Gastrocnemius Medialis Architectural Properties at Rest and During Stretching in Female Athletes with Different Flexibility Training Background
Abstract
1. Introduction
2. Materials and Methods
2.1. Participants
2.2. Experimental Design
2.3. Anthropometry
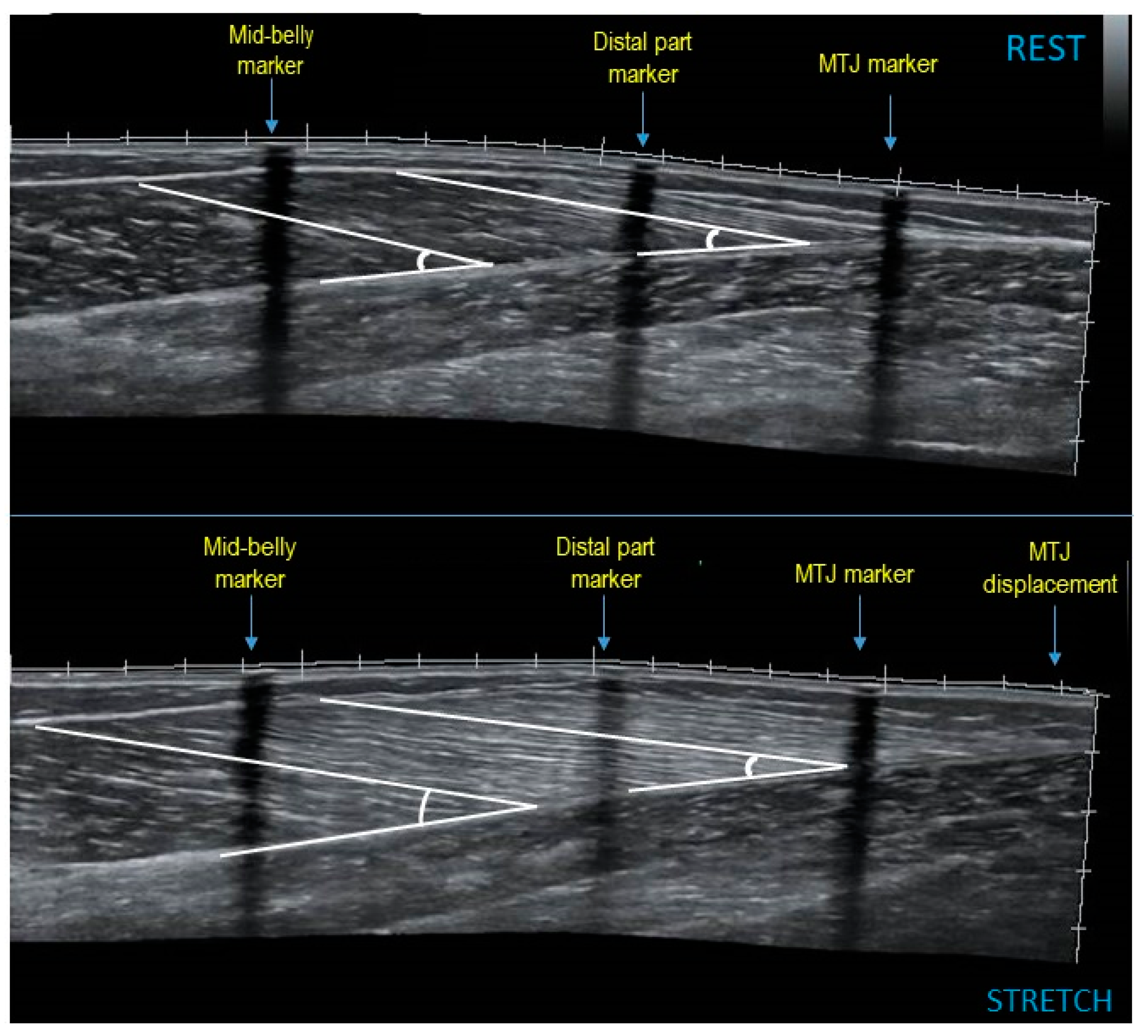
2.4. Resting Muscle Architecture and Ankle Joint Angle
2.5. Muscle Architecture and Ankle Dorsiflexion Angle during Stretching
2.6. Statistical Analysis
3. Results
3.1. Resting Muscle Architecture and Ankle Joint Angle
3.2. Muscle Architecture and Ankle Dorsiflexion Angle during Stretching
4. Discussion
5. Conclusions
Author Contributions
Funding
Acknowledgments
Conflicts of Interest
References
- Magnusson, P.; Renström, P. The European College of Sports Sciences Position statement: The role of stretching exercises in sports. Eur. J. Sport. Sci. 2006, 6, 87–91. [Google Scholar] [CrossRef]
- Sands, W.A.; McNeal, J.R.; Stone, M.H.; Russell, E.M.; Jemni, M. Flexibility enhancement with vibration: Acute and Long-Term. Med. Sci. Sports Exerc. 2006, 38, 720–725. [Google Scholar] [CrossRef] [PubMed]
- Jamtvedt, G.; Herbert, R.D.; Flottorp, S.; Odgaard-Jensen, J.; Håvelsrud, K.; Barratt, A.; Mathieu, E.; Burls, A.; Oxman, A.D. A pragmatic randomised trial of stretching before and after physical activity to prevent injury and soreness. Br. J. Sports Med. 2010, 44, 1002–1009. [Google Scholar] [CrossRef] [PubMed]
- Young, W.B.; Behm, D.G. Should Static Stretching Be Used During a Warm-Up for Strength and Power Activities? Strength Cond. J. 2002, 24, 33–37. [Google Scholar] [CrossRef]
- Gabbe, B.J.; Finch, C.F.; Bennell, K.L.; Wajswelner, H. Risk factors for hamstring injuries in community level Australian football. Br. J. Sports Med. 2005, 39, 106–110. [Google Scholar] [CrossRef]
- Magnusson, S.P. Passive properties of human skeletal muscle during stretch maneuvers. Scand. J. Med. Sci. Sports 1998, 8, 65–77. [Google Scholar] [CrossRef]
- Morse, C.I.; Degens, H.; Seynnes, O.R.; Maganaris, C.N.; Jones, D.A. The acute effect of stretching on the passive stiffness of the human gastrocnemius muscle tendon unit. J. Physiol. 2008, 586, 97–106. [Google Scholar] [CrossRef]
- Dix, D.J.; Eisenburg, B.R. Myosin mRNA accumulation and myofibrillar genesis at the myotendinous junction of stretched muscle fibres. J. Cell Biol. 1990, 111, 1885–1894. [Google Scholar] [CrossRef]
