Alpha-Keratin, Keratin-Associated Proteins and Transglutaminase 1 Are Present in the Ortho- and Parakeratinized Epithelium of the Avian Tongue
Abstract
:1. Introduction
2. Materials and Methods
3. Results
3.1. Morphological Observation
3.2. Immunohistochemical Analysis
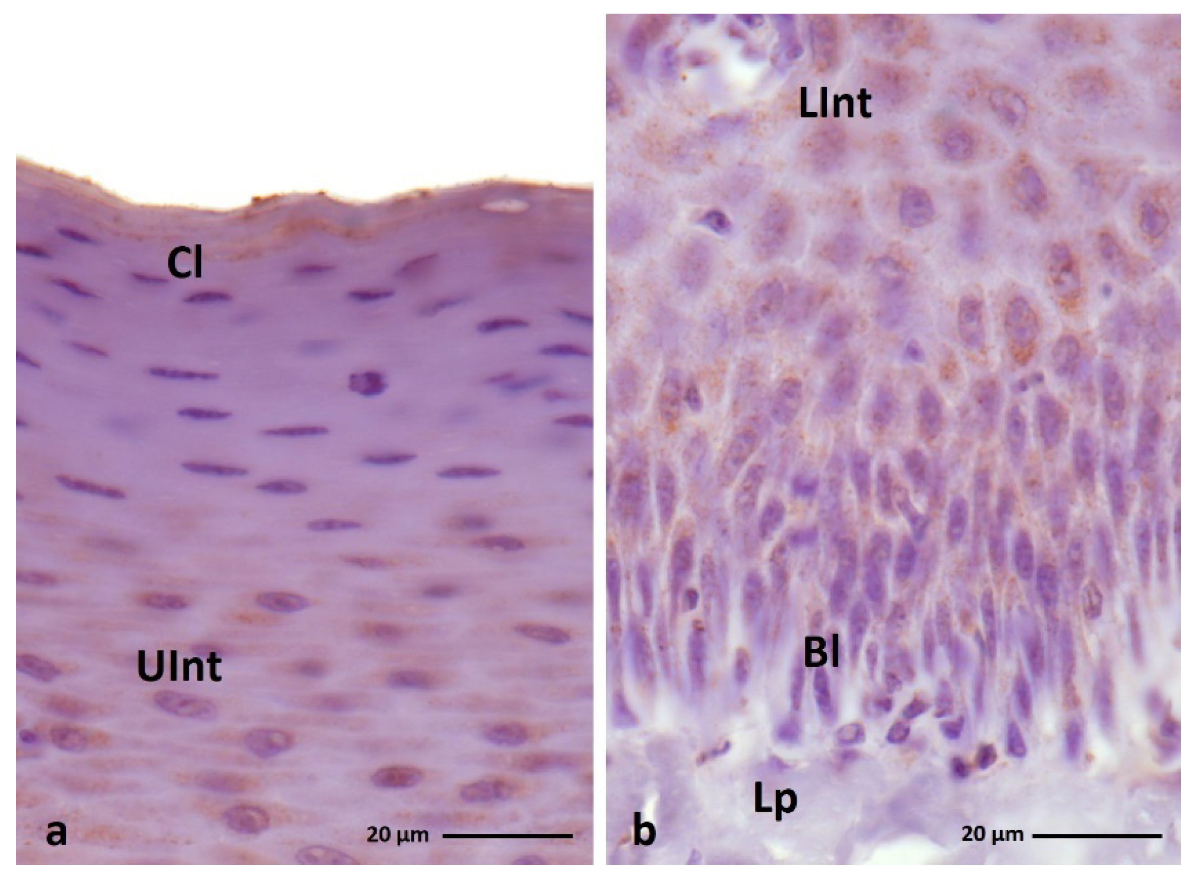
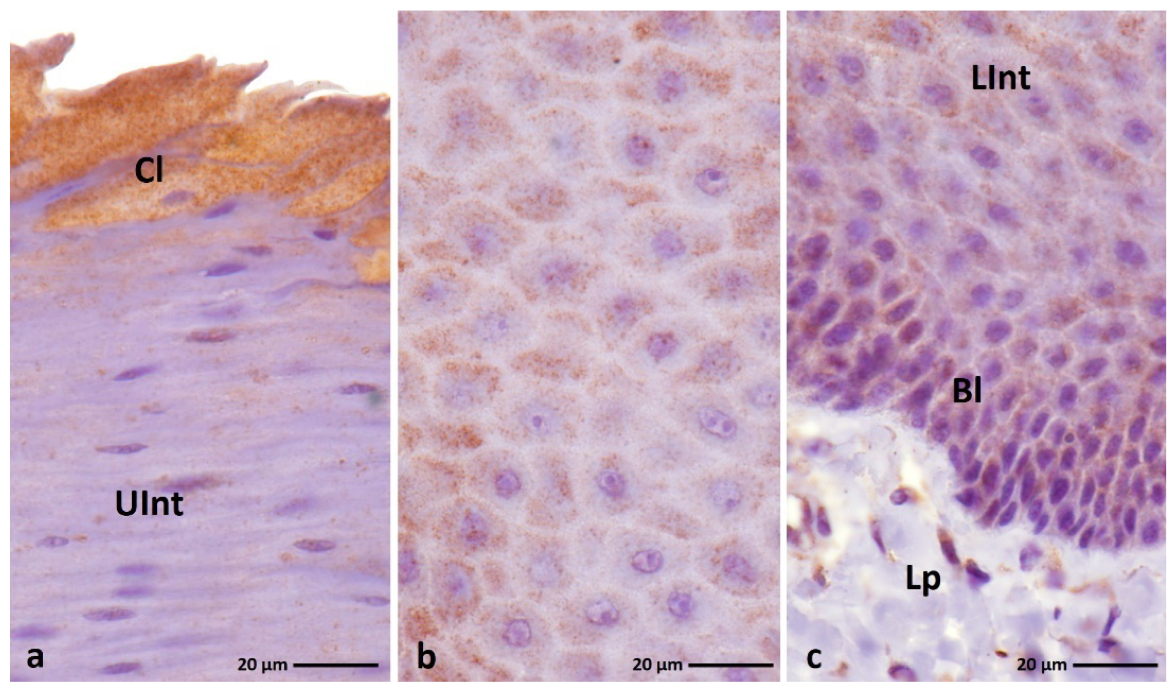
3.2.1. Alpha-Keratin Analysis
3.2.2. Filaggrin Analysis
3.2.3. Loricrin Analysis
3.2.4. TGM-1 Analysis
3.3. Western Blot Analysis
4. Discussion
5. Conclusions
Author Contributions
Funding
Informed Consent Statement
Data Availability Statement
Conflicts of Interest
References
- Alibardi, L. Adaptation to the land: The skin of reptiles in comparison to that of amphibians and endoderm amniotes. J. Exp. Zool. B Mol. Dev. Evol. 2003, 29, 12–41. [Google Scholar] [CrossRef]
- Alibardi, L. Structural and Immunocytochemical Characterization of Keratinization in Vertebrate Epidermis and Epidermal Derivatives. Int. Rev. Cytol. 2006, 253, 177–259. [Google Scholar] [CrossRef] [PubMed]
- Bragulla, H.H.; Homberger, D.G. Structure and functions of keratin proteins in simple, stratified, keratinized and cornified epithelia. J. Anat. 2009, 214, 516–559. [Google Scholar] [CrossRef] [PubMed]
- Giroud, A.; Leblond, C.P. The keratinization of epidermis and its derivates. Especially the hair, as shown by X-ray diffraction and histochemical studies. Ann. N. Y. Acad. Sci. 1951, 53, 613–626. [Google Scholar] [CrossRef] [PubMed]
- Rhodin, J.A.G.; Reith, E.J. Ultrastructure of keratin in oral mucosa, skin, esophagus, claw and hair. In Fundamentals of Keratinization; Butcher, E.O., Signnaes, R.F., Eds.; American Association for the Advancement of Science: Washington, DC, USA; pp. 61–94.
