The First Detection of Kudoa hexapunctata in Farmed Pacific Bluefin Tuna in South Korea, Thunnus orientalis (Temminck and Schlegel, 1844)
Simple Summary
Abstract
1. Introduction
2. Materials and Methods
2.1. Sample Preparation
2.2. Condition Factor
2.3. Morphological Analysis
2.4. Haematological Analysis
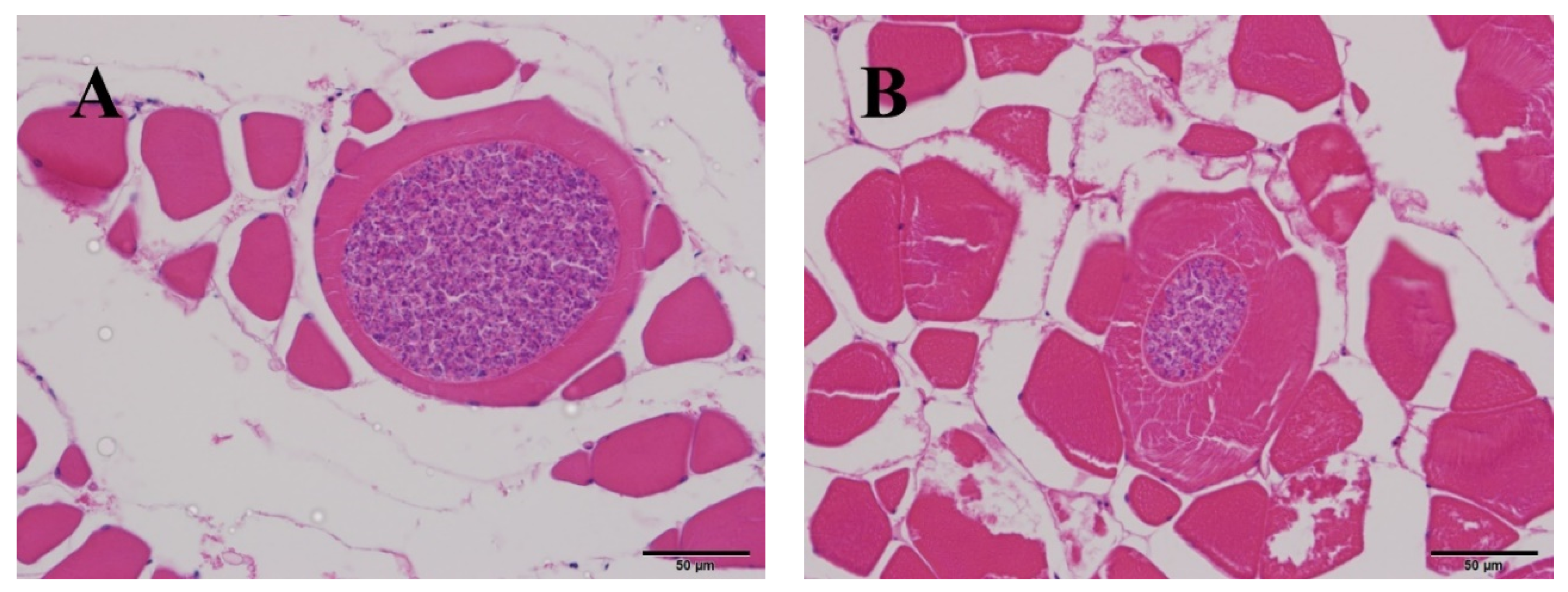
