Necrotizing Pneumonia: A Practical Guide for the Clinician
Abstract
1. Introduction
2. Definition
| Necrotizing pneumonia: An acute pneumonia that often manifests as sepsis or critical illness and leads to lung parenchymal necrosis. Imaging features include necrosis and micro-abscesses that are often multi-lobar. | 
| Lung abscess: A more indolent infection that leads to a large cavitary lesion and is usually isolated to one lobe. | 
| Pulmonary gangrene: This is similar to necrotizing pneumonia but with a greater extent of necrosis (>50% of the affected lobe) and larger vessel thrombosis compared to necrotizing pneumonia | 
| Septic pulmonary emboli: A lung infection characterized by the occlusion of the pulmonary arteries by the infected emboli. The source of the emboli is often tricuspid valve infective endocarditis. Imaging shows bilateral nodular opacities, and cavitation is present in over 50% of the cases. | 
3. Epidemiology
4. Etiology
5. Pathogenesis
6. Risk Factors
7. Clinical Manifestations
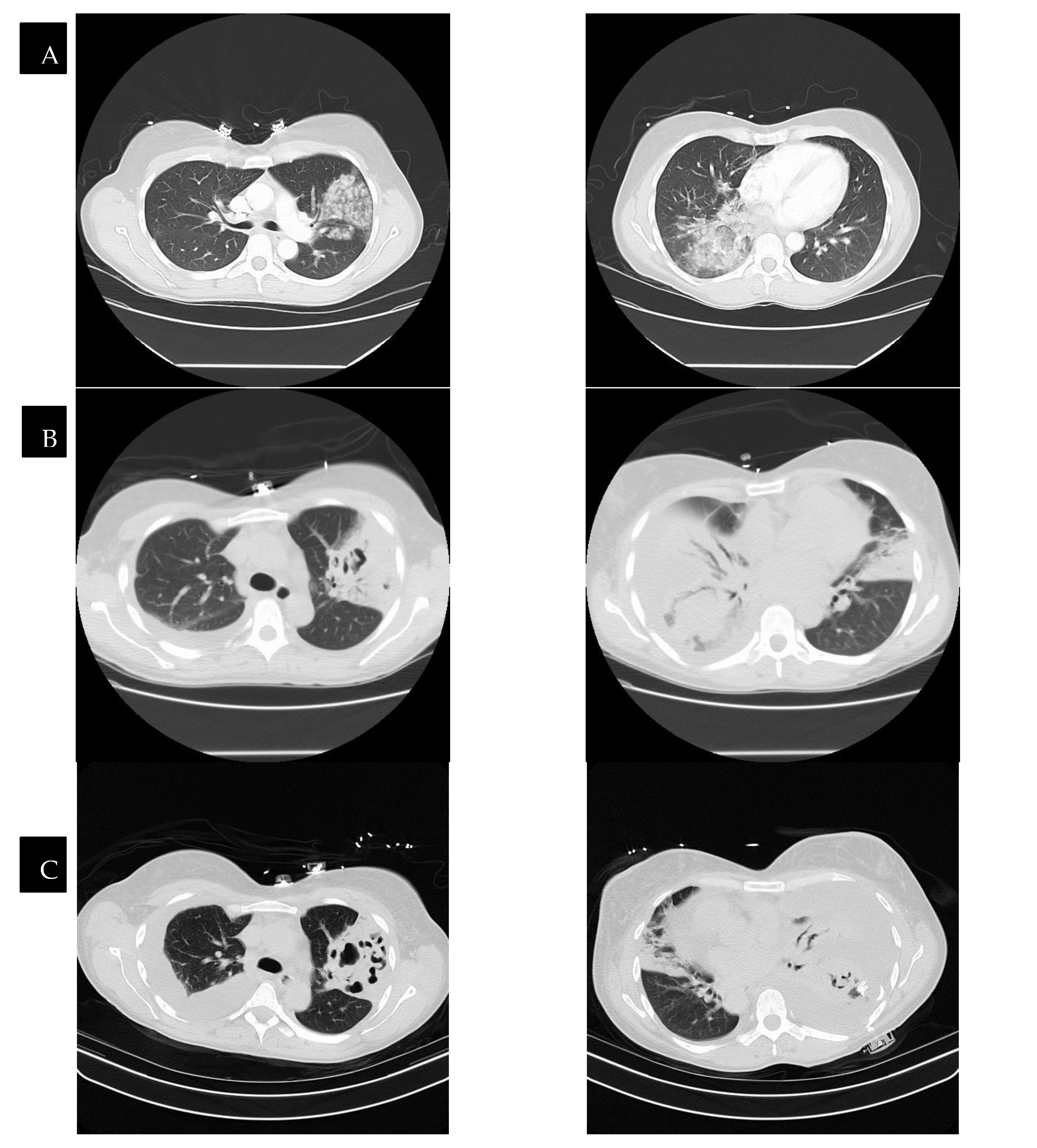
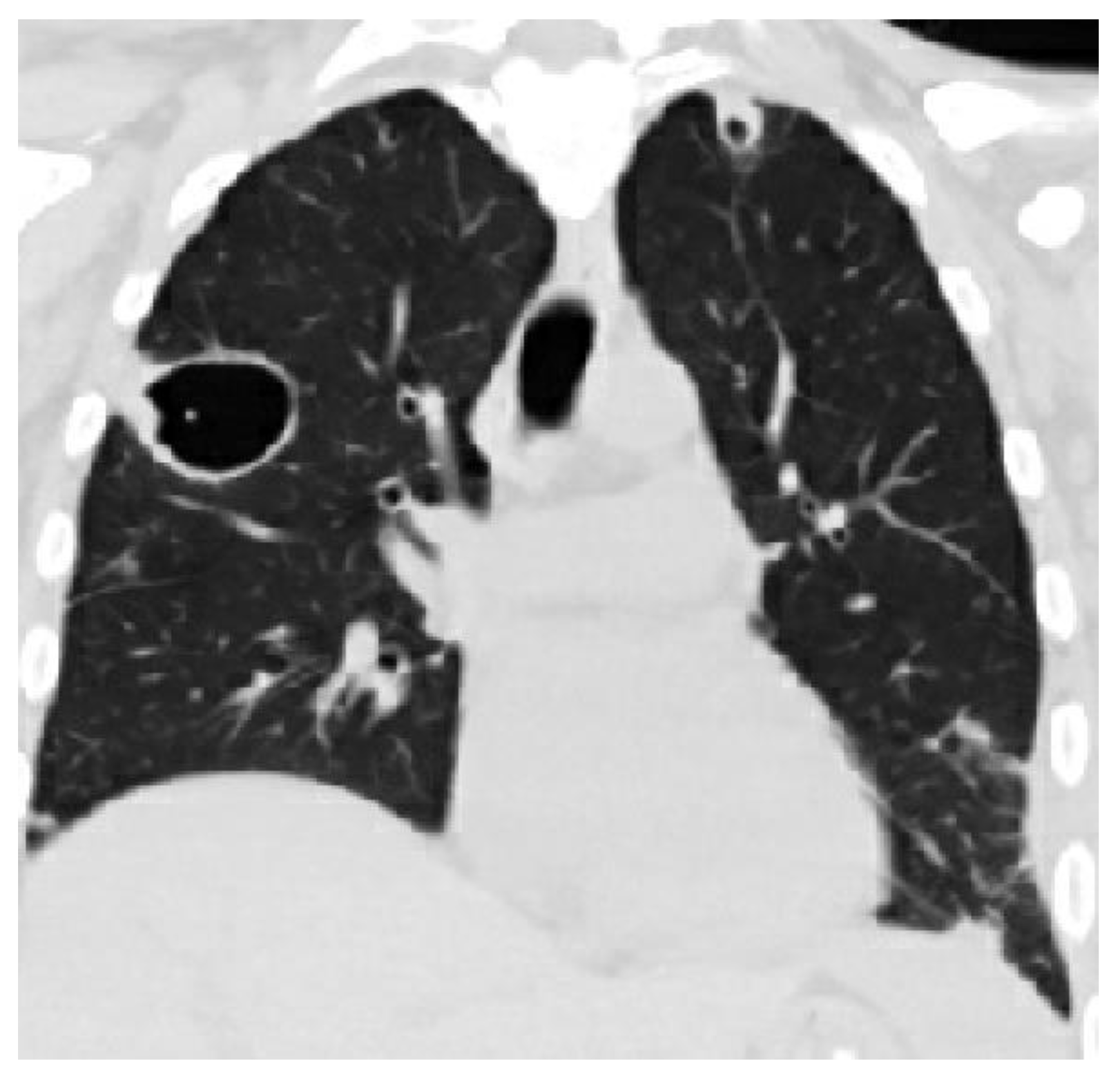
8. Radiology
9. Treatment
10. Prognosis
11. Future Directions
Author Contributions
Funding
Conflicts of Interest
References
- Spencer, D.A.; Thomas, M.F. Necrotising pneumonia in children. Paediatr. Respir. Rev. 2014, 15, 240–245. [Google Scholar] [CrossRef] [PubMed]
- Larose, J.-C.; Wang, H.T.; Rakovich, G. Survival with optimal medical management in a cohort of severe necrotizing bacterial lung infections. J. Thorac. Dis. 2023, 15, 3860–3869. [Google Scholar] [CrossRef] [PubMed]
- Chatha, N.; Fortin, D.; Bosma, K.J. Management of necrotizing pneumonia and pulmonary gangrene: A case series and review of the literature. Can. Respir. J. J. Can. Thorac. Soc. 2014, 21, 239. [Google Scholar] [CrossRef] [PubMed]
- Gillet, Y.; Vanhems, P.; Lina, G.; Bes, M.; Vandenesch, F.; Floret, D.; Etienne, J. Factors Predicting Mortality in Necrotizing Community-Acquired Pneumonia Caused by Staphylococcus aureus Containing Panton-Valentine Leukocidin. Clin. Infect. Dis. 2007, 45, 315–321. [Google Scholar] [CrossRef] [PubMed]
