Development of a Multiplex RT-PCR Detection for Six Viruses Infecting Strawberry
Abstract
1. Introduction
2. Materials and Methods
2.1. Plant Materials and the Positive RNA Sample
2.2. RNA Extraction and Reverse Transcription
2.3. Design of Virus-Specific Primers
2.4. Evaluation of Primer Specificity
2.5. Optimization of Multiplex RT-PCR Assay
2.6. Sensitivity of Multiplex RT-PCR Assay
2.7. Survey of Strawberry Viruses Using Multiplex RT-PCR Assay
3. Results
3.1. Specificity of Primer Pairs
3.2. Optimization of Multiplex RT-PCR Assay
3.3. Sensitivities of Uniplex RT-PCR and Multiplex RT-PCR Assays
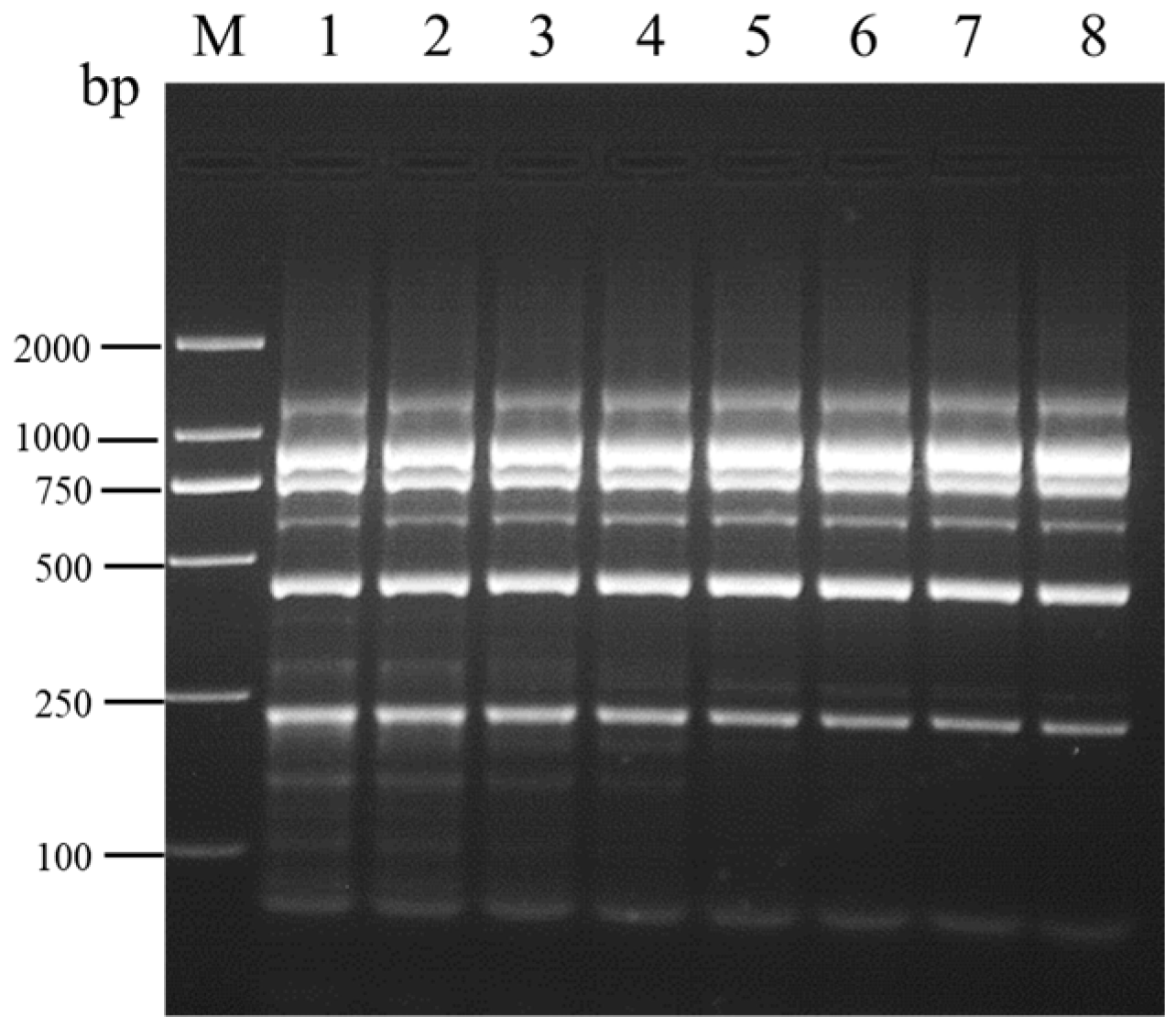
3.4. Application of Multiplex RT-PCR Assay in Survey of Strawberry Viruses
4. Discussion
5. Conclusions
Author Contributions
Funding
Institutional Review Board Statement
Informed Consent Statement
Data Availability Statement
Conflicts of Interest
References
- Hernandez-Martinez, N.R.; Blanchard, C.; Wells, D.; Salazar-Gutiérrez, M.R. Current state and future perspectives of commercial strawberry production: A review. Sci. Hortic. 2023, 312, 111893. [Google Scholar] [CrossRef]
- Yang, J.W.; Kim, H.I. An overview of recent avances in greenhouse strawberry cultivation using deep learning techniques: A review for strawberry practitioners. Agronomy 2024, 14, 34. [Google Scholar] [CrossRef]
- Martin, R.R.; Tzanetakis, I.E. Characterization and recent advances in detection of strawberry viruses. Plant Dis. 2006, 90, 384–396. [Google Scholar] [CrossRef] [PubMed]
- Tzanetakis, I.E.; Wintermantel, W.M.; Cortez, A.A.; Barnes, J.E.; Barrett, S.M.; Bolda, M.P.; Martin, R.R. Epidemiology of strawberry pallidosis-associated virus and occurrence of pallidosis disease in North America. Plant Dis. 2006, 90, 1343–1346. [Google Scholar] [CrossRef] [PubMed]
- Ren, J.D.; Zhang, J.X.; Wang, Q.S.; Zhou, Y.; Wang, J.X.; Ran, C.; Shang, Q.X. Molecular characterization of strawberry vein banding virus from China and the development of loop-mediated isothermal amplification assays for their detection. Sci. Rep. 2022, 12, 4912. [Google Scholar] [CrossRef]
- Xiang, Y.; Bernardy, M.; Bhagwat, B.; Wiersma, P.A.; DeYoung, R.; Bouthillier, M. The complete genome sequence of a new polerovirus in strawberry plants from eastern Canada showing strawberry decline symptoms. Arch. Virol. 2015, 160, 553–556. [Google Scholar] [CrossRef]
