Conservation, Regeneration and Genetic Stability of Regenerants from Alginate-Encapsulated Shoot Explants of Gardenia jasminoides Ellis
Abstract
1. Introduction
2. Materials and Methods
2.1. Plant Material and In Vitro Establishment of Explants
2.2. Explant Determination for Encapsulation
2.3. Encapsulation and Artificial Seed Germination
2.4. Cold Storage of Artificial Seeds
2.5. Rooting of Shoots and Acclimatization of Plantlets
2.6. Environmental Conditions of In Vitro Cultures
2.7. Genetic Stability Assessment Using ISSR Markers
2.8. Statistical Analysis
3. Results and Discussion
3.1. Explant Determination for Encapsulation
3.2. Encapsulation and Artificial Seed Germination Assessment
3.3. Post-Cold-Storage Regrowth of Artificial Seeds
3.4. Rooting of Shoots and Acclimatization of Plantlets
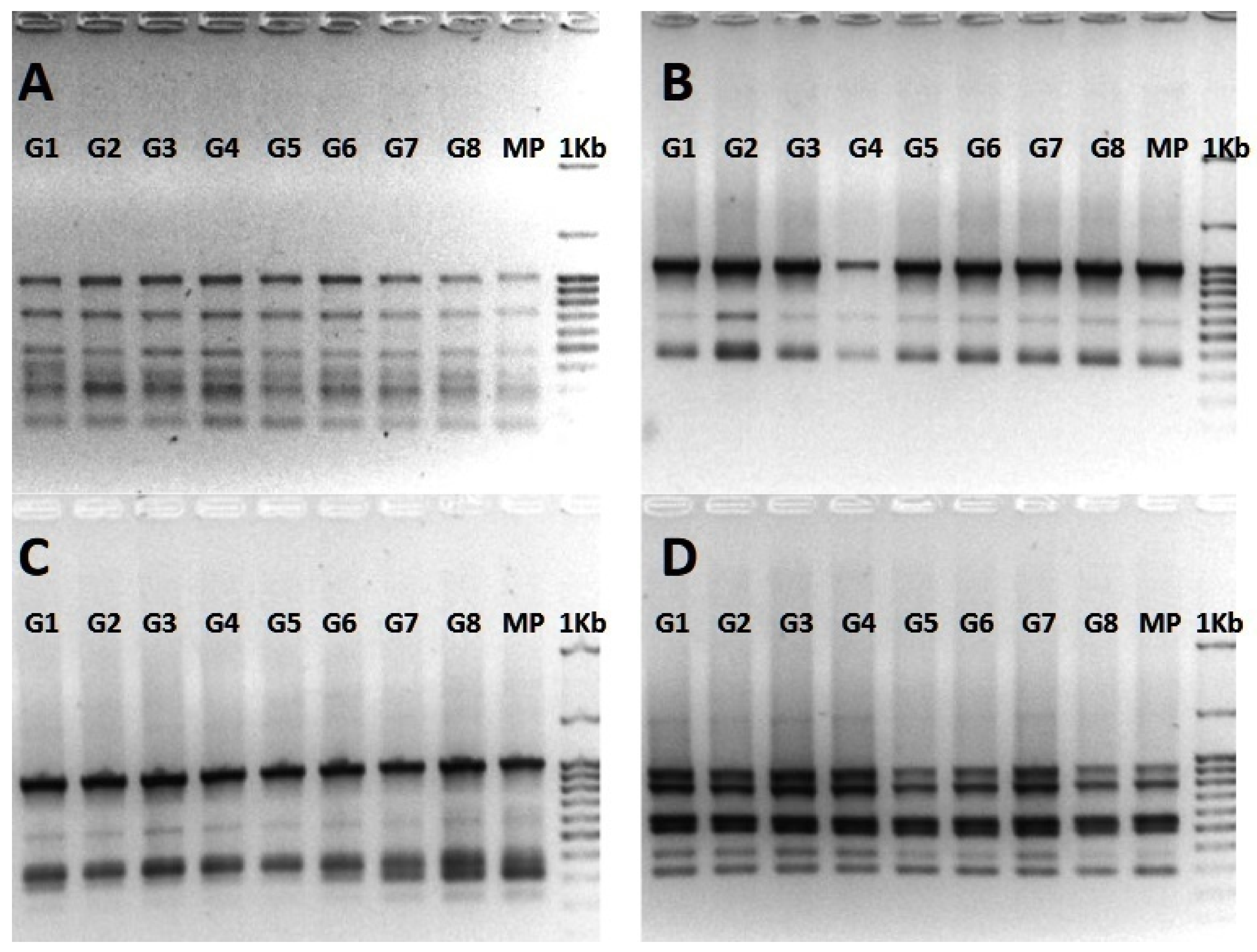
3.5. Genetic Stability Assessment Using ISSR Markers
4. Conclusions
Author Contributions
Funding
Institutional Review Board Statement
Informed Consent Statement
Data Availability Statement
Conflicts of Interest
References
- Wilkins, H.F. Gardenia jasminoides. In Handbook of Flowering; Halevy, A.H., Ed.; CRC Press: Boca Raton, FL, USA, 1986; Volume V, pp. 127–131. [Google Scholar]
- Huxley, A. Gardenia. In The New RHS Dictionary of Gardening; Huxley, A., Ed.; MacMillan Press: London, UK, 1992; Volume 2, pp. 366–368. [Google Scholar]
- Al-Atrakchii, A.; Saleh, G. Propagation of gardenia root stock Gardenia thunbergia L.F. by stem cuttings. Mesop. J. Agric. 2008, 36, 9–18. [Google Scholar] [CrossRef][Green Version]
- Tsanakas, G.F.; Polidoros, A.N.; Economou, A.S. Genetic variation in gardenia grown as pot plant in Greece. Sci. Hortic. 2013, 162, 213–217. [Google Scholar] [CrossRef]
- Bradshaw, J. Gardenias; EDIS, University of Florida, IFAS Extension: Gainesville, FL, USA, 2003; pp. 1–7. [Google Scholar]
- Nower, A.A.; Hamza, E.M. Production of Gardenia jasminoides scions via tissue culture for grafting on Gardenia thunbergia under greenhouse conditions. J. Appl. Sci. Res. 2013, 9, 3118–3128. [Google Scholar]
- Economou, A.S.; Spanoudaki, M.J. In vitro propagation of gardenia. HortScience 1985, 20, 213. [Google Scholar]
- Economou, A.S.; Spanoudaki, M.J. The influence of cytokinins and gibberellic acid on gardenia tissue culture. Sci. Hortic. 1986, 29, 155–161. [Google Scholar] [CrossRef]
- Economou, A.S. Micropropagation of gardenia. In Biotechnology in Agriculture and Forestry; Bajaj, Y.P.S., Ed.; Springer: Berlin, Germany, 1992; Volume 20, pp. 123–134. [Google Scholar]
- George, P.S.; Ravishankar, G.A.; Venkataraman, L.V. Clonal multiplication of Gardenia jasminoides Ellis through axillary bud culture. Plant Cell Rep. 1993, 13, 59–62. [Google Scholar] [CrossRef]
- Hatzilazarou, S.P.; Syros, T.D.; Yupsanis, T.A.; Bosabalidis, A.M.; Economou, A.S. Peroxidases, lignin and anatomy during in vitro and ex vitro rooting of gardenia (Gardenia jasminoides Ellis) microshoots. Plant Physiol. 2006, 163, 827–836. [Google Scholar] [CrossRef]
