Chemical and Microbiological Assessment of Wastewater Discharged along the Mediterranean Sea
Abstract
:1. Introduction
2. Materials and Methods
2.1. Sampling Sites
2.2. Physicochemical Analysis
2.3. UPLC-MS/MS Analysis
2.4. Total DNA Extraction
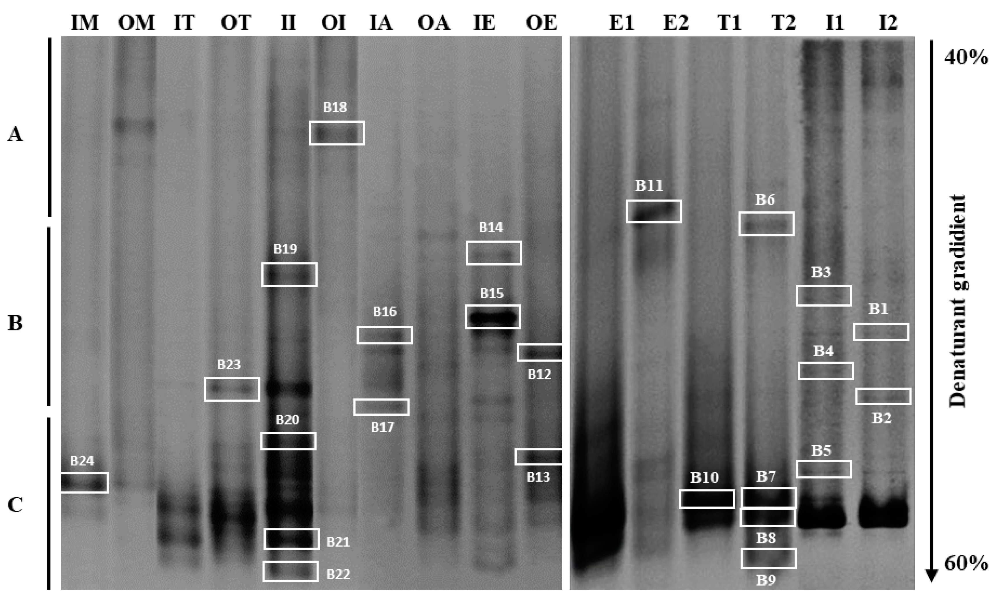
2.5. PCR Amplification and DGGE Analysis
2.6. Bacteria Isolation and Antimicrobial Susceptibility Test
2.7. Detection of Antimicrobial Resistance Genes
2.8. Statistical Analysis
3. Results and Discussion
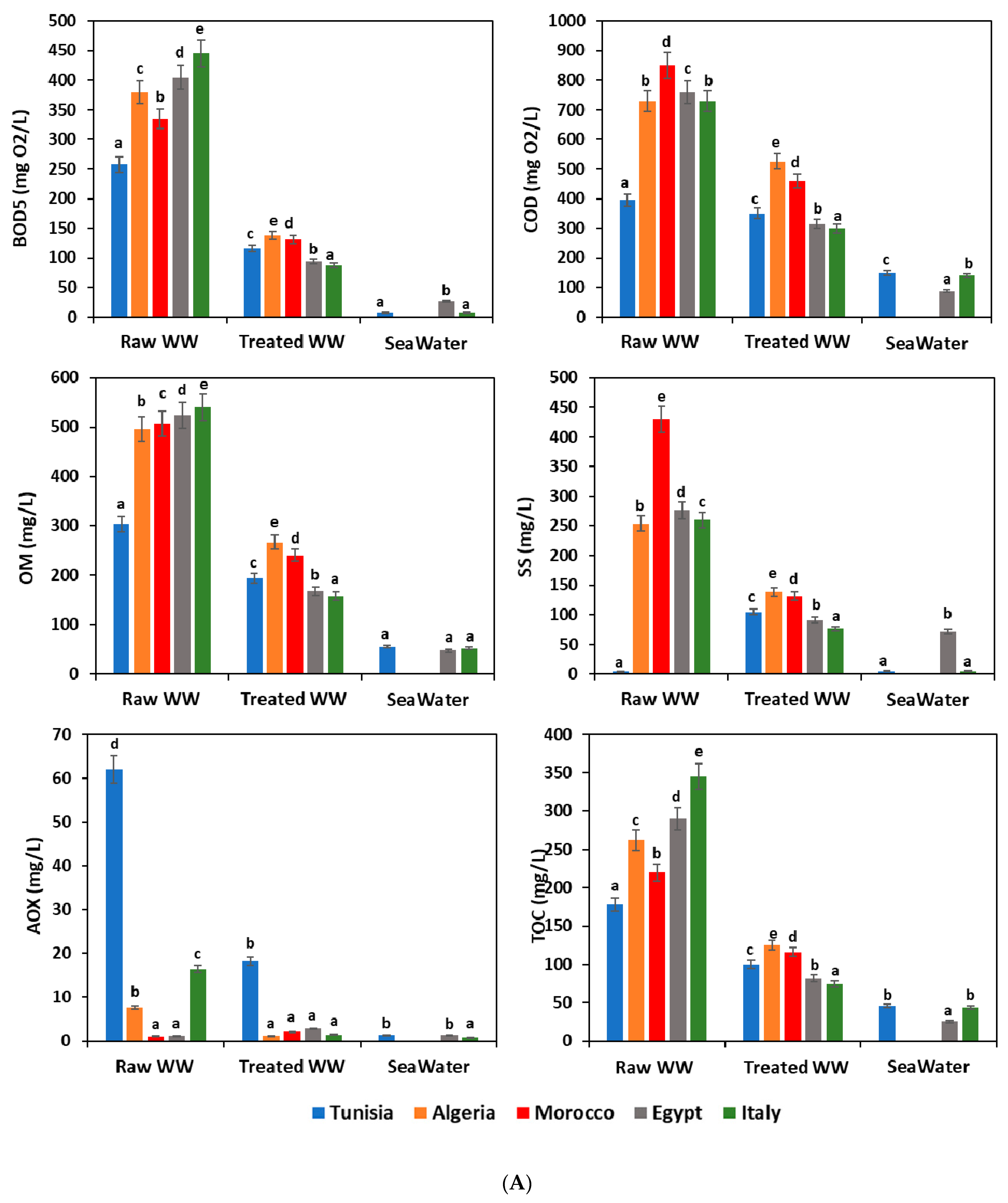
3.1. Water Quality Monitoring
3.2. Metal Analysis
3.3. Bacterial Community Structure
3.4. Antibiotic Resistance Profiles
4. Conclusions
Author Contributions
Funding
Institutional Review Board Statement
Informed Consent Statement
Data Availability Statement
Acknowledgments
Conflicts of Interest
References
- Jebara, A.; Lo Turco, V.; Potortì, A.G.; Bartolomeo, G.; Ben Mansour, H.; Di Bella, G. Organic pollutants in marine samples from Tunisian coast: Occurrence and associated human health risks. Environ. Pollut. 2021, 271, 116266. [Google Scholar] [CrossRef] [PubMed]
