Peripheral Artery Disease Ultrasound Assessment in Predicting the Severity of Coronary Artery Disease
Abstract
1. Introduction
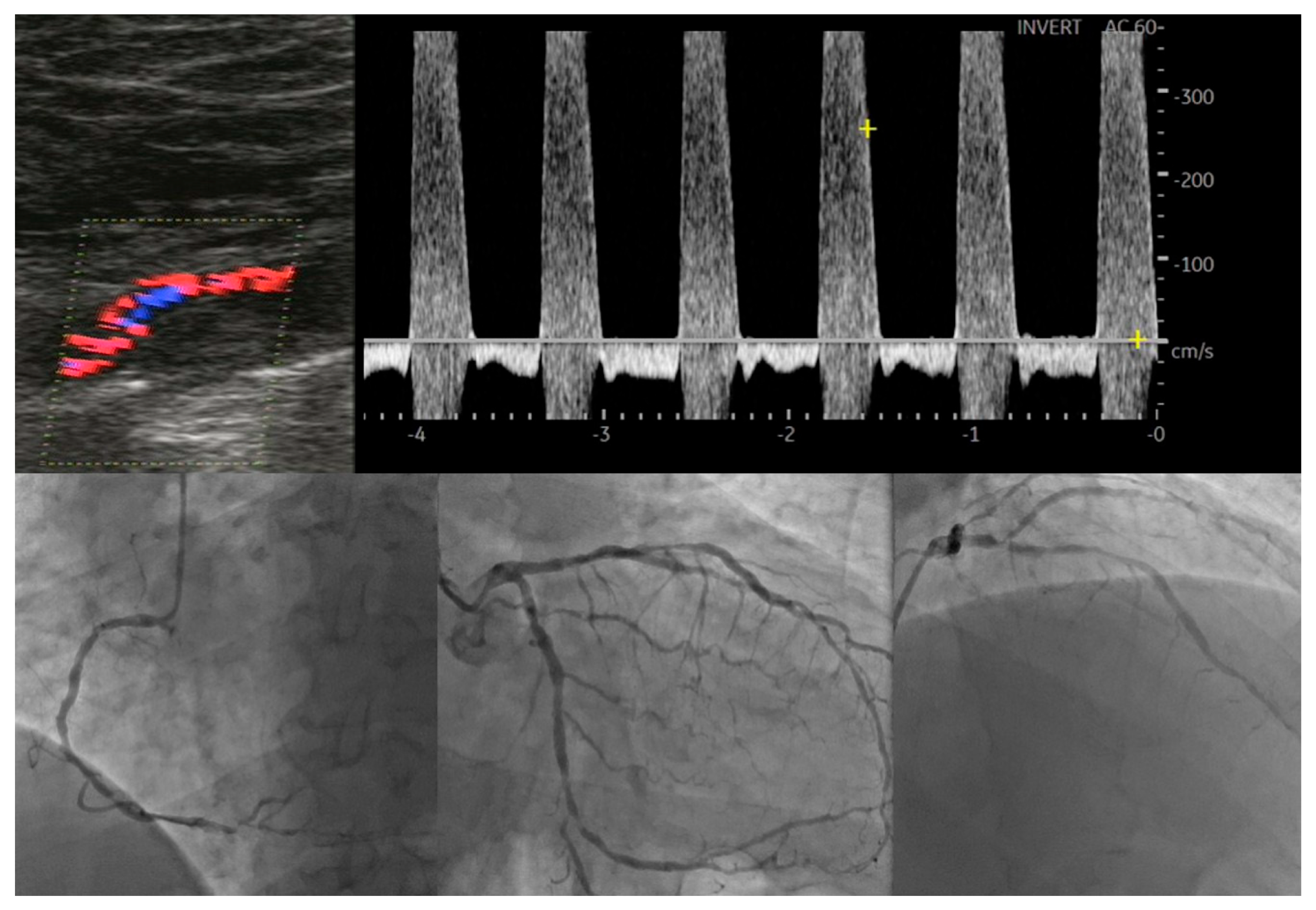
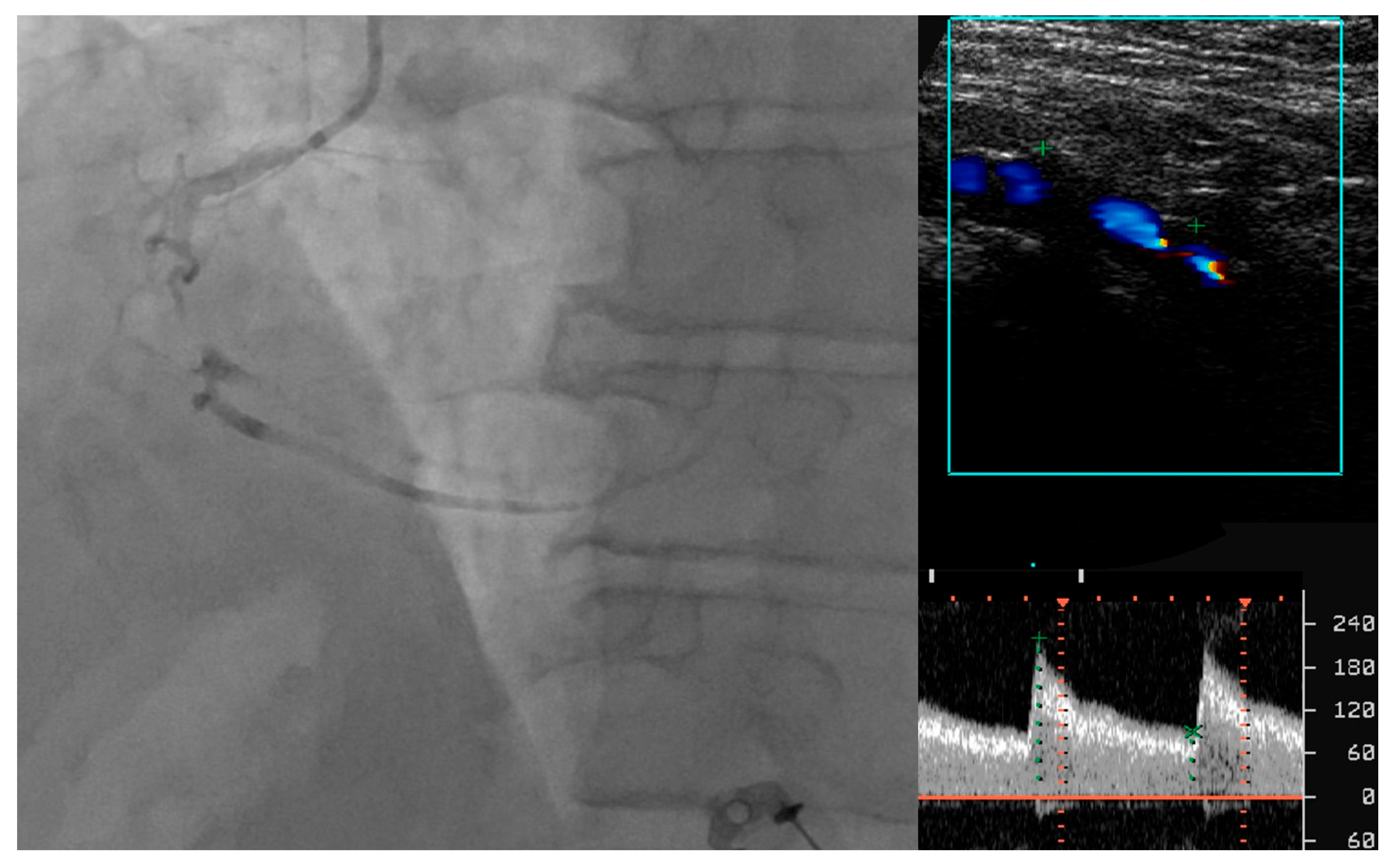
2. Lower Extremity Arterial Disease and Coronary Artery Disease
3. Aortic Atherosclerosis and Coronary Artery Disease
4. Carotid Artery Disease and Coronary Artery Disease
5. Visceral Artery Disease and Coronary Artery Disease
6. Cost-Effectiveness and Future Perspectives
7. Conclusions
Author Contributions
Funding
Conflicts of Interest
References
- Berger, J.S.; Petersen, J.L.; Brown, D.L. Vascular disease burden and in hospital outcomes among patients undergoing percutaneous coronary intervention in New York State. Circ. Cardiovasc. Interv. 2009, 4, 317–322. [Google Scholar] [CrossRef] [PubMed]
- Jeremias, A.; Gruberg, L.; Patel, J.; Connors, G.; Brown, D.L. Effect of peripheral arterial disease on in-hospital outcomes after primary percutaneous coronary intervention for acute myocardial infarction. Am. J. Cardiol. 2010, 105, 1268–1271. [Google Scholar] [CrossRef] [PubMed]
- Saw, J.; Bhatt, D.L.; Moliterno, D.J.; Brener, S.J.; Steinhubl, S.R.; Lincoff, A.M.; Tcheng, J.E.; Harrington, R.A.; Simoons, M.; Hu, T.; et al. The influence of peripheral arterial disease on outcomes: A pooled analysis of mortality in eight large randomized percutaneous coronary intervention trials. J. Am. Coll. Cardiol. 2006, 48, 1567–1572. [Google Scholar] [CrossRef] [PubMed]
- Lamina, C.; Meisinger, C.; Heid, I.M.; Löwel, H.; Rantner, B.; Koenig, W.; Kronenberg, F.; Kora Study Group. Association of ankle-brachial index and plaques in the carotid and femoral arteries with cardiovascular events and total mortality in a population-based study with 13 years of follow-up. Eur. Heart J. 2006, 27, 2580–2587. [Google Scholar] [CrossRef] [PubMed]
- Moussa, I.D.; Jaff, M.R.; Mehran, R.; Gray, W.; Dangas, G.; Lazic, Z.; Moses, J.W. Prevalence and prediction of previously unrecognized peripheral arterial disease in patients with coronary artery disease: The Peripheral Arterial Disease in Interventional Patients Study. Catheter. Cardiovasc. Interv. 2009, 73, 719–724. [Google Scholar] [CrossRef] [PubMed]
- Huelmos, A.; Jiménez, J.; Guijarro, C.; Belinchón, J.C.; Puras, E.; Sánchez, C.; Casas, M.L.; López-Bescos, L. Underrecognized peripheral arterial disease in patients with acute coronary syndrome: Prevalence of traditional and emergent cardiovascular risk factors. Rev. Esp. Cardiol. 2005, 58, 1403–1410. [Google Scholar] [CrossRef] [PubMed]
- Monopoli, D.E.; Bertelli, L.; Sgura, F.A.; Politi, L.; Becirovic, M.; Iaccarino, D.; Lattanzi, A.; Rampino, K.; Gorlato, G.; Menozzi, M.; et al. Long term prognostic value of subclinical carotid and femoral arterial wall lesions in patients with ST-elevation-myocardial infarction having percutaneous coronary intervention. Am. J. Cardiol. 2013, 111, 649–656. [Google Scholar] [CrossRef] [PubMed]
