Immobilization of β-Galactosidases on the Lactobacillus Cell Surface Using the Peptidoglycan-Binding Motif LysM
Abstract
1. Introduction
2. Results
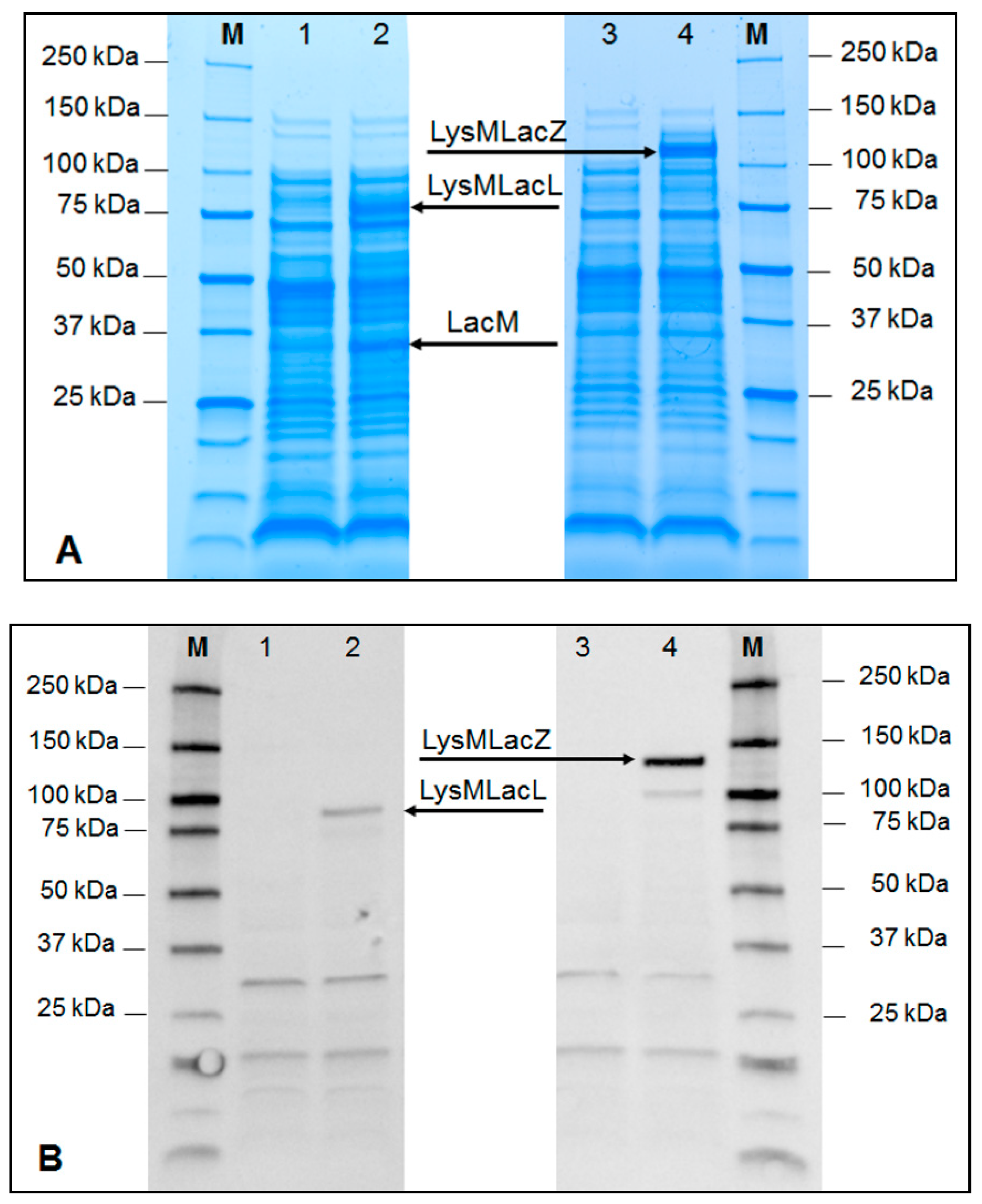
2.1. Expression of Recombinant Lactobacillal β-Galactosidases in E. coli
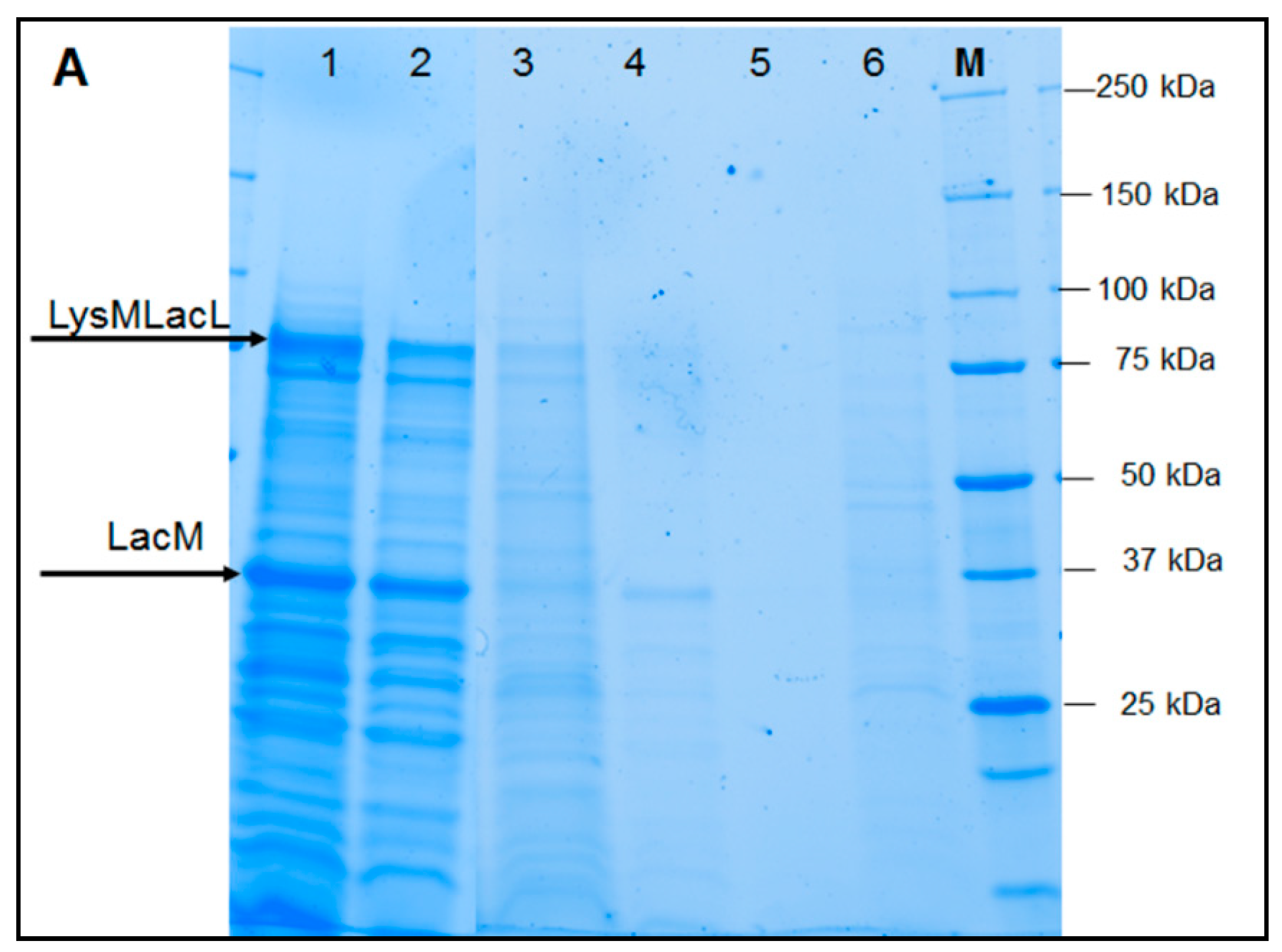
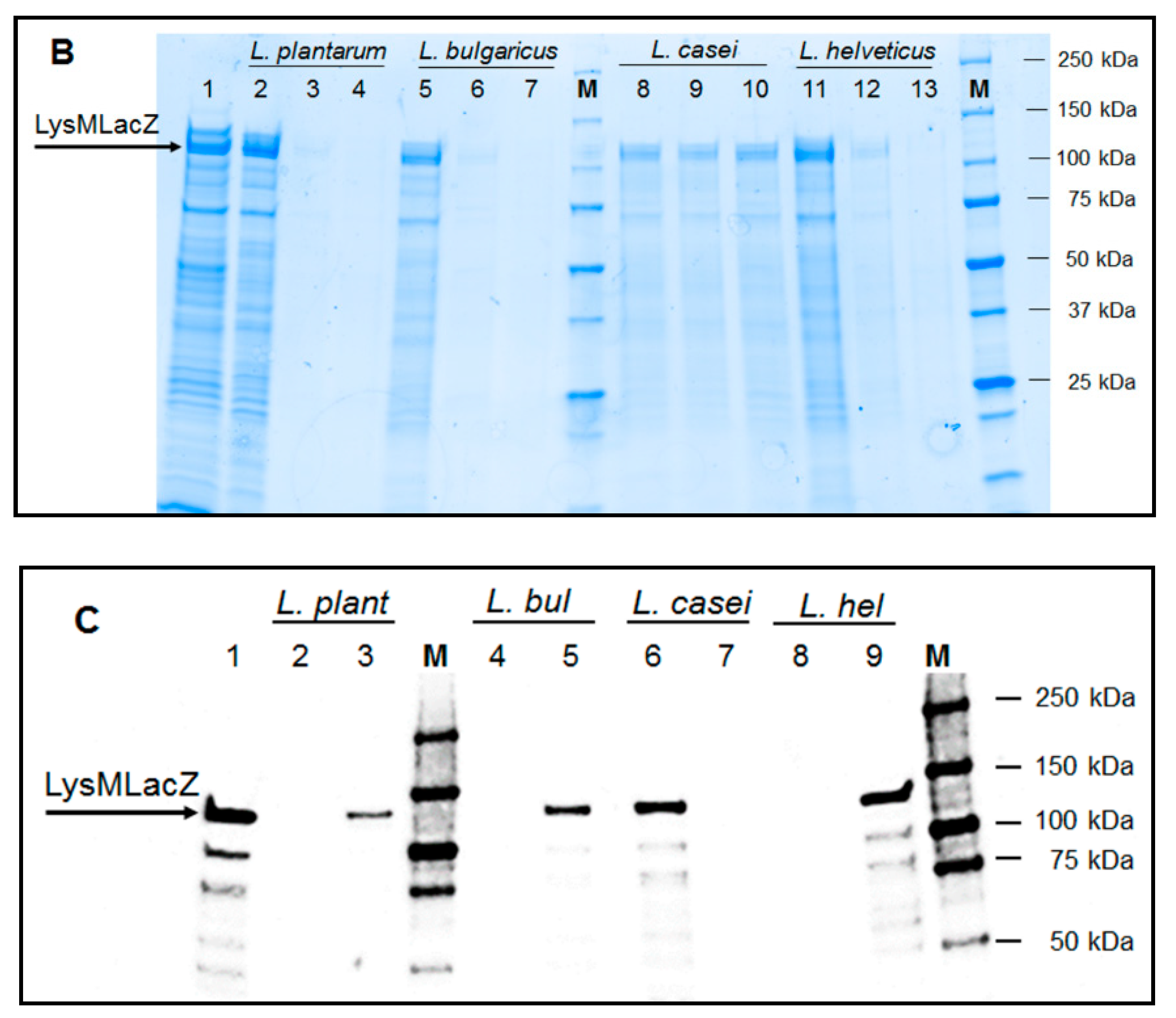
2.2. Display of Lactobacillal β-Galactosidases on Lactobacillus Cell Surface
2.3. Enzymatic Stability of β-Galactosidase-Displaying Cells
2.4. Formation of Galacto-Oligosaccharides (GOS)
3. Discussion
4. Materials and Methods
4.1. Bacterial Strains and Culture Conditions
4.2. Chemicals, Enzymes and Plasmids
4.3. DNA Manipulation
4.4. Plasmid Construction
4.5. Gene Expression in E. coli
4.6. Immobilization of β-Galactosidases on Lactobacillus Cell Surface
4.7. Protein Determination
4.8. β-Galactosidase Assays
4.9. Gel Electrophoresis Analysis
4.10. Western Blotting
4.11. Flow Cytometry
4.12. Temperature Stability and Reusability of Immobilized Enzymes
4.13. Lactose Conversion and Formation of Galacto-Oligosaccharides (GOS)
4.14. Analysis of Carbohydrate Composition
4.15. Statistical Analysis
5. Conclusions
Author Contributions
Funding
Conflicts of Interest
References
- Nakayama, T.; Amachi, T. β-Galactosidase, enzymology. In Encyclopedia of Bioprocess Technology, Fermentation, Biocatalysis, and Bioseparation; Flickinger, M.C., Drew, S.W., Eds.; John Willey and Sons: New York, NY, USA, 1999; Volume 3, pp. 1291–1305. [Google Scholar]
- Pivarnik, L.F.; Senegal, A.G.; Rand, A.G. Hydrolytic and transgalactosylic activities of commercial β-galactosidase (lactase) in food processing. Adv. Food Nutr. Res. 1995, 38, 1–102. [Google Scholar]
- Prenosil, J.E.; Stuker, E.; Bourne, J.R. Formation of oligosaccharises during enzymatic lactose hydrolysis: Part I: State of art. Biotechnol. Bioeng. 1987, 30, 1019–1025. [Google Scholar] [CrossRef] [PubMed]
- Petzelbauer, I.; Zeleny, R.; Reiter, A.; Kulbe, K.D.; Nidetzky, B. Development of an ultra-high-temperature process for the enzymatic hydrolysis of lactose: II. Oligosaccharide formation by two thermostable β-glycosidases. Biotechnol. Bioeng. 2000, 69, 140–149. [Google Scholar] [CrossRef]