- Jebara, A.; Albergamo, A.; Rando, R.; Potortì, A.G.; Lo Turco, V.; Ben Mansour, H.; Di Bella, G. Phthalates and non-phthalate plasticizers in Tunisian marine samples: Occurrence, spatial distribution and seasonal variation. Mar. Pollut. Bull. 2021, 163, 111967. [Google Scholar] [CrossRef] [PubMed]
- Cyprowski, M.; Szarapińska-Kwaszewska, J.; Dudkiewicz, B.; Krajewski, J.A.; Szadkowska-Stańczyk, I. Exposure assessment to harmful agents in workplaces in sewage plant workers. Med. Pract. 2005, 56, 213–222. [Google Scholar]
- Cyprowski, M.; Stobnicka-Kupiec, A.; Ławniczek-Wałczyk, A.; Bakal-Kijek, A.; Gołofit-Szymczak, M.; Górny, R.L. Anaerobic bacteria in wastewater treatment plant. Int. Arch. Occup. Environ. Health 2018, 91, 571–579. [Google Scholar] [CrossRef] [PubMed] [Green Version]
- Gerardi, M.H.; Zimmerman, M.C. Wastewater Pathogens; Wiley: Hoboken, NJ, USA, 2005. [Google Scholar]
- WHO (World Health Organization). Water Supply and Sanitation Collaborative Council and Operation/Maintenance Network. Tools for Assessing the Operation and Maintenance Status of Water Supply and Sanitation in Developing Countries; Document WHO/SDE/WSH/00.3; WHO: Geneva, Switzerland, 2000.
