Next Article in Journal
Enterotype-Specific Effects of Red Beetroot (Beta vulgaris L.) Powder and Betanin on Human Gut Microbiota: A Preliminary Study Based on In Vitro Fecal Fermentation Model
Next Article in Special Issue
Artificial Intelligence in Breast Cancer Diagnosis and Treatment: Advances in Imaging, Pathology, and Personalized Care
Previous Article in Journal
In-Depth Phytochemical Profile by LC-MS/MS, Mineral Content by ICP-MS, and In-Vitro Antioxidant, Antidiabetic, Antiepilepsy, Anticholinergic, and Antiglaucoma Properties of Bitlis Propolis
 
 
Font Type:
Arial Georgia Verdana
Font Size:
Aa Aa Aa
Line Spacing:
Column Width:
Background:
Review

Status of and Challenges in Therapy of Mucinous Ovarian Cancer Associated with Pseudomyxoma Peritonei Syndrome: Review of Current Options and Future Treatment Trends

by
George Pariza
1,2,
Carmen Mavrodin
2,3,*,
Alina Potorac
4,
Octavian Munteanu
2,4 and
Monica Mihaela Cirstoiu
2,4
1
5th Department of General Surgery, Emergency Hospital Bucharest, 050098 Bucharest, Romania
2
Faculty of Medicine, “Carol Davila” University of Medicine and Pharmacy, 050474 Bucharest, Romania
3
3th Department of General Surgery, Emergency Hospital Bucharest, 050098 Bucharest, Romania
4
Department of Obstetrics and Gynecology, Emergency Hospital Bucharest, 050098 Bucharest, Romania
*
Author to whom correspondence should be addressed.
Life 2024, 14(11), 1390; https://doi.org/10.3390/life14111390
Submission received: 19 September 2024 / Revised: 17 October 2024 / Accepted: 24 October 2024 / Published: 29 October 2024

Abstract

Objective: Pseudomyxoma peritonei (PP) is a rare condition, and differentiating between primary and secondary ovarian causes is crucial for determining the appropriate oncological therapy. Given the resistance of ovarian mucinous carcinoma to standard platinum-based chemotherapy, the objective of this review is to present the current therapeutic approaches and summarize the emerging trends in the treatment of this disease. Methods: The authors conducted an exhaustive evaluation of studies published over a 14-year period (June 2010–May 2024) concerning pseudomyxoma peritonei, mucinous ovarian carcinoma, ovarian causes of PP, and ovarian cancer using the following databases: PubMed, Scopus, and Science Direct. The Preferred Reporting Items for Systematic Reviews and Meta-Analyses (PRISMA) guidelines were followed. The results were organized into seven subchapters and analyzed. Results: The analyzed studies present surgery followed by HIPEC as the current therapy with the best long-term survival results. However, the oncological treatment is unsatisfactory, and the choice of therapy depending on the primary origin of the tumor becomes particularly important. For the differential diagnosis between pseudomyxoma due to a gastrointestinal cause and that of ovarian origin, genetic analyses are recommended; these include the characteristics of the mucin present in the lesion, as the therapeutic response can have contradictory results depending on the primary origin of the tumor. Conclusions: Surgery followed by HIPEC remains the standard for resectable cases. However, oncological treatment has controversial results in the case of mucinous ovarian carcinoma compared to other types of ovarian cancer and to metastatic ovarian tumors associated with pseudomyxoma of the peritoneum. Based on the articles included in this review, it was found that the current trend is the study of mucin as a resistance factor against chemotherapy based on platinum products and the targeting of oncological therapy according to the tumor’s genetic characteristics.

1. Introduction

Pseudomyxoma peritonei (PP) is a rare clinical syndrome, with an incidence of 1–2 cases per million per year, characterized by the presence of diffuse gelatinous ascites distributed throughout the peritoneal cavity [1,2,3].
The accumulation of intraperitoneal mucin secondary to a mucinous neoplasm with diverse origins and frequencies, along with metastatic implants on the peritoneal surface, creates the clinical picture of PP [1,2,3,4].
The syndrome was first described in 1884 by Werth [2], who introduced the term PP and initially attributed it to perforated appendiceal cystadenomas. Currently, multiple causes have been identified, the most common being appendiceal in origin, followed by digestive causes (small and large intestine, stomach, pancreas, lung, breast, gallbladder, fallopian tubes, and ovaries). An appendiceal origin accounts for 90% of cases, while the remainder are due to rarer causes [1,2,3].
The primary or secondary ovarian causes associated with pseudomyxoma peritonei are listed below [4,5]:
  • Mucinous cystadenoma;
  • Mucinous ovarian cancer;
  • Ovarian metastasis of gastrointestinal cancer;
  • Malignant transformation of an ovarian primary mature cystic teratoma;
  • Appendiceal mucocele with carcinomatosis, mimicking an ovarian mucinous carcinoma;
  • Mucinous borderline tumor developed within an ovarian teratoma.
Mucinous ovarian carcinoma is a rare genital tumor, with an incidence of approximately 3–5% of epithelial ovarian cancers [1,5].
Most commonly evolving asymptomatically, pseudomyxoma peritonei is often discovered incidentally at a relatively advanced stage of the disease during laparoscopy, laparotomy, or imaging investigations for other medical conditions [1,4]. Pseudomyxoma peritonei can be considered a borderline malignant disease, with prognosis closely correlated with pathological classification (Peritoneal Surface Oncology Group—PSOG) [4,6].
Although the standard treatment—surgical cytoreduction combined with hyperthermic intraperitoneal chemotherapy (HIPEC)—has improved the prognosis of these patients, issues related to intraoperative difficulties, tumor recurrence, and poor quality of life remain unresolved, leaving room for further biological research into understanding this pathology, as well as efforts to identify alternative therapies [2,7].

2. Materials and Methods

The authors conducted an exhaustive evaluation of studies published over a 14-year period (June 2010–May 2024) concerning pseudomyxoma peritonei, mucinous ovarian carcinoma, ovarian causes of PP, ovarian cancer, and the ovaries using the following databases: PubMed, Scopus, and Science Direct. The results were organized into 7 subchapters and analyzed. This research study had the following selection criteria: articles in English with the subject of medicine, and research conducted on humans. Articles in English were selected, and case presentations and case series were excluded.