- Torrico, A.K.; Salazar, S.M.; Kirschbaum, D.S.; Conci, V.C. Yield losses of asymptomatic strawberry plants infected with strawberry mild yellow edge virus. Eur. J. Plant Pathol. 2018, 150, 983–990. [Google Scholar] [CrossRef]
- Tzanetakis, I.E.; Martin, R.R. Expanding Field of Strawberry Viruses Which Are Important in North America. Int. J. Fruit Sci. 2013, 13, 184–195. [Google Scholar] [CrossRef]
- Stenger, D.C.; Mullin, R.H.; Morris, T.J. Isolation, molecular-cloning, and detection of strawberry vein banding virus-DNA. Phytopathology 1988, 78, 154–159. [Google Scholar] [CrossRef]
- Petrzik, K.; Benes, V.; Mráz, I.; Honetslegrová-Fránová, J.; Ansorge, W.; Spak, J. Strawberry vein banding virus—Definitive member of the genus Caulimovirus. Virus Genes 1998, 16, 303–305. [Google Scholar] [CrossRef]
- Feng, M.F.; Zhang, H.P.; Pan, Y.; Hu, Y.H.; Chen, J.; Zuo, D.P.; Jiang, T. Complete nucleotide sequence of strawberry vein banding virus Chinese isolate and infectivity of its full-length DNA clone. Virol. J. 2016, 13, 164. [Google Scholar] [CrossRef]
- Ratti, C.; Pisi, A.; Autonell, C.R.; Babini, A.; Vicchi, V. First report of strawberry vein banding virus on strawberry in Italy. Plant Dis. 2009, 93, 675. [Google Scholar] [CrossRef]
- Jelkmann, W.; Martin, R.R.; Lesemann, D.E.; Vetten, H.J.; Skelton, F. A new potexvirus associated with strawberry mild yellow edge disease. J. Gen. Virol. 1990, 71, 1251–1258. [Google Scholar] [CrossRef] [PubMed]
- Thompson, J.R.; Leone, G.; Lindner, J.L.; Jelkmann, W.; Schoen, C.D. Characterization and complete nucleotide sequence of strawberry mottle virus: A tentative member of a new family of bipartite plant picorna-like viruses. J. Gen. Virol. 2022, 83, 229–239. [Google Scholar] [CrossRef] [PubMed]
- Tzanetakis, I.E.; Reed, J.; Martin, R.R. Nucleotide sequence, genome organization and phylogenetic analysis of strawberry pallidosis associated virus, a new member of the genus Crinivirus. Arch. Virol. 2005, 150, 273–286. [Google Scholar] [CrossRef] [PubMed]
- Ding, X.; Li, Y.; Hernandez-Sebastia, C.; Abbasi, P.A.; Fisher, P.; Celetti, M.J.; Wang, A. First report of strawberry crinivirus 4 on strawberry in Canada. Plant Dis. 2016, 100, 1254. [Google Scholar] [CrossRef]
