A Unified Pipeline for Simultaneous Brain Tumor Classification and Segmentation Using Fine-Tuned CNN and Residual UNet Architecture
Abstract
1. Introduction
- Unified Pipeline Development: Introduce a novel pipeline that seamlessly integrates classification and segmentation tasks for brain tumor analysis, addressing the scarcity of literature concurrently tackling these crucial aspects.
- Generalized Approach: Demonstrate the versatility of my pipeline by applying it to two distinct brain tumor datasets. This includes a four-class classification dataset and a two-class classification dataset with accompanying segmentation masks, showcasing the adaptability of my approach to various data structures and classification complexities.
- Comprehensive Performance Evaluation: Through extensive experimentation on multiple datasets, including the Figshare dataset (encompassing meningioma, glioma, and pituitary tumor classes) and the additional two-class dataset, I meticulously evaluate the proposed pipeline’s performance across different classification scenarios and segmentation tasks.
- Robust Model Assessment: Employ a comprehensive set of evaluation metrics, including precision, recall, F1-score, Dice coefficient, IOU, and Jaccard distance, to provide a thorough assessment of my proposed pipeline’s efficacy in both classification and segmentation tasks. These metrics offer valuable insights into the model’s performance across varying dataset complexities and its ability to accurately delineate tumor regions within medical images.
- Multi-task Learning Insights: Analyze the performance of my unified approach in handling both classification and segmentation tasks simultaneously, providing insights into the benefits and challenges of multi-task learning in the context of brain tumor analysis.
2. Materials and Methodology
2.1. Dataset Description
- Dataset Composition:
- (a)
- Tumor Types: The Figshare dataset encompasses three distinct categories of brain tumors, namely glioma, meningioma, and pituitary tumor, with varying distributions among the samples.
- (b)
- Sample Distribution: Among the 3064 MRI images, there are 1426 images corresponding to glioma tumors, 708 images representing meningiomas, and 930 images depicting pituitary tumors, ensuring representation across different tumor types.
- (c)
- Imaging Modalities: The dataset primarily consists of T1-weighted MRI scans, which are fundamental for visualizing anatomical structures and pathological changes in brain tissue.
- Dataset Annotation and Structure:
- (a)
- Annotation Details: Each MRI image entry in the dataset is accompanied by essential information, including the class name (tumor type), patient ID, image data, tumor borders (defined by x and y coordinates outlining various points on the tumor’s boundary), and a binary tumor mask representing the segmented tumor area.
- (b)
- Data Format: The dataset is stored in MATLAB (.mat) format, facilitating ease of access and compatibility with common programming environments for data analysis and algorithm development.
2.2. Dataset Preprocessing
2.3. Feature Extraction
2.4. Fine-Tuned CNN Model
2.5. Residual-UNet Architecture
2.5.1. Description of Model Architecture
2.5.2. Encoding Path
- Stage 1 begins with two consecutive convolutional layers with 16 filters, followed by max-pooling.
- Stage 2 utilizes residual blocks with 32 filters, followed by max-pooling.
- Stage 3 employs residual blocks with 64 filters, followed by max-pooling.
- Stage 4 features residual blocks with 128 filters, followed by max-pooling.
2.5.3. Bottleneck
2.5.4. Decoding Path
- Upsample Stage 1: Upsamples the feature maps from the bottleneck stage and concatenates them with the feature maps from Stage 4. The concatenated feature maps are then processed by a residual block with 128 filters.
- Upsample Stage 2: Performs upsampling followed by concatenation with the feature maps from Stage 3. The concatenated feature maps are processed by a residual block with 64 filters.
- Upsample Stage 3: Upsamples the feature maps and concatenates with the feature maps from Stage 2, followed by processing through a residual block with 32 filters.
- Upsample Stage 4: Finally, upsampling is performed and concatenated with the feature maps from Stage 1, followed by processing through a residual block with 16 filters.
2.5.5. Output Layer
2.6. Model Training
2.7. Proposed Pipeline Architecture Flow
2.7.1. Input Data Handling
2.7.2. Classification Phase (FT-CNN Model)
2.7.3. Segmentation Phase (RUNet Model)
3. Results and Discussion
- Original Image: The pipeline receives the MRI scan as its initial input, showcasing a comprehensive cross-sectional view of the patient’s brain and potential pathological features.
- Ground Truth Mask: Next to the original image is the ‘Ground Truth Mask’, meticulously annotated by clinical experts to delineate the regions of clinical significance, such as lesions or tumors.
- Predicted Mask: The segmentation branch of our pipeline then predicts a mask, endeavoring to replicate the expert annotations by encapsulating the region of interest highlighted in the MRI scan.
