Next Article in Journal
Ninoa T. cruzi Strain Modifies the Expression of microRNAs in Cardiac Tissue and Plasma During Chagas Disease Infection
Previous Article in Journal
Public Interest in Online Information on Recurrent Urinary Tract Infections Is Greatest for Information with the Poorest Publication Quality
Previous Article in Special Issue
Phenotypic and Genotypic Analysis of Antimicrobial Resistance in Mycoplasma hyopneumoniae Isolated from Pigs with Enzootic Pneumonia in Australia
 
 
Font Type:
Arial Georgia Verdana
Font Size:
Aa Aa Aa
Line Spacing:
Column Width:
Background:
Article

Analysis of Efflux Pump Contributions and Plasmid-Mediated Genetic Determinants in Ciprofloxacin-Resistant Salmonella

1
College of Public Health, Shanghai University of Medicine & Health Sciences, Shanghai 201318, China
2
School of Agriculture & Biology, Shanghai Jiao Tong University, Shanghai 200240, China
*
Authors to whom correspondence should be addressed.
These two authors contributed equally to this work and are co-first authors.
Pathogens 2024, 13(12), 1126; https://doi.org/10.3390/pathogens13121126
Submission received: 31 October 2024 / Revised: 7 December 2024 / Accepted: 17 December 2024 / Published: 20 December 2024
(This article belongs to the Special Issue Detection and Epidemiology of Drug-Resistant Bacteria)

Abstract

This study aimed to explore the interactions among genetic determinants influencing ciprofloxacin resistance in Salmonella. Treatment with PAβN, an efflux pump inhibitor, resulted in a 4–32-fold reduction in the minimum inhibitory concentration (MIC) across all 18 ciprofloxacin-resistant Salmonella isolates. Notably, isolates without point mutations reverted from resistance to sensitivity. The efflux pump played a crucial role in resistance development, particularly in serovar Enteritidis, where PAβN treatment caused a more significant MIC reduction (16–32-fold) in five strains carrying the GyrA (Asp87Tyr) mutation, which initially exhibited high MICs (8 μg/mL). Several resistance genes were identified on transferable plasmids: oqxAB and aac(6′)-Ib-cr were associated with IncF plasmids in S. Enteritidis, IncA/C plasmids in S. Typhimurium, and IncHI2 plasmids in S. Virchow. Additionally, qnrS1 and/or qepA were carried by IncA/C plasmids in S. Thompson. Whole-genome sequencing revealed the presence of an oqxAB module integrated into the chromosomal DNA of S. Derby. Although the MICs of ciprofloxacin in transconjugants and transformants remained low (1–4 μg/mL), they exceeded the clinical breakpoint for susceptibility. These findings highlight the synergistic impact of efflux pumps and plasmid-mediated resistance mechanisms, contributing to the increasing prevalence of ciprofloxacin resistance and posing a significant threat to food safety.

1. Introduction

Salmonellosis is a significant global foodborne disease that affects both humans and animals. Salmonella serovars Typhimurium and Enteritidis are the most common causes of human nontyphoidal salmonellosis and are frequently associated with contaminated food products [1]. Additionally, surveillance data from China’s foodborne disease monitoring systems show an increasing rate of Salmonella isolation from patients with diarrhea [2]. Ciprofloxacin, a fluoroquinolone, is one of the first-line treatments for salmonellosis [3]; however, rising resistance to ciprofloxacin in Salmonella has become a major concern due to the misuse and overuse of antibiotics in humans and livestock. Recent reports indicate a growing prevalence of ciprofloxacin-resistant Salmonella in retail food products [4,5]. In 2017, the World Health Organization classified fluoroquinolone-resistant Salmonella as a high-priority pathogen posing a serious threat to public health [6], underscoring the challenges of effectively managing and controlling salmonellosis amid rising resistance to this critical antibiotic.
Ciprofloxacin resistance in Salmonella is primarily driven by point mutations in the quinolone resistance-determining regions (QRDRs) of the gyrA gene (encoding DNA gyrase subunit A) and the parC gene (encoding topoisomerase IV subunit C), which inhibit fluoroquinolones from binding to their target sites [7]. Additionally, overexpression of the AcrAB-TolC efflux pump, part of the resistance nodulation-division (RND) family, enhances fluoroquinolone resistance [8]. The AcrB multidrug transporter is particularly crucial for high-level fluoroquinolone resistance in some multidrug-resistant S. Typhimurium strains, where single QRDR mutations alone have minimal impact [9]. Moreover, several plasmid-mediated quinolone resistance (PMQR) genes, including qnr, qepA, aac(6′)-Ib-cr, and oqxAB, have been identified in Salmonella [10,11], contributing to both low-level fluoroquinolone resistance and the horizontal transfer of this resistance. The presence of these plasmid-mediated resistance genes suggests that bacteria carrying PMQR genes may possess a selective advantage; after surviving initial fluoroquinolone exposure, these bacteria could subsequently develop higher levels of chromosomal quinolone resistance over time [7].
Given the increasing concern over fluoroquinolone resistance, understanding the roles of PMQR genes and their interactions with QRDR mutations and efflux pumps in ciprofloxacin-resistant Salmonella is critical. In this study, 18 ciprofloxacin-resistant (CIPR) Salmonella strains were selected to assess the contributions of QRDR mutations, PMQR genes, and efflux pumps to ciprofloxacin resistance. The potential for plasmid transfer was evaluated using conjugation assays. Complete genome sequences of two representative CIPR Salmonella strains, including their plasmids, were analyzed to investigate the transferable elements surrounding the quinolone resistance genes.

2. Materials and Methods

2.1. Ciprofloxacin-Resistant Salmonella Strains

A total of 18 CIPR Salmonella strains were obtained in our previous studies [5,12], with mutations in the QRDRs and antimicrobial susceptibility testing for nalidixic acid being pre-determined (Table 1). To better explore the interplay between efflux pump activity and plasmid-mediated resistance mechanisms, we maintained a consistent genetic background in the strain selection, focusing on S. Typhimurium and S. Enteritidis, two major Salmonella serotypes. Specifically, six of seven S. Typhimurium and five of seven S. Enteritidis strains carried the gyrA mutation (Asp87Asn or Asp87Tyr), which are also the most prevalent in these two major Salmonella serotypes [5,12]. All the above eleven Salmonella strains, together with one S. Enteritidis strain without point mutations (SJTUF 13552), were isolated from food samples. The remaining four strains, which lacked QRDR mutations, included another S. Enteritidis (SJTUF 12553), S. Virchow (SJTUF 11258), and S. Derby (SJTUF 13534), all of which were clinical isolates. Additionally, a parC mutation (Thr57Ser) was detected in two clinical S. Thompson strains (SJTUF 12791 and SJTUF 11197). Antimicrobial susceptibility to ciprofloxacin with the concentration ranging from 0.125 μg/mL to 512 μg/mL was assessed using the agar dilution method, as recommended by the Clinical and Laboratory Standards Institute [13]. E. coli ATCC 25922 served as the quality control strain for minimum inhibitory concentration (MIC) determination, which had an MIC < 0.125, indicating susceptibility to ciprofloxacin.

