Multifunctional Polymer-Modified P-CaO2@Au@OVA@Cu@DHPs Nanoparticles Enhance SARS-CoV-2 mRNA Vaccine-Induced Immunity via the cGAS–STING Signaling Pathway
Abstract
1. Introduction
2. Materials and Methods
2.1. Materials
2.2. Methods
2.2.1. D. huoshanense Polysaccharide Preparation and Characterization
2.2.2. Au@OVA@Cu@DHPs Synthesis
2.2.3. CaO2-Au@OVA@Cu@DHPs Synthesis
2.2.4. PBAE-G-PEG-SS Preparation
2.2.5. P-CaO2-Au@OVA@Cu@DHPs Synthesis
2.2.6. Nanoparticle Characterization
2.2.7. Analyses of DHPs and OVA Release
2.2.8. Analyses of Particle Stability
2.2.9. H2O2-Responsive Disassembly of P-CaO2-Au@OVA@Cu@DHPs
2.2.10. Peritoneal Macrophage Isolation
2.2.11. Macrophage Viability Analyses
2.2.12. Flow Cytometry
2.2.13. Macrophage Cytokine Secretion Analyses
2.2.14. Analysis of Macrophage Uptake Activity
2.2.15. Animal and Vaccination Experiments
2.2.16. SARS-CoV-2 Receptor-Binding Domain (RBD) mRNA Vaccine Preparation
2.2.17. Murine Immunization
2.2.18. Serum Antibody ELISAs
2.2.19. Intracellular Cytokine Staining
2.2.20. Serum Cytokine Analyses
2.2.21. Statistical Analysis
3. Results
3.1. DHP Isolation, Purification, and Physicochemical Characterization
3.2. P-CaO2-Au@OVA@Cu@DHPs Synthesis and Characterization
3.3. Nanoparticle Stability Analyses
3.4. Examination of the ROS- and pH-Responsive Characteristics of P-CaO2-Au@OVA@Cu@DHPs NPs
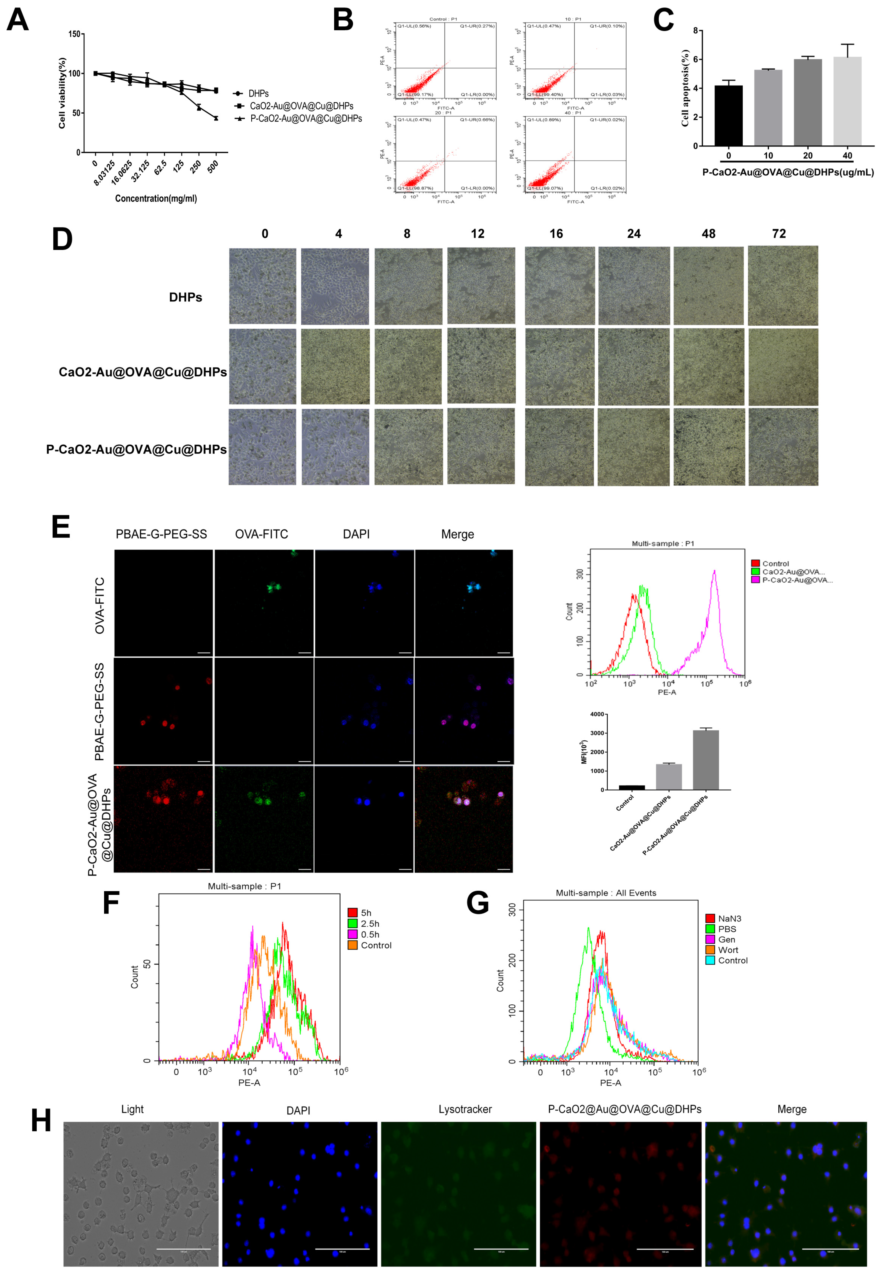
3.5. Assessment of the Cytotoxicity and Uptake of P-CaO2-Au@OVA@Cu@DHPs NPs When Used to Treat Macrophages
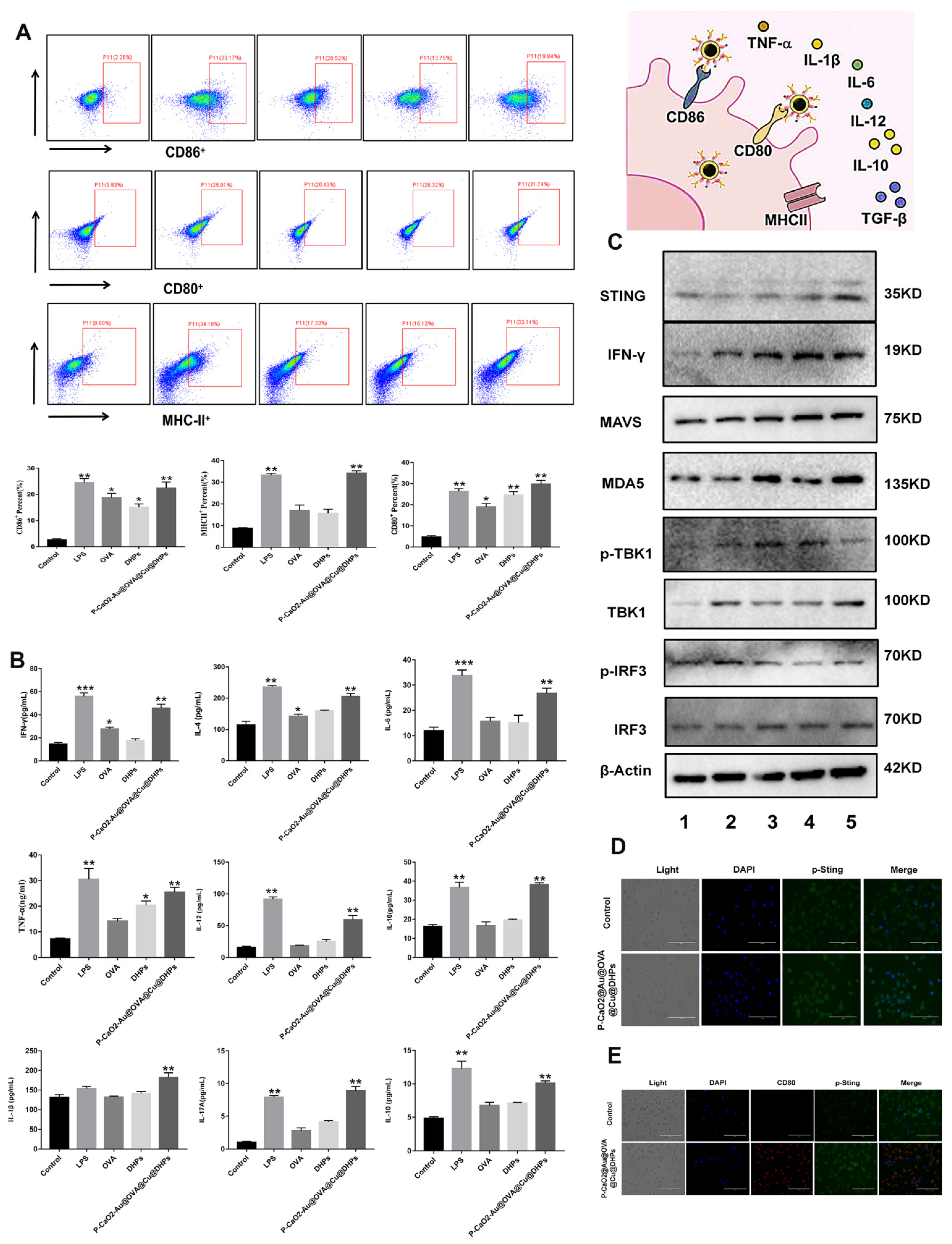
3.6. P-CaO2-Au@OVA@Cu@DHPs NPs Influence Costimulatory Marker Expression, Cytokine Secretion, and cGAS–STING Signaling In Vitro
3.7. P-CaO2-Au@OVA@Cu@DHPs NPs Induce Robust T Cell-Mediated Immune Responses
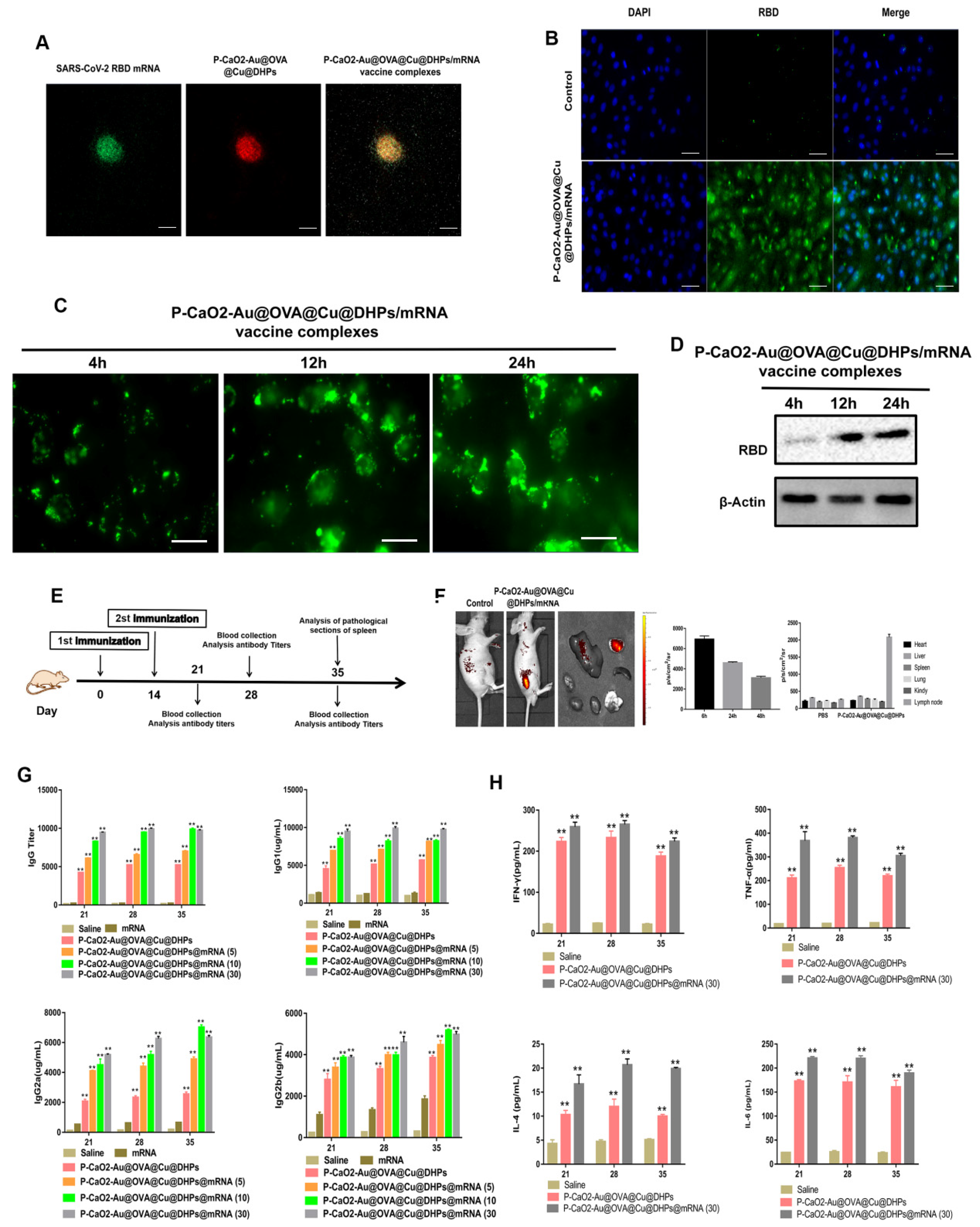
3.8. IP-CaO2-Au@OVA@Cu@DHPs/mRNA Vaccine Complexes Induce Robust In Vivo Immunity
3.9. P-CaO2-Au@OVA@Cu@DHPs/mRNA Vaccine Complexes Induce Immune Cell Activation via the cGAS–STING and MDA5–IFN-α Signaling Pathways
3.10. Evaluation of the In Vivo Biosafety of P-CaO2-Au@OVA@Cu@DHPs NPs
4. Discussion
Supplementary Materials
Author Contributions
Funding
Institutional Review Board Statement
Data Availability Statement
Conflicts of Interest
Abbreviations
| mRNA | Messenger RNA |
| SARS-CoV-2 | Severe acute respiratory syndrome coronavirus 2 |
