The Cumulative Detrimental Effect of COVID-19 Pneumonia in a Patient with Myasthenic Crisis: A Case Report and Overview of the Literature
Abstract
:Simple Summary
Abstract
1. Introduction
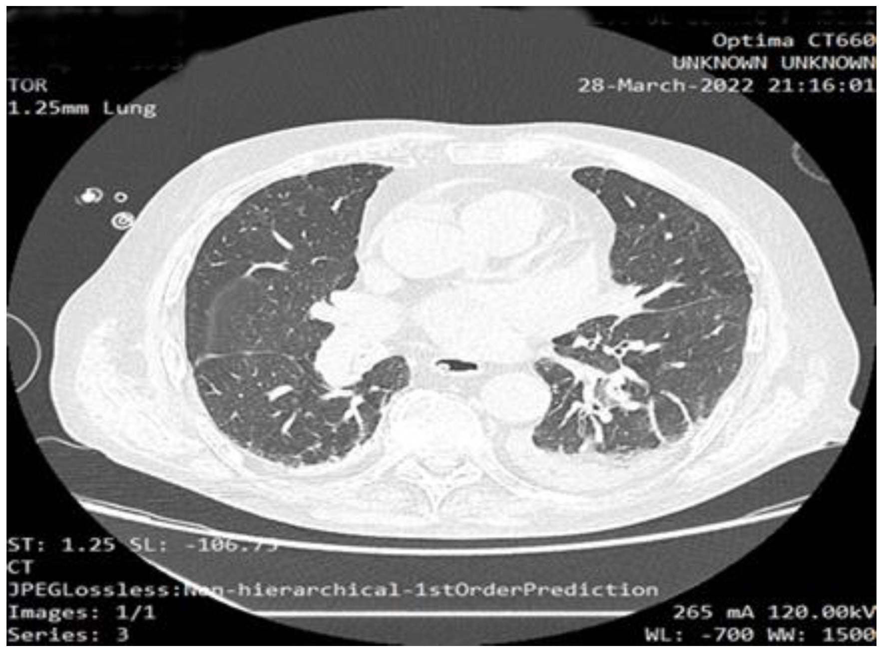
2. Case Report
3. Discussion
4. Conclusions
Author Contributions
Funding
Institutional Review Board Statement
Informed Consent Statement
Data Availability Statement
Conflicts of Interest
References
- Silvestri, N.J.; Wolfe, G.I. Myasthenia Gravis. Semin. Neurol. 2012, 32, 215–226. [Google Scholar] [CrossRef]
- Jayam Trouth, A.; Dabi, A.; Solieman, N.; Kurukumbi, M.; Kalyanam, J. Myasthenia Gravis: A Review. Autoimmune Dis. 2012, 2012, 874680. [Google Scholar] [CrossRef]
- Hehir, M.K.; Silvestri, N.J. Generalized Myasthenia Gravis: Classification, Clinical Presentation, Natural History, and Epidemiology. Neurol. Clin. 2018, 36, 253–260. [Google Scholar] [CrossRef]
- Stetefeld, H.; Schroeter, M. SOP Myasthenic Crisis. Neurol. Res. Pract. 2019, 1, 19. [Google Scholar] [CrossRef]
- Wendell, L.C.; Levine, J.M. Myasthenic Crisis. Neurohospitalist 2011, 1, 16–22. [Google Scholar] [CrossRef]
- Punga, D.; Isac, S.; Paraipan, C.; Cotorogea, M.; Stefan, A.; Cobilinschi, C.; Vacaroiu, I.A.; Tulin, R.; Ionescu, D.; Droc, G. Impact of COVID-19 Infection on Liver Transplant Recipients: Does It Make Any Difference? Cureus 2022, 14, e22687. [Google Scholar] [CrossRef] [PubMed]
- Andrei, S.; Isac, S.; Jelea, D.; Martac, C.; Stefan, M.-G.; Cotorogea-Simion, M.; Buzatu, G.-C.; Ingustu, D.; Abdulkareem, I.; Vasilescu, C.; et al. COVID-19 Pandemic Was Associated with Lower Activity but Not Higher Perioperative Mortality in a Large Eastern European Center. Med. Sci. Monit. 2022, 28, e93809. [Google Scholar] [CrossRef] [PubMed]
- Panigada, M.; Bottino, N.; Tagliabue, P.; Grasselli, G.; Novembrino, C.; Chantarangkul, V.; Pesenti, A.; Peyvandi, F.; Tripodi, A. Hypercoagulability of COVID-19 Patients in Intensive Care Unit: A Report of Thromboelastography Findings and Other Parameters of Hemostasis. J. Thromb. Haemost. 2020, 18, 1738–1742. [Google Scholar] [CrossRef] [PubMed]
- Yuki, K.; Fujiogi, M.; Koutsogiannaki, S. COVID-19 Pathophysiology: A Review. Clin. Immunol. 2020, 215, 108427. [Google Scholar] [CrossRef] [PubMed]
- Abbas, A.S.; Hardy, N.; Ghozy, S.; Dibas, M.; Paranjape, G.; Evanson, K.W.; Reierson, N.L.; Cowie, K.; Kamrowski, S.; Schmidt, S.; et al. Characteristics, Treatment, and Outcomes of Myasthenia Gravis in COVID-19 Patients: A Systematic Review. Clin. Neurol. Neurosurg. 2022, 213, 107140. [Google Scholar] [CrossRef]
- Solé, G.; Salort-Campana, E.; Pereon, Y.; Stojkovic, T.; Wahbi, K.; Cintas, P.; Adams, D.; Laforet, P.; Tiffreau, V.; Desguerre, I.; et al. Guidance for the Care of Neuromuscular Patients during the COVID-19 Pandemic Outbreak from the French Rare Health Care for Neuromuscular Diseases Network. Rev. Neurol. 2020, 176, 507–515. [Google Scholar] [CrossRef] [PubMed]
- Anand, P.; Slama, M.C.C.; Kaku, M.; Ong, C.; Cervantes-Arslanian, A.M.; Zhou, L.; David, W.S.; Guidon, A.C. COVID-19 in Patients with Myasthenia Gravis. Muscle Nerve 2020, 62, 254–258. [Google Scholar] [CrossRef] [PubMed]
