Next Article in Journal
Diverse YqeK Diadenosine Tetraphosphate Hydrolases Control Biofilm Formation in an Iron-Dependent Manner
Next Article in Special Issue
Porous PEG Scaffold Fabricated via Emulsion-Templating Technique Towards Immobilization of Saccharomyces cerevisiae Cells
Previous Article in Journal
Exploring the Synthesis of Novel Sillenite Bi12SnO20: Effect of Calcination Temperature on the Phase Formation and Catalytic Performance
Previous Article in Special Issue
Studies on Insertion/Deletion Residues for Functional Analysis and Improved Amination Activity in Meso-DAPDH from Corynebacterium glutamicum
 
 
Font Type:
Arial Georgia Verdana
Font Size:
Aa Aa Aa
Line Spacing:
Column Width:
Background:
Article

A Spy Chemistry-Based Method for Purification of Proteins with Authentic N-Termini

1
School of Biology and Biological Engineering, South China University of Technology, Guangzhou 510006, China
2
School of Biomedicine, Guangdong University of Technology, Guangzhou 510006, China
*
Authors to whom correspondence should be addressed.
Catalysts 2024, 14(9), 651; https://doi.org/10.3390/catal14090651
Submission received: 5 August 2024 / Revised: 17 September 2024 / Accepted: 19 September 2024 / Published: 23 September 2024
(This article belongs to the Special Issue State-of-the-Art Enzyme Engineering and Biocatalysis in China)

Abstract

Protein purification is essential in life sciences and biomanufacturing. Tag-mediated protein affinity chromatography (AC) enables the preparation of recombinant proteins with medium to high purity. However, traditional AC methods often require expensive resins and additional tag removal steps. Here, we introduce a purification method for proteins with authentic N-termini based on reusable SpyDock-modified epoxy resin and a pH-inducible self-cleavage intein. This method was validated using SpyTag002-fused red fluorescent protein (RFP) and applied to purify three model proteins: glutathione S-transferase (GST), human growth hormone (hGH), and the nanobody caplacizumab, directly from cell lysates. The purified proteins achieved high purities (92–98%) and comparable yields to the commercial His-tag method. The preparation of the SpyDock-modified resin is straightforward, and SpyDock can be easily produced via standard Escherichia coli fermentation processes, making it potentially suitable for industrial-scale applications.

Graphical Abstract

1. Introduction

Protein purification stands as one of the cornerstones in life sciences and biomanufacturing. Significant efforts have been made to make the process more efficient and economical. Affinity chromatography (AC) is one of the most widely used approaches for purification, leveraging the interactions between proteins and ligands immobilized on chromatography media [1,2,3]. However, in most cases, a tag, such as the classic His-tag [4,5,6], is used. Each affinity tag has its own set of challenges. For instance, the use of His-tag may lead to metal ion leakage and an increased risk of immunogenicity [5]. Moreover, the removal of tags using endopeptidases imposes considerable production costs and delays in time [1].
Recently, the advancement of genetically encoded Spy chemistry, which enables the spontaneous formation of a covalent bond between SpyCatcher and SpyTag with high efficiency and selectivity under mild conditions [7,8], provides new tools for protein purification [9,10]. Two design approaches have been used: immobilizing SpyTag on resins to purify the SpyCatcher-fused protein of interest (POI), or vice versa. In our previous study, we developed a Spy chemistry-based protein purification scheme by chemically synthesizing SpyTag polypeptides directly on Sepharose resin, allowing for the capture of SpyCatcher-fused POI with yields of 3–8 mg/L and a purity exceeding 92% [10]. However, this method involves chemical peptide synthesis and is nonreusable due to the irreversible covalent bond between SpyCatcher and SpyTag [11]. Alternatively, an engineered non-reactive version of SpyCatcher known as SpyDock (containing two major mutations, S49C and E77A) has been developed for immobilization on SulfoLink resin for the purification of SpyTagged POI [9]. This approach has three main limitations: the POI contains an additional SpyTag, the thioether bonds formed between SpyDock and SulfoLink resin are susceptible to oxidation [12,13], and the relatively high price of the Sulfolink resin (45 USD/mL) limits its application for large-scale purification.
In this study, we developed a reliable and straightforward protein purification method using SpyDock-modified resin, which can directly purify a POI from crude cell lysates SpyTag-free (Figure 1). The approach was first validated with SpyTag002-fused red fluorescent protein (RFP) (SpyTag002-RFP) and was then applied to the purification of glutathione enzyme S-transferase (GST) [14], human growth hormone (hGH) [15,16], and the nanobody caplacizumab [17,18] directly from cell lysates. The purity achieved ranged from 92% to 98%, and activity assays confirmed that the method reliably produced proteins with high activity. Compared to previous methods, this approach offers several key advances: (i) it utilizes epoxy resin, a widely used and more affordable resin for protein or enzyme immobilization (18 USD/mL) [10,19]; (ii) the secondary amine bonds formed between SpyDock and epoxy resin are highly stable [12,13]; (iii) the resin is reusable; and (iv) a self-cleavable Mtu ΔI-CM intein is introduced to produce proteins with authentic N-termini [10].

2. Results

2.1. Preparation of SpyDock-Modified Resin

We first prepared SpyDock-modified supports using epoxy resin [10]. The His-tagged SpyDock was overexpressed in E. coli and purified via Ni-NTA chromatography. Immobilization efficiencies of SpyDock under different pH conditions were analyzed (Figure 2A) using a protein concentration of 20 mg/mL. Consistent with previous reports [20,21], the immobilization of SpyDock on epoxy resin was highly pH-dependent. The immobilization efficiency at pH 7.0 was variable, ranging from 40% to 84%, likely due to the random reactions of epoxy resin with proteins under pH 7.0, as epoxy groups preferentially react with sulfhydryl groups at pH 7.5–8.5 or amine groups at pH 9.0–10.0 [20,22]. We extended the pH conditions to 8.0 and 10.0, where the immobilization efficiencies were significantly higher, reaching 63% and 97% within two hours, respectively. These efficiencies further improved to 86% and 99% within 12 h, respectively.
We also examined the immobilization capacity by increasing the SpyDock concentrations at pH 10.0. As shown in Figure 2B, the immobilization efficiencies were 99 ± 0.5% and 88 ± 2% for 60 mg/mL and 100 mg/mL of SpyDock, respectively (Figure S2). Based on these results, we prepared the SpyDock-modified resin by loading 100 mg/mL of SpyDock and allowing the reaction to proceed for 12 h at pH 10.0.