- Diaz-Lara, A.; Stevens, K.A.; Klaassen, V.; Hwang, M.S.; Al Rwahnih, M. Sequencing a strawberry germplasm collection reveals new viral genetic diversity and the basis for new RT-qPCR assays. Viruses 2021, 13, 1442. [Google Scholar] [CrossRef]
- Hajizadeh, M.; Zandan, N.G.; Kashiha, Z.; Koloniuk, I. First report of strawberry crinivirus 3 and strawberry crinivirus 4 in strawberry in Iran. J. Plant Pathol. 2022, 104, 825. [Google Scholar] [CrossRef]
- Petrzik, K.; Kubelková, D.; Mráz, I. Strawberry vein banding virus detection by double antibody sandwich ELISA with antibodies to recombinant coat protein. Acta Virol. 2002, 46, 125–126. [Google Scholar]
- Zhao, X.L.; He, C.Y.; Gao, D.H.; Xu, T.F.; Li, X.F.; Liu, J.J.; Li, S.F.; Wang, H.Q. Construction of infectious cDNA clone of brassica yellows virus isolated from strawberry and establishment of TaqMan RT-qPCR. Plants 2022, 11, 3380. [Google Scholar] [CrossRef]
- Ren, J.D.; Zhu, Y.D.; Ran, C.; Han, C.G.; Shang, Q.X. Development of a reverse transcription loop-mediated isothermal amplification assay for rapid detection of strawberry crinkle virus. J. Phytopathol. 2021, 169, 733–739. [Google Scholar] [CrossRef]
- Singh, R.P.; Nie, X.Z. Multiple virus and viroid detection and strain separation via multiplex reverse transcription-polymerase chain reaction. Can. J. Plant Pathol. 2003, 25, 127–134. [Google Scholar] [CrossRef]
- Peng, Q.D.; Qiu, L.; Yang, T.; Ning, J.C.; Xu, Q.Y.; Dong, J.H.; Xi, D.H. A multiple reverse transcription PCR assay for simultaneous detection of four main viruses in kiwifruit. Eur. J. Plant Pathol. 2020, 156, 1207–1212. [Google Scholar] [CrossRef]
- Lim, M.S.; Min, D.J.; Hong, J.S.; Choi, S.H. Simultaneous detection of four lily-infecting viruses by a multiplex RT-PCR assay. J. Gen. Plant Pathol. 2021, 87, 219–224. [Google Scholar] [CrossRef]
- Xue, B.; Shang, J.; Yang, J.; Zhang, L.; Du, J.B.; Yu, L.; Yang, W.Y.; Naeem, M. Development of a multiplex RT-PCR assay for the detection of soybean mosaic virus, bean common mosaic virus and cucumber mosaic virus in field samples of soybean. J. Virol. Methods 2021, 298, 114278. [Google Scholar] [CrossRef]
- Zhang, J.Q.; Wang, R.; Song, J.Z.; Luo, Z.P.; Yang, J.; Lin, F.C. One-step multiplex RT-PCR for simultaneous detection of four viruses in tobacco. J. Phytopathol. 2013, 161, 92–97. [Google Scholar] [CrossRef]