2.2. Effects of Efflux Pump Inhibitor on Ciprofloxacin Resistance

Phe-Arg-β-naphthylamide dihydrochloride (PaβN) (Sigma-Aldrich, St. Louis, MO, USA) was used as an efflux pump inhibitor. Ciprofloxacin susceptibility was tested in parallel with and without PaβN. After the addition of ciprofloxacin and the bacterial inoculum, 2 μL of PaβN (5 mg/mL) was added to the microplate wells, bringing the total volume to 100 μL [14]. The remaining procedures for MIC determination followed the previously described protocol [13]. To ensure test accuracy and assess the effect of PaβN on bacterial growth, all strains were cultured in Mueller Hinton broth (Beijing Landbridge Technology Co., Ltd., Beijing, China) containing PaβN (100 µL/mL). All assays were performed in triplicate and repeated three times.

2.3. Plasmid Studies

Conjugation experiments were performed as previously described [15] using E. coli C600 as the recipient. Briefly, Salmonella isolates used as donors were incubated with the recipient overnight at 37 °C, and the overnight cultures were mixed and transferred to filter paper on a Luria–Bertani (LB) plate (Beijing Landbridge Technology Co., Ltd., China). Transconjugants were selected on MacConkey agar plates supplemented with ciprofloxacin (1 µg/mL) and rifampin (200 µg/mL). For the transformation experiments, plasmid DNA from CIPR Salmonella was extracted using a Qiagen Plasmid Midi Kit according to the manufacturer’s instructions (Qiagen, Hilden, Germany). The purified plasmid was transformed into E. coli DH5α cells (Takara Biotechnology, Dalian, China). The transformants were selected on MacConkey agar supplemented with ciprofloxacin (1 µg/mL). Pulsed-field gel electrophoresis (PFGE) with S1 nuclease (Takara Biotechnology, Shanghai, China) digestion was performed to determine plasmid size. S. Braenderup H9812 was used as a DNA size marker. Plasmid incompatibility (Inc) groups were assigned using polymerase chain reaction (PCR)-based replicon typing with total DNA (including genomic DNA and plasmid DNA) samples of the 18 CIPR Salmonella isolates and their transconjugants or transformants as templates. Each isolate was tested for the presence of 18 plasmid replicons using PCR assays as described previously [16]. The presence of PMQR genes (qnrA, qnrB, qnrS, oqxA, oqxB, qepA, and aac(6′)-Ib-cr) was determined using PCR as described previously [5,12]. All isolates positive for aac(6′)-Ib-cr and qnrS were sequenced to identify their gene subtypes.

2.4. Whole-Genome Sequencing and Data Analysis

Salmonella cells were transferred to LB broth and incubated overnight at 37 °C at 200 rpm. Total DNA was extracted from overnight cultures using a QIAamp DNA Mini Kit (Qiagen, Hilden, Germany). Whole-genome sequencing (WGS) was performed by MajorBio (Shanghai, China) using a PacBio RS II system (Pacific Biosciences, Menlo Park, CA, USA). Briefly, a 10-kb DNA library was constructed and sequenced using single-molecule real-time sequencing technology. The PacBio RS II sequencing data were assembled using Canu software (v2.1) [17]), and quality control was performed with FastQC [18]. Genome annotation was carried out using RAST (http://rast.nmpdr.org, accessed on 6 March 2024) and BLAST (http://blast.ncbi.nlm.nih.gov/Blast.cgi, accessed on 9 March 2024). Open reading frames (ORFs) were identified with the ORF Finder program (http://www.ncbi.nlm.nih.gov/orffinder, accessed on 6 March 2024). The origin of transfer (oriT) in the DNA sequences of mobile genetic elements was identified using oriTfinder (https://tool2-mml.sjtu.edu.cn/oriTfinder/oriTfinder.html, accessed on 6 March 2024). Plasmid types were determined using PlasmidFinder (https://cge.food.dtu.dk/services/PlasmidFinder/, accessed on 6 March 2024).

2.5. Nucleotide Sequence Accession Numbers

The complete sequences of S. Typhimurium SJTUF 13270, S. Derby SJTUF 13534, and their plasmids (pSJTUF 13270A, pSJTUF 13270B, and pSJTUF 13534) were deposited in the NCBI database under the accession number PRJNA1002226.

3. Results

3.1. Correlation Analysis of Molecular Basis for CIPR Salmonella Isolates

The ciprofloxacin MICs of the 18 Salmonella strains after inhibition of the RND efflux pump were evaluated and compared with those of untreated CIPR Salmonella. Overall, the resistance to ciprofloxacin in all test strains decreased 4–32-fold after treatment with the RND efflux pump inhibitor (Table 1). The results revealed that the impact of efflux pumps on ciprofloxacin resistance was linked to the presence or absence of point mutations in the QRDR. Specifically, after inhibition, the MICs of all five strains lacking point mutations shifted from resistant to sensitive, suggesting that the efflux pump contributed to low-level fluoroquinolone resistance during early low-dose exposure. Notably, S. Enteritidis showed a larger range of reduction (16 or 32-fold) following inhibition, including in five S. Enteritidis strains with a GyrA (Asp87Tyr) mutation and relatively high MICs (8 μg/mL), which also converted to a sensitive MIC after inhibition.
In contrast, the sensitive E. coli strain acquired partial or full ciprofloxacin resistance (ranging from 1/64 to equal to that of the original CIPR Salmonella) following plasmid transfer. The MIC of ciprofloxacin in these transconjugants/transformants remained lower (1–4 μg/mL) but above the breakpoint level (Table 1). Interestingly, the contribution of PMQR genes to fluoroquinolone resistance was associated with QRDR point mutations. Plasmids played a more significant role in strains without QRDR mutations, with the MICs of five transconjugants reaching half or the full value of the corresponding Salmonella strains (Table 1). In the two S. Thompson strains (SJTUF 12791 and SJTUF 11197) with a ParC (Thr57Ser) mutation (Table 1), point mutations in the QRDR had the greatest effect on resistance (MIC 64 or 128 μg/mL), followed by the RND efflux pumps (8-fold reduction), while plasmids had a limited impact (only 1/32 or 1/64 of ciprofloxacin resistance was acquired).