- Moll, R.; Divo, M.; Langbein, L. The human keratins: Biology and pathology. Histochem. Cell Biol. 2008, 129, 705–733. [Google Scholar] [CrossRef] [PubMed]
- Steven, A.; Bisher, M.; Roop, D.; Steinert, P. Biosynthetic pathways of filaggrin and loricrin—Two major proteins expressed by terminally differentiated epidermal keratinocytes. J. Struct. Biol. 1990, 104, 150–162. [Google Scholar] [CrossRef]
- Mack, J.W.; Steven, A.C.; Steinert, P.M. The Mechanism of Interaction of Filaggrin with Intermediate Filaments: The Ionic Zipper Hypothesis. J. Mol. Biol. 1993, 232, 50–66. [Google Scholar] [CrossRef]
- Steinert, P.M.; Marekov, L.N. The Proteins Elafin, Filaggrin, Keratin Intermediate Filaments, Loricrin, and Small Proline-rich Proteins 1 and 2 Are Isodipeptide Cross-linked Components of the Human Epidermal Cornified Cell Envelope. J. Biol. Chem. 1995, 270, 17702–17711. [Google Scholar] [CrossRef]
- Presland, R.B.; Kuechle, M.K.; Lewis, S.; Fleckman, P.; Dale, B.A. Regulated Expression of Human Filaggrin in Keratinocytes Results in Cytoskeletal Disruption, Loss of Cell–Cell Adhesion, and Cell Cycle Arrest. Exp. Cell Res. 2001, 270, 199–213. [Google Scholar] [CrossRef]
- Ishida-Yamamoto, A.; Tanaka, H.; Nakane, H.; Takahashi, H.; Iizuka, H. Antigen retrieval of loricrin epitopes at desmosomal areas of cornified cell envelopes: An immunoelectron microscopic analysis. Exp. Dermatol. 1999, 8, 402–406. [Google Scholar] [CrossRef]
- Eckert, R.L.; Sturniolo, M.T.; Broome, A.-M.; Ruse, M.; Rorke, E.A. Transglutaminase Function in Epidermis. J. Investig. Dermatol. 2005, 124, 481–492. [Google Scholar] [CrossRef] [PubMed]
- Kalinin, A.; Marekov, L.N.; Steinert, P.M. Assembly of the epidermal cornified cell envelope. J. Cell Sci. 2001, 114, 3069–3070. [Google Scholar] [CrossRef] [PubMed]
- Kypriotou, M.; Huber, M.; Hohl, D. The human epidermal differentiation complex: Cornified envelope precursors, S100 proteins and the ‘fused genes’ family. Exp. Dermatol. 2012, 21, 643–649. [Google Scholar] [CrossRef] [PubMed]
- Alibardi, L. Immunocytochemical and autoradiographic studies on the process of keratinization in avian epidermis suggests absence of keratohyalin. J. Morphol. 2004, 259, 238–253. [Google Scholar] [CrossRef] [PubMed]
- Alibardi, L.; Toni, M. Localization and Characterization of Specific Cornification Proteins in Avian Epidermis. Cells Tissues Organs 2004, 178, 204–215. [Google Scholar] [CrossRef]
- Sawyer, R.H.; Glenn, T.; French, J.O.; Mays, B.; Shames, R.B.; Barnes, G.L.; Rhodes, W.; Ishikawa, Y. The expression of beta keratins in the epidermal appendages of reptiles and birds. Am. Zool. 2000, 40, 530–539. [Google Scholar] [CrossRef]
- Farbman, A.I. The dual pattern of keratinization in filiform papillae on rat tongue. J. Anat. 1970, 106, 233–242. [Google Scholar]
- Boshel, J.; Wilborn, W.; Singh, B. Filiform Papillae of Cat Tongue. Cells Tissues Organs 1982, 114, 97–105. [Google Scholar] [CrossRef]
- Iwasaki, S.; Asami, T.; Chiba, A. Ultrastructural study of the keratinization of the dorsal epithelium of the tongue of Middedorff’s bean goose, Anser fabalis middendorfii (Anseres, Anatidae). Anat. Rec. 1997, 247, 149–163. [Google Scholar] [CrossRef]
