Structural Studies of Water-Insoluble β-Glucan from Oat Bran and Its Effect on Improving Lipid Metabolism in Mice Fed High-Fat Diet
Abstract
1. Introduction
2. Materials and Methods
2.1. Materials
2.2. Separation of Water-Insoluble Dietary Fiber from Oat Bran
2.3. Extraction and Purification of Oat Water-Insoluble β-Glucan
2.4. Structural Identification and Characterization of Water-Insoluble β-Glucan
2.4.1. Monosaccharide Composition and Molecular Weight of Water-Insoluble β-Glucan
2.4.2. Oligosaccharide Content (DP3:DP4)
2.4.3. Nuclear Magnetic Resonance (NMR) Spectroscopy Measurement
2.4.4. Fourier-Transform Infrared (FT-IR) Spectroscopy
2.4.5. X-ray Diffraction
2.4.6. Scanning Electron Microscopy (SEM)
2.5. Physicochemical Characteristics of Water-Insoluble β-Glucan
2.5.1. Swelling Power
2.5.2. Fat-Binding Capacity
2.5.3. Gel Texture
2.5.4. Determination of Rheological Properties
2.6. Effect of Water-Insoluble β-Glucan on Weight Gain and Lipid Metabolism in HFD-Fed Mice
2.6.1. Animal Experiments
2.6.2. Determination of Body Weight and Body Fat Content
2.6.3. Serum and Tissue Lipid Profile Analysis
2.6.4. Western Blot Analysis
2.7. Statistical Analysis
3. Results and Discussion
3.1. Monosaccharide Composition and Molecular Weight of Water-Insoluble β-Glucan
3.2. Oligosaccharide Content (DP3:DP4) of Water-Insoluble β-Glucan
3.3. Spectroscopic Analysis of Water-Insoluble β-Glucan
3.4. Microstructure of Water-Insoluble β-Glucan
3.5. Physicochemical Characteristics of Water-Insoluble β-Glucan
3.5.1. Swelling Power, Fat-Binding Capacity, and Gel Texture
3.5.2. Determination of Rheological Properties
3.6. Effect of Water-Insoluble β-Glucan on Weight Gain and Lipid Metabolism in HFD-Fed Mice
3.6.1. Effect of Water-Insoluble β-Glucan on Body Weight and Body Fat Content
3.6.2. Effect of Water-Insoluble β-Glucan on Serum and Lipid Metabolism in HFD-Fed Mice
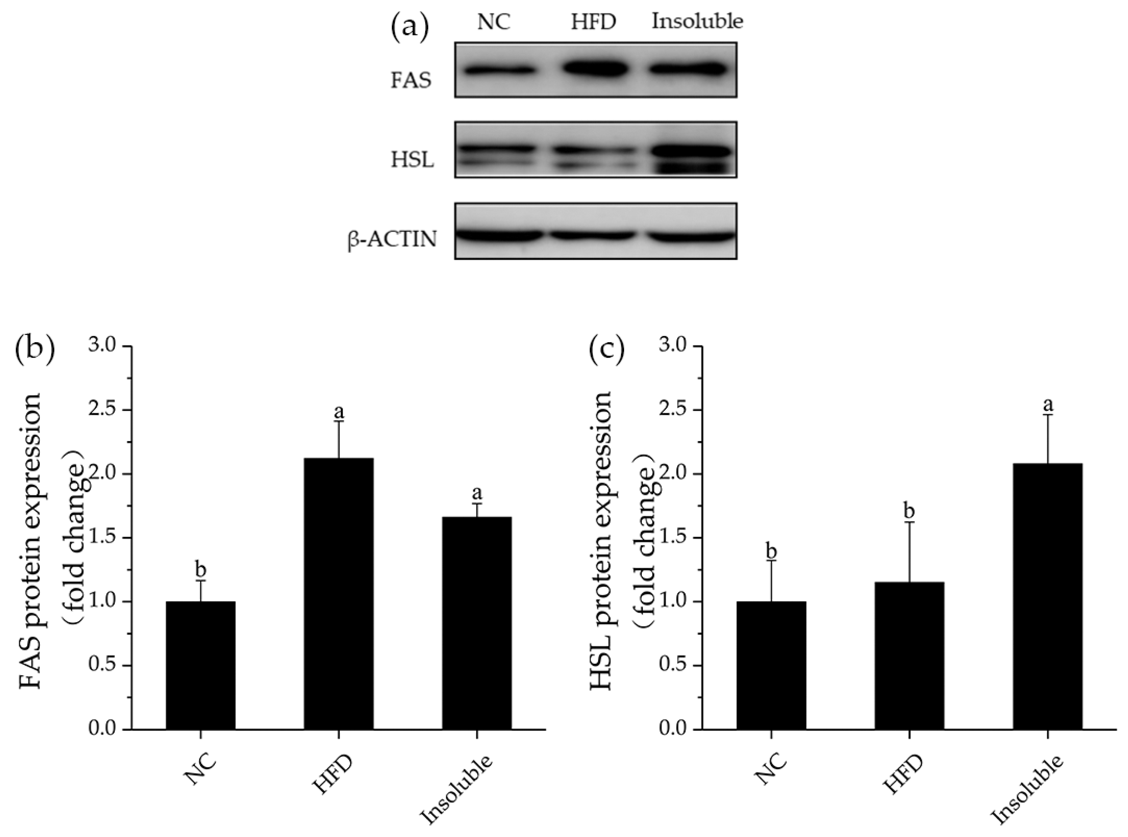
3.6.3. Effect of Water-Insoluble β-Glucan on the Expression of Lipid Metabolism Associated Proteins in Mice
4. Conclusions
Supplementary Materials
Author Contributions
Funding
Institutional Review Board Statement
Informed Consent Statement
Conflicts of Interest
References
- Ryu, J.H.; Lee, S.; You, S.; Shim, J.H.; Yoo, S.H. Effects of barley and oat β-glucan structures on their rheological and thermal Characteristics. Carbohydr. Polym. 2012, 89, 1238–1243. [Google Scholar] [CrossRef]
- Gruppen, H.; Hamert, R.J.; Voragen, A.G.J. Water-unextractable cell wall material from wheat flour. 1. extraction of polymers with alkali. J. Cereal Sci. 1992, 16, 41–51. [Google Scholar] [CrossRef]
- Dong, J.L.; Zhu, Y.Y.; Li, L.; Shen, R.L.; Li, H. Effect of oat soluble and insoluble β-glucan on lipid metabolism and intestinal lactobacillus in high-fat diet-induced obese mice. J. Food Nutr. Res. 2014, 2, 510–516. [Google Scholar] [CrossRef][Green Version]