2.2. Capture Capacity and Reusability of SpyDock-Modified Resin Using SpyTag002-RFP

The protein purification scheme using SpyDock-modified resin was evaluated with the fusion protein SpyTag002-RFP. The fusion protein was overexpressed, purified by Ni-NTA chromatography, and loaded onto the resin. The captured efficiencies were 66 ± 10%, 73 ± 0.1%, and 73 ± 5% for inputs of 5, 10, and 30 mg SpyTag002-RFP per mL of SpyDock-modified resin, respectively, comparable to the typical Ni-NTA resin, which ranges from 5 to 40 mg/mL resin [23,24]. The captured protein was eluted with different volumes of ETP buffer (2.5 M imidazole in TP buffer, pH 7.0) relative to the resin, with recovery yields ranging from 50% to 81% (Table S2).
The reusability of the SpyDock-modified resin was subsequently determined because SpyDock and SpyTag do not form a covalent bond [9]. Our results show that the resin maintained more than 75% of its initial capture activity after four cycles (Figure 2D, Figures S3 and S4), indicating that SpyDock-modified resin could serve as a promising alternative for protein purification.

2.3. Purification of Three Model Proteins by SpyDock-Modified Resin from Crude Cell Lysates

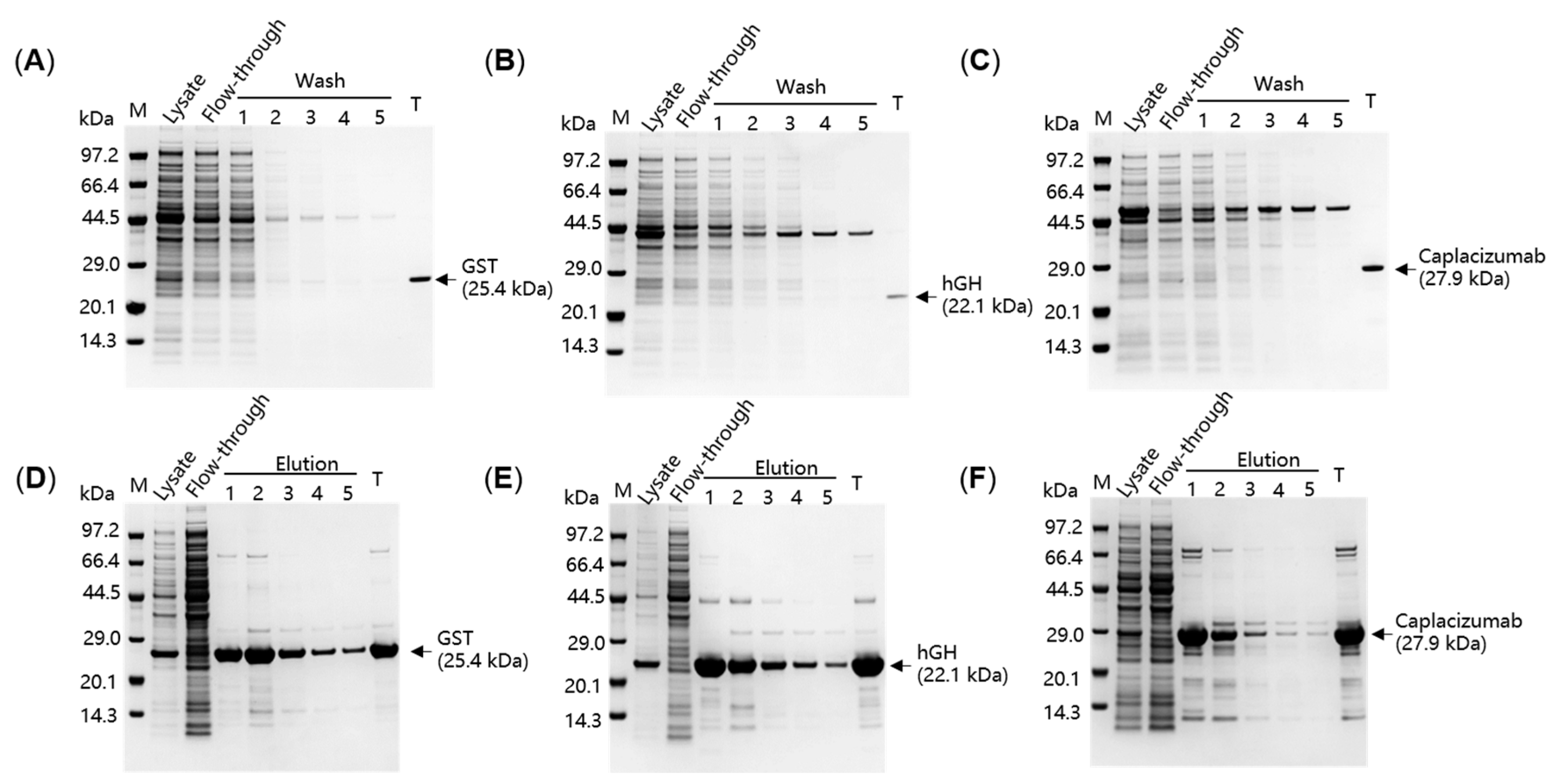
We evaluated the SpyDock-modified resin-based purification strategy using three model proteins: GST (an enzyme), hGH (a therapeutic protein), and caplacizumab (a nano-antibody). Each target protein was fused with a pH-inducible C-terminal cleavage intein, Mtu ΔI-CM, at the N-terminus to generate proteins with authentic N-termini [10]. Given the high selectivity of SpyDock and SpyTag, we directly loaded crude cell lysates containing SpyTag002-Mtu ΔI-CM-GST, SpyTag002-Mtu ΔI-CM-hGH, and SpyTag002-Mtu ΔI-CM-caplacizumab onto the modified resin. Following a wash with WTP buffer (0.5 M imidazole in TP buffer, pH 7.0) to remove nonspecifically adsorbed host cell proteins, we induced the Mtu ΔI-CM intein to self-cleave, releasing the target proteins. As illustrated in Table 1, the process achieved yields of 58 ± 4% for GST, 20 ± 5% for hGH, and 15 ± 0.5% for caplacizumab, all with high purities of 98 ± 1%, 92 ± 6%, and 92 ± 2%, respectively.
For comparison, we also performed purification using Ni-NTA resin for each model protein with a His-tag. Following standard procedures, the yields for His-tagged GST, hGH, and caplacizumab were 60 ± 4%, 52 ± 9%, and 49 ± 7%, respectively, with purities of 67 ± 6%, 67 ± 5%, and 50 ± 3% (Figure 3 and Table 1). Although the yields were higher, the purities were much lower, necessitating additional purification steps such as ion exchange, size exclusion chromatography, and protease cleavage to remove the His-tag. These steps often resulted in a yield reduction of 50–80% [25]. Taken together, the SpyDock-modified resin purification method offered higher purity (>90%) and likely comparable yields of the target proteins of high purity, with the added advantage of preserving authentic N-termini.
The biological activities of all three model proteins purified using the SpyDock-modified resin strategy were assessed. As shown in Table 2, the enzyme activity for GST was measured at 12.8 U/mg, comparable to that of the commercial GST (10.3 U/mg) or literature-sourced GST (14.0 U/mg) [26]. The dissociation constant (KD) of hGH was determined to be 6.3 × 10−10 nM, which falls within the range reported in the literature [27,28]. Caplacizumab exhibited an estimated KD value of 0.45 nM using the BLI approach, which was comparable to the previous report [29]. Thus, all the purified proteins demonstrated activity levels compared to commercial samples or were consistent with the previous reports. Overall, we have demonstrated a streamlined protein purification method, which resulted in high-purity proteins with authentic N-termini.