2.1. Natural History and Characteristics of PP with Ovarian Origin

The estimated incidence of pseudomyxoma peritonei (PP) is very rare, approximately 1 to 4 cases per million diagnosed annually. The most frequently identified primary sites are mucinous appendiceal or ovarian adenocarcinomas. Patients have a median age of 53 years at diagnosis, with women being more commonly affected than men [1,2,4,6].
PP occurs secondary to mucin production by peritoneal metastatic implants arising from the perforation of a mucinous neoplasm. The rupture of the primary tumor leads to the release of mucin and epithelial cells, which subsequently implant on the peritoneum. The implantation process is influenced by gravity and areas of fluid absorption. Major absorption areas include the greater and lesser omentum and diaphragmatic surfaces, particularly the right diaphragm, leading to diaphragmatic accumulations and tumoral transformation of the omentum. The second migration mechanism, gravity, causes the accumulation of neoplastic cells in the rectovesical space, retrohepatic space, and paracolic gutters [2,4,7]. Mobile viscera, such as the small intestine, are spared in the early stages of the disease, allowing for R0 tumor resection in initial phases without extensive intestinal resection. Tumor localization on the intestinal serosa and the mesenteric–enteric junction makes complete excision difficult and is a predictor of inoperability [2,7,8].
Once implanted, the tumor cells continue to proliferate and produce a large amount of mucus, forming mucinous ascites over a period of months or even years. Progressive complications of PP, such as intestinal obstruction, may necessitate urgent surgical intervention. Cases of mucinous invasion into the pleural cavity have been reported. However, it should be noted that lymphatic or hematogenous metastasis in PP is rare [2,4,6,7,8].

2.2. Clinical and Imaging Evaluation

Diagnosing PP remains a challenge for clinicians, with 50% of cases being asymptomatic or incidentally diagnosed [9,10]. In rare instances, patients may present with abdominal pain, weight loss, nausea, or vomiting; they may also present with palpable intra-abdominal masses, mimic acute appendicitis, or display various gynecological conditions. In women, infertility may be one of the manifestations when the disease involves the ovary or pelvis. More advanced disease can lead to abdominal distension, ascites, bowel obstruction, and nutritional impairment [2,7,9].
Imaging is essential in differential diagnosis and the diagnosis of the primary tumor, as well as in the assessment of the index of peritoneal carcinomatosis and tumor recurrence (Figure 1).
Currently, contrast-enhanced abdominopelvic computer tomography (CT) is the imaging modality of choice for diagnosing pseudomyxoma peritonei [9,10,11,12]. The typical CT appearance of the liver and spleen surfaces is scalloped, caused by loculated mucin accumulations, which helps distinguish mucin from fluid ascites [10,11].
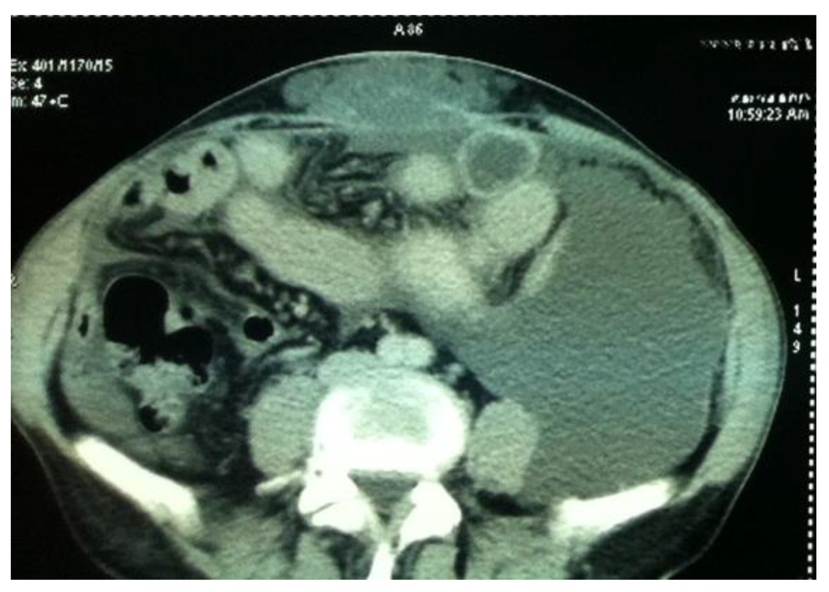
However, CT has a limited performance in the detection of metastatic adenopathy, with a sensitivity of 41% and a specificity of 89%, a fact that influences the decision regarding infrarenal lymphadenectomy [13]. In addition to underestimating metastatic adenopathy, CT also underestimates the presence of peritoneal metastases, especially in the presence of ascites or mucin accumulations specific to pseudomyxoma (Figure 2).
Therefore, the peritoneal carcinomatosis index PCI) is underestimated in CT evaluations. This influences the decision regarding the therapeutic attitude and the selection of patients for cytoreduction or neoadjuvant chemotherapy (Table 1).
However, the primary lesion may be absent or difficult to identify on imaging. Compared to CT, MRI is more sensitive in locating the tumor and evaluating the small intestine and hepatoduodenal ligament, as well as in differentiating fluid ascites from gelatinous ascites [10,11,12].
An advantage of MRI, compared to CT, is represented by its ability to detect small peritoneal metastases, a fact that places MRI in the first line in the evaluation of candidate patients for cytoreduction [12,13].
PET/CT scanning may be useful in more aggressive variants by detecting extra-abdominal spread, as well as in the preoperative assessment of PP’s pathological grade and the feasibility of achieving complete cytoreduction [11,12].
PET CT is not recommended, due to low specificity, in the initial diagnosis of the primary tumor, especially in tumor types with a clear-cell and mucinous-invasive subtype. However, PET CT is superior to CT in the determination of metastatic lymph nodules, secondary peritoneal determinations, and recurrences [13].

2.3. Pathology

From a macroscopic standpoint, pseudomyxoma peritonei (PP) presents with mucinous ascites accompanied by cystic epithelial implants on peritoneal surfaces, with lesions varying in size from a few millimeters to several centimeters [14].
Several histological grading systems have been proposed for PP, and they are highly indicative of the disease’s prognosis. The World Health Organization (WHO) refined the histological classification system for PP based on the studies by Ronnett et al. [4,7]. In 1995, Ronnett’s team divided this pathology into two categories: disseminated peritoneal adenomucinosis (DPAM) and peritoneal mucinous carcinomatosis (PMCA). DPAM is characterized by abundant mucin containing few mucinous epithelial cells, with minimal cytological atypia and low mitotic activity, while PMCA is characterized by more abundant mucinous epithelial cells with significant cytological atypia and high-grade mitotic activity [4,7,14].
In 2010, the American Joint Committee on Cancer (AJCC) and WHO proposed a histological classification of PP based on the understanding of histogenesis, molecular genetic findings, and the clinical behavior of these lesions [2,7,15]. This classification divides PP into the following types:
  • Acellular mucin—mucin within the peritoneal cavity without neoplastic epithelial cells.
  • Low-grade mucinous carcinoma peritonei (synonymous with DPAM)—mucin with low cellularity (less than 10%) and without infiltrative growth.
  • High-grade mucinous carcinoma peritonei (synonymous with PMCA)—mucin with high cellularity, moderate/severe cytological atypia, numerous mitoses, and a cribriform growth pattern. Infiltrative invasion of the underlying organs is often present.
  • High-grade mucinous carcinoma peritonei with signet ring cell is classified separately because of its worse prognosis.