- Shen, R.L.; Wang, Z.; Dong, J.L.; Xiang, Q.S.; Liu, Y.Q. Effects of oat soluble and insoluble β-glucan on 1, 2-dimethylhydrazine-induced early colon carcinogenesis in mice. Food Agric. Immunol. 2016, 27, 657–666. [Google Scholar] [CrossRef]
- Channell, G.A.; Adams, G.G.; Lu, Y.D.; Gillis, R.B.; Dinu, V.; Grundy, M.M.L.; Bajka, B.; Butterworth, P.J.; Ellis, P.R.; Mackie, A.; et al. Use of the Extended Fujita method for representing the molecular weight and molecular weight distributions of native and processed oat beta-glucans. Sci. Rep. 2018, 8, 1–8. [Google Scholar] [CrossRef]
- Tamura, K.; Hemsworth, G.R.; Dejean, G.; Rogers, T.E.; Pudlo, N.A.; Urs, K.; Jain, N.; Davies, G.J.; Martens, E.C.; Brumer, H. Molecular mechanism by which prominent human gut bacteroidetes utilize mixed-linkage beta-glucans, major health-promoting cereal polysaccharides. Cell Rep. 2017, 21, 417–430. [Google Scholar] [CrossRef]
- Tosh, S.M. Review of human studies investigating the post-prandial blood-glucose lowering ability of oat and barley food products. Eur. J. Clin. Nutr. 2013, 67, 310–317. [Google Scholar] [CrossRef]
- Vaikousi, H.; Biliaderis, C.G.; Izydorczyk, M.S. Solution flow behavior and gelling properties of water-soluble barley (1-3,1-4)-β-glucans varying in molecular size. J. Cereal Sci. 2004, 39, 119–137. [Google Scholar] [CrossRef]
- Johansson, L.; Tuomainen, P.; Ylinen, M.; Ekholm, P.; Virkki, L. Structural analysis of water-soluble and -insoluble β-glucans of whole-grain oats and barley. Carbohydr. Polym. 2004, 58, 267–274. [Google Scholar] [CrossRef]
- Lazaridou, A.; Biliaderis, C.G. Molecular aspects of cereal β-glucan functionality: Physical properties, technological applications and physiological effects. J. Cereal Sci. 2007, 46, 101–118. [Google Scholar] [CrossRef]
- Wang, X.; Storsley, J.; Thandapilly, S.J.; Ames, N. Effects of processing, cultivar, and environment on the physicochemical properties of oat β-glucan. Cereal Chem. J. 2016, 93, 402–408. [Google Scholar] [CrossRef]
- Mejía, S.M.V.; De Francisco, A.; Bohrer, B.M. A comprehensive review on cereal β-glucan: Extraction, characterization, causes of degradation, and food application. Crit. Rev. Food Sci. Nutr. 2020, 60, 3693–3704. [Google Scholar] [CrossRef] [PubMed]
- Zielke, C.; Lu, Y.; Nilsson, L. Aggregation and microstructure of cereal β-glucan and its association with other biomolecules. Colloids Surf. A 2019, 560, 402–409. [Google Scholar] [CrossRef]
- Mäkelä, N.; Brinck, O.; Sontag-Strohm, T. Viscosity of β-glucan from oat products at the intestinal phase of the gastrointestinal model. Food Hydrocoll. 2020, 100, 105422. [Google Scholar] [CrossRef]
- Regand, A.; Chowdhury, Z.; Tosh, S.M.; Wolever, T.M.S.; Wood, P.J. The molecular weight, solubility and viscosity of oat β-glucan affect human glycemic response by modifying starch digestibility. Food Chem. 2011, 129, 297–304. [Google Scholar] [CrossRef] [PubMed]
- Virkki, L.; Johansson, L.; Ylinen, M.; Maunu, S.; Ekholm, P. Structural characterization of water-insoluble nonstarchy polysaccharides of oats and barley. Carbohydr. Polym. 2005, 59, 357–366. [Google Scholar] [CrossRef]