3. Discussion

In this study, we have demonstrated a facile and reliable strategy for obtaining target proteins with a high purity from crude cell lysates using a reusable SpyDock-modified resin. Our scheme achieved a higher purity and a comparable yield compared to the commercial His-tag method [26,30,31,32]. Typically, the His-tag method requires two additional chromatography steps, including ion exchange chromatography and size exclusion chromatography to achieve over 90% purity, which significantly reduces yields [33]. Unlike the His-tag or other purification tags used in Spy&Go [9] and SpySwitch [34], our approach retains the authentic N-terminus of the target protein. Additionally, our approach uses a more cost-effective resin than these approaches. Inteins have been employed in commercial purification methods like the IMPACT (Intein-Mediated Purification with an Affinity Chitin-binding Tag) system for obtaining a target protein with an authentic N-terminus [35,36]; however, this method’s low loading capacity (2 mg/mL resin) limits broader applications [24]. In comparison, our approach uses a smaller SpyTag (1.5 kDa vs. 5.5 kDa) with higher affinity (Kd < 0.1 μM vs. Kd~1.0 μM), resulting in significantly higher resin capacity (22 mg/mL resin) and enhancing its potential for large-scale commercial application. Furthermore, the preparation of the SpyDock-modified resin is straightforward, and SpyDock can be easily produced via standard E. coli fermentation processes [37], making it potentially suitable for industrial-scale application.
This method has much room for improvement, as the yields for model proteins were unexpectedly low, necessitating further optimization. One of the key factors influencing protein yield while using this method is the self-cleavage efficiency of the Mtu intein, which is affected by the residue adjacent to the intein in the target protein, particularly the first residues of the target protein [38,39,40]. For GST, hGH, and caplacizumab, the first amino acids are Met, Phe, and Glu, respectively. Under the pH 6.2 conditions used in the cleavage buffer, Met is more likely to form an interaction with the carbonyl group in the main chain of Asn440. This interaction is believed to accelerate the cyclization of Asn440, thereby enhancing self-cleavage [41,42]. Moreover, extending the incubation time for self-cleavage may be a potential approach to increase protein yield. Another strategy is to employ another variant of the Mtu intein that has been engineered for higher efficiency. For example, recently reported variants such as Mtu ΔI-12 and Mtu ΔI-29 have shown enhanced yields in protein purification [43]. The design of the linker between SpyTag002 and the intein is also important for self-cleavage efficiency. In this study, we used a typical flexible (GGGGS)3 linker. Employing a more rigid linker, such as a PT linker or an EAAAK linker, may create a relatively isolated environment, which could help the Mtu ΔI-CM intein adopt the correct intramolecular conformation and enhance self-cleavage efficiency [38,44]. Additionally, the immobilization conditions of SpyDock on the epoxy resin can still be optimized, such as temperature and chemical agent, which blocks the resin after immobilization.

4. Materials and Methods

4.1. Materials

The strains E. coli DH5α and BL21 (DE3) were obtained from Novagen (Madison, WI, USA), as well as the plasmid pET30a. The restriction enzymes and DNA polymerases were sourced from New England Biolabs (Beverly, MA, USA). The HisTrap HP column and epoxy-activated Sepharose™ 6B were supplied by GE Healthcare (Beijing, China). The commercial glutathione S-transferase (GST) was purchased from SinoBiological (Beijing, China), hGH receptor (hGHR) from Abcam (Cambridge, UK), and human von Willebrand factor (vWF) from Prolytix (TE Huissen, The Netherlands). The GST Activity Assay Kit, primers, DNA sequencing, and synthesis were provided by Sangon (Shanghai, China). The Octet® AR2G Biosensors Kit was acquired from Sartorius (Göttingen, Germany).

4.2. Plasmid Construction

The SpyDock sequence was synthesized by Sangon (Shanghai, China) and then amplified by primers SpyDock-F and SpyDock-R via standard PCR protocol. The plasmid pET30a was amplified by primers BackboneS-F and BackboneS-R. The plasmid pET30a-SpyDock was then constructed using the Gibson assembly [45]. To construct the plasmid pET30a-SpyTag002-GSlinker-RFP, the SpyTag002-GSlinker-RFP cassette was amplified from pET30a-SpyTag-GSlinker-RFP [10] using primers RFP-F and RFP-R. The SpyTag002-Mtu ΔI-CM-hGH DNA fragment was amplified using primers hGH-F and hGH-R from pET30a-Spytag-Mtu ΔI-CM-hGH, digested with Nde I and Xho I, and inserted into the similarly digested plasmid pET30a to generate pET30a-SpyTag002-Mtu ΔI-CM-hGH. The GST and caplacizumab sequences were codon-optimized, synthesized by Sangon Biotech (Shanghai, China), and amplified using standard PCR methods. These sequences then replaced hGH in pET30a-SpyTag002-Mtu ΔI-CM-hGH to generate plasmids pET30a-SpyTag002-Mtu ΔI-CM-GST and pET30a-SpyTag002-Mtu ΔI-CM-caplacizumab, respectively. The plasmids pET30a-GST-His, pET30a-hGH-His, and pET30a-caplacizumab-His for Ni-NTA purification were constructed by replacing the SpyTag-GSlinker-RFP in pET30a-SpyTag002-GSlinker-RFP with GST, hGH, or caplacizumab DNA sequences, respectively. All plasmids were validated by DNA sequencing. The primers used in the study are listed in Table S1.