- Nguyen, T.H.; Splechtna, B.; Steinböck, M.; Kneifel, W.; Lettner, H.P.; Kulbe, K.D.; Haltrich, D. Purification and characterization of two novel β-galactosidases from Lactobacillus reuteri. J. Agric. Food Chem. 2006, 54, 4989–4998. [Google Scholar] [CrossRef]
- Nguyen, T.H.; Splechtna, B.; Krasteva, S.; Kneifel, W.; Kulbe, K.D.; Divne, C.; Haltrich, D. Characterization and molecular cloning of a heterodimeric β-galactosidase from the probiotic strain Lactobacillus acidophilus R22. FEMS Microbiol. Lett. 2007, 269, 136–144. [Google Scholar] [CrossRef] [PubMed]
- Kittibunchakul, S.; Pham, M.-L.; Tran, A.-M.; Nguyen, T.-H. β-Galactosidase from Lactobacillus helveticus DSM 20075: Biochemical characterization and recombinant expression for applications in dairy industry. Int. J. Mol. Sci. 2019, 20, 947. [Google Scholar] [CrossRef] [PubMed]
- Iqbal, S.; Nguyen, T.H.; Nguyen, T.T.; Maischberger, T.; Haltrich, D. β-galactosidase from Lactobacillus plantarum WCFS1: Biochemical characterization and formation of prebiotic galacto-oligosaccharides. Carbohydr. Res. 2010, 345, 1408–1416. [Google Scholar] [CrossRef]
- Gobinath, D.; Prapulla, S.G. Permeabilized probiotic Lactobacillus plantarum as a source of β-galactosidase for the synthesis of prebiotic galactooligosaccharides. Biotechnol. Lett. 2013, 36, 153–157. [Google Scholar] [CrossRef]
- Iqbal, S.; Nguyen, T.H.; Nguyen, H.A.; Nguyen, T.T.; Maischberger, T.; Kittl, R.; Haltrich, D. Characterization of a heterodimeric GH2 β-galactosidase from Lactobacillus sakei Lb790 and formation of prebiotic galacto-oligosaccharides. J. Agric. Food Chem. 2011, 59, 3803–3811. [Google Scholar] [CrossRef] [PubMed]
- Maischberger, T.; Leitner, E.; Nitisinprasert, S.; Juajun, O.; Yamabhai, M.; Nguyen, T.H.; Haltrich, D. β-galactosidase from Lactobacillus pentosus: Purification, characterization and formation of galacto-oligosaccharides. Biotechnol. J. 2010, 5, 838–847. [Google Scholar] [CrossRef]
