A Gelatin Hydrogel Nonwoven Fabric Enhances Subcutaneous Islet Engraftment in Rats
Abstract
:1. Introduction
2. Materials and Methods
2.1. Animals
2.2. The Induction and Diagnosis of Diabetes in the Recipients
2.3. Islet Isolation
2.4. Preparation of a Gelatin Hydrogel Nonwoven Fabric and Islet Transplantation
2.5. Intravenous Glucose Tolerance Test
2.6. Immunohistochemical Analyses
2.7. Islet Evaluation
2.8. Lectin Angiography
2.9. Statistical Analyses
3. Results
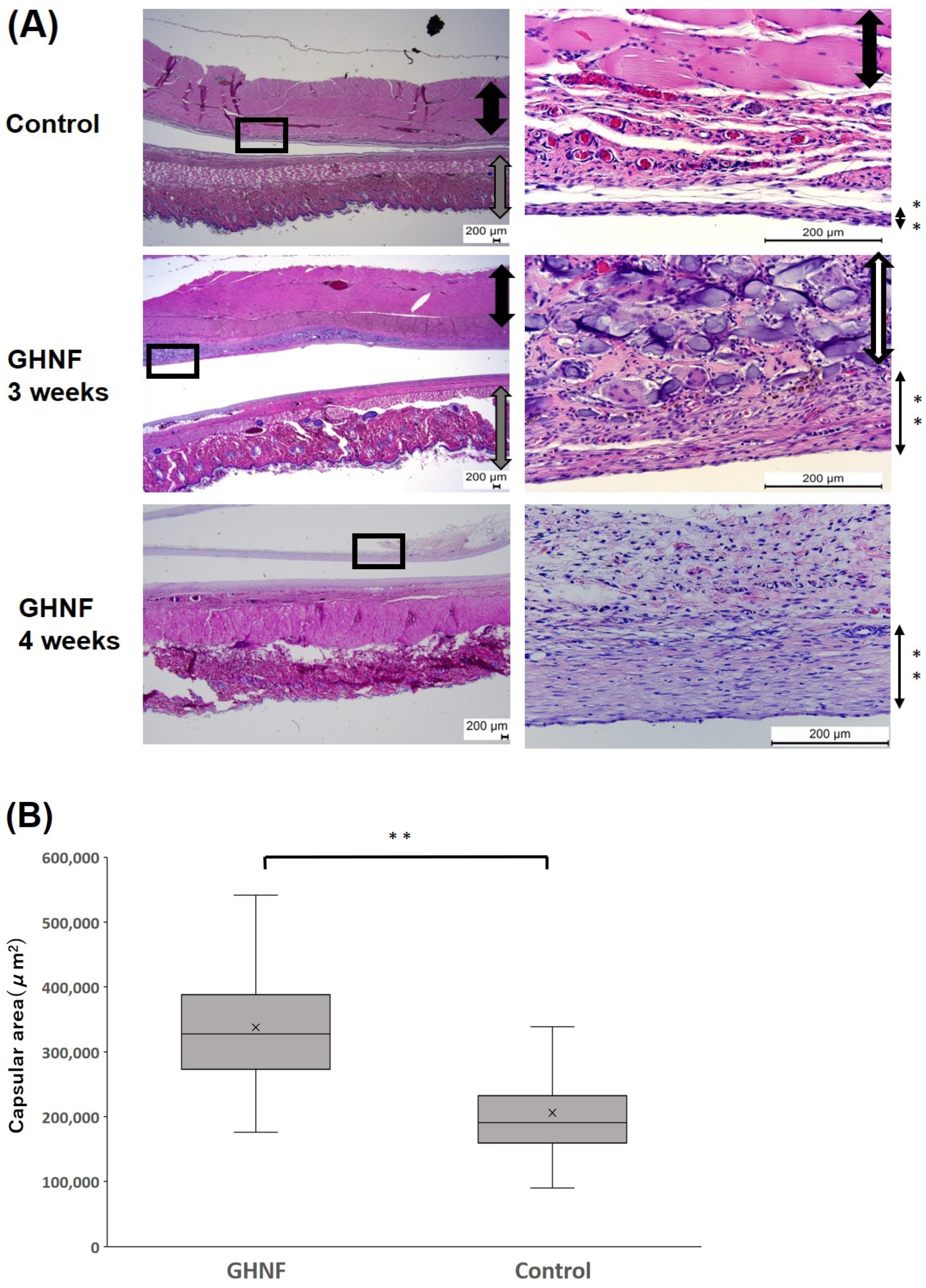
3.1. Time-Course Changes of GHNF Absorption under the Subcutaneous Space
3.2. The Comparison of Islet Engraftment after Marginal Islet Mass Transplantation between the GHNF and Control Groups
3.3. Intravenous Glucose Tolerance Test
3.4. Immunohistochemical Analyses
3.5. Islet Evaluation
3.6. Quantification of the Vascular Volume Using Lectin Angiography
4. Discussion
5. Conclusions
Author Contributions
Funding
Institutional Review Board Statement
Informed Consent Statement
Data Availability Statement
Acknowledgments
Conflicts of Interest
References
- Pepper, A.R.; Pawlick, R.; Bruni, A.; Wink, J.; Rafiei, Y.; O’gorman, D.; Yan-Do, R.; Gala-Lopez, B.; Kin, T.; MacDonald, P.E.; et al. Transplantation of human pancreatic endoderm cells reverses diabetes post transplantation in a prevascularized subcutaneous site. Stem Cell Rep. 2017, 8, 1689–1700. [Google Scholar] [CrossRef] [PubMed]
- Rajab, A. Islet transplantation: Alternative sites. Curr. Diabetes Rep. 2010, 10, 332–337. [Google Scholar] [CrossRef] [PubMed]
- Yasunami, Y.; Nakafusa, Y.; Nitta, N.; Nakamura, M.; Goto, M.; Ono, J.; Taniguchi, M. A Novel Subcutaneous Site of Islet Transplantation Superior to the Liver. Transplantation 2018, 102, 945–952. [Google Scholar] [CrossRef] [PubMed]
- Pepper, A.R.; Gala-Lopez, B.; Pawlick, R.; Merani, S.; Kin, T.; Shapiro, A.M.J. A prevascularized subcutaneous device-less site for islet and cellular transplantation. Nat. Biotechnol. 2015, 33, 518–523. [Google Scholar] [CrossRef] [PubMed]
- Pileggi, A.; Molano, R.D.; Ricordi, C.; Zahr, E.; Collins, J.; Valdes, R.; Inverardi, L. Reversal of Diabetes by Pancreatic Islet Transplantation into a Subcutaneous, Neovascularized Device. Transplantation 2006, 81, 1318–1324. [Google Scholar] [CrossRef] [PubMed]
- Ajima, K.; Tsuda, N.; Takaki, T.; Furusako, S.; Matsumoto, S.; Shinohara, K.; Yamashita, Y.; Amano, S.; Oyama, C.; Shimoda, M. A porcine islet-encapsulation device that enables long-term discordant xenotransplantation in immunocompetent diabetic mice. Cell Rep. Methods 2023, 3, 100370. [Google Scholar] [CrossRef] [PubMed]