- Jackowiak, H.; Godynicki, S. Light and scanning electron microscopic study of the tongue in the white-tailed eagle (Haliaeetus albicilla, Accipitriadae, Aves). Ann. Anat. 2005, 187, 251–259. [Google Scholar] [CrossRef]
- Jackowiak, H.; Skieresz-Szewczyk, K.; Godynicki, S.; Iwasaki, S.-I.; Meyer, W. Functional Morphology of the Tongue in the Domestic Goose (Anser Anser f. Domestica). Anat. Rec. 2011, 294, 1574–1584. [Google Scholar] [CrossRef] [PubMed]
- Skieresz-Szewczyk, K.; Jackowiak, H. Morphofunctional study of the tongue in the domestic duck (Anas platyrhynchos f. domestica, Anatidae): LM and SEM study. Zoomorphology 2016, 135, 255–268. [Google Scholar] [CrossRef] [PubMed]
- Carver, W.; Sawyer, R.H. Immunocytochemical localization and biochemical analysis of alfa and beta keratins in the avian lingual epithelium. Am. J. Anat. 1989, 184, 66–75. [Google Scholar] [CrossRef] [PubMed]
- Skieresz-Szewczyk, K.; Jackowiak, H.; Buchwald, T.; Szybowicz, M. Localization of Alpha-Keratin and Beta-Keratin (Corneous Beta Protein) in the Epithelium on the Ventral Surface of the Lingual Apex and Its Lingual Nail in the Domestic Goose (Anser Anser f. domestica) by Using Immunohistochemistry and Raman Microspectros. Anat. Rec. 2017, 300, 1361–1368. [Google Scholar] [CrossRef]
- Skieresz-Szewczyk, K.; Buchwald, T.; Szybowicz, M.; Jackowiak, H. Alpha-keratin and corneous beta protein in the parakerainized epithelium of the tongue in the domestic goose (Anser anser f. domestica). J. Exp. Zoöl. Part B Mol. Dev. Evol. 2019, 332, 158–166. [Google Scholar] [CrossRef]
- Kooloos, J. A Conveyer-Belt Model for Pecking in the Mallard (Anas Platyrhynchos L.). Neth. J. Zoöl. 1985, 36, 47–87. [Google Scholar] [CrossRef]
- Kooloos, J.G.M.; Kraaijeveld, A.R.; Langenbach, G.E.J.; Zweers, G.A. Comparative mechanics of filter feeding in Anas platyrhynchos, Anas clypeata and Aythya fuligula (Aves, Anseriformes). Zoomorphology 1989, 108, 269–290. [Google Scholar] [CrossRef]
- Bout, R.; Berkhoudt, H.; van der Leeuw, A.; Kurk, K.; Snelderwaard, P. Conflicting demands on the trophic system of Anseriformes and their evolutionary implications. Anim. Biol. 2003, 53, 259–301. [Google Scholar] [CrossRef]
- Bels, V.; Baussart, S. Feeding behaviour and mechanisms in domestic birds. In Feeding in Domestic Vertebrates: From Structure to Behavior; Bels, V., Ed.; CABI Publishing: Oxfordshire, UK, 2006; pp. 33–49. [Google Scholar]
- Romeis, B. Mikroskopische Technik; Urban and Schwarzenberg: München, Germany, 1989. [Google Scholar]
- Smith, S.A.; Dale, B.A. Immunologic Localization of Filaggrin in Human Oral Epithelia and Correlation with Keratinization. J. Investig. Dermatol. 1986, 86, 168–172. [Google Scholar] [CrossRef]
- Homberger, D.G.; Brush, A.H. Functional-morphological and biochemical correlations of the keratinized structures in the African Grey Parrot, Psittacus erithacus (Aves). Zoomorphology 1986, 106, 103–114. [Google Scholar] [CrossRef]