- Sayd, S.S.; Taie, H.A.A.; Taha, L.S. Micropropagation, antioxidant activity, total phenolics and flavonoids content of Gardenia jasminoides Ellis as affected by growth regulators. Int. J. Acad. Res. 2010, 2, 184–191. [Google Scholar]
- Salim, S.A.; Hamza, S.Y. An efficient protocol for micro propagation of Gardenia jasminoides Ellis. Biosci. Biotechnol. Res. Asia 2017, 14, 757–766. [Google Scholar] [CrossRef]
- Ravi, D.; Anand, P. Production and applications of artificial seeds: A review. Int. Res. J. Biol. Sci. 2012, 1, 74–78. [Google Scholar]
- Islam, M.S.; Bari, M.A. in vitro regeneration protocol for artificial seed production in an important medicinal plant Mentha arvensis L. J. Bio-Sci. 2012, 20, 99–108. [Google Scholar] [CrossRef]
- Khan, M.K.; Sharma, T.; Misra, P.; Shukla, P.K.; Singh, Y.; Ramteke, P.W. Production of plantlets on different substrates from encapsulated in vitro nodal explants of Stevia rebaudiana. Int. J. Rec. Sci. Res. 2013, 4, 211–215. [Google Scholar]
- Magray, M.M.; Wani, K.P.; Chatto, M.A.; Ummyiah, H.M. Synthetic seed technology. Int. J. Curr. Microbiol. Appl. Sci. 2017, 6, 662–674. [Google Scholar] [CrossRef]
- Lambardi, M.; Benelli, C.; Ozudogru, E.A.; Ozden-Tokatli, Y. Synthetic seed technology in ornamental plants. In Floriculture, Ornamental and Plant Biotechnology; Teixeira da Silva, J.A., Ed.; Global Science Books: Isleworth, UK, 2006; Volume II, pp. 347–354. [Google Scholar]
- Benelli, C. Encapsulation of shoot tips and nodal segments for in vitro storage of “Kober 5BB” grapevine rootstock. Horticulturae 2016, 2, 10. [Google Scholar] [CrossRef]
- Chandra, K.; Pandey, A.; Kumar, P. Synthetic seed—Future prospects in crop improvement. Int. J. Agric. Innov. Res. 2018, 6, 120–125. [Google Scholar]
- Nongdam, P. Development of synthetic seed technology in plants and its applications: A review. Int. J. Curr. Sci. 2016, 19, 86–101. [Google Scholar]
- Qahtan, A.A.; Abdel-Salam, E.M.; Alatar, A.A.; Wang, Q.-C.; Faisal, M. An introduction to synthetic seeds: Production, techniques, and applications. In Synthetic Seeds: Germplasm Regeneration, Preservation and Prospects; Faisal, M., Alatar, A.A., Eds.; Springer Nature: Cham, Switzerland, 2019; pp. 1–20. [Google Scholar]
- Alatar, A.; Faisal, M. Encapsulation of Rauvolfia tetraphylla microshoots as artificial seeds and evaluation of genetic fidelity using RADP and ISSR markers. J. Med. Plants Res. 2012, 6, 1367–1374. [Google Scholar] [CrossRef]
- Kundu, S.; Salma, U.; Ali, M.N.; Mandal, N. Conservation, ex vitro direct regeneration, and genetic uniformity assessment of alginate-encapsulated nodal cuttings of Sphagneticola calendulacea (L.) Pruski. Acta Physiol. Plant. 2018, 40, 53–63. [Google Scholar] [CrossRef]
- Kulus, D. Effect of bead composition, PVS Type, and recovery medium in cryopreservation of bleeding heart ‘Valentine’—Preliminary study. Agronomy 2020, 10, 891. [Google Scholar] [CrossRef]