- Krutikov, M.; Rahman, A.; Tiberi, S. Necrotizing pneumonia (aetiology, clinical features and management). Curr. Opin. Pulm. Med. 2019, 25, 225–232. [Google Scholar] [CrossRef]
- Curry, C.A.; Fishman, E.K.; Buckley, J.A. Pulmonary gangrene: Radiological and pathologic correlation. South. Med. J. 1998, 91, 957–960. [Google Scholar] [CrossRef]
- Ye, R.; Zhao, L.; Wang, C.; Wu, X.; Yan, H. Clinical characteristics of septic pulmonary embolism in adults: A systematic review. Respir. Med. 2014, 108, 1–8. [Google Scholar] [CrossRef]
- MacMillan, J.C.; Milstein, S.H.; Samson, P.C. Clinical spectrum of septic pulmonary embolism and infarction. J. Thorac. Cardiovasc. Surg. 1978, 75, 670–679. [Google Scholar] [CrossRef]
- Pande, A.; Nasir, S.; Rueda, A.M.; Matejowsky, R.; Ramos, J.; Doshi, S.; Kulkarni, P.; Musher, D.M. The Incidence of Necrotizing Changes in Adults With Pneumococcal Pneumonia. Clin. Infect. Dis. 2012, 54, 10–16. [Google Scholar] [CrossRef]
- Seo, H.; Cha, S.-I.; Shin, K.-M.; Lim, J.-K.; Yoo, S.-S.; Lee, J.; Lee, S.-Y.; Kim, C.-H.; Park, J.-Y.; Lee, W.-K. Clinical relevance of necrotizing change in patients with community-acquired pneumonia. Respirology 2017, 22, 551–558. [Google Scholar] [CrossRef]
- Tsai, Y.-F.; Ku, Y.-H. Necrotizing pneumonia: A rare complication of pneumonia requiring special consideration. Curr. Opin. Pulm. Med. 2012, 18, 246. [Google Scholar] [CrossRef] [PubMed]
- Luo, Y.; Wang, Y. Clinical Characteristics of Necrotizing Pneumonia Caused by Different Pathogens. Infect. Drug Resist. 2023, 16, 3777–3786. [Google Scholar] [CrossRef] [PubMed]
- Maharaj, S.; Isache, C.; Seegobin, K.; Chang, S.; Nelson, G. Necrotizing Pseudomonas aeruginosa Community-Acquired Pneumonia: A Case Report and Review of the Literature. Case Rep. Infect. Dis. 2017, 2017, 1717492. [Google Scholar] [CrossRef] [PubMed]
- Soong, G.; Reddy, B.; Sokol, S.; Adamo, R.; Prince, A. TLR2 is mobilized into an apical lipid raft receptor complex to signal infection in airway epithelial cells. J. Clin. Investig. 2004, 113, 1482. [Google Scholar] [CrossRef]
- Nauseef, W.M. How human neutrophils kill and degrade microbes: An integrated view. Immunol. Rev. 2007, 219, 88–102. [Google Scholar] [CrossRef]