2.4. Differential Diagnosis of Secondary and Primary Ovarian Tumors and Pathological Subtypes

Statistically, 65–80% of mucinous ovarian carcinomas (MOCs) are diagnosed at early stages [16]. Patients diagnosed with MOC in FIGO Stage I have a 5-year survival rate of nearly 90% [16,17,18]. However, survival rates in FIGO Stages II-IV are poorer compared to those diagnosed with serous ovarian cancer at similar stages. The average survival for patients with MOC diagnosed in Stages III-IV is between 12 and 33 months [17,18,19].
Identifying pathological subtypes and differentiating primary ovarian tumors from secondary ones poses significant challenges. While the prognosis is favorable in early stages, advanced cases have poor survival, which can also be attributed to the tumor’s resistance or suboptimal response to chemotherapy [17,18,19]. Given that gastrointestinal mucinous tumors and MOC share similar molecular characteristics, retrospective studies have shown that patients with MOC have responded to empirical therapies with chemotherapy specific to gastrointestinal tumors [19,20].
The exact cause of the poor response to platinum-based standard therapies used in ovarian neoplasms is unclear, and prospective studies are difficult to conduct due to the rarity of this pathology [16,21]. Therefore, recent efforts to identify new therapeutic strategies have focused on analyzing the pathological and molecular aspects of MOC [16,21,22].
Pathological evaluation of mucinous ovarian tumors has shown that the vast majority of these are secondary, with origins most commonly in the gastrointestinal tract, breast, cervix, and others, while primary mucinous ovarian tumors have a frequency of only 1–3%. Identifying the primary origin is crucial for choosing the appropriate therapy and establishing prognosis [21,22].
Standard methods for the differential diagnosis between primary (PMOCs) and secondary ovarian mucinous tumors (MMOCs) include clinical aspects, pathological anatomy, and immunohistochemistry [16]. Primary tumors typically present as large ovarian masses, often greater than 10 cm, with unilateral ovarian lesions, a normal-looking appendix on imaging or intraoperatively, absence of serosal or capsular tumor implants, absence of primary gastrointestinal lesions, and absence of extracellular mucin [2]. The presence of benign or borderline tumor components supports a primary ovarian origin of mucinous peritonitis. Secondary lesions often involve the ovarian hilum and surface, show infiltrative stromal invasion, extracellular mucin synthesis, and widespread distribution of signet ring cells [2,5].
Frequently used immunohistochemical markers include CK7, CK20, CDX2, PAX8, estrogen, and progesterone [23,24,25]. Recently, new markers have been introduced, whose combined analysis may improve the differential diagnosis between PMOC and MMOC. The combination of SATB2 and CK7 has high accuracy in differentiating gastrointestinal mucinous tumors from primary ovarian mucinous tumors [23,24,25,26].
According to the NCCN, PAX8 immunostaining is typical of primary ovarian tumors, although the absence of PAX8 does not rule out the ovary as the primary site, while SATB2 is consistent with colonic origin. Metastatic colorectal adenocarcinomas also typically express CK20 and CEA [24,25].
The microscopic pattern of mucin distribution can be used in the differential diagnosis of primary or secondary ovarian origin. Primary tumors have a high level of intracellular mucin and lower levels of extracellular localization, while metastatic tumors exhibit high extracellular expression [16,27].
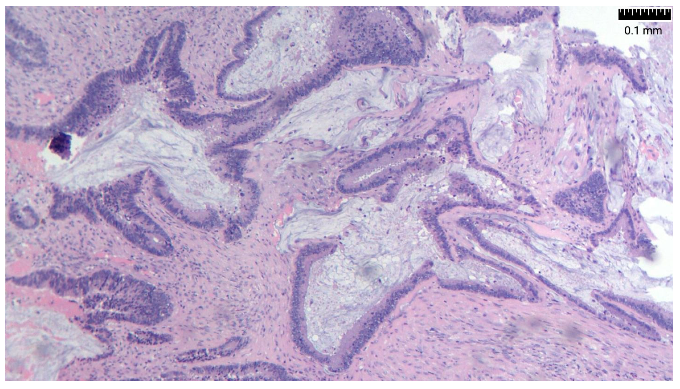
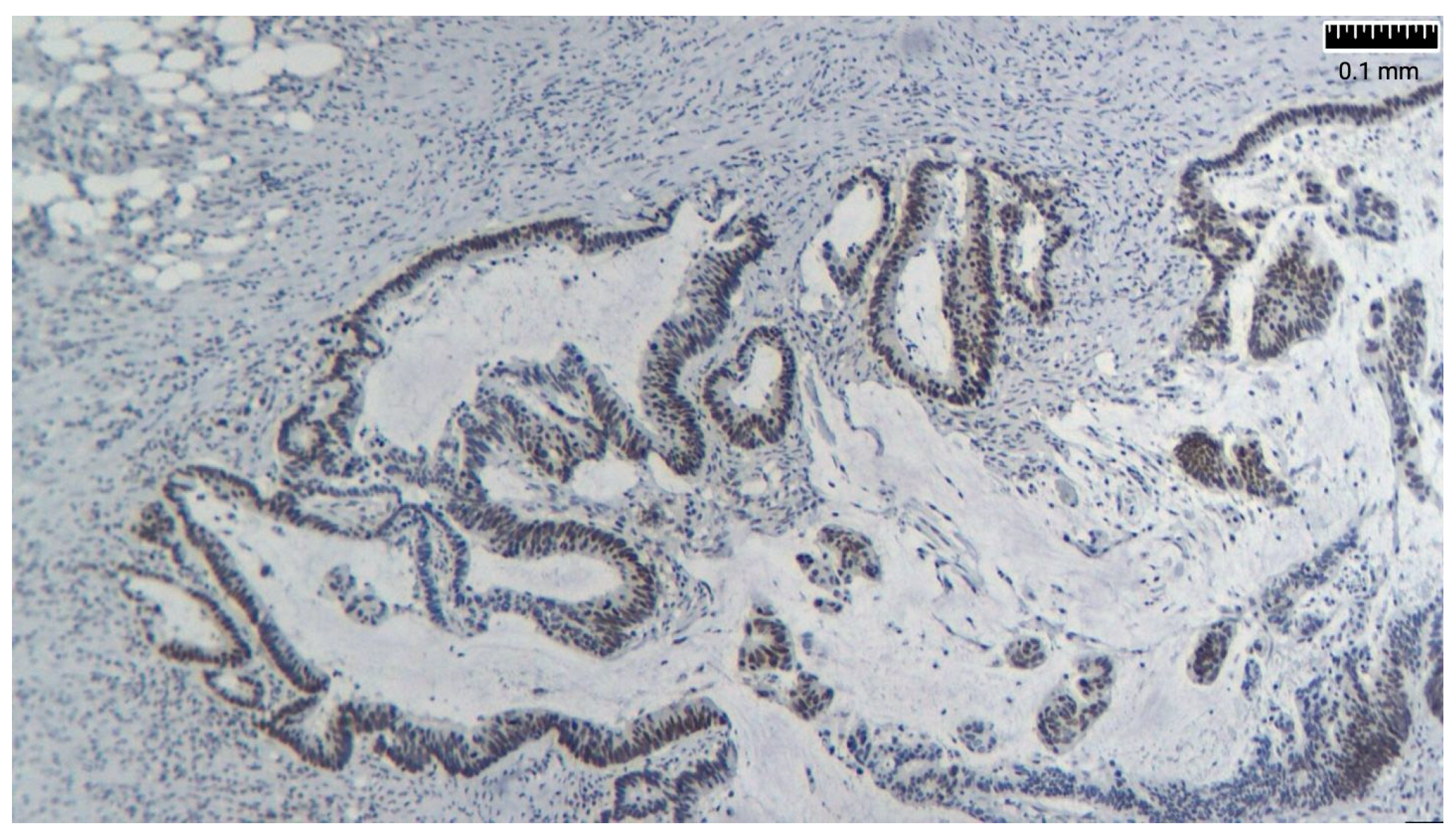
Researchers have suggested the overexpression of MUC2 as a molecular marker for PP of intestinal origin. Immunohistochemically, appendiceal tumors also express CK20, CEA, and CDX2 and are usually negative for CK7 and CA 125. There are also reports of loss of expression of the mismatch repair genes MLH-1 and PMS-2 (Figure 3 and Figure 4) [26,27] (Table 2).
In recent years, research attention has been directed towards the genetic analysis of mucin. In a review published in 2023, Yicong Wang et al. discussed mucin as a factor in chemotherapy resistance and the importance of its genetic analysis for differentiating primary ovarian from secondary tumors, with an impact on chemotherapy treatment selection [16].
An immunohistochemical study on 175 cases, published in 2011 by Chu et al., evaluated the mucin-specific genes MUC1, MUC2, and MUC6 in tumors from different locations [16,28]. The study found that only MUC2 and MUC6 are useful in determining the primary origin of the tumor. Another retrospective study that analyzed ovarian metastases from colorectal cancer and primary ovarian tumors found MUC2 gene positivity in 51% of colorectal cancers and 0% in ovarian cancers, while the MUC5AC gene was present in 2.4% of metastatic gastrointestinal tumors and 50% of primary ovarian tumors [29].
The differential diagnosis of primary ovarian tumors from metastatic ones involves analyzing a combination of factors, including MUC genes, PAX8, CK20, and SATB2, which can increase diagnostic sensitivity and accuracy, with implications for therapeutic strategies [27,28,29].

