Assessment of the Cardiac Functions Using Full Conventional Echocardiography with Tissue Doppler Imaging before and after Xylazine Sedation in Male Shiba Goats
Abstract
Simple Summary
Abstract
1. Introduction
2. Materials and Methods
2.1. Ethical Statement
2.2. Animals
2.3. Experimental Design
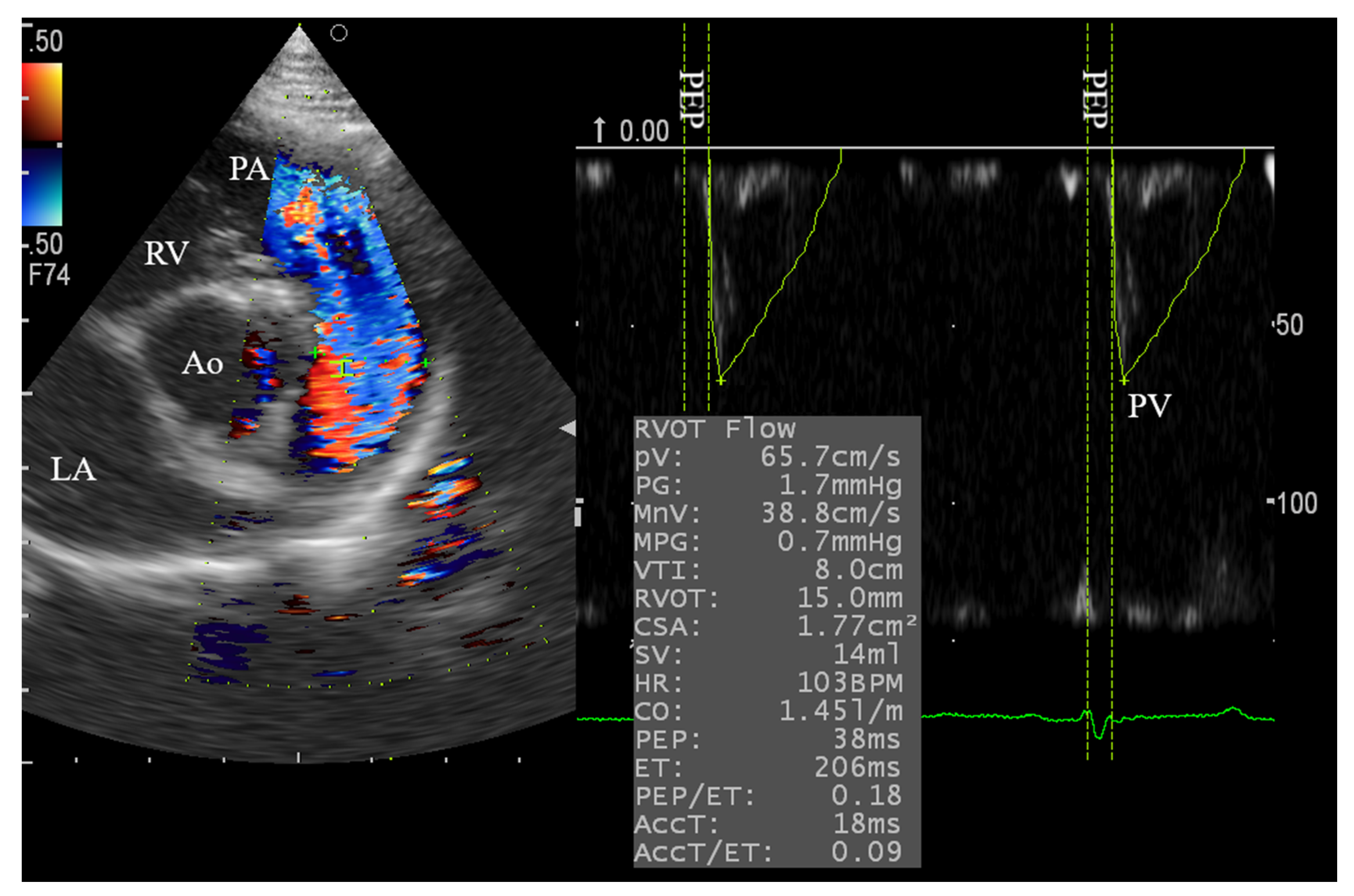
2.4. Conventional Echocardiography
2.5. Tissue Doppler Imaging (TDI)
2.6. Statistical Analysis
3. Results
3.1. Clinical Signs
3.2. Normality and Variability of the Recorded Echocardiographic Parameters
3.3. Right Side Echocardiography and the Effect of Xylazine Administration
3.4. Left Side Echocardiography
3.4.1. Assessment of the Aortic and Mitral Blood Flow
3.4.2. Tissue Doppler Imaging (TDI) of the Left Ventricular Wall
4. Discussion
5. Conclusions
Author Contributions
Funding
Acknowledgments
Conflicts of Interest
Abbreviations List
| ACCT | Acceleration time |
| ACCT/ET | Acceleration time/ejection time |
| Am | Late diastolic velocity of the LV wall |
| AoDd | Aortic diastolic diameter |
| Av | Late diastolic velocity mitralis |
| CO | Cardiac output |
| CSA | Cross-sectional area |
| DecT | Deceleration time |
| E/A | E/A, early to late mitral inflow velocity ratio; |
| E/Em | Early diastolic velocity mitralis/early diastolic velocity of the LV wall |
| EDV | LV end-diastolic volume |
| EF | Ejection fraction |
| Em | Early diastolic velocity of the LV wall |
| Em/Am | Early to late diastolic velocity of the LV wall |
| ESV | LV end-systolic volume |
| ET | Ejection time |
| Ev | Early diastolic velocity mitralis |
| FS% | Fraction shortening |
| HR | Heart rate |
| IVSd | Interventricular septum diastolic diameter |
| IVSs | Interventricular septum systolic diameter |
| LA/Ao | Left atrial/aortic diameter |
| LADs | Left atrium systolic diameter |
| LV | Left ventricle |
| LVIDd | LV internal diastolic diameter |
| LVISd | LV internal systolic diameter |
| LVOT | LV outflow tract |
| LVPWd | LV free wall diastolic diameter |
| LVPWs | LV free wall systolic diameter |
| MnV | Mean velocity |
| MPG | Mean pressure gradient |
| PEP | Pre-ejection time |
| PEP/ET | Pre-ejection time/ejection time |
| PG | Pressure gradient |
| PV | Peak velocity |
| PWDE | Pulsed-wave Doppler echocardiography |
| RVOT | Right ventricular outflow tract |
| Sm | Systolic velocity of the LV wall |
| SV | Stroke volume |
| TDI | Tissue Doppler imaging |
| VTI | Velocity-time integral |
References
- Herzog, K.; Bollwein, H. Application of Doppler Ultrasonography in Cattle Reproduction. Reprod. Domest. Anim. 2007, 42, 51–58. [Google Scholar] [CrossRef]
- Charles, C.J.; Rademaker, M.T.; Scott, N.J.A.; Richards, A.M. Large Animal Models of Heart Failure: Reduced vs. Preserved Ejection Fraction. Animals 2020, 10, 1906. [Google Scholar] [CrossRef]
- Takewa, Y.; Yamanami, M.; Kishimoto, Y.; Arakawa, M.; Kanda, K.; Matsui, Y.; Oie, T.; Ishibashi-Ueda, H.; Tajikawa, T.; Ohba, K.; et al. In vivo evaluation of an in-body, tissue-engineered, completely autologous valved conduit (biovalve type VI) as an aortic valve in a goat model. J. Artif. Organs 2013, 16, 176–184. [Google Scholar] [CrossRef]