- Belcaro, G.; Nicolaides, A.N.; Ramaswami, G.; Cesarone, M.R.; De Sanctis, M.; Incandela, L.; Ferrari, P.; Geroulakos, G.; Barsotti, A.; Griffin, M.; et al. Carotid and femoral ultrasound morphology screening and cardiovascular events in low risk subject: A 10-year follow-up study (the CAFES-CAVE study). Atherosclerosis 2001, 156, 379–387. [Google Scholar] [CrossRef]
- Artyszuk, Ł.; Błażejowska, E.; Danielecka, Z.; Jurek, J.; Olek, E.; Abramczyk, P. Peripheral atherosclerosis evaluation through ultrasound: A promising diagnostic tool for coronary artery disease. Echocardiography 2023, 40, 841–851. [Google Scholar] [CrossRef]
- Aboyans, V.; Björck, M.; Brodmann, M.; Collet, J.P.; Czerny, M.; De Carlo, M.; Naylor, A.R.; Roffi, M.; Tendera, M.; Vlachopoulos, C.; et al. ESC Scientific Document Group. Questions and answers on diagnosis and management of patients with Peripheral Arterial Diseases: A companion document of the 2017 ESC Guidelines for the Diagnosis and Treatment of Peripheral Arterial Diseases, in collaboration with the European Society for Vascular Surgery (ESVS): Endorsed by: The European Stroke Organisation (ESO)The Task Force for the Diagnosis and Treatment of Peripheral Arterial Diseases of the European Society of Cardiology (ESC) and of the European Society for Vascular Surgery (ESVS). Eur. Heart J. 2018, 39, e35–e41. [Google Scholar]
- Saleh, A.; Makhamreh, H.; Qoussoos, T.; Alawwa, I.; Alsmady, M.; Salah, Z.A.; Shakhatreh, A.; Alhazaymeh, L.; Jabber, M. Prevalence of previously unrecognized peripheral arterial disease in patients undergoing coronary angiography. Medicine 2018, 97, e11519. [Google Scholar] [CrossRef] [PubMed]
- Imori, Y.; Akasaka, T.; Ochiai, T.; Oyama, K.; Tobita, K.; Shishido, K.; Nomura, Y.; Yamanaka, F.; Sugitatsu, K.; Okamura, N.; et al. Co-existence of carotid artery disease, renal artery stenosis, and lower extremity peripheral arterial disease in patients with coronary artery disease. Am. J. Cardiol. 2014, 113, 30–35. [Google Scholar] [CrossRef] [PubMed]
- Aykan, A.Ç.; Hatem, E.; Karabay, C.Y.; Gül, İ.; Gökdeniz, T.; Kalaycıoğlu, E.; Turan, T.; Kara, F.; Arslan, A.O.; Dursun, İ.; et al. Complexity of lower extremity peripheral artery disease reflects the complexity of coronary artery disease. Vascular 2015, 23, 366–373. [Google Scholar] [CrossRef] [PubMed]
- Bonaca, M.P.; Bhatt, D.L.; Storey, R.F.; Steg, P.G.; Cohen, M.; Kuder, J.; Goodrich, E.; Nicolau, J.C.; Parkhomenko, A.; López-Sendón, J.; et al. Ticagrelor for Prevention of Ischemic Events After Myocardial Infarction in Patients with Peripheral Artery Disease. J. Am. Coll. Cardiol. 2016, 67, 2719–2728. [Google Scholar] [CrossRef] [PubMed]
- Kocyigit, D.; Gurses, K.M.; Taydas, O.; Poker, A.; Ozer, N.; Hazirolan, T.; Tokgozoglu, L. Role of femoral artery ultrasound imaging in cardiovascular event risk prediction in a primary prevention cohort at a medium-term follow-up. J. Cardiol. 2020, 75, 537–543. [Google Scholar] [CrossRef] [PubMed]
