failure [4,5].
Previous studies showed that ENTV-2 was mainly found in Inner Mongolia, Hunan, and Sichuan [6,7,8,9], while in past five years, ENTV-2 has spread to Anhui, Shaanxi, Chongqing, Hunan, and Fujian, suggesting a potential outbreak of ENTV-2 in China [10,11,12,13,14]. In this study, we reported the first case of ENTV-2 infection with distinct genome characteristics in Guangdong, China.
2. Materials and Methods
2.1. Case Description
In September 2017, a suspected case of ENA occurred on a goat farm (total livestock: 82) in Qingyuan city, a city of Guangdong province in southern China. The eight affected goats aged from three-month to one-year. The affected goats presented initial symptoms as nasal polyps (Figure 1a), followed by copious serous nasal discharge, dyspnea emerged, and even death (Figure 1b). To define potential causes of ENA, one affected goat (goat 3) was sent to the Animal Disease Diagnostic Center, Institute of Animal Health, Guangdong Academy of Agricultural Sciences. After euthanasia, the autopsy report showed that the main pathological changes (tumor-like tissue hyperplasia) were observed within the goat nose (Figure 1c). These clinical manifestations suggested that ENTV-2 was considered the potential cause. Serum, tumor-like tissue, and nasal discharge of goat 3 were collected and stored at −80 °C for further use. Tumor-like tissues were stained by hematoxylin-eosin (HE). Sample collection was approved by the ethical and ethics commission (Institute of Animal Health, Guangdong Academy of Agricultural Sciences, China). The license number was SYXK(Yue) 2011–0116. Moreover, all methods in this study were performed in accordance with national and local laws and guidelines.
Figure 1.
Clinical manifestations and pathological changes of goats affected by enzootic nasal tumor virus (ENTV)-2. (a) Bloody polyps appeared around the nostrils of a goat’s nose (Goat 1, about 3-month-old). (b) A lot of nasal discharge appeared around the nose (Goat 2, about 10-month-old). (c) The nasal cavity (Goat 3, about one-year-old) filled with tumor-like tissues.
2.2. Detection and Complete Genome Amplification of ENTV-2
One-step RT-PCR kit (Takara Inc., Dalian, Liaoning, China) was performed to detect ENTV-2 in collected samples, using a pair of previously reported primers (3F: 5′-CACTCCTAATTTGTGCCCACG-3′ and 3R: 5′-GGCCACTGATCGACCCATAC-3′) targeting gag-pro-pol fusion gene (Table 1), according to the manufacturer’s instructions. Four additional pairs of primers (Table 1) were synthesized and used to amplify the genome of ENTV-2, according to one previous literature [13]. One step RT-PCRs were performed with a final reaction volume of 50 μL, containing 25 μL 2 × RT-PCR buffer (Takara, Inc., Dalian, Liaoning, China), 1 μL Enzyme Mix (including reverse transcriptase and DNA polymerase), 5 μL viral RNA, 1 μL each of the primers (10 pmol), and 17 μL RNase-free water. Cycling conditions were as follows: 50 °C for 30 min, 94 °C for 3 min followed by 30 cycles of 94 °C for 30 s, 55 °C for 30 s, and 72 °C for 70 s. A final extension of 5 min at 72 °C concluded the program. The PCR products were purified and cloned into the pGEM-T vector (Tiangen Biotech Co., Ltd. Beijing, China). In addition, the positive recombinant plasmids were sequenced by the Sanger sequencing (Sangon Biotech Co., Ltd. Shanghai, China).
Table 1.
Primers used in this study.
2.3. Sequence and Phylogenetic Analysis
Nucleotide sequence editing, full-length genome assembling, amino acid sequence prediction, sequence alignment, and analysis were performed by using Lasergene v7.1 sequence analysis software package (DNASTAR Inc., Madison, WI, USA). Phylogenetic analysis was performed by the maximum likelihood method with 1000 bootstrap replicates using MEGA 7 software (https://www.megasoftware.net/). One thousand bootstrap replicates were used. Recombination analysis was performed using a recombination detection program (RDP) 4.95 (http://web.cbio.uct.ac.za/~darren/rdp.html).