- Park, C.S.; Kim, Y.J.; Lee, J.R.; Lim, H.G.; Chang, J.E.; Jeong, S.; Kwon, N. Anticalcification effect of a combination of decellularization, organic solvents and amino acid detoxification on glutaraldehyde-fixed xenopericardial heart valves in a large-animal long-term circulatory model. Interact. Cardiovasc. Thorac. Surg. 2017, 25, 391–399. [Google Scholar] [CrossRef]
- Kim, D.-H.; Morris, B.; Guerrero, J.L.; Sullivan, S.M.; Hung, J.; Levine, R.A. Ovine Model of Ischemic Mitral Regurgitation. In Experimental Models of Cardiovascular Diseases: Methods and Protocols; Ishikawa, K., Ed.; Springer: New York, NY, USA, 2018; pp. 295–308. [Google Scholar]
- Dosdall, D.J.; Ranjan, R.; Higuchi, K.; Kholmovski, E.; Angel, N.; Li, L.; Macleod, R.; Norlund, L.; Olsen, A.; Davies, C.J.; et al. Chronic atrial fibrillation causes left ventricular dysfunction in dogs but not goats: Experience with dogs, goats, and pigs. Am. J. Physiol. Heart Circ. Physiol. 2013, 305, H725–H731. [Google Scholar] [CrossRef] [PubMed]
- Monreal, G.; Sherwood, L.C.; Sobieski, M.A.; Giridharan, G.A.; Slaughter, M.S.; Koenig, S.C. Large Animal Models for Left Ventricular Assist Device Research and Development. ASAIO J. 2014, 60, 2–8. [Google Scholar] [CrossRef] [PubMed]
- Gardner, S.Y.; Reef, V.B.; Palmer, J.E.; Reimer, J.M.; Sweeney, R.W. Echocardiographic diagnosis of an anomaly of the tricuspid valve in a male pygmy goat. J. Am. Vet. Med. Assoc. 1992, 200, 521–523. [Google Scholar] [PubMed]
- Leroux, A.A.; Farnir, F.; Moonen, M.L.; Sandersen, C.F.; Deleuze, S.; Amory, H. Repeatability, variability and reference values of pulsed wave Doppler echocardiographic measurements in healthy Saanen goats. BMC Vet. Res. 2012, 8, 190. [Google Scholar] [CrossRef]
- Leroux, A.A.; Moonen, M.L.; Farnir, F.; Sandersen, C.F.; Deleuze, S.; Salciccia, A.; Amory, H. Two-dimensional and M-mode echocardiographic reference values in healthy adult Saanen goats. Vet. Rec. 2012, 170, 154. [Google Scholar] [CrossRef]
- Steininger, K.; Berli, A.S.; Jud, R.; Schwarzwald, C.C. Echocardiography in Saanen-goats: Normal findings, reference intervals in awake goats, and the effect of general anesthesia. Schweiz. Arch. Tierheilkd. 2011, 153, 553–564. [Google Scholar] [CrossRef]
- Olsson, K.; Hansson, A.; Hydbring, E.; von Walter, L.W.; Häggstrom, J. A serial study of heart function during pregnancy, lactation and the dry period in dairy goats using echocardiography. Exp. Physiol. 2001, 86, 93–99. [Google Scholar] [CrossRef] [PubMed]
- Szaluś-Jordanow, O.; Czopowicz, M.; Witkowski, L.; Mickiewicz, M.; Frymus, T.; Markowska-Daniel, I.; Bagnicka, E.; Kaba, J. Reference intervals of echocardiographic measurements in healthy adult dairy goats. PLoS ONE 2017, 12, e0183293. [Google Scholar] [CrossRef] [PubMed]
