Toxoplasmosis in Captive Ring-Tailed Lemurs (Lemur catta)
Abstract
1. Introduction
2. Results
2.1. Clinics and Gross Examination
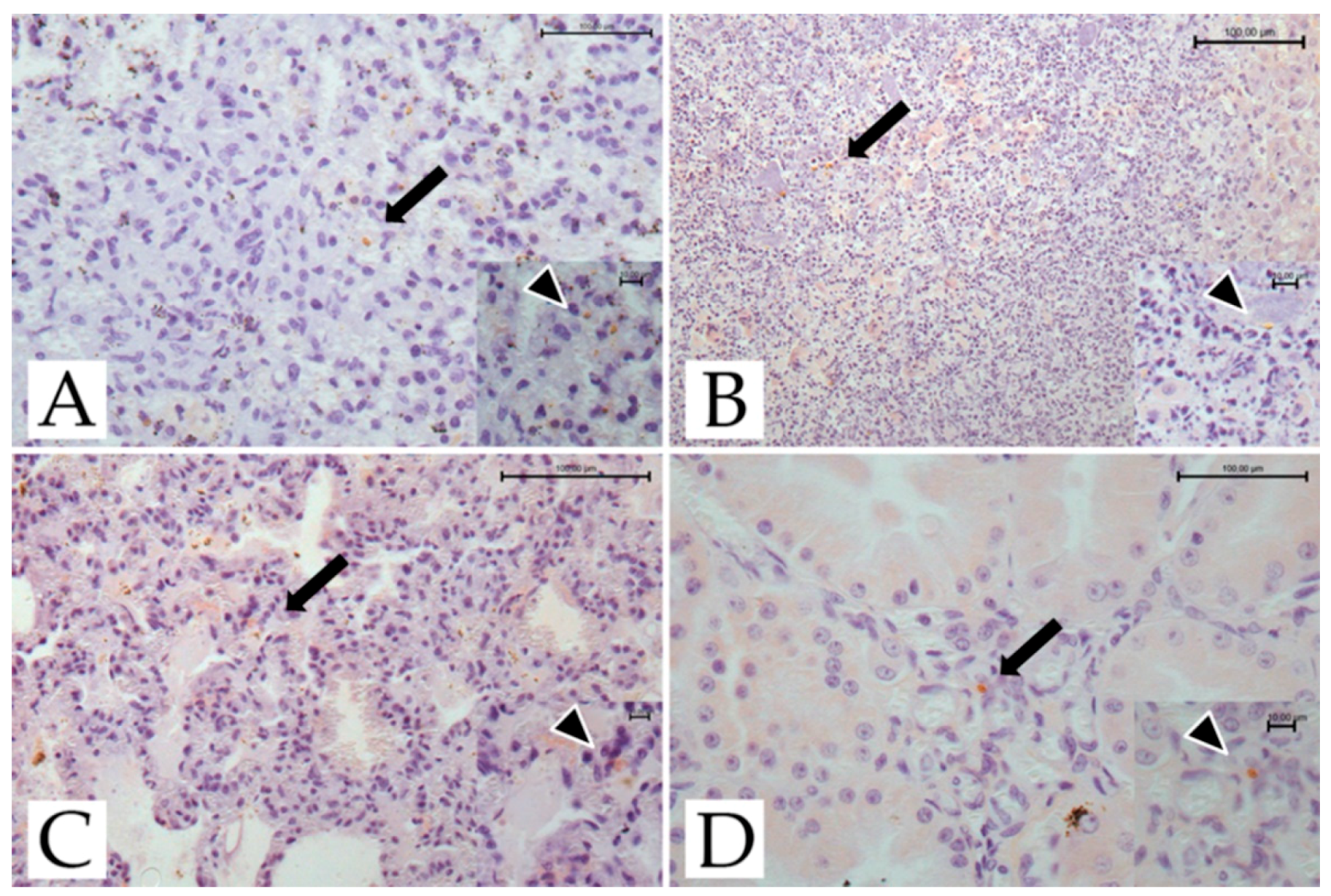
2.2. Histopathology and Immunohistochemistry
2.2.1. Histopathology
2.2.2. Immunohistochemistry
2.3. Serology
2.4. Molecular Analysis
3. Discussion
4. Materials and Methods
4.1. Sample Collection
4.2. Histopathology and Immunohistochemistry
4.3. Serology
4.4. Molecular Analysis
5. Conclusions
Author Contributions
Funding
Institutional Review Board Statement
Informed Consent Statement
Data Availability Statement
Acknowledgments
Conflicts of Interest
References
- Innes, E.A. A Brief History and Overview of Toxoplasma gondii. Zoonoses Public Health 2010, 57, 1–7. [Google Scholar] [CrossRef] [PubMed]
- Tenter, A.M.; Heckeroth, A.R.; Weiss, L.M. Toxoplasma gondii: From animals to humans. Int. J. Parasitol. 2000, 30, 1217–1258. [Google Scholar] [CrossRef]
- Dubey, J.P. Toxoplasmosis of Animals and Humans, 3rd ed.; CRC Press: Boca Raton, FL, USA, 2022. [Google Scholar]
- Ahmadpour, E.; Rahimi, M.T.; Ghojoghi, A.; Rezaei, F.; Hatam-Nahavandi, K.; Oliveira, S.M.R.; de Lourdes Pereira, M.; Majidiani, H.; Siyadatpanah, A.; Elhamirad, S.; et al. Toxoplasma gondii Infection in Marine Animal Species, as a Potential Source of Food Contamination: A Systematic Review and Meta-Analysis. Acta Parasit. 2022, 67, 592–605. [Google Scholar] [CrossRef] [PubMed]
- Dubey, J.P. Toxoplasmosis of Animals and Humans, 2nd ed.; CRC Press: Boca Raton, FL, USA, 2010. [Google Scholar]
- Dubey, J.P. Clinical toxoplasmosis in zoo animals and its management. Emerg. Anim. Species 2022, 2, 100002. [Google Scholar] [CrossRef]
- Dubey, J.P.; Murata, F.H.A.; Cerqueira-Cézar, C.K.; Kwok, O.C.H.; Yang, Y.; Su, C. Recent epidemiologic, clinical, and genetic diversity of Toxoplasma gondii infections in non-human primates. Res. Vet. Sci. 2021, 136, 631–641. [Google Scholar] [CrossRef]
- Carossino, M.; Bauer, R.; Mitchell, M.A.; Cummings, C.O.; Stöhr, A.C.; Wakamatsu, N.; Harper, K.; Langohr, I.M.; Schultz, K.; Mitchell, M.S.; et al. Pathologic and immunohistochemical findings in an outbreak of systemic toxoplasmosis in a mob of red kangaroos. J. Vet. Diagn. Invest. 2021, 33, 554–565. [Google Scholar] [CrossRef]
- Mittermeier, R.A.; Ganzhorn, J.U.; Konstant, W.R.; Glander, K.; Tattersall, I.; Groves, C.P.; Rylands, A.B.; Hapke, A.; Ratsimbazafy, J.; Mayor, M.I.; et al. Lemur Diversity in Madagascar. Int. J. Primatol. 2008, 29, 1607–1656. [Google Scholar] [CrossRef]