- Cotruvo, J.; Dufour, A.; Rees, G.; Bartram, J.; Carr, R.; Cliver, D.O.; Craun, G.F.; Fayer, R.; Gannon, V.P.J. Waterborne Zoonoses: Identification, Causes, and Control; World Health Organization: Geneva, Switzerland, 2004.
- Koivunen, J.; Siitonen, A.; Heinonen-Tanski, H. Elimination of enteric bacteria in biological–chemical wastewater treatment and tertiary filtration units. Water Res. 2003, 37, 690–698. [Google Scholar] [CrossRef]
- Carpenter, S.R. Eutrophication of aquatic ecosystems: Biostability and soil phosphorus. Proc. Natl. Acad. Sci. USA 2005, 102, 10002–10005. [Google Scholar] [CrossRef] [Green Version]
- WHO (World Health Organization). A Regional Overview of Wasterwater Management and Reuse in the Eastern Mediterranean Region (No. WHO-EM/CEH/139/E); WHO: Geneva, Switzerland, 2005.
- Hacioglu, N.; Dulger, B. Monthly variation of some physico-chemical and microbiological parameters in Biga Stream (Biga, Canakkale, Turkey). Afr. J. Biotechnol. 2009, 8, 1929–1937. [Google Scholar]
- Jebara, A.; Lo Turco, V.; Faggio, C.; Licata, P.; Nava, V.; Potortì, A.G.; Crupi, R.; Ben Mansour, H.; Di Bella, G. Monitoring of Environmental Hg Occurrence in Tunisian Coastal Areas. Int. J. Environ. Res. Public Health 2021, 18, 5202. [Google Scholar] [CrossRef]
- Lamine, I.; Alla, A.A.; Bourouache, M.; Moukrim, A. Monitoring of Physicochemical and Microbiological Quality of Taghazout Seawater (Southwest of Morocco): Impact of the New Tourist Resort “Taghazout Bay”. J. Ecol. Eng. 2019, 20, 79–89. [Google Scholar] [CrossRef]
- Sreenivasulu, G.; Jayaraju, N.; Sundara Raja Reddy, B.C.; Lakshmi Prasad, T. Physico-chemical parameters of coastal water from Tupilipalem coast southeast coast of India. J. Coast. Sci. 2015, 2, 34–39. [Google Scholar]
- Mehri, I.; Turki, Y.; Chérif, H.; Khessairi, A.; Hassen, A.; Gtari, M. Influence of biological treatment and ultraviolet disinfection system on Pseudomonas spp. diversity in wastewater as assessed by denaturing gradient gel electrophoresis. CLEAN–Soil Air Water 2014, 42, 578–585. [Google Scholar] [CrossRef]
- Haller, C.M.; Rölleke, S.; Vybiral, D.; Witte, A.; Velimirov, B. Investigation of 0.2 μm filterable bacteria from the Western Mediterranean Sea using a molecular approach: Dominance of potential starvation forms. FEMS Microbiol. Ecol. 2000, 31, 153–161. [Google Scholar] [CrossRef]
- Hassen, B.; ABBASSI, M.S.; Benlabidi, S.; Ruiz-Ripa, L.; Mama, O.M.; Ibrahim, C.; Hassen, A.; Hammami, S.; Torres, T. Genetic characterization of ESBL-producing Escherichia coli and Klebsiella pneumoniae isolated from wastewater and river water in Tunisia: Predominance of CTX-M-15 and high genetic diversity. Environ. Sci. Pollut. Res. Int. 2020, 27, 44368–44377. [Google Scholar] [CrossRef]
- Rizzo, L.; Manaia, C.; Merlin, C.; Schwartz, T.; Dagot, C.; Ploy, M.C.; Michael, I.; Fatta-Kassinos, D. Urban wastewater treatment plants as hotspots for antibiotic resistant bacteria and genes spread into the environment: A review. Sci. Total Environ. 2013, 447, 345–360. [Google Scholar] [CrossRef] [PubMed] [Green Version]