- Chang, L.; Zhang, Z.; Yang, H.; Li, H.; Dai, H. Detection of strawberry RNA and DNA viruses by RT-PCR using total nucleic acid as a template. J. Phytopathol. 2007, 155, 431–436. [Google Scholar] [CrossRef]
- Ahamed, S.F.; Vivek, R.; Kotabagi, S.; Nayak, K.; Chandele, A.; Kaja, M.K.; Shet, A. Enhancing the sensitivity of Dengue virus serotype detection by RT-PCR among infected children in India. J. Virol. Methods 2017, 244, 46–54. [Google Scholar] [CrossRef]
- Htwe, S.S.; Maeda, M.; Matsumoto, R.; Sakamoto, N.; Murakami, S.; Yamamoto, S.; Katoh, M.; Kumagai, N.; Hayashi, H.; Nishimura, Y.; et al. Quick detection of overexpressed genes caused by myeloma-specific chromosomal translocations using multiplex RT-PCR. Int. J. Mol. Med. 2011, 27, 789–794. [Google Scholar]
- Lee, T.B.; Choi, C.H. Detection of drug transporter expression using a 25-multiplex RT-PCR assay. Biotechnol. Lett. 2009, 31, 1485–1492. [Google Scholar] [CrossRef]
- Li, M.; Xie, Z.X.; Xie, Z.Q.; Liu, J.B.; Xie, L.J.; Deng, X.W.; Luo, S.S.; Fan, Q.; Huang, L.; Huang, J.L.; et al. Simultaneous detection of eight avian influenza A virus subtypes by multiplex reverse transcription-PCR using a GeXP analyser. Sci. Rep. 2018, 8, 6183. [Google Scholar] [CrossRef] [PubMed]
- Hu, W.C.; Huang, C.H.; Lee, S.C.; Wu, C.I.; Chang, Y.C. Detection of four calla potyviruses by multiplex RT-PCR using nad5 mRNA as an internal control. Eur. J. Plant Pathol. 2010, 126, 43–52. [Google Scholar] [CrossRef]
- Wu, K.; Li, D.Y.; Wu, Y.F. Development of a multiplex RT-PCR for simultaneous detection of five Actinidia viruses. Agronomy 2024, 14, 1650. [Google Scholar] [CrossRef]






| Virus | Primer | Sequence (5′-3′) | Product Size (bp) | Melting Temperature (°C) |
|---|---|---|---|---|
| SMYEV | Multi-SMYEV-F1 | TGGCGGATTCCAATACTTGCC | 1263 | 60 |
| Multi-SMYEV-R1 | CTCATCCAGTCTTGGAGGCG | 60 | ||
| SVBV | Multi-SVBV-F | TTGAAGCCTTCGCAGAAGCC | 931 | 60 |
| Multi-SVBV-R | AGCTTGAGTAGCTCTTCGATCTGAG | 60 | ||
| SMoV | Multi-SMoV-F | CGTGAGAGGACCCGAGCTTATG | 792 | 62 |
| Multi-SMoV-R | AGAGATAGTCGAACCTTTGGTGGTC | 60 | ||
| SPV-1 | Multi-SPV1-F | AACGCGGAGTGGAGAGTGAC | 635 | 61 |
| Multi-SPV1-R | CATTTGTTCCGCCGCTTCTC | 59 | ||