- Quinton, L.J.; Walkey, A.J.; Mizgerd, J.P. Integrative Physiology of Pneumonia. Physiol. Rev. 2018, 98, 1417–1464. [Google Scholar] [CrossRef]
- Li, H.; Zhang, T.; Huang, J.; Zhou, Y.; Zhu, J.; Wu, B. Factors Associated with the Outcome of Life-Threatening Necrotizing Pneumonia due to Community-Acquired Staphylococcus aureus in Adult and Adolescent Patients. Respiration 2010, 81, 448–460. [Google Scholar] [CrossRef]
- Löffler, B.; Niemann, S.; Ehrhardt, C.; Horn, D.; Lanckohr, C.; Lina, G.; Ludwig, S.; Peters, G. Pathogenesis of Staphylococcus aureus necrotizing pneumonia: The role of PVL and an influenza coinfection. Expert Rev. Anti Infect. Ther. 2013, 11, 1041–1051. [Google Scholar] [CrossRef]
- Labandeira-Rey, M.; Couzon, F.; Boisset, S.; Brown, E.L.; Bes, M.; Benito, Y.; Barbu, E.M.; Vazquez, V.; Höök, M.; Etienne, J.; et al. Staphylococcus aureus Panton-Valentine Leukocidin Causes Necrotizing Pneumonia. Science 2007, 315, 1130–1133. [Google Scholar] [CrossRef]
- Wu, B.; Zhang, W.; Huang, J.; Liu, H.; Zhang, T. Effect of recombinant Panton-Valentine leukocidin in vitro on apoptosis and cytokine production of human alveolar macrophages. Can. J. Microbiol. 2010, 56, 229–235. [Google Scholar] [CrossRef]
- König, B.; Prévost, G.; Piémont, Y.; König, W. Effects of Staphylococcus aureus leukocidins on inflammatory mediator release from human granulocytes. J. Infect. Dis. 1995, 171, 607–613. [Google Scholar] [CrossRef] [PubMed]
- Micek, S.T.; Dunne, M.; Kollef, M.H. Pleuropulmonary complications of Panton-Valentine leukocidin-positive community-acquired methicillin-resistant Staphylococcus aureus: Importance of treatment with antimicrobials inhibiting exotoxin production. Chest 2005, 128, 2732–2738. [Google Scholar] [CrossRef]
- Bender, J.M.; Ampofo, K.; Korgenski, K.; Daly, J.; Pavia, A.T.; Mason, E.O.; Byington, C.L. Pneumococcal Necrotizing Pneumonia in Utah: Does Serotype Matter? Clin. Infect. Dis. Off. Publ. Infect. Dis. Soc. Am. 2008, 46, 1346–1352. [Google Scholar] [CrossRef] [PubMed]
- Hammond, J.M.J.; Lyddell, C.; Potgieter, P.D.; Odell, J. Severe Pneumococcal Pneumonia Complicated by Massive Pulmonary Gangrene. Chest 1993, 104, 1610–1612. [Google Scholar] [CrossRef] [PubMed][Green Version]