- Nguyen, T.T.; Nguyen, H.A.; Arreola, S.L.; Mlynek, G.; Djinović-Carugo, K.; Mathiesen, G.; Nguyen, T.H.; Haltrich, D. Homodimeric β-galactosidase from Lactobacillus delbrueckii subsp. bulgaricus DSM 20081: Expression in Lactobacillus plantarum and biochemical characterization. J. Agric. Food Chem. 2012, 60, 1713–1721. [Google Scholar] [CrossRef]
- Black, B.A.; Lee, V.S.Y.; Zhao, Y.Y.; Hu, Y.; Curtis, J.M.; Ganzle, M.G. Structural identification of novel oligosaccharides produced by Lactobacillus bulgaricus and Lactobacillus plantarum. J. Agric. Food Chem. 2012, 60, 4886–4894. [Google Scholar] [CrossRef]
- Liu, G.X.; Kong, J.; Lu, W.W.; Kong, W.T.; Tian, H.; Tian, X.Y.; Huo, G.C. Beta-galactosidase with transgalactosylation activity from Lactobacillus fermentum K4. J. Dairy Sci. 2011, 94, 5811–5820. [Google Scholar] [CrossRef]
- Nie, C.; Liu, B.; Zhang, Y.; Zhao, G.; Fan, X.; Ning, X.; Zhang, W. Production and secretion of Lactobacillus crispatus β-galactosidase in Pichia pastoris. Protein Expr. Purif. 2013, 92, 88–93. [Google Scholar] [CrossRef] [PubMed]
- Nguyen, T.H.; Splechtna, B.; Yamabhai, M.; Haltrich, D.; Peterbauer, C. Cloning and expression of the β-galactosidase genes from Lactobacillus reuteri in Escherichia coli. J. Biotechnol. 2007, 129, 581–591. [Google Scholar] [CrossRef]
- Pham, M.L.; Leister, T.; Nguyen, H.A.; Do, B.C.; Pham, A.T.; Haltrich, D.; Yamabhai, M.; Nguyen, T.H.; Nguyen, T.T. Immobilization of β-galactosidases from Lactobacillus on chitin using a chitin-binding domain. J. Agric. Food Chem. 2017, 65, 2965–2976. [Google Scholar] [CrossRef]
- Michon, C.; Langella, P.; Eijsink, V.G.; Mathiesen, G.; Chatel, J.M. Display of recombinant proteins at the surface of lactic acid bacteria: Strategies and applications. Microb. Cell Fact. 2016, 15, 70. [Google Scholar] [CrossRef]
- Nguyen, H.M.; Mathiesen, G.; Stelzer, E.M.; Pham, M.L.; Kuczkowska, K.; Mackenzie, A.; Agger, J.W.; Eijsink, V.G.; Yamabhai, M.; Peterbauer, C.K.; et al. Display of a β-mannanase and a chitosanase on the cell surface of Lactobacillus plantarum towards the development of whole-cell biocatalysts. Microb. Cell Fact. 2016, 15, 169. [Google Scholar] [CrossRef] [PubMed]
