Contrast-Enhanced Ultrasound in Cystic Endometrial Hyperplasia–Pyometra Complex in the Bitch: A Preliminary Study
Simple Summary
Abstract
1. Introduction
2. Materials and Methods
2.1. Ethical Approval
2.2. Animals and Study Design
2.3. B-Mode, Color Doppler and Contrast-Enhanced Ultrasound Procedures
2.4. Imaging Analysis
2.5. Sample Collection
2.6. Statistical Analysis
3. Results
3.1. Ultrasonographic Examinations
3.2. Macroscopic Examination
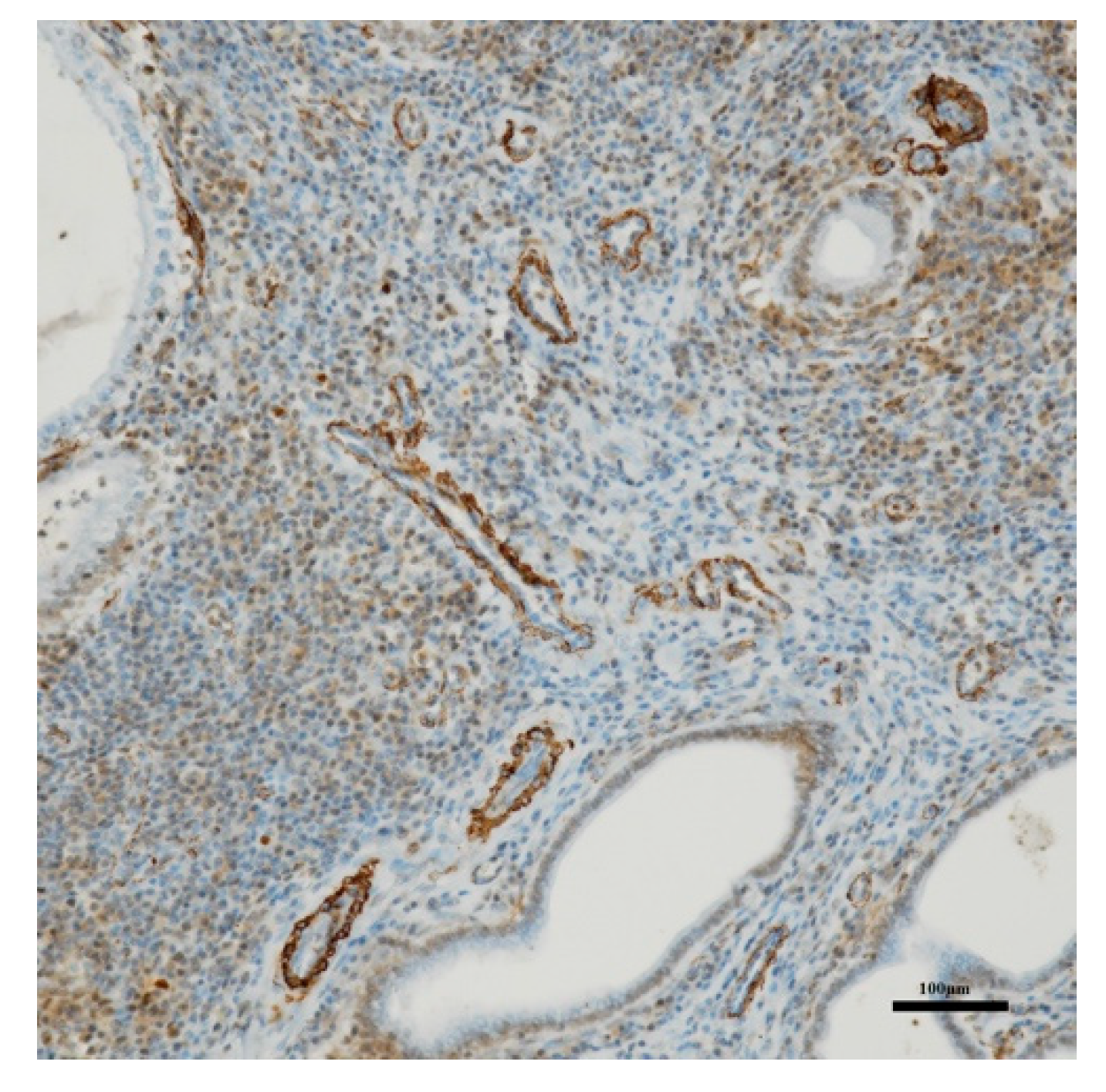
3.3. Histological Evaluation
4. Discussion
5. Conclusions
Author Contributions
Funding
Acknowledgments
Conflicts of Interest
References
- Bigliardi, E.; Parmigiani, E.; Cavirani, S.; Luppi, A.; Bonati, L.; Corradi, A. Ultrasonography and cystic hyperplasia-pyometra complex in the bitch. Reprod. Domest. Anim. 2004, 39, 136–140. [Google Scholar] [CrossRef] [PubMed]
- Veiga, G.A.; Miziara, R.H.; Angrimani, D.S.; Papa, P.C.; Cogliati, B.; Vannucchi, C.I. Cystic endometrial hyperplasia-pyometra syndrome in bitches: Identification of hemodynamic, inflammatory, and cell proliferation changes. Biol. Reprod. 2017, 96, 58–69. [Google Scholar] [PubMed]
- Schlafer, D.H.; Gifford, A.T. Cystic endometrial hyperplasia, pseudo-placentational endometrial hyperplasia, and other cystic conditions of the canine and feline uterus. Theriogenology 2008, 70, 349–358. [Google Scholar] [CrossRef] [PubMed]
- Silva, E.; Leitao, S.; Ferreira-Dias, G.; Lopes da Costa, L.; Mateus, L. Prostaglandin synthesis genes are differentially transcripted in normal and pyometra endometria of bitches. Reprod. Domest. Anim. 2009, 44, 200–203. [Google Scholar] [CrossRef]
- Hagman, R.; Rönnberg, E.; Pejler, G. Canine uterine bacterial infection induces upregulation of proteolysis-related genes and downregulation of homeiobox and zinc finger factors. PLoS ONE 2009, 4, e8039. [Google Scholar] [CrossRef]
- Voorwald, F.A.; Marchi, F.A.; Villacis, R.A.; Alves, C.E.; Toniollo, G.H.; Amorim, R.L.; Drigo, S.A.; Rogatto, S.R. Molecular expression profile reveals potential biomarkers and therapeutic targets in canine endometrial lesions. PLoS ONE 2015, 29, e0133894. [Google Scholar] [CrossRef]
- Kida, K.; Maezono, Y.; Kawate, N.; Inaba, T.; Hatoya, S.; Tamada, H. Epidermal growth factor, transforming growth factor-alpha, and epidermal growth factor receptor expression and localization in the canine endometrium during the estrous cycle and in bitches with pyometra. Theriogenology 2010, 73, 36–47. [Google Scholar] [CrossRef]
- Ben-Av, P.; Crofford, L.J.; Wilder, R.L.; Hla, T. Induction of vascular endothelial growth factor expression in synovial fibroblasts by prostaglandin E and interleukin-1: A potential mechanism for inflammatory angiogenesis. FEBS Lett. 1995, 372, 83–87. [Google Scholar] [CrossRef]