| PBAE-G-B-SS | Poly(beta-amino ester)s |
| OVA | Ovalbumin |
| DHPs | Dendrobium polysaccharides |
| cDNA | Complementary DNA |
| shRNA | Short hairpin RNA |
| siRNA | Small interfering RNA |
| LOD | Limit of Detection |
| LOQ | Limit of Quantitation |
| RSD | Standard Deviation |
| DAPI | 4′,6-Diamidino-2-phenylindole |
| BSA | Bovine albumin |
| IFN | Interferon |
| IL-6 | Interleukin-6 |
| TNF | Tumor necrosis factor |
| ANOVA | Analysis of Variance |
References
- Chan, J.F.; Yuan, S.; Chu, H.; Sridhar, S.; Yuen, K.-Y. COVID-19 drug discovery and treatment options. Nat. Rev. Microbiol. 2024, 22, 391–407. [Google Scholar] [CrossRef] [PubMed]
- Hampshire, A.; Azor, A.; Atchison, C.; Trender, W.; Hellyer, P.J.; Giunchiglia, V.; Husain, M.; Cooke, G.S.; Cooper, E.; Lound, A.; et al. Cognition and Memory after COVID-19 in a Large Community Sample. N. Engl. J. Med. 2024, 390, 806–818. [Google Scholar] [CrossRef] [PubMed]
- Wilks, S.H.; Mühlemann, B.; Shen, X.; Türeli, S.; LeGresley, E.B.; Netzl, A.; Caniza, M.A.; Chacaltana-Huarcaya, J.N.; Corman, V.M.; Daniell, X.; et al. Mapping SARS-CoV-2 antigenic relationships and serological responses. Science 2023, 382, eadj0070. [Google Scholar] [CrossRef] [PubMed]
- Cao, J.; Huang, Z.; Zeng, J.; Liu, J.; Zuo, W.; Su, Z.; Chen, Y.; Yu, W.; Ye, H. Maternal and neonatal outcomes and clinical laboratory testing of pregnant women with COVID-19 during the BA.5.2/BF.7 surge. Virulence 2024, 15, 2360130. [Google Scholar] [CrossRef]
- Wang, X.; Zhang, M.; Wei, K.; Li, C.; Yang, J.; Jiang, S.; Zhao, C.; Zhao, X.; Qiao, R.; Cui, Y.; et al. Longitudinal Analysis of Humoral and Cellular Immune Response up to 6 Months after SARS-CoV-2 BA.5/BF.7/XBB Breakthrough Infection and BA.5/BF.7-XBB Reinfection. Vaccines 2024, 12, 464. [Google Scholar] [CrossRef]
- Yan, R.; Liu, J.; Chen, Z.; Wan, P.; Liang, T.; Li, K.; Liu, D.; Ma, M.; Chen, X.; Li, A.; et al. Rapid production of COVID-19 subunit vaccine candidates and their immunogenicity evaluation in pigs. Int. J. Biol. Macromol. 2024, 272, 132798. [Google Scholar] [CrossRef]
- Laxminarayan, R.; Impalli, I.; Rangarajan, R.; Cohn, J.; Ramjeet, K.; Trainor, B.W.; Strathdee, S.; Sumpradit, N.; Berman, D.; Wertheim, H.; et al. Expanding antibiotic, vaccine, and diagnostics development and access to tackle antimicrobial resistance. Lancet 2024, 403, 2534–2550. [Google Scholar] [CrossRef]