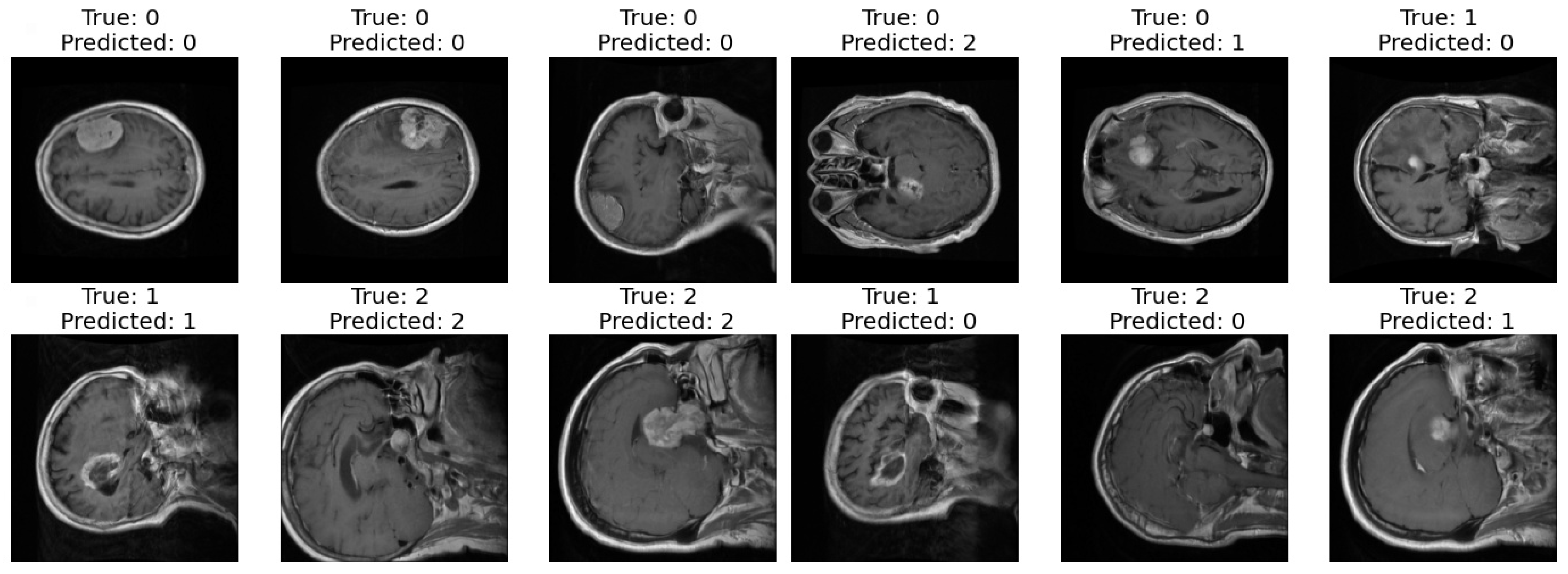
- Predicted Class: Simultaneously, the classification branch assigns a ‘Predicted Class’ to the scan. The labels, denoted by integers (0, 1, 2), classify the scan into categories that reflect the model’s interpretation of the underlying pathology.
3.1. Proposed Model Generalization
3.2. First Dataset (Classification Task)
3.3. Second Dataset (Classification and Segmentation Task)
4. Conclusions
Funding
Institutional Review Board Statement
Informed Consent Statement
Data Availability Statement
Conflicts of Interest
References
- Iorgulescu, J.B.; Sun, C.; Neff, C.; Cioffi, G.; Gutierrez, C.; Kruchko, C.; Ruhl, J.; Waite, K.A.; Negoita, S.; Hofferkamp, J.; et al. Molecular biomarker-defined brain tumors: Epidemiology, validity, and completeness in the United States. Neuro-Oncology 2022, 24, 1989–2000. [Google Scholar] [CrossRef] [PubMed]
- Chahal, P.K.; Pandey, S.; Goel, S. A survey on brain tumor detection techniques for MR images. Multimed. Tools Appl. 2020, 79, 21771–21814. [Google Scholar] [CrossRef]
- Gaillard, A. Brain Tumors. Available online: https://www.radiopaedia.org/articles/brain-tumours (accessed on 12 February 2024).