- Standardi, A. Encapsulation: Promising technology for nurseries and plant tissue laboratories. AgroLife Scient. J. 2012, 1, 48–54. [Google Scholar]
- Parveen, S.; Shahzad, A. Encapsulation of nodal segments of Cassia angustifolia Vahl. for short-term storage and germplasm exchange. Acta Physiol. Plant. 2014, 36, 635–640. [Google Scholar] [CrossRef]
- Ghambarali, S.; Abdollahi, M.R.; Zolnorian, H.; Moosavi, S.S.; Seguí-Simarro, J.M. Optimization of the conditions for production of synthetic seeds by encapsulation of axillary buds derived from minituber sprouts in potato (Solanum tuberosum). Plant Cell Tissue Org. Cult. 2016, 126, 449–458. [Google Scholar] [CrossRef]
- Hatzilazarou, S.; Kostas, S.; Joachim, M.; Economou, A. Regeneration of Viburnum dentatum L. from alginate-encapsulated shoot explants after short-term cold storage and assessment of genetic stability using ISSR analysis. Agronomy 2020, 10, 1660. [Google Scholar] [CrossRef]
- Ara, H.; Jaiswal, U.; Jaiswal, V.S. Synthetic seed: Prospects and limitations. Curr. Sci. 2000, 78, 1438–1444. [Google Scholar]
- Nor Asmah, H.; Nor Hasnida, H.; Noraliza, A.; Nashatul Zaimah, N.A.; Nadiah Salmi, N. In vitro propagation of Acacia hybrid through alginate-encapsulated shoots and axillary buds. Afr. J. Biotechnol. 2012, 11, 12814–12817. [Google Scholar] [CrossRef][Green Version]
- Sharma, S.; Shahzad, A.; Teixeira da Silva, J.A. Synseed technology—A complete synthesis. Biotechnol. Adv. 2013, 31, 186–207. [Google Scholar] [CrossRef]
- Gantait, S.; Kundu, S.; Ali, N.; Sahu, N.C. Synthetic seed production of medicinal plants: A review on influence of explants, encapsulation agent and matrix. Acta Physiol. Plant. 2015, 37, 98. [Google Scholar] [CrossRef]
- Rihan, H.Z.; Kareem, F.; El-Mahrouk, M.E.; Fuller, M.P. Artificial seeds (principle, aspects and applications). Agronomy 2017, 7, 71. [Google Scholar] [CrossRef]
- Abdel-Rahman, S.S.A.; Pinker, I. in vitro conversion of alginate-encapsulated nodal segments of Rosa hybrida L. ‘Kardinal´ into complete plantlets. Assiut J. Agric. Sci. 2019, 50, 28–40. [Google Scholar]
- Saeed, T.; Shahzad, A.; Sharma, S. Studies on single and double layered biocompatible encapsulation of somatic embryos in Albizia lebbeck and genetic homogeneity appraisal among synseed derived lines through ISSR markers. Plant Cell Tissue Org. Cult. 2020, 140, 431–445. [Google Scholar] [CrossRef]
- Sharma, S.; Roy, B. Preparation of synthetic seeds of Citrus jambhiri using in vitro regenerated multiple plantlets. Biotechnol. J. Int. 2020, 24, 22–29. [Google Scholar] [CrossRef]
- Bordallo, P.N.; Silva, D.H.; Maria, J.; Cruz, C.D.; Fontes, E.P. Somaclonal variation on in vitro callus culture potato cultivars. Hortic. Bras. 2004, 22, 300–304. [Google Scholar] [CrossRef]