- Schneewind, O.; Missiakas, D.M. Protein secretion and surface display in Gram-positive bacteria. Philos. Trans. R. Soc. B Biol. Sci. 2012, 367, 1123–1139. [Google Scholar] [CrossRef] [PubMed]
- Leenhouts, K.; Buist, G.; Kok, J. Anchoring of proteins to lactic acid bacteria. Antonie van Leeuwenhoek 1999, 76, 367–376. [Google Scholar] [PubMed]
- Proft, T. Sortase-mediated protein ligation: An emerging biotechnology tool for protein modification and immobilisation. Biotechnol. Lett. 2009, 32, 1–10. [Google Scholar]
- Diep, D.B.; Mathiesen, G.; Eijsink, V.G.H.; Nes, I.F. Use of lactobacilli and their pheromone-based regulatory mechanism in gene expression and drug delivery. Curr. Pharm. Biotechnol. 2009, 10, 62–73. [Google Scholar] [CrossRef]
- Boekhorst, J.; De Been, M.W.H.J.; Kleerebezem, M.; Siezen, R.J. Genome-wide detection and analysis of cell wall-bound proteins with LPxTG-like sorting motifs. J. Bacteriol. 2005, 187, 4928–4934. [Google Scholar] [CrossRef] [PubMed]
- Marraffini, L.A.; Dedent, A.C.; Schneewind, O. Sortases and the art of anchoring proteins to the envelopes of gram-positive bacteria. Microbiol. Mol. Biol. Rev. 2006, 70, 192–221. [Google Scholar] [CrossRef] [PubMed]
- Visweswaran, G.R.; Leenhouts, K.; van Roosmalen, M.; Kok, J.; Buist, G. Exploiting the peptidoglycan-binding motif, LysM, for medical and industrial applications. Appl. Microbiol. Biotechnol. 2014, 98, 4331–4345. [Google Scholar] [CrossRef]
- Turner, M.S.; Hafner, L.M.; Walsh, T.; Giffard, P.M. Identification and characterization of the novel LysM domain-containing surface protein Sep from Lactobacillus fermentum BR11 and its use as a peptide fusion partner in Lactobacillus and Lactococcus. Appl. Environ. Microbiol. 2004, 70, 3673–3680. [Google Scholar] [CrossRef] [PubMed]
- Raha, A.R.; Varma, N.R.S.; Yusoff, K.; Ross, E.; Foo, H.L. Cell surface display system for Lactococcus lactis: A novel development for oral vaccine. Appl. Microbiol. Biotechnol. 2005, 68, 75–81. [Google Scholar] [CrossRef]