3.2. Transferable Ciprofloxacin-Resistance Genes and Plasmids

Since transferable plasmids were relevant to ciprofloxacin resistance, 7 known ciprofloxacin resistance genes and 18 common plasmid types were tested using PCR in both the original Salmonella strains and their corresponding transconjugant/transformants (Figure 1). Sixteen and 15 of the 18 CIPR isolates carried oqxA/B (88.9%) and aac(6′)-Ib-cr (83.3%) respectively, while 3 carried qnrS1 (16.7%), and 1 isolate carried qepA (5.6%) (Figure 1A). A total of 5 replicon types: FIIs, FIB, X1, HI2, and A/C, were detected in 18 CIPR isolates (Figure 1B); 6 S.. Enteritidis isolates carried Inc F plasmids (FIIs and FIB) and Inc X1 plasmids, and 6 of 7 S.. Typhimurium and 1 S. Virchow isolate carried IncHI2 plasmids; moreover, IncA/C plasmids were found in 2 S. Thompson and the remaining S. Typhimurium (SJTUF 10178) isolates, and S. Derby SJTUF 13534 harbored only the IncFIB plasmid, whereas S. Enteritidis 13522 contained only the IncFIIs plasmid.
In the conjugation experiments, all tested ciprofloxacin resistance genes in S. Enteritidis, S. Thompson, and S. Virchow, along with 1 S. Typhimurium strain carrying an Inc A/C plasmid, were transferable, with a conjugation efficiency of approximately 10−6. These genes were co-transferred with their corresponding plasmids (Figure 1). However, the ciprofloxacin resistance genes in 7 S. Typhimurium strains with IncHI2 plasmids were not transferable under the current conjugation conditions. Consequently, these IncHI2 plasmids were transformed into E. coli through electroporation. Interestingly, only qnrS1 was found on the transferable FIB plasmid in S. Derby (SJTUF 13534) (Figure 1A), whereas oqxA and oqxB were absent, indicating that these two genes were likely located on the chromosome.
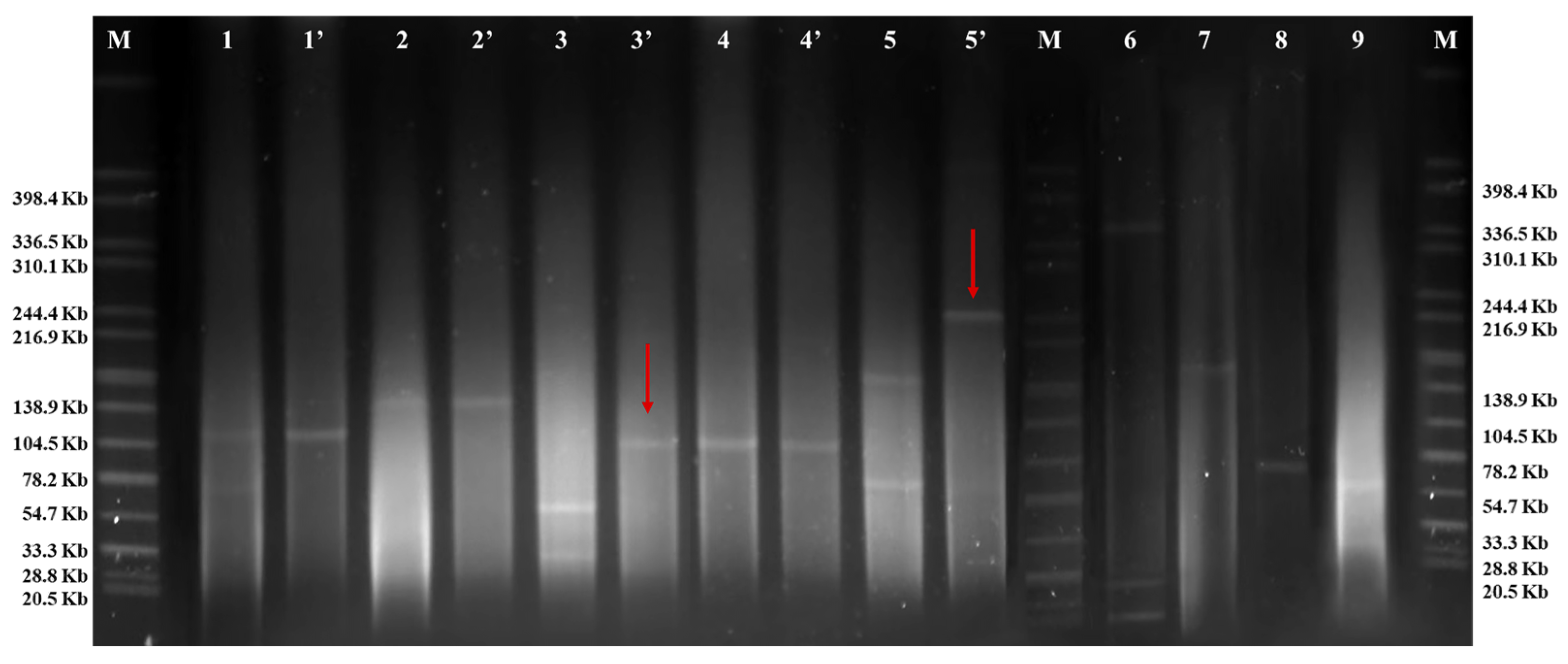
S1-PFGE was employed to determine the plasmid sizes in both the original Salmonella strains and their corresponding transconjugants/transformants. The S1-PFGE patterns of 9 representative original Salmonella strains and 5 representative transconjugants/transformants are shown in Figure 2. Five S. Enteritidis strains (SJTUF 13280, SJTUF 13322, SJTUF 13323, SJTUF 13293, and SJTUF 13355) shared identical S1-PFGE patterns, as did 6 S. Typhimurium strains (SJTUF 13270, SJTUF 13277, SJTUF 13306, SJTUF 13336, SJTUF 13337, and SJTUF 13350) and their transconjugants/transformants. Unfortunately, despite more than three tests being conducted, the S1-PFGE profiles of the four transformants (SJTUF10178-T; 7: SJTUF11258-T; 8: SJTUF13552-T; and 9: SJTUF12553-T) could not be obtained. Moreover, plasmid fusion occurred through plasmid co-conjugation in the 5 S. Enteritidis strains and through plasmid transformation in the 6 S. Typhimurium strains (Figure 2, 3′ and 5′, marked with red arrows), as the size of one plasmid in the transconjugants/transformants equaled the sum of the sizes of the two plasmids in the original Salmonella strains.