- Kafetzakis, A.; Kochiadakis, G.; Laliotis, A.; Peteinarakis, I.; Touloupakis, E.; Igoumenidis, N.; Katsamouris, A. Association of subclinical wall changes of carotid, femoral, and popliteal arteries with obstructive coronary artery disease in patients undergoing coronary angiography. Chest 2005, 128, 2538–2543. [Google Scholar] [CrossRef] [PubMed]
- Kirhmajer, M.V.; Banfic, L.; Vojkovic, M.; Strozzi, M.; Bulum, J.; Miovski, Z. Correlation of femoral intima-media thickness and the severity of coronary artery disease. Angiology 2011, 62, 134–139. [Google Scholar] [CrossRef] [PubMed]
- Sosnowski, C.; Pasierski, T.; Janeczko-Sosnowska, E.; Szulczyk, A.; Dabrowski, R.; Woźniak, J.; Sumiński, A.; Ruzyłło, W. Femoral rather than carotid artery ultrasound imaging predicts extent and severity of coronary artery disease. Kardiol. Pol. 2007, 65, 760–768. [Google Scholar]
- Srámek, A.; Bosch, J.G.; Reiber, J.H.; Van Oostayen, J.A.; Rosendaal, F.R. Ultrasound assessment of atherosclerotic vessel wall changes: Reproducibility of intima-media thickness measurements in carotid and femoral arteries. Investig. Radiol. 2000, 35, 699–706. [Google Scholar] [CrossRef]
- Yerly, P.; Marquès-Vidal, P.; Owlya, R.; Eeckhout, E.; Kappenberger, L.; Darioli, R.; Depairon, M. The atherosclerosis burden score (ABS): A convenient ultrasound-based score of peripheral atherosclerosis for coronary artery disease prediction. J. Cardiovasc. Transl. Res. 2015, 8, 138–147. [Google Scholar] [CrossRef]
- Santoro, L.; Ferraro, P.M.; Flex, A.; Nesci, A.; De Matteis, G.; Di Giorgio, A.; Zaccone, V.; Gambaro, G.; Gasbarrini, A.; Santoliquido, A. New semiquantitative ultrasonographic score for peripheral arterial disease assessment and its association with cardiovascular risk factors. Hypertens. Res. 2016, 39, 868–873. [Google Scholar] [CrossRef] [PubMed]
- Colledanchise, K.N.; Mantella, L.E.; Hétu, M.F.; Liblik, K.; Abunassar, J.G.; Johri, A.M. Femoral plaque burden by ultrasound is a better indicator of significant coronary artery disease over ankle brachial index. Int. J. Cardiovasc. Imaging 2021, 37, 2965–2973. [Google Scholar] [CrossRef] [PubMed]
- Santoro, L.; Flex, A.; Nesci, A.; Ferraro, P.M.; De Matteis, G.; Di Giorgio, A.; Giupponi, B.; Saviano, L.; Gambaro, G.; Franceschi, F.; et al. Association between peripheral arterial disease and cardiovascular risk factors: Role of ultrasonography versus ankle-brachial index. Eur. Rev. Med. Pharmacol. Sci. 2018, 22, 3160–3165. [Google Scholar] [PubMed]
- Li, W.; Luo, S.; Luo, J.; Liu, Y.; Huang, W.; Chen, J. Association between abdominal aortic plaque and coronary artery disease. Clin. Interv. Aging 2016, 11, 683–688. [Google Scholar] [CrossRef] [PubMed]