- Williams, P.E.; Goldspink, G. Longitudinal growth of striated muscle fibres. J. Cell Sci. 1971, 9, 751–767. [Google Scholar]
- Simpson, C.L.; Kim, B.D.H.; Bourcet, M.R.; Jones, G.R.; Jakobi, J.M. Stretch training induces unequal adaptation in muscle fascicles and thickness in medial and lateral gastrocnemii. Scand. J. Med. Sci. Sports 2017, 27, 1597–1604. [Google Scholar] [CrossRef]
- Blazevich, A.J.; Cannavan, D.; Waugh, C.M.; Miller, S.C.; Thorlund, J.B.; Aagard, P.; Kay, A.D. Range of motion, neuromechanical, and architectural adaptations to plantar flexor stretch training in humans. J. Appl. Physiol. 2014, 117, 452–462. [Google Scholar] [CrossRef] [PubMed]
- Silva, C.C.; Silva, L.F.; Santos, C.R.; Goldberg, T.B.; Ramos, S.P.; Venancio, E.J. Genetic polymorphism on the flexibility of elite rhythmic gymnasts: State of art. Apunts. Med. L’esport 2018. [Google Scholar] [CrossRef]
- Donti, O.; Papia, K.; Toubekis, A.; Donti, A.; Sands, W.A.; Bogdanis, G.C. Flexibility training in preadolescent female athletes: Acute and long-term effects of intermittent and continuous static stretching. J. Sports Sci. 2018, 36, 1453–1460. [Google Scholar] [CrossRef]
- Douda, H.T.; Toubekis, A.G.; Avloniti, A.A.; Tokmakidis, S.P. Physiological and anthropometric determinants of rhythmic gymnastics performance. Int. J. Sports Physiol. Perform. 2008, 3, 41–54. [Google Scholar] [CrossRef] [PubMed]
- Malliaras, P.; Cook, J.L.; Kent, P. Reduced ankle dorsiflexion range may increase the risk of patellar tendon injury among volleyball players. J. Sci. Med. Sports 2006, 9, 304–309. [Google Scholar] [CrossRef] [PubMed]
- Bobbert, M.F.; Mackay, M.; Schinkelshoek, D.; Huijing, P.A.; van Ingen Schenau, G.J. Biomechanical analysis of drop and countermovement jumps. Eur. J. Appl. Physiol. Occup. Physiol. 1986, 54, 566–573. [Google Scholar] [CrossRef] [PubMed]
- Zhang, T.K.; Fortuna, R.; Herzog, W. Distal and proximal fascicle length changes in active and passive human gastrocnemius muscle. J. Undergrad. Res. Alberta 2015, 5, 30305. [Google Scholar]
- Simenz, C.J.; Dugan, C.A.; Ebben, W.P. Strength and conditioning practices of National Basketball Association strength and conditioning coaches. J. Strength. Cond. Res. 2005, 19, 495–504. [Google Scholar]
- Gabbett, T.; Georgieff, B. Physiological and anthropometric characteristics of Australian junior national, state and novice volleyball players. J. Strength Cond. Res. 2007, 21, 902–908. [Google Scholar] [CrossRef]