4.3. Protein Expression and Purification via His-Tag Method

The recombinant proteins were expressed and purified as described [10]. Briefly, E. coli BL21(DE3) strains harboring the expression plasmids for expressing SpyDock, SpyTag002-GSlinker-RFP, GST, hGH, and caplacizumab were inoculated in an LB (lysogeny broth) medium supplemented with 50 μg/mL kanamycin at 37 °C until the OD600 reached 0.4–0.6 separately. A protein expression was then induced with 0.2 mM isopropyl-β-D-thiogalactoside (IPTG) at 18 °C for 20–24 h. Cells were subsequently harvested by centrifugation at 8000 rpm, 4 °C for 15 min.
For the His-tag purification, the harvested cells were resuspended in binding buffer (20 mM sodium phosphate, 500 mM NaCl, 30 mM imidazole pH 7.4) to a final OD600 of 50 and disrupted on ice with an Ultrasonic crasher (Scientz Biotechnology Co., Ningbo, China). The supernatants were isolated after centrifugation and filtered through 0.22 μm membranes. The samples were then purified using an ÄKTA™ pure protein purification system (GE Healthcare, Chicago, IL, USA) with an Ni-NTA column as previously described [10,46]. For comparison with SpyDock-modified resin, a standard elution procedure was employed using 200 mM imidazole as described previously [34].
The proteins were analyzed using 4–20% YoungPAGE® Bis-Tris SDS-PAGE (GenScript, Nanjing, China), followed by staining with Coomassie Brilliant Blue R-250. The purity and quantity of the proteins in all samples were determined densitometrically by using the software ImageJ (Version 1.8.0, NIH, Bethesda, MD, USA), with bovine serum albumin (BSA) as the standard. The eluted proteins were subjected to dialysis against 100 mM PBS, pH 7.0 at 4 °C overnight.

4.4. Immobilization of SpyDock on Epoxy Resin

Immobilization of SpyDock on epoxy-activated Sepharose™ 6B was carried out as previously described [9,19,21]. A 20 mg/mL resin solution of SpyDock was prepared in coupling buffer A (0.1 M sodium phosphate, containing 250 mM Na2SO4, pH 7.0), coupling buffer B (0.1 M sodium phosphate, containing 250 mM Na2SO4, pH 8.0), and coupling buffer C (0.1 M sodium phosphate, containing 250 mM Na2SO4, pH 10.0), respectively. The mixtures were shaken for 24 h. The time of immobilization was determined by analyses of the protein content in the supernatant at various time points from 0 to 24 h, with the supernatants analyzed by SDS-PAGE. The apparent immobilization efficiencies were calculated using the following equation (Equation (1)):
Apparent immobilization efficiency = (Protein loaded − protein in the supernatant after reaction)/Protein loaded × 100%.
The SpyDock input amount was then further investigated at concentrations of 60 mg/mL resin and 100 mg/mL resin in coupling buffer C at 25 °C for 12 h. The apparent immobilization efficiencies were analyzed by SDS-PAGE. The resulting resin was collected by centrifugation at 1000 rpm for 1 min. The prepared SpyDock-modified resin was then incubated in 1 M ethanolamine solution, pH 8.0, at 37 °C for 12 h to block the excess remaining epoxy groups. After this, the resin was washed with 0.1 M acetate buffer, pH 4 followed by 0.1 M Tris-HCl buffer, pH 8, each containing 0.5 M NaCl, for three cycles. The resin was then stored in TP buffer (25 mM orthophosphoric acid adjusted to pH 7.0 with Tris base) at 4 °C [9].

4.5. Capture Capacity of SpyDock-Modified Resin

The purified SpyTag002-RFP in TP buffer was mixed with SpyDock-modified resin at loadings of 5, 10, and 30 mg/mL resin at 25 °C for 2 h to investigate the capture capacity of the SpyDock-modified resin. After the reaction, the resin was centrifuged at 1000 rpm for 1 min at 4 °C and washed five times with TP buffer. The captured protein was then eluted with ETP buffer (2.5 M imidazole in TP buffer, pH 7.0) [9]. At a concentration of 5 mg/mL resin SpyTag002-RFP, the resin was eluted with 4 × 1.5 resin volumes of ETP buffer. As the SpyTag002-RFP input amount was increased to 30 mg/mL resin, the resin was eluted with 8 × 1.5 resin volumes of ETP buffer.
The capture efficiencies were calculated using the following equation (Equation (2)):
Capture efficiency = (Protein loaded − Protein washed)/Protein loaded × 100%.
The elution recovery efficiencies were calculated using the following equation (Equation (3)):
Elution recovery efficiency = Protein eluted/Protein captured × 100%.

4.6. Reusability of SpyDock-Modified Resin

The reusability of SpyDock-modified resin was evaluated by capturing SpyTag002-RFP at a concentration of 5 mg/mL resin and then regenerating the resin as follows [9]. After elution, the resin was regenerated at room temperature by washing with 4 M imidazole in TP buffer pH 7.0 three times, followed by washing with TP buffer. Next, the resin was washed with 6 M guanidine hydrochloride (pH 2.0) three times, followed by washing with TP buffer. Subsequently, the resin was washed with 0.1 M NaOH three times and washed with TP buffer twice before storage in 20% ethanol at 4 °C.