- Cohen, T.; Nahari, D.; Cerem, L.W.; Neufeld, G.; Levi, B.Z. Interleukin 6 induces the expression of vascular endothelial growth factor. J. Biol. Chem. 1996, 271, 736–741. [Google Scholar] [CrossRef]
- Winther, H.; Ahmed, A.; Dantzer, V. Immunohistochemical localization of vascular endothelial growth factor (VEGF) and its two specific receptors, FLT-1 and KDR, in the porcine placenta and non-pregnant uterus. Placenta 1999, 20, 35–43. [Google Scholar] [CrossRef]
- Yoshida, A.; Anand-Apte, B.; Zetter, B.R. Differential endothelial migration and proliferation to basic fibroblast growth factor and vascular endothelial growth factor. Growth Factors 1996, 13, 57–64. [Google Scholar] [CrossRef] [PubMed]
- England, G.; Yeager, A.; Concannon, P.W. Ultrasound imaging of the reproductive tract of the bitch. In Recent Advances in Small Animal Reproduction; Document A1226.0303; Concannon, P.W., Verstegen, J., England, G., Eds.; IVIS: Ithaca, NY, USA, 2003. [Google Scholar]
- Davidson, A.P.; Baker, T.W. Reproductive ultrasound of the bitch and queen. Top. Companion Anim. Med. 2009, 24, 55–63. [Google Scholar] [CrossRef] [PubMed]
- Freeman, S.L.; Russo, M.; England, G.C. Uterine artery blood flow characteristics assessed during oestrus and the early luteal phase of pregnant and non-pregnant bitches. Vet. J. 2013, 197, 205–210. [Google Scholar] [CrossRef] [PubMed]
- Blanco, P.G.; Tórtora, M.; Rodríguez, R.; Arias, D.; Gobello, C. Ultrasonographic assessment of maternal cardiac function and peripheral circulation during normal gestation in dogs. Vet. J. 2011, 190, 154–159. [Google Scholar] [CrossRef]
- Batista, P.R.; Gobello, C.; Corrada, Y.; Pons, E.; Arias, D.O.; Blanco, P.G. Doppler ultrasonographic assessment of uterine arteries during normal canine puerperium. Anim. Reprod. Sci. 2013, 141, 172–176. [Google Scholar] [CrossRef]
- Batista, P.R.; Gobello, C.; Rube, A.; Corrada, Y.A.; Tórtora, M.; Blanco, P.G. Uterine blood flow evaluation in bitches suffering from cystic endometrial hyperplasia (CEH) and CEH-pyometra complex. Theriogenology 2016, 85, 1258–1261. [Google Scholar] [CrossRef]
- O’Brien, R.T.; Iani, M.; Matheson, J.; Delaney, F.; Young, K. Contrast harmonic ultrasound of spontaneous liver nodules in 32 dogs. Vet. Radiol. Ultrasound 2004, 45, 547–553. [Google Scholar] [CrossRef]
- Burti, S.; Zotti, A.; Rubini, G.; Orlandi, R.; Bargellini, P.; Bonsembiante, F.; Banzato, T. Contrast-Enhanced ultrasound features of malignant focal liver masses in dogs. Nat. Res. J. 2020, 10, 6076. [Google Scholar]
- Ohlerth, S.; Ruefli, E.; Poirier, V.; Roos, M.; Kaser-Hotz, B. Contrast harmonic imaging of the normal canine spleen. Vet. Radiol. Ultrasound 2007, 48, 451–456. [Google Scholar] [CrossRef]