- Steen, A.; Buist, G.; Leenhouts, K.J.; El Khattabi, M.; Grijpstra, F.; Zomer, A.L.; Venema, G.; Kuipers, O.P.; Kok, J. Cell wall attachment of a widely distributed peptidoglycan binding domain is hindered by cell wall constituents. J. Biol. Chem. 2003, 278, 23874–23881. [Google Scholar] [CrossRef]
- Okano, K.; Zhang, Q.; Kimura, S.; Narita, J.; Tanaka, T.; Fukuda, H.; Kondo, A. System using tandem repeats of the cA peptidoglycan-binding domain from Lactococcus lactis for display of both N-and C-terminal fusions on cell surfaces of lactic acid bacteria. Appl. Environ. Microbiol. 2008, 74, 1117–1123. [Google Scholar] [CrossRef] [PubMed]
- Boekhorst, J.; Wels, M.; Kleeberezem, M.; Siezen, R.J. The predicted secretome of Lactobacillus plantarum WCFS1 sheds light on interactions with its environment. Microbiology 2006, 152, 3175–3183. [Google Scholar] [CrossRef] [PubMed]
- Kleerebezem, M.; Boekhorst, J.; van Kranenburg, R.; Molenaar, D.; Kuipers, O.P.; Leer, R.; Tarchini, R.; Peters, S.A.; Sandbrink, H.M.; Fiers, M.W.; et al. Complete genome sequence of Lactobacillus plantarum WCFS1. Proc. Natl. Acad. Sci. USA 2003, 100, 1990–1995. [Google Scholar] [CrossRef] [PubMed]
- Mesnage, S.; Tosi-Couture, E.; Fouet, A. Production and cell surface anchoring of functional fusions between the SLH motifs of the Bacillus anthrasis S-layer proteins and the Bacillus subtilis levansucrase. Mol. Microbiol. 1999, 31, 927–936. [Google Scholar] [CrossRef]
- Mesnage, S.; Weber-Levy, M.; Haustant, M.; Mock, M.; Fouet, A. Cell surface-exposed tetanus toxin fragment C produced by recombinant Bacillus anthracis protects against tetanus toxin. Infect. Immun. 1999, 67, 4847–4850. [Google Scholar]
- Bosma, T.; Kanninga, R.; Neef, J.; Audouy, S.A.; van Roosmalen, M.L.; Steen, A.; Buist, G.; Kok, J.; Kuipers, O.P.; Robillard, G.; et al. Novel surface display system for proteins on non-genetically modified gram-positive bacteria. Appl. Environ. Microbiol. 2006, 72, 880–889. [Google Scholar] [CrossRef] [PubMed]
- Fredriksen, L.; Kleiveland, C.R.; Olsen Hult, L.T.; Lea, T.; Nygaard, C.S.; Eijsink, V.G.H.; Mathiesen, G. Surface display of N-terminally anchored invasin by Lactobacillus plantarum activates NF-κB in monocytes. Appl. Environ. Microbiol. 2012, 78, 5864–5871. [Google Scholar] [CrossRef] [PubMed]
