Surgical Management of Perianal Giant Condyloma Acuminatum of Buschke and Löwenstein: Case Presentation
Abstract
:1. Introduction
2. Materials and Methods
3. Results
3.1. Clinical Presentation
3.2. Therapeutic Management
3.3. Clinical Evolution
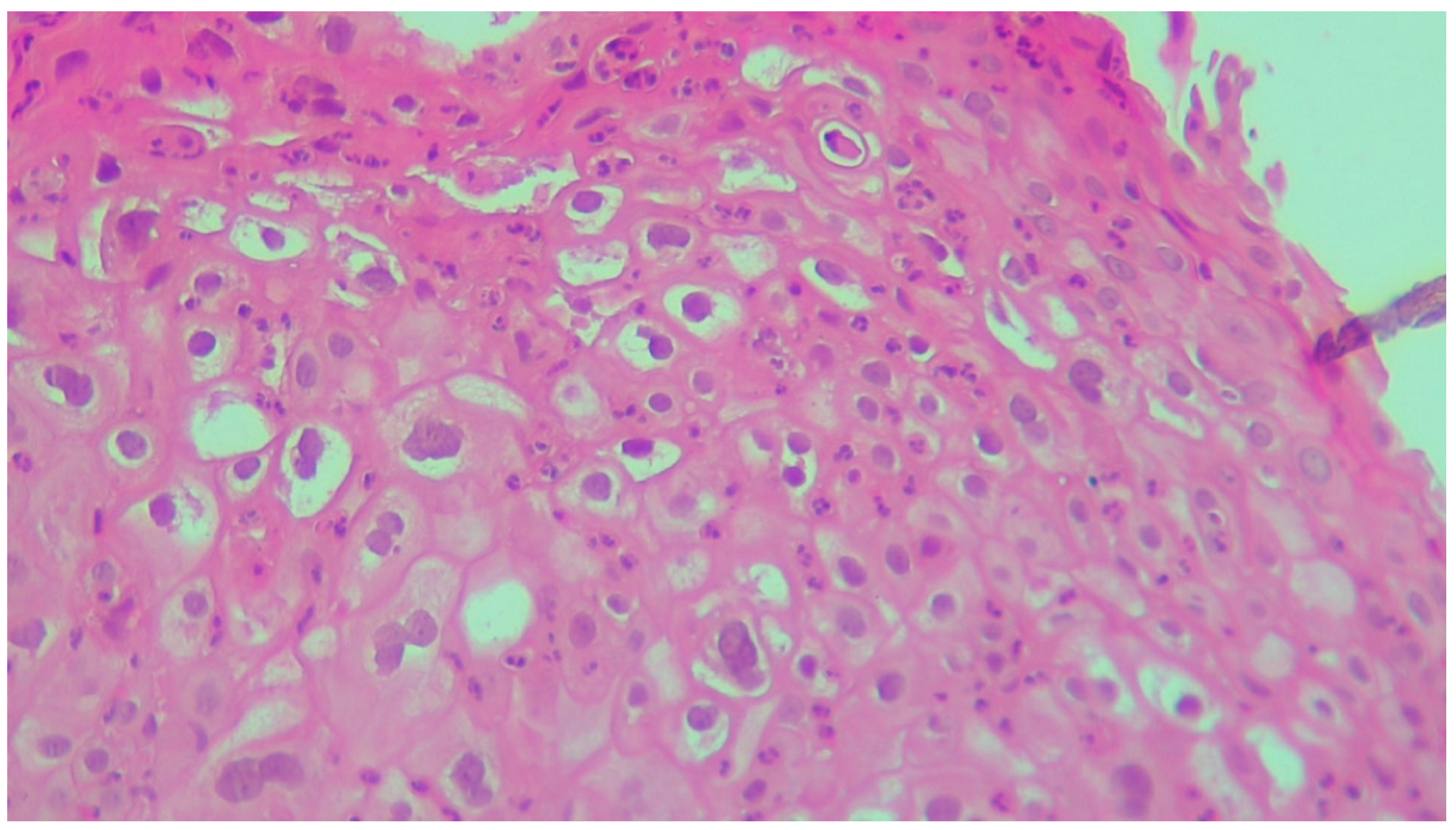
3.4. Case Report
4. Conclusions
Author Contributions
Funding
Institutional Review Board Statement
Informed Consent Statement
Data Availability Statement
Acknowledgments
Conflicts of Interest
References
- Chu, Q.D.; Vezeridis, M.P.; Libbey, N.P.; Wanebo, H.J. Giant condyloma acuminatum (Buschke-Lowenstein tumor) of the anorectal and perianal regions. Analysis of 42 cases. Dis. Colon. Rectum. 1994, 37, 950–957. [Google Scholar] [CrossRef] [PubMed]
- Mingolla, G.P.; Potì, O.; Carbotta, G.; Marra, C.; Borgia, G.; De Giorgi, D. Reconstructive surgery in anal giant condyloma: Report of two cases. Int. J. Surg. Case Rep. 2013, 4, 1088–1090. [Google Scholar] [CrossRef] [PubMed]
- Gambichler, T.; Rüddel, I.; Hessam, S.; Bechara, F.G.; Stockfleth, E.; Schmitz, L. Altered epigenetic pathways and cell cycle dysregulation in healthy appearing skin of patients with koebnerized squamous cell carcinomas following skin surgery. J. Eur. Acad. Dermatol. Venereol. 2019, 33, e3–e4. [Google Scholar] [CrossRef]
- El Bessi, M.; Dougaz, W.; Jones, M.; Jerraya, H.; Dziri, C. A Giant Anorectal Condyloma Is Not Synonym of Malignancy. J. Gastrointest. Cancer 2019, 50, 1026–1028. [Google Scholar] [CrossRef] [PubMed]
- Ben Kridis, W.; Werda, I.; Charfi, S.; Toumi, N.; Boudawara, T.; Mzali, R.; Daoud, J.; Khanfir, A. Buschke—Lowenstein anal tumor: An ambiguous entity. Exp. Oncol. 2019, 41, 182–184. [Google Scholar] [CrossRef] [PubMed]
- Sikanić Dugić, N.; Ljubojević Hadžavdić, S.; Pustišek, N.; Hiršl Hećej, V. Treatment of anogenital warts in an 18-month-old girl with 5% imiquimod cream. Acta Dermatovenerol. Croat. 2014, 22, 40–43. [Google Scholar] [PubMed]
- Trombetta, L.J.; Place, R.J. Giant condyloma acuminatum of the anorectum: Trends in epidemiology and management: Report of a case and review of the literature. Dis. Colon. Rectum. 2001, 44, 1878–1886. [Google Scholar] [CrossRef]
- Cui, T.; Huang, J.; Lv, B.; Yao, Q. Giant condyloma acuminatum in pregnancy: A case report. Dermatol. Ther. 2019, 32, e12972. [Google Scholar] [CrossRef]
- Rydzewska-Rosołowska, A.; Kakareko, K.; Kowalik, M.; Zaręba, K.; Zbroch, E.; Hryszko, T. An unexpected giant problem—Giant condyloma (Buschke-Lowenstein tumor). Int. J. Infect. Dis. 2021, 103, 280–281. [Google Scholar] [CrossRef]