- Kraemer, S.A.; Ramachandran, A.; Perron, G.G. Antibiotic pollution in the environment: From microbial ecology to public policy. Microorganisms 2019, 7, 180. [Google Scholar] [CrossRef] [PubMed] [Green Version]
- Sghaier, S.; Abbassi, M.S.; Pascual, A.; Serrano, L.; Díaz-De-Alba, P.; Ben Said, M.; Hassen, B.; Ibrahim, C.; Hassen, A.; Lopez-Cerero, L. ESBL-producing Enterobacteriaceae from animal origins and wastewater in Tunisia: The first detection of O25b-B23-CTX-M-27-ST131 Escherichia coli and CTX-M-15-OXA-204-producing Citrobacter freundii from wastewater. J. Glob. Antimicrob. Resist. 2019, 17, 189–194. [Google Scholar] [CrossRef] [PubMed]
- Hassen, B.; Abbassi, M.S.; Ruiz-Ripa, L.; Mama, O.M.; Ibrahim, C.; Benlabidi, S.; Hassen, A.; Torres, C.; Hammami, S. Detection and characterization of extended-spectrum β-lactamase-producing and colistin-resistant Enterobacteriaceae from the biological industrial wastewater treatment plant in Tunisia with detection of the colistin-resistance mcr-1 gene. FEMS Microbiol. Ecol. 2021, 97, fiaa231. [Google Scholar] [CrossRef]
- Tahrani, L.; Mehri, I.; Reyns, T.; Anthonissen, R.; Verschaeve, L.; Khalifa, A.B.H.; Joris, V.L.; Hassen, A.; Ben Mansour, H. UPLC-MS/MS analysis of antibiotics in pharmaceutical effluent in Tunisia: Ecotoxicological impact and multi-resistant bacteria dissemination. Arch. Microbiol. 2018, 200, 553–565. [Google Scholar] [CrossRef]
- Lemarchand, K.; Berthiaume, F.; Maynard, C.; Harel, J.; Payment, P.; Bayardelle, P.; Masson, L.; Brousseau, R. Optimization of microbial DNA extraction and purification from raw wastewater samples for downstream pathogen detection by microarrays. J. Microbiol. Methods 2005, 63, 115–126. [Google Scholar] [CrossRef]
- Hassen, W. Biodegradation of Pesticides Used in Agricultural Soils; European University Edition: Sarrebruck, Allemagne, 2020; ISBN 978-613-9-53921-5. (In French) [Google Scholar]
- Ammeri, R.W.; Hassen, W.; Hidri, Y.; Di Rauso Simeone, G.; Hassen, A. Macrophyte and indigenous bacterial co-remediation process for pentachlorophenol removal from wastewater. Int. J. Phytoremediat. 2021, 24, 271–282. [Google Scholar] [CrossRef]
- Sun, S.; Guo, Z.; Yang, R.; Sheng, Z.; Cao, P. Analysis of microbial diversity in tomato paste wastewater through PCR-DGGE. Biotechnol. Bioprocess Eng. 2013, 18, 111–118. [Google Scholar] [CrossRef]
- CLSI (Clinical and Laboratory Standards Institute). Performance Standards for Antimicrobial Susceptibility Testing; Twenty-Third Information Supplement CLSI Document M100-S23; CLSI: Philadelphia, PA, USA, 2013. [Google Scholar]
- Dhaouadi, S.; Soufi, L.; Hamza, A.; Fedida, D.; Zied, C.; Awadhi, E.; Mtibaa, M.; Hassen, B.; Cherif, A.; Torres, C.; et al. Co-occurrence of mcr-1 mediated colistin resistance and β-lactamases encoding genes in Multidrug-resistant Escherichia coli from broiler chickens with colibacillosis in Tunisia. J. Glob. Antimicrob. Resist. 2020, 22, 538–545. [Google Scholar] [CrossRef] [PubMed]
- TUA. Legislative Decree. n.152 03/04/2001. Unified Environmental Code. Decreto Legislativo. Norme in Materia Ambientale—Testo Unico dell’Ambiente. 2016. Available online: www.gazzettaufficiale.it/eli/gu/2006/04/14/88/so/96/sg/pdf (accessed on 17 May 2018).
