Intranasal Immunization with a Recombinant Avian Paramyxovirus Serotypes 2 Vector-Based Vaccine Induces Protection against H9N2 Avian Influenza in Chicken
Abstract
1. Introduction
2. Materials and Methods
2.1. Viruses and Cells
2.2. Whole Genome Sequencing of APMV-2-T4
2.3. Construction of Plasmids
2.4. Rescue of the Viruses
2.5. Evaluation of Biological Characteristics of Recombinant Viruses rAPMV-2/HAs
2.6. Determination of HA Protein Expression
2.7. Vaccination Efficacy in Chickens
2.8. Statistical Analyses
3. Results
3.1. Phylogenetic and Genetic Analysis of APMV-2-T4
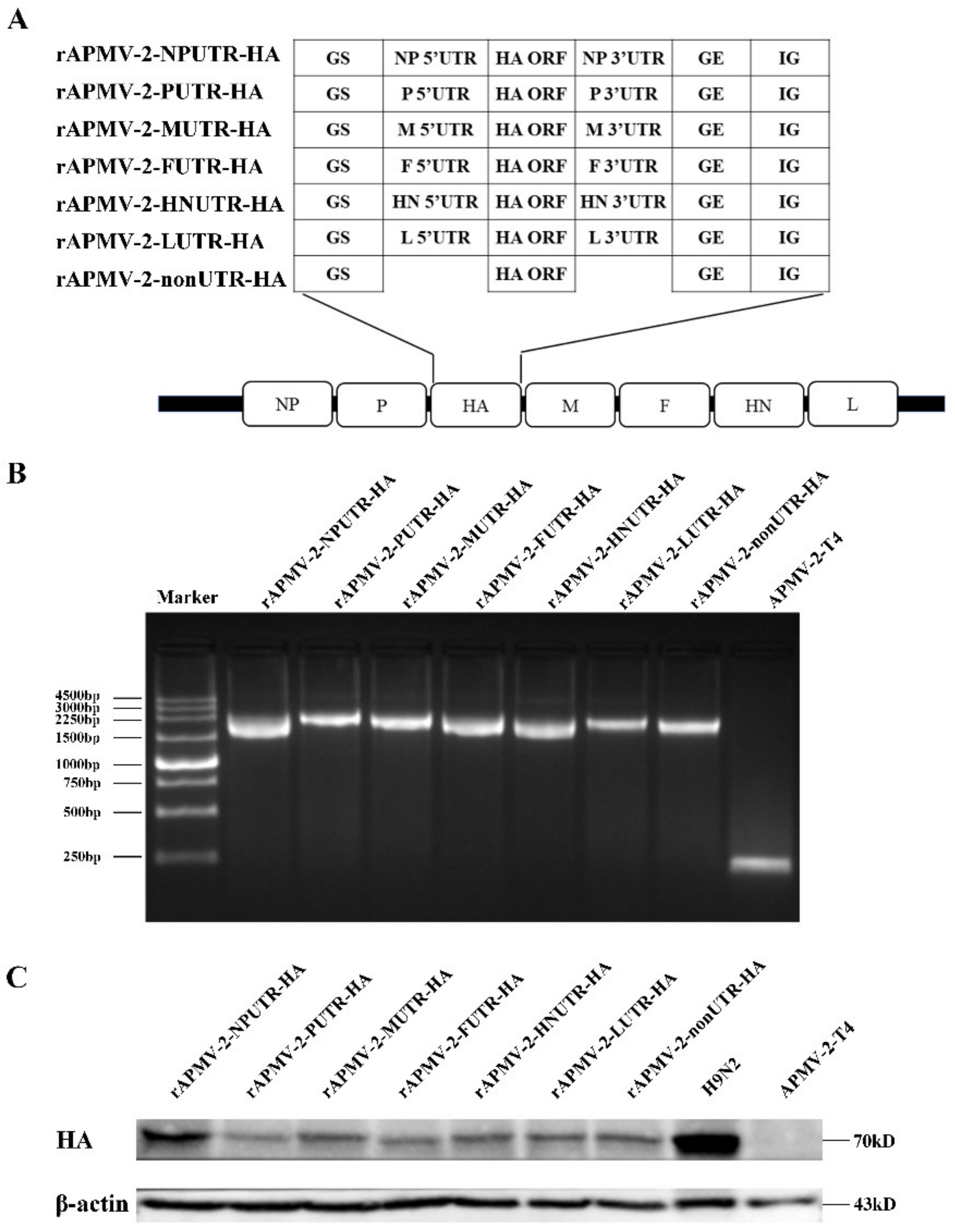
3.2. Generation of rAPMV-2/HAs Expressing HA Protein of H9N2
3.3. The Virus Titre and Pathogenicity Indexes of rAPMV-2/HAs
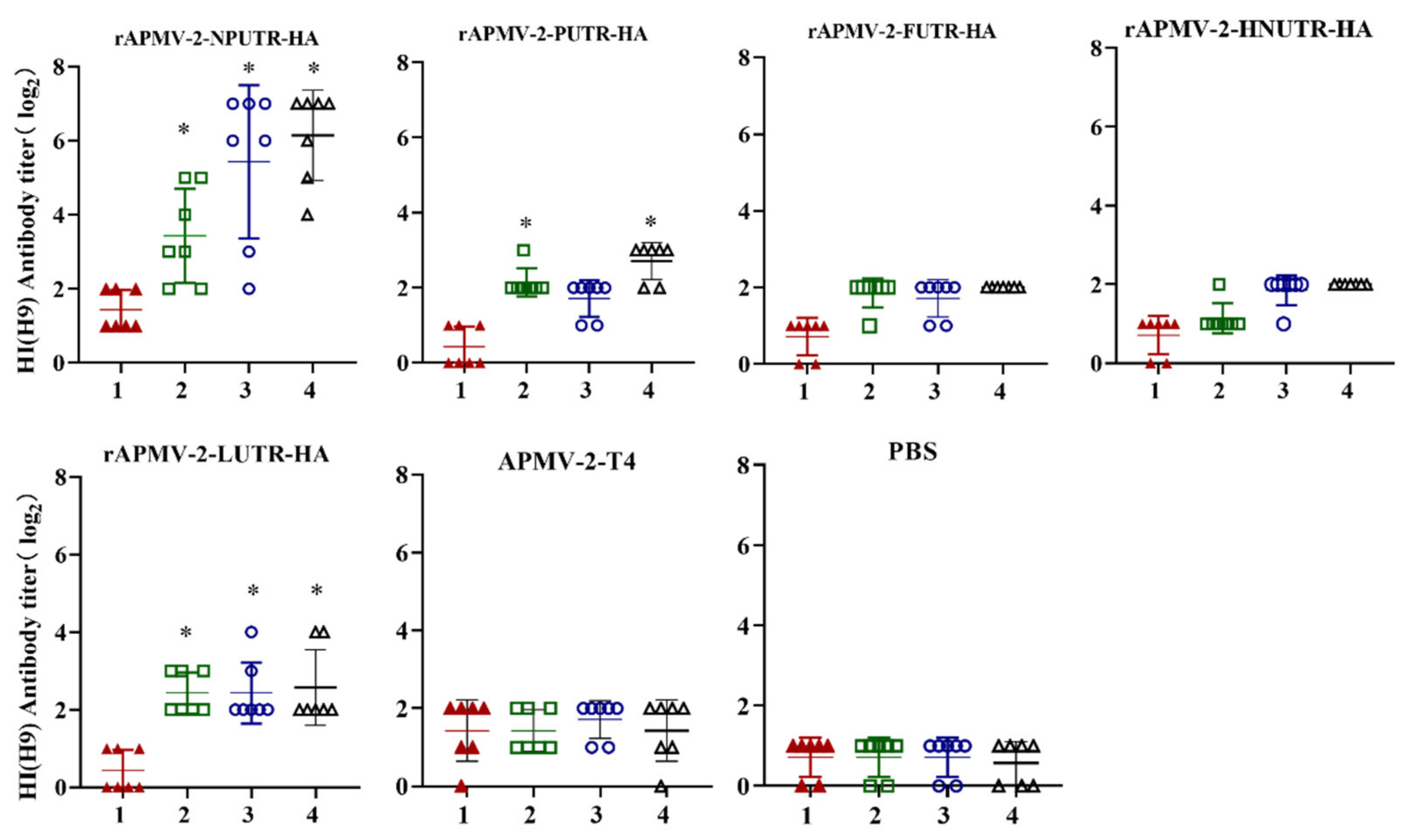
3.4. HI Antibody Titers of rAPMV-2/HAs against H9N2 or APMV-2
3.5. Protective Efficacy of Recombinant APMVs against H9N2 AIV
4. Discussion
5. Conclusions
Supplementary Materials
Author Contributions
Funding
Institutional Review Board Statement
Informed Consent Statement
Data Availability Statement
Acknowledgments
Conflicts of Interest
References
- Peacock, T.H.P.; James, J.; Sealy, J.E.; Iqbal, M. A Global Perspective on H9N2 Avian Influenza Virus. Viruses 2019, 11, 620. [Google Scholar] [CrossRef] [PubMed]
- Choi, Y.K.; Ozaki, H.; Webby, R.J.; Webster, R.G.; Peiris, J.S.; Poon, L.; Butt, C.; Leung, Y.H.; Guan, Y. Continuing evolution of H9N2 influenza viruses in Southeastern China. J. Virol. 2004, 78, 8609–8614. [Google Scholar] [CrossRef] [PubMed]
- Dong, G.; Cong, X.; Wang, C.; Wu, B.; Jing, L.; Hong, Z.; Nolte, D.L.; Deliberto, T.J.; Duan, M.; Ji, G. Reassortant H9N2 Influenza Viruses Containing H5N1-Like PB1 Genes Isolated from Black-Billed Magpies in Southern China. PLoS ONE 2011, 6, e25808. [Google Scholar] [CrossRef] [PubMed]
- Butt, K.M.; Smith, G.J.; Chen, H.; Zhang, L.J.; Leung, Y.H.; Xu, K.M.; Lim, W.; Webster, R.G.; Yuen, K.Y.; Peiris, J.S.; et al. Human infection with an avian H9N2 influenza A virus in Hong Kong in 2003. J. Clin. Microbiol. 2005, 43, 5760–5767. [Google Scholar] [CrossRef]
- Song, W.; Qin, K. Human-infecting influenza A (H9N2) virus: A forgotten potential pandemic strain? Zoonoses Public Health 2020, 67, 203–212. [Google Scholar] [CrossRef]