- Logeswari, T.; Karnan, M. An improved implementation of brain tumor detection using segmentation based on hierarchical self organizing map. Int. J. Comput. Theory Eng. 2010, 2, 591. [Google Scholar] [CrossRef]
- Yadav, S.; Meshram, S. Performance evaluation of basic segmented algorithms for brain tumor detection. J. Electron. Commun. Eng. IOSR 2013, 5, 8–13. [Google Scholar] [CrossRef]
- Ma, J.; He, Y.; Li, F.; Han, L.; You, C.; Wang, B. Segment anything in medical images. Nat. Commun. 2024, 15, 654. [Google Scholar] [CrossRef]
- Helms, G. Segmentation of human brain using structural MRI. Magn. Reson. Mater. Phys. Biol. Med. 2016, 29, 111–124. [Google Scholar] [CrossRef]
- Zhao, C.; Carass, A.; Lee, J.; He, Y.; Prince, J.L. Whole brain segmentation and labeling from CT using synthetic MR images. In Machine Learning in Medical Imaging, Proceedings of the 8th International Workshop, MLMI 2017, Held in Conjunction with MICCAI 2017, Quebec City, QC, Canada, 10 September 2017; Proceedings 8; Springer: Berlin/Heidelberg, Germany, 2017. [Google Scholar]
- Payette, K.; de Dumast, P.; Kebiri, H.; Ezhov, I.; Paetzold, J.C.; Shit, S.; Iqbal, A.; Khan, R.; Kottke, R.; Grehten, P.; et al. An automatic multi-tissue human fetal brain segmentation benchmark using the fetal tissue annotation dataset. Sci. Data 2021, 8, 167. [Google Scholar] [CrossRef]
- Li, H.; Menegaux, A.; Schmitz-Koep, B.; Neubauer, A.; Bäuerlein, F.J.; Shit, S.; Sorg, C.; Menze, B.; Hedderich, D. Automated claustrum segmentation in human brain MRI using deep learning. Hum. Brain Mapp. 2021, 42, 5862–5872. [Google Scholar] [CrossRef]
- Joseph, N.; Sanghani, P.; Ren, H. Semi-automated segmentation of glioblastomas in brain MRI using machine learning techniques. In Proceedings of the 2017 16th IEEE International Conference on Machine Learning and Applications (ICMLA), Cancun, Mexico, 18–21 December 2017; IEEE: Piscataway, NJ, USA, 2017. [Google Scholar]
- Gau, K.; Schmidt, C.S.; Urbach, H.; Zentner, J.; Schulze-Bonhage, A.; Kaller, C.P.; Foit, N.A. Accuracy and practical aspects of semi-and fully automatic segmentation methods for resected brain areas. Neuroradiology 2020, 62, 1637–1648. [Google Scholar] [CrossRef]
- Mohan, G.; Subashini, M.M. MRI based medical image analysis: Survey on brain tumor grade classification. Biomed. Signal Process. Control 2018, 39, 139–161. [Google Scholar] [CrossRef]
- Amin, J.; Sharif, M.; Haldorai, A.; Yasmin, M.; Nayak, R.S. Brain tumor detection and classification using machine learning: A comprehensive survey. Complex Intell. Syst. 2022, 8, 3161–3183. [Google Scholar] [CrossRef]
- Kamboj, A.; Rani, R.; Chaudhary, J. Deep leaming approaches for brain tumor segmentation: A review. In Proceedings of the 2018 First International Conference on Secure Cyber Computing and Communication (ICSCCC), Jalandhar, India, 15–17 December 2018; IEEE: Piscataway, NJ, USA, 2018. [Google Scholar]
- Işın, A.; Direkoğlu, C.; Şah, M. Review of MRI-based brain tumor image segmentation using deep learning methods. Procedia Comput. Sci. 2016, 102, 317–324. [Google Scholar] [CrossRef]