- Sadi, F.; Alizadeh, S. Study of Cardiac Parameters by Pulsed Wave Doppler Echocardiography in Normal Healthy Markhoz Goat. Iran. J. Vet. Surg. 2018, 13, 1–7. [Google Scholar]
- Szaluś-Jordanow, O.; Czopowicz, M.; Witkowski, L.; Moroz, A.; Mickiewicz, M.; Frymus, T.; Markowska-Daniel, I.; Bagnicka, E.; Kaba, J. Change of heart dimensions and function during pregnancy in goats. Res. Vet. Sci. 2018, 118, 351–356. [Google Scholar] [CrossRef]
- Hennessy, T.G.; MacDonald, D.; Hennessy, M.S.; Maguire, M.; Blake, S.; McCann, H.A.; Sugrue, D.D. Serial changes in cardiac output during normal pregnancy: A Doppler ultrasound study. Eur. J. Obstet. Gynecol. Reprod. Biol. 1996, 70, 117–122. [Google Scholar] [CrossRef]
- Zengin, K.; Tokac, M.; Duzenli, M.A.; Soylu, A.; Aygul, N.; Ozdemir, K. Influence of menstrual cycle on cardiac performance. Maturitas. 2007, 58, 70–74. [Google Scholar] [CrossRef]
- Hart, M.V.; Hosenpud, J.D.; Hohimer, A.R.; Morton, M.J. Hemodynamics during pregnancy and sex steroid administration in guinea pigs. Am. J. Physiol. 1985, 249, R179–R185. [Google Scholar] [CrossRef]
- Bavegems, V.; Duchateau, L.; Sys, S.U.; De Rick, A. Echocardiographic reference values in Whippets. Vet. Radiol. Ultrasound 2007, 48, 230–238. [Google Scholar] [CrossRef]
- Al-haidar, A.; Farnir, F.; Deleuze, S.; Sandersen, C.F.; Leroux, A.A.; Borde, L.; Cerri, S.; Amory, H. Effect of breed, sex, age and body weight on echocardiographic measurements in the Equine species. Res. Vet. Sci. 2013, 95, 255–260. [Google Scholar] [CrossRef]
- Hallowell, G.D.; Potter, T.J.; Bowen, I.M. Reliability of quantitative echocardiography in adult sheep and goats. BMC Vet. Res. 2012, 8, 181. [Google Scholar] [CrossRef]
- Boon, J.A. Veterinary Echocardiography; John Wiley & Sons: Hoboken, NJ, USA, 2011. [Google Scholar]
- Mandour, A.S.; Elsayed, R.F.; Ali, A.O.; Mahmoud, A.E.; Samir, H.; Dessouki, A.A.; Matsuura, K.; Watanabe, I.; Sasaki, K.; Al-Rejaie, S.; et al. The utility of electrocardiography and echocardiography in copper deficiency-induced cardiac damage in goats. Environ. Sci. Pollut. Res. 2020. [Google Scholar] [CrossRef] [PubMed]
- Rizk, A.; Herdtweck, S.; Meyer, H.; Offinger, J.; Zaghloul, A.; Rehage, J. Effects of xylazine hydrochloride on hormonal, metabolic, and cardiorespiratory stress responses to lateral recumbency and claw trimming in dairy cows. J. Am. Vet. Med. Assoc. 2012, 240, 1223–1230. [Google Scholar] [CrossRef] [PubMed]
- Lucas Castillo, J.A.; Gozalo-Marcilla, M.; Werneck Fonseca, M.; Possebon, F.S.; da Rosa, A.C.; de Araujo Aguiar, A.J. Sedative and cardiorespiratory effects of low doses of xylazine with and without acepromazine in Nordestino donkeys. Equine Vet. J. 2018, 50, 831–835. [Google Scholar] [CrossRef] [PubMed]
- Ibrahim, H.M.M.; Abouelnasr, K.S.; Hamed, M.A.; Eltayesh, R.A.; El-Khodery, S.A. Comparative Effect of Epidural Administration of Xylazine or Dexmedetomidine on Echocardiographic Dimensions and Cardiac Indices in Clinically Healthy Donkeys (Equus asinus). J. Equine Vet. Sci. 2020, 85, 102882. [Google Scholar] [CrossRef] [PubMed]