4.7. Protein Purification via SpyDock-Modified Resin

The SpyDock-modified resin (250 μL) was incubated with 400 μL of the E. coli cell lysates containing SpyTag002-Mtu ΔI-CM-POI for 2 h at room temperature. Following incubation, the resin underwent thorough washing with 500 μL WTP (0.5 M imidazole in TP buffer, pH 7.0) five times to remove nonspecifically bound proteins. Subsequently, cleavage of the captured SpyTag002-Mtu ΔI-CM-POI was induced by adding 400 μL of B2 buffer (PBS buffer supplemented with 40 mM Bis-Tris, 2 mM EDTA, pH 6.2) at 37 °C for 3 h. Upon completion, the POI in the supernatant was collected by centrifugation, and the resin underwent further washing with 500 μL of TP buffer five times. The proteins present in the supernatant were subjected to analysis using SDS-PAGE. The target protein yield was calculated using the following equation (Equation (4)):
Target protein yield = (Collected POI)/(SpyTag002-Mtu ΔI-CM-POI) × 100%.

4.8. Protein Activity Assays

The enzyme activity of GST was assessed by quantifying the formation of GS-DNB resulting from the reaction between reduced glutathione (GSH) and 1-chloro-2,4-dinitrobenzene (CDNB), which manifests as an increase in absorbance of 340 nm [47] following the manufacturer’s instructions in the GST Activity Assay Kit. The commercial GST enzyme served as a positive control in the assay.
Kinetics measurements for hGH and caplacizumab were performed via the Biolayer interferometry (BLI) analysis employing the Octet®RED96e (Sartorius, Germany) with AR2G biosensors, adhering to the manufacturer’s guidelines. Briefly, hGHR or vWF was initially immobilized onto the AR2G biosensors. Subsequently, the affinity was evaluated by exposing the biosensors to various concentrations (ranging from 0 to 10 nM) of hGH or caplacizumab as analytes, enabling the determination of dissociation constants (KD).

5. Conclusions

In conclusion, we have presented an efficient and straightforward method for purifying highly pure proteins from crude cell lysates using reusable SpyDock-modified resin. The effectiveness of this approach has been demonstrated with two therapeutic proteins and one nanobody. This study optimized the SpyDock immobilization strategy on epoxy resin, making it adaptable to various commercial carriers. The incorporation of a pH-inducible Mtu ΔI-CM intein enabled the convenient production of high-purity (>90%) POIs with authentic N-termini and high activity. This method presents a simple and generalizable protocol for the purification of proteins, with or without disulfide bonds, making it valuable for both laboratory research and industrial-scale manufacturing.

Supplementary Materials

The following supporting information can be downloaded at: https://www.mdpi.com/article/10.3390/catal14090651/s1, Figure S1: SDS-PAGE results depicting the immobilization of SpyDock on epoxy resin at different pH levels; Figure S2: SDS-PAGE results for the immobilization of SpyDock on epoxy resin with varying input amounts; Figure S3: SDS-PAGE results demonstrating the reusability of SpyDock-modified resin and initial epoxy resin; Figure S4: Photographs for the (A) first, (B) second, (C) third, and (D) fourth rounds of using SpyDock-modified resin for purifying SpyTag002-RFP; Figure S5: Binding of hGH and caplacizumab monitored with BLI; Table S1: Primers used in this study; Table S2: Binding capacity and elution recovery of SpyDock-modified epoxy resin.

Author Contributions

Conceptualization, Z.L. (Zhanglin Lin) and X.Y.; methodology, B.C., Z.L. (Zisha Lao) and Y.X.; software, B.C., Z.L. (Zisha Lao) and Y.X.; validation, B.C., Z.L. (Zisha Lao) and Y.X.; formal analysis, B.C.; investigation, B.C.; resources, Z.L. (Zhanglin Lin) and X.Y.; data curation, B.C.; writing—original draft preparation, B.C. and X.Y.; writing—review and editing, B.C., X.Y. and Z.L. (Zhanglin Lin); visualization, B.C.; supervision, Z.L. (Zhanglin Lin) and X.Y.; project administration, Z.L. (Zhanglin Lin) and X.Y.; funding acquisition, Z.L. (Zhanglin Lin) and X.Y. All authors have read and agreed to the published version of the manuscript.

Funding

This study was funded by the National Key R&D Program of China (2022YFC2104800).

Data Availability Statement

Data are contained within the article or Supplementary Materials. The original contributions presented in this study are included in the article and Supplementary Materials; further inquiries can be directed to the corresponding authors.

Conflicts of Interest

The authors declare no conflicts of interest.