- Alibardi, L.; Toni, M. Immunolocalization and characterization of cornification proteins in snake epidermis. Anat. Rec. Part A Discov. Mol. Cell. Evol. Biol. 2005, 282, 138–146. [Google Scholar] [CrossRef] [PubMed]
- Alibardi, L.; Toni, M. Characterization of keratins and associated proteins involved in the cornification of crocodilian epi-dermis. Tissue Cell 2007, 39, 311–323. [Google Scholar] [CrossRef] [PubMed]
- Paladini, R.D.; Takahashi, K.; Bravo, N.S.; Coulombe, P.A. Onset of re-epithelialization after skin injury correlates with a reorganization of keratin filaments in wound edge keratinocytes: Defining a potential role for keratin 16. J. Cell Biol. 1996, 132, 381–397. [Google Scholar] [CrossRef] [PubMed]
- Meyer, W.; Schoennagel, B.; Kacza, J.; Busche, R.; Hornickel, I.N.; Hewicker-Trautwein, M.; Schnapper, A. Keratinization of the esophageal epithelium of domesticated mammals. Acta Histochem. 2013, 116, 235–242. [Google Scholar] [CrossRef] [PubMed]
- Alibardi, L. Keratinization and lipogenesis in epidermal derivatives of the zebrafinch, taeniopygia guttata castanotis (aves, passeriformes, ploecidae) during embryonic development. J. Morphol. 2001, 251, 294–308. [Google Scholar] [CrossRef]
- Calvaresi, M.; Eckhart, L.; Alibardi, L. The molecular organization of the beta-sheet region in corneous beta-proteins (be-ta-keratins) of sauropsids explains its stability and polymerization into filaments. J. Struct. Biol. 2016, 194, 282–291. [Google Scholar] [CrossRef]
- Alibardi, L.; Toni, M.; Valle, L.D. Hard cornification in reptilian epidermis in comparison to cornification in mammalian epidermis. Exp. Dermatol. 2007, 16, 961–976. [Google Scholar] [CrossRef]
- Strasser, B.; Mlitz, V.; Hermann, M.; Rice, R.H.; Eigenheer, R.A.; Alibardi, L.; Tschachler, E.; Eckhart, L. Evolutionary Origin and Diversification of Epidermal Barrier Proteins in Amniotes. Mol. Biol. Evol. 2014, 31, 3194–3205. [Google Scholar] [CrossRef]
- Alibardi, L. Sauropsids cornification is based on corneous beta-proteins, a special type of keratin-associated corneous proteins of the epidermis. J. Exp. Zool. B Mol. Dev. Evol. 2016, 326, 338–351. [Google Scholar] [CrossRef]
- Fraser, R.D.B.; Parry, D.A.D. The molecular structure of reptilian keratin. Int. J. Biol. Macromol. 1996, 19, 207–211. [Google Scholar] [CrossRef]
- Fleckman, P.; Dale, B.A.; Holbrook, K.A. Profilaggrin, a High-Molecular-Weight Precursor of Filaggrin in Human Epidermis and Cultured Keratinocytes. J. Investig. Dermatol. 1985, 85, 507–512. [Google Scholar] [CrossRef] [PubMed]
- Scott, I.R.; Harding, C.R. Studies on the synthesis and degradation of a high molecular weight, histidine-rich phosphoprotein from mammalian epidermis. Biochim. Biophys. Acta (BBA)-Protein Struct. 1981, 669, 65–78. [Google Scholar] [CrossRef]
- Steinert, P.M.; Cantieri, J.S.; Teller, D.C.; Lonsdale-Eccles, J.D.; Dale, B.A. Characterization of a class of cationic proteins that specifically interact with intermediate filaments. Proc. Natl. Acad. Sci. USA 1981, 78, 4097–4101. [Google Scholar] [CrossRef] [PubMed]
- Lynley, A.M.; Dale, B.A. The characterization of human epidermal filaggrin: A histidine-rich, keratin filament-aggregating protein. Biochim. Biophys. Acta (BBA)-Protein Struct. Mol. Enzym. 1983, 744, 28–35. [Google Scholar] [CrossRef]