- Chandrashekar, A.; Knierim, J.A.; Khan, S.; Raboin, D.L.; Venkatesh, S.; Clarke, T.A.; Cuozzo, F.P.; LaFleur, M.; Lawler, R.R.; Parga, J.A.; et al. Genetic population structure of endangered ring-tailed lemurs (Lemur catta) from nine sites in southern Madagascar. Ecol. Evol. 2020, 10, 8030–8043. [Google Scholar] [CrossRef]
- Conrad, C.C.; Stanford, K.; Narvaez-Bravo, C.; Callaway, T.; McAllister, T. Farm Fairs and Petting Zoos: A Review of Animal Contact as a Source of Zoonotic Enteric Disease. Foodborne Pathog. Dis. 2017, 14, 59–73. [Google Scholar] [CrossRef]
- Denk, D.; De Neck, S.; Khaliq, S.; Stidworthy, M.F. Toxoplasmosis in Zoo Animals: A Retrospective Pathology Review of 126 Cases. Animals 2022, 12, 619. [Google Scholar] [CrossRef]
- Gazzonis, A.L.; Zanzani, S.A.; Santoro, A.; Veronesi, F.; Olivieri, E.; Villa, L.; Lubian, E.; Lovati, S.; Bottura, F.; Epis, S.; et al. Toxoplasma gondii infection in raptors from Italy: Seroepidemiology and risk factors analysis. Comp. Immunol. Microbiol. Infect. Dis. 2018, 60, 42–45. [Google Scholar] [CrossRef]
- Marková, J.; Machačová, T.; Bártová, E.; Sedlák, K.; Budíková, M.; Silvestre, P.; Laricchiuta, P.; Russo, M.; Veneziano, V. Toxoplasma gondii, Neospora caninum and Encephalitozoon cuniculi in Animals from Captivity (Zoo and Circus Animals). J. Eukaryot. Microbiol. 2019, 66, 442–446. [Google Scholar] [CrossRef] [PubMed]
- Sureau, P.; Raynaud, J.P.; Lapeire, C.; Brygoo, E.R. Preimer isolement de Toxoplasma gondii a Madagascar toxoplasmose spontanée et expérimentale du Lemur catta. Bull. Soc. Pathol. Exot. 1962, 55, 357–362. [Google Scholar]
- Itakura, C.; Nigi, H. Histopathological observations on two spontaneous cases of toxoplasmosis in the monkey (Lemur catta). Jpn. J. Vet. Sci. 1968, 30, 341–346. [Google Scholar] [CrossRef] [PubMed]
- Borst, G.H.A.; van Knapen, F. Acute acquired toxoplasmosis in primates in a zoo. J. Zoo Anim. Med. 1984, 15, 60–62. [Google Scholar] [CrossRef]
- Dubey, J.P.; Kramer, L.W.; Weisbrode, S.E. Acute death associated with Toxoplasma gondii in ring tailed lemurs. J. Am. Vet. Med. Assoc. 1985, 187, 1272–1273. [Google Scholar]
- Spencer, J.A.; Joiner, K.S.; Hilton, C.D.; Dubey, J.P.; Toivio-Kinnucan, M.; Minc, J.K.; Blagburn, B.L. Disseminated toxoplasmosis in a captive ring-tailed lemur (Lemur catta). J. Parasitol. 2004, 90, 904–906. [Google Scholar] [CrossRef] [PubMed]