- Agmon, Y.; Khandheria, B.K.; Meissner, I.; Schwartz, G.L.; Petterson, T.M.; O'Fallon, W.M.; Whisnant, J.P.; Wiebers, D.O.; Seward, J.B. Relation of coronary artery disease and cerebrovascular disease with atherosclerosis of the thoracic aorta in the general population. Am. J. Cardiol. 2002, 89, 262–267. [Google Scholar] [CrossRef] [PubMed]
- Matsumura, Y.; Takata, J.; Yabe, T.; Furuno, T.; Chikamori, T.; Doi, Y.L. Atherosclerotic aortic plaque detected by transesophageal echocardiography: Its significance and limitation as a marker for coronary artery disease in the elderly. Chest 1997, 112, 81–86. [Google Scholar] [CrossRef] [PubMed]
- Kim, H.Y.; Kim, C.J.; Rho, T.H.; Youn, H.J.; Jin, S.W.; Rhim, H.Y.; Park, J.W.; Jeon, H.K.; Chae, J.S.; Kim, J.H.; et al. Transesophageal echocardiographic detection of thoracic aortic plaque could noninvasively predict significant obstructive coronary artery disease. Korean J. Intern. Med. 1999, 14, 20–26. [Google Scholar] [CrossRef]
- Dávila-Román, V.G.; Murphy, S.F.; Nickerson, N.J.; Kouchoukos, N.T.; Schechtman, K.B.; Barzilai, B. Atherosclerosis of the ascending aorta is an independent predictor of long-term neurologic events and mortality. J. Am. Coll. Cardiol. 1999, 33, 1308–1316. [Google Scholar] [CrossRef]
- Meissner, I.; Khandheria, B.K.; Sheps, S.G.; Schwartz, G.L.; Wiebers, D.O.; Whisnant, J.P.; Covalt, J.L.; Petterson, T.M.; Christianson, T.J.; Agmon, Y. Atherosclerosis of the aorta: Risk factor, risk marker, or innocent bystander? A prospective population-based transesophageal echocardiography study. J. Am. Coll. Cardiol. 2004, 44, 1018–1024. [Google Scholar] [CrossRef]
- Arnett, D.K.; Blumenthal, R.S.; Albert, M.A.; Buroker, A.B.; Goldberger, Z.D.; Hahn, E.J.; Himmelfarb, C.D.; Khera, A.; Lloyd-Jones, D.; McEvoy, J.W. 2019 ACC/AHA Guideline on the Primary Prevention of Cardiovascular Disease: A Report of the American College of Cardiology/American Heart Association Task Force on Clinical Practice Guidelines. Circulation 2019, 140, e596–e646. [Google Scholar] [CrossRef]
- Visseren, F.L.J.; Mach, F.; Smulders, Y.M.; ESC National Cardiac Societies; ESC Scientific Document Group. 2021 ESC Guidelines on cardiovascular disease prevention in clinical practice. Eur. Heart J. 2021, 42, 3227–3337. [Google Scholar] [CrossRef] [PubMed]
- Granér, M.; Varpula, M.; Kahri, J.; Salonen, R.M.; Nyyssönen, K.; Nieminen, M.S.; Taskinen, M.R.; Syvänne, M. Association of carotid intima-media thickness with angiographic severity and extent of coronary artery disease. Am. J. Cardiol. 2006, 97, 624–629. [Google Scholar] [CrossRef] [PubMed]
- Bytyçi, I.; Shenouda, R.; Wester, P.; Henein, M.Y. Carotid Atherosclerosis in Predicting Coronary Artery Disease: A Systematic Review and Meta-Analysis. Arterioscler. Thromb. Vasc. Biol. 2021, 41, e224–e237. [Google Scholar] [CrossRef] [PubMed]
- Lekakis, J.P.; Papamichael, C.; Papaioannou, T.G.; Stamatelopoulos, K.S.; Cimponeriu, A.; Protogerou, A.D.; Kanakakis, J.; Stamatelopoulos, S.F. Intima-media thickness score from carotid and femoral arteries predicts the extent of coronary artery disease: Intima-media thickness and CAD. Int. J. Cardiovasc. Imaging 2005, 21, 495–501. [Google Scholar] [CrossRef] [PubMed]