2.5. Tumor Markers

It has been found that tumor markers have prognostic value in pseudomyxoma peritonei (PP), are useful for monitoring patients after treatment, and may suggest the primary or secondary origin of the ovarian tumor. CA 125 provides the highest diagnostic performance in mucinous ovarian carcinoma, followed by CA 19-9 and CEA.
CEA and CA 19-9 are elevated in PP of gastrointestinal origin, while CA 125 is elevated in conditions involving ovarian pathology [1,6]. Patients with elevated preoperative CEA and CA 19-9 levels have a lower median survival compared to those with negative or low markers [6] (Table 2).
In a recent study published in 2019, which included 225 patients with pseudomyxoma who underwent cytoreductive surgery and HIPEC (mytomycin C, 35 mg/m2, at 40–41 °C for 90 min), CEA and CA 19-9 were routinely determined preoperatively in all patients, while CA 125 was inconsistently measured. The follow-up of patients was conducted over a 10-year period or until death and consisted of tumor marker measurements and CT scans. It was observed that patients with acellular mucin had elevated CEA levels in only 11% of cases, while patients with DPAM (disseminated peritoneal adenomucinosis) showed elevated serum levels in 65.8% of cases and 63% in patients with PMCA (peritoneal mucinous carcinomatosis). Overall survival and disease-free survival were significantly lower in patients with DPAM or PMCA histology who underwent CRS and HIPEC. In conclusion, the Dutch study defined CEA and CA 19-9 markers as independent prognostic factors for overall survival in PP patients with gastrointestinal origin [7,30].

2.6. Therapeutic Management

Patients diagnosed with mucinous ovarian carcinoma require surgical intervention [2,7]. Considering the risk of metastasis during surgery due to the rupture of cystic tumors, the dissemination of intraperitoneal contents, and their seeding, which can lead to long-term recurrences and worsen the prognosis, intraoperative rupture of the cyst must be avoided at all costs [2,7,16].
Traditional periodic surgical interventions aimed at abdominal decompression are now considered outdated due to the inevitable recurrence of the disease [7]. The currently recommended standard treatment for PP consists of complete cytoreductive surgery (CCRS) followed by hyperthermic intraperitoneal chemotherapy (HIPEC) [2,7].
The surgical principles of cytoreduction in PP overlap with those applicable to peritoneal carcinomatosis secondary to ovarian tumors (Table 3).
Complete cytoreductive surgery (CCRS) is evaluated at the end of the procedure by measuring and noting the diameters of residual tumor deposits (Table 4).
As for the completeness of cytoreduction (CC), CC0 and CC1 are considered CCRS in PP surgery.
HIPEC aims to eradicate any remaining macroscopic or microscopic tumor residues, with mitomycin C (MMC) being the most frequently used chemotherapeutic agent, along with 5-fluorouracil, cisplatin, and oxaliplatin. In cases where CCRS is not possible, maximal tumor debulking can extend survival and improve quality of life [2,30,33].
Medical comorbidities should be carefully evaluated preoperatively, and patients with high-grade lesions or ring-like cell components with an ECOG (Eastern Cooperative Oncology Group) performance score of 2–3 have significantly poorer overall survival after surgery. Such patients may benefit from major palliative resection to improve quality of life [30,32,33].
For advanced patients with extensive tumor dissemination and low possibility of achieving complete cytoreduction, interval debulking surgery after neoadjuvant chemotherapy (NACT) has increasingly been offered as a valid alternative, although several European/Asian randomized controlled trials have demonstrated non-inferior prognosis of NACT against primary debulking surgery [34].
Postoperative systemic chemotherapy has been shown to benefit patients with high-grade neoplasms after CRS/HIPEC, but not those with low-grade neoplasms [2]. Current studies are focusing on understanding the underlying molecular mechanisms involved in this pathology, which may facilitate the identification of personalized therapies for PP patients. KRAS and GNAS gene mutations are frequently involved in the development of this condition. KRAS mutations have been present in 58–94% of cases and are found in high-grade PP, while GNAS mutations are common in low-grade PP. Conversely, TP53 and PI3K-AKT gene mutations play an essential role in disease progression. [1,7]
According to NCCN recommendations, for stage Ic, 5-FU, leucovorin, oxaliplatin/capecitabine, and oxaliplatin/paclitaxel and carboplatin are currently used, and for stages II-IV, bevacizumab is added to these regimens. However, the survival of patients with advanced stages (FIGO III–IV) of mucinous ovarian carcinoma is inferior to those with serous carcinoma. Mucin is associated with reduced chemotherapy efficacy and is considered in recent studies as a potential therapeutic target [16]. The choice of mucin as a therapeutic target has been analyzed in a series of clinical studies/trials, where mucoprotein was targeted in various types of ovarian cancers. Y. Wang et al. reported that Gatipotuzumab showed good results in clinical trials targeting advanced ovarian cancer but was not effective as maintenance therapy in recurrent ovarian cancer (Table 5).