References

  1. Gomari, M.M.; Saraygord-Afshari, N.; Farsimadan, M.; Rostami, N.; Aghamiri, S.; Farajollahi, M.M. Opportunities and challenges of the tag-assisted protein purification techniques: Applications in the pharmaceutical industry. Biotechnol. Adv. 2020, 45, 107653. [Google Scholar] [CrossRef]
  2. Lacki, K.M.; Riske, F.J. Affinity Chromatography: An Enabling Technology for Large-Scale Bioprocessing. Biotechnol. J. 2020, 15, 1800397. [Google Scholar] [CrossRef] [PubMed]
  3. Stevens, T.A.; Tomaleri, G.P.; Hazu, M.; Wei, S.; Nguyen, V.N.; Dekalb, C.; Voorhees, R.M.; Pleiner, T. A nanobody-based strategy for rapid and scalable purification of human protein complexes. Nat. Protoc. 2024, 19, 127–158. [Google Scholar] [CrossRef]
  4. Lichty, J.J.; Malecki, J.L.; Agnew, H.D.; Michelson-Horowitz, D.J.; Tan, S. Comparison of affinity tags for protein purification. Protein. Expr. Purif. 2005, 41, 98–105. [Google Scholar] [CrossRef]
  5. Young, C.L.; Britton, Z.T.; Robinson, A.S. Recombinant protein expression and purification: A comprehensive review of affinity tags and microbial applications. Biotechnol. J. 2012, 7, 620–634. [Google Scholar] [CrossRef]
  6. Li, Y.; Stern, D.; Lock, L.L.; Mills, J.; Ou, S.-H.; Morrow, M.; Xu, X.; Ghose, S.; Li, Z.J.; Cui, H. Emerging biomaterials for downstream manufacturing of therapeutic proteins. Acta. Biomater. 2019, 95, 73–90. [Google Scholar] [CrossRef]
  7. Zakeri, B.; Fierer, J.O.; Celik, E.; Chittock, E.C.; Schwarz-Linek, U.; Moy, V.T.; Howarth, M. Peptide tag forming a rapid covalent bond to a protein, through engineering a bacterial adhesin. Proc. Natl. Acad. Sci. USA 2012, 109, E690–E697. [Google Scholar] [CrossRef] [PubMed]
  8. Reddington, S.C.; Howarth, M. Secrets of a covalent interaction for biomaterials and biotechnology: SpyTag and SpyCatcher. Curr. Opin. Chem. Biol. 2015, 29, 94–99. [Google Scholar] [CrossRef] [PubMed]
  9. Anuar, I.N.A.K.; Banerjee, A.; Keeble, A.H.; Carella, A.; Nikov, G.I.; Howarth, M. Spy&Go purification of SpyTag-proteins using pseudo-SpyCatcher to access an oligomerization toolbox. Nat. Commun. 2019, 10, 1734. [Google Scholar] [CrossRef]
  10. Lin, Z.L.; Lin, Q.; Li, J.H.; Pistolozzi, M.; Zhao, L.; Yang, X.F.; Ye, Y.R. Spy chemistry-enabled protein directional immobilization and protein purification. Biotechnol. Bioeng. 2020, 117, 2923–2932. [Google Scholar] [CrossRef]
  11. Yan, H.; Chen, F.E. Recent Progress in Solid-Phase Total Synthesis of Naturally Occurring Small Peptides. Adv. Synth. Catal. 2022, 364, 1934–1961. [Google Scholar] [CrossRef]
  12. Zhao, R.; Shi, P.; Chen, J.Y.; Sun, S.S.; Chen, J.N.; Cui, J.B.; Wu, F.M.; Fang, G.M.; Tian, C.L.; Shi, J.; et al. Chemical synthesis and biological activity of peptides incorporating an ether bridge as a surrogate for a disulfide bond. Chem. Sci. 2020, 11, 7927–7932. [Google Scholar] [CrossRef] [PubMed]
  13. Dekan, Z.; Vetter, I.; Daly, N.L.; Craik, D.J.; Lewis, R.J.; Alewood, P.F. α-Conotoxin ImI Incorporating Stable Cystathionine Bridges Maintains Full Potency and Identical Three-Dimensional Structure. J. Am. Chem. Soc. 2011, 133, 15866–15869. [Google Scholar] [CrossRef] [PubMed]
  14. Smith, D.B.; Davern, K.M.; Board, P.G.; Tiu, W.U.; Garcia, E.G.; Mitchell, G.F. Mr 26,000 antigen of Schistosoma japonicum recognized by resistant WEHI 129/J mice is a parasite glutathione S-transferase. Proc. Natl. Acad. Sci. USA 1986, 83, 8703–8707. [Google Scholar] [CrossRef]
  15. Lin, Z.L.; Ndengue, P.P.A.; Jing, Y.Y.; Zhao, L.; Yang, X.F. Facile expression and purification of active human growth hormone in E. coli by a cleavable self-aggregating tag scheme. Protein. Expr. Purif. 2021, 188, 105974. [Google Scholar] [CrossRef]
  16. Martial, J.A.; Hallewell, R.A.; Baxter, J.D.; Goodman, H.M. Human growth hormone: Complementary DNA cloning and expression in bacteria. Science 1979, 205, 602–607. [Google Scholar] [CrossRef][Green Version]
  17. Sargentini-Maier, M.L.; De Decker, P.; Tersteeg, C.; Canvin, J.; Callewaert, F.; De Winter, H. Clinical pharmacology of caplacizumab for the treatment of patients with acquired thrombotic thrombocytopenic purpura. Expert Rev. Clin. Pharmacol. 2019, 12, 537–545. [Google Scholar] [CrossRef]
  18. Duggan, S. Caplacizumab: First Global Approval. Drugs 2018, 78, 1639–1642. [Google Scholar] [CrossRef]
  19. Mateo, C.; Torres, R.; Fernandez-Lorente, G.; Ortiz, C.; Fuentes, M.; Hidalgo, A.; Lopez-Gallego, F.; Abian, O.; Palomo, J.M.; Betancor, L.; et al. Epoxy-amino groups: A new tool for improved immobilization of proteins by the epoxy method. Biomacromolecules 2003, 4, 772–777. [Google Scholar] [CrossRef]
  20. Hermanson, G.T. Chapter 3—The Reactions of Bioconjugation. In Bioconjugate Techniques, 3rd ed.; Hermanson, G.T., Ed.; Academic Press: Boston, MA, USA, 2013; pp. 229–258. [Google Scholar]
  21. Bauer-Arnaz, K.; Napolitano, E.W.; Roberts, D.N.; Montali, J.A.; Hughes, B.R.; Schmidt, D.E. Salt-induced immobilization of small affinity ligands on an epoxide-activated affinity support. J. Chromatogr. A 1998, 803, 73–82. [Google Scholar] [CrossRef]
  22. Luo, M.X.; Zhang, M.; Chen, G.; Zhao, J.; Guo, H.W. A potential method for one-step purification and direct immobilization of target protein in cell lysate with magnetic microbeads. Biochem. Eng. J. 2021, 176, 108182. [Google Scholar] [CrossRef]
  23. Vassylyeva, M.N.; Klyuyev, S.; Vassylyev, A.D.; Wesson, H.; Zhang, Z.; Renfrow, M.B.; Wang, H.B.; Higgins, N.P.; Chow, L.T.; Vassylyev, D.G. Efficient, ultra-high-affinity chromatography in a one-step purification of complex proteins. Proc. Natl. Acad. Sci. USA 2017, 114, E5138–E5147. [Google Scholar] [CrossRef] [PubMed]
  24. Fong, B.A.; Wu, W.Y.; Wood, D.W. The potential role of self-cleaving purification tags in commercial-scale processes. Trends Biotechnol. 2010, 28, 272–279. [Google Scholar] [CrossRef]
  25. Puetz, J.; Wurm, F.M. Recombinant Proteins for Industrial versus Pharmaceutical Purposes: A Review of Process and Pricing. Processes 2019, 7, 476–484. [Google Scholar] [CrossRef]
  26. Chen, H.M.; Luo, S.L.; Chen, K.T.; Lii, C.K. Affinity purification of Schistosoma japonicum glutathione-S-transferase and its site-directed mutants with glutathione affinity chromatography and immobilized metal affinity chromatography. J. Chromatogr. A 1999, 852, 151–159. [Google Scholar] [CrossRef]
  27. Rasche, N.; Tonillo, J.; Rieker, M.; Becker, S.; Dorr, B.; Ter-Ovanesyan, D.; Betz, U.A.; Hock, B.; Kolmar, H. PROLink-Single Step Circularization and Purification Procedure for the Generation of an Improved Variant of Human Growth Hormone. Bioconjug. Chem. 2016, 27, 1341–1347. [Google Scholar] [CrossRef]
  28. Seger, S.T.; Breinholt, J.; Faber, J.H.; Andersen, M.D.; Wiberg, C.; Schjodt, C.B.; Rand, K.D. Probing the Conformational and Functional Consequences of Disulfide Bond Engineering in Growth Hormone by Hydrogen-Deuterium Exchange Mass Spectrometry Coupled to Electron Transfer Dissociation. Anal. Chem. 2015, 87, 5973–5980. [Google Scholar] [CrossRef]
  29. Lee, H.T.; Park, U.B.; Jeong, T.J.; Gu, N.; Lee, S.H.; Kim, Y.; Heo, Y.S. High-resolution structure of the vWF A1 domain in complex with caplacizumab, the first nanobody-based medicine for treating acquired TTP. Biochem. Biophys. Res. Commun. 2021, 567, 49–55. [Google Scholar] [CrossRef] [PubMed]
  30. Lee, Y.M.; Seo, J.S.; Jung, S.O.; Kim, I.C.; Lee, J.S. Molecular cloning and characterization of θ-class glutathione S-transferase (GST-T) from the hermaphroditic fish Rivulus marmoratus and biochemical comparisons with α-class glutathione S-transferase (GST-A). Biochem. Biophys. Res. Commun. 2006, 346, 1053–1061. [Google Scholar] [CrossRef]