3. Results and Discussion
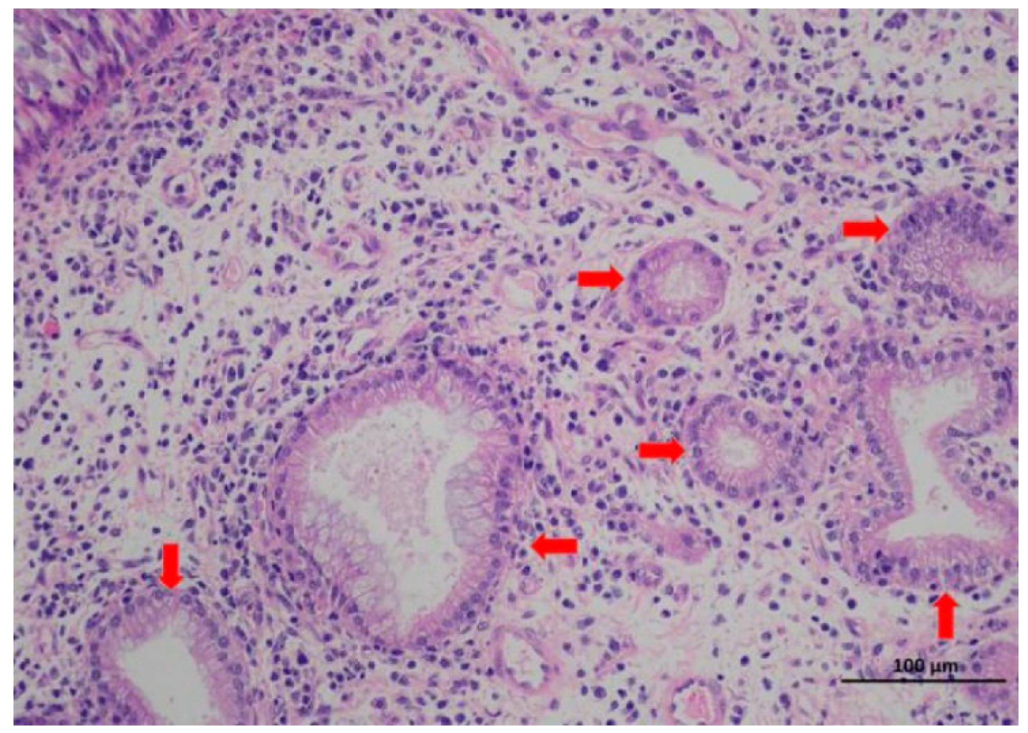
According to the results of HE staining (Figure 2), the tumor appeared in the goat was considered to be nasal adenoma, which was in compliance with the feature of ENA.
Figure 2.
Microscopic feature of tumor tissues in goat 3. There were some different sizes of secretory glandular structures and a lot of interstitial epithelioid cells (labeled by the red arrows) in the figure (Bar = 100 μm).
Serum, tumor-like tissue, and nasal discharge of goat 3 were positive for ENTV-2 by RT-PCR detection. A complete genome sequence (designated GDQY2017) of ENTV-2 with 7479 base pairs was obtained from the goat sera and deposited in the GenBank database (accession number: MK164396). GDQY2017 has four main encoding gene regions, gag gene (position 266–2125), pro gene (position 2017–2886), pol gene (position 3132–4259), env gene (position 5351–7207). Complete genome alignment results showed that GDQY2017 had the highest nucleotide similarity (96.6%) with a Chinese ENTV-2 strain (ENTV-2CHN4, GenBank accession number KU258873), and the lowest nucleotide similarity (88.2%) with a Spanish ENTV-2 strain (GenBank accession number AY197548) isolated in the 1990s (Table 2). Compared with ENTV-1, JSRV, endogenous JSRV (enJSRV), and other ENTV-2 sequences, the gag gene and env gene of GDQY2017 had higher diversities (85.7–96.8% vs. 85.8–95%) than the pro gene and pol gene (90.9–99.4% vs. 88–99.2%).