2.7. Prognostic

The prognosis of pseudomyxoma peritonei is closely correlated with histopathological classification. The ten-year survival rate for patients undergoing CRS/HIPEC treatment is as follows: 63% for those with low-grade tumors/DPAM, 40.1% for patients with high-grade tumors/PMCA, and 0% for patients with high-grade tumors with ring-like cells [38].

3. Discussion

Before the introduction of CRS and HIPEC as therapeutic standards, the results were unsatisfactory, with surgery consisting of repeated debulking procedures, leading to an approximate 10-year survival rate of 32% for patients with DPAM and a 5-year survival rate of 6% for those with PMCA [39].
An expert consensus in 2008 stated that CRS and HIPEC provide significant survival benefits for patients with PP. In 2012, Chua et al. published the results of a study conducted across 16 centers, including 2,298 patients, showing that the average survival at 3, 5, 10, and 15 years reached 80%, 74%, 63%, and 59%, respectively. The mortality rate was 2%, and the rate of major complications was 24%. For patients with CC0 and CC1, the 5-year survival rate was 85%. These data emphasize the importance of cytoreduction as a prognostic factor. Even in advanced cases where R0 resection is not possible, maximal tumor debulking offers survival benefits. The surgeon must pay close attention to excision to avoid iatrogenic peritoneal contamination with mucus during the resection of mucinous tumors.
Cytoreductive surgeries are associated with a mortality rate of 0.6–44% and morbidity rates ranging from 7% to 49%. Special attention should be given to cases where CC0 or CC1 is achieved, with early recurrence identification being essential. This is achieved through annual imaging (CT) and tumor marker monitoring for 10 years.
The personalization of oncologic therapy depends on identifying the primary origin of mucinous tumors. Genes such as MUC2, MUC5AC, MUC6, and MUC13, as well as the predominant intracellular presence of mucin, appear to be involved in the development and recurrence of mucinous ovarian carcinoma and can be used to differentiate between primary ovarian and metastatic lesions. There is a correlation between mucin secretion by tumor cells and chemoresistance; according to Wang et al., the MUC1 and MUC6 genes could be considered therapeutic targets. SATB2 is a highly specific marker for gastrointestinal tumors, with no expression in mucinous ovarian carcinoma, making it useful in differential diagnosis.
The resistance of mucinous ovarian tumors to platinum-based chemotherapeutic agents has led to the study of monoclonal antibodies such as oregovomab and abagovomab, which showed initially favorable results but with limited long-term remission effects (Table 5).
Differentiating metastatic ovarian tumors of gastrointestinal origin from primary ovarian tumors is essential in selecting oncologic therapy, especially considering the resistance of mucinous ovarian carcinoma to the platinum-based agents routinely used in ovarian cancer treatment. The challenge in establishing therapeutic protocols lies in the rarity of mucinous ovarian carcinoma, making extensive research on the most suitable therapeutic algorithms difficult.

Funding

This research received no external funding.

Conflicts of Interest

The authors declare no conflict of interest.