- Ede, T.; von Keyserlingk, M.A.G.; Weary, D.M. Efficacy of xylazine in neonatal calves via different routes of administration. Vet. J. 2019, 247, 57–60. [Google Scholar] [CrossRef]
- El-Hawari, S.F.; Sakata, H.; Oyama, N.; Tamura, J.; Higuchi, C.; Endo, Y.; Miyoshi, K.; Sano, T.; Suzuki, K.; Yamashita, K. Anesthetic and cardiorespiratory effects of single-bolus intravenous alfaxalone with or without intramuscular xylazine-premedication in calves. J. Vet. Med. Sci. 2018, 80, 361–367. [Google Scholar] [CrossRef]
- Kinjavdekar, P.; Singh, G.R.; Amarpal; Pawde, A.M.; Aithal, H.P. Effects of subarachnoid xylazine and medetomidine on haemodynamics and ECG in goats. J. Vet. Med. 1999, 46, 271–275. [Google Scholar] [CrossRef]
- Afshar, F.S.; Baniadam, A.; Marashipour, S.P. Effect of xylazine-ketamine on arterial blood pressure, arterial blood pH, blood gases, rectal temperature, heart and respiratory rates in goats. Bull. Vet. Inst. 2005, 49, 481. [Google Scholar]
- Constable, P.D.; Hinchcliff, K.W.; Done, S.H.; Grünberg, W. Veterinary Medicine-E-Book: A Textbook of the Diseases of Cattle, Horses, Sheep, Pigs and Goats; Elsevier Health Sciences: Amsterdam, The Netherlands, 2016. [Google Scholar]
- Grant, C.; Upton, R.N. Cardiovascular and haemodynamic effects of intramuscular doses of xylazine in conscious sheep. Aust. Vet. J. 2001, 79, 58–60. [Google Scholar] [CrossRef]
- Thomas, W.P.; Gaber, C.E.; Jacobs, G.J.; Kaplan, P.M.; Lombard, C.W.; Vet, M.; Moise, N.S.; Moses, B.L. Recommendations for Standards in Transthoracic Two-Dimensional Echocardiography in the Dog and Cat. J. Vet. Intern. Med. 1993, 7, 247–252. [Google Scholar] [CrossRef]
- De Madron, E.; Chetboul, V.; Bussadori, C. Clinical Echocardiography of the Dog and Cat-E-Book; Elsevier Health Sciences: Amsterdam, The Netherlands, 2015. [Google Scholar]
- Poser, H.; Semplicini, L.; De Benedictis, G.M.; Gerardi, G.; Contiero, B.; Maschietto, N.; Valerio, E.; Milanesi, O.; Semplicini, A.; Bernardini, D. Two-dimensional, M-mode and Doppler-derived echocardiographic parameters in sedated healthy growing female sheep. Lab. Anim. 2013, 47, 194–202. [Google Scholar] [CrossRef] [PubMed]
- Moses, B.L.; Ross, J.N., Jr. M-mode echocardiographic values in sheep. Am. J. Vet. Res. 1987, 48, 1313–1318. [Google Scholar] [PubMed]
- Kirberger, R.M.; van den Berg, J.S. Pulsed wave Doppler echocardiographic evaluation of intracardiac blood flow in normal sheep. Res. Vet. Sci. 1993, 55, 189–194. [Google Scholar] [CrossRef]
- Matsuura, K.; Sato, K.; Shimada, K.; Goya, S.; Uemura, A.; Iso, T.; Yazaki, K.; Yilmaz, Z.; Takahashi, K.; Tanaka, R. Changes in left ventricular blood flow during diastole due to differences in chamber size in healthy dogs. Sci. Rep. 2020, 10, 1106. [Google Scholar] [CrossRef] [PubMed]
- Porter, V.; Alderson, L.; Hall, S.J.; Sponenberg, D.P. Mason’s World Encyclopedia of Livestock Breeds and Breeding; Cabi: Boston, MA, USA, 2016. [Google Scholar]