- Ministère del’Environnement du Maroc. Normes Marocaines, Bulletin Officiel du Maroc; N° 5062 du 30 ramadan, 1423; Ministère del’Environnement du Maroc: Rabat, Morocco, 2002.
- JORA (Journal Officiel de la République Algérienne). Décret Exécutif n° 06-141 du 20 Rabie El Aouel 1427 Correspondant au 19 Avril 2006, Section 1, Article 3; JORA: Algérie, 2006. [Google Scholar]
- NTPA-001; Normative Act Regarding the Determination of Limits of Loading with Pollutants of Industrial and Town Wastewaters at Evacuation in Natural Receptors. Egyptian Official Monitor: Alexandria, Egypt, 2005.
- NT106 002; Tunisian Standard NT106 002 Defines the Maximum Authorized Concentrations of the Various Pollutants in Water before Discharge into the Receiving Environment. Environmental Ministry: Tunis, Tunisia, 2018.
- Hamaidi-Chergui, F.; Errahmani, M.B.; Demiai, A.; Hamaidi, M.S. Monitoring of physico-chemical characteristics and performance evaluation of a wastewater treatment plant in Algeria. In Proceedings of the 3rd International Conference—Water Resources and Wetlands, Tulcea, Romania, 8–10 September 2014. [Google Scholar]
- Khouja, I.; Sullivansealey, K.; M’hiri, F.; Ouzari, H.I.; Saidi, N. Spatial–temporal variation of treatment performance and bacterial community diversity in a hybrid constructed wetland. Int. J. Environ. Sci. Technol. 2020, 17, 3217–3230. [Google Scholar] [CrossRef]
- Nasri, E.; Subirats, J.; Sànchez-Melsió, A.; Ben Mansour, H.; Borrego, C.M.; Balcázar, J.L. Abundance of carbapenemase genes (blaKPC, blaNDM and blaOXA-48) in wastewater effluents from Tunisian hospitals. Environ. Pollut. 2017, 229, 371–374. [Google Scholar] [CrossRef]
- Afsa, S.; Hamden, K.; Martin, P.A.L.; Ben Mansour, H. Occurrence of 40 pharmaceutically active compounds in hospital and urban wastewaters and their contribution to Mahdia coastal seawater contamination. Environ. Sci. Pollut. Res. 2020, 27, 1941–1955. [Google Scholar] [CrossRef]
- Hamaidi-Chergui, F.; Errahmani, M.B. Water quality and physicochemical parameters of outgoing waters in a pharmaceutical plant. Appl. Water Sci. 2019, 9, 165. [Google Scholar] [CrossRef] [Green Version]
- Papaevangelou, V.A.; Gikas, G.D.; Tsihrintzis, V.A.; Antonopoulou, M.; Konstantinou, I.K. Removal of endocrine disrupting chemicals in HSF and VF pilot-scale constructed wetlands. Chem. Eng. J. 2016, 294, 146–156. [Google Scholar] [CrossRef]
- Houda, B.; Dorra, G.; Chafai, A.; Emna, A.; Khaled, M. Impact of a mixed “industrial and domestic” wastewater effluent on the southern coastal sediments of Sfax (Tunisia) in the Mediterranean Sea. Int. J. Environ. Res. 2011, 5, 691–704. [Google Scholar]
- Reopanichkul, P.; Carter, R.W.; Worachananant, S.; Crossland, C.J. Wastewater discharge degrades coastal waters and reef communities in southern Thailand. Mar. Environ. Res. 2010, 69, 287–296. [Google Scholar] [CrossRef]