References

  1. Yan, F.; Shi, F.; Li, X.; Yu, C.; Lin, Y.; Li, Y.; Jin, M. Clinicopathological Characteristics of Pseudomyxoma Peritonei Originated from Ovaries. Cancer Manag. Res. 2020, 12, 7569–7578. [Google Scholar] [CrossRef] [PubMed] [PubMed Central]
  2. Mittal, R.; Chandramohan, A.; Moran, B. Pseudomyxoma peritonei: Natural history and treatment. Int. J. Hyperth. 2017, 33, 511–519. [Google Scholar] [CrossRef] [PubMed]
  3. Placek, A.; Pezhouh, M.K. Pseudomyxoma Peritonei/Mucinous Carcinoma Peritonei. PathologyOutlines.com.website. Available online: https://www.pathologyoutlines.com/topic/appendixpseudomyxoma.html (accessed on 13 September 2024).
  4. Yu, B.; Raj, M.S. Pseudomyxoma Peritonei. In StatPearls [Internet]; StatPearls Publishing: Treasure Island, FL, USA, 2024; Updated 2024 March 27. Available online: https://www.ncbi.nlm.nih.gov/books/NBK541116/ (accessed on 13 September 2024).
  5. Ionescu, S.; Marincas, M.; Madge, O.L.; Dicu-Andreescu, I.G.; Chitoran, E.; Rotaru, V.; Cirimbei, C.; Gherghe, M.; Ene, A.; Rosca, R.; et al. Ovarian Causes of Pseudomyxoma Peritonei (PMP)-A Literature Review. Cancers 2024, 16, 1446. [Google Scholar] [CrossRef] [PubMed] [PubMed Central]
  6. Blaj, S.; Dora, D.; Lohinai, Z.; Herold, Z.; Szasz, A.M.; Herzberg, J.; Kodacsi, R.; Baransi, S.; Schlitt, H.J.; Hornung, M.; et al. Prognostic Factors in Pseudomyxoma Peritonei with Emphasis on the Predictive Role of Peritoneal Cancer Index and Tumor Markers. Cancers 2023, 15, 1326. [Google Scholar] [CrossRef] [PubMed] [PubMed Central]
  7. Carr, N.J.; Cecil, T.D.; Mohamed, F.; Sobin, L.H.; Sugarbaker, P.H.; González-Moreno, S.; Taflampas, P.; Chapman, S.; Moran, B.J.; Peritoneal Surface Oncology Group International. A Consensus for Classification and Pathologic Reporting of Pseudomyxoma Peritonei and Associated Appendiceal Neoplasia: The Results of the Peritoneal Surface Oncology Group International (PSOGI) Modified Delphi Process. Am. J. Surg. Pathol. 2016, 40, 14–26. [Google Scholar] [CrossRef] [PubMed]
  8. Esquivel, J.; Sugarbaker, P.H. Clinical presentation of the Pseudomyxoma peritonei syndrome. Br. J. Surg. 2000, 87, 1414–1418. [Google Scholar] [CrossRef] [PubMed]
  9. Cotton, F.; Pellet, O.; Gilly, F.N.; Granier, A.; Sournac, L.; Glehen, O. MRI evaluation of bulky tumor masses in the mesentery and bladder involvement in peritoneal carcinomatosis. Eur. J. Surg. Oncol. 2006, 32, 1212–1216. [Google Scholar] [CrossRef]
  10. Tirumani, S.H.; Fraser-Hill, M.; Auer, R.; Shabana, W.; Walsh, C.; Lee, F.; Ryan, J.G. Mucinous neoplasms of the appendix: A current comprehensive clinicopathologic and imaging review. Cancer Imaging 2013, 13, 14–25. [Google Scholar] [CrossRef] [PubMed] [PubMed Central]
  11. Low, R.N.; Barone, R.M.; Gurney, J.M.; Muller, W.D. Mucinous appendiceal neoplasms: Preoperative MR staging and classification compared with surgical and histopathologic findings. AJR Am. J. Roentgenol. 2008, 190, 656–665. [Google Scholar] [CrossRef] [PubMed]
  12. Menassel, B.; Duclos, A.; Passot, G.; Dohan, A.; Payet, C.; Isaac, S.; Valette, P.J.; Glehen, O.; Rousset, P. Preoperative CT and MRI prediction of non-resectability in patients treated for pseudomyxoma peritonei from mucinous appendiceal neoplasms. Eur. J. Surg. Oncol. 2016, 42, 558–566. [Google Scholar] [CrossRef] [PubMed]
  13. Engbersen, M.P.; Van Driel, W.; Lambregts, D.; Lahaye, M. The role of CT, PET-CT, and MRI in ovarian cancer. Br. J. Radiol. 2021, 94, 20210117. [Google Scholar] [CrossRef] [PubMed] [PubMed Central]
  14. Sugarbaker, P.H.; Ronnett, B.M.; Archer, A.; Averbach, A.M.; Bland, R.; Chang, D.; Dalton, R.R.; Ettinghausen, S.E.; Jacquet, P.; Jelinek, J.; et al. Pseudomyxoma peritonei syndrome. Adv. Surg. 1996, 30, 233–280. [Google Scholar]
  15. Hanna, N.; Hanna, A.N.; Hanna, D.N. AJCC Cancer Staging System Version 9: Appendiceal Adenocarcinoma. Ann. Surg. Oncol. 2024, 31, 2177–2180. [Google Scholar] [CrossRef]
  16. Wang, Y.; Liu, L.; Yu, Y. Mucins and mucinous ovarian carcinoma: Development, differential diagnosis, and treatment. Heliyon 2023, 9, e19221. [Google Scholar] [CrossRef] [PubMed] [PubMed Central]
  17. Prat, J.; FIGO Committee on Gynecologic Oncology. FIGO’s staging classification for cancer of the ovary, fallopian tube, and peritoneum: Abridged republication. J. Gynecol. Oncol. 2015, 26, 87–89. [Google Scholar] [CrossRef] [PubMed]
  18. Nasioudis, D.; Mastroyannis, S.A.; Albright, B.B.; Haggerty, A.F.; Ko, E.M.; Latif, N.A. Adjuvant chemotherapy for stage I ovarian clear cell carcinoma: Patterns of use and outcomes. Gynecol. Oncol. 2018, 150, 14–18. [Google Scholar] [CrossRef] [PubMed]
  19. Peres, L.C.; Cushing-Haugen, K.L.; Köbel, M.; Harris, H.R.; Berchuck, A.; Rossing, M.A.; Schildkraut, J.M.; Doherty, J.A. Invasive Epithelial Ovarian Cancer Survival by Histotype and Disease Stage. J. Natl. Cancer Inst. 2019, 111, 60–68. [Google Scholar] [CrossRef] [PubMed] [PubMed Central]
  20. Kurnit, K.C.; Sinno, A.K.; Fellman, B.M.; Varghese, A.; Stone, R.; Sood, A.K.; Gershenson, D.M.; Schmeler, K.M.; Malpica, A.; Fader, A.N.; et al. Effects of Gastrointestinal-Type Chemotherapy in Women with Ovarian Mucinous Carcinoma. Obstet. Gynecol. 2019, 134, 1253–1259. [Google Scholar] [CrossRef] [PubMed] [PubMed Central]
  21. Gore, M.; Hackshaw, A.; Brady, W.E.; Penson, R.T.; Zaino, R.; McCluggage, W.G.; Ganesan, R.; Wilkinson, N.; Perren, T.; Montes, A.; et al. An international, phase III randomized trial in patients with mucinous epithelial ovarian cancer (mEOC/GOG 0241) with long-term follow-up: And experience of conducting a clinical trial in a rare gynecological tumor. Gynecol. Oncol. 2019, 153, 541–548. [Google Scholar] [CrossRef] [PubMed] [PubMed Central]
  22. Morice, P.; Gouy, S.; Leary, A. Mucinous Ovarian Carcinoma. N. Engl. J. Med. 2019, 380, 1256–1266. [Google Scholar] [CrossRef] [PubMed]
  23. McCluggage, W.G.; Wilkinson, N. Metastatic neoplasms involving the ovary: A review with an emphasis on morphological and immunohistochemical features. Histopathology 2005, 47, 231–247. [Google Scholar] [CrossRef] [PubMed]
  24. Bruls, J.; Simons, M.; Overbeek, L.I.; Bulten, J.; Massuger, L.F.; Nagtegaal, I.D. A national population-based study provides insight in the origin of malignancies metastatic to the ovary. Virchows Arch. 2015, 467, 79–86. [Google Scholar] [CrossRef] [PubMed] [PubMed Central]
  25. de Waal, Y.R.; Thomas, C.M.; Oei, A.L.; Sweep, F.C.; Massuger, L.F. Secondary ovarian malignancies: Frequency, origin, and characteristics. Int. J. Gynecol. Cancer 2009, 19, 1160–1165. [Google Scholar] [CrossRef] [PubMed]
  26. Strickland, S.; Wasserman, J.K.; Giassi, A.; Djordjevic, B.; Parra-Herran, C. Immunohistochemistry in the Diagnosis of Mucinous Neoplasms Involving the Ovary: The Added Value of SATB2 and Biomarker Discovery Through Protein Expression Database Mining. Int. J. Gynecol. Pathol. 2016, 35, 191–208. [Google Scholar] [CrossRef] [PubMed]
  27. Kelemen, L.E.; Köbel, M. Mucinous carcinomas of the ovary and colorectum: Different organ, same dilemma. Lancet Oncol. 2011, 12, 1071–1080. [Google Scholar] [CrossRef] [PubMed]
  28. Chu, P.G.; Chung, L.; Weiss, L.M.; Lau, S.K. Determining the site of origin of mucinous adenocarcinoma: An immunohistochemical study of 175 cases. Am. J. Surg. Pathol. 2011, 35, 1830–1836. [Google Scholar] [CrossRef] [PubMed]
  29. Shin, J.H.; Bae, J.H.; Lee, A.; Jung, C.K.; Yim, H.W.; Park, J.S.; Lee, K.Y. CK7, CK20, CDX2 and MUC2 Immunohistochemical staining used to distinguish metastatic colorectal carcinoma involving ovary from primary ovarian mucinous adenocarcinoma. Jpn. J. Clin. Oncol. 2010, 40, 208–213. [Google Scholar] [CrossRef] [PubMed]
  30. van Eden, W.J.; Kok, N.F.M.; Snaebjornsson, P.; Jóźwiak, K.; Woensdregt, K.; Bottenberg, P.D.; Boot, H.; Aalbers, A.G.J. Factors influencing long-term survival after cytoreductive surgery and hyperthermic intraperitoneal chemotherapy for pseudomyxoma peritonei originating from appendiceal neoplasms. BJS Open 2019, 3, 376–386. [Google Scholar] [CrossRef] [PubMed] [PubMed Central]
  31. NCCN Guidelines Version 3.2024. Principles of Surgery. Available online: https://www.nccn.org/guidelines/guidelines-detail?category=1&id=1453 (accessed on 13 September 2024).