- Gürbulak, E.K.; Akgün, İ.E.; Ömeroğlu, S.; Öz, A. Giant perianal condyloma acuminatum: Reconstruction with bilateral gluteal fasciocutaneous V-Y advancement flap. Ulus. Cerrahi Derg. 2015, 31, 170–173. [Google Scholar] [CrossRef]
- Diani, M.; Boneschi, V.; Ramoni, S.; Gadda, F.; Del Gobbo, A.; Cusini, M. Rapidly invasive Buschke-Löwenstein tumor associated with human papillomavirus types 6 and 52. Sex. Transm. Dis. 2015, 42, 547–548. [Google Scholar] [CrossRef] [PubMed]
- Prasad, M.L.; Abcarian, H. Malignant potential of perianal condyloma acuminatum. Dis. Colon. Rectum. 1980, 23, 191–197. [Google Scholar] [CrossRef] [PubMed]
- Constantin, G.B.; Firescu, D.; Voicu, D.; Ștefănescu, B.; Serban, R.M.C.; Panaitescu, E.; Bîrlă, R.; Constantinoiu, S. The Importance of Systemic Inflammation Markers in the Survival of Patients with Complicated Colorectal Cancer, Operated in Emergency. Chirurgia 2020, 115, 39–49. [Google Scholar] [CrossRef]
- Busila, C.; Stuparu, M.C.; Nechita, A.; Grigore, C.A.; Balan, G. Good Glycemic Control for a Low Cardiovascular Risk in Children Suffering from Diabets. Rev. De Chim. 2017, 68, 358–361. [Google Scholar] [CrossRef]
- Papapanagiotou, I.K.; Migklis, K.; Ioannidou, G.; Xesfyngi, D.; Kalles, V.; Mariolis-Sapsakos, T.; Terzakis, E. Giant condyloma acuminatum-malignant transformation. Clin. Case Rep. 2017, 5, 537–538. [Google Scholar] [CrossRef]
- Bobeica, C.; Niculet, E.; Craescu, M.; Parapiru, E.L.; Musat, C.L.; Dinu, C.; Chiscop, I.; Nechita, L.; Debita, M.; Stefanescu, V.; et al. CREST Syndrome in Systemic Sclerosis Patient—Is Dystrophic Calcinosis a Key Element to a Positive Diagnosis? J. Inflamm. Res. 2022, 15, 3387–3394. [Google Scholar] [CrossRef]
- Tatu, A.L.; Nadasdy, T.; Arbune, A.; Chioncel, V.; Bobeica, C.; Niculet, E.; Iancu, A.V.; Dumitru, C.; Popa, V.T.; Kluger, N.; et al. Interrelationship and Sequencing of Interleukins 4, 13, 31, and 33—An Integrated Systematic Review: Dermatological and Multidisciplinary Perspectives. J. Inflamm. Res. 2022, 15, 5163–5184. [Google Scholar] [CrossRef]
- Badiu, D.C.; Manea, C.A.; Mandu, M.; Chiperi, V.; Marin, I.E.; Mehedintu, C.; Popa, C.C.; David, O.I.; Bratila, E.; Grigorean, V.T. Giant Perineal Condyloma Acuminatum (Buschke-Lowenstein Tumour): A Case Report. Chirurgia 2016, 111, 435–438. [Google Scholar] [CrossRef]
- Combaud, V.; Verhaeghe, C.; El Hachem, H.; Legendre, G.; Descamps, P.; Martin, L.; Bouet, P.E. Giant condyloma acuminatum of the vulva: Successful management with imiquimod. JAAD Case Rep. 2018, 4, 692–694. [Google Scholar] [CrossRef]