- Mahou, R.; Zhang, D.K.; Vlahos, A.E.; Sefton, M.V. Injectable and inherently vascularizing semi-interpenetrating polymer network for delivering cells to the subcutaneous space. Biomaterials 2017, 131, 27–35. [Google Scholar] [CrossRef]
- Song, W.; Chiu, A.; Wang, L.-H.; Schwartz, R.E.; Li, B.; Bouklas, N.; Bowers, D.T.; An, D.; Cheong, S.H.; Flanders, J.A.; et al. Engineering transferrable microvascular meshes for subcutaneous islet transplantation. Nat. Commun. 2019, 10, 4602. [Google Scholar] [CrossRef]
- Vlahos, A.E.; Cober, N.; Sefton, M.V. Modular tissue engineering for the vascularization of subcutaneously transplanted pancreatic islets. Proc. Natl. Acad. Sci. USA 2017, 114, 9337–9342. [Google Scholar] [CrossRef]
- Perez-Basterrechea, M.; Esteban, M.M.; Alvarez-Viejo, M.; Fontanil, T.; Cal, S.; Pitiot, M.S.; Otero, J.; Obaya, A.J. Fibroblasts accelerate islet revascularization and improve long-term graft survival in a mouse model of subcutaneous islet transplantation. PLoS ONE 2017, 12, e0180695. [Google Scholar] [CrossRef]
- Smink, A.M.; Li, S.; Hertsig, D.T.; de Haan, B.J.; Schwab, L.; van Apeldoorn, A.A.; de Koning, E.; Faas, M.M.; Lakey, J.R.; de Vos, P. The Efficacy of a Prevascularized, Retrievable Poly(D,L,-lactide-co-ε-caprolactone) Subcutaneous Scaffold as Transplantation Site for Pancreatic Islets. Transplantation 2017, 101, e112–e119. [Google Scholar] [CrossRef] [PubMed]
- Saito, R.; Inagaki, A.; Nakamura, Y.; Imura, T.; Kanai, N.; Mitsugashira, H.; Endo, Y.; Katano, T.; Suzuki, S.; Tokodai, K.; et al. Ideal Duration of Pretreatment Using a Gelatin Hydrogel Nonwoven Fabric Prior to Subcutaneous Islet Transplantation. Cell Transplant. 2023, 32, 09636897231186063. [Google Scholar] [CrossRef] [PubMed]
- Pepper, A.R.; Pawlick, R.; Gala-Lopez, B.; MacGillivary, A.; Mazzuca, D.M.; White, D.J.G.; Toleikis, P.M.; Shapiro, A.M.J. Diabetes Is Reversed in a Murine Model by Marginal Mass Syngeneic Islet Transplantation Using a Subcutaneous Cell Pouch Device. Transplantation 2015, 99, 2294–2300. [Google Scholar] [CrossRef] [PubMed]
- Kanai, N.; Inagaki, A.; Nakamura, Y.; Imura, T.; Mitsugashira, H.; Saito, R.; Miyagi, S.; Watanabe, K.; Kamei, T.; Unno, M.; et al. A gelatin hydrogel nonwoven fabric improves outcomes of subcutaneous islet transplantation. Sci. Rep. 2023, 13, 11968. [Google Scholar] [CrossRef]
- Uematsu, S.S.; Inagaki, A.; Nakamura, Y.; Imura, T.; Igarashi, Y.; Fathi, I.; Miyagi, S.; Ohuchi, N.; Satomi, S.; Goto, M. The Optimization of the Prevascularization Procedures for Improving Subcutaneous Islet Engraftment. Transplantation 2018, 102, 387–395. [Google Scholar] [CrossRef]