- Yu, Q.; Liu, L.; Pu, J.; Zhao, J.; Sun, Y.; Shen, G.; Wei, H.; Zhu, J.; Zheng, R.; Xiong, D. Risk perceptions for avian influenza virus infection among poultry workers, China. Emerg. Infect. Dis. 2013, 19, 313. [Google Scholar] [CrossRef]
- Quan, C.S.; Wang, Q.L.; Zhang, J.; Zhao, M.; Dai, Q.G.; Huang, T.; Zhang, Z.W.; Mao, S.H.; Nie, Y.F.; Liu, J.; et al. Avian Influenza A Viruses among Occupationally Exposed Populations, China, 2014–2016. Emerg. Infect. Dis. 2019, 25, 2215–2225. [Google Scholar] [CrossRef]
- Bi, Y.; Li, J.; Li, S.; Fu, G.; Jin, T.; Zhang, C.; Yang, Y.; Ma, Z.; Tian, W.; Li, J.; et al. Dominant subtype switch in avian influenza viruses during 2016–2019 in China. Nat. Commun. 2020, 11, 5909. [Google Scholar] [CrossRef]
- Zheng, L.; Wang, F.; Yang, Z.; Chen, J.; Chang, H.; Chen, Z. A single immunization with HA DNA vaccine by electroporation induces early protection against H5N1 avian influenza virus challenge in mice. BMC Infect Dis. 2009, 9, 17. [Google Scholar] [CrossRef]
- Swayne, D.E.; Kapczynski, D. Strategies and challenges for eliciting immunity against avian influenza virus in birds. Immunol. Rev. 2008, 225, 314–331. [Google Scholar] [CrossRef]
- Li, C.; Yu, K.; Tian, G.; Yu, D.; Liu, L.; Jing, B.; Ping, J.; Chen, H. Evolution of H9N2 influenza viruses from domestic poultry in Mainland China. Virology 2005, 340, 70–83. [Google Scholar] [CrossRef]
- Krammer, F.; Palese, P. Advances in the development of influenza virus vaccines. Nat. Rev. Drug Discov. 2015, 14, 167–182. [Google Scholar] [CrossRef]
- Capua, I.; Alexander, D.J. Avian influenza vaccines and vaccination in birds. Vaccine 2008, 26 (Suppl. 4), D70–D73. [Google Scholar] [CrossRef]
- Bull, J.; Molineux, I.; Wilke, C. Slow fitness recovery in a codon-modified viral genome. Mol. Biol. Evol. 2012, 29, 2997–3004. [Google Scholar] [CrossRef]
- McNulty, M.S.; Allan, G.M.; Adair, B.M. Efficacy of avian influenza neuraminidase-specific vaccines in chickens. Avian Pathol 1986, 15, 107–115. [Google Scholar] [CrossRef]
- Beard, C.W.J.A.D. Immunization approaches to avian influenza. Avian Dis. 2003, 47, 172–177. [Google Scholar]
- Beard, C.; Easterday, B. A/Turkey/Oregon/71, an avirulent influenza isolate with the hemagglutinin of fowl plague virus. Avian. Dis. 1973, 17, 173–181. [Google Scholar] [CrossRef]