- Kaminska, M.; Golebiewski, M.; Tretyn, A.; Trejgell, A. Efficient long-term conservation of Taraxacum pieninicum synthetic seeds in slow growth conditions. Plant Cell Tissue Org. Cult. 2018, 132, 469–478. [Google Scholar] [CrossRef]
- Gupta, P.K.; Varshney, R.K. Molecular markers for genetic fidelity during micropropagation and germplasm conservation. Curr. Sci. 1999, 76, 1308–1310. [Google Scholar]
- Devarumath, R.M.; Nandy, S.; Rani, V.; Marimuthu, S.; Muraleedharan, N.; Raina, S.N. RAPD, ISSR and RFLP fingerprints as useful markers to evaluate genetic integrity of micropropagated plants of three diploid and triploid elite tea clones representing Camellia sinensis (China type) and C. assamina ssp. assamica (Assam-Indian type). Plant Cell Rep. 2002, 21, 166–173. [Google Scholar]
- Cuesta, C.; Ordas, R.J.; Rodriguez, A.; Fernandez, B. PCR-based molecular markers for assessment of somaclonal variation in Pinus picea clones micro-propagated in vitro. Biol. Plant. 2010, 54, 435–442. [Google Scholar] [CrossRef]
- Faisal, M.; Alatar, A.A.; Ahmad, N.; Anis, M.; Hegazy, A.K. Assessment of genetic fidelity in Rauvolfia serpentina plantlets grown from synthetic (encapsulated) seeds following in vitro storage at 4 °C. Molecules 2012, 17, 5050–5061. [Google Scholar] [CrossRef]
- Mehrotra, S.; Khwaja, O.; Kukreja, A.K.; Rahman, L. ISSR and RAPD based evaluation of genetic stability of encapsulated micro shoots of Glycyrrhiza glabra following 6 months of storage. Mol. Biotechnol. 2012, 52, 262–268. [Google Scholar] [CrossRef]
- Behera, S.; Rout, K.K.; Panda, P.C.; Naik, S.K. Production of non-embryogenic synthetic seeds for propagation and germplasm transfer of Hedychium coronarium J. Koenig. J. Appl. Res. Med. Aromat. Plants 2020, 19, 100271. [Google Scholar] [CrossRef]
- Murashige, T.; Skoog, F. A revised medium for rapid growth and bioassays with tobacco cultures. Physiol. Plant. 1962, 15, 473–497. [Google Scholar] [CrossRef]
- Ozden-Tokatli, Y.; De Carlo, A.; Gumusel, F.; Pignattelli, S.; Lambardi, M. Development of encapsulation techniques for the production and conservation of synthetic seeds in ornamental plants. Propag. Ornam. Plants 2008, 8, 17–22. [Google Scholar]
- Reddy, M.C.; Murthy, K.S.R.; Pullaiah, T. Synthetic seeds: A review in agriculture and forestry. Afr. J. Biotechnol. 2012, 11, 14254–14275. [Google Scholar]
- Naik, S.K.; Chand, P.K. Nutrient-alginate encapsulation of in vitro nodal segments of pomegranate (Punica granatum) for germplasm distribution and exchange. Scient. Hortic. 2006, 108, 247–252. [Google Scholar] [CrossRef]
- Hatzilazarou, S.; Kostas, S.; Economou, A.S. Plant regeneration of Nerium oleander L. from alginate-encapsulated shoot explants after short-term cold storage. J. Hortic. Sci. Biotechnol. 2018, 94, 441–447. [Google Scholar] [CrossRef]
- Kumar, S.; Rai, M.K.; Singh, N.; Mangal, M. Alginate-encapsulation of shoot tips of jojoba [Simmondsia chinensis (Link) Schneider]. Physiol. Mol. Biol. Plants 2010, 16, 379–382. [Google Scholar] [CrossRef][Green Version]