- Roberts, R.L. Apparatus for Filtering Water or Wastewater. U.S. Patent No. 9517947, 13 December 2016. [Google Scholar]
- Idrissi, Y.A.; Alemad, A.; Aboubaker, S.; Daifi, H.; Elkharrim, K.; Belghyti, D. Caractérisation physico-chimique des eaux usées de la ville d’Azilal-Maroc-/[Physico-chemical characterization of wastewater from Azilal city-Morocco-]. Int. J. Innov. Appl. Stud. 2015, 11, 556–566. [Google Scholar]
- Kocour Kroupová, H.; Valentová, O.; Svobodová, Z.; Šauer, P.; Máchová, J. Toxic effects of nitrite on freshwater organisms: A review. Rev. Aquac. 2018, 10, 525–542. [Google Scholar] [CrossRef]
- Mazzitelli, J.Y.; Budzinski, H.; Cachot, J.; Geffard, O.; Marty, P.; Chiffre, A.; François, A.; Bonnafe, E.; Geret, F. Evaluation of psychiatric hospital wastewater toxicity: What is its impact on aquatic organisms? Environ. Sci. Pollut. Res. 2018, 25, 26090–26102. [Google Scholar] [CrossRef] [PubMed]
- Spellman, F.R. Handbook of Water and Wastewater Treatment Plant Operations; CRC Press: Boca Raton, FL, USA, 2013. [Google Scholar]
- WHO (World Health Organization). Nitrate and Nitrite in Drinking-Water; WHO: Geneva, Switzerland, 2011. [Google Scholar]
- Osman, W.H.W.; Abdullah, S.R.S.; Mohamad, A.B.; Kadhum, A.A.H.; Rahman, R.A. Simultaneous removal of AOX and COD from real recycled paper wastewater using GAC-SBBR. J. Environ. Manag. 2013, 121, 80–86. [Google Scholar] [CrossRef] [PubMed]
- Di Bella, G.; Potortì, A.G.; Lo Turco, V.; Bua, G.D.; Licata, P.; Cicero, N.; Dugo, G. Trace elements in Thunnus thynnus from Mediterranean Sea and benefit–risk assessment for consumers. Food Addit. Contam. Part B 2015, 8, 175–181. [Google Scholar] [CrossRef]
- Di Bella, G.; Lo Turco, V.; Potortì, A.G.; Bua, G.D.; Fede, M.R.; Dugo, G. Geographical discrimination of Italian honey by multi-element analysis with a chemometric approach. J. Food Compos. Anal. 2015, 44, 25–35. [Google Scholar] [CrossRef]
- Potortì, A.G.; Di Bella, G.; Lo Turco, V.; Rando, R.; Dugo, G. Non-toxic and potentially toxic elements in Italian donkey milk by ICP-MS and multivariate analysis. J. Food Compos. Anal. 2013, 31, 161–172. [Google Scholar] [CrossRef]
- Tahrani, L.; Soufi, L.; Mehri, I.; Najjari, A.; Hassen, A.; Van Loco, J.; Reyns, T.; Cherif, A.; Ben Mansour, H. Isolation and characterization of antibiotic-resistant bacteria from pharmaceutical industrial wastewaters. Microb. Pathog. 2015, 89, 54–61. [Google Scholar] [CrossRef]
- Simon, M.; Grossart, H.P.; Schweitzer, B.; Ploug, H. Microbial ecology of organic aggregates in aquatic ecosystems. Aquat. Microb. Ecol. 2002, 28, 175–211. [Google Scholar] [CrossRef] [Green Version]