- Juan-Sallés, C.; Mainez, M.; Marco, A.; Sanchís, A.M.M. Localized toxoplasmosis in a ring-tailed lemur (Lemur catta) causing placentitis, stillbirths, and disseminated fetal infection. J. Vet. Diagn Invest. 2011, 23, 1041–1045. [Google Scholar] [CrossRef]
- Siskos, N.; Lampe, K.; Kaup, F.J.; Mätz-Rensing, K. Unique case of disseminated toxoplasmosis and concurrent hepatic capillariasis in a ring-tailed lemur: First case description. Primate Biol. 2015, 2, 9–12. [Google Scholar] [CrossRef]
- Yang, F.; Li, K.X.; Xu, C.Z.; Shan, F.; Chen, W.; Peng, S.M.; Li, W.P.; Li, G.Q. Multi-locus genotyping of the Toxoplasma gondii isolated from captive ring-tailed lemur (Lemur catta) in China. Chin. J. Wildl. 2017, 38, 187–193. (In Chinese) [Google Scholar]
- Gorovitz, H. A case of toxoplasmosis in a monkey. Quart. Isr. Vet. Med. Assoc. 1954, 1, 167–168. [Google Scholar]
- Epiphanio, S.; Sinhorini, I.L.; Catão-Dias, J.L. Pathology of toxoplasmosis in captive new world primates. J. Comp. Pathol. 2003, 129, 196–204. [Google Scholar] [CrossRef]
- Huldt, G.; Gards, S.; Olovsen, S.G. Effect of Toxoplasma gondii on the thymus. Nature 1973, 244, 301–303. [Google Scholar] [CrossRef] [PubMed]
- Gardner, I.A.; Greiner, M.; Dubey, J.P. Statistical evaluation of test accuracy studies for Toxoplasma gondii in food animal intermediate hosts. Zoonoses Public Health 2010, 57, 82–94. [Google Scholar] [CrossRef]
- Garcia, J.; Svoboda, W.K.; Chryssafidis, A.L.; de Souza Malanski, L.; Massaaki Shiozawa, M.; de Moraes Aguiar, L.; Monteiro Teixeira, G.; Ludwig, G.; da Silva, L.R.; Hilst, C.; et al. Sero-epidemiological survey for toxoplasmosis in wild New World monkeys (Cebus spp.; Alouatta caraya) at the Paraná river basin, Paraná State, Brazil. Vet. Parasitol. 2005, 133, 307–311. [Google Scholar] [CrossRef]
- Yabsley, M.; Jordan, C.N.; Mitchell, S.M.; Norton, T.M.; Lindsay, D.S. Seroprevalence of Toxoplasma gondii, Sarcocystis neurona, and Encephalitozoon cuniculi in three species of lemurs from St. Catherines Island, GA, USA. Vet. Parasitol. 2007, 144, 28–32. [Google Scholar] [CrossRef] [PubMed]
- Tidy, A.; Fangueiro, S.; Dubey, J.P.; Cardoso, L.; Lopes, A.P. Seroepidemiology and risk assessment of Toxoplasma gondii infection in captive wild birds and mammals in two zoos in the North of Portugal. Vet. Parasitol. 2017, 235, 47–52. [Google Scholar] [CrossRef]
- Cano-Terriza, D.; Almería, S.; Caballero-Gómez, J.; Díaz-Cao, J.M.; Jiménez-Ruiz, S.; Dubey, J.P.; García-Bocanegra, I. Serological survey of Toxoplasma gondii in captive nonhuman primates in zoos in Spain. Comp. Immunol. Microbiol. Infect. Dis. 2019, 65, 54–57. [Google Scholar] [CrossRef]