- Veits, J.; Wiesner, D.; Fuchs, W.; Hoffmann, B.; Granzow, H.; Starick, E.; Mundt, E.; Schirrmeier, H.; Mebatsion, T.; Mettenleiter, T.C.; et al. Newcastle disease virus expressing H5 hemagglutinin gene protects chickens against Newcastle disease and avian influenza. Proc. Natl. Acad. Sci. USA 2006, 103, 8197–8202. [Google Scholar] [CrossRef]
- Balzli, C.L.; Bertran, K.; Lee, D.H.; Killmaster, L.; Pritchard, N.; Linz, P.; Mebatsion, T.; Swayne, D.E. The efficacy of recombinant turkey herpesvirus vaccines targeting the H5 of highly pathogenic avian influenza virus from the 2014–2015 North American outbreak. Vaccine 2018, 36, 84–90. [Google Scholar] [CrossRef]
- Steensels, M.; Bublot, M.; Borm, S.V.; Vriese, J.D.; Lambrecht, B.; Richard-Mazet, A.; Chanavat-Bizzini, S.; Duboeuf, M.; Gros, F.; Berg, T. Prime–boost vaccination with a fowlpox vector and an inactivated avian influenza vaccine is highly immunogenic in Pekin ducks challenged with Asian H5N1 HPAI. Vaccine 2009, 27, 646–654. [Google Scholar] [CrossRef]
- Nakaya, T.; Cros, J.; Park, M.S.; Nakaya, Y.; Zheng, H.; Sagrera, A.; Villar, E.; Garcia-Sastre, A.; Palese, P. Recombinant Newcastle disease virus as a vaccine vector. J. Virol. 2001, 75, 11868–11873. [Google Scholar] [CrossRef] [PubMed]
- Greenall, S.A.; Tyack, S.G.; Johnson, M.A.; Sapats, S.I. Antibody fragments, expressed by a fowl adenovirus vector, are able to neutralize infectious bursal disease virus. Avian Pathol. 2010, 39, 339–348. [Google Scholar] [CrossRef] [PubMed][Green Version]
- Zhang, F.; Chen, W.; Ma, C.; Zhang, Z.; Zhao, P.; Du, Y.; Zhang, Y.; Duan, L.; Fang, J.; Li, S. Transcriptional activity comparison of different sites in recombinant Marek’s disease virus for the expression of the H9N2 avian influenza virus hemagglutinin gene. J. Virol. Methods 2014, 207, 138–145. [Google Scholar] [CrossRef] [PubMed]
- Li, Y.; Reddy, K.; Reid, S.M.; Cox, W.J.; Brown, I.H.; Britton, P.; Nair, V.; Iqbal, M. Recombinant herpesvirus of turkeys as a vector-based vaccine against highly pathogenic H7N1 avian influenza and Marek’s disease. Bioengineered 2012, 29, 8257–8266. [Google Scholar] [CrossRef]
- Alexander, D.J. Newcastle Disease; Springer Science & Business Media: Berlin/Heidelberg, Germany, 1988; Volume 8. [Google Scholar]
- Xu, X.; Xue, C.; Liu, X.; Li, J.; Fei, Y.; Liu, Z.; Mu, J.; Bi, Y.; Qian, J.; Yin, R.; et al. A novel recombinant attenuated Newcastle disease virus expressing H9 subtype hemagglutinin protected chickens from challenge by genotype VII virulent Newcastle disease virus and H9N2 avian influenza virus. Vet. Microbiol. 2019, 228, 173–180. [Google Scholar] [CrossRef]