- Tsai, Y.-F.; Tsai, Y.-T.; Ku, Y.-H. Surgical Treatment of 26 Patients with Necrotizing Pneumonia. Eur. Surg. Res. 2011, 47, 13–18. [Google Scholar] [CrossRef]
- Reimel, B.A.; Krishnadasen, B.; Cuschieri, J.; Klein, M.B.; Gross, J.; Karmy-Jones, R. Surgical management of acute necrotizing lung infections. Can. Respir. J. 2006, 13, 369–373. [Google Scholar] [CrossRef]
- McCullers, J.A.; English, B.K. Improving therapeutic strategies for secondary bacterial pneumonia following influenza. Future Microbiol. 2008, 3, 397–404. [Google Scholar] [CrossRef] [PubMed]
- Sousa, M.; Canelas, C.; Fontoura, I.; Rodrigues, B.; Lemos, J.; Torres, A.; Girão, F. Lung abscess and necrotizing pneumonia: A hospital’s experience. Eur. J. Intern. Med. 2013, 24, e61. [Google Scholar] [CrossRef]
- Kalil, A.C.; Metersky, M.L.; Klompas, M.; Muscedere, J.; Sweeney, D.A.; Palmer, L.B.; Napolitano, L.M.; O’Grady, N.P.; Bartlett, J.G.; Carratalà, J.; et al. Management of Adults With Hospital-acquired and Ventilator-associated Pneumonia: 2016 Clinical Practice Guidelines by the Infectious Diseases Society of America and the American Thoracic Society. Clin. Infect. Dis. Off. Publ. Infect. Dis. Soc. Am. 2016, 63, e61–e111. [Google Scholar] [CrossRef]
- Metlay, J.P.; Waterer, G.W.; Long, A.C.; Anzueto, A.; Brozek, J.; Crothers, K.; Cooley, L.A.; Dean, N.C.; Fine, M.J.; Flanders, S.A.; et al. Diagnosis and Treatment of Adults with Community-acquired Pneumonia. An Official Clinical Practice Guideline of the American Thoracic Society and Infectious Diseases Society of America. Am. J. Respir. Crit. Care Med. 2019, 200, e45–e67. [Google Scholar] [CrossRef]
- Aliberti, S.; Reyes, L.F.; Faverio, P.; Sotgiu, G.; Dore, S.; Rodriguez, A.H.; Soni, N.J.; Restrepo, M.I. GLIMP investigators Global initiative for meticillin-resistant Staphylococcus aureus pneumonia (GLIMP): An international, observational cohort study. Lancet Infect. Dis. 2016, 16, 1364–1376. [Google Scholar] [CrossRef] [PubMed]
- Lewis, P.O. Risk Factor Evaluation for Methicillin-Resistant Staphylococcus aureus and Pseudomonas aeruginosa in Community-Acquired Pneumonia. Ann. Pharmacother. 2021, 55, 36–43. [Google Scholar] [CrossRef] [PubMed]