- Lee, C.N.; Hsu, C.K.; Lee, J.Y. Recalcitrant extragenital giant condyloma acuminatum: A need for combination therapy. Dermatol. Ther. 2019, 32, e12867. [Google Scholar] [CrossRef]
- Jorgaqi, E.; Jafferany, M. Giant condyloma acuminatum (Buschke-Lowenstein tumor): Combined treatment with surgery and chemotherapy. Dermatol. Ther. 2020, 33, e13193. [Google Scholar] [CrossRef]
- Diaz Gómez, C.J. “Giant Condyloma Acuminatum (Buschke-Lowenstein tumor): Combined treatment with surgery and chemotherapy.”—Further points to be discussed. Dermatol. Ther. 2020, 33, e13268. [Google Scholar] [CrossRef]
- Hemper, E.; Wittau, M.; Lemke, J.; Kornmann, M.; Henne-Bruns, D. Management of a giant perineal condylomata acuminata. GMS Interdiscip. Plast. Reconstr. Surg. DGPW 2016, 5, Doc07. [Google Scholar] [CrossRef]
- Pelin, A.-M.; Balan, G.; Stefanescu, C.; Rosca, S.; Busila, C. New Criteria in Defining the Metabolic Syndrome in Children?—An Analysis of the Relationship between the Hepatic Enzymes and the Insulin Resistance, HOMA-IR and Lipid Parameters in the Obese Children. Progress. Nutr. 2022, 23, 2021316. [Google Scholar] [CrossRef]
- Holubar, S.D.; Yared, J.E.; Forauer, A.; Balkman, J.; Pettus, J.; Bihrle, W., 3rd. Preoperative angioembolization of Bushke-Löwenstein tumor: An innovative, alternative approach to reduce perioperative blood loss for exceptionally large tumors. Dis. Colon. Rectum. 2015, 58, 262–263. [Google Scholar] [CrossRef] [PubMed]
- Lungu, M.; Telehuz, A.; Voinescu, D.C.; Sapira, V.; Trifan, A.; Elkan, E.M.; Fătu, A.; Creangă, V.Z.; Polinschi, M.; Stoleriu, G.; et al. NK/T-cell non-Hodgkin lymphoma: Case report and review of the literature. Exp. Ther. Med. 2021, 21, 91. [Google Scholar] [CrossRef] [PubMed]
- Yildiz, A.; Leventoglu, S.; Yildiz, A.; Inan, A.; Mentes, B.B. Radical surgical management of perianal giant condyloma acuminatum of Buschke and Löwenstein: Long-term results of 11 cases. Ann. Coloproctol. 2023, 39, 204–209. [Google Scholar] [CrossRef] [PubMed]
- Stefanopol, I.A.; Baroiu, L.; Neagu, A.I.; Danila, D.M.; Nechifor, A.; Miulescu, M.; Balan, G.; Vasile, C.I.; Niculet, E.; Tatu, A.L. Clinical, Imaging, Histological and Surgical Aspects Regarding Giant Paraovarian Cysts: A Systematic Review. Ther. Clin. Risk Manag. 2022, 18, 513–522. [Google Scholar] [CrossRef] [PubMed]
- Vasile, C.I.; Vasile, M.C.; Zlati, M.L.; Herbei, E.E.; Lepădatu, L.; Munteanu, C.; Nechifor, A.; Tatu, A.L. Post COVID-19 Infection Psychosis: Could SARS-CoV-2 Virus Infection Be a Neuropsychiatric Condition That Triggers Psychotic Disorders?—A Case-Based Short Review. Infect. Drug Resist. 2022, 15, 4697–4705. [Google Scholar] [CrossRef]