- Padilla, C.C.; Ganesh, S.; Gantt, S.; Huhman, A.; Parris, D.J.; Sarode, N.; Stewart, F.J. Standard filtration practices may significantly distort planktonic microbial diversity estimates. Front. Microbiol. 2015, 6, 547. [Google Scholar] [CrossRef] [Green Version]
- Cydzik-Kwiatkowska, A.; Zielińska, M. Bacterial communities in full-scale wastewater treatment systems. World J. Microbiol. Biotechnol. 2016, 32, 66. [Google Scholar] [CrossRef] [Green Version]
- Ma, J.; Wang, Z.; Yang, Y.; Mei, X.; Wu, Z. Correlating microbial community structure and composition with aeration intensity in submerged membrane bioreactors by 454 high-throughput pyrosequencing. Water Res. 2013, 47, 859–869. [Google Scholar] [CrossRef]
- Zhang, B.; Xu, X.; Zhu, L. Activated sludge bacterial communities of typical wastewater treatment plants: Distinct genera identification and metabolic potential differential analysis. AMB Express 2018, 8, 184. [Google Scholar] [CrossRef]
- Miteva, V.I.; Brenchley, J.E. Detection and isolation of ultrasmall microorganisms from a 120,000-year-old Greenland glacier ice core. Appl. Environ. Microbiol. 2005, 71, 7806–7818. [Google Scholar] [CrossRef] [PubMed] [Green Version]
- Obayashi, Y.; Suzuki, S. High growth potential and activity of 0.2 µm filterable bacteria habitually present in coastal seawater. Biogeosci. Discuss. 2017, 1–19. [Google Scholar] [CrossRef]
- Akrami, F.; Rajabnia, M.; Pournajaf, A. Resistance integrons: A Mini review. Casp. J. Intern. Med. 2019, 10, 370–376. [Google Scholar]
- Baquero, F.; Martínez, J.L.; Cantón, R. Antibiotics and antibiotic resistance in water environments. Curr. Opin. Biotechnol. 2008, 19, 260–265. [Google Scholar] [CrossRef]
- Heberer, T. Occurrence, fate, and removal of pharmaceutical residues in the aquatic environment: A review of recent research data. Toxicol. Lett. 2002, 131, 5–17. [Google Scholar] [CrossRef]
- Jara, D.; Bello-Toledo, H.; Domínguez, M.; Cigarroa, C.; Fernández, P.; Vergara, L.; Quezada-Aguiluz, M.; Opazo-Capurro, A.; Lima, C.A.; González-Rocha, G. Antibiotic resistance in bacterial isolates from freshwater samples in Fildes Peninsula, King George Island, Antarctica. Sci. Rep. 2020, 10, 3145. [Google Scholar] [CrossRef] [Green Version]
- Schwartz, T.; Kohnen, W.; Jansen, B.; Obst, U. Detection of antibiotic-resistant bacteria and their resistance genes in wastewater, surface water, and drinking water biofilms. FEMS Microbiol. Ecol. 2003, 43, 325–335. [Google Scholar] [CrossRef]
- Smaldone, G.; Marrone, R.; Cappiello, S.; Martin, G.A.; Oliva, G.; Cortesi, M.L.; Anastasio, A. Occurrence of antibiotic resistance in bacteria isolated from seawater organisms caught in Campania Region: Preliminary study. BMC Vet. Res. 2014, 10, 161. [Google Scholar] [CrossRef] [Green Version]








| Isolates | Source/Culture Medium | Resistance Profile | Resistance Genes |
|---|---|---|---|