3.3. Complete Sequence of Representative Isolates and Transferable Element Analysis

WGS was performed on the isolate S. Derby SJTUF 13534 and its plasmid using the PacBio RS II system to analyze the surrounding genetic environment of the 3 PMQR genes (qnrS1, oqxA and oqxB). Figure 3A shows that a typical qnrS1 resistance module structure (fst1-blaLAP-2-IS3-qnrS1-orf1-ISKra4-ISKra4-ISKra4) was identified in the 8.8-kb multidrug resistance region (MRR) in the FIB-type plasmid pSJTUF 13534, which showed a high similarity (~96%) to the MRRs of K. pneumoniae pE196_IMP6 (accession no. AP019405), E. coli p399-3 (accession no. CP084537), and S. flexneri 0439 plasmid (accession no. CP020344). It was further confirmed that the other 2 quinolone resistance genes (oqxA and oqxB) (Figure 1A) were located on the chromosome of S. Derby SJTUF 13534 (Figure 3B). The typical oqxAB module structure (IS26-bleO-NimC-IS26-oqxA-oqxB-Rrf2-IS26) in this study was also observed in other Salmonella chromosomes of S. Derby FSIS11704880 (accession no. CP082411) and Salmonella CFSA231 (accession no. CP033350) and was identical to that of p14406-FII (accession no. MN823988) and pTEM (accession no. CP047003) from E. coli (Figure 3B). The oqxAB module was likely transferred via IS26 mobilization between the plasmids and chromosomes in closely related Enterobacteriaceae (Figure 3B).
To analyze the potential reasons for transfer defects and plasmid fusion of these S. Typhimurium strains carrying IncHI2 plasmids, we sequenced 1 representative isolate, SJTUF 13270. A total of 5,44,752-bp whole-genome DNA sequences with a GC content of 51.91% were identified in S. Typhimurium SJTUF 13270, including a 4,988,456-bp chromosome sequence and 2 plasmids. The larger plasmid, pSJTUF 13270A, was identified to be 178,321-bp in size and possessed 175 predicted coding sequences with a typical IncHI2 backbone, based on the results of PlasmidFinder (Figure 4A). Three PMQR genes (oqxA, oqxB and aac(6′)-Ib-cr) that mediate resistance to ciprofloxacin were identified in plasmid pSJTUF 13270A, consistent with the PCR results (Figure 2). Although 2 T4SS (genes encoding the bacterial type IV secretion system) were identified in this study (Figure 4A), the absence of the origin of the transfer site (oriT), relaxase genes, and the gene encoding type IV coupling protein in the conjugative region of the IncHI2 plasmid may result in the failure of conjugative transfer of pSJTUF 13270A. As shown in Figure 4B, plasmid pSJTUF 13270A harbors an approximately 51-kb MRR, which is a mosaic structure flanked by IS26 fragments. The oqxA and oqxB genes, bound by IS26 elements at both ends, were identical to those in pSJTUF 10169 (accession no. CP047549) and pHDYJC8 (accession no. KY019259) (Figure 4B). Notably, the typical aac(6′)-Ib-cr module (IS26-sul1-qacE-arr-3-catB3-blaOXA-aac(6′)-Ib-cr-IS26) was found in the same orientation in these three plasmids, but in pSJTUF 13270A, the IS26 element near the sul1 gene was in the opposite orientation, leading to the reverse insertion of the aac(6′)-Ib-cr module within the MRR (Figure 4B). In addition, virulence genes (hipA) and heavy metal resistance genes (terA, terB, terC, terD, terF, terZ, terX, terY, and terW) were identified in pSJTUF 13270A (Figure 4A), implying their involvement with other hazards to food safety. Although no antibiotic resistance or virulence genes were found on the smaller plasmid (pSJTUF 13270B), the presence of integrase, recombinase, and recombination-associated proteins suggests a potential role in plasmid fusion with the IncHI2 plasmid.

4. Discussion

In our study, a significant decline in MIC ranging from 4–32-fold was observed in all 18 ciprofloxacin-resistant Salmonella isolates following treatment with an efflux pump inhibitor (Table 1). This finding aligns with previous research [8,19] that highlights the role of the RND efflux pump in mediating fluoroquinolone resistance in Salmonella. The RND efflux pump has long been considered a key player in the development of antimicrobial resistance in Salmonella [20], particularly for fluoroquinolones. However, few studies have explored the impact of multiple efflux pumps across different Salmonella serotypes. Interestingly, in this study, we observed a more pronounced reduction (16-or 32-fold) in MIC values in the five S. Enteritidis isolates with higher baseline MICs (Table 1), underscoring the critical role of efflux pumps in fluoroquinolone resistance within this serovar. S. Enteritidis is recognized for its high genomic clonality, which may suggest that this serovar lacks alternative efflux pumps and regulators to compensate and regulate for the inhibition of RND pumps [21]. As a result, the inhibition of the RND efflux pump could be particularly effective in S. Enteritidis strains. This observation implies that efflux pump inhibitors may have greater therapeutic potential against bacteria with high clonality, such as S. Enteritidis. Further studies are needed to expand the validation of this approach, especially across a broader range of bacterial species and serovars, to fully explore the clinical applicability of efflux pump inhibitors as a treatment strategy.
Previous studies have shown that plasmids carrying PMQR genes can confer resistance levels above the ciprofloxacin breakpoint (≥1 µg/mL) in the absence of QRDR mutations, introducing a novel mechanism of fluoroquinolone resistance [22]. In our study, the MIC of ciprofloxacin in all transconjugants/transformants remained between 1–4 µg/mL, surpassing the breakpoint level (Table 1). It has been hypothesized that bacteria harboring PMQR genes may gain a selective advantage; after surviving initial exposure to fluoroquinolones, these bacteria may later develop high-level chromosomal resistance [7,23]. Essentially, once point mutations occur that confer high resistance, the impact of these plasmids becomes less pronounced. This molecular basis for ciprofloxacin-resistant Salmonella was evident in the two S. Thompson strains, where the plasmids had a limited impact (1/32 or 1/64 ciprofloxacin resistance was acquired) (Table 1). Therefore, plasmid-mediated transfer of PMQR genes likely represents a key risk factor for the rapid dissemination of fluoroquinolone resistance. Meanwhile, efflux pumps may assist bacterial adaptation to continuous antibiotic exposure, and QRDR mutations may drive the development of higher-level resistance.
The detection results of transferable ciprofloxacin-resistance genes in this study (Figure 1A) align with those of recent studies [12,24], where the most frequently identified PMQR determinants were oqxAB and aac(6′)-Ib-cr, with fewer detections of qnr and qepA. In our study, oqxAB and aac(6′)-Ib-cr were often co-located within a strain (15/18, 83.3%) (Figure 1A), suggesting that this co-occurrence may contribute to the increased incidence of ciprofloxacin resistance in Salmonella observed in recent years. Our findings from Inc group assays (Figure 1B) are consistent with previous reports [19,25,26] that oqxAB is frequently associated with IncF, IncX1, and IncHI2 plasmids. Notably, Shi et al. [27] further demonstrated that the spread of oqxAB and aac(6′)-Ib-cr in S. Typhimurium predominantly occurs via IncHI2 plasmids (Figure 4), which is consistent with the findings of our study. The qnrS1 gene, typically associated with IncN plasmids in Enterobacteriales, including Salmonella [5,28,29], was also detected on Inc A/C plasmids in E. coli [30], similar to our finding where qnrS1 was driven by Inc A/C plasmids in S. Thompson (Figure 1B). The broad host range of Inc C plasmids has been implicated in the co-dissemination of various antibiotic resistance genes [31,32], and recent reports from China identified S. Thompson isolates harboring both qnrS1 and qepA on Inc C plasmids [33], a finding consistent with strain SJTUF 12791 in our study (Figure 1B). PMQR genes located on plasmids are commonly detected in CIPR Salmonella strains across various serotypes [21,34,35]. These PMQR-carrying plasmids have been a driving force behind the sharp rise in CIPR Salmonella prevalence over the past decade. One possible explanation for this rapid dissemination is that mobile genetic elements allow Salmonella to acquire ciprofloxacin resistance without incurring a significant fitness cost.
Recently, a new mechanism of ciprofloxacin resistance was reported, in which a combination of qnrS1 and other PMQR genes located on a chromosomal fragment or plasmid was mainly observed in S. Derby as a result of clonal spread [12,36]. Further, a recent report on S. Derby [37] showed that this chromosomal DNA fragment flanked by IS26 could form a circular intermediate that facilitates the transmission of this DNA fragment between different Salmonella strains. The PCR and sequencing results of S. Derby SJTUF 13534 in this study (Figure 1A and Figure 3B) also verified the transmission possibility of the circular intermediate between different strains. Further studies are required to elucidate the mechanism of transmission of this circular intermediate.
The HI2 plasmids in the six S. Typhimurium strains were not transferable, primarily due to the absence of essential elements in the conjugative region (Figure 4A). Similar transfer defects caused by the lack of these elements have been noted in other HI2-type plasmids in Salmonella [24]. Another phenomenon that needs to be pointed out is that the X1 plasmid in S. Enteritidis did not transfer successfully and was not related to the transfer of PMQR genes (Figure 1A). This suggests that the X1 plasmid may lack transfer elements or may be linked to other genetic traits, which warrants further investigation, possibly through sequencing.
Plasmid fusion in Salmonella has been frequently reported over the past decade [38,39,40] and plays a significant role in the accumulation of antibiotic-resistance-encoding genes in foodborne Salmonella, posing a considerable threat to food safety. Conjugative helper plasmids can fuse with non-conjugative PMQR-encoding plasmids to facilitate the transmission of resistance genes among Salmonella strains [38,40]. Therefore, the fusion phenomenon observed in this study, particularly involving the smaller plasmid (pSJTUF 13270B) fusing with the HI2 plasmid, warrants serious attention. This is especially pertinent given the detection of integrase, recombinase, and recombination-associated proteins in pSJTUF 13270B (Figure 4A), which may enhance the mobility and dissemination of resistance traits within the bacterial population.
A limitation of our study is the focus on a specific subset of ciprofloxacin-resistant Salmonella strains, primarily from S. Typhimurium and S. Enteritidis, with repetitive mutations in the gyrA gene (Asp87Asn and Asp87Tyr). While this selection allowed us to maintain consistency with our previous research and investigate the interplay between efflux pump activity and plasmid-mediated resistance mechanisms within a controlled genetic context, it may limit the generalizability of our findings, as the homogeneity of gyrA mutations could restrict applicability to other Salmonella serotypes or strains with different resistance mechanisms. Additionally, by focusing solely on ciprofloxacin, the study did not explore the effects of other quinolones. Future research should include a broader range of strains and antibiotics to enhance the generalizability and comprehensiveness of the findings.