- Catão-Dias, J.L.; Epiphanio, S.; Kierulff, M.C.M. Neotropical Primates and Their Susceptibility to Toxoplasma gondii: New Insights for an Old Problem. In Primates, Pathogens, and Evolution; Springer: Berlin/Heidelberg, Germany, 2013; pp. 253–289. [Google Scholar] [CrossRef]
- Ali, J.; Huber, M. Mammalian biodiversity on Madagascar controlled by ocean currents. Nature 2010, 463, 653–656. [Google Scholar] [CrossRef]
- Junge, R.E.; Louis, E.E. Preliminary biomedical evaluation of wild ruffed lemurs (Varecia variegata and V. rubra). Am. J. Primatol. 2005, 66, 85–94. [Google Scholar] [CrossRef] [PubMed]
- Dutton, C.J.; Junge, R.E.; Louis, E.E. Biomedical evaluation of free-ranging ring-tailed lemurs (Lemur catta) in Tsimanampetsotsa Strict Nature Reserve, Madagascar. J. Zoo Wildl. Med. 2003, 34, 16–24. [Google Scholar] [CrossRef] [PubMed]
- Averdam, A.; Petersen, B.; Rosner, C.; Neff, J.; Ross, C.; Eberle, M.; Aujard, F.; Munch, C.; Schempp, W.; Carrington, M. A novel system of polymorphic and diverse NK cell receptors in primates. PLoS Genet. 2009, 5, e1000688. [Google Scholar] [CrossRef] [PubMed]
- Wu, P.C.; Chen, J.B.; Kawamura, S.; Ross, C.; Merker, S.; Shih, C.C.; Hsue, B.D.; Lim, C.; Chang, T.W. The IgE gene in primates exhibits extraordinary evolutionary diversity. Immunogenetics 2012, 64, 279–287. [Google Scholar] [CrossRef]
- Schwitzer, C.; Mittermeier, R.A.; Davies, N.; Johnson, S.; Ratsimbazafy, J.; Razafindramanana, J.; Louis, E.E., Jr.; Rajaobelina, S. Lemurs of Madagascar: A Strategy for Their Conservation 2013–2016; IUCN SSC Primate Specialist Group; Bristol Conservation and Science Foundation, and Conservation International: Bristol, UK, 2013; p. 185. [Google Scholar]
- Conley, F.K.; Jenkins, K.A.; Remington, J.S. Toxoplasma gondii infection of the central nervous system. Use of the peroxidaseantiperoxidase method to demonstrate toxoplasma in formalin fixed, paraffin embedded tissue sections. Hum. Pathol. 1981, 12, 690–698. [Google Scholar] [CrossRef]
- Jones, C.D.; Okhravi, N.; Adamson, P.; Tasker, S.; Lightman, S. Comparison of PCR detection methods for B1, P30, and 18S rDNA genes of T. gondii in aqueous humor. Invest Ophthalmol Vis Sci. 2000, 41, 634–644. [Google Scholar]
- Su, C.; Shwab, E.K.; Zhou, P.; Zhu, X.Q.; Dubey, J.P. Moving towards an integrated approach to molecular detection and identification of Toxoplasma gondii. Parasitology 2010, 137, 1–11. [Google Scholar] [CrossRef] [PubMed]