  31. Travensolo, R.F.; Garcia, W.; Muniz, J.R.C.; Caruso, C.S.; Lemos, E.G.M.; Carrilho, E.; Araujo, A.P.U. Cloning, expression, purification and characterization of recombinant glutathione-S-transferase from Xylella fastidiosa. Protein Expr. Purif. 2008, 59, 153–160. [Google Scholar] [CrossRef]
  32. Kim, M.J.; Park, H.S.; Seo, K.H.; Yang, H.J.; Kim, S.K.; Choi, J.H. Complete Solubilization and Purification of Recombinant Human Growth Hormone Produced in Escherichia coli. PLoS ONE 2013, 8, e56168. [Google Scholar] [CrossRef] [PubMed][Green Version]
  33. Zeng, G.; Zheng, Y.; Xiang, Y.; Liu, R.; Yang, X.; Lin, Z. A novel protein purification scheme based on salt inducible self-assembling peptides. Microb. Cell Factories 2023, 22, 224. [Google Scholar] [CrossRef] [PubMed]
  34. Vester, S.K.; Rahikainen, R.; Anuar, I.N.A.K.; Hills, R.A.; Tan, T.K.; Howarth, M. SpySwitch enables pH- or heat-responsive capture and release for plug-and-display nanoassembly. Nat. Commun. 2022, 13, 3714. [Google Scholar] [CrossRef] [PubMed]
  35. Chong, S.; Montello, G.E.; Zhang, A.; Cantor, E.J.; Liao, W.; Xu, M.Q.; Benner, J. Utilizing the C-terminal cleavage activity of a protein splicing element to purify recombinant proteins in a single chromatographic step. Nucleic Acids Res. 1998, 26, 5109–5115. [Google Scholar] [CrossRef]
  36. Chong, S.; Mersha, F.B.; Comb, D.G.; Scott, M.E.; Landry, D.; Vence, L.M.; Perler, F.B.; Benner, J.; Kucera, R.B.; Hirvonen, C.A.; et al. Single-column purification of free recombinant proteins using a self-cleavable affinity tag derived from a protein splicing element. Gene 1997, 192, 271–281. [Google Scholar] [CrossRef]
  37. Zhao, Q.; Zhou, B.H.; Gao, X.X.; Xing, L.; Wang, X.; Lin, Z.L. A cleavable self-assembling tag strategy for preparing proteins and peptides with an authentic N-terminus. Biotechnol. J. 2017, 12, 1600656. [Google Scholar] [CrossRef]
  38. Lin, Z.; Jing, Y.; Huang, Y.; Yang, S.; Chen, S.; Ou, Y.; Pistolozzi, M.; Yang, X. A cleavable self-aggregating tag scheme for the expression and purification of disulfide bonded proteins and peptides. Chem. Eng. Sci. 2022, 262, 118052. [Google Scholar] [CrossRef]
  39. Shemella, P.T.; Topilina, N.I.; Soga, I.; Pereira, B.; Belfort, G.; Belfort, M.; Nayak, S.K. Electronic structure of neighboring extein residue modulates intein C-terminal cleavage activity. Biophys. J. 2011, 100, 2217–2225. [Google Scholar] [CrossRef]
  40. Amitai, G.; Callahan, B.P.; Stanger, M.J.; Belfort, G.; Belfort, M. Modulation of intein activity by its neighboring extein substrates. Proc. Nat. Acad. Sci. USA 2009, 106, 11005–11010. [Google Scholar] [CrossRef] [PubMed]
  41. Du, Z.; Shemella, P.T.; Liu, Y.; McCallum, S.A.; Pereira, B.; Nayak, S.K.; Belfort, G.; Belfort, M.; Wang, C. Highly conserved histidine plays a dual catalytic role in protein splicing: A pKa shift mechanism. J. Am. Chem. Soc. 2009, 131, 11581–11589. [Google Scholar] [CrossRef]
  42. Du, Z.; Liu, Y.; Ban, D.; Lopez, M.M.; Belfort, M.; Wang, C. Backbone dynamics and global effects of an activating mutation in minimized Mtu RecA inteins. J. Mol. Biol. 2010, 400, 755–767. [Google Scholar] [CrossRef] [PubMed][Green Version]
  43. Yuan, H.; Prabhala, S.V.; Coolbaugh, M.J.; Stimple, S.D.; Wood, D.W. Improved self-cleaving precipitation tags for efficient column free bioseparations. Protein. Expr. Purif. 2024, 224, 106578. [Google Scholar] [CrossRef] [PubMed]
  44. Zhang, F.; Sadovski, O.; Xin, S.J.; Woolley, G.A. Stabilization of folded peptide and protein structures via distance matching with a long, rigid cross-linker. J. Am. Chem. Soc. 2007, 129, 14154–14155. [Google Scholar] [CrossRef] [PubMed]
  45. Gibson, D.G.; Young, L.; Chuang, R.-Y.; Venter, J.C.; Hutchison, C.A.; Smith, H.O. Enzymatic assembly of DNA molecules up to several hundred kilobases. Nat. Methods 2009, 6, 343–345. [Google Scholar] [CrossRef] [PubMed]
  46. Crowe, J.; Masone, B.S.; Ribbe, J. One-step purification of recombinant proteins with the 6xHis tag and Ni-NTA resin. Mol. Biotechnol. 1995, 4, 247–258. [Google Scholar] [CrossRef]
  47. Pereira, S.A.P.; Baptista, L.A.C.; Biancalana, L.; Marchetti, F.; Dyson, P.J.; Saraiva, M.L.M.F.S. Automated approach for the evaluation of glutathione-S-transferase P1-1 inhibition by organometallic anticancer compounds. J. Enzyme Inhib. Med. Chem. 2022, 37, 1527–1536. [Google Scholar] [CrossRef]
Figure 1. Schematic diagram for the protein purification process using SpyDock-modified resin. SpyDock is immobilized on the epoxy resin to prepare SpyDock-modified resin, which then captures the SpyTag fusion proteins from cell lysates. Subsequently, the target protein is released from the resin via intein-mediated self-cleavage, resulting in the purified target protein. Finally, the SpyTag is eluted for regeneration of the SpyDock-modified resin.
Figure 1. Schematic diagram for the protein purification process using SpyDock-modified resin. SpyDock is immobilized on the epoxy resin to prepare SpyDock-modified resin, which then captures the SpyTag fusion proteins from cell lysates. Subsequently, the target protein is released from the resin via intein-mediated self-cleavage, resulting in the purified target protein. Finally, the SpyTag is eluted for regeneration of the SpyDock-modified resin.
Catalysts 14 00651 g001
Figure 2. Analysis of SpyDock-modified epoxy resin for protein purification. (A) The apparent immobilization efficiencies of SpyDock on the epoxy resin under different pH and time conditions. (B) The apparent immobilization efficiencies for varying amounts of input proteins on the epoxy resin modified with SpyDock. (C) Capture capacity of the SpyDock-modified resin. (D) Reusability of SpyDock-modified resin.
Figure 2. Analysis of SpyDock-modified epoxy resin for protein purification. (A) The apparent immobilization efficiencies of SpyDock on the epoxy resin under different pH and time conditions. (B) The apparent immobilization efficiencies for varying amounts of input proteins on the epoxy resin modified with SpyDock. (C) Capture capacity of the SpyDock-modified resin. (D) Reusability of SpyDock-modified resin.
Catalysts 14 00651 g002
Figure 3. Purification of GST, hGH, or caplacizumab from cell lysates using the SpyDock-modified resin (AC) or Ni-NTA resin (DF). The purity of the eluted proteins was determined by densitometry. T: total pooled elutions.
Figure 3. Purification of GST, hGH, or caplacizumab from cell lysates using the SpyDock-modified resin (AC) or Ni-NTA resin (DF). The purity of the eluted proteins was determined by densitometry. T: total pooled elutions.
Catalysts 14 00651 g003
Table 1. Yield and purity of the three model proteins obtained with crude cell lysates.
Table 1. Yield and purity of the three model proteins obtained with crude cell lysates.
MethodTarget Protein Yield (%)Purity (%)
GSThGHCaplacizumabGSThGHCaplacizumab
SpyDock-modified resin58 ± 420 ± 515 ± 0.598 ± 192 ± 692 ± 2
Ni-NTA60 ± 452 ± 949 ± 767 ± 667 ± 550 ± 3
Table 2. Specific activities of purified GST, hGH, and caplacizumab.
Table 2. Specific activities of purified GST, hGH, and caplacizumab.
POISpecific ActivitySpecific Activity of Commercial SamplesSpecific Activity Reported Before
GST12.8 U/mg10.3 U/mg14.0 U/mg [26]
hGH6.3 × 10−10 MNA 12.2 × 10−10–2.0 × 10−9 M [27,28]
Caplacizumab4.5 × 10−10 MNA 13.8 × 10−12 M [29]
1 N.A. indicated not available.
Disclaimer/Publisher’s Note: The statements, opinions and data contained in all publications are solely those of the individual author(s) and contributor(s) and not of MDPI and/or the editor(s). MDPI and/or the editor(s) disclaim responsibility for any injury to people or property resulting from any ideas, methods, instructions or products referred to in the content.