- Rossi, F.; Leone, V.F.; Vignoli, M.; Laddaga, E.; Terragni, R. Use of contrast-enhanced ultrasound for characterization of focal splenic lesions. Vet. Radiol. Ultrasound 2008, 49, 154–164. [Google Scholar] [CrossRef]
- Haers, H.; Saunders, J.H. Review of clinical characteristics and applications of contrast-enhanced ultrasonography in dogs. J. Am. Vet. Med. Assoc. 2009, 234, 460–470. [Google Scholar] [CrossRef] [PubMed]
- Haers, H.; Vignoli, M.; Paes, G.; Rossi, F.; Taeymans, O.; Daminet, S.; Saunders, J.H. Contrast harmonic ultrasonographic appearance of focal space-occupying renal lesions. Vet. Radiol. Ultrasound 2010, 51, 516–522. [Google Scholar] [CrossRef] [PubMed]
- Macrì, F.; Di Pietro, S.; Mangano, C.; Pugliese, M.; Mazzullo, G.; Iannelli, N.M.; Angileri, V.; Morabito, S.; De Majo, M. Quantitative evaluation of canine urinary bladder transitional cell carcinoma using contrast-enhanced ultrasonography. BMC Vet. Res. 2018, 14, 84. [Google Scholar] [CrossRef] [PubMed]
- Quartuccio, M.; Mangano, C.; Macri, F.; Rizzo, M.; Di Pietro, S.; Pugliese, M.; Mazzullo, G.; Cristarella, S.; De Majo, M. Contrast-Enhanced ultrasound evaluation of testicular interstitial cell tumours in conscious non-sedated dogs. Vet. Med. Czech 2018, 63, 125–130. [Google Scholar] [CrossRef]
- Volta, A.; Manfredi, S.; Vignoli, M.; Russo, M.; England, G.C.W.; Rossi, F.; Bigliardi, E.; Di Ianni, F.; Parmigiani, E.; Bresciani, C.G.; et al. Use of contrast-enhanced ultrasonography in chronic pathologic canine testes. Reprod. Domest. Anim. 2014, 49, 202–209. [Google Scholar] [CrossRef]
- Vignoli, M.; Russo, M.; Catone, G.; Rossi, F.; Attanasi, G.; Terragni, R.; Saunders, J.H.; England, G.C.W. Assessment of vascular perfusion kinetics using contrast-enhanced ultrasound for the diagnosis of prostatic disease in dogs. Reprod. Domest. Anim. 2011, 46, 209–213. [Google Scholar] [CrossRef]
- Orden, M.R.; Leinonen, M.; Kirknen, P. Contrast-Enhanced ultrasonography of uteroplacental circulation does not evoke harmful CTG changes or perinatal events. Fetal Diagn. Ther. 2000, 15, 139–145. [Google Scholar] [CrossRef]
- Murotsuki, J. Contrast-Enhanced ultrasound in obstetrics and gynecology. Donald Sch. J. Ultrasound Obstet. Gynecol. 2007, 1, 16–19. [Google Scholar] [CrossRef]
- Zhou, Y.J.; Yuan, M.L.; Li, R.; Zhu, L.P.; Chen, Z.H. Real-Time placental perfusion on contrast-enhanced ultrasound and parametric imaging analysis in rats at different gestation time and different portions of placenta. PLoS ONE 2013, 8, e58986. [Google Scholar] [CrossRef]
- Oberts, V.H.; Lo, J.O.; Salati, J.A.; Lewandowski, K.S.; Lindner, J.R.; Morgan, T.K.; Frias, A.E. Quantitative assessment of placental perfusion by contrast-enhanced ultra-sound in macaques and human subjects. Am. J. Obstet. Gynecol. 2016, 369, 1–8. [Google Scholar]