- Bitounis, D.; Jacquinet, E.; Rogers, M.A.; Amiji, M.M. Strategies to reduce the risks of mRNA drug and vaccine toxicity. Nat. Rev. Drug Discov. 2024, 23, 281–300. [Google Scholar] [CrossRef]
- Satti, I.; Marshall, J.L.; Harris, S.A.; Wittenberg, R.; Tanner, R.; Lopez Ramon, R.; Wilkie, M.; Ramos Lopez, F.; Riste, M.; Wright, D.; et al. Safety of a controlled human infection model of tuberculosis with aerosolised, live-attenuated Mycobacterium bovis BCG versus intradermal BCG in BCG-naive adults in the UK: A dose-escalation, randomised, controlled, phase 1 trial. Lancet Infect. Dis. 2024, 24, 909–921. [Google Scholar] [CrossRef]
- Moorlag, S.J.C.F.M.; Folkman, L.; Horst, R.T.; Krausgruber, T.; Barreca, D.; Schuster, L.C.; Fife, V.; Matzaraki, V.; Li, W.; Reichl, S.; et al. Multi-omics analysis of innate and adaptive responses to BCG vaccination reveals epigenetic cell states that predict trained immunity. Immunity 2024, 57, 171–187.e14. [Google Scholar] [CrossRef]
- Cheng, X.; Liu, S.; Sun, J.; Liu, L.; Ma, X.; Li, J.; Fan, B.; Yang, C.; Zhao, Y.; Liu, S.; et al. A Synergistic Lipid Nanoparticle Encapsulating mRNA Shingles Vaccine Induces Potent Immune Responses and Protects Guinea Pigs from Viral Challenges. Adv. Mater. 2023, 36, 2310886. [Google Scholar] [CrossRef]
- Chen, C.; Xue, C.; Jiang, J.; Bi, S.; Hu, Z.; Yu, G.; Sun, B.; Mao, C. Neurotoxicity profiling of aluminum salt-based nanoparticles as adjuvants for therapeutic cancer vaccine. J. Pharmacol. Exp. Ther. 2024, 390, 45–52. [Google Scholar] [CrossRef]
- Song, Y.; Shao, J.; She, G.; Lv, W.; Chen, G.; Liu, J.; Zhang, L.; Zhang, C.; Wang, J.; Tian, R.; et al. Developmental and reproductive toxicity of a recombinant protein subunit COVID-19 vaccine (ZF2001) in rats. npj Vaccines 2023, 8, 74. [Google Scholar] [CrossRef]
- Lin, Y.; Gao, R.; Jing, D.; Liu, Y.; Da, H.; Birnbaumer, L.; Yang, Y.; Gao, X.; Gao, Z.; Cao, Q. TRPC absence induces pro-inflammatory macrophage polarization to promote obesity and exacerbate colorectal cancer. Front. Pharmacol. 2024, 15, 1392328. [Google Scholar] [CrossRef]