- Sharath Chander, P.; Soundarya, J.; Priyadharsini, R. Brain tumour detection and classification using K-means clustering and SVM classifier. In RITA 2018, Proceedings of the 6th International Conference on Robot Intelligence Technology and Applications, Kuala Lumpur, Malaysia, 16–18 December 2018; Springer: Berlin/Heidelberg, Germany, 2020. [Google Scholar]
- Salehi, S.S.M.; Erdogmus, D.; Gholipour, A. Auto-context convolutional neural network (auto-net) for brain extraction in magnetic resonance imaging. IEEE Trans. Med. Imaging 2017, 36, 2319–2330. [Google Scholar] [CrossRef] [PubMed]
- Nandhagopal, N.; Gandhi, K.R.; Sivasubramanian, R. Probabilistic neural network based brain tumor detection and classification system. Res. J. Appl. Sci. Eng. Technol. 2015, 10, 1347–1357. [Google Scholar] [CrossRef]
- Abdalla, H.E.M.; Esmail, M. Brain tumor detection by using artificial neural network. In Proceedings of the 2018 International Conference on Computer, Control, Electrical, and Electronics Engineering (ICCCEEE), Khartoum, Sudan, 12–14 August 2018; IEEE: Piscataway, NJ, USA, 2018. [Google Scholar]
- Kumar, D.M.; Satyanarayana, D.; Prasad, M.G. MRI brain tumor detection using optimal possibilistic fuzzy C-means clustering algorithm and adaptive k-nearest neighbor classifier. J. Ambient. Intell. Humaniz. Comput. 2021, 12, 2867–2880. [Google Scholar] [CrossRef]
- Gopisai, K.; Rag, S.A. Innovative brain tumor detection technique using K-nearest neighbors and compared with support vector machine. In AIP Conference Proceedings; AIP Publishing: New York, NY, USA, 2023. [Google Scholar]
- Rashid, M.H.; Mamun, M.A.; Hossain, M.A.; Uddin, M.P. Brain tumor detection using anisotropic filtering, SVM classifier and morphological operation from MR images. In Proceedings of the 2018 International Conference on Computer, Communication, Chemical, Material and Electronic Engineering (IC4ME2), Rajshahi, Bangladesh, 8–9 February 2018; IEEE: Piscataway, NJ, USA, 2018. [Google Scholar]
- Maqsood, S.; Damaševičius, R.; Maskeliūnas, R. Multi-modal brain tumor detection using deep neural network and multiclass SVM. Medicina 2022, 58, 1090. [Google Scholar] [CrossRef]
- Ismael, M.R.; Abdel-Qader, I. Brain tumor classification via statistical features and back-propagation neural network. In Proceedings of the 2018 IEEE International Conference on Electro/Information Technology (EIT), Rochester, MI, USA, 3–5 May 2018; IEEE: Piscataway, NJ, USA, 2018. [Google Scholar]
- Naseer, A.; Rani, M.; Naz, S.; Razzak, M.I.; Imran, M.; Xu, G. Refining Parkinson’s neurological disorder identification through deep transfer learning. Neural Comput. Appl. 2020, 32, 839–854. [Google Scholar] [CrossRef]
- Magadza, T.; Viriri, S. Deep learning for brain tumor segmentation: A survey of state-of-the-art. J. Imaging 2021, 7, 19. [Google Scholar] [CrossRef]
- Ito, R.; Nakae, K.; Hata, J.; Okano, H.; Ishii, S. Semi-supervised deep learning of brain tissue segmentation. Neural Netw. 2019, 116, 25–34. [Google Scholar] [CrossRef]
- Asiri, A.A.; Ali, T.; Shaf, A.; Aamir, M.; Shoaib, M.; Irfan, M.; Alshamrani, H.A.; Alqahtani, F.F.; Alshehri, O.M. A Novel Inherited Modeling Structure of Automatic Brain Tumor Segmentation from MRI. Comput. Mater. Contin. 2022, 73, 3983–4002. [Google Scholar] [CrossRef]