  32. Whitney, C.W.; Spirtos, N. Gynecologic Oncology Group Surgical Procedures Manual; Gynecologic Oncology Group: Philadelphia, PA, USA, 2010. [Google Scholar]
  33. Liu, Y.; Ni, M.; Huang, F.; Gu, Q.; Xiao, Y.; Du, X. Neoadjuvant chemotherapy in advanced epithelial ovarian cancer by histology: A SEER based survival analysis. Medicine 2023, 102, e32774. [Google Scholar] [CrossRef]
  34. Chua, T.C.; Moran, B.J.; Sugarbaker, P.H.; Levine, E.A.; Glehen, O.; Gilly, F.N.; Baratti, D.; Deraco, M.; Elias, D.; Sardi, A.; et al. Early- and long-term outcome data of patients with pseudomyxoma peritonei from appendiceal origin treated by a strategy of cytoreductive surgery and hyperthermic intraperitoneal chemotherapy. J. Clin. Oncol. 2012, 30, 2449–2456. [Google Scholar] [CrossRef] [PubMed]
  35. Liu, J.; Burris, H.; Wang, J.S.; Barroilhet, L.; Gutierrez, M.; Wang, Y.; Vaze, A.; Commerford, R.; Royer-Joo, S.; Choeurng, V.; et al. An open-label phase I dose-escalation study of the safety and pharmacokinetics of DMUC4064A in patients with platinum-resistant ovarian cancer. Gynecol. Oncol. 2021, 163, 473–480. [Google Scholar] [CrossRef] [PubMed]
  36. Brewer, M.; Angioli, R.; Scambia, G.; Lorusso, D.; Terranova, C.; Panici, P.B.; Raspagliesi, F.; Scollo, P.; Plotti, F.; Ferrandina, G.; et al. Front-line chemo-immunotherapy with carboplatin-paclitaxel using oregovomab indirect immunization in advanced ovarian cancer: A randomized phase II study. Gynecol. Oncol. 2020, 156, 523–529. [Google Scholar] [CrossRef] [PubMed]
  37. Ledermann, J.A.; Zurawski, B.; Raspagliesi, F.; De Giorgi, U.; Arranz Arija, J.; Romeo Marin, M.; Lisyanskaya, A.; Póka, R.L.; Markowska, J.; Cebotaru, C.; et al. Maintenance therapy of patients with recurrent epithelial ovarian carcinoma with the anti-tumor-associated-mucin-1 antibody gatipotuzumab: Results from a double-blind, placebo-controlled, randomized, phase II study. ESMO Open. 2022, 7, 100311. [Google Scholar] [CrossRef] [PubMed] [PubMed Central]
  38. Yan, T.D.; Bijelic, L.; Sugarbaker, P.H. Critical analysis of treatment failure after complete cytoreductive surgery and perioperative intraperitoneal chemotherapy for peritoneal dissemination from appendiceal mucinous neoplasms. Ann. Surg. Oncol. 2007, 14, 2289–2299. [Google Scholar] [CrossRef] [PubMed]
  39. Nitecki, S.S.; Wolff, B.G.; Schlinkert, R.; Sarr, M.G. The natural history of surgically treated primary adenocarcinoma of the appendix. Ann. Surg. 1994, 219, 51–57. [Google Scholar] [CrossRef] [PubMed] [PubMed Central]
Figure 1. Pseudomyxoma of the peritoneum with subcutaneous mucin extravasation; clinical differential diagnosis with an incarcerated incisional hernia.
Figure 1. Pseudomyxoma of the peritoneum with subcutaneous mucin extravasation; clinical differential diagnosis with an incarcerated incisional hernia.
Life 14 01390 g001
Figure 2. CT aspect of PP; evaluation of secondary peritoneal and intestinal metastases is affected by the presence of mucin in the left flank.
Figure 2. CT aspect of PP; evaluation of secondary peritoneal and intestinal metastases is affected by the presence of mucin in the left flank.
Life 14 01390 g002
Figure 3. MLH-1: positive nuclear staining in tumor cell.
Figure 3. MLH-1: positive nuclear staining in tumor cell.
Life 14 01390 g003
Figure 4. PMS-2: positive nuclear staining in tumor cell.
Figure 4. PMS-2: positive nuclear staining in tumor cell.
Life 14 01390 g004
Table 1. ESGO 2017 recommendations for contraindications for CRS (cytoreductive surgery) [13].
Table 1. ESGO 2017 recommendations for contraindications for CRS (cytoreductive surgery) [13].
- Diffuse deep infiltration of the root of small bowel mesentery
- Diffuse carcinomatosis of the small bowel involving such large parts
that resection would lead to short bowel syndrome (remaining bowel < 1.5 m)
  • - Diffuse involvement/deep infiltration of the following:
  • - Stomach/duodenum;
  • - Head or middle part of the pancreas;
  • - Involvement of coeliac trunk, hepatic arteries, left gastric artery;
  • - Central or multisegmental parenchymal liver metastases;
  • - Multiple parenchymal lung metastases (preferably histologically proven).
- Non-resectable lymph nodes
- Brain metastases
Table 2. Characteristics of primary and secondary tumors in PP.
Table 2. Characteristics of primary and secondary tumors in PP.
Tumor OriginMucin CharacteristicsTumor MarkersIHC Markers
Primary ovarian tumorHigh level of intracellular mucin Elevated
CA 125
PAX8
(typical for primary ovarian but inconsistent)
Secondary (metastatic gastrointestinal) ovarian tumorHigh level of extracellular mucin
(acellular mucin)
Elevated
CA 19-9
CEA
SATB2
(consistent)
MUC2
CK20
Table 3. NCCN Guidelines, Version 3.2024. Principles of surgery [30,31].
Table 3. NCCN Guidelines, Version 3.2024. Principles of surgery [30,31].
Mandatory Objectives of Cytoreductive Surgery in PP
As with a primary debulking procedure, every effort should be made to achieve maximum cytoreduction during an interval debulking procedure. Maximal effort should be made to remove all gross disease in the abdomen, pelvis, and retroperitoneum.
All peritoneal surfaces should be visualized, and any peritoneal surface or adhesion suspicious for harboring metastasis should be selectively excised or biopsied.
A radical greater omentectomy should be performed.
Procedures that may be considered for optimal surgical debulking include bowel resection and/or appendectomy, stripping of the diaphragm or other peritoneal surfaces, splenectomy, partial cystectomy and/or ureteroneocystostomy, partial hepatectomy, partial
gastrectomy, cholecystectomy, and/or distal pancreatectomy.
In primary invasive mucinous tumors of the ovary, the upper and lower GI tract should be carefully evaluated to rule out an occult GI primary with ovarian metastases, and an appendectomy need only be performed in patients with a suspected or confirmed mucinous ovarian neoplasm if it appears to be abnormal. A normal appendix does not require surgical resection in this setting.
If a mucinous histology is confirmed by intraoperative frozen section analysis and there are no suspicious lymph nodes, omitting lymphadenectomy should be considered. (after National Comprehensive Cancer Network Gudelines 2024.)
Table 4. Completeness of cytoreduction (CC) [2,32,33,34].
Table 4. Completeness of cytoreduction (CC) [2,32,33,34].
CC0complete removal of all visible disease
CC1residual disease less than 0.25 cm
CC2residual tumor deposits between 0.25 and 2.5 cm
CC3residual tumor deposits > 2.5 cm
Table 5. Mucin-targeted therapies in clinical trials (after Wang et al.) [16].
Table 5. Mucin-targeted therapies in clinical trials (after Wang et al.) [16].
AuthorsYearTherapeutic
Agents
StudyTypes of Cancers EligibleTotal
Patient
Pathological
Types
Findings
(Liu et al., 2021) [35]2021 DMUC4064A
(ADC-MUC16)
Phase ITreatment in patients with
platinum-resistant recurrent
ovarian cancer
65N/RThe clinical benefit rate
was 42%.
27 patients had CR, or PR
or SD lasting ≥ 6 months
(Brewer et al.,
2020) [36]
2020Oregovomab
(MUC16)
Phase
II
Front-line chemoimmunotherapy
with
carboplatin-paclitaxel using
oregovomab indirect
immunization in advanced
ovarian cancer
97Mucinous—2
Serous—86
Endometrioid—6
Clear cell—2
Other—1
Significant improvement
in PFS and OS.
Prolonged PFS 29.6
months for the
oregovomab group.
OS has not yet been
reached.
(Ledermann
et al.,
2022) [37]
2022Gatipotuzumab
(MUC1)
Phase
II
Maintenance therapy of
patients with recurrent
epithelial primary ovarian,
fallopian tube, or primary
peritoneal cancer
216N/RNo improvement in PFS or
OS observed.
N/R—not reported; CR—complete response; PR—partial response; PFS—progresion-free survival; OS—overall survival.
Disclaimer/Publisher’s Note: The statements, opinions and data contained in all publications are solely those of the individual author(s) and contributor(s) and not of MDPI and/or the editor(s). MDPI and/or the editor(s) disclaim responsibility for any injury to people or property resulting from any ideas, methods, instructions or products referred to in the content.