Table 2.
Similarity (%) of GDQY2017 with other reference retroviruses in goats and sheep.
In addition to nucleotide substitution, the gag gene of GDQY2017 had a distinctive non-continuous 21-nucleotide insertion (Figure 3). Another difference from most of the ENTV-2 sequences is a non-continuous 12-nucleotide deletion in the env gene (Figure 4). Interestingly, most of these indel nucleotide sequences were originated from a JSRV isolate (DQ838494), and some nucleotide sequences were identical to one endogenous JSRV isolate (enJSRV-1, GenBank accession number DQ838494) (Figure 3 and Figure 4).
Figure 3.
Multiple sequence alignment results of the gag gene of ENTV-2 with ENTV-1, jaagsiekte sheep retrovirus (JSRV), and endogenous JSRV (enJSRV). The nucleotide insertion sites in the gag gene of GDQY2017 were marked with green color.
Figure 4.
Multiple sequence alignment results of the env gene of ENTV-2 with ENTV-1, JSRV, and enJSRV. The nucleotide deletion sites in the env gene of GDQY2017 were marked with green color. Moreover, compared to ENTV-2CHN1, GDQY2017 had an additional three-nucleotide deletion (marked with green color) in position 1839–1841 of the env gene.
At the amino acid level, the gag protein sequences of GDQY2017 showed the highest similarity (95.1%) with ENTV-2CHN6 (KU258875), ENTV-2CHN7 (KU258876), and ENTV-2CHN11 (KU258880), and shared the lowest similarity (88.3%) with CQ1 (MK164400) and ENTV-SC (HM104174). Compared to previous strains, there were seven non-continuous amino acid insertion sites in the gag protein of GDQY2017 (Figure 5). While, the env protein sequences of GDQY2017 had the highest similarity (94.6%) with one endogenous JSRV isolate (KarM, MF175071), and shared the lowest similarity with a Spanish ENTV-2 isolate (AY197548). Compared to previous ENTV-2 strains, four continuous amino acid deletion sites were found in the env protein of GDQY2017 (Figure 6), which is identical to ENTV-2CHN1 (KU258870).