- Long, J.; Shelhamer, E.; Darrell, T. Fully convolutional networks for semantic segmentation. In Proceedings of the IEEE Conference on Computer Vision and Pattern Recognition, Boston, MA, USA, 7–12 June 2015. [Google Scholar]
- Hossain, T.; Shishir, F.S.; Ashraf, M.; Al Nasim, M.A.; Shah, F.M. Brain tumor detection using convolutional neural network. In Proceedings of the 2019 1st International Conference on Advances in Science, Engineering and Robotics Technology (ICASERT), Dhaka, Bangladesh, 3–5 May 2019; IEEE: Piscataway, NJ, USA, 2019. [Google Scholar]
- Amin, J.; Sharif, M.; Yasmin, M.; Fernandes, S.L. Big data analysis for brain tumor detection: Deep convolutional neural networks. Future Gener. Comput. Syst. 2018, 87, 290–297. [Google Scholar] [CrossRef]
- Khairish, M.O.; Sharma, M.; Jain, V.; Chatterjee, J.M.; Jhanjhi, N.Z. A hybrid CNN-SVM threshold segmentation approach for tumor detection and classification of MRI brain images. Irbm 2022, 43, 290–299. [Google Scholar] [CrossRef]
- Asiri, A.A.; Shaf, A.; Ali, T.; Zafar, M.; Pasha, M.A.; Irfan, M.; Alqahtani, S.; Alghamdi, A.J.; Alghamdi, A.H.; Alshamrani, A.F.; et al. Enhancing Brain Tumor Diagnosis: Transitioning from Convolutional Neural Network to Involutional Neural Network. IEEE Access 2023, 11, 123080–123095. [Google Scholar] [CrossRef]
- Hosseini, M.P.; Lu, S.; Kamaraj, K.; Slowikowski, A.; Venkatesh, H.C. Deep learning architectures. In Deep Learning: Concepts and Architectures; Springer: Berlin/Heidelberg, Germany, 2020; pp. 1–24. [Google Scholar]
- Dong, C.; Loy, C.C.; He, K.; Tang, X. Image super-resolution using deep convolutional networks. IEEE Trans. Pattern Anal. Mach. Intell. 2015, 38, 295–307. [Google Scholar] [CrossRef]
- Girshick, R.; Donahue, J.; Darrell, T.; Malik, J. Rich feature hierarchies for accurate object detection and semantic segmentation. In Proceedings of the IEEE Conference on Computer Vision and Pattern Recognition, Columbus, OH, USA, 23–28 June 2014. [Google Scholar]
- Szegedy, C.; Liu, W.; Jia, Y.; Sermanet, P.; Reed, S.; Anguelov, D.; Erhan, D.; Vanhoucke, V.; Rabinovich, A. Going deeper with convolutions. In Proceedings of the IEEE Conference on Computer Vision and Pattern Recognition, Boston, MA, USA, 7–12 June 2015. [Google Scholar]
- Wang, S.; Su, Z.; Ying, L.; Peng, X.; Zhu, S.; Liang, F.; Feng, D.; Liang, D. Accelerating magnetic resonance imaging via deep learning. In Proceedings of the 2016 IEEE 13th International Symposium on Biomedical Imaging (ISBI), Prague, Czech Republic, 13–16 April 2016; IEEE: Piscataway, NJ, USA, 2016. [Google Scholar]
- Sun, J.; Li, H.; Xu, Z. Deep ADMM-Net for compressive sensing MRI. Adv. Neural Inf. Process. Syst. 2016, 29. Available online: https://proceedings.neurips.cc/paper_files/paper/2016/file/1679091c5a880faf6fb5e6087eb1b2dc-Paper.pdf (accessed on 12 February 2024).
- Schlemper, J.; Caballero, J.; Hajnal, J.V.; Price, A.N.; Rueckert, D. A deep cascade of convolutional neural networks for dynamic MR image reconstruction. IEEE Trans. Med. Imaging 2017, 37, 491–503. [Google Scholar] [CrossRef]