5. Conclusions

Our study highlights the crucial roles of efflux pumps and transferable plasmids in the mechanisms of ciprofloxacin resistance among Salmonella isolates. The marked reduction in MICs following the inhibition of RND efflux pumps emphasizes their contribution to fluoroquinolone resistance, particularly in S. Enteritidis. Furthermore, the identification of key PMQR genes across diverse plasmid types underscores the complex interplay between plasmids and chromosomal mutations in conferring antibiotic resistance. Notably, the phenomenon of plasmid fusion signifies a potential pathway for the rapid dissemination of resistance genes among Salmonella strains. Both efflux pumps and PMQR genes located on chromosomal fragments or plasmids are essential for fluoroquinolone resistance, with their effects linked to the presence or absence of point mutations in QRDR and variations among Salmonella serotypes. The diversity of plasmid types and the presence of circular intermediates facilitate the transfer of PMQR genes, further heightening the risk of resistance dissemination. This study emphasizes the necessity for ongoing surveillance of antibiotic resistance mechanisms in Salmonella and highlights the importance of addressing plasmid-mediated resistance in strategies to combat foodborne infections. Further research is essential to elucidate the mechanisms behind plasmid transfer and fusion, as these processes significantly contribute to the evolution of antibiotic resistance in bacterial populations.

Author Contributions

Data curation, C.Q.; formal analysis, D.K.; funding acquisition, X.Z. and C.S.; investigation, S.Y.; methodology, S.Y. and C.Q.; supervision, X.Z.; writing—original draft, S.Y. and X.Z.; writing—review and editing, X.Z., C.S. and C.Q. All authors have read and agreed to the published version of the manuscript.

Funding

This research was funded by the Science and Technology Commission of Shanghai Municipality, grant no. 21N31900200, the National Natural Science Foundation of China, grant no. 32072320 and Climbing Plan for Excellent Young Staffs at Shanghai University of Medine & Health Sciences, grant no. A3-2601-24-311001.

Institutional Review Board Statement

Not applicable.

Informed Consent Statement

Not applicable.

Data Availability Statement

The complete sequences of S. Typhimurium SJTUF 13270, S. Derby SJTUF 13534, and their plasmids (pSJTUF 13270A, pSJTUF 13270B, and pSJTUF 13534) were deposited in the NCBI database under the accession number PRJNA1002226.

Conflicts of Interest

The authors declare no conflicts of interest.