- Kuczkowska, K.; Mathiesen, G.; Eijsink, V.G.H.; Øynebråten, I. Lactobacillus plantarum displaying CCL3 chemokine in fusion with HIV-1 Gag derived antigen causes increased recruitment of T cells. Microb. Cell Fact. 2015, 14, 1. [Google Scholar] [CrossRef] [PubMed]
- Desvaux, M.; Dumas, E.; Chafsey, I.; Hebraud, M. Protein cell surface display in Gram-positive bacteria: From single protein to macromolecular protein structure. FEMS Microbiol. Lett. 2006, 256, 1–15. [Google Scholar] [CrossRef]
- Joris, B.; Englebert, S.; Chu, C.-P.; Kariyama, R.; Daneo-Moore, L.; Shockman, G.D.; Ghuysen, J.-M. Modular design of the Enterococcus hirae muramidase-2 and Streptococcus faecalis autolysin. FEMS Microbiol. Lett. 1992, 91, 257–264. [Google Scholar] [CrossRef]
- Buist, G.; Steen, A.; Kok, J.; Kuipers, O.P. LysM, a widely distributed protein motif for binding to (peptido) glycans. Mol. Microbiol. 2008, 68, 838–847. [Google Scholar] [CrossRef] [PubMed]
- Mesnage, S.; Dellarole, M.; Baxter, N.J.; Rouget, J.B.; Dimitrov, J.D.; Wang, N.; Fujimoto, Y.; Hounslow, A.M.; Lacroix-Desmazes, S.; Fukase, K.; et al. Molecular basis for bacterial peptidoglycan recognition by LysM domains. Nat. Commun. 2014, 5, 4269. [Google Scholar] [CrossRef] [PubMed]
- Xu, W.; Huang, M.; Zhang, Y.; Yi, X.; Dong, W.; Gao, X.; Jia, C. Novel surface display system for heterogonous proteins on Lactobacillus plantarum. Lett. Appl. Microbiol. 2011, 53, 641–648. [Google Scholar] [CrossRef] [PubMed]
- De Man, J.C.; Rogosa, M.; Sharpe, M.E. A medium for the cultivation of lactobacilli. J. Appl. Bacteriol. 1960, 23, 130–135. [Google Scholar] [CrossRef]
- Målbakken, N. Development of a Non-GMO Tuberculosis Vaccine, Using Lactobacillus as a Delivery Vehicle. Master’s Thesis, Norwegian University of Life Sciences, Ås, Norway, 2014. [Google Scholar]
- Bradford, M.M. A rapid and sensitive method for the quantitation of microgram quantities of protein utilizing the principle of protein-dye binding. Anal. Biochem. 1976, 72, 248–254. [Google Scholar] [CrossRef]