- Zhu, B.; Liu, J.Z.; Cauley, S.F.; Rosen, B.R.; Rosen, M.S. Image reconstruction by domain-transform manifold learning. Nature 2018, 555, 487–492. [Google Scholar] [CrossRef]
- Wang, G.; Li, Z.; Weng, G.; Chen, Y. An optimized denoised bias correction model with local pre-fitting function for weak boundary image segmentation. Signal Process. 2024, 220, 109448. [Google Scholar] [CrossRef]
- Asiri, A.A.; Shaf, A.; Ali, T.; Aamir, M.; Irfan, M.; Alqahtani, S.; Mehdar, K.M.; Halawani, H.T.; Alghamdi, A.H.; Alshamrani, A.F.; et al. Brain tumor detection and classification using fine-tuned CNN with ResNet50 and U-Net model: A study on TCGA-LGG and TCIA dataset for MRI applications. Life 2023, 13, 1449. [Google Scholar] [CrossRef]
- Deepak, S.; Ameer, P.M. Brain tumour classification using siamese neural network and neighbourhood analysis in embedded feature space. Int. J. Imaging Syst. Technol. 2021, 31, 1655–1669. [Google Scholar] [CrossRef]
- Deepak, S.; Ameer, P.M. Automated categorization of brain tumor from mri using cnn features and svm. J. Ambient. Intell. Humaniz. Comput. 2021, 12, 8357–8369. [Google Scholar] [CrossRef]
- Huang, Z.; Du, X.; Chen, L.; Li, Y.; Liu, M.; Chou, Y.; Jin, L. Convolutional neural network based on complex networks for brain tumor image classification with a modified activation function. IEEE Access 2020, 8, 89281–89290. [Google Scholar] [CrossRef]



















| Class Name | Precision | Recall | F1-Score | Support | Accuracy |
|---|---|---|---|---|---|
| 0 | 0.93 | 0.91 | 0.92 | 161 | 0.96 |
| 1 | 0.95 | 0.98 | 0.97 | 269 | |
| 2 | 0.99 | 0.97 | 0.98 | 183 | |
| Macro avg | 0.96 | 0.95 | 0.95 | 613 | |
| Weighted avg | 0.96 | 0.96 | 0.96 | 613 |
| Ep | Loss | Ac | DC | IOU | JD | VLoss | VAcc | VDC | VIOU | VJD |
|---|---|---|---|---|---|---|---|---|---|---|
| 1 | 0.1665 | 0.9654 | 0.0419 | 0.0014 | 0.9804 | 0.1126 | 0.9804 | 0.0591 | 5.79 × 10−6 | 0.9729 |
| 2 | 0.0791 | 0.9801 | 0.0688 | 0.0203 | 0.9685 | 0.0746 | 0.9806 | 0.0381 | 3.89 × 10−5 | 0.9826 |
| 3 | 0.0612 | 0.9813 | 0.1645 | 0.1425 | 0.9189 | 0.0707 | 0.981 | 0.0688 | 0.0367 | 0.9638 |
| 4 | 0.0501 | 0.9825 | 0.2657 | 0.2598 | 0.8581 | 0.063 | 0.9818 | 0.1585 | 0.1148 | 0.9147 |
| 5 | 0.0427 | 0.9838 | 0.3491 | 0.3412 | 0.8028 | 0.0475 | 0.9827 | 0.3037 | 0.2423 | 0.8303 |
| 6 | 0.0378 | 0.9849 | 0.4129 | 0.3872 | 0.7572 | 0.0391 | 0.9838 | 0.4125 | 0.4096 | 0.7425 |
| 7 | 0.0347 | 0.9856 | 0.4561 | 0.4183 | 0.7258 | 0.035 | 0.9849 | 0.4825 | 0.4335 | 0.7001 |
| 8 | 0.032 | 0.9863 | 0.4952 | 0.4521 | 0.6945 | 0.0341 | 0.9862 | 0.5159 | 0.3894 | 0.6888 |
| 9 | 0.0291 | 0.987 | 0.5367 | 0.4824 | 0.6607 | 0.0307 | 0.9867 | 0.502 | 0.46 | 0.6876 |
| 10 | 0.0273 | 0.9875 | 0.5655 | 0.5033 | 0.6371 | 0.029 | 0.9867 | 0.5525 | 0.4884 | 0.6476 |
| 11 | 0.0253 | 0.988 | 0.5905 | 0.5254 | 0.6138 | 0.0294 | 0.9867 | 0.5913 | 0.4834 | 0.6165 |
| 12 | 0.0236 | 0.9885 | 0.6184 | 0.5468 | 0.5881 | 0.0251 | 0.9878 | 0.5999 | 0.5213 | 0.6033 |
| 13 | 0.0229 | 0.9887 | 0.6307 | 0.5588 | 0.5754 | 0.0237 | 0.9885 | 0.6241 | 0.5559 | 0.5806 |
| 14 | 0.0215 | 0.989 | 0.6477 | 0.5717 | 0.5591 | 0.0238 | 0.9887 | 0.66 | 0.5516 | 0.546 |