References

  1. Ferrari, R.G.; Rosario, D.K.A.; Cunha-Neto, A.; Mano, S.B.; Figueiredo, E.E.S.; Conte-Junior, C.A. Worldwide epidemiology of Salmonella serovars in animal-based foods: A meta-analysis. Appl. Environ. Microbiol. 2019, 85, e00591-19. [Google Scholar] [CrossRef] [PubMed]
  2. Liu, J.; Bai, L.; Li, W.; Han, H.; Fu, P.; Ma, X.; Bi, Z.; Yang, X.; Zhang, X.; Zhen, S.; et al. Trends of foodborne diseases in China: Lessons from laboratory-based surveillance since 2011. Front. Med. 2018, 12, 48–57. [Google Scholar] [CrossRef] [PubMed]
  3. Shane, A.L.; Mody, R.K.; Crump, J.A.; Tarr, P.I.; Steiner, T.S.; Kotloff, K.; Langley, J.M.; Wanke, C.; Warren, C.A.; Cheng, A.C.; et al. Infectious diseases society of America clinical practice guidelines for the diagnosis and management of infectious diarrhea. Clin. Infect. Dis. 2017, 65, e45–e80. [Google Scholar] [CrossRef]
  4. Ma, Y.; Li, M.; Xu, X.; Fu, Y.; Xiong, Z.; Zhang, L.; Qu, X.; Zhang, H.; Wei, Y.; Zhan, Z.; et al. High-levels of resistance to quinolone and cephalosporin antimicrobials in MDR-ACSSuT Salmonella enterica serovar Enteritidis mainly isolated from patients and foods in Shanghai, China. Int. J. Food Microbiol. 2018, 286, 190–196. [Google Scholar] [CrossRef] [PubMed]
  5. Yang, J.; Zhang, Z.; Zhou, X.; Cui, Y.; Shi, C.; Shi, X. Prevalence and characterization of antimicrobial resistance in Salmonella enterica isolates from retail foods in Shanghai, China. Foodborne Pathog. Dis. 2020, 17, 35–43. [Google Scholar] [CrossRef]
  6. Tacconelli, E.; Carrara, E.; Savoldi, A.; Harbarth, S.; Mendelson, M.; Monnet, D.L.; Pulcini, C.; Kahlmeter, G.; Kluytmans, J.; Carmeli, Y.; et al. Discovery, research, and development of new antibiotics: The WHO priority list of antibiotic-resistant bacteria and tuberculosis. Lancet Infect. Dis. 2018, 18, 318–327. [Google Scholar] [CrossRef]
  7. Hooper, D.C.; Jacoby, G.A. Mechanisms of drug resistance: Quinolone resistance. Ann. N. Y. Acad. Sci. 2015, 1354, 12–31. [Google Scholar] [CrossRef]
  8. Horiyama, T.; Yamaguchi, A.; Nishino, K. TolC dependency of multidrug efflux systems in Salmonella enterica serovar Typhimurium. J. Antimicrob. Chemother. 2010, 65, 1372–1376. [Google Scholar] [CrossRef]
  9. Baucheron, S.; Chaslus-Dancla, E.; Cloeckaert, A. Role of TolC and parC mutation in high-level fluoroquinolone resistance in Salmonella enterica serotype Typhimurium DT204. J. Antimicrob. Chemother. 2004, 53, 657–659. [Google Scholar] [CrossRef]
  10. Aldred, K.J.; Kerns, R.J.; Osheroff, N. Mechanism of quinolone action and resistance. Biochemistry 2014, 53, 1565–1574. [Google Scholar] [CrossRef]
  11. Rodríguez-Martínez, J.M.; Machuca, J.; Cano, M.E.; Calvo, J.; Martínez-Martínez, L.; Pascual, A. Plasmid-mediated quinolone resistance: Two decades on. Drug Resist. Updates 2016, 29, 13–29. [Google Scholar] [CrossRef] [PubMed]
  12. Kuang, D.; Zhang, J.M.; Xu, X.B.; Shi, W.M.; Chen, S.; Yang, X.W.; Su, X.D.; Shi, X.M.; Meng, J.H. Emerging high-level ciprofloxacin resistance and molecular basis of resistance in Salmonella enterica from humans, food and animals. Int. J. Food Microbiol. 2018, 280, 1–9. [Google Scholar] [CrossRef] [PubMed]
  13. CLSI. Performance Standards for Antimicrobial Susceptibility Testing, 28th ed.; CLSI Supplement M100; Clinical Laboratory Standards Institute: Wayne, PA, USA, 2018. [Google Scholar]
  14. Chen, Y.; Hu, D.; Zhang, Q.; Liao, X.P.; Liu, Y.H.; Sun, J. Efflux pump overexpression contributes to tigecycline heteroresistance in Salmonella enterica serovar Typhimurium. Front. Cell. Infect. Microbiol. 2017, 7, 37. [Google Scholar] [CrossRef] [PubMed]
  15. Chen, L.; Chen, Z.L.; Liu, J.H.; Zeng, Z.L.; Ma, J.Y.; Jiang, H.X. Emergence of RmtB methylase producing Escherichia coli and Enterobacter cloacae isolates from pigs in China. J. Antimicrob. Chemother. 2007, 59, 880–885. [Google Scholar] [CrossRef]
  16. Carattoli, A.; Bertini, A.; Villa, L.; Falbo, V.; Hopkins, K.L.; Threlfall, E.J. Identification of plasmids by PCR-based replicon typing. J. Microbiol. Methods 2005, 63, 219–228. [Google Scholar] [CrossRef]
  17. Koren, S.; Walenz, B.P.; Berlin, K.; Miller, J.R.; Bergman, N.H.; Phillippy, A.M. Canu: Scalable and accurate long-read assembly via adaptive k-mer weighting and repeat separation. Genome Res. 2017, 27, 722–736. [Google Scholar] [CrossRef]
  18. Patel, R.; Jain, M. NGS QC toolkit: A toolkit for quality control of next generation sequencing data. PLoS ONE 2012, 7, e30619. [Google Scholar] [CrossRef]
  19. Li, L.; Liao, X.P.; Yang, Y.R.; Sun, J.; Li, L.L.; Liu, B.T.; Yang, S.S.; Ma, J.; Li, X.; Zhang, Q.J.; et al. Spread of oqxAB in Salmonella enterica serotype Typhimurium predominantly by IncHI2 plasmids. J. Antimicrob. Chemother. 2013, 68, 2263–2268. [Google Scholar] [CrossRef]
  20. Huang, L.L.; Wu, C.R.; Gao, H.J.; Xu, C.; Dai, M.H.; Huang, L.L.; Hao, H.H.; Wang, X.; Cheng, G.Y. Bacterial multidrug efflux pumps at the frontline of antimicrobial resistance: An overview. Antibiotics 2022, 11, 520. [Google Scholar] [CrossRef]
  21. Ballesté-Delpierre, C.; Solé, M.; Domènech, Ò.; Borrell, J.; Vila, J.; Fàbrega, A. Molecular study of quinolone resistance mechanisms and clonal relationship of Salmonella enterica clinical isolates. Int. J. Antimicrob. Agents 2014, 43, 121–125. [Google Scholar] [CrossRef]
  22. Chen, K.; Dong, N.; Zhao, S.; Liu, L.; Li, R.; Xie, M.; Lin, D.; Wai-Chi Chan, E.; Meng, J.; McDermott, P.F.; et al. Identification and characterization of conjugative plasmids that encode ciprofloxacin resistance in Salmonella. Antimicrob. Agents Chemother. 2018, 62, e00575-18. [Google Scholar] [CrossRef] [PubMed]
  23. Chang, M.X.; Zhang, J.F.; Sun, Y.H.; Li, R.S.; Lin, X.L.; Yang, L.; Webber, M.A.; Jiang, H.X. Contribution of different mechanisms to ciprofloxacin resistance in Salmonella spp. Front. Microbiol. 2021, 12, 663731. [Google Scholar] [CrossRef] [PubMed]
  24. Zhang, Z.F.; Yang, J.X.; Xu, X.B.; Zhou, X.J.; Shi, C.L.; Zhao, X.D.; Liu, Y.H.; Shi, X.M. Co-existence of mphA, oqxAB and blaCTX-M-65 on the IncHI2 Plasmid in highly drug-resistant Salmonella enterica serovar Indiana ST17 isolated from retail foods and humans in China. Food Control 2020, 118, 107269. [Google Scholar] [CrossRef]
  25. Norman, A.; Hansen, L.H.; She, Q.; Sørensen, S.J. Nucleotide sequence of pOLA52: A conjugative IncX1 plasmid from Escherichia coli which enables biofilm formation and multidrug efflux. Plasmid 2008, 60, 59–74. [Google Scholar] [CrossRef]
  26. Liu, B.T.; Yang, Q.E.; Li, L.; Sun, J.; Liao, X.P.; Fang, L.X.; Yang, S.S.; Deng, H.; Liu, Y.H. Dissemination and characterization of plasmids carrying oqxAB-blaCTX-M genes in Escherichia coli isolates from food-producing animals. PLoS ONE 2013, 8, e73947. [Google Scholar] [CrossRef]
  27. Shi, H.; Zhou, X.; Zou, W.; Wang, Y.; Lei, C.; Xiang, R.; Zhou, L.; Liu, B.; Zhang, A.; Wang, H. Co-occurrence of biofilm formation and quinolone resistance in Salmonella enterica serotype Typhimurium carrying an IncHI2-type oqxAB-positive plasmid. Microb. Pathog. 2018, 123, 68–73. [Google Scholar] [CrossRef]
  28. García-Fernández, A.; Fortini, D.; Veldman, K.; Mevius, D.; Carattoli, A. Characterization of plasmids harbouring qnrS1, qnrB2 and qnrB19 genes in Salmonella. J. Antimicrob. Chemother. 2009, 63, 274–281. [Google Scholar] [CrossRef]
  29. Antunes, P.; Mourão, J.; Machado, J.; Peixe, L. First description of qnrS1-IncN plasmid in a ST11 Salmonella Enteritidis clinical isolate from Portugal. Diagn. Microbiol. Infect. Dis. 2011, 69, 463–465. [Google Scholar] [CrossRef]
  30. Guo, Y.F.; Zhang, W.H.; Ren, S.Q.; Yang, L.; Lü, D.H.; Zeng, Z.L.; Liu, Y.H.; Jiang, H.X. IncA/C plasmid-mediated spread of CMY-2 in multidrug-resistant Escherichia coli from food animals in China. PLoS ONE 2014, 9, e96738. [Google Scholar] [CrossRef]
  31. Ambrose, S.J.; Harmer, C.J.; Hall, R.M. Evolution and typing of IncC plasmids contributing to antibiotic resistance in Gram-negative bacteria. Plasmid 2018, 99, 40–55. [Google Scholar] [CrossRef]
  32. Chen, K.; Yang, C.; Chan, E.W.; Chen, S. Emergence of conjugative IncC type plasmid simultaneously encoding resistance to ciprofloxacin, ceftriaxone, and azithromycin in Salmonella. Antimicrob. Agents Chemother. 2021, 65, e0104621. [Google Scholar] [CrossRef] [PubMed]
  33. Lu, M.; Zhai, W.S.; Du, P.C.; Wang, Y.; Zhan, Z.F.; Chen, S.; Jia, H.Y.; Bai, L. Molecular characteristics of ciprofloxacin-cefotaxime-azithromycin co-resistant Salmonella enterica serovar Thompson in foodborne diseases in Hunan Province. Zhonghua Yu Fang Yi Xue Za Zhi 2022, 56, 1745–1750. (In Chinese) [Google Scholar] [PubMed]
  34. Chen, K.; Chan, E.W.C.; Chen, S. Evolution and transmission of a conjugative plasmid encoding both ciprofloxacin and ceftriaxone resistance in Salmonella. Emerg. Microbes Infect. 2019, 8, 396–403. [Google Scholar] [CrossRef] [PubMed]