Figure 5.
Multiple sequence alignment results of the gag protein of ENTV-2. The amino acid insertion sites (EGD-S-PPP) in the gag protein of GDQY2017 were marked with green color.
Figure 6.
Multiple sequence alignment results of the env protein of ENTV-2 with ENTV-1, JSRV, and enJSRV. The amino acid deletion sites in the env protein of GDQY2017 were marked with green color.
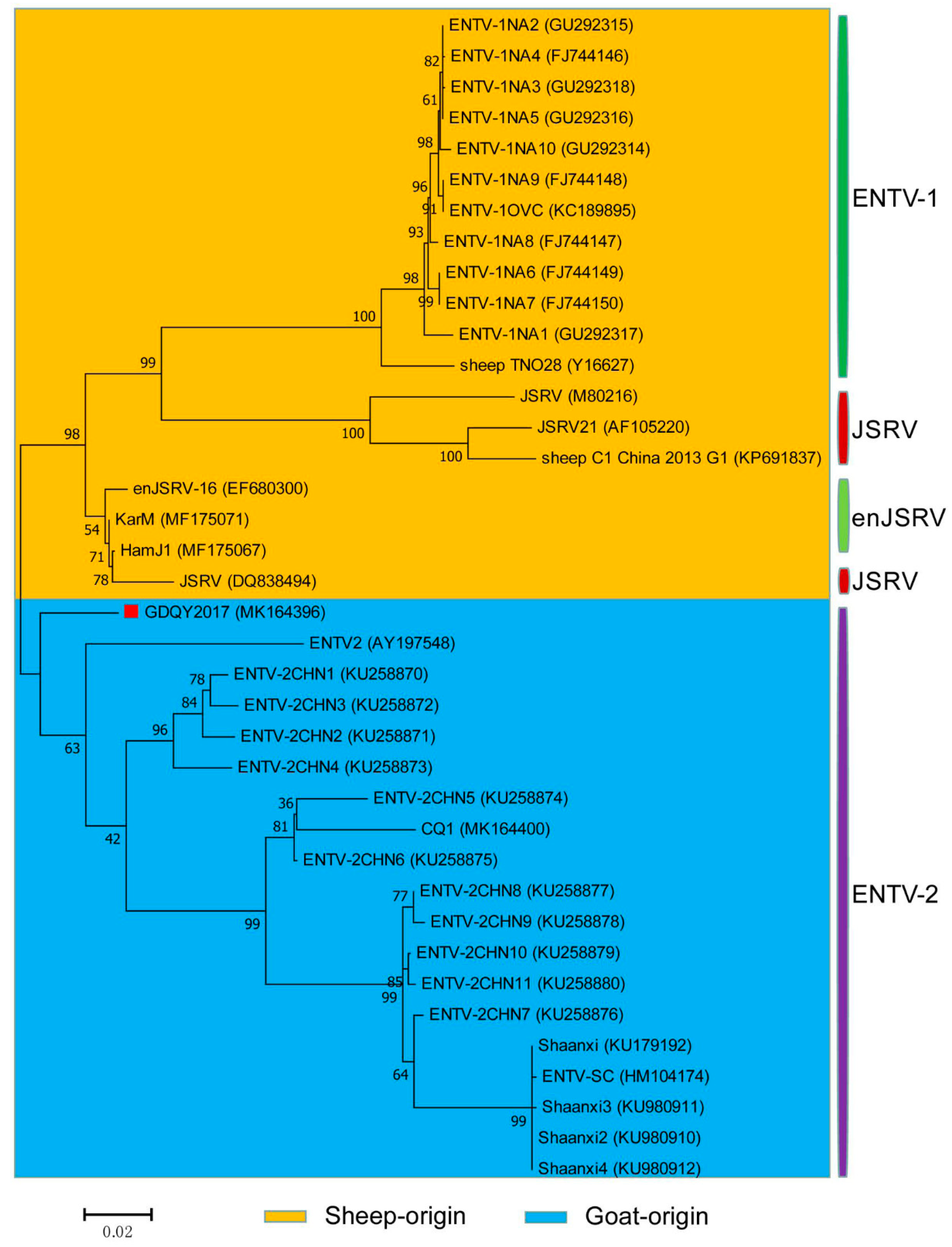
In the phylogenetic tree based on the gag and env genes, GDQY2017 was clustered with ENTV-2 branch and phylogenetically related to a Chinese JSRV isolate (DQ838494) or an endogenous JSRV isolate (enJSRV-1, EF680311) (Figure 7 and Figure 8).
Figure 7.
Phylogenetic analysis of the gag gene of ENTV-2 with ENTV-1, JSRV, and enJSRV. GDQY2017 described in this study was marked with the red square.
Figure 8.
Phylogenetic analysis based on the env gene of ENTV-2 with ENTV-1 and JSRV. GDQY2017 described in this study was marked with the red square.
Moreover, no possible recombination points among ENTV-2 and other retroviruses were found by RDP.
In China, reports of OPA and ENA could be traced back to 1982 in Inner Mongolia of north China [6]. Although cases of OPA and ENA were restricted in northern China previously, increasing cases have been reported in recent years [6,7]. ENTV spread from northern to southern gradually, including Sichuan province, Chongqing city, Guizhou province, Fujian province, Anhui province, and Hunan province [8,9,10,11,12,13,14]. Here, we reported the first ENTV-2 case in Guangdong province, southern China. The possible reasons for this outbreak are as follows: 1) the rapid development of the logistics industry and the policy guidance for southern herbivore animal husbandry that made that live goats move around more and more frequently; 2) the lack of ENTV-2 pathogen quarantine when farms introduce or export goats. Therefore, effective animal disease surveillance agencies in China still need improvement.