| S1 | Treated WW Italy/TCBS-agar | CTX-ATM-IMI-T-ATH-CIP-TM-RP-C | tetA + Sul1 |
| S2 | Treated WW Egypt/TCBS-agar | CTX-ATM-CAZ | blaCTX-M |
| S3 | Treated WW Algeria/TCBS-agar | ATM-CIP-CAZ | - |
| S4 | Treated WW Algeria/Slanetz and Bartley-agar | AK-CTX-ATM-IMI-T-CIP-TM-RP-A-C-CAZ | tetA + Sul1 |
| S5 | Raw WW Morocco/SS-agar | AK-CTX-ATM-TM-RP-C | blaCTX-M + Sul1 |
| S6 | Treated WW Tunisia/TCBS-agar | ATM-CAZ | - |
| S7 | Seawater Egypt/TCBS-agar | ATM-T-ATH-CAZ | - |
| S8 | Raw WW Algeria/SS-agar | CTX-TM | - |
| S9 | Raw WW Algeria/TCBS-agar | CTX-ATM-C-CAZ | blaCTX-M + blaTEM |
| S10 | Treated WW Algeria/TCBS-agar | CTX-ATM-IMI-CAZ | blaSHV |
| S11 | Seawater Egypt/TCBS-agar | T-TM-RP-A-C | tetB |
| S12 | Treated WW Egypt/TCBS-agar | ATH-C | - |
| S13 | Treated WW Egypt/TTC Tergitol-agar | T-ATH-TM-RP-A-C | tetA + Sul1 |
| S14 | Raw WW Algeria/TTC Tergitol-agar | ATM-TM-CAZ | - |
| S15 | Raw WW Egypt/Slanetz and Bartley-agar | CTX-CAZ | - |
| S16 | Seawater Tunisia/TTC Tergitol-agar | ATM-ATH | - |
| S17 | Treated WW Algeria/TTC Tergitol-agar | AK-ATH-TM-RP | - |
| S18 | Raw WW Italy/MacConkey-agar | AK-IMI-ATH-CIP-TM-A-C-CAZ | Sul1 |
Publisher’s Note: MDPI stays neutral with regard to jurisdictional claims in published maps and institutional affiliations. |
© 2022 by the authors. Licensee MDPI, Basel, Switzerland. This article is an open access article distributed under the terms and conditions of the Creative Commons Attribution (CC BY) license (https://creativecommons.org/licenses/by/4.0/).
Share and Cite
Hassen, W.; Mehri, I.; Beltifa, A.; Giorgia Potortì, A.; Khellaf, N.; Amer, R.; Van Loco, J.; Hassen, A.; Di Bella, G.; Khdary, N.H.; et al. Chemical and Microbiological Assessment of Wastewater Discharged along the Mediterranean Sea. Sustainability 2022, 14, 2746. https://doi.org/10.3390/su14052746
Hassen W, Mehri I, Beltifa A, Giorgia Potortì A, Khellaf N, Amer R, Van Loco J, Hassen A, Di Bella G, Khdary NH, et al. Chemical and Microbiological Assessment of Wastewater Discharged along the Mediterranean Sea. Sustainability. 2022; 14(5):2746. https://doi.org/10.3390/su14052746
Chicago/Turabian StyleHassen, Wafa, Ines Mehri, Asma Beltifa, Angela Giorgia Potortì, Nabila Khellaf, Ranya Amer, Joris Van Loco, Abdennaceur Hassen, Giuseppa Di Bella, Nezar H. Khdary, and et al. 2022. "Chemical and Microbiological Assessment of Wastewater Discharged along the Mediterranean Sea" Sustainability 14, no. 5: 2746. https://doi.org/10.3390/su14052746
APA StyleHassen, W., Mehri, I., Beltifa, A., Giorgia Potortì, A., Khellaf, N., Amer, R., Van Loco, J., Hassen, A., Di Bella, G., Khdary, N. H., & Ben Mansour, H. (2022). Chemical and Microbiological Assessment of Wastewater Discharged along the Mediterranean Sea. Sustainability, 14(5), 2746. https://doi.org/10.3390/su14052746