- Ma, X.; Yang, Q.; Lin, N.; Feng, Y.; Liu, Y.; Liu, P.; Wang, Y.; Deng, H.; Ding, H.; Chen, H. Integrated anti-vascular and immune-chemotherapy for colorectal carcinoma using a pH-responsive polymeric delivery system. J. Control. Release 2024, 370, 230–238. [Google Scholar] [CrossRef] [PubMed]
- Patel, D.K. Biological Potential Of Bioactive Bibenzyl Compound Chrysotoxine from the Genus Dendrobium in Medicine. Curr. Drug Res. Rev. 2023, 16, 249–250. [Google Scholar] [CrossRef] [PubMed]
- Panuthai, P.; Phumsuay, R.; Muangnoi, C.; Maitreesophone, P.; Kongkatitham, V.; Mekboonsonglarp, W.; Rojsitthisak, P.; Likhitwitayawuid, K.; Sritularak, B. Isolation and Identification of Dihydrophenanthrene Derivatives from Dendrobium virgineum with Protective Effects against Hydrogen-Peroxide-Induced Oxidative Stress of Human Retinal Pigment Epithelium ARPE-19 Cells. Antioxidants 2023, 12, 624. [Google Scholar] [CrossRef] [PubMed]
- Li, P.; Li, L.; Wang, Y. Traditional uses, chemical compositions and pharmacological activities of Dendrobium: A review. J. Ethnopharmacol. 2023, 310, 116382. [Google Scholar] [CrossRef]
- Qi, J.; Zhou, S.; Wang, G.; Hua, R.; Wang, X.; He, J.; Wang, Z.; Zhu, Y.; Luo, J.; Shi, W.; et al. The Antioxidant Dendrobium officinale Polysaccharide Modulates Host Metabolism and Gut Microbiota to Alleviate High-Fat Diet-Induced Atherosclerosis in ApoE−/− Mice. Antioxidants 2024, 13, 599. [Google Scholar] [CrossRef]
- Li, L.; Chen, H.; Huang, G.; Lv, Y.; Yao, L.; Guo, Z.; Qiu, S.; Wang, X.; Wei, C. Structure of Polysaccharide from Dendrobium nobile Lindl. and Its Mode of Action on TLR4 to Exert Immunomodulatory Effects. Foods 2024, 13, 1356. [Google Scholar] [CrossRef]
- Wathoni, N.; Herdiana, Y.; Suhandi, C.; Mohammed, A.F.A.; El-Rayyes, A.; Narsa, A.C. Chitosan/Alginate-Based Nanoparticles for Antibacterial Agents Delivery. Int. J. Nanomed. 2024, 19, 5021–5044. [Google Scholar] [CrossRef] [PubMed]
- Ain, N.U.; Khan, B.; Zhu, K.; Ji, W.; Tian, H.; Yu, X.; Yi, L.; Li, D.; Zhang, Z. Fabrication of mesoporous silica nanoparticles for releasable delivery of licorice polysaccharide at the acne site in topical application. Carbohydr. Polym. 2024, 339, 122250. [Google Scholar] [CrossRef] [PubMed]
- Wang, S.; Wang, S.; Yang, L.; Wang, P.; Song, H.; Liu, H. pH-responsive Aminated mesoporous silica microspheres modified with soybean hull polysaccharides for curcumin encapsulation and controlled release. Food Chem. 2024, 454, 139832. [Google Scholar] [CrossRef] [PubMed]