- Izydorczyk, M.S.; Macri, L.J.; MacGregor, A.W. Structure and physicochemical properties of barley non-starch polysaccharides—II. Alkali-extractable β-glucans and arabinoxylans. Carbohydr. Polym. 1998, 35, 259–269. [Google Scholar] [CrossRef]
- Shokri, H.; Asadi, F.; Khosravi, A.R. Isolation of beta-glucan from the cell wall of Saccharomyces cerevisiae. Nat. Prod. Res. 2008, 22, 414–421. [Google Scholar] [CrossRef]
- Wang, Y.T.; Liu, Y.F.; Yu, H.Z.; Zhou, S.; Zhang, Z.; Wu, D. Structural characterization and immuno-enhancing activity of a highly branched water-soluble β-glucan from the spores of Ganoderma lucidum. Carbohydr. Polym. 2017, 167, 337–344. [Google Scholar] [CrossRef]
- Zeng, Z.H.; Miao, S.; Zhang, Y.; Lin, S.; Jian, Y.Y.; Tian, Y.T. Isolation, preliminary structural characterization and hypolipidemic effect of polysaccharide fractions from Fortunella margarita (Lour.) Swingle. Food Hydrocoll. 2016, 52, 126–136. [Google Scholar] [CrossRef]
- Johansson, L.; Virkki, L.; Maunu, S.; Lehto, M.; Ekholm, P.; Varo, P. Structural characterization of water-soluble β-glucan of oat bran. Carbohydr. Polym. 2000, 42, 143–148. [Google Scholar] [CrossRef]
- Sun, T.; Qin, Y.Y.; Xie, J.; Xu, H.L.; Gan, J.H.; Wu, J.K. Effect of Maillard reaction on rheological, physicochemical and functional properties of oat β-glucan. Food Hydrocoll. 2019, 89, 90–94. [Google Scholar] [CrossRef]
- Jiang, G.S.; Vasanthan, T. MALDI-MS and HPLC quantification of oligosaccharides of lichenase hydrolyzed water-soluble β-glucan from ten barley varieties. J. Agric. Food Chem. 2000, 48, 3305–3310. [Google Scholar] [CrossRef] [PubMed]
- Mejía, S.M.V.; De Francisco, A.; Manique-Barreto, P.L.; Mattioni, B.; Zibetti, A.W.; Molognoni, L. Physicochemical comparison of commercial vs. extracted β-glucans and structural characterization after enzymatic purification. Vitae 2018, 25, 26–36. [Google Scholar] [CrossRef]
- Xiang, X.; Tan, C.; Sun, X.J.; Zhao, Y.S.; Zhang, J.Y.; Zhu, Y. Effects of fermentation on structural characteristics and in vitro physiological activities of barley β-glucan. Carbohydr. Polym. 2020, 231, 115685. [Google Scholar] [CrossRef]
- Zhang, Y.; Qi, J.R.; Zeng, W.Q.; Huang, Y.X.; Yang, X.Q. Properties of dietary fiber from citrus obtained through alkaline hydrogen peroxide treatment and homogenization treatment. Food Chem. 2020, 311, 125873. [Google Scholar] [CrossRef]
- De Moura, F.A.; Pereira, J.M.; da Silva, D.O.; Zavareze, E.D.; Moreira, A.D.; Helbig, E. Effects of oxidative treatment on the physicochemical, rheological and functional properties of oat β-glucan. Food Chem. 2011, 128, 982–987. [Google Scholar] [CrossRef]
- De Souza, N.L.; Bartz, J.; Zavareze, E.D.; De Oliveira, P.D.; Da Silva, W.S.V.; Alves, G.H. Functional, thermal and rheological properties of oat β-glucan modified by acetylation. Food Chem. 2015, 178, 243–250. [Google Scholar] [CrossRef] [PubMed]