- Bartlett, J.G. How Important Are Anaerobic Bacteria in Aspiration Pneumonia. Infect. Dis. Clin. N. Am. 2013, 27, 149–155. [Google Scholar] [CrossRef] [PubMed]
- Furukawa, Y.; Luo, Y.; Funada, S.; Onishi, A.; Ostinelli, E.; Hamza, T.; Furukawa, T.A.; Kataoka, Y. Optimal duration of antibiotic treatment for community-acquired pneumonia in adults: A systematic review and duration-effect meta-analysis. BMJ Open 2023, 13, e061023. [Google Scholar] [CrossRef]
- Bover-Bauza, C.; Osona, B.; Gil, J.A.; Peña-Zarza, J.A.; Figuerola, J. Long-term outcomes of necrotizing pneumonia. An. Pediatría Engl. Ed. 2021, 95, 298–306. [Google Scholar] [CrossRef]
- Akagi, T.; Nagata, N.; Wakamatsu, K.; Harada, T.; Miyazaki, H.; Takeda, S.; Ushijima, S.; Aoyama, T.; Yoshida, Y.; Yatsugi, H.; et al. Procalcitonin-Guided Antibiotic Discontinuation Might Shorten the Duration of Antibiotic Treatment Without Increasing Pneumonia Recurrence. Am. J. Med. Sci. 2019, 358, 33–44. [Google Scholar] [CrossRef]
- Sungurlu, S.; Balk, R.A. The Role of Biomarkers in the Diagnosis and Management of Pneumonia. Clin. Chest Med. 2018, 39, 691–701. [Google Scholar] [CrossRef]
- Diep, B.A.; Le, V.T.M.; Badiou, C.; Le, H.N.; Pinheiro, M.G.; Duong, A.H.; Wang, X.; Dip, E.C.; Aguiar-Alves, F.; Basuino, L.; et al. IVIG-mediated protection against necrotizing pneumonia caused by MRSA. Sci. Transl. Med. 2016, 8, 357ra124. [Google Scholar] [CrossRef] [PubMed]
- Dequin, P.-F.; Meziani, F.; Quenot, J.-P.; Kamel, T.; Ricard, J.-D.; Badie, J.; Reignier, J.; Heming, N.; Plantefève, G.; Souweine, B.; et al. Hydrocortisone in Severe Community-Acquired Pneumonia. N. Engl. J. Med. 2023, 388, 1931–1941. [Google Scholar] [CrossRef]
- Meduri, G.U.; Shih, M.-C.; Bridges, L.; Martin, T.J.; El-Solh, A.; Seam, N.; Davis-Karim, A.; Umberger, R.; Anzueto, A.; Sriram, P.; et al. Low-dose methylprednisolone treatment in critically ill patients with severe community-acquired pneumonia. Intensive Care Med. 2022, 48, 1009–1023. [Google Scholar] [CrossRef]
- Shen, K.R.; Bribriesco, A.; Crabtree, T.; Denlinger, C.; Eby, J.; Eiken, P.; Jones, D.R.; Keshavjee, S.; Maldonado, F.; Paul, S.; et al. The American Association for Thoracic Surgery consensus guidelines for the management of empyema. J. Thorac. Cardiovasc. Surg. 2017, 153, e129–e146. [Google Scholar] [CrossRef] [PubMed]