- Ao, S.; Luo, X.; Huang, M.; Wu, H.; Chen, Y.; Chen, H.; Li, J.; Zhou, Y.; Yin, X.; Cai, T.; et al. Hyaluronic acid-poly(glyceryl)10-stearate nanoemulsion for co-delivery of fish oil and resveratrol: Enhancing bioaccessibility and antioxidant potency. Int. J. Biol. Macromol. 2024, 273, 132835. [Google Scholar] [CrossRef]
- Khorsandi, D.; Jenson, S.; Zarepour, A.; Khosravi, A.; Rabiee, N.; Iravani, S.; Zarrabi, A. Catalytic and biomedical applications of nanocelluloses: A review of recent developments. Int. J. Biol. Macromol. 2024, 268, 131829. [Google Scholar] [CrossRef]
- Pang, Y.; Lv, J.; He, C.; Ju, C.; Lin, Y.; Zhang, C.; Li, M. Covalent organic frameworks-derived carbon nanospheres based nanoplatform for tumor specific synergistic therapy via oxidative stress amplification and calcium overload. J. Colloid Interface Sci. 2024, 661, 908–922. [Google Scholar] [CrossRef]
- Wang, R.; Sun, Y.; Wang, H.; Liu, T.; Shavandi, A.; Nie, L.; Yunusovg, K.E.; Jiang, G. Core-shell structured microneedles with programmed drug release functions for prolonged hyperuricemia management. J. Mater. Chem. B 2024, 12, 1064–1076. [Google Scholar] [CrossRef]
- Qian, Z.; Zhao, N.; Xu, S.; Yuan, W. In situ injectable thermoresponsive nanocomposite hydrogel based on hydroxypropyl chitosan for precise synergistic calcium-overload, photodynamic and photothermal tumor therapy. Carbohydr. Polym. 2024, 324, 121487. [Google Scholar] [CrossRef]
- Berger, A.; DeLorenzo, C.; Vo, C.; Kaskow, J.; Nabar, N.; Hammond, P. Poly(β-aminoester) Physicochemical Properties Govern the Delivery of siRNA from Electrostatically Assembled Coatings. Biomacromolecules 2024, 25, 2934–2952. [Google Scholar] [CrossRef]
- Le, N.D.; Nguyen, B.L.; Patil, B.R.; Chun, H.; Kim, S.; Nguyen, T.O.O.; Mishra, S.; Tandukar, S.; Chang, J.-H.; Kim, D.Y.; et al. Antiangiogenic Therapeutic mRNA Delivery Using Lung-Selective Polymeric Nanomedicine for Lung Cancer Treatment. ACS Nano 2024, 18, 8392–8410. [Google Scholar] [CrossRef]
- Zhang, Z.Q.; Wang, L.; Zeng, D.; Ma, X.; Wang, H. Preparation, identification, and application of PEG/ZIF-8@ Dendrobium huoshanense polysaccharide as an adjuvant to enhance immune responses. Fish Shellfish Immunol. 2023, 143, 109038. [Google Scholar] [CrossRef]