- Gholami, A.A.; Alavi, S.V. Plant regeneration of Citrus sinensis var. Thamson navel using sodium alginate-encapsulated shoot tips. Iran. J. Plant Physiol. 2015, 6, 1737–1743. [Google Scholar]
- Micheli, M.; Standardi, A.; Fernandes da Silva, D.F. Encapsulation and synthetic seeds of olive (Olea europaea L.): Experiences and overview. In Synthetic Seeds: Germplasm Regeneration, Preservation and Prospects; Faisal, M., Alatar, A.A., Eds.; Springer Nature: Cham, Switzerland, 2019; pp. 1–20. [Google Scholar]
- Attia, A.O.; Ismali, I.A.; El Dessoky, D.S.; Alotaibi, S.S. Synthetic seeds as in vitro conservation method for Al-Taif rose plant (Rosa damascena trigintipetala Dieck). Biosci. Res. 2018, 15, 1113–1119. [Google Scholar]
- Saiprasad, G.V.S. Artificial seeds and their applications. Resonance 2001, 6, 39–47. [Google Scholar] [CrossRef]
- Rai, M.K.; Asthana, P.; Singh, S.K.; Jaiswal, V.S.; Jaiswal, U. The encapsulation technology in fruit plants—A review. Biotechnol. Adv. 2009, 27, 671–679. [Google Scholar] [CrossRef]
- Singh, S.K.; Rai, M.K.; Asthana, P.; Padney, S.; Jaiswal, V.S.; Jaiswal, U. Plant regeneration from alginate-encapsulated shoot tips of Spilanthes acmella (L.) Murr., a medicinal important and herbal pesticidal plant species. Acta Physiol. Plant. 2009, 31, 649–653. [Google Scholar] [CrossRef]
- Nor Asmah, H.; Nor Hasnida, H.; Nashatul Zaimah, N.A.; Noraliza, A.; Nadiah Salmi, N. Synthetic seed technology for encapsulation and regrowth of in vitro-derived Acacia hybrids shoot and axillary buds. Afr. J. Biotechnol. 2011, 10, 7820–7824. [Google Scholar]
- Benelli, C.; Micheli, M.; De Carlo, A. An improved encapsulation protocol for regrowth and conservation of four ornamental species. Acta Soc. Bot. Pol. 2017, 86, 3559. [Google Scholar] [CrossRef]
- Fonseka, D.L.C.K.; Wickramaarachchi, W.W.U.I.; Madushani, R.P.S. Synthetic seed production as a tool for the conservation and domestication of Celastrus paniculatus: A rare medicinal plant. Annu. Res. Rev. Biol. 2019, 32, 1–8. [Google Scholar] [CrossRef]
- Prakash, A.V.; Nair, D.S.; Alex, S.; Soni, K.B.; Viji, M.M.; Reghunath, B.R. Calcium alginate encapsulated synthetic seed production in Plumbago rosea L. for germplasm exchange and distribution. Physiol. Mol. Biol. Plants 2018, 24, 963–971. [Google Scholar] [CrossRef] [PubMed]
- Gupta, A.K.; Harish, M.; Rai, M.K.; Phulwaria, M.; Agarwal, T.; Shekhawat, N.S. In vitro propagation, encapsulation, and genetic fidelity analysis of Terminalia arjuna: A cardioprotective medicinal tree. Appl. Biochem. Biotechnol. 2014, 173, 1481–1494. [Google Scholar] [CrossRef]
- Daud, N.; Taha, R.M.; Hasbullah, N.A. Artificial seed production from encapsulated micro shoots of Saintpaulia ionantha Wendl. (African violet). J. Appl. Sci. 2008, 8, 4662–4667. [Google Scholar] [CrossRef]