Share and Cite

MDPI and ACS Style

Pariza, G.; Mavrodin, C.; Potorac, A.; Munteanu, O.; Cirstoiu, M.M. Status of and Challenges in Therapy of Mucinous Ovarian Cancer Associated with Pseudomyxoma Peritonei Syndrome: Review of Current Options and Future Treatment Trends. Life 2024, 14, 1390. https://doi.org/10.3390/life14111390

AMA Style

Pariza G, Mavrodin C, Potorac A, Munteanu O, Cirstoiu MM. Status of and Challenges in Therapy of Mucinous Ovarian Cancer Associated with Pseudomyxoma Peritonei Syndrome: Review of Current Options and Future Treatment Trends. Life. 2024; 14(11):1390. https://doi.org/10.3390/life14111390

Chicago/Turabian Style

Pariza, George, Carmen Mavrodin, Alina Potorac, Octavian Munteanu, and Monica Mihaela Cirstoiu. 2024. "Status of and Challenges in Therapy of Mucinous Ovarian Cancer Associated with Pseudomyxoma Peritonei Syndrome: Review of Current Options and Future Treatment Trends" Life 14, no. 11: 1390. https://doi.org/10.3390/life14111390

APA Style

Pariza, G., Mavrodin, C., Potorac, A., Munteanu, O., & Cirstoiu, M. M. (2024). Status of and Challenges in Therapy of Mucinous Ovarian Cancer Associated with Pseudomyxoma Peritonei Syndrome: Review of Current Options and Future Treatment Trends. Life, 14(11), 1390. https://doi.org/10.3390/life14111390

Note that from the first issue of 2016, this journal uses article numbers instead of page numbers. See further details here.

Article Metrics

Back to TopTop