- Park, M.S.; Steel, J.; Garcia-Sastre, A.; Swayne, D.; Palese, P. Engineered viral vaccine constructs with dual specificity: Avian influenza and Newcastle disease. Proc. Natl. Acad. Sci. USA 2006, 103, 8203–8208. [Google Scholar] [CrossRef]
- Ge, J.; Deng, G.; Wen, Z.; Tian, G.; Wang, Y.; Shi, J.; Wang, X.; Li, Y.; Hu, S.; Jiang, Y.; et al. Newcastle disease virus-based live attenuated vaccine completely protects chickens and mice from lethal challenge of homologous and heterologous H5N1 avian influenza viruses. J. Virol. 2007, 81, 150–158. [Google Scholar] [CrossRef]
- Swayne, D.E. Diseases of Poultry, 13th ed.; John Wiley & Sons: Ames, IA, USA, 2013. [Google Scholar]
- Nayak, B.; Dias, F.M.; Kumar, S.; Paldurai, A.; Collins, P.L.; Samal, S.K. Avian paramyxovirus serotypes 2-9 (APMV-2-9) vary in the ability to induce protective immunity in chickens against challenge with virulent Newcastle disease virus (APMV-1). Vaccine 2012, 30, 2220–2227. [Google Scholar] [CrossRef][Green Version]
- Lamb, R.A.; Kolakofsky, D. Paramyxoviridae: The Viruses and Their Replication. In Fields Virology; Lippincott Williams & Wilkins: Philadelphia, PA, USA, 1996. [Google Scholar]
- Tsunekuni, R.; Hikono, H.; Tanikawa, T.; Kurata, R.; Nakaya, T.; Saito, T. Recombinant avian paramyxovirus serotypes 2, 6, and 10 as vaccine vectors for highly pathogenic avian influenza in chickens with antibodies against Newcastle disease virus. Avian Dis. 2017, 61, 296–306. [Google Scholar] [CrossRef]
- Tsunekuni, R.; Hikono, H.; Saito, T. Evaluation of avian paramyxovirus serotypes 2 to 10 as vaccine vectors in chickens previously immunized against Newcastle disease virus. Vet. Immunol. Immunopathol. 2014, 160, 184–191. [Google Scholar] [CrossRef]
- Kim, S.H.; Samal, S.K. Role of untranslated regions in regulation of gene expression, replication, and pathogenicity of Newcastle disease virus expressing green fluorescent protein. J. Virol. 2010, 84, 2629–2634. [Google Scholar] [CrossRef]
- Tsunekuni, R.; Tanikawa, T.; Nakaya, T.; Saito, T. Improvement of a recombinant avian avulavirus serotype 10 vectored vaccine by the addition of untranslated regions. Vaccine 2020, 38, 822–829. [Google Scholar] [CrossRef]