- Samir, H.; Nyametease, P.; Elbadawy, M.; Fathi, M.; Mandour, A.S.; Radwan, F.; Nagaoka, K.; Sasaki, K.; Watanabe, G. Assessment of correlations and concentrations of salivary and plasma steroids, testicular morphometry, and semen quality in different climatic conditions in goats. Theriogenology 2020, 157, 238–244. [Google Scholar] [CrossRef]
- Samir, H.; Nyametease, P.; Nagaoka, K.; Watanabe, G. Effect of seasonality on testicular blood flow as determined by color Doppler ultrasonography and hormonal profiles in Shiba goats. Anim. Reprod. Sci. 2018, 197, 185–192. [Google Scholar] [CrossRef]
- Mandour, A.S.; Samir, H.; El-Beltagy, M.A.; Abdel-Daim, M.M.; Izumi, W.; Ma, D.; Matsuura, K.; Tanaka, R.; Watanabe, G. Effect of supra-nutritional selenium-enriched probiotics on hematobiochemical, hormonal, and Doppler hemodynamic changes in male goats. Environ. Sci. Pollut. Res. 2020, 27, 19447–19460. [Google Scholar] [CrossRef]
- Samir, H.; Nyametease, P.; Elbadawy, M.; Nagaoka, K.; Sasaki, K.; Watanabe, G. Administration of melatonin improves testicular blood flow, circulating hormones, and semen quality in Shiba goats. Theriogenology 2020, 146, 111–119. [Google Scholar] [CrossRef]
- Singh, P.; Jadon, N.S.; Bodh, D.; Kandpal, M. M-mode echocardiographic reference values in Pantja goats. Vet. World 2017, 10, 22–28. [Google Scholar] [CrossRef][Green Version]
- Kadappu, K.K.; Thomas, L. Tissue Doppler imaging in echocardiography: Value and limitations. Heart Lung Circ. 2015, 24, 224–233. [Google Scholar] [CrossRef]
- Borenstein, N.; Bruneval, P.; Behr, L.; Laborde, F.; Montarras, D.; Daurès, J.P.; Derumeaux, G.; Pouchelon, J.L.; Chetboul, V. An ovine model of chronic heart failure: Echocardiographic and tissue Doppler imaging characterization. J. Card. Surg. 2006, 21, 50–56. [Google Scholar] [CrossRef] [PubMed]
- Fontes-Sousa, A.P.; Moura, C.; Carneiro, C.S.; Teixeira-Pinto, A.; Areias, J.C.; Leite-Moreira, A.F. Echocardiographic evaluation including tissue Doppler imaging in New Zealand white rabbits sedated with ketamine and midazolam. Vet. J. 2009, 181, 326–331. [Google Scholar] [CrossRef] [PubMed][Green Version]
- Stypmann, J.; Engelen, M.A.; Breithardt, A.-K.; Milberg, P.; Rothenburger, M.; Breithardt, O.A.; Breithardt, G.; Eckardt, L.; Cordula, P.N. Doppler echocardiography and Tissue Doppler Imaging in the healthy rabbit: Differences of cardiac function during awake and anaesthetised examination. Int. J. Cardiol. 2007, 115, 164–170. [Google Scholar] [CrossRef] [PubMed]
- DeRossi, R.; Junqueira, A.L.; Beretta, M.P. Analgesic and systemic effects of ketamine, xylazine, and lidocaine after subarachnoid administration in goats. Am. J. Vet. Res. 2003, 64, 51–56. [Google Scholar] [CrossRef] [PubMed]
- Greene, S.A.; Thurmon, J.C. Xylazine—A review of its pharmacology and use in veterinary medicine. J. Vet. Pharmacol. Ther. 1988, 11, 295–313. [Google Scholar] [CrossRef] [PubMed]