- Singh, S.K.; Rai, M.K.; Asthana, P.; Sahoo, L. Alginate-encapsulation of nodal segments for propagation, short-term conservation and germplasm exchange and distribution of Eclipta alba (L.). Acta Physiol. Plant. 2010, 32, 607–610. [Google Scholar] [CrossRef]
- Thiruvengadam, M.; Praveen, N.; Chung, I.-M. Plant regeneration from alginate-encapsulated shoot tips of Momordica dioica for short term storage and germplasm exchange and distribution. Plant Omics J. 2012, 5, 266–270. [Google Scholar]
- Danso, K.E.; Ford-Lloyd, B.V. Encapsulation of nodal cuttings and shoot tips for storage and exchange of cassava germplasm. Plant Cell Rep. 2003, 21, 718–725. [Google Scholar] [CrossRef] [PubMed]
- Sharma, S.; Shahzad, A.; Mahmood, S.; Saeed, T. High-frequency clonal propagation, encapsulation of nodal segments for short-term storage and germplasm exchange of Ficus carica L. Trees 2015, 29, 345–353. [Google Scholar] [CrossRef]
- Moradi, S.; Azimi, M.; Habibi, F.; Pourdad, S.S. in vitro plant regeneration of Helianthus annuus (Hyb. Azargol) from alginate-encapsulated shoot tips for short term storage, germplasm exchange and distribution. J. Plant Mol. Breed. 2016, 4, 1–8. [Google Scholar]
- Gantait, S.; Vijayan, J.; Majee, A. Artificial seed production of Tylophora indica for interim storing and swapping of germplasm. Hortic. Plant J. 2017, 3, 41–46. [Google Scholar] [CrossRef]
- Faisal, M.; Ahmad, N.; Anis, M. in vitro plant regeneration from alginate-encapsulated microcuttings of Rauvolfia tetraphylla L. Am. Eur. J. Agric. Environ. Sci. 2006, 1, 1–6. [Google Scholar]
- Sharma, S.; Shahzad, A. Encapsulation technology for short-term storage and conservation of a woody climber, Decalepis hamiltonii Wight and Arn. Plant Cell Tiss. Org. Cult. 2012, 111, 191–198. [Google Scholar] [CrossRef]
- Wafaa, A.F.; Wahdan, H.M. Influence of substrates on in vitro rooting and acclimatization of micropropagated strawberry (Fragaria × ananassa Duch). Middle East J. Agric. Res. 2017, 6, 682–691. [Google Scholar]
- Kumar, K.; Rao, I.U. Morphophysiological problems in acclimatization of micropropagated plants in -ex vitro conditions—A review. J. Ornam. Hortic. Plants 2012, 2, 271–283. [Google Scholar]
- Economou, A.S. From microcutting rooting to microplant establishment: Key points to consider for maximum success in woody plants. Acta Hortic. 2013, 988, 43–56. [Google Scholar] [CrossRef]
- Hazarika, B.N.; Teixeira da Silva, J.; Talukdar, A. Effective acclimatization of in vitro cultured plants: Methods, physiology and genetics. In Floriculture, Ornamental and Plant Biotechnology: Advances and Topical Issues; Texeira da Silva, J., Ed.; Global Science Books: Isleworth, UK, 2006; Volume II, pp. 427–438. [Google Scholar]
- Labrousse, P.; Delmail, D.; Decou, R.; Carlué, M.; Lhernould, S.; Krausz, P. Nemesia root hair response to paper pulp substrate for micropropagation. Sci. World J. 2012, 2012, 1–7. [Google Scholar] [CrossRef] [PubMed]