- Freccero, F.; Toaldo, M.B.; Castagnetti, C.; Cipone, M.; Diana, A. Contrast-Enhanced ultrasonography (CEUS) of the uterus during normal equine pregnancy: Preliminary report in two mares. J. Equine Vet. Sci. 2017, 54, 42–49. [Google Scholar] [CrossRef]
- Orlandi, R.; Vallesi, E.; Boiti, C.; Polisca, A.; Troisi, A.; Righi, C.; Bargellini, P. Contrast-Enhanced ultrasonography of maternal and fetal blood flows in pregnant bitches. Theriogenology 2019, 125, 129–134. [Google Scholar] [CrossRef]
- Vanderperrena, K.; Saundersa, J.H.; Van der Vekensa, E.; Wydooghed, E.; de Roosterc, H.; Duchateaub, L.; Stocka, E. B-Mode and contrast-enhanced ultrasonography of the mammary gland during the estrous cycle of dogs. Anim. Reprod. Sci. 2018, 199, 15–23. [Google Scholar] [CrossRef]
- Pop, C.M.; Mihu, D.; Badea, R. Role of contrast-enhanced ultrasound (CEUS) in the diagnosis of endometrial pathology. Clujul Med. 2015, 88, 433–437. [Google Scholar] [CrossRef] [PubMed]
- Liu, Y.; Xu, Y.; Cheng, W.; Liu, X. Quantitative contrast-enhanced ultrasonography for the differential diagnosis of endometrial hyperplasia and endometrial neoplasms. Oncol. Lett. 2016, 12, 3763–3770. [Google Scholar] [CrossRef] [PubMed]
- Shille, V.M.; Calderwood-Mays, M.B.; Thatcher, M.J. Infertility in a bitch associated with short interestrous intervals and cyst follicles: A case report. J. Am. Anim. Hosp. Assoc. 1984, 20, 171–176. [Google Scholar]
- SAS Institute. SAS/STAT® Users Guide; Version 9.3; SAS Inst. Inc.: Cary, NC, USA, 2017. [Google Scholar]
- Dow, C. The cystic hyperplasia-pyometra complex in the bitch. Vet. Rec. 1958, 70, 1102–1108. [Google Scholar] [CrossRef]
- De Bosschere, H.; Ducatelle, R.; Vermeirsch, H.; Van Den Broeck, W.; Coryn, M. Cystic endometrial hyperplasia-piome-tra complex in the bitch: Should the two entities disconnected? Theriogenology 2001, 55, 1509–1519. [Google Scholar] [CrossRef]
- England, G.C.; Moxon, R.; Freeman, S.L. Delayed uterine fluid clearance and reduced uterine perfusion in bitches with endometrial hyperplasia and clinical management with postmating antibiotic. Theriogenology 2012, 78, 1611–1617. [Google Scholar] [CrossRef]
- Tang, M.X.; Mulvana, H.; Gauthier, T.; Lim, A.K.P.; Cosgrove, D.O.; Eckersley, R.J.; Stride, E. Quantitative contrast-enhanced ultrasound imaging: A review of sources of variability. Interface Focus 2011, 1, 520–539. [Google Scholar] [CrossRef]
- Mir, F.; Fontaine, E.; Albaric, O.; Greer, M.; Vannier, F.; Schlafer, D.H.; Fontbonne, A. Findings in uterine biopsies obtained by laparotomy from bitches with unexplained infertility or pregnancy loss: An observational study. Theriogenology 2013, 79, 312–322. [Google Scholar] [CrossRef] [PubMed]