- Reeves, N.; Maganaris, C.; Narici, M. Ultrasonographic assessment of human skeletal muscle size. Eur. J. Appl. Physiol. 2004, 91, 116–118. [Google Scholar] [CrossRef]
- Kawakami, Y.; Kanehisa, H.; Fukunaga, T. The relationship between passive ankle plantar flexion joint torque and gastrocnemius muscle and achilles tendon stiffness: Implications for flexibility. J. Orthop. Sports Phys. Ther. 2008, 38, 269–276. [Google Scholar] [CrossRef] [PubMed]
- Noorkoiv, M.; Stavnsbo, A.; Aagaard, P.; Blazevich, A. In vivo assessment of muscle fascicle length by extended field-of-view ultrasonography. J. Appl. Physiol. 2010, 109, 1974–1979. [Google Scholar] [CrossRef] [PubMed]
- Kawakami, Y.; Ichinose, Y.; Fukunaga, T. Architectural and functional features of human triceps surae muscles during contraction. J. Appl Physiol 1998, 85, 398–404. [Google Scholar] [CrossRef] [PubMed]
- Nakamura, M.; Ikezoe, T.; Takeno, Y.; Ichihashi, N. Effects of a 4-week static stretch training program on passive stiffness of human gastrocnemius muscle-tendon unit in vivo. Eur. J. Appl. Physiol. 2012, 112, 2749–2755. [Google Scholar] [CrossRef] [PubMed]
- Jung, D.Y.; Koh, E.K.; Kwon, O.Y.; Yi, C.H.; Oh, J.S.; Weon, J.H. Effect of medial arch support on displacement of the myotendinous junction of the gastrocnemius during standing wall stretching. J. Orthop. Sports Phys. Ther. 2009, 39, 867–874. [Google Scholar] [CrossRef] [PubMed]
- Behm, D.G.; Kibele, A. Effects of differing intensities of static stretching on jump performance. Eur. J. Appl. Physiol. 2007, 101, 587–594. [Google Scholar] [CrossRef] [PubMed]
- Cohen, J. A power primer. Psychol. Bull. 1992, 112, 155–159. [Google Scholar] [CrossRef] [PubMed]
- Abe, T.; Kumagai, K.; Brechue, W.F. Fascicle length of leg muscles is greater in sprinters than distance runners. Med. Sci. Sports Exerc. 2000, 32, 1125–1129. [Google Scholar] [CrossRef] [PubMed]
- Lee, S.S.; Piazza, S.J. Built for speed: Musculoskeletal structure and sprinting ability. J. Exp. Biol. 2009, 212, 3700–3707. [Google Scholar] [CrossRef] [PubMed]
- Moltubakk, M.M.; Magulas, M.M.; Villars, F.O.; Seynnes, O.R.; Bojsen-Møller, J. Specialized properties of the triceps surae muscle-tendon unit in professional ballet dancers. Scand. J. Med. Sci. Sports 2018, 28, 2023–2034. [Google Scholar] [CrossRef]
- Freitas, S.R.; Mendes, B.; Le Sant, G.; Andrade, R.J.; Nordez, A.; Milanovic, Z. Can chronic stretching change the muscle-tendon mechanical properties? A review. Scand. J. Med. Sci. Sports 2018, 28, 794–806. [Google Scholar] [CrossRef] [PubMed]