- Liu, R.; Wang, N.; Li, Q.; Zhang, M. Comparative studies on physicochemical properties of raw and hydrolyzed oat β-glucan and their application in low-fat meatballs. Food Hydrocoll. 2015, 51, 424–431. [Google Scholar] [CrossRef]
- Wilson, T.A.; Nicolosi, R.J.; Delaney, B.; Chadwell, K.; Moolchandani, V.; Kotyla, T. Reduced and high molecular weight barley beta-glucans decrease plasma total and non-HDL-cholesterol in hypercholesterolemic Syrian golden hamsters. J. Nutr. 2004, 134, 2617–2622. [Google Scholar] [CrossRef] [PubMed]
- Tvaroska, I.; Ogawa, K.; Deslandes, Y.; Marchessault, R.H. Crystalline conformation and structure of lichenan and barley β-glucan. Can. J. Chem.-Rev. Can. De Chim. 1983, 61, 1608–1616. [Google Scholar] [CrossRef]
- Konak, T.T.; Ercili-Cura, D.; Sibakov, J.; Sontag-Strohm, T.; Certel, M.; Loponen, J. CO2-defatted oats: Solubility, emulsification and foaming properties. J. Cereal Sci. 2014, 60, 37–41. [Google Scholar] [CrossRef]
- Rong, Y.X.; Xu, N.Y.; Xie, B.Y.; Hao, J.; Yi, L.; Cheng, R.M. Sequencing analysis of β-glucan from highland barley with high performance anion exchange chromatography coupled to quadrupole time-Of-Flight mass spectrometry. Food Hydrocoll. 2017, 73, 235–242. [Google Scholar] [CrossRef]
- Mikkelsen, M.S.; Jespersen, B.M.; Larsen, F.H.; Blennow, A.; Engelsen, S.B. Molecular structure of large-scale extracted β-glucan from barley and oat: Identification of a significantly changed block structure in a high β-glucan barley mutant. Food Chem. 2013, 136, 130–138. [Google Scholar] [CrossRef] [PubMed]
- Mohamad Haafiza, M.K.; Eichhornc, S.J.; Hassana, A.; Jawaidd, M. Isolation and characterization of microcrystalline cellulose from oil palm biomass residue. Carbohydr. Polym. 2013, 93, 628–634. [Google Scholar] [CrossRef] [PubMed]
- Chronakis, I.S.; Triantafyllou, A.Ö.; Öste, R. Solid-state characteristics and redispersible properties of powders formed by spray-drying and freeze-drying cereal dispersions of varying (1→3, 1→4)-β-glucan content. J. Cereal Sci. 2004, 40, 183–193. [Google Scholar] [CrossRef]
- Izydorczyk, M.S.; Dexter, J.E. Barley β-glucans and arabinoxylans: Molecular structure, physicochemical properties, and uses in food products- a Review. Food Res. Int. 2008, 41, 850–868. [Google Scholar] [CrossRef]
- Allen, K.G.D.; Bristow, S.J.; Yu, L. Hypolipidemic effects of modified psyllium preparations. J. Agric. Food Chem. 2004, 52, 4998–5003. [Google Scholar] [CrossRef]
- Czechowska-Biskup, R.; Rokita, B.; Ulanski, P.; Rosiak, J.M. Radiation induced and sonochemical degradation of chitosan as a way to increase its fat binding capacity. Nucl. Instrum. Methods Phys. Res. Sect. B Beam Interact. Mater. At. 2005, 236, 383–390. [Google Scholar] [CrossRef]
- Böhm, N.; Kulicke, W.M. Rheological studies of barley (1→ 3) (1→ 4)-β-glucan in concentrated solution: Mechanistic and kinetic investigation of the gel formation. Carbohydr. Res. 1999, 315, 302–311. [Google Scholar] [CrossRef]