- Inaba, Y.; Chen, J.A.; Bergmann, S.R. Carotid plaque, compared with carotid intima-media thickness, more accurately predicts coronary artery disease events: A meta-analysis. Atherosclerosis 2012, 220, 128–133. [Google Scholar] [CrossRef] [PubMed]
- Park, H.W.; Kim, W.H.; Kim, K.H.; Yang, D.J.; Kim, J.H.; Song, I.G.; Kwon, T.G.; Bae, J.H. Carotid plaque is associated with increased cardiac mortality in patients with coronary artery disease. Int. J. Cardiol. 2013, 166, 658–663. [Google Scholar] [CrossRef] [PubMed]
- Ikeda, N.; Kogame, N.; Iijima, R.; Nakamura, M.; Sugi, K. Carotid artery intima-media thickness and plaque score can predict the SYNTAX score. Eur. Heart J. 2012, 33, 113–119. [Google Scholar] [CrossRef] [PubMed]
- Sillesen, H.; Sartori, S.; Sandholt, B.; Baber, U.; Mehran, R.; Fuster, V. Carotid plaque thickness and carotid plaque burden predict future cardiovascular events in asymptomatic adult Americans. Eur. Heart J. Cardiovasc. Imaging 2018, 19, 1042–1050. [Google Scholar] [CrossRef]
- Mitchell, C.; Korcarz, C.E.; Gepner, A.D.; Kaufman, J.D.; Post, W.; Tracy, R.; Gassett, A.J.; Ma, N.; McClelland, R.L.; Stein, J.H. Ultrasound carotid plaque features, cardiovascular disease risk factors and events: The Multi-Ethnic Study of Atherosclerosis. Atherosclerosis 2018, 276, 195–202. [Google Scholar] [CrossRef]
- Wu, N.; Chen, X.; Li, M.; Qu, X.; Li, Y.; Xie, W.; Wu, L.; Xiang, Y.; Li, Y.; Zhong, L. Predicting obstructive coronary artery disease using carotid ultrasound parameters: A nomogram from a large real-world clinical data. Eur. J. Clin. Investig. 2018, 48, e12956. [Google Scholar] [CrossRef]
- Wannarong, T.; Parraga, G.; Buchanan, D.; Fenster, A.; House, A.A.; Hackam, D.G.; Spence, J.D. Progression of carotid plaque volume predicts cardiovascular events. Stroke 2013, 44, 1859–1865. [Google Scholar] [CrossRef] [PubMed]
- Johri, A.M.; Chitty, D.W.; Matangi, M.; Malik, P.; Mousavi, P.; Day, A.; Gravett, M.; Simpson, C. Can carotid bulb plaque assessment rule out significant coronary artery disease? A comparison of plaque quantification by two- and three-dimensional ultrasound. J. Am. Soc. Echocardiogr. 2013, 26, 86–95. [Google Scholar] [CrossRef] [PubMed]
- Tang, W.; Shen, X.; Li, H.; Bai, Y.; Zhang, B.; Guo, Z.; Wu, H.; Li, P.; Zhao, X. The independent and incremental value of ultrasound carotid plaque length to predict the presence and severity of coronary artery disease: Analysis from the carotid plaque length prospective registry. Eur. Heart J. Cardiovasc. Imaging 2020, 21, 389–396. [Google Scholar] [CrossRef] [PubMed]
- Li, Y.; Zhang, Y.; Geng, X.; Zhao, S.; Sun, Y.X.; Wang, Y.B. Increased carotid stiffness detected by ultrafast ultrasound imaging is associated with the Gensini score. Med. Ultrason. 2020, 22, 183–188. [Google Scholar] [CrossRef] [PubMed]