- Karmy-Jones, R.; Vallières, E.; Harrington, R. Surgical Management of Necrotizing Pneumonia. Clin. Pulm. Med. 2003, 10, 17. [Google Scholar] [CrossRef]
- Kathuria, H.; Hollingsworth, H.M.; Vilvendhan, R.; Reardon, C. Management of life-threatening hemoptysis. J. Intensive Care 2020, 8, 23. [Google Scholar] [CrossRef] [PubMed]
- New, M.L.; Huie, T.J. ABCDE Approach for Massive Hemoptysis: A Novel Cognitive Aid. ATS Sch. 2022, 3, 197–203. [Google Scholar] [CrossRef]





| Author, Year | Number of Patients, Clinical Setting | Patient Population | Age/Female Participants | Co-Morbidities | Mortality | 
|---|---|---|---|---|---|
| Tsai et al. [28], 2011 | 26 patients, hospital setting | Patients who underwent pulmonary resection for necrotizing pneumonia | 64.7 ± 15.0 (mean ± SD) 5 female | Twenty-three (88.5%) patients had underlying risk factors | Four deaths (15.4%) occurred: three due to perioperative progressing pulmonary infection. Postoperative empyema occurred in 3 patients. One patient became ventilator dependent. | 
| Larose et al. [2], 2023 | 50 patients, single-center hospital setting | All patients hospitalized for severe necrotizing lung infection | 55.1 ± 15.8 19 females | Smoker (62%) Alcohol use (24%) IV drug use (5%) Diabetes (22%) CKD (24%) COPD (30%) | 4 deaths (8%) | 
| Reimel et al. [26], 2006 | 35 patients, single-center hospital setting | Patients who underwent parenchymal resection, for necrosis, abscesses, or gangrene | Not available | Not available | 3 (8.5%) | 
| Sousa et al. [28], 2013 | 51 patients, single-center hospital setting | all patients hospitalized with the diagnosis of lung abscess or necrotizing pneumonia | 60 9 women | HTN (28%) Smoking (26%) Alcohol use disorder (19%) Pulmonary neoplasm (12%) | 9 (18%) | 
| Pande et al. [9], 2012 | 23 patients, hospital setting | Hospitalized patients for pneumococcal pneumonia | 63.6 ± 11.83 years (mean ± SD) | Smoking (78.3%) Alcohol use disorder (47.8%) COPD (39.1%), Heart disease (26.1%), diabetes (13%), malignancy (21.7%), liver disease (26.1%), HIV/AIDS (8.7%) | Not reported | 