- Bess, R.L.; Khan, S.; Rosman, H.S.; Cohen, G.I.; Allebban, Z.; Gardin, J.M. Technical Aspects of Diastology: Why Mitral Inflow and Tissue Doppler Imaging Are the Preferred Parameters? Echocardiography 2006, 23, 332–339. [Google Scholar] [CrossRef]
- Yang, X.P.; Liu, Y.H.; Rhaleb, N.E.; Kurihara, N.; Kim, H.E.; Carretero, O.A. Echocardiographic assessment of cardiac function in conscious and anesthetized mice. Am. J. Physiol. 1999, 277, H1967–H1974. [Google Scholar] [CrossRef]
- Berli, A.S.; Jud Schefer, R.; Steininger, K.; Schwarzwald, C.C. The use of strain, strain rate, and displacement by 2D speckle tracking for assessment of systolic left ventricular function in goats: Applicability and influence of general anesthesia. Cardiovasc. Ultrasound 2015, 13, 11. [Google Scholar] [CrossRef]





| Assessment | Parameters | Unit | Mean | SD | Normality | CV% | |
|---|---|---|---|---|---|---|---|
| P-vlue | Summary | ||||||
| LV measurements | IVSd | mm | 8.084 | 1.218 | >0.10 | ns | 15.00 |
| LVIDd | mm | 33.1 | 2.896 | >0.10 | ns | 8.75 | |
| LVPWd | mm | 7.944 | 1.369 | >0.10 | ns | 17.24 | |
| IVSs | mm | 12.32 | 0.819 | >0.10 | ns | 6.65 | |
| LVISd | mm | 21.09 | 2.454 | >0.10 | ns | 11.64 | |
| LVPWs | mm | 12.36 | 1.948 | 0.052 | ns | 14.76 | |
| HR | pbm | 106.5 | 10.67 | >0.10 | ns | 10.02 | |
| EDV | mL | 37.15 | 9.268 | >0.10 | ns | 24.95 | |
| ESV | mL | ml | 3.106 | >0.10 | ns | 30.91 | |
| EF | % | 70.28 | 7.017 | >0.10 | ns | 9.99 | |
| FS% | % | 35.45 | 4.157 | >0.10 | ns | 11.73 | |
| LA/Ao ratio | LADs | mm | 29.4 | 2.801 | >0.10 | ns | 9.53 |
| AoDd | mm | 19.36 | 2.078 | >0.10 | ns | 10.73 | |
| LA/Ao | 1.513 | 0.234 | >0.10 | ns | 14.46 | ||
| Pulmonary | PV | cm/s | 81.34 | 14.64 | 0.063 | ns | 17.99 |
| PG | mmHg | 2.561 | 0.574 | >0.10 | ns | 22.43 | |
| MnV | cm/s | 55.43 | 11.37 | >0.10 | ns | 20.51 | |
| MPG # | mmHg | 1.427 | 0.652 | 0.0021 | ** | 40.01 | |
| VTI | cm | 11.77 | 2.571 | >0.10 | ns | 21.85 | |
| RVOT | mm | 14.63 | 2.181 | >0.10 | ns | 14.91 | |
| CSA | cm2 | 1.721 | 0.495 | >0.10 | ns | 28.78 | |
| PEP | ms | 42.04 | 5.684 | >0.10 | ns | 13.52 | |
| ET | ms | 212.8 | 29.56 | >0.10 | ns | 13.89 | |
| PEP/ET # | 0.201 | 0.051 | 0.0001 | *** | 24.38 | ||
| ACCT | ms | 93.77 | 33.5 | >0.10 | ns | 35.73 | |
| ACCT/ET # | 0.427 | 0.138 | 0.016 | * | 32.19 | ||
| Aortic | PV | cm/s | 81.75 | 10.62 | 0.064 | ns | 13.00 |
| PG # | mmHg | 2.781 | 0.757 | 0.006 | ** | 27.21 | |
| MnV | cm/s | 51.75 | 7.118 | >0.10 | ns | 13.75 | |
| VTI | cm | 12.42 | 2.558 | >0.10 | ns | 20.59 | |
| LVOT | mm | 16.22 | 2.552 | >0.10 | ns | 13.73 | |
| CSA | cm2 | 2.126 | 0.635 | >0.10 | ns | 29.86 | |
| SV | mL | 27.14 | 11.73 | >0.10 | ns | 39.81 | |
| HR | bpm | 106.8 | 18.19 | >0.10 | ns | 17.02 | |
| CO | L/m | 2.873 | 1.237 | >0.10 | ns | 39.05 | |
| PEP | ms | 38.86 | 10.98 | >0.10 | ns | 28.25 | |
| ET | ms | 240.2 | 41.22 | >0.10 | ns | 17.16 | |
| PEP/ET # | 0.167 | 0.072 | 0.005 | ** | 39.95 | ||
| ACCT | ms | 67.48 | 18.68 | >0.10 | ns | 27.69 | |
| ACCT/ET # | 0.282 | 0.082 | 0.044 | * | 29.09 | ||
| Mitral inflow | Ev | cm/s | 48.71 | 8.872 | >0.10 | ns | 18.21 |