- Nieves-Condoy, J.F.; Acuña-Pinzón, C.L.; Chavarría-Chavira, J.L.; Hinojosa-Ugarte, D.; Zúñiga-Vázquez, L.A. Giant Condyloma Acuminata (Buschke-Lowenstein Tumor): Review of an Unusual Disease and Difficult to Manage. Infect. Dis. Obstet. Gynecol. 2021, 2021, 9919446. [Google Scholar] [CrossRef] [PubMed]
- Li, A.L.; Walsh, S.; McKay, D.R. Surgical management of a giant condyloma of Buschke-Löwenstein in a patient with Netherton syndrome using the pedicled anterolateral thigh flap—A case report. J. Plast. Reconstr. Aesthet. Surg. 2011, 64, 1533–1536. [Google Scholar] [CrossRef] [PubMed]






Disclaimer/Publisher’s Note: The statements, opinions and data contained in all publications are solely those of the individual author(s) and contributor(s) and not of MDPI and/or the editor(s). MDPI and/or the editor(s) disclaim responsibility for any injury to people or property resulting from any ideas, methods, instructions or products referred to in the content. |
© 2023 by the authors. Licensee MDPI, Basel, Switzerland. This article is an open access article distributed under the terms and conditions of the Creative Commons Attribution (CC BY) license (https://creativecommons.org/licenses/by/4.0/).
Share and Cite
Mihailov, R.; Tatu, A.L.; Niculet, E.; Olaru, I.; Manole, C.; Olaru, F.; Mihailov, O.M.; Guliciuc, M.; Beznea, A.; Bușilă, C.; et al. Surgical Management of Perianal Giant Condyloma Acuminatum of Buschke and Löwenstein: Case Presentation. Life 2023, 13, 1916. https://doi.org/10.3390/life13091916
Mihailov R, Tatu AL, Niculet E, Olaru I, Manole C, Olaru F, Mihailov OM, Guliciuc M, Beznea A, Bușilă C, et al. Surgical Management of Perianal Giant Condyloma Acuminatum of Buschke and Löwenstein: Case Presentation. Life. 2023; 13(9):1916. https://doi.org/10.3390/life13091916
Chicago/Turabian StyleMihailov, Raul, Alin Laurențiu Tatu, Elena Niculet, Iulia Olaru, Corina Manole, Florin Olaru, Oana Mariana Mihailov, Mădălin Guliciuc, Adrian Beznea, Camelia Bușilă, and et al. 2023. "Surgical Management of Perianal Giant Condyloma Acuminatum of Buschke and Löwenstein: Case Presentation" Life 13, no. 9: 1916. https://doi.org/10.3390/life13091916
APA StyleMihailov, R., Tatu, A. L., Niculet, E., Olaru, I., Manole, C., Olaru, F., Mihailov, O. M., Guliciuc, M., Beznea, A., Bușilă, C., Candussi, I. L., Moroianu, L. A., & Stănculea, F. C. (2023). Surgical Management of Perianal Giant Condyloma Acuminatum of Buschke and Löwenstein: Case Presentation. Life, 13(9), 1916. https://doi.org/10.3390/life13091916