| Status | Chip | Sex | Age | Serum Titer (IgM/IgG) | PCR Positivity | Histologic Lesions | IHC Positivity |
|---|---|---|---|---|---|---|---|
| Acute death | n.d.* | M | infant | 1:1280/1:640 | Spleen | Spleen; kidneys | Spleen; kidneys |
| 4376 | F | 5y 7m | 1:1280/1:640 | Spleen; liver | Spleen; liver; lungs; kidneys | Spleen; liver; lungs | |
| 4429 | F | 14y 5m | 1:1280/1:640 | Spleen; liver | Spleen; liver; lungs; kidneys | Spleen; liver; lungs; kidneys | |
| Healthy | 7860 | F | 17y 4m | <1:10 | n.d. | n.d. | n.d. |
| 4169 | M | 21y 5m | <1:10 | n.d. | n.d. | n.d. | |
| 3388 | M | 19y 3m | <1:10 | n.d. | n.d. | n.d. | |
| 4541 | F | 16y 4m | <1:10 | n.d. | n.d. | n.d. | |
| 3040 | F | 17y 4m | <1:10 | n.d. | n.d. | n.d. | |
| 2498 | M | 12y 5m | <1:10 | n.d. | n.d. | n.d. | |
| 2877 | F | 11y 6m | <1:10 | n.d. | n.d. | n.d. |
| Genetic Loci | Infant | Female #4376 | Female #4429 |
|---|---|---|---|
| SAG1 1 | II/III | II/III | II/III |
| 3’SAG2 | NA | II | II |
| 5’SAG2 2 | I/II | I/II | I/II |
| SAG2 new | II | NA | NA |
| SAG3 | II | II | II |
| BTUB | NA | II | II |
| GRA6 | NA | NA | NA |
| C22-8 | NA | NA | NA |
| C29-2 | NA | II | II |
| L358 | NA | II | II |
| PK1 | NA | II | II |
| Apico | NA | NA | NA |
Publisher’s Note: MDPI stays neutral with regard to jurisdictional claims in published maps and institutional affiliations. |
© 2022 by the authors. Licensee MDPI, Basel, Switzerland. This article is an open access article distributed under the terms and conditions of the Creative Commons Attribution (CC BY) license (https://creativecommons.org/licenses/by/4.0/).
Share and Cite
Rocchigiani, G.; Fonti, N.; Nardoni, S.; Cavicchio, P.; Mancianti, F.; Poli, A. Toxoplasmosis in Captive Ring-Tailed Lemurs (Lemur catta). Pathogens 2022, 11, 1142. https://doi.org/10.3390/pathogens11101142
Rocchigiani G, Fonti N, Nardoni S, Cavicchio P, Mancianti F, Poli A. Toxoplasmosis in Captive Ring-Tailed Lemurs (Lemur catta). Pathogens. 2022; 11(10):1142. https://doi.org/10.3390/pathogens11101142
Chicago/Turabian StyleRocchigiani, Guido, Niccolò Fonti, Simona Nardoni, Paolo Cavicchio, Francesca Mancianti, and Alessandro Poli. 2022. "Toxoplasmosis in Captive Ring-Tailed Lemurs (Lemur catta)" Pathogens 11, no. 10: 1142. https://doi.org/10.3390/pathogens11101142
APA StyleRocchigiani, G., Fonti, N., Nardoni, S., Cavicchio, P., Mancianti, F., & Poli, A. (2022). Toxoplasmosis in Captive Ring-Tailed Lemurs (Lemur catta). Pathogens, 11(10), 1142. https://doi.org/10.3390/pathogens11101142