- Liu, Y.; Niu, C.; Wang, Y.; Ruan, Y.; Wang, L.; Li, H.; Ma, B.-J. Preparation, structural characteristics and antioxidant activity of polysaccharide and its metal chelates from the peel of Dioscorea oppositifolia L. Nat. Prod. Res. 2023, 39, 119–126. [Google Scholar] [CrossRef]
- Camp, B.; Jorde, I.; Sittel, F.; Pausder, A.; Jeron, A.; Bruder, D.; Schreiber, J.; Stegemann-Koniszewski, S. Comprehensive analysis of lung macrophages and dendritic cells in two murine models of allergic airway inflammation reveals model- and subset-specific accumulation and phenotypic alterations. Front. Immunol. 2024, 15, 1374670. [Google Scholar] [CrossRef] [PubMed]
- de Jong, J.M.H.; Schuurhuis, D.H.; Ioan-Facsinay, A.; Welling, M.M.; Camps, M.G.M.; van der Voort, E.I.H.; Huizinga, T.W.; Ossendorp, F.; Verbeek, J.S.; Toes, R.E. Dendritic cells, but not macrophages or B cells, activate major histocompatibility complex class II-restricted CD4+ T cells upon immune-complex uptake in vivo. Immunology 2006, 119, 499–506. [Google Scholar] [CrossRef] [PubMed]
- Rakebrandt, N.; Yassini, N.; Kolz, A.; Schorer, M.; Lambert, K.; Goljat, E.; Brull, E.A.; Rauld, C.; Balazs, Z.; Krauthammer, M.; et al. Innate acting memory Th1 cells modulate heterologous diseases. Proc. Natl. Acad. Sci. USA 2024, 121, e2312837121. [Google Scholar] [CrossRef]
- Li, J.; Hsu, K.S.; Howe, S.E.; Hoang, T.; Xia, Z.; Berzofsky, J.A.; Sui, Y. Sex-biased immunogenicity of a mucosal subunit vaccine against SARS-CoV-2 in mice. Front. Immunol. 2024, 15, 1386243. [Google Scholar] [CrossRef]
- Tang, X.; Mao, X.; Ling, P.; Yu, M.; Pan, H.; Wang, J.; Liu, M.; Pan, H.; Qiu, W.; Che, N.; et al. Glycolysis inhibition induces anti-tumor central memory CD8+T cell differentiation upon combination with microwave ablation therapy. Nat. Commun. 2024, 15, 4665. [Google Scholar] [CrossRef]
- Tepale-Segura, A.; Gajón, J.A.; Muñoz-Cruz, S.; Castro-Escamilla, O.; Bonifaz, L.C. The cholera toxin B subunit induces trained immunity in dendritic cells and promotes CD8 T cell antitumor immunity. Front. Immunol. 2024, 15, 1362289. [Google Scholar] [CrossRef]
- Vránová, L.; Poláková, I.; Vaníková, Š.; Saláková, M.; Musil, J.; Vaníčková, M.; Vencálek, O.; Holub, M.; Bohoněk, M.; Řezáč, D.; et al. Multiparametric analysis of the specific immune response against SARS-CoV-2. Infect. Dis. 2024, 56, 851–869. [Google Scholar] [CrossRef]