| SPaV | Multi-SPaV-F | CCATGGAGAATGTGGAGAGCAG | 449 | 59 |
| Multi-SPaV-R | CACCACGTTCTCTTCCTCAGG | 59 | ||
| SCrV-4 | Multi-SCrV4-F | ATAGGCGCGAAATCCAAACTTCC | 230 | 60 |
| Multi-SCrV4-R | TCAATGATAGGTTCGCTGTTCGC | 60 |
| Viral Primer | Final Primer Concentrations (μmol/L) | |||||
|---|---|---|---|---|---|---|
| 1 | 2 | 3 | 4 | 5 | 6 | |
| Multi-SMYEV-F1/R1 | 0.2 | 0.3 | 0.3 | 0.3 | 0.4 | 0.4 |
| Multi-SVBV-F/R | 0.2 | 0.15 | 0.3 | 0.3 | 0.3 | 0.3 |
| Multi-SMoV-F/R | 0.2 | 0.15 | 0.1 | 0.075 | 0.075 | 0.075 |
| Multi-SPV1-F/R | 0.2 | 0.3 | 0.3 | 0.4 | 0.4 | 0.4 |
| Multi-SPaV-F/R | 0.2 | 0.2 | 0.25 | 0.25 | 0.25 | 0.2 |
| Multi-SCrV4-F/R | 0.2 | 0.2 | 0.1 | 0.075 | 0.075 | 0.075 |
Disclaimer/Publisher’s Note: The statements, opinions and data contained in all publications are solely those of the individual author(s) and contributor(s) and not of MDPI and/or the editor(s). MDPI and/or the editor(s) disclaim responsibility for any injury to people or property resulting from any ideas, methods, instructions or products referred to in the content. |
© 2024 by the authors. Licensee MDPI, Basel, Switzerland. This article is an open access article distributed under the terms and conditions of the Creative Commons Attribution (CC BY) license (https://creativecommons.org/licenses/by/4.0/).
Share and Cite
Wang, Y.; Zeng, X.; Xiao, G.; Zhang, D.; Wen, X.; Zhou, X.; Wang, Z.; Deng, J.; Han, Y. Development of a Multiplex RT-PCR Detection for Six Viruses Infecting Strawberry. Viruses 2024, 16, 1858. https://doi.org/10.3390/v16121858
Wang Y, Zeng X, Xiao G, Zhang D, Wen X, Zhou X, Wang Z, Deng J, Han Y. Development of a Multiplex RT-PCR Detection for Six Viruses Infecting Strawberry. Viruses. 2024; 16(12):1858. https://doi.org/10.3390/v16121858
Chicago/Turabian StyleWang, Yong, Xiangguo Zeng, Guilin Xiao, Dongmei Zhang, Xin Wen, Xinxin Zhou, Zexian Wang, Jiangli Deng, and Yongchao Han. 2024. "Development of a Multiplex RT-PCR Detection for Six Viruses Infecting Strawberry" Viruses 16, no. 12: 1858. https://doi.org/10.3390/v16121858
APA StyleWang, Y., Zeng, X., Xiao, G., Zhang, D., Wen, X., Zhou, X., Wang, Z., Deng, J., & Han, Y. (2024). Development of a Multiplex RT-PCR Detection for Six Viruses Infecting Strawberry. Viruses, 16(12), 1858. https://doi.org/10.3390/v16121858

