The authors wish to make the following changes to their paper [1]. Unfortunately, they made a mistake in selecting the pictures in Figure 1A (marked in red).
Figure 1 should be changed from:

To

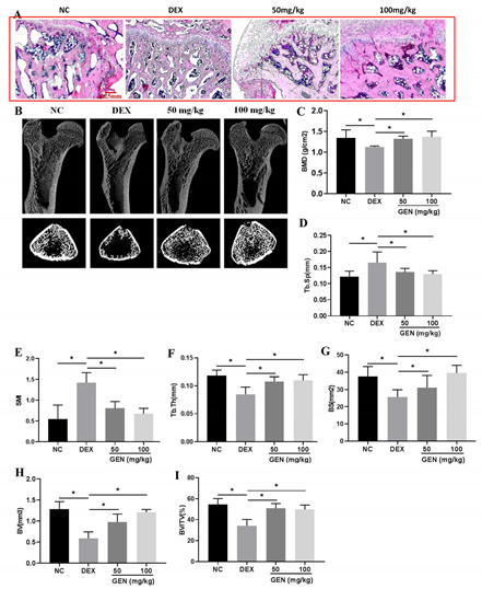
The figures in Figure 1A were totally exchanged in the four groups, i.e., the NC group, the DEX group, the DEX + 50 mg/kg group, and the DEX+100 mg/kg group. In the DEX-treated group, the bone trabecula was disordered and thinner than that in the NC group. GEN at the concentrations of 50 mg/kg and 100 mg/kg could effectively neutralize DEX-induced histopathological changes.
The changes also support the original scientific results published in Cells [1]. This correction was approved by the Academic Editor. The original publication has also been updated. The authors would like to apologize for any inconvenience caused to the readers by these changes.
Reference
- Zheng, Y.; Xiao, Y.; Zhang, D.; Zhang, S.; Ouyang, J.; Li, L.; Shi, W.; Zhang, R.; Liu, H.; Jin, Q.; et al. Geniposide Ameliorated Dexamethasone-Induced Cholesterol Accumulation in Osteoblasts by Mediating the GLP-1R/ABCA1 Axis. Cells 2021, 10, 3424. [Google Scholar] [CrossRef]
Publisher’s Note: MDPI stays neutral with regard to jurisdictional claims in published maps and institutional affiliations. |
© 2022 by the authors. Licensee MDPI, Basel, Switzerland. This article is an open access article distributed under the terms and conditions of the Creative Commons Attribution (CC BY) license (https://creativecommons.org/licenses/by/4.0/).