| Av | cm/s | 52.08 | 9.816 | >0.10 | ns | 18.85 | |
| E/A | 0.944 | 0.196 | >0.10 | ns | 20.78 | ||
| DecT | ms | 126.9 | 26.41 | >0.10 | ns | 20.81 | |
| Septal TDI | Sm # | cm/s | 10.61 | 1.006 | 0.041 | * | 9.48 |
| Em | cm/s | 7.852 | 1.642 | >0.10 | ns | 20.91 | |
| Am | cm/s | 8.447 | 2.465 | >0.10 | ns | 29.19 | |
| Em/Am | 1.024 | 0.375 | >0.10 | ns | 36.60 | ||
| Ev/Em | 6.548 | 1.087 | >0.10 | ns | 16.60 | ||
| Lateral TDI | Sm | cm/s | 13.52 | 2.974 | >0.10 | ns | 22.01 |
| Em | cm/s | 10.76 | 3.019 | >0.10 | ns | 28.06 | |
| Am # | cm/s | 9.978 | 2.167 | 0.002 | ** | 21.72 | |
| Em/Am | 1.122 | 0.372 | >0.10 | ns | 33.14 | ||
| Ev/Em | 4.938 | 1.251 | >0.10 | ns | 23.34 | ||
| Average TDI | Sm | cm/s | 12.06 | 1.505 | >0.10 | ns | 12.47 |
| Em | cm/s | 11.15 | 1.228 | >0.10 | ns | 11.01 | |
| Am | cm/s | 10.66 | 3.06 | >0.10 | ns | 28.70 | |
| Em/Am | 1.114 | 0.442 | >0.10 | ns | 39.66 | ||
| Ev/Em | 5.687 | 1.434 | >0.10 | ns | 24.92 | ||
| Assessment | Unit | Pre-Xyl | Post-Xyl | P-value |
|---|---|---|---|---|
| LV measurements | ||||
| IVSd | mm | 7.5 ± 0.5 | 8.0 ± 0.2 | 0.38 |
| LVIDd | mm | 33.6 ± 1.4 | 34.4 ± 1.1 | 0.64 |
| LVPWd | mm | 7.9 ± 0.6 | 7.2 ± 0.3 | 0.24 |
| IVSs | mm | 13.3 ± 0.2 | 12.3 ± 0.2 | 0.02 * |
| LVISd | mm | 19.3 ± 1.5 | 21.3 ± 0.9 | 0.15 |
| LVPWs | mm | 13.0 ± 0.7 | 12.8 ± 0.7 | 0.73 |
| EDV | mL | 39.5 ± 4.8 | 41.7 ± 3.9 | 0.72 |
| ESV | mL | 8.7 ± 1.7 | 10.1 ± 1.3 | 0.30 |
| EF | % | 75.7 ± 4.6 | 74.2 ± 2.9 | 0.71 |
| FS% | % | 41.5 ± 2.9 | 37.8 ± 2.6 | 0.07 |
| LA/Ao ratio | ||||
| LADs | mm | 29.8 ± 0.9 | 33.1 ± 3.1 | 0.29 |
| AoDd | mm | 20.2 ± 0.5 | 18.5 ± 0.8 | 0.02 * |
| LA/Ao | 1.5 ± 0.1 | 1.7 ± 0.1 | 0.04 * | |
| Pulmonary Doppler | ||||
| PV | cm/s | 85.4 ± 4.0 | 70.7 ± 3.7 | 0.04 * |
| PG | mmHg | 3.0 ± 0.3 | 2.1 ± 0.2 | 0.04 * |
| MnV | cm/s | 56.2 ± 2.8 | 46.0 ± 3.3 | 0.07 |
| MPG # | mmHg | 1.4 ± 0.1 | 1.0 ± 0.1 | 0.04 * |
| VTI | cm | 11.3 ± 0.5 | 11.0 ± 1.5 | 0.88 |
| RVOT | mm | 14.6 ± 0.5 | 15.7 ± 0.6 | 0.17 |
| CSA | cm * | 1.7 ± 0.1 | 2.0 ± 0.1 | 0.15 |
| PEP | ms | 42.6 ± 3.3 | 45.0 ± 2.7 | 0.49 |
| ET | ms | 205.2 ± 12.6 | 234.2 ± 22.4 | 0.32 |
| PEP/ET # | 0.2 ± 0.0 | ±0.2 ± 0.0 | 0.45 | |
| ACCT | cm/s | 72.5 ± 11.8 | 92.3 ± 12.9 | 0.35 |
| ACCT/ET # | 0.3 ± 0.0 | 0.4 ± 0.0 | 0.18 | |
| Aortic Doppler | ||||
| PV | cm/s | 93.1 ± 3.9 | 78.3 ± 1.5 | 0.01 * |
| PG # | mmHg | 3.4 ± 0.3 | 2.4 ± 0.1 | 0.00 * |
| MnV | cm/s | 55.9 ± 3.3 | 49.0 ± 0.8 | 0.05 |
| VTI | cm | 11.9 ± 0.8 | 14.5 ± 0.8 | 0.01 * |
| LVOT | cm | 13.8 ± 0.6 | 16.6 ± 0.4 | 0.02 * |
| CSA | cm2 | 1.5 ± 0.1 | 2.2 ± 0.1 | 0.01 * |
| SV | mL | 31.1 ± 2*1 | 30.7 ± 2.3 | 0.70 |
| HR | bpm | 128.5 ± 7.5 | 85.9 ± 6.3 | 0.01 * |
| CO | L/m | 3.8 ± 0.37 | 2.7 ± 0.2 | 0.02 * |
| PEP | ms | 35.3 ± 4.8 | 45.4 ± 3.3 | 0.11 |
| ET | ms | 216.0 ± 16.9 | 294.8 ± 15.7 | 0.00 * |
| PEP/ET # | 0.20 ± 0.0 | 0.20 ± 0.0 | 0.81 | |
| ACCT | cm/s | 56.7 ± 6.1 | 72.4 ± 3.9 | 0.02 * |
| ACCT/ET # | 0.25 ± 0.0 | 0.25 ± 0.0 | 0.81 | |