- Zielke, C.; Stradner, A.; Nilsson, L. Characterization of cereal b-glucan extracts: Conformation and structural aspects. Food Hydrocoll. 2018, 79, 218–227. [Google Scholar] [CrossRef]
- Lazaridou, A.; Biliaderis, C.G. Cryogelation of cereal β-glucans: Structure and molecular size effects. Food Hydrocoll. 2004, 18, 933–947. [Google Scholar] [CrossRef]
- Tang, T.; Song, J.J.; Li, J.; Wang, H.W.; Zhang, Y.; Suo, H.Y. A synbiotic consisting of Lactobacillus plantarum S58 and hull-less barley β-glucan ameliorates lipid accumulation in mice fed with a high-fat diet by activating AMPK signaling and modulating the gut microbiota. Carbohydr. Polym. 2021, 243, 116398. [Google Scholar] [CrossRef] [PubMed]
- Postic, C.; Girard, J. Contribution of de novo fatty acid synthesis to hepatic steatosis and insulin resistance: Lessons from genetically engineered mice. J. Clin. Investig. 2008, 118, 829–838. [Google Scholar] [CrossRef] [PubMed]








| Sample | Mn × 104 g/mol | Mw × 104 g/mol | Mw/Mn |
|---|---|---|---|
| Water-insoluble | 2.77 | 12.38 | 4.47 |
| Water-soluble | 3.43 | 11.92 | 3.48 |
| Sample | Water-Insoluble | Water-Soluble |
|---|---|---|
| Swelling power (g/g sample) | 7.29 ± 0.01 a | 6.34 ± 0.06 b |
| Fat binding capacity (g oil/g sample) | 3.17 ± 0.01 a | 3.01 ± 0.05 a |
| Hardness (N) | 3.12 ± 0.04 a | 2.08 ± 0.35 a |
| Adhesiveness (mJ) | 2.75 ± 0.16 a | 4.62 ± 0.59 a |
| Cohesiveness | 0.22 ± 0.02 a | 0.43 ± 0.08 a |
| Springiness (mm) | 2.41 ± 0.24 b | 6.10 ± 0.54 a |
| Gumminess (N) | 0.69 ± 0.09 a | 0.88 ± 0.01 a |
Publisher’s Note: MDPI stays neutral with regard to jurisdictional claims in published maps and institutional affiliations. |
© 2021 by the authors. Licensee MDPI, Basel, Switzerland. This article is an open access article distributed under the terms and conditions of the Creative Commons Attribution (CC BY) license (https://creativecommons.org/licenses/by/4.0/).
Share and Cite
Yu, S.; Wang, J.; Li, Y.; Wang, X.; Ren, F.; Wang, X. Structural Studies of Water-Insoluble β-Glucan from Oat Bran and Its Effect on Improving Lipid Metabolism in Mice Fed High-Fat Diet. Nutrients 2021, 13, 3254. https://doi.org/10.3390/nu13093254
Yu S, Wang J, Li Y, Wang X, Ren F, Wang X. Structural Studies of Water-Insoluble β-Glucan from Oat Bran and Its Effect on Improving Lipid Metabolism in Mice Fed High-Fat Diet. Nutrients. 2021; 13(9):3254. https://doi.org/10.3390/nu13093254
Chicago/Turabian StyleYu, Shoujuan, Jun Wang, Yixuan Li, Xifan Wang, Fazheng Ren, and Xiaoyu Wang. 2021. "Structural Studies of Water-Insoluble β-Glucan from Oat Bran and Its Effect on Improving Lipid Metabolism in Mice Fed High-Fat Diet" Nutrients 13, no. 9: 3254. https://doi.org/10.3390/nu13093254
APA StyleYu, S., Wang, J., Li, Y., Wang, X., Ren, F., & Wang, X. (2021). Structural Studies of Water-Insoluble β-Glucan from Oat Bran and Its Effect on Improving Lipid Metabolism in Mice Fed High-Fat Diet. Nutrients, 13(9), 3254. https://doi.org/10.3390/nu13093254