- Shen, M.; Guo, L.; Zhang, H.; Zheng, B.; Liu, X.; Gu, J.; Yang, T.; Sun, C.; Yi, X. Differential reinforcement of cGAS-STING pathway-involved immunotherapy by biomineralized bacterial outer membrane-sensitized EBRT and RNT. J. Nanobiotechnology 2024, 22, 310. [Google Scholar] [CrossRef]
- Nasr, M.B.; Usuelli, V.; Dellepiane, S.; Seelam, A.J.; Fiorentino, T.V.; D’Addio, F.; Fiorina, E.; Xu, C.; Xie, Y.; Balasubramanian, H.B.; et al. Glucagon-like peptide 1 receptor is a T cell-negative costimulatory molecule. Cell Metab. 2024, 36, 1302–1319.e12. [Google Scholar] [CrossRef] [PubMed]
- Jiang, K.; Zhang, F.; Chen, Y.; Li, X.; Zhao, X.; Jiang, P.; Li, Y. Fosfenopril Attenuates Inflammatory Response in Diabetic Dry Eye Models by Inhibiting the TLR4/NF-κB/NLRP3 Signaling Pathway. Investig. Ophthalmol. Vis. Sci. 2024, 65, 2. [Google Scholar] [CrossRef] [PubMed]
- Althaus, T.; Overton, C.E.; Devaux, I.; House, T.; Lapouze, A.; Troel, A.; Vanzo, B.; Laroche, M.; Bordero, A.; Jorgensen, P.; et al. How effective is the BNT162b2 mRNA vaccine against SARS-CoV-2 transmission and infection? A national programme analysis in Monaco, July 2021 to September 2022. BMC Med. 2024, 22, 227. [Google Scholar] [CrossRef] [PubMed]
- Combes, F.; Bui, T.-H.; Pettersson, F.J.; Hak, S. Rapid and scalable detection of synthetic mRNA byproducts using polynucleotide phosphorylase and polythymidine oligonucleotides. RNA Biol. 2024, 21, 665–672. [Google Scholar] [CrossRef]
- Opsomer, L.; Jana, S.; Mertens, I.; Cui, X.; Hoogenboom, R.; Sanders, N.N. Efficient in vitro and in vivo transfection of self-amplifying mRNA with linear poly(propylenimine) and poly(ethylenimine-propylenimine) random copolymers as non-viral carriers. J. Mater. Chem. B 2024, 12, 3927–3946. [Google Scholar] [CrossRef]
- Zhang, X.; Wang, K.; Zhao, Z.; Shan, X.; Wang, Y.; Feng, Z.; Li, B.; Luo, C.; Chen, X.; Sun, J. Self-Adjuvanting Polyguanidine Nanovaccines for Cancer Immunotherapy. ACS Nano 2024, 18, 7136–7147. [Google Scholar] [CrossRef]
- Mahaling, B.; Roy, C.; Ghosh, S. Silk-gelatin hybrid hydrogel: A potential carrier for RNA therapeutics. J. Mater. Chem. B 2024, 12, 6203–6220. [Google Scholar] [CrossRef]