- Mehrotra, S.; Rahman, L.U.; Mishra, J.; Kukreja, A.K. Conservation and multiplication of encapsulated micro shoots of Rauvolfia vomitoria—An endangered medicinal tree: ISSR and RAPD based evaluation of genetic fidelity of converted plantlets. Nat. Prod. Commun. 2012, 7, 1647–1650. [Google Scholar] [CrossRef] [PubMed]
- Saha, D.; Sengupta, C.; Ghosh, P. Encapsulation, short-term storage, conservation and molecular analysis to assess genetic stability in alginate-encapsulated microshoots of Ocimum kilimandscharicum Guerke. Plant Cell Tissue Org. Cult. 2014, 120, 519–530. [Google Scholar] [CrossRef]
- Martins, M.; Sarmento, D.; Oliveira, M.M. Genetic stability of micropropagated almond plantlets, as assessed by RAPD and ISSR markers. Plant Cell Rep. 2004, 23, 492–496. [Google Scholar] [CrossRef]
- Venkatachalam, L.; Sreedhar, R.V.; Bhagyalakshmi, N. Genetic analyses of micropropagated and regenerated plantlets of banana as assessed by RAPD and ISSR markers. In Vitro Cell. Dev. Biol. Plant 2007, 43, 267–274. [Google Scholar] [CrossRef]
- Bhatia, R.; Singh, K.P.; Jhang, T.; Sharma, T.R. Assessment of clonal fidelity of micropropagated gerbera plants by ISSR markers. Sci. Hortic. 2009, 119, 208–211. [Google Scholar] [CrossRef]
- Huang, W.J.; Ning, G.G.; Liu, G.F.; Bao, M.Z. Determination of genetic stability of long-term micropropagated plantlets of Platanus acerifolia using ISSR markers. Biol. Plant. 2009, 53, 159–163. [Google Scholar] [CrossRef]
- Kumar, N.; Modi, A.R.; Singh, A.S.; Gajera, B.B.; Patel, A.R.; Patel, M.P.; Subhash, N. Assessment of genetic fidelity of micropropagated date palm (Phoenix dactylifera L.) plants by RAPD and ISSR markers assay. Physiol. Mol. Biol. Plants 2010, 16, 207–213. [Google Scholar] [CrossRef] [PubMed]
- Joshi, P.; Dhawan, V. Assessment of genetic fidelity of micropropagated Swertia chirayita plantlets by ISSR marker assay. Biol. Plant. 2007, 51, 22–26. [Google Scholar] [CrossRef]






| Treatments | Shoot Regeneration Response (%) | Number of Shoots/Bead | Length of Shoots (cm) |
|---|---|---|---|
| Light | |||
| Alginate | 46.7 ± 6.7b 1,2 | 2.1 ± 0.2b 1,2 | 0.4 ± 0.2ab 1,2 |
| Alginate + MS | 88.9 ± 3.7a | 2.7 ± 0.2a | 0.7 ± 0.2a |
| Darkness | |||
| Alginate | 13.3 ± 9.3d | 1.4 ± 0.3c | 0.2 ± 0.1b |
| Alginate + MS | 28.9 ± 2.4c | 2.0 ± 0.2b | 0.3 ± 0.2ab |
| ANOVA (F) | 36.89 | 15.00 | 2.67 |
| Significance of F | *** 3 | ** 3 | * 3 |
| Concentration of Calcium Chloride (mM) | Grading of Bead Formation | Texture/Shape of Beads | Hardness οf Beads (N, Newton) |
|---|---|---|---|
| 25 | + 1 | Very delicate, fragile, indefinite shape | 0.14 ± 0.01 2 |
| 50 | ++ | Solid, soft, translucent, uniform shape | 0.20 ± 0.02 |
| 100 | +++ | Uniform, firm, translucent, globular shape | 0.27 ± 0.02 |
| 200 | ++ | Uniform, very hard, mostly globular- and tail-shaped | 0.37 ± 0.03 |
| Concentration of Calcium Chloride (mM) | Shoot Regeneration Response (%) | Number of Shoots/Bead | Length of Shoots (cm) |