| Pneumonia Type | First-Line Antibiotics and Dosage | When Risk Factors * for MRSA Are Present | 
|---|---|---|
| Community-acquired pneumonia (CAP) | Ampicillin-Sulbactam (Unasyn) + Macrolide: - Ampicillin-Sulbactam: 3 g IV every 6 h - Macrolide (Azithromycin): 500 mg IV on day 1, then 250 mg daily | Add Linezolid or Vancomycin: - Linezolid: 600 mg IV every 12 h - Vancomycin: 15–20 mg/kg IV every 8–12 h, adjust for renal function and trough levels. | 
| Hospital-acquired pneumonia (HAP) | Piperacillin-Tazobactam or Carbapenem: - Piperacillin-Tazobactam: 4.5 g IV every 6 h, adjust for renal function - Carbapenem (Meropenem): 1 g IV every 8 h | Add Vancomycin or Linezolid - Linezolid: 600 mg IV every 12 h - Vancomycin: 15–20 mg/kg IV every 8–12 h, adjust for renal function and trough levels. | 
| Disclaimer/Publisher’s Note: The statements, opinions and data contained in all publications are solely those of the individual author(s) and contributor(s) and not of MDPI and/or the editor(s). MDPI and/or the editor(s) disclaim responsibility for any injury to people or property resulting from any ideas, methods, instructions or products referred to in the content. | 
© 2024 by the authors. Licensee MDPI, Basel, Switzerland. This article is an open access article distributed under the terms and conditions of the Creative Commons Attribution (CC BY) license (https://creativecommons.org/licenses/by/4.0/).
Share and Cite
Kapania, E.M.; Cavallazzi, R. Necrotizing Pneumonia: A Practical Guide for the Clinician. Pathogens 2024, 13, 984. https://doi.org/10.3390/pathogens13110984
Kapania EM, Cavallazzi R. Necrotizing Pneumonia: A Practical Guide for the Clinician. Pathogens. 2024; 13(11):984. https://doi.org/10.3390/pathogens13110984
Chicago/Turabian StyleKapania, Esha Madhu, and Rodrigo Cavallazzi. 2024. "Necrotizing Pneumonia: A Practical Guide for the Clinician" Pathogens 13, no. 11: 984. https://doi.org/10.3390/pathogens13110984
APA StyleKapania, E. M., & Cavallazzi, R. (2024). Necrotizing Pneumonia: A Practical Guide for the Clinician. Pathogens, 13(11), 984. https://doi.org/10.3390/pathogens13110984
 
        

 
       