- Hitomi, Y.; Masaki, N.; Ishinoda, Y.; Kagami, K.; Yasuda, R.; Toya, T.; Namba, T.; Nagatomo, Y.; Takase, B.; Adachi, T. Effectiveness of pulsatility index of carotid Doppler ultrasonography to predict cardiovascular events. J. Med. Ultrason 2022, 49, 95–103. [Google Scholar] [CrossRef] [PubMed]
- Tătaru, D.A.; Olinic, M.; Homorodean, C.; Ober, M.C.; Spînu, M.; Lazăr, F.L.; Onea, L.; Olinic, D.M. Correlation between Ultrasound Peak Systolic Velocity and Angiography for Grading Internal Carotid Artery Stenosis. J. Clin. Med. 2024, 13, 517. [Google Scholar] [CrossRef] [PubMed]
- Mantella, L.E.; Colledanchise, K.N.; Hétu, M.F.; Feinstein, S.B.; Abunassar, J.; Johri, A.M. Carotid intraplaque neovascularization predicts coronary artery disease and cardiovascular events. Eur. Heart J. Cardiovasc. Imaging 2019, 20, 1239–1247. [Google Scholar] [CrossRef]
- Battaglia, Y.; Fiorini, F.; Gisonni, P.; Imbriaco, M.; Lentini, P.; Zeiler, M.; Russo, L.; Prencipe, M.; Russo, D.; Ultrasound Study Group of the Italian Society of Nephrology. Ultrasonographic Assessment of Atherosclerotic Renal Artery Stenosis in Elderly Patients with Chronic Kidney Disease: An Italian Cohort Study. Diagnostics 2022, 12, 1454. [Google Scholar] [CrossRef]
- Pearce, J.D.; Craven, T.E.; Edwards, M.S.; Corriere, M.A.; Crutchley, T.A.; Fleming, S.H.; Hansen, K.J. Associations between renal duplex parameters and adverse cardiovascular events in the elderly: A prospective cohort study. Am. J. Kidney Dis. 2010, 55, 281–290. [Google Scholar] [CrossRef]
- Quisi, A.; Kurt, I.H.; Şahin, D.Y.; Kaypaklı, O.; Söker, G.; Kaya, Ö.; Allahverdiyev, S.; Genç, Ö.; Alıcı, G.; Koç, M. Evaluation of the relationship between renal resistive index and extent and complexity of coronary artery disease in patients with acute coronary syndrome. Kardiol. Pol. 2017, 75, 1199–1207. [Google Scholar] [CrossRef]
- Geraci, G.; Buccheri, D.; Zanoli, L.; Fatuzzo, P.; Di Natale, K.; Zammuto, M.M.; Nardi, E.; Geraci, C.; Mancia, E.; Zambelli, G.; et al. Renal haemodynamics and coronary atherosclerotic burden are associated in patients with hypertension and mild coronary artery disease. Exp. Ther. Med. 2019, 17, 3255–3263. [Google Scholar] [CrossRef] [PubMed]
- Wybraniec, M.T.; Bożentowicz-Wikarek, M.; Olszanecka-Glinianowicz, M.; Chudek, J.; Mizia-Stec, K. Renal resistive index and long-term outcome in patients with coronary artery disease. BMC Cardiovasc. Disord. 2020, 20, 322. [Google Scholar] [CrossRef] [PubMed]
- Aboyans, V.; Tanguy, B.; Desormais, I.; Bonnet, V.; Chonchol, M.; Laskar, M.; Mohty, D.; Lacroix, P. Prevalence of renal artery disease and its prognostic significance in patients undergoing coronary bypass grafting. Am. J. Cardiol. 2014, 114, 1029–1034. [Google Scholar] [CrossRef] [PubMed]