- Blazevich, A.J.; Cannavan, D.; Waugh, C.M.; Fath, F.; Miller, S.C.; Kay, A.D. Neuromuscular factors influencing the maximum stretch limit of the human plantar flexors. J. Appl. Physiol. 2012, 113, 1446–1455. [Google Scholar] [CrossRef] [PubMed]
- Ema, R.; Wakahara, T.; Miyamoto, N.; Kanehisa, H.; Kawakami, Y. Inhomogeneous architectural changes of the quadriceps femoris induced by resistance training. Eur. J. Appl. Physiol. 2013, 113, 2691–2703. [Google Scholar] [CrossRef] [PubMed]
- Lieber, R.L.; Friden, J. Functional and clinical significance of skeletal muscle architecture. Muscle Nerve 2000, 23, 1647–1666. [Google Scholar] [CrossRef]
- De Monte, G.; Arampatzis, A.; Stogiannari, C.; Karamanidis, K. In vivo motion transmission in the inactive gastrocnemius medialis muscle–tendon unit during ankle and knee joint rotation. J. Electromyogr. Kinesiol. 2006, 16, 413–422. [Google Scholar] [CrossRef]
- Butterfield, T.A.; Best, T.M. Stretch-activated ion channel blockade attenuates adaptations to eccentric exercise. Med. Sci. Sports Exerc. 2009, 41, 351–356. [Google Scholar] [CrossRef]
- Jakobsen, J.R.; Jakobsen, N.R.; Mackey, A.L.; Koch, M.; Kjaer, M.; Krogsgaard, M.R. Remodeling of muscle fibers approaching the human myotendinous junction. Scand. J. Med. Sci. Sports 2018, 28, 1859–1865. [Google Scholar] [CrossRef]


| Anthropometric Characteristics | Rhythmic Gymnasts (n = 10) | Volleyball Players (n = 10) | t (18) | p |
|---|---|---|---|---|
| Age (y) | 21.3 ± 1.6 | 24.3 ± 4.7 | −1.918 | 0.071 |
| Competitive experience (y) | 12.2 ± 1.2 | 10.8 ± 1.9 | 1.976 | 0.064 |
| Height (cm) | 169.9 ± 2.9 | 173.6 ± 4.3 | −2.264 | 0.036 |
| Body mass (Kg) | 56.7 ± 8.4 | 70.6 ± 14.7 | −2.595 | 0.018 |
| Calf length (cm) | 40.8 ± 1.4 | 42.5 ± 2.3 | −1.962 | 0.065 |
| Leg length (cm) | 86.8 ± 2.5 | 88.1 ± 1.7 | −1.427 | 0.171 |
| Weekly training (h/week) | 32.0 ± 4.2 | 9.9 ± 1.4 | 15.763 | 0.000 |
| Parameter | Group | Pre-Stretching Measurements | Stretching Measurements | p | Cohens’ d (pre vs. Stretching) | Δ Values (pre vs. Stretching) | Cohens’ d of Δ Values between Groups |
|---|---|---|---|---|---|---|---|
| Fascicle Length Mid-belly (cm) | Rhythmic | 5.93 ± 0.27 | 8.37 ± 0.68 | 0.063 | 4.97 | 2.44 ± 0.59 | 0.94 |
| Volleyball | 4.74 ± 0.33† | 6.62 ± 0.81† | 3.20 | 1.88 ± 0.67 | |||