- Gifford, A.T.; Scarlett, J.M.; Schlafer, D.H. Histopathologic findings in uterine biopsy samples from subfertile bitches: 399 cases (1990–2005). J. Am. Vet. Med. Assoc. 2014, 244, 180–186. [Google Scholar] [CrossRef] [PubMed]
- Jain, N. Essentials before sending biopsy specimens: A surgeon’s prospective and pathologists concern. J. Maxillofac. Oral Surg. 2011, 10, 361–364. [Google Scholar] [CrossRef] [PubMed]
- Günzel-Apel, A.R.; Wilke, M.; Aupperle, H.; Schoon, H.A. Development of a technique for transcervical collection of uterine tissue in bitches. J. Reprod. Fertil. Suppl. 2001, 57, 61–65. [Google Scholar] [PubMed]
- Christensen, B.; Schlafer, D.; Agnew, D.; Wang, C.; Kozlowski, C.; Asa, C.S. Diagnostic value of transcervical endometrial biopsies in domestic dogs compared with full-thickness uterine sections. Reprod. Domest. Anim. 2012, 47, 342–346. [Google Scholar] [CrossRef]





| ROI Areas | No. of Animals | GOF | BI | AT | TTP | PI | AS | DT/2 | DS | AUC |
|---|---|---|---|---|---|---|---|---|---|---|
| ROI1 | 12 | 0.93 | 18.94 | 0.13 | 6.93 | 26.46 | 0.41 | 47.26 | −0.11 | 3034.04 |
| ROI2 | 12 | 0.95 | 18.89 | 0.13 | 6.40 | 26.24 | 0.39 | 46.91 | −0.08 | 3029.55 |
| ROI3 | 12 | 0.95 | 18.11 | 0.12 | 6.62 | 26.22 | 0.46 | 47.74 | −0.09 | 3078.44 |
| SEM | 0.05 | 0.45 | 0.01 | 0.33 | 0.54 | 0.06 | 0.55 | 0.01 | 11.08 | |
| p-value | 0.32 | 0.11 | 0.41 | 0.19 | 0.15 | 0.21 | 0.33 | 0.13 | 0.09 |
© 2020 by the authors. Licensee MDPI, Basel, Switzerland. This article is an open access article distributed under the terms and conditions of the Creative Commons Attribution (CC BY) license (http://creativecommons.org/licenses/by/4.0/).
Share and Cite
Quartuccio, M.; Liotta, L.; Cristarella, S.; Lanteri, G.; Ieni, A.; D’Arrigo, T.; De Majo, M. Contrast-Enhanced Ultrasound in Cystic Endometrial Hyperplasia–Pyometra Complex in the Bitch: A Preliminary Study. Animals 2020, 10, 1368. https://doi.org/10.3390/ani10081368
Quartuccio M, Liotta L, Cristarella S, Lanteri G, Ieni A, D’Arrigo T, De Majo M. Contrast-Enhanced Ultrasound in Cystic Endometrial Hyperplasia–Pyometra Complex in the Bitch: A Preliminary Study. Animals. 2020; 10(8):1368. https://doi.org/10.3390/ani10081368
Chicago/Turabian StyleQuartuccio, Marco, Luigi Liotta, Santo Cristarella, Giovanni Lanteri, Antonio Ieni, Tiziana D’Arrigo, and Massimo De Majo. 2020. "Contrast-Enhanced Ultrasound in Cystic Endometrial Hyperplasia–Pyometra Complex in the Bitch: A Preliminary Study" Animals 10, no. 8: 1368. https://doi.org/10.3390/ani10081368
APA StyleQuartuccio, M., Liotta, L., Cristarella, S., Lanteri, G., Ieni, A., D’Arrigo, T., & De Majo, M. (2020). Contrast-Enhanced Ultrasound in Cystic Endometrial Hyperplasia–Pyometra Complex in the Bitch: A Preliminary Study. Animals, 10(8), 1368. https://doi.org/10.3390/ani10081368