- Philip, F.; Gornik, H.L.; Rajeswaran, J.; Blackstone, E.H.; Shishehbor, M.H. The impact of renal artery stenosis on outcomes after open-heart surgery. J. Am. Coll. Cardiol. 2014, 63, 310–316. [Google Scholar] [CrossRef] [PubMed]
- Achim, A.; Stanek, A.; Homorodean, C.; Spinu, M.; Onea, H.L.; Lazăr, L.; Marc, M.; Ruzsa, Z.; Olinic, D.M. Approaches to Peripheral Artery Disease in Diabetes: Are There Any Differences? Int. J. Environ. Res. Public Health 2022, 19, 9801. [Google Scholar] [CrossRef] [PubMed]
- Achim, A.; Lackó, D.; Hüttl, A.; Csobay-Novák, C.; Csavajda, Á.; Sótonyi, P.; Merkely, B.; Nemes, B.; Ruzsa, Z. Impact of Diabetes Mellitus on Early Clinical Outcome and Stent Restenosis after Carotid Artery Stenting. J. Diabetes Res. 2022, 2022, 4196195. [Google Scholar] [CrossRef] [PubMed]
- Achim, A.; Kákonyi, K.; Nagy, F.; Jambrik, Z.; Varga, A.; Nemes, A.; Chan, J.S.K.; Toth, G.G.; Ruzsa, Z. Radial Artery Calcification in Predicting Coronary Calcification and Atherosclerosis Burden. Cardiol Res Pract. 2022, 2022, 5108389. [Google Scholar] [CrossRef]
- Aboyans, V.; De Carlo, M. Multisite artery disease. In The ESC Textbook of Cardiovascular Medicine, 3rd ed.; The European Society of Cardiology Series; ESC Publications: Oxford, UK, 2018. [Google Scholar]
- Mulita, F.; Verras, G.I.; Anagnostopoulos, C.N.; Kotis, K. A Smarter Health through the Internet of Surgical Things. Sensors 2022, 22, 4577. [Google Scholar] [CrossRef]





| Study | Results |
|---|---|
| Saw J et al. [3] | Patients undergoing PCI and associated LEAD vs. without LEAD had increased 6-month death and MI rate (4.2 vs. 1.5%, p < 0.00; 9.1 vs. 7.7%, p = 0.048) |
| Lamina C et al. [4] | A 52, 70 and 45% increased risk of MI, CV and total death for each additional plaque-affected femoral/carotid artery (p < 0.0001) |
| Imori Y et al. [12] | Significant correlation between LEAD and the extent of CAD (p < 0.0001); 27 and 30% prevalence of LEAD in patients with three-vessel disease and left main disease, respectively |
| Aykan AC et al. [13] | Correlation between complex LEAD and complex CAD (β = 0.282, 95% CI 0.431–0.782; p < 0.001) |
| PEGASUS-TIMI 54 trial [14] | Patients with prior MI and LEAD vs. without LEAD had higher 3-year MACE (19.3 vs. 8.4%; p < 0.001), CV death (HR 1.84, 95% CI 1.16–2.94; p = 0.0102), total death (HR 2.05, 95% CI 1.43–2.94; p < 0.001) and stroke (HR 2.31, 95% CI 1.26–4.25; p = 0.0071) rates |
| Kocyigit D et al. [15] | Patients scheduled for coronary CT angiography who experienced MACE at 2-year follow up had increased fIMT (p = 0.015), femoral plaque irregularities and ulcerations (p = 0.001) |
| Kafetzakis A et al. [16] | fIMT was predictive of obstructive CAD (Sp 60%, Se 70%) |
| Kirhmajer MV et al. [17] | Correlation between fIMT and presence of CAD (p = 0.0000), severity of CAD (p = 0.0000) and other CV risk factors |
| Sosnowski C et al. [18] | fIMT predicts single-vessel CAD (OR 5.0, 95% CI 1.4–18.4) while the presence of femoral plaque predicts multi-vessel CAD (OR 1.4, 95% CI 1.0–2.0) |