| Expression Vector | Volumetric Activity (k·U/L Culture Medium) | Specific Activity (U/mg Protein) | ||
|---|---|---|---|---|
| Non-Induced | Induced | Non-Induced | Induced | |
| pBAD3014LacLMLreu | n.d. | 11.1 ± 1.5 | n.d. | 6.04 ± 0.03 | 
| pBAD3014LacZLbul | n.d. | 46.9 ± 2.7 | n.d. | 41.1 ± 0.9 | 
| Residual Activities in Supernatant | Immobilization Yield a (IY) | Activity on Cell Surface b | Activity Retention c (AR) | Amount of Active Surface Anchored β-gal d | ||
|---|---|---|---|---|---|---|
| (%) | (%) | (%) | U/g DCW | (%) | mg/g DCW | |
| (A) Enzyme (on L. plantarum WCFS1 cell surface) | ||||||
| LysM-LacLMLreu | 93.5 ± 1.2 | 6.53 | 3.06 ± 0.08 | 179 ± 5 | 46.9 | 0.99 ± 0.02 | 
| LysM-LacZLbul | 68.1 ± 0.1 | 31.9 | 20.3 ± 0.2 | 1153 ± 12 | 63.5 | 4.61 ± 0.05 | 
| (B) Lactobacillus spp. (with enzyme LysM-LacZLbul) | ||||||
| L. plantarum WCFS1 | 68.1 ± 0.1 | 31.9 | 20.3 ± 0.2 | 1153 ± 12 | 63.5 | 4.61 ± 0.05 | 
| L. bulgaricus DSM 20081 | 71.3 ± 0.9 | 28.7 | 14.0 ± 0.9 | 795 ± 53 | 48.5 | 3.18 ± 0.11 | 
| L. casei | 76.1 ± 0.9 | 23.9 | 15.1 ± 0.8 | 861 ± 48 | 63.2 | 3.44 ± 0.09 | 
| L. helveticus DSM20075 | 75.3 ± 0.9 | 24.7 | 14.3 ± 0.5 | 812 ± 27 | 57.7 | 3.25 ± 0.11 | 
| LysM-LacLMLreu | LysM-LacLZLbul | ||
|---|---|---|---|
| Temperature | τ½ | Temperature | τ½ | 
| −20 °C | 6 months | −20 °C | 6 months | 
| 4 °C | 3 months | 4 °C | Nd b | 
| 30 °C | 55 h | 30 °C | 120 h | 
| 50 °C | nd b | 50 °C | 30 h | 
| Strains or Plasmids | Relevant Characteristics | Reference Source | 
|---|---|---|
| Strains | ||
| L. plantarum WCFS1 | [32] | |
| L. delbrueckii subsp. bulgaricus DSM 20081 | DSMZ | |
| L. casei | BOKU | |
| L. helveticus DSM 20075 | DSMZ | |
| E. coli HST08 | Host strain | Clontech | 
| Plasmids | ||
| pBAD_3014_AgESAT_DC | Ampr; pBAD derivate with the LysM domain sequence from Lp3014 fused to the hybrid antigen AgESAT_DC | [44] | 
| pBAD3014LacLMLreu | Ampr; pBAD_3014_AgESAT_DC derivative with a fragment of lacLM genes instead of the gene fragment encoding AgESAT_DC | This study | 