- Nakamura, K.; Saotome, T.; Shimada, N.; Matsuno, K.; Tabata, Y. A Gelatin Hydrogel Nonwoven Fabric Facilitates Metabolic Activity of Multilayered Cell Sheets. Tissue Eng. Part C Methods 2019, 25, 344–352. [Google Scholar] [CrossRef]
- Matsuno, K.; Saotome, T.; Shimada, N.; Nakamura, K.; Tabata, Y. Effect of cell seeding methods on the distribution of cells into the gelatin hydrogel nonwoven fabric. Regen. Ther. 2020, 14, 160–164. [Google Scholar] [CrossRef]
- Vlahos, A.E.; Talior-Volodarsky, I.; Kinney, S.M.; Sefton, M.V. A scalable device-less biomaterial approach for subcutaneous islet transplantation. Biomaterials 2021, 269, 120499. [Google Scholar] [CrossRef]
- Bayne, K. Revised Guide for the Care and Use of Laboratory Animals available. American Physiological Society. Physiologist 1996, 39, 199. [Google Scholar]
- Dendo, M.; Maeda, H.; Yamagata, Y.; Murayama, K.; Watanabe, K.; Imura, T.; Inagaki, A.; Igarashi, Y.; Katoh, Y.; Ebina, M.; et al. Synergistic Effect of Neutral Protease and Clostripain on Rat Pancreatic Islet Isolation. Transplantation 2015, 99, 1349–1355. [Google Scholar] [CrossRef]
- Pacini, G.; Ahrén, M.; Ahrén, B. Reappraisal of the intravenous glucose tolerance index for a simple assessment of insulin sensitivity in mice. Am. J. Physiol.-Regul. Integr. Comp. Physiol. 2009, 296, R1316–R1324. [Google Scholar] [CrossRef] [PubMed]
- Schneider, C.A.; Rasband, W.S.; Eliceiri, K.W. NIH Image to ImageJ: 25 years of image analysis. Nat. Methods 2012, 9, 671–675. [Google Scholar] [CrossRef] [PubMed]
- Robertson, R.T.; Levine, S.T.; Haynes, S.M.; Gutierrez, P.; Baratta, J.L.; Tan, Z.; Longmuir, K.J. Use of labeled tomato lectin for imaging vasculature structures. Histochem. Cell Biol. 2015, 143, 225–234. [Google Scholar] [CrossRef] [PubMed]
- Nozawa-Inoue, K.; Harada, F.; Magara, J.; Ohazama, A.; Maeda, T. Contribution of synovial lining cells to synovial vascularization of the rat temporomandibular joint. J. Anat. 2016, 228, 520–529. [Google Scholar] [CrossRef] [PubMed]
- Kawakami, Y.; Iwata, H.; Gu, Y.; Miyamoto, M.; Murakami, Y.; Yamasaki, T.; Cui, W.; Ikada, Y.; Imamura, M.; Inoue, K. Modified subcutaneous tissue with neovascularization is useful as the site for pancreatic islet transplantation. Cell Transplant. 2000, 9, 729–732. [Google Scholar] [CrossRef] [PubMed]
- Cristante, J.; Tubbs, E.; Benhamou, P.-Y.; Lablanche, S. Oxygenation and vascularization of pancreatic islet graft: An overview. Trends Transplant. 2021, 14, 1–15. [Google Scholar] [CrossRef]
- Patikova, A.; Vojtiskova, A.; Fabryova, E.; Kosinova, L.; Heribanova, A.; Sticova, E.; Berkova, Z.; Hladikova, Z.; Kriz, J. The Optimal Maturation of Subcutaneous Pouch Can Improve Pancreatic Islets Engraftment in Rat Model. Transplantation 2022, 106, 531–542. [Google Scholar] [CrossRef]