- Rodrigues, C.L.; Freitas, H.C.; Lima, P.R.O.; Oliveira Junior, P.H.; Fernandes, J.M.A.; D’Almeida, J.A.C.; Nóbrega, P.R. Myasthenia Gravis Exacerbation and Myasthenic Crisis Associated with COVID-19: Case Series and Literature Review. Neurol. Sci. 2022, 43, 2271–2276. [Google Scholar] [CrossRef]
- Sheikh, S.; Alvi, U.; Soliven, B.; Rezania, K. Drugs That Induce or Cause Deterioration of Myasthenia Gravis: An Update. J. Clin. Med. 2021, 10, 1537. [Google Scholar] [CrossRef] [PubMed]
- Raess, N.; Schuetz, P.; Cesana-Nigro, N.; Winzeler, B.; Urwyler, S.A.; Schaedelin, S.; Rodondi, N.; Blum, M.R.; Briel, M.; Mueller, B.; et al. Influence of Prednisone on Inflammatory Biomarkers in Community-Acquired Pneumonia: Secondary Analysis of a Randomized Trial. J. Clin. Pharmacol. 2021, 61, 1406–1414. [Google Scholar] [CrossRef] [PubMed]
- Amanullah, M.M.; Hamid, M.; Hanif, H.M.; Muzaffar, M.; Siddiqui, M.T.; Adhi, F.; Ahmad, K.; Khan, S.; Hasan, Z. Effect of Steroids on Inflammatory Markers and Clinical Parameters in Congenital Open Heart Surgery: A Randomised Controlled Trial. Cardiol. Young 2016, 26, 506–515. [Google Scholar] [CrossRef]
- Kim, Y.; Li, X.; Huang, Y.; Kim, M.; Shaibani, A.; Sheikh, K.; Zhang, G.-Q.; Nguyen, T.P. COVID-19 Outcomes in Myasthenia Gravis Patients: Analysis From Electronic Health Records in the United States. Front. Neurol. 2022, 13, 802559. [Google Scholar] [CrossRef] [PubMed]
- Digala, L.P.; Prasanna, S.; Rao, P.; Qureshi, A.I.; Govindarajan, R. Impact of COVID-19 Infection among Myasthenia Gravis Patients- a Cerner Real-World DataTM Study. BMC Neurol. 2022, 22, 38. [Google Scholar] [CrossRef]
- Jakubíková, M.; Týblová, M.; Tesař, A.; Horáková, M.; Vlažná, D.; Ryšánková, I.; Nováková, I.; Dolečková, K.; Dušek, P.; Piťha, J.; et al. Predictive Factors for a Severe Course of COVID-19 Infection in Myasthenia Gravis Patients with an Overall Impact on Myasthenic Outcome Status and Survival. Eur. J. Neurol. 2021, 28, 3418–3425. [Google Scholar] [CrossRef] [PubMed]
- Županić, S.; Lazibat, I.; Rubinić Majdak, M.; Jeličić, M. Treatment of myasthenia gravis patients with covid-19: Review of the literature. Acta Clin. Croat. 2022, 60, 496–509. [Google Scholar] [CrossRef] [PubMed]
- Jacob, S.; Rajabally, Y.A. Current Proposed Mechanisms of Action of Intravenous Immunoglobulins in Inflammatory Neuropathies. Curr. Neuropharmacol. 2009, 7, 337–342. [Google Scholar] [CrossRef] [PubMed]
- Ipe, T.S.; Davis, A.R.; Raval, J.S. Therapeutic Plasma Exchange in Myasthenia Gravis: A Systematic Literature Review and Meta-Analysis of Comparative Evidence. Front. Neurol. 2021, 12, 662856. [Google Scholar] [CrossRef] [PubMed]
- Faqihi, F.; Alharthy, A.; Abdulaziz, S.; Balhamar, A.; Alomari, A.; AlAseri, Z.; Tamim, H.; Alqahtani, S.A.; Kutsogiannis, D.J.; Brindley, P.G.; et al. Therapeutic Plasma Exchange in Patients with Life-Threatening COVID-19: A Randomised Controlled Clinical Trial. Int. J. Antimicrob. Agents 2021, 57, 106334. [Google Scholar] [CrossRef]