  35. Vieira, D.C.; Lima, W.G.; Paiva, M.C. Plasmid-mediated quinolone resistance (PMQR) among Enterobacteriales in Latin America: A systematic review. Mol. Biol. Rep. 2020, 47, 1471–1483. [Google Scholar] [CrossRef]
  36. Yang, C.; Chen, K.; Chan, E.W.; Yao, W.; Chen, S. Transmission of chromosomal MDR DNA fragment encoding ciprofloxacin resistance by a conjugative helper plasmid in Salmonella. Front. Microbiol. 2020, 11, 556227. [Google Scholar] [CrossRef]
  37. Chen, K.; Yang, C.; Dong, N.; Xie, M.; Ye, L.; Chan, E.W.C.; Chen, S. Evolution of ciprofloxacin resistance-encoding genetic elements in Salmonella. Msystems 2020, 5, e01234-20. [Google Scholar] [CrossRef]
  38. Cui, M.Q.; Zhang, P.; Li, J.Y.; Sun, C.T.; Song, L.; Zhang, C.P.; Zhao, Q.; Wu, C.M. Prevalence and characterization of fluoroquinolone resistant Salmonella isolated from an integrated broiler chicken supply chain. Front. Microbiol. 2019, 10, 1865. [Google Scholar] [CrossRef]
  39. Chen, C.L.; Su, L.H.; Janapatla, R.P.; Lin, C.Y.; Chiu, C.H. Genetic analysis of virulence and antimicrobial-resistant plasmid pOU7519 in Salmonella enterica serovar Choleraesuis. J. Microbiol. Immunol. Infect. 2020, 53, 49–59. [Google Scholar] [CrossRef]
  40. Gu, Y.X.; Lü, Z.X.; Cao, C.Y.; Sheng, H.J.; Li, W.; Cui, S.H.; Li, R.C.; Lü, X.; Yang, B.W. Cunning plasmid fusion mediates antibiotic resistance genes represented by ESBLs encoding genes transfer in foodborne Salmonella. Int. J. Food Microbiol. 2021, 355, 109336. [Google Scholar] [CrossRef]
Figure 1. Comparison of Salmonella donors and the corresponding E. coli transconjugants/transformants based on plasmid-mediated quinolone-related genes (A) and plasmid incompatibly groups (B). Before, Salmonella donor; After, E. coli transconjugants/transformants. The plasmid-mediated quinolone resistance (PMQR) genes included oqxA, oqxB, qepA, aac(6′)-Ib-cr), and qnrS1, while plasmid incompatibility (Inc) groups included A/C, FIIs, HI2, FIB, and X1.
Figure 1. Comparison of Salmonella donors and the corresponding E. coli transconjugants/transformants based on plasmid-mediated quinolone-related genes (A) and plasmid incompatibly groups (B). Before, Salmonella donor; After, E. coli transconjugants/transformants. The plasmid-mediated quinolone resistance (PMQR) genes included oqxA, oqxB, qepA, aac(6′)-Ib-cr), and qnrS1, while plasmid incompatibility (Inc) groups included A/C, FIIs, HI2, FIB, and X1.
Pathogens 13 01126 g001
Figure 2. S1 nuclease pulsed-field gel electrophoresis of representative Salmonella donors (1–9) and corresponding E. coli transconjugants/transformants (1′–5′). M: H9812; 1: SJTUF 11197; 1′: SJTUF 11197-T; 2: SJTUF 12791; 2′: SJTUF 12791-T; 3: SJTUF 13280; 3′: SJTUF 13280-T; 4: SJTUF 13534; 4′: SJTUF 13534-T; 5: SJTUF 13270; 5′: SJTUF 13270-T; 6: SJTUF10178; 7: SJTUF11258; 8: SJTUF13552; 9: SJTUF 12553.
Figure 2. S1 nuclease pulsed-field gel electrophoresis of representative Salmonella donors (1–9) and corresponding E. coli transconjugants/transformants (1′–5′). M: H9812; 1: SJTUF 11197; 1′: SJTUF 11197-T; 2: SJTUF 12791; 2′: SJTUF 12791-T; 3: SJTUF 13280; 3′: SJTUF 13280-T; 4: SJTUF 13534; 4′: SJTUF 13534-T; 5: SJTUF 13270; 5′: SJTUF 13270-T; 6: SJTUF10178; 7: SJTUF11258; 8: SJTUF13552; 9: SJTUF 12553.
Pathogens 13 01126 g002
Figure 3. Analysis of the genetic environment of PMQR genes in strain SJTUF 13534. (A) Genetic environment comparison of qnrS1 and blaLAP-2 genes in plasmid pSJTUF 13534, K. pneumoniae pE196_IMP6 (accession no. AP019405), E. coli p399-3 (accession no. CP084537), and S. flexneri 0439 plasmid (accession no. CP020344). (B) Genetic environment comparison of oqxA and oqxB genes in the chromosomes of SJTUF 13534, S. Derby FSIS11704880 (accession no. CP082411), and Salmonella CFSA231 (accession no. CP033350), and E. coli p14406-FII (accession no. MN823988) and E. coli pTEM (accession no. CP047003). Areas shaded in gray indicate homologies between the corresponding genetic loci on each plasmid. Boxes or arrows represent the open reading frames. Red, antibiotic resistance genes; yellow, insertion sequence/transposase; blue, replication-associated genes; gray, hypothetical protein; white, other genes.
Figure 3. Analysis of the genetic environment of PMQR genes in strain SJTUF 13534. (A) Genetic environment comparison of qnrS1 and blaLAP-2 genes in plasmid pSJTUF 13534, K. pneumoniae pE196_IMP6 (accession no. AP019405), E. coli p399-3 (accession no. CP084537), and S. flexneri 0439 plasmid (accession no. CP020344). (B) Genetic environment comparison of oqxA and oqxB genes in the chromosomes of SJTUF 13534, S. Derby FSIS11704880 (accession no. CP082411), and Salmonella CFSA231 (accession no. CP033350), and E. coli p14406-FII (accession no. MN823988) and E. coli pTEM (accession no. CP047003). Areas shaded in gray indicate homologies between the corresponding genetic loci on each plasmid. Boxes or arrows represent the open reading frames. Red, antibiotic resistance genes; yellow, insertion sequence/transposase; blue, replication-associated genes; gray, hypothetical protein; white, other genes.
Pathogens 13 01126 g003
Figure 4. An overview of the plasmid pSJTUF 13270A (A) and its sequence comparison (B). The plasmid pSJTUF 10169 (accession no. CP047549) from S. Typhimurium, and E. coli pHDYJC8 (accession no. KY019259) were compared with the plasmid pSJTUF 13270A in this study. Areas shaded in gray indicate homology between the corresponding genetic loci on each plasmid. Boxes or arrows represent open reading frames. Red, antibiotic resistance genes; yellow, insertion sequence/transposase; blue, replication-associated genes; gray, hypothetical proteins; white, other genes.
Figure 4. An overview of the plasmid pSJTUF 13270A (A) and its sequence comparison (B). The plasmid pSJTUF 10169 (accession no. CP047549) from S. Typhimurium, and E. coli pHDYJC8 (accession no. KY019259) were compared with the plasmid pSJTUF 13270A in this study. Areas shaded in gray indicate homology between the corresponding genetic loci on each plasmid. Boxes or arrows represent open reading frames. Red, antibiotic resistance genes; yellow, insertion sequence/transposase; blue, replication-associated genes; gray, hypothetical proteins; white, other genes.
Pathogens 13 01126 g004
Table 1. Comparison of the MIC of ciprofloxacin in 18 ciprofloxacin-resistant (CIPR) Salmonella strains before and after the inhibition of resistance nodulation-division efflux pumps and transconjugant/transformant in E. coli C600/DH5α.
Table 1. Comparison of the MIC of ciprofloxacin in 18 ciprofloxacin-resistant (CIPR) Salmonella strains before and after the inhibition of resistance nodulation-division efflux pumps and transconjugant/transformant in E. coli C600/DH5α.
StrainsSerovarsQRDRNalidixic Acida MIC of Ciprofloxacin (μg/mL)Fold Changes *
Untreated SalmonellaTreatment with Inhibitorb E. coli Transconjugants/TransformantsInhibitionTransconjugant/Transformant
SJTUF 13270TyphimuriumGyrA (Asp87Asn)R162481/4
SJTUF 13306TyphimuriumGyrA (Asp87Asn)R162481/4
SJTUF 13336TyphimuriumGyrA (Asp87Asn)R81281/4
SJTUF 13337TyphimuriumGyrA (Asp87Asn)R162481/4
SJTUF 13350TyphimuriumGyrA (Asp87Asn)R162481/4
SJTUF 13277TyphimuriumGyrA (Asp87Asn)R81281/4
SJTUF 10178TyphimuriumNAS20.5141/2
SJTUF 13552EnteritidisNAS10.031321
SJTUF 13323EnteritidisGyrA (Asp87Tyr)R80.252321/4
SJTUF 13293EnteritidisGyrA (Asp87Tyr)R80.252321/4
SJTUF 13280EnteritidisGyrA (Asp87Tyr)R80.252321/4
SJTUF 13322EnteritidisGyrA (Asp87Tyr)R80.52161/4
SJTUF 13355EnteritidisGyrA (Asp87Tyr)R80.252321/4
SJTUF 12553EnteritidisNAS10.061161
SJTUF 12791ThompsonParC (Thr57Ser)S12816281/64
SJTUF 11197ThompsonParC (Thr57Ser)S648281/32
SJTUF 11258VirchowNAS20.1251161/2
SJTUF 13534DerbyNAS20.25281
a, The MIC breakpoint of ciprofloxacin resistance is 1 μg/mL; b, MIC of recipient E. coli C600 or E. coli DH5α was <0.125, which was susceptible to ciprofloxacin. *, Fold change for inhibitor = MIC in untreated Salmonella/MIC after treatment with inhibitor; fold change for transconjugant/transformant = MIC in E. coli transconjugants or transformants/MIC in untreated Salmonella. GyrA, gyrase subunit A; MIC, minimum inhibitory concentration; NA, not applicable; ParC, topoisomerase IV subunit C; QRDR, quinolone resistance determination region.
Disclaimer/Publisher’s Note: The statements, opinions and data contained in all publications are solely those of the individual author(s) and contributor(s) and not of MDPI and/or the editor(s). MDPI and/or the editor(s) disclaim responsibility for any injury to people or property resulting from any ideas, methods, instructions or products referred to in the content.