- Cross, S.E.; Vaughan, R.H.; Willcox, A.J.; McBride, A.J.; Abraham, A.A.; Han, B.; Johnson, J.D.; Maillard, E.; Bateman, P.A.; Ramracheya, R.D.; et al. Key Matrix Proteins within the Pancreatic Islet Basement Membrane Are Differentially Digested during Human Islet Isolation. Am. J. Transplant. 2017, 17, 451–461. [Google Scholar] [CrossRef]
- Hughes, S.J.; Clark, A.; McShane, P.; Contractor, H.H.; Gray, D.W.; Johnson, P.R. Characterisation of collagen VI within the islet-exocrine interface of the human pancreas: Implications for clinical islet isolation? Transplantation 2006, 81, 423–426. [Google Scholar] [CrossRef]
- Aamodt, K.I.; Powers, A.C. Signals in the pancreatic islet microenvironment influence β-cell proliferation. Diabetes Obes. Metab. 2017, 19 (Suppl. 1), 124–136. [Google Scholar] [CrossRef]
- Cheng, J.Y.; Raghunath, M.; Whitelock, J.; Poole-Warren, L. Matrix components and scaffolds for sustained islet function. Tissue Eng. Part B Rev. 2011, 17, 235–247. [Google Scholar] [CrossRef] [PubMed]
- Gordon, S. Alternative activation of macrophages. Nat. Rev. Immunol. 2003, 3, 23–35. [Google Scholar] [CrossRef] [PubMed]
- Hughes, A.; Mohanasundaram, D.; Kireta, S.; Jessup, C.F.; Drogemuller, C.J.; Coates, P.T.H. Insulin-Like growth factor-II (IGF-II) prevents proinflammatory cytokine-induced apoptosis and significantly improves islet survival after transplantation. Transplantation 2013, 95, 671–678. [Google Scholar] [CrossRef] [PubMed]
- Robitaille, R.; Dusseault, J.; Henley, N.; Rosenberg, L.; Hallé, J.-P. Insulin-like growth factor II allows prolonged blood glucose normalization with a reduced islet cell mass transplantation. Endocrinology 2003, 144, 3037–3045. [Google Scholar] [CrossRef] [PubMed]
- Jiao, C.; Adler, K.; Liu, X.; Sun, W.; Mullins, R.F.; Sohn, E.H. Visualization of mouse choroidal and retinal vasculature using fluorescent tomato lectin perfusion. Transl. Vis. Sci. Technol. 2020, 9, 1. [Google Scholar] [CrossRef] [PubMed]
- Tokodai, K.; Goto, M.; Inagaki, A.; Nakanishi, W.; Okada, N.; Okada, H.; Satomi, S. C5a-inhibitory peptide combined with gabexate mesilate prevents the instant blood-mediated inflammatory reaction in a rat model of islet transplantation. Transplant. Proc. 2010, 42, 2102–2103. [Google Scholar] [CrossRef] [PubMed]
- Moon, M.H.; Kim, S.Y.; Kim, Y.J.; Kim, S.J.; Lee, J.B.; Bae, Y.C.; Sung, S.M.; Jung, J.S. Human adipose tissue-derived mesenchymal stem cells improve postnatal neovascularization in a mouse model of hindlimb ischemia. Cell. Physiol. Biochem. 2006, 17, 279–290. [Google Scholar] [CrossRef]