- Chen, Z.; Zhang, Q.; Zeng, L.; Zhang, J.; Liu, Z.; Zhang, M.; Zhang, X.; Xu, H.; Song, H.; Tao, C. Light-triggered OVA release based on CuS@poly (lactide-co-glycolide acid) nanoparticles for synergistic photothermal-immunotherapy of tumor. Pharmacol. Res. 2020, 158, 104902. [Google Scholar] [CrossRef]
- Neshat, S.Y.; Chan, C.H.R.; Harris, J.; Zmily, O.M.; Est-Witte, S.; Karlsson, J.; Shannon, S.R.; Jain, M.; Doloff, J.C.; Green, J.J.; et al. Polymeric nanoparticle gel for intracellular mRNA delivery and immunological reprogramming of tumors. Biomaterials 2023, 300, 122185. [Google Scholar] [CrossRef]










Disclaimer/Publisher’s Note: The statements, opinions and data contained in all publications are solely those of the individual author(s) and contributor(s) and not of MDPI and/or the editor(s). MDPI and/or the editor(s) disclaim responsibility for any injury to people or property resulting from any ideas, methods, instructions or products referred to in the content. |
© 2025 by the authors. Licensee MDPI, Basel, Switzerland. This article is an open access article distributed under the terms and conditions of the Creative Commons Attribution (CC BY) license (https://creativecommons.org/licenses/by/4.0/).
Share and Cite
Zhi, Y.; Wang, S.; Zhang, H.; Xue, G.; Zhang, Z. Multifunctional Polymer-Modified P-CaO2@Au@OVA@Cu@DHPs Nanoparticles Enhance SARS-CoV-2 mRNA Vaccine-Induced Immunity via the cGAS–STING Signaling Pathway. Polymers 2025, 17, 2636. https://doi.org/10.3390/polym17192636
Zhi Y, Wang S, Zhang H, Xue G, Zhang Z. Multifunctional Polymer-Modified P-CaO2@Au@OVA@Cu@DHPs Nanoparticles Enhance SARS-CoV-2 mRNA Vaccine-Induced Immunity via the cGAS–STING Signaling Pathway. Polymers. 2025; 17(19):2636. https://doi.org/10.3390/polym17192636
Chicago/Turabian StyleZhi, Yanle, Shengchao Wang, Haibo Zhang, Guimin Xue, and Zhiqiang Zhang. 2025. "Multifunctional Polymer-Modified P-CaO2@Au@OVA@Cu@DHPs Nanoparticles Enhance SARS-CoV-2 mRNA Vaccine-Induced Immunity via the cGAS–STING Signaling Pathway" Polymers 17, no. 19: 2636. https://doi.org/10.3390/polym17192636
APA StyleZhi, Y., Wang, S., Zhang, H., Xue, G., & Zhang, Z. (2025). Multifunctional Polymer-Modified P-CaO2@Au@OVA@Cu@DHPs Nanoparticles Enhance SARS-CoV-2 mRNA Vaccine-Induced Immunity via the cGAS–STING Signaling Pathway. Polymers, 17(19), 2636. https://doi.org/10.3390/polym17192636