Share and Cite

MDPI and ACS Style

Yang, X.; Chen, B.; Lao, Z.; Xiang, Y.; Lin, Z. A Spy Chemistry-Based Method for Purification of Proteins with Authentic N-Termini. Catalysts 2024, 14, 651. https://doi.org/10.3390/catal14090651

AMA Style

Yang X, Chen B, Lao Z, Xiang Y, Lin Z. A Spy Chemistry-Based Method for Purification of Proteins with Authentic N-Termini. Catalysts. 2024; 14(9):651. https://doi.org/10.3390/catal14090651

Chicago/Turabian Style

Yang, Xiaofeng, Binrui Chen, Zisha Lao, Ya Xiang, and Zhanglin Lin. 2024. "A Spy Chemistry-Based Method for Purification of Proteins with Authentic N-Termini" Catalysts 14, no. 9: 651. https://doi.org/10.3390/catal14090651

APA Style

Yang, X., Chen, B., Lao, Z., Xiang, Y., & Lin, Z. (2024). A Spy Chemistry-Based Method for Purification of Proteins with Authentic N-Termini. Catalysts, 14(9), 651. https://doi.org/10.3390/catal14090651

Note that from the first issue of 2016, this journal uses article numbers instead of page numbers. See further details here.

Article Metrics

Back to TopTop