- Cao, Y.; Sun, Z.; Liao, L.; Meng, Y.; Han, Q.; Zhao, R.C. Human adipose tissue-derived stem cells differentiate into endothelial cells in vitro and improve postnatal neovascularization in vivo. Biochem. Biophys. Res. Commun. 2005, 332, 370–379. [Google Scholar] [CrossRef]
- Yamashita, M.; Adachi, T.; Adachi, T.; Ono, S.; Matsumura, N.; Maekawa, K.; Sakai, Y.; Hidaka, M.; Kanetaka, K.; Kuroki, T.; et al. Subcutaneous transplantation of engineered islet/adipose-derived mesenchymal stem cell sheets in diabetic pigs with total pancreatectomy. Regen. Ther. 2021, 16, 42–52. [Google Scholar] [CrossRef]
- Dong, L.; Li, X.; Leng, W.; Guo, Z.; Cai, T.; Ji, X.; Xu, C.; Zhu, Z.; Lin, J. Adipose stem cells in tissue regeneration and repair: From bench to bedside. Regen. Ther. 2023, 24, 547–560. [Google Scholar] [CrossRef]







Disclaimer/Publisher’s Note: The statements, opinions and data contained in all publications are solely those of the individual author(s) and contributor(s) and not of MDPI and/or the editor(s). MDPI and/or the editor(s) disclaim responsibility for any injury to people or property resulting from any ideas, methods, instructions or products referred to in the content. |
© 2023 by the authors. Licensee MDPI, Basel, Switzerland. This article is an open access article distributed under the terms and conditions of the Creative Commons Attribution (CC BY) license (https://creativecommons.org/licenses/by/4.0/).
Share and Cite
Saito, R.; Inagaki, A.; Nakamura, Y.; Imura, T.; Kanai, N.; Mitsugashira, H.; Endo Kumata, Y.; Katano, T.; Suzuki, S.; Tokodai, K.; et al. A Gelatin Hydrogel Nonwoven Fabric Enhances Subcutaneous Islet Engraftment in Rats. Cells 2024, 13, 51. https://doi.org/10.3390/cells13010051
Saito R, Inagaki A, Nakamura Y, Imura T, Kanai N, Mitsugashira H, Endo Kumata Y, Katano T, Suzuki S, Tokodai K, et al. A Gelatin Hydrogel Nonwoven Fabric Enhances Subcutaneous Islet Engraftment in Rats. Cells. 2024; 13(1):51. https://doi.org/10.3390/cells13010051
Chicago/Turabian StyleSaito, Ryusuke, Akiko Inagaki, Yasuhiro Nakamura, Takehiro Imura, Norifumi Kanai, Hiroaki Mitsugashira, Yukiko Endo Kumata, Takumi Katano, Shoki Suzuki, Kazuaki Tokodai, and et al. 2024. "A Gelatin Hydrogel Nonwoven Fabric Enhances Subcutaneous Islet Engraftment in Rats" Cells 13, no. 1: 51. https://doi.org/10.3390/cells13010051
APA StyleSaito, R., Inagaki, A., Nakamura, Y., Imura, T., Kanai, N., Mitsugashira, H., Endo Kumata, Y., Katano, T., Suzuki, S., Tokodai, K., Kamei, T., Unno, M., Watanabe, K., Tabata, Y., & Goto, M. (2024). A Gelatin Hydrogel Nonwoven Fabric Enhances Subcutaneous Islet Engraftment in Rats. Cells, 13(1), 51. https://doi.org/10.3390/cells13010051