| Fascicle Length Distal part (cm) | Rhythmic | 5.63 ± 0.52 | 8.14 ± 0.74 | 0.026 | 4.14 | 2.51 ± 0.54 | 1.15 |
| Volleyball | 4.57 ± 0.51† | 6.31 ± 0.91† | 2.49 | 1.74 ± 0.84 | |||
| Thickness Mid-belly (cm) | Rhythmic | 2.36 ± 0.66 | 2.56 ± 0.62 | 0.105 | 0.33 | 0.20 ± 0.15 | 0.79 |
| Volleyball | 2.04 ± 0.21 | 2.16 ± 0.22 | 0.59 | 0.11 ± 0.08 | |||
| Thickness Distal part (cm) | Rhythmic | 1.04 ± 0.27 | 1.51 ± 0.24 | 0.868 | 1.94 | 0.47 ± 0.16 | 0.06 |
| Volleyball | 0.86 ± 0.36 | 1.34 ± 0.44 | 1.26 | 0.48 ± 0.18 | |||
| Pennation angle Mid-belly (⁰) | Rhythmic | 22.4 ± 2.5 | 16.9 ± 1.7 | 0.145 | 2.66 | 5.4 ± 2.2 | 0.72 |
| Volleyball | 25.8 ± 2.4† | 18.7 ± 3.1 | 2.71 | 7.2 ± 2.9 | |||
| Pennation angle Distal part (⁰) | Rhythmic | 19.0 ± 2.5 | 15.8 ± 2.4 | 0.478 | 1.42 | 3.2 ± 2.0 | 0.32 |
| Volleyball | 20.5 ± 2.6 | 18.0 ± 3.7 | 0.81 | 2.5 ± 2.8 | |||
| Ankle ROM (⁰) | Rhythmic | 121.7 ± 4.1 | 59.1 ± 4.6 | 0.001 | 15.24 | 62.6 ± 2.7 | 4.60 |
| Volleyball | 113.2 ± 3.7† | 65.0 ± 4.7† | 12.00 | 48.2 ± 3.8 | |||
| MTJ Displacement (cm) | Rhythmic | 3.15 ± 0.56 | 1.43 | ||||
| Volleyball | 2.31 ± 0.67 † |
© 2019 by the authors. Licensee MDPI, Basel, Switzerland. This article is an open access article distributed under the terms and conditions of the Creative Commons Attribution (CC BY) license (http://creativecommons.org/licenses/by/4.0/).
Share and Cite
Donti, O.; Panidis, I.; Terzis, G.; Bogdanis, G.C. Gastrocnemius Medialis Architectural Properties at Rest and During Stretching in Female Athletes with Different Flexibility Training Background. Sports 2019, 7, 39. https://doi.org/10.3390/sports7020039
Donti O, Panidis I, Terzis G, Bogdanis GC. Gastrocnemius Medialis Architectural Properties at Rest and During Stretching in Female Athletes with Different Flexibility Training Background. Sports. 2019; 7(2):39. https://doi.org/10.3390/sports7020039
Chicago/Turabian StyleDonti, Olyvia, Ioli Panidis, Gerasimos Terzis, and Gregory C. Bogdanis. 2019. "Gastrocnemius Medialis Architectural Properties at Rest and During Stretching in Female Athletes with Different Flexibility Training Background" Sports 7, no. 2: 39. https://doi.org/10.3390/sports7020039
APA StyleDonti, O., Panidis, I., Terzis, G., & Bogdanis, G. C. (2019). Gastrocnemius Medialis Architectural Properties at Rest and During Stretching in Female Athletes with Different Flexibility Training Background. Sports, 7(2), 39. https://doi.org/10.3390/sports7020039