- Dale, B.A.; Resing, K.A.; Lonsdale-Eccles, J.D. Filaggrin: A Keratin Filament Associated Protein. Ann. N. Y. Acad. Sci. 1985, 455, 330–342. [Google Scholar] [CrossRef]
- Skieresz-Szewczyk, K.; Jackowiak, H.; Ratajczak, M. LM and TEM study of the orthokeratinized and parakeratinized epithe-lium of the tongue in the domestic duck (Anas platyrhynchos f. domestica). Micron 2014, 67, 117–124. [Google Scholar] [CrossRef]
- Alibardi, L.; Toni, M. Immuno-Cross reactivity of transglutaminase and cornification marker proteins in the epidermis of vertebrates suggests common processes of soft cornification across species. J. Exp. Zoöl. 2004, 302, 526–549. [Google Scholar] [CrossRef]
- Hohl, D.; Mehrel, T.; Lichti, U.; Turner, M.L.; Roop, D.R.; Steinert, P.M. Characterization of human loricrin. Structure and function of a new class of epidermal cell envelope proteins. J. Biol. Chem. 1991, 266, 6626–6636. [Google Scholar] [CrossRef]
- Hohl, D.; Ruf Olano, B.; de Viragh, P.A.; Huber, M.; Detrisac, C.J.; Schnyder, U.W.; Roop, D.R. Expression patterns of loricrin in various species and tissues. Differentiation 1993, 54, 25–34. [Google Scholar] [CrossRef]
- Parenteau, N.L.; Pilato, A.; Rice, R.H. Induction of keratinocyte type-I transglutaminase in epithelial cells of the rat. Differentiation 1986, 33, 130–141. [Google Scholar] [CrossRef]
- Ta, B.M.; Gallagher, G.T.; Chakravarty, R.; Rice, R.H. Keratinocyte transglutaminase in human skin and oral mucosa: Cyto-plasmic localization and uncoupling of differentiation markers. J. Cell Sci. 1990, 95, 631–638. [Google Scholar] [CrossRef] [PubMed]
- Kim, S.Y.; Chung, S.I.; Yoneda, K.; Steinert, P.M. Expression of transglutaminase 1 in human epidermis. J. Investig. Dermatol. 1995, 104, 211–217. [Google Scholar] [CrossRef] [PubMed]
- Kim, I.; McBride, O.; Wang, M.; Kim, S.; Idler, W.; Steinert, P. Structure and organization of the human transglutaminase 1 gene. J. Biol. Chem. 1992, 267, 7710–7717. [Google Scholar] [CrossRef]
- Goldsmith, L.A. Human epidermal transglutaminase. J. Investig. Dermatol. 1983, 80, 39–41. [Google Scholar] [CrossRef] [PubMed]
- Menon, G.K.; Grayson, S.; Elias, P.M. Ionic Calcium Reservoirs in Mammalian Epidermis: Ultrastructural Localization by Ion-Capture Cytochemistry. J. Investig. Dermatol. 1985, 84, 508–512. [Google Scholar] [CrossRef]






















| Orthokeratinized Epithelium | ||||
| Species | Basal Layer | Intermediate Layer | Cornified Layer | |
| Lower Part | Upper Part | |||
| Duck | +++ | +++ | +++ | + |
| Goose | +++ | +++ | +++ | + |
| Turkey | +++ | +++ | +++ | + |
| Parakeratinized Epithelium | ||||
| Species | Basal Layer | Intermediate Layer | Cornified Layer | |
| Lower Part | Upper Part | |||
| Duck | +++ | +++ | +++ | ++/+++ |
| Goose | +++ | +++ | +++ | ++/+++ |
| Turkey | ++ | +++ | +++ | ++/+++ |
| Orthokeratinized Epithelium | ||||
| Species | Basal Layer | Intermediate Layer | Cornified Layer | |
| Lower Part | Upper Part | |||
| Duck | − | − | ++ | − |
| Goose | − | ++ | −/+/++ | − |
| Turkey | − | − | + | − |