- Buchholz, U.J.; Finke, S.; Conzelmann, K.K. Generation of bovine respiratory syncytial virus (BRSV) from cDNA: BRSV NS2 is not essential for virus replication in tissue culture, and the human RSV leader region acts as a functional BRSV genome promoter. J. Virol. 1999, 73, 251–259. [Google Scholar] [CrossRef]
- Alexander, D.J. Newcastle disease and other avian paramyxoviruses. Rev. Sci. Et Tech. Int. Off. Epizoot. 2000, 19, 443–462. [Google Scholar] [CrossRef]
- Biacchesi, S.; Skiadopoulos, M.H.; Yang, L.; Murphy, B.R.; Collins, P.L.; Buchholz, U.J. Rapid human metapneumovirus microneutralization assay based on green fluorescent protein expression. J. Virol. Methods 2005, 128, 192–197. [Google Scholar] [CrossRef]
- Stear, M.J. OIE Manual of Diagnostic Tests and Vaccines for Terrestrial Animals (Mammals, Birds and Bees), 5th ed.; World Organization for Animal Health: Paris, France, 2004; Volumes 1 & 2, ISBN 92 9044 622 6. [Google Scholar]
- Gu, M.; Xu, L.; Wang, X.; Liu, X. Current situation of H9N2 subtype avian influenza in China. Vet. Res. 2017, 48, 49. [Google Scholar] [CrossRef]
- Liu, J.; Xue, L.; Hu, S.; Cheng, H.; Deng, Y.; Hu, Z.; Wang, X.; Liu, X. Chimeric Newcastle disease virus-vectored vaccine protects chickens against H9N2 avian influenza virus in the presence of pre-existing NDV immunity. Arch. Virol. 2018, 163, 3365–3371. [Google Scholar] [CrossRef]
- Aziz Ul, R.; Munir, M.; Shabbir, M.Z. Comparative evolutionary and phylogenomic analysis of Avian avulaviruses 1–20. Mol. Phylogenetics Evol. 2018, 127, 931–951. [Google Scholar] [CrossRef]
- Subbiah, M.; Nayak, S.; Collins, P.L.; Samal, S.K. Complete genome sequences of avian paramyxovirus serotype 2 (APMV-2) strains Bangor, England and Kenya: Evidence for the existence of subgroups within serotype 2. Virus. Res. 2010, 152, 85–95. [Google Scholar] [CrossRef]
- Zhang, G.Z.; Zhao, J.X.; Wang, M. Serological survey on prevalence of antibodies to avian paramyxovirus serotype 2 in China. Avian Dis. 2007, 51, 137–139. [Google Scholar] [CrossRef]
- Jin, J.H.; Wang, J.J.; Ren, Y.C.; Liu, S.; Li, J.P.; Hou, G.Y.; Liu, H.L.; Zhuang, Q.Y.; Wang, S.C.; Jiang, W.M.; et al. A set of RT-PCR assays for detection of all known avian paramyxoviruses and application in surveillance of avian paramyxoviruses in China. PeerJ 2021, 9, e10748. [Google Scholar] [CrossRef] [PubMed]