| pBAD3014LacZLbul | Ampr; pBAD_3014_AgESAT_DC derivate with lacZ fragment instead of the gene fragment encoding AgESAT_DC | This study | 
| pHA1032 | Ampr; pET21d derivative for expression of lacLM from L. reuteri in E. coli | [16] | 
| pTH103 | Ermr; spp-based expression vector pSIP409 for expression of lacZ from L. bulgaricus DSM 20081 in L. plantarum WCFS1 | [12] | 
| Primer | Sequence* 5′→3′ | Restriction Site Underlined | 
|---|---|---|
| Fwd1LreuSalI | GAGTTCAACTGTCGACCAAGCAAATATAAA | SalI | 
| Rev1LreuEcoRI | AGCCAAGCTTCGAATTCTTATTTTGCATTC | EcoRI | 
| Fwd2LbulSalI | GTTCAACTGTCGACAGCAATAAGTTAGTAAAAGAAAAAAGAG | SalI | 
| Rev2LbulEcoRI | CAGCCAAGCTTCGAATTCTTATTTTAGTAAAAGGGGCTGAATC | EcoRI | 
© 2019 by the authors. Licensee MDPI, Basel, Switzerland. This article is an open access article distributed under the terms and conditions of the Creative Commons Attribution (CC BY) license (http://creativecommons.org/licenses/by/4.0/).
Share and Cite
Pham, M.-L.; Tran, A.-M.; Kittibunchakul, S.; Nguyen, T.-T.; Mathiesen, G.; Nguyen, T.-H. Immobilization of β-Galactosidases on the Lactobacillus Cell Surface Using the Peptidoglycan-Binding Motif LysM. Catalysts 2019, 9, 443. https://doi.org/10.3390/catal9050443
Pham M-L, Tran A-M, Kittibunchakul S, Nguyen T-T, Mathiesen G, Nguyen T-H. Immobilization of β-Galactosidases on the Lactobacillus Cell Surface Using the Peptidoglycan-Binding Motif LysM. Catalysts. 2019; 9(5):443. https://doi.org/10.3390/catal9050443
Chicago/Turabian StylePham, Mai-Lan, Anh-Minh Tran, Suwapat Kittibunchakul, Tien-Thanh Nguyen, Geir Mathiesen, and Thu-Ha Nguyen. 2019. "Immobilization of β-Galactosidases on the Lactobacillus Cell Surface Using the Peptidoglycan-Binding Motif LysM" Catalysts 9, no. 5: 443. https://doi.org/10.3390/catal9050443
APA StylePham, M.-L., Tran, A.-M., Kittibunchakul, S., Nguyen, T.-T., Mathiesen, G., & Nguyen, T.-H. (2019). Immobilization of β-Galactosidases on the Lactobacillus Cell Surface Using the Peptidoglycan-Binding Motif LysM. Catalysts, 9(5), 443. https://doi.org/10.3390/catal9050443
 
        



 
       