| Srámek A et al. [19] | fIMT has good reproducibility and reliability in healthy subjects (variability 5.5%) but lower reproducibility in patients with clinical atherosclerosis (variability 17.5%) |
| Yerly P et al. [20] | Atherosclerosis burden score (sum of carotid and femoral arterial bifurcations with plaques) is superior to femoral plaque score in detecting CAD (AUC 0.79, 95% CI 0.73–0.86; p = 0.027) and predicting CAD extension (R = 0.55; p < 0.001) |
| Santoro L et al. [21] | The US lower limb atherosclerosis score (which facilitates the categorization of atherosclerotic lesions of the lower limbs in all stages of LEAD) is associated with CV risk factors, previous CV events (p = 0.01) and family history of CV disease (p = 0.05) |
| Colledanchise KN et al. [22] | Femoral US had a higher Se (85%) than the ABI (25%) for ruling out significant CAD, but similar capacity to detect LEAD; femoral total plaque area had the strongest association with CAD (rho = 0.37; p < 0.0001) |
| Santoro L et al. [23] | Femoral US is superior to ABI in predicting LEAD at all stages, as well as CV events |
Disclaimer/Publisher’s Note: The statements, opinions and data contained in all publications are solely those of the individual author(s) and contributor(s) and not of MDPI and/or the editor(s). MDPI and/or the editor(s) disclaim responsibility for any injury to people or property resulting from any ideas, methods, instructions or products referred to in the content. |
© 2024 by the authors. Licensee MDPI, Basel, Switzerland. This article is an open access article distributed under the terms and conditions of the Creative Commons Attribution (CC BY) license (https://creativecommons.org/licenses/by/4.0/).
Share and Cite
Olinic, M.; Lazar, F.-L.; Onea, H.-L.; Homorodean, C.; Ober, M.; Tataru, D.; Spinu, M.; Achim, A.; Olinic, D.-M. Peripheral Artery Disease Ultrasound Assessment in Predicting the Severity of Coronary Artery Disease. Life 2024, 14, 333. https://doi.org/10.3390/life14030333
Olinic M, Lazar F-L, Onea H-L, Homorodean C, Ober M, Tataru D, Spinu M, Achim A, Olinic D-M. Peripheral Artery Disease Ultrasound Assessment in Predicting the Severity of Coronary Artery Disease. Life. 2024; 14(3):333. https://doi.org/10.3390/life14030333
Chicago/Turabian StyleOlinic, Maria, Florin-Leontin Lazar, Horea-Laurentiu Onea, Calin Homorodean, Mihai Ober, Dan Tataru, Mihail Spinu, Alexandru Achim, and Dan-Mircea Olinic. 2024. "Peripheral Artery Disease Ultrasound Assessment in Predicting the Severity of Coronary Artery Disease" Life 14, no. 3: 333. https://doi.org/10.3390/life14030333
APA StyleOlinic, M., Lazar, F.-L., Onea, H.-L., Homorodean, C., Ober, M., Tataru, D., Spinu, M., Achim, A., & Olinic, D.-M. (2024). Peripheral Artery Disease Ultrasound Assessment in Predicting the Severity of Coronary Artery Disease. Life, 14(3), 333. https://doi.org/10.3390/life14030333