- Anderson, D.E.; Castan, A.; Bisaillon, M.; von Messling, V. Elements in the canine distemper virus M 3′ UTR contribute to control of replication efficiency and virulence. PLoS ONE 2012, 7, e31561. [Google Scholar] [CrossRef] [PubMed]
- Takeda, M.; Ohno, S.; Seki, F.; Nakatsu, Y.; Tahara, M.; Yanagi, Y. Long untranslated regions of the measles virus M and F genes control virus replication and cytopathogenicity. J. Virol. 2005, 79, 14346–14354. [Google Scholar] [CrossRef]
- OIE. Chapter 3.3.14. Newcastle disease (infection with Newcastle disease virus) (version adopted in May 2021). In Manual of Diagnostic Tests and Vaccines for Terrestrial Animals, 8th ed.; OIE: Paris, France, 2021; pp. 1–19. [Google Scholar]
- OIE. Chapter 3.3.4. Avian influenza (including infection with high pathogenicity avian influensza viruses). In Manual of Diagnostic Tests and Vaccines for Terrestrial Animal, 8th ed.; OIE: Paris, France, 2021; pp. 1–18. [Google Scholar]
- Kim, S.M.; Kim, Y.I.; Park, S.J.; Kim, E.H.; Kwon, H.I.; Si, Y.J.; Lee, I.W.; Song, M.S.; Choi, Y.K. Vaccine Efficacy of Inactivated, Chimeric Hemagglutinin H9/H5N2 Avian Influenza Virus and Its Suitability for the Marker Vaccine Strategy. J. Virol. 2017, 91, e01693–16. [Google Scholar] [CrossRef]
- Ducatez, M.F.; Becker, J.; Freudenstein, A.; Delverdier, M.; Delpont, M.; Sutter, G.; Guérin, J.L.; Volz, A. Low pathogenic avian influenza (H9N2) in chicken: Evaluation of an ancestral H9-MVA vaccine. Vet. Microbiol. 2016, 189, 59–67. [Google Scholar] [CrossRef]
- Ellakany, H.F.; Gado, A.R.; Elbestawy, A.R.; Abd El-Hamid, H.S.; Hafez, H.M.; Abd El-Hack, M.E.; Swelum, A.A.; Al-Owaimer, A.; Saadeldin, I.M. Interaction between avian influenza subtype H9N2 and Newcastle disease virus vaccine strain (LaSota) in chickens. BMC Vet. Res. 2018, 14, 358. [Google Scholar] [CrossRef]



| Strains | F a | HN b | ||||||||
|---|---|---|---|---|---|---|---|---|---|---|
| ZJ1 | T4 | Suiling106 | Bangor | Yuc | ZJ1 | T4 | Suiling106 | Bangor | Yuc | |
| NDV/ZJ1 | 49.6 | 49.4 | 47.4 | 46.9 | 44.3 | 43.2 | 42.8 | 44.8 | ||
| APMV-2-T4 | 78.3 | 71.0 | 69.5 | 78.9 | 71.1 | 67.5 | ||||
| APMV-2/Suiling106 | 71.6 | 69.0 | 71.5 | 68.4 | ||||||
| APMV-2/Bangor | 68.3 | 64.8 | ||||||||
| APMV-2/Yucaipa | ||||||||||
| HA 1 (log2) | EID50 2 (/0.1 mL) | MDT 3 (Hours) | ICPI 4 | |
|---|---|---|---|---|
| rAPMV-2-NPUTR-HA | 8 | 108.63 | >120 | 0 |
| rAPMV-2-PUTR-HA | 8 | 108.33 | >120 | 0 |
| rAPMV-2-MUTR-HA | 5 | 105.33 | >120 | 0 |