One previous study showed that an unusually high degree of genetic stability (>96%) existed in the genome of ENTV-1 isolated from North America and Europe [15]. However, JSRV isolates had lower genetic similarity (89.9–95.7%) than ENTV-1 isolates, showing three main variable regions (VRs) (VR1 and VR2 in gag genes, and VR3 in env gene) [16,17,18]. In this study, the genome similarity of ENTV-2 varied from 87.1% to 99.8%, indicating that ENTV-2 had higher genetic diversity than ENTV-1 and JSRV. Notably, we identified a novel ENTV-2 (GDQY2017) with gene insertion and deletion among the genome sequence that is significantly different from previously reported ENTV-2 strains. Although GDQY2017 is similar to the ENTV-2CHN1 and the Chinese JSRV sequence (DQ838494) and enJSRV sequence, it had the same six-amino acid deletion in the env gene, and ENTV-2CHN1 had an additional amino acid (N) insertion in the env gene (Figure 6). Other than previous ENTV-2 sequences, GDQY2017 had a higher identity (92.2%) to a Chinese JSRV sequence (DQ838494) and an endogenous JSRV sequence (enJSRV-1, EF680311) than other JSRV and ENTV-1 sequences (87.6–88.4%). Interestingly, some sequences of GDQY2017 were similar or identical to certain sequences of the Chinese JSRV sequence (DQ838494) and enJSRV-1 (EF680311) (Figure 3 and Figure 4). Surprisingly, most of the indel points in the GDQY2017 genome located in VR regions of the JSRV genome [16,17,18]. All the genome features above indicated that GDQY2017 was a novel ENTV-2 isolate with unique features among JSRV and enJSRV.
In this study, five pairs of overlapping primers were used to amplify the genome of ENTV-2 and derived five PCR products were cloned and sequenced. Due to high sequence similarity between both exogenous and endogenous viruses, it is still possible that some of determined sequences may come from endogenous viral sequences. Further experiment is needed towards amplifying and sequencing the full genome-size clone or large PCR products so any possible components of the endogenous viruses would be excluded.
Generally, ENTV-1 and JSRV only infected sheep, while ENTV-2 only infected goats. But, one previous study reported that the experimental goats could be infected with JSRV and developed lung tumors [19], which improve our understanding of retrovirus in sheep and goats, and revealed that JSRV could break across the species barriers. In China, goats carrying ENTV-2 and sheep carrying JSRV were raised together on some farms. The feeding mode might potentially promote the emergence of the chimeric virus. In this study, GDQY2017 had certain identical or similar gene sequences with the Chinese JSRV sequence (DQ838494), which further supports our speculation. As far as we checked, any clinical lesions in the lungs of the affected goats were not observed (data not shown). In subsequent studies, relevant animal experiments should be made to verify this hypothesis.
Usually, ENTV-2 infections occur in goats older than six-month-old [6,20,21]. However, in this study, we found that younger goats (about 3-month old) could be also infected with ENTV-2 and showed tumor-like lesions, suggesting that the ENTV-2 strain could cause acute infection in goats, which is similar to the acute infection in lambs caused by ENTV-1 [5]. Generally, tumor formation and growth require a certain amount of time. The occurrence of tumors in low-age lambs or goats revealed a possibility of vertical transmission. As the age rose, the number and size of tumors increased in goats (Figure 1). Due to the lack of in vitro cell lines, it is necessary to construct an infectious clone according to the infectious clone strategy of ENTV-1, which may help identify the pathogenicity of the novel ENTV-2 isolate in goats [22].
4. Conclusions
In summary, we identified the first case of ENTV-2 on a commercial goat farm in Guangdong province of southern China. Our data could help understand the epidemiology and genetic diversity of ENTV-2. The epidemic significance and potential pathogenicity of ENTV-2 in the goat population need to be further investigated.
Author Contributions
Conceptualization, S.-L.Z. and H.Z.; methodology, S.-L.Z. and H.Z.; software, S.-L.Z.; writing—original draft preparation, S.-L.Z.; writing—review and editing, D.-H.L., Z.-H.X., J.-S.Y., X.-H.W., C.-L.J., X.-R.Z., Q.Z., and P.C.Y.W.; supervision, S.K.P.L., F.L., D.W., and W.-K.W.; project administration, S.-L.Z. and Q.-L.C.