| Parakeratinized Epithelium | ||||
| Species | Basal Layer | Intermediate Layer | Cornified Layer | |
| Lower Part | Upper Part | |||
| Duck | + | + | + | −/+ |
| Goose | + | + | + | +/++ |
| Turkey | − | + | −/+ | −/+ |
| Orthokeratinized Epithelium | ||||
| Species | Basal Layer | Intermediate Layer | Cornified Layer | |
| Lower Part | Upper Part | |||
| Duck | + | ++ | +++ | + |
| Goose | + | +++ | +++ | + |
| Turkey | + | + | +++ | + |
| Parakeratinized Epithelium | ||||
| Species | Basal Layer | Intermediate Layer | Cornified Layer | |
| Lower Part | Upper Part | |||
| Duck | ++ | ++ | ++ | +/++ |
| Goose | ++ | ++ | +/++ | +/++ |
| Turkey | + | ++ | +/++ | + |
| Orthokeratinized Epithelium | ||||
| Species | Basal Layer | Intermediate Layer | Cornified Layer | |
| Lower Part | Upper Part | |||
| Duck | + | + | ++ | + |
| Goose | + | + | ++ | + |
| Turkey | + | + | ++ | + |
| Parakeratinized Epithelium | ||||
| Species | Basal Layer | Intermediate Layer | Cornified Layer | |
| Lower Part | Upper Part | |||
| Duck | + | + | + | ++ |
| Goose | − | − | − | −/++ |
| Turkey | − | + | + | + |
| Orthokeratinized Epithelium | Parakeratinized Epithelium | |||||
| Duck | Goose | Turkey | Duck | Goose | Turkey | |
| Alfa-keratin | 45 kDa (+++) 57–60 kDa (+) | 45–47 kDa (+++) 57–60 kDa (++) | ||||
| Filaggrin | 30 and 110 kDa (+++) | 30 kDa (+++) | ||||
| 100 kDa (+++) | 230 kDa (+++) | 70 and 110 kDa (+++) | ||||
| 20 kDa (+) | ||||||
| 20 kDa (+) | 220 and 230 kDa (+) | |||||
| Loricrin | 33–35 kDa (+++) 60 and 100 kDa (++) | 33–35 kDa (+++) 100 kDa (+) | ||||
| 80 kDa (+) | 30 kDa (+++) | |||||
| TGM-1 | 150 kDa (+++) | 50 kDa (+) | 80 kDa (+) | |||
Publisher’s Note: MDPI stays neutral with regard to jurisdictional claims in published maps and institutional affiliations. |
© 2022 by the authors. Licensee MDPI, Basel, Switzerland. This article is an open access article distributed under the terms and conditions of the Creative Commons Attribution (CC BY) license (https://creativecommons.org/licenses/by/4.0/).
Share and Cite
Skieresz-Szewczyk, K.; Jackowiak, H.; Skrzypski, M. Alpha-Keratin, Keratin-Associated Proteins and Transglutaminase 1 Are Present in the Ortho- and Parakeratinized Epithelium of the Avian Tongue. Cells 2022, 11, 1899. https://doi.org/10.3390/cells11121899
Skieresz-Szewczyk K, Jackowiak H, Skrzypski M. Alpha-Keratin, Keratin-Associated Proteins and Transglutaminase 1 Are Present in the Ortho- and Parakeratinized Epithelium of the Avian Tongue. Cells. 2022; 11(12):1899. https://doi.org/10.3390/cells11121899
Chicago/Turabian StyleSkieresz-Szewczyk, Kinga, Hanna Jackowiak, and Marek Skrzypski. 2022. "Alpha-Keratin, Keratin-Associated Proteins and Transglutaminase 1 Are Present in the Ortho- and Parakeratinized Epithelium of the Avian Tongue" Cells 11, no. 12: 1899. https://doi.org/10.3390/cells11121899
APA StyleSkieresz-Szewczyk, K., Jackowiak, H., & Skrzypski, M. (2022). Alpha-Keratin, Keratin-Associated Proteins and Transglutaminase 1 Are Present in the Ortho- and Parakeratinized Epithelium of the Avian Tongue. Cells, 11(12), 1899. https://doi.org/10.3390/cells11121899