| rAPMV-2-FUTR-HA | 8 | 108.17 | >120 | 0 |
| rAPMV-2-HNUTR-HA | 9 | 108.5 | >120 | 0 |
| rAPMV-2-LUTR-HA | 8 | 108.17 | >120 | 0 |
| rAPMV-2-nonUTR-HA | 5 | 105.17 | >120 | 0 |
| APMV-2-T4 | 7 | 107.50 | >120 | 0 |
| 3 dpc | 5 dpc | 7 dpc | ||||
|---|---|---|---|---|---|---|
| O | C | O | C | O | C | |
| rAPMV-2-NPUTR-HA | 0/7 | 0/7 | 0/7 | 0/7 | 0/7 | 0/7 |
| rAPMV-2-PUTR-HA | 4/7 | 0/7 | 3/7 | 0/7 | 0/7 | 0/7 |
| rAPMV-2-FUTR-HA | 5/7 | 0/7 | 3/7 | 1/7 | 0/7 | 0/7 |
| rAPMV-2-HNUTR-HA | 5/7 | 0/7 | 4/7 | 0/7 | 0/7 | 0/7 |
| rAPMV-2-LUTR-HA | 2/7 | 0/7 | 2/7 | 1/7 | 0/7 | 0/7 |
| APMV-2-T4 | 7/7 | 1/7 | 4/7 | 0/7 | 1/7 | 0/7 |
| PBS | 7/7 | 1/7 | 5/7 | 1/7 | 2/7 | 0/7 |
Publisher’s Note: MDPI stays neutral with regard to jurisdictional claims in published maps and institutional affiliations. |
© 2022 by the authors. Licensee MDPI, Basel, Switzerland. This article is an open access article distributed under the terms and conditions of the Creative Commons Attribution (CC BY) license (https://creativecommons.org/licenses/by/4.0/).
Share and Cite
Yang, W.; Dai, J.; Liu, J.; Guo, M.; Liu, X.; Hu, S.; Gu, M.; Hu, J.; Hu, Z.; Gao, R.; et al. Intranasal Immunization with a Recombinant Avian Paramyxovirus Serotypes 2 Vector-Based Vaccine Induces Protection against H9N2 Avian Influenza in Chicken. Viruses 2022, 14, 918. https://doi.org/10.3390/v14050918
Yang W, Dai J, Liu J, Guo M, Liu X, Hu S, Gu M, Hu J, Hu Z, Gao R, et al. Intranasal Immunization with a Recombinant Avian Paramyxovirus Serotypes 2 Vector-Based Vaccine Induces Protection against H9N2 Avian Influenza in Chicken. Viruses. 2022; 14(5):918. https://doi.org/10.3390/v14050918
Chicago/Turabian StyleYang, Wenhao, Jing Dai, Jingjing Liu, Mengjiao Guo, Xiaowen Liu, Shunlin Hu, Min Gu, Jiao Hu, Zenglei Hu, Ruyi Gao, and et al. 2022. "Intranasal Immunization with a Recombinant Avian Paramyxovirus Serotypes 2 Vector-Based Vaccine Induces Protection against H9N2 Avian Influenza in Chicken" Viruses 14, no. 5: 918. https://doi.org/10.3390/v14050918
APA StyleYang, W., Dai, J., Liu, J., Guo, M., Liu, X., Hu, S., Gu, M., Hu, J., Hu, Z., Gao, R., Liu, K., Chen, Y., Liu, X., & Wang, X. (2022). Intranasal Immunization with a Recombinant Avian Paramyxovirus Serotypes 2 Vector-Based Vaccine Induces Protection against H9N2 Avian Influenza in Chicken. Viruses, 14(5), 918. https://doi.org/10.3390/v14050918