| 15 | 0.0205 | 0.9893 | 0.6647 | 0.5856 | 0.5412 | 0.0221 | 0.9889 | 0.6702 | 0.5792 | 0.5341 |
| 16 | 0.0199 | 0.9894 | 0.6739 | 0.5925 | 0.5314 | 0.0295 | 0.9877 | 0.6183 | 0.4993 | 0.5726 |
| 17 | 0.019 | 0.9897 | 0.6861 | 0.6039 | 0.5192 | 0.0212 | 0.9894 | 0.6901 | 0.5814 | 0.5154 |
| 18 | 0.0179 | 0.99 | 0.7024 | 0.6178 | 0.5012 | 0.0265 | 0.9885 | 0.6608 | 0.5263 | 0.5405 |
| 19 | 0.0174 | 0.9901 | 0.7101 | 0.6266 | 0.4915 | 0.0339 | 0.9874 | 0.6104 | 0.491 | 0.5731 |
| 20 | 0.0167 | 0.9904 | 0.7214 | 0.6331 | 0.4825 | 0.0196 | 0.9896 | 0.7013 | 0.5895 | 0.5063 |
| 21 | 0.0159 | 0.9906 | 0.7351 | 0.644 | 0.4665 | 0.0214 | 0.9895 | 0.7028 | 0.5988 | 0.4898 |
| 22 | 0.0153 | 0.9908 | 0.743 | 0.6519 | 0.4585 | 0.0222 | 0.9891 | 0.7025 | 0.5945 | 0.4938 |
| 23 | 0.0149 | 0.9909 | 0.7502 | 0.6613 | 0.4465 | 0.0223 | 0.989 | 0.7015 | 0.5856 | 0.5025 |
| 24 | 0.0145 | 0.991 | 0.7552 | 0.6658 | 0.441 | 0.0228 | 0.9892 | 0.6943 | 0.5803 | 0.4988 |
| 25 | 0.0134 | 0.9913 | 0.7726 | 0.6812 | 0.4213 | 0.0205 | 0.9895 | 0.7184 | 0.5994 | 0.4816 |
| 26 | 0.0132 | 0.9914 | 0.7758 | 0.6864 | 0.4156 | 0.0214 | 0.9897 | 0.734 | 0.6028 | 0.4673 |
| 27 | 0.0129 | 0.9915 | 0.7811 | 0.6929 | 0.4087 | 0.0194 | 0.9899 | 0.7284 | 0.6231 | 0.4634 |
| 28 | 0.0124 | 0.9917 | 0.7889 | 0.7009 | 0.3997 | 0.0199 | 0.9901 | 0.7463 | 0.6336 | 0.444 |
| 29 | 0.0121 | 0.9918 | 0.7942 | 0.7051 | 0.3936 | 0.0201 | 0.9901 | 0.7408 | 0.6188 | 0.4539 |
| 30 | 0.0117 | 0.9919 | 0.8008 | 0.7118 | 0.385 | 0.0215 | 0.9897 | 0.7369 | 0.6151 | 0.4516 |
| Reference # | Techniques | Dataset | Classification Results | Segmentation Result |
|---|---|---|---|---|
| Proposed | RUnet and FT CNN | Figshare | 96% | 98.8% |
| [44] | Unet and CNN | TCGA-LGG | 94% | 92% |
| [45] | CNN + KNN | Figshare | 92.6% | - |
| [46] | CNN + SVM | Figshare | 95.82% | - |
| [47] | CNNBCN | Figshare | 95.49% |
| Ep | Loss | AC | DC | IOU | JD | VLoss | VAcc | VDC | VIOU | VJD |
|---|---|---|---|---|---|---|---|---|---|---|
| 1 | 0.0788 | 0.9974 | 0.9558 | 0.8802 | 0.1215 | 0.1825 | 0.9934 | 0.8888 | 0.7336 | 0.2674 |
| 2 | 0.0799 | 0.9974 | 0.9551 | 0.8779 | 0.1237 | 0.1870 | 0.9932 | 0.8874 | 0.7232 | 0.2776 |
| 3 | 0.0796 | 0.9974 | 0.9552 | 0.8769 | 0.1247 | 0.1843 | 0.9933 | 0.8878 | 0.7152 | 0.2854 |
| 4 | 0.0785 | 0.9974 | 0.9562 | 0.8803 | 0.1213 | 0.1843 | 0.9931 | 0.8875 | 0.7233 | 0.2775 |
| 5 | 0.0794 | 0.9974 | 0.9555 | 0.8787 | 0.1229 | 0.1853 | 0.9932 | 0.8872 | 0.7215 | 0.2791 |
| 6 | 0.0804 | 0.9974 | 0.9548 | 0.8766 | 0.1249 | 0.1877 | 0.9933 | 0.8864 | 0.7373 | 0.2634 |
| 7 | 0.0793 | 0.9974 | 0.9555 | 0.8787 | 0.1229 | 0.1797 | 0.9931 | 0.8915 | 0.7305 | 0.2704 |
| 8 | 0.0788 | 0.9974 | 0.9559 | 0.8788 | 0.1231 | 0.1922 | 0.9931 | 0.8827 | 0.7137 | 0.2869 |
| 9 | 0.0798 | 0.9974 | 0.9552 | 0.8793 | 0.1224 | 0.1834 | 0.9933 | 0.8880 | 0.7215 | 0.2791 |
| 10 | 0.0797 | 0.9974 | 0.9553 | 0.8786 | 0.1230 | 0.1875 | 0.9932 | 0.8864 | 0.7216 | 0.2792 |
| 11 | 0.0778 | 0.9974 | 0.9565 | 0.8812 | 0.1207 | 0.1851 | 0.9933 | 0.8867 | 0.7142 | 0.2866 |
| 12 | 0.0785 | 0.9974 | 0.9562 | 0.8808 | 0.1210 | 0.1845 | 0.9929 | 0.8876 | 0.7140 | 0.2866 |
| 13 | 0.0784 | 0.9974 | 0.9560 | 0.8790 | 0.1226 | 0.1857 | 0.9932 | 0.8887 | 0.7305 | 0.2701 |