|---|---|---|---|
| 25 | 20.0 ± 9.3c 1,2 | 1.8 ± 0.3b 1,2 | 0.6 ± 0.2b 1,2 |
| 50 | 40.0 ± 6.9b | 2.3 ± 0.4ab | 1.1 ± 0.2a |
| 100 | 51.1 ± 2.2a | 2.7 ± 0.3a | 1.3 ± 0.3a |
| 200 | 42.2 ± 4.5b | 2.1 ± 0.2b | 0.7 ± 0.2b |
| ANOVA (F) | 5.40 | 3.61 | 8.17 |
| Significance of F | * 3 | * 3 | ** 3 |
| Type of Explants | Storage Time (Weeks) | Number of Shoots | Length of Shoots (cm) |
|---|---|---|---|
| Non-encapsulated explants (naked) | 0 (control) | 2.1 ± 0.2a 1,2 | 0.6 ± 0.2a 1,2 |
| 4 | 1.2 ± 0.2b | 0.2 ± 0.1b | |
| 8 | 1.2 ± 0.3b | 0.2 ± 0.1b | |
| 12 | 0.0 ± 0.0c | 0.0 ± 0.0c | |
| Encapsulated explants | 0 (control) | 2.5 ± 0.3a | 0.6 ± 0.2a |
| 4 | 2.3 ± 0.3a | 0.5 ± 0.2ab | |
| 8 | 2.3 ± 0.3a | 0.5 ± 0.2ab | |
| 12 | 2.3 ± 0.2a | 0.5 ± 0.1a | |
| ANOVA (F) | 49.47 | 4.30 | |
| Significance of F | *** 3 | ** 3 | |
| Primer Code | Primer Sequence (5′-3′) | Annealing Temperature | Number of Bands |
|---|---|---|---|
| UBC 808 | AGA GAG AGA GAG AGA GC | 58 °C | 6 |
| UBC 809 | AGA GAG AGA GAG AGA GG | 58 °C | 5 |
| UBC 810 | GAG AGA GAG AGA GAG AT | 52 °C | 5 |
| UBC 811 | GAG AGA GAG AGA GAG AC | 54 °C | 3 |
| UBC 815 | CTC TCT CTC TCT CTC TG | 50 °C | 6 |
| UBC 816 | CAC ACA CAC ACA CAC AT | 54 °C | 4 |
| UBC 818 | CAC ACA CAC ACA CAC AG | 56 °C | 6 |
| UBC 821 | GTG TGT GTG TGT GTG TT | 56 °C | 4 |
| UBC 834 | AGA GAG AGA GAG AGA GYT | 56 °C | 6 |
| UBC 841 | GAG AGA GAG AGA GAG AYC | 50 °C | 7 |
Publisher’s Note: MDPI stays neutral with regard to jurisdictional claims in published maps and institutional affiliations. |
© 2021 by the authors. Licensee MDPI, Basel, Switzerland. This article is an open access article distributed under the terms and conditions of the Creative Commons Attribution (CC BY) license (https://creativecommons.org/licenses/by/4.0/).
Share and Cite
Hatzilazarou, S.; Kostas, S.; Nendou, T.; Economou, A. Conservation, Regeneration and Genetic Stability of Regenerants from Alginate-Encapsulated Shoot Explants of Gardenia jasminoides Ellis. Polymers 2021, 13, 1666. https://doi.org/10.3390/polym13101666
Hatzilazarou S, Kostas S, Nendou T, Economou A. Conservation, Regeneration and Genetic Stability of Regenerants from Alginate-Encapsulated Shoot Explants of Gardenia jasminoides Ellis. Polymers. 2021; 13(10):1666. https://doi.org/10.3390/polym13101666
Chicago/Turabian StyleHatzilazarou, Stefanos, Stefanos Kostas, Theodora Nendou, and Athanasios Economou. 2021. "Conservation, Regeneration and Genetic Stability of Regenerants from Alginate-Encapsulated Shoot Explants of Gardenia jasminoides Ellis" Polymers 13, no. 10: 1666. https://doi.org/10.3390/polym13101666
APA StyleHatzilazarou, S., Kostas, S., Nendou, T., & Economou, A. (2021). Conservation, Regeneration and Genetic Stability of Regenerants from Alginate-Encapsulated Shoot Explants of Gardenia jasminoides Ellis. Polymers, 13(10), 1666. https://doi.org/10.3390/polym13101666