Funding
This research was funded by two grants (Grant nos. 2017A040403061 and 2019B020217002) from Guangdong Provincial Department of Science and Technology, and two grants (Disciplinary Team Construction Program, Grant no. 201634TD and Jinying’s Star Talent Program, Grant no. 201803) from Guangdong Academy of Agricultural Sciences.
Acknowledgments
We are very grateful to Yun Xi (Department of Clinical Laboratory, The Third Affiliated Hospital of Sun Yat-sen University) and Su-Hui Zhao (Department of Microbiology, The University of Hong Kong) for English editing in the revised manuscript.
Conflicts of Interest
The authors declare no conflict of interest.
References
- Palmarini, M.; Sharp, J.; de las Heras, M.; Fan, H. Jaagsiekte sheep retrovirus is necessary and sufficient to induce a contagious lung cancer in sheep. J. Virol. 1999, 73, 6964–6972. [Google Scholar] [PubMed]
- Cousens, C.; Minguijon, E.; Dalziel, R.G.; Ortin, A.; Garcia, M.; Park, J.; Gonzalez, L.; Sharp, J.M.; de las Heras, M. Complete sequence of enzootic nasal tumor virus, a retrovirus associated with transmissible intranasal tumors of sheep. J. Virol. 1999, 73, 3986–3993. [Google Scholar] [PubMed]
- Ortín, A.; Cousens, C.; Minguijón, E.; Pascual, Z.; Villarreal, M.P.; Sharp, J.M.; Heras Mde, L. Characterization of enzootic nasal tumour virus of goats: Complete sequence and tissue distribution. J. Gen. Virol. 2003, 84, 2245–2252. [Google Scholar] [CrossRef]
- De las Heras, M.; García de Jalón, J.A.; Minguijón, E.; Gray, E.W.; Dewar, P.; Sharp, J.M. Experimental transmission of enzootic intranasal tumors of goats. Vet. Pathol. 1995, 32, 19–23. [Google Scholar] [CrossRef] [PubMed]
- Walsh, S.R.; Linnerth-Petrik, N.M.; Yu, D.L.; Foster, R.A.; Menzies, P.I.; Diaz-Méndez, A.; Chalmers, H.J.; Wootton, S.K. Experimental transmission of enzootic nasal adenocarcinoma in sheep. Vet. Res. 2013, 44, 66. [Google Scholar] [CrossRef]
- Liu, F.X.; Lin, X.; Huang, F.; Hao, X.P.; Zhao, Z.H.; Yu, W.S.; Wang, H.Z. An investigation and pathologic morphological study on tumors of domestic animals in Inner Mongolia. Vet. Ori. 1984, 3, 15–25. (in Chinese). [Google Scholar]
- Lei, H.Y.; Su, J.M.; Ning, L.Z.; Kang, Y.; Chen, K.Y.; Zeng, D.N. Investigation and diagnosis of an enzootic nasal tumor of goat. Prog. Vet. Med. 2006, 27, 112–114. (in Chinese). [Google Scholar]
- Yi, G.; Kaiyu, W.; Qigui, Y.; Zhongqiong, Y.; Yingdong, Y.; Defang, C.; Jinlu, H. Descriptive study of enzootic nasal adenocarcinoma in goats in southwestern China. Transbound. Emerg. Dis. 2010, 57, 197–200. [Google Scholar] [CrossRef]
- Liu, F.; Feng, Y.C.; Yan, Q.G.; Han, G.Q. Diagnosis of an enzootic nasal tumor of goat in Sichuan. Anim. Husb. Vet. Med. 2011, 43, 83–86. (in Chinese). [Google Scholar]
- Yu, Y.D.; Wei, L.F.; Huang, X.J.; Zhang, B.; Yu, X.H.; Tang, C. Diagnosis of four cases of enzootic nasal adenocarcinoma of goats. Prog. Vet. Med. 2014, 35, 129–131. (in Chinese). [Google Scholar]