| 14 | 0.0788 | 0.9974 | 0.9560 | 0.8807 | 0.1211 | 0.1887 | 0.9931 | 0.8849 | 0.7148 | 0.2861 |
| 15 | 0.0781 | 0.9974 | 0.9562 | 0.8803 | 0.1214 | 0.1908 | 0.9932 | 0.8847 | 0.7278 | 0.2730 |
| 16 | 0.0791 | 0.9974 | 0.9557 | 0.8800 | 0.1217 | 0.1926 | 0.9931 | 0.8818 | 0.7170 | 0.2838 |
| 17 | 0.0780 | 0.9975 | 0.9565 | 0.8811 | 0.1206 | 0.1805 | 0.9933 | 0.8920 | 0.7265 | 0.2741 |
| 18 | 0.0784 | 0.9974 | 0.9563 | 0.8816 | 0.1202 | 0.1840 | 0.9932 | 0.8899 | 0.7314 | 0.2692 |
| 19 | 0.0775 | 0.9975 | 0.9568 | 0.8816 | 0.1202 | 0.1872 | 0.9931 | 0.8888 | 0.7209 | 0.2796 |
| 20 | 0.0775 | 0.9975 | 0.9568 | 0.8818 | 0.1200 | 0.1821 | 0.9934 | 0.8919 | 0.7257 | 0.2748 |
| 21 | 0.0774 | 0.9975 | 0.9570 | 0.8826 | 0.1192 | 0.1960 | 0.9931 | 0.8795 | 0.7272 | 0.2734 |
| 22 | 0.0795 | 0.9974 | 0.9554 | 0.8799 | 0.1218 | 0.1876 | 0.9931 | 0.8873 | 0.7146 | 0.2857 |
| 23 | 0.0774 | 0.9975 | 0.9568 | 0.8816 | 0.1202 | 0.1849 | 0.9933 | 0.8895 | 0.7243 | 0.2760 |
| 24 | 0.0773 | 0.9975 | 0.9568 | 0.8819 | 0.1197 | 0.1778 | 0.9936 | 0.8929 | 0.7219 | 0.2785 |
| 25 | 0.0773 | 0.9975 | 0.9572 | 0.8810 | 0.1207 | 0.1832 | 0.9934 | 0.8901 | 0.7286 | 0.2719 |
| 26 | 0.0777 | 0.9975 | 0.9567 | 0.8814 | 0.1203 | 0.1869 | 0.9932 | 0.8892 | 0.7207 | 0.2798 |
| 27 | 0.0775 | 0.9974 | 0.9566 | 0.8810 | 0.1206 | 0.1946 | 0.9932 | 0.8814 | 0.7127 | 0.2879 |
| 28 | 0.0775 | 0.9975 | 0.9569 | 0.8826 | 0.1191 | 0.1931 | 0.9933 | 0.8828 | 0.7181 | 0.2822 |
| 29 | 0.0776 | 0.9975 | 0.9568 | 0.8820 | 0.1197 | 0.1852 | 0.9932 | 0.8884 | 0.7201 | 0.2802 |
| 30 | 0.0768 | 0.9975 | 0.9574 | 0.8830 | 0.1186 | 0.1812 | 0.9933 | 0.8895 | 0.7268 | 0.2739 |
Disclaimer/Publisher’s Note: The statements, opinions and data contained in all publications are solely those of the individual author(s) and contributor(s) and not of MDPI and/or the editor(s). MDPI and/or the editor(s) disclaim responsibility for any injury to people or property resulting from any ideas, methods, instructions or products referred to in the content. |
© 2024 by the author. Licensee MDPI, Basel, Switzerland. This article is an open access article distributed under the terms and conditions of the Creative Commons Attribution (CC BY) license (https://creativecommons.org/licenses/by/4.0/).
Share and Cite
Alshomrani, F. A Unified Pipeline for Simultaneous Brain Tumor Classification and Segmentation Using Fine-Tuned CNN and Residual UNet Architecture. Life 2024, 14, 1143. https://doi.org/10.3390/life14091143
Alshomrani F. A Unified Pipeline for Simultaneous Brain Tumor Classification and Segmentation Using Fine-Tuned CNN and Residual UNet Architecture. Life. 2024; 14(9):1143. https://doi.org/10.3390/life14091143
Chicago/Turabian StyleAlshomrani, Faisal. 2024. "A Unified Pipeline for Simultaneous Brain Tumor Classification and Segmentation Using Fine-Tuned CNN and Residual UNet Architecture" Life 14, no. 9: 1143. https://doi.org/10.3390/life14091143
APA StyleAlshomrani, F. (2024). A Unified Pipeline for Simultaneous Brain Tumor Classification and Segmentation Using Fine-Tuned CNN and Residual UNet Architecture. Life, 14(9), 1143. https://doi.org/10.3390/life14091143