| Mitral inflow | ||||
| Ev | cm/s | 55.2 ± 3.6 | 45.8 ± 2.4 | 0.05 * |
| Av | cm/s | 52.4 ± 4.1 | 39.1 ± 2.4 | 0.01 * |
| E/A | 1.0 ± 0.1 | 1.2 ± 0.1 | 0.15 | |
| DecT | ms | 106.5 ± 13.4 | 163.4 ± 15.2 | 0.02 * |
| Pulsed-TDI | ||||
| Sm Sept # | cm/s | 10.5 ± 0.36 | 8.25 ± 0.38 | 0.00 * |
| Em Sept | cm/s | 8.5 ± 0.6 | 8.4 ± 0.4 | 0.97 |
| Am Sept | cm/s | 9.8 ± 1.1 | 6.7 ± 0.6 | 0.03 * |
| Em/Am Sep | 1.0 ± 0.2 | 1.3 ± 0.1 | 0.04 * | |
| Ev/Em Sept | 6.7 ± 0.6 | 5.6 ± 0.3 | 0.06 | |
| Sm Lat | cm/s | 13.52 ± 1.05 | 9.48 ± 0.66 | 0.00 * |
| Em Lat | cm/s | 12.5 ± 0.4 | 10.7 ± 0.5 | 0.03 * |
| Am Lat # | cm/s | 11.4 ± 1.4 | 8.6 ± 0.6 | 0.23 |
| Em/Am Lat | 1.3 ± 0.2 | 1.3 ± 0.1 | 0.81 | |
| Ev/Em Lat | 4.6 ± 0.5 | 4.5 ± 0.3 | 0.83 | |
| Average TDI | ||||
| Sm | cm/s | 12.06 ± 0.53 | 8.79 ± 0.48 | 0.00 * |
| Em | cm/s | 11.15 ± 0.43 | 9.57 ± 0.42 | 0.06 |
| Am | cm/s | 10.66 ± 1.08 | 7.66 ± 0.48 | 0.02 * |
| Em/Am | 1.11 ± 0.16 | 1.32 ± 0.12 | 0.18 | |
| Ev/Em | 5.69 ± 0.51 | 5.05 ± 0.24 | 0.28 | |
Publisher’s Note: MDPI stays neutral with regard to jurisdictional claims in published maps and institutional affiliations. |
© 2020 by the authors. Licensee MDPI, Basel, Switzerland. This article is an open access article distributed under the terms and conditions of the Creative Commons Attribution (CC BY) license (http://creativecommons.org/licenses/by/4.0/).
Share and Cite
Mandour, A.S.; Samir, H.; Yoshida, T.; Matsuura, K.; Abdelmageed, H.A.; Elbadawy, M.; Al-Rejaie, S.; El-Husseiny, H.M.; Elfadadny, A.; Ma, D.; et al. Assessment of the Cardiac Functions Using Full Conventional Echocardiography with Tissue Doppler Imaging before and after Xylazine Sedation in Male Shiba Goats. Animals 2020, 10, 2320. https://doi.org/10.3390/ani10122320
Mandour AS, Samir H, Yoshida T, Matsuura K, Abdelmageed HA, Elbadawy M, Al-Rejaie S, El-Husseiny HM, Elfadadny A, Ma D, et al. Assessment of the Cardiac Functions Using Full Conventional Echocardiography with Tissue Doppler Imaging before and after Xylazine Sedation in Male Shiba Goats. Animals. 2020; 10(12):2320. https://doi.org/10.3390/ani10122320
Chicago/Turabian StyleMandour, Ahmed S., Haney Samir, Tomohiko Yoshida, Katsuhiro Matsuura, Hend A. Abdelmageed, Mohamed Elbadawy, Salim Al-Rejaie, Hussein M. El-Husseiny, Ahmed Elfadadny, Danfu Ma, and et al. 2020. "Assessment of the Cardiac Functions Using Full Conventional Echocardiography with Tissue Doppler Imaging before and after Xylazine Sedation in Male Shiba Goats" Animals 10, no. 12: 2320. https://doi.org/10.3390/ani10122320
APA StyleMandour, A. S., Samir, H., Yoshida, T., Matsuura, K., Abdelmageed, H. A., Elbadawy, M., Al-Rejaie, S., El-Husseiny, H. M., Elfadadny, A., Ma, D., Takahashi, K., Watanabe, G., & Tanaka, R. (2020). Assessment of the Cardiac Functions Using Full Conventional Echocardiography with Tissue Doppler Imaging before and after Xylazine Sedation in Male Shiba Goats. Animals, 10(12), 2320. https://doi.org/10.3390/ani10122320