Share and Cite

MDPI and ACS Style

Zhou, X.; Yi, S.; Kuang, D.; Shi, C.; Qu, C. Analysis of Efflux Pump Contributions and Plasmid-Mediated Genetic Determinants in Ciprofloxacin-Resistant Salmonella. Pathogens 2024, 13, 1126. https://doi.org/10.3390/pathogens13121126

AMA Style

Zhou X, Yi S, Kuang D, Shi C, Qu C. Analysis of Efflux Pump Contributions and Plasmid-Mediated Genetic Determinants in Ciprofloxacin-Resistant Salmonella. Pathogens. 2024; 13(12):1126. https://doi.org/10.3390/pathogens13121126

Chicago/Turabian Style

Zhou, Xiujuan, Shanrong Yi, Dai Kuang, Chunlei Shi, and Chunbo Qu. 2024. "Analysis of Efflux Pump Contributions and Plasmid-Mediated Genetic Determinants in Ciprofloxacin-Resistant Salmonella" Pathogens 13, no. 12: 1126. https://doi.org/10.3390/pathogens13121126

APA Style

Zhou, X., Yi, S., Kuang, D., Shi, C., & Qu, C. (2024). Analysis of Efflux Pump Contributions and Plasmid-Mediated Genetic Determinants in Ciprofloxacin-Resistant Salmonella. Pathogens, 13(12), 1126. https://doi.org/10.3390/pathogens13121126

Note that from the first issue of 2016, this journal uses article numbers instead of page numbers. See further details here.

Article Metrics

Back to TopTop