- Nelke, C.; Stascheit, F.; Eckert, C.; Pawlitzki, M.; Schroeter, C.B.; Huntemann, N.; Mergenthaler, P.; Arat, E.; Öztürk, M.; Foell, D.; et al. Independent Risk Factors for Myasthenic Crisis and Disease Exacerbation in a Retrospective Cohort of Myasthenia Gravis Patients. J. Neuroinflamm. 2022, 19, 89. [Google Scholar] [CrossRef]
- Nakajima, Y.; Ogai, A.; Furukawa, K.; Arai, R.; Anan, R.; Nakano, Y.; Kurihara, Y.; Shimizu, H.; Misaki, T.; Okabe, N. Prolonged Viral Shedding of SARS-CoV-2 in an Immunocompromised Patient. J. Infect. Chemother. 2021, 27, 387–389. [Google Scholar] [CrossRef] [PubMed]
- Reuken, P.A.; Stallmach, A.; Pletz, M.W.; Brandt, C.; Andreas, N.; Hahnfeld, S.; Löffler, B.; Baumgart, S.; Kamradt, T.; Bauer, M. Severe Clinical Relapse in an Immunocompromised Host with Persistent SARS-CoV-2 Infection. Leukemia 2021, 35, 920–923. [Google Scholar] [CrossRef]
- Niyonkuru, M.; Pedersen, R.M.; Assing, K.; Andersen, T.E.; Skov, M.N.; Johansen, I.S.; Madsen, L.W. Prolonged Viral Shedding of SARS-CoV-2 in Two Immunocompromised Patients, a Case Report. Infect. Dis. 2021, 21, 743. [Google Scholar] [CrossRef]
- Martínez-Barranco, P.; García-Roa, M.; Trelles-Martínez, R.; Arribalzaga, K.; Velasco, M.; Guijarro, C.; Marcos, J.; Campelo, C.; Acedo-Sanz, J.M.; Villalón, L.; et al. Management of Persistent SARS-CoV-2 Infection in Patients with Follicular Lymphoma. Acta Haematol. 2022, 145, 384–393. [Google Scholar] [CrossRef] [PubMed]

Publisher’s Note: MDPI stays neutral with regard to jurisdictional claims in published maps and institutional affiliations. |
© 2022 by the authors. Licensee MDPI, Basel, Switzerland. This article is an open access article distributed under the terms and conditions of the Creative Commons Attribution (CC BY) license (https://creativecommons.org/licenses/by/4.0/).
Share and Cite
Buzatu, G.-C.; Bobirca, F.-T.; Isac, S.; Mihalache, O.A.; Cotorogea-Simion, M.; Tita, A.; Cobilinschi, C.; Tanasescu, M.D.; Bobirca, A.; Droc, G. The Cumulative Detrimental Effect of COVID-19 Pneumonia in a Patient with Myasthenic Crisis: A Case Report and Overview of the Literature. Life 2022, 12, 1482. https://doi.org/10.3390/life12101482
Buzatu G-C, Bobirca F-T, Isac S, Mihalache OA, Cotorogea-Simion M, Tita A, Cobilinschi C, Tanasescu MD, Bobirca A, Droc G. The Cumulative Detrimental Effect of COVID-19 Pneumonia in a Patient with Myasthenic Crisis: A Case Report and Overview of the Literature. Life. 2022; 12(10):1482. https://doi.org/10.3390/life12101482
Chicago/Turabian StyleBuzatu, Georgiana-Cristina, Florin-Teodor Bobirca, Sebastian Isac, Oana Antonia Mihalache, Mihail Cotorogea-Simion, Alina Tita, Cristian Cobilinschi, Maria Daniela Tanasescu, Anca Bobirca, and Gabriela Droc. 2022. "The Cumulative Detrimental Effect of COVID-19 Pneumonia in a Patient with Myasthenic Crisis: A Case Report and Overview of the Literature" Life 12, no. 10: 1482. https://doi.org/10.3390/life12101482
APA StyleBuzatu, G.-C., Bobirca, F.-T., Isac, S., Mihalache, O. A., Cotorogea-Simion, M., Tita, A., Cobilinschi, C., Tanasescu, M. D., Bobirca, A., & Droc, G. (2022). The Cumulative Detrimental Effect of COVID-19 Pneumonia in a Patient with Myasthenic Crisis: A Case Report and Overview of the Literature. Life, 12(10), 1482. https://doi.org/10.3390/life12101482