- Jiang, J.X.; Lin, Y.S.; Jiang, B.; Mao, K.M.; You, W.; Zhang, J.P.; Hu, Q.L. Molecular epidemiology of enzootic nasal tumor virus on goats in Fujian. Fujian J. Agr. Sci. 2017, 32, 837–841. (in Chinese). [Google Scholar]
- Hou, H.; Zhu, D.; Zhang, D.; Hu, X.; Zhao, R.; Dai, Y. Cloning and Analysis of gag Gene of Enzootic Nasal Tumor Virus in Goats. Chin. Herb. Sci. 2018, 38, 53–55. (in Chinese). [Google Scholar]
- He, Y.; Zhang, Q.; Wang, J.; Zhou, M.; Fu, M.; Xu, X. Full-length genome sequence analysis of enzootic nasal tumor virus isolated from goats in China. Virol. J. 2017, 14, 141. [Google Scholar] [CrossRef] [PubMed]
- Ye, C.; Huang, Q.; Chen, T.; Jiang, J.; Hou, F.; Xu, D.; Peng, Y.; Fang, R.; Chen, J. First detection and genotypic analysis of goat enzootic nasal tumor virus 2 in Chongqing, China. Arch. Virol. 2019, 164, 1647–1650. [Google Scholar] [CrossRef] [PubMed]
- Walsh, S.R.; Linnerth-Petrik, N.M.; Laporte, A.N.; Menzies, P.I.; Foster, R.A.; Wootton, S.K. Full-length genome sequence analysis of enzootic nasal tumor virus reveals an unusually high degree of genetic stability. Virus Res. 2010, 151, 74–87. [Google Scholar] [CrossRef] [PubMed]
- Hallwirth, C.; Maeda, N.; York, D.; Fan, H. Variable regions 1 and 2 (VR1 and VR2) in JSRV gag are not responsible for the endogenous JSRV particle release defect. Virus Genes. 2005, 30, 59–68. [Google Scholar] [CrossRef]
- Mura, M.; Murcia, P.; Caporale, M.; Spencer, T.E.; Nagashima, K.; Rein, A.; Palmarini, M. Late viral interference induced by transdominant Gag of an endogenous retrovirus. Proc. Natl. Acad. Sci. USA 2004, 101, 11117–11122. [Google Scholar] [CrossRef]
- Palmarini, M.; Maeda, N.; Murgia, C.; De-Fraja, C.; Hofacre, A.; Fan, H. A phosphatidylinositol 3-kinase docking site in the cytoplasmic tail of the Jaagsiekte sheep retrovirus transmembrane protein is essential for envelope-induced transformation of NIH 3T3 cells. J. Virol. 2001, 75, 11002–11009. [Google Scholar] [CrossRef]
- Caporale, M.; Martineau, H.; De las Heras, M.; Murgia, C.; Huang, R.; Centorame, P.; Di Francesco, G.; Di Gialleonardo, L.; Spencer, T.E.; Griffiths, D.J.; et al. Host species barriers to Jaagsiekte sheep retrovirus replication and carcinogenesis. J. Virol. 2013, 87, 10752–10762. [Google Scholar] [CrossRef]
- De las Heras, M.; Garcia de Jalon, J.A.; Sharp, J.M. Pathology of enzootic intranasal tumor in thirty-eight goats. Vet. Pathol. 1991, 28, 474–481. [Google Scholar] [CrossRef]
- Vitellozzi, G.; Mughetti, L.; Palmarini, M.; Mandara, M.T.; Mechelli, L.; Sharp, J.M.; Manocchio, I. Enzootic intranasal tumour of goats in Italy. J. Vet. Med. Ser. B 1993, 40, 459–468. [Google Scholar] [CrossRef] [PubMed]
- Walsh, S.R.; Gerpe, M.C.; Wootton, S.K. Construction of a molecular clone of ovine enzootic nasal tumor virus. Virol. J. 2016, 13, 209. [Google Scholar] [CrossRef] [PubMed]
© 2019 by the authors. Licensee MDPI, Basel, Switzerland. This article is an open access article distributed under the terms and conditions of the Creative Commons Attribution (CC BY) license (http://creativecommons.org/licenses/by/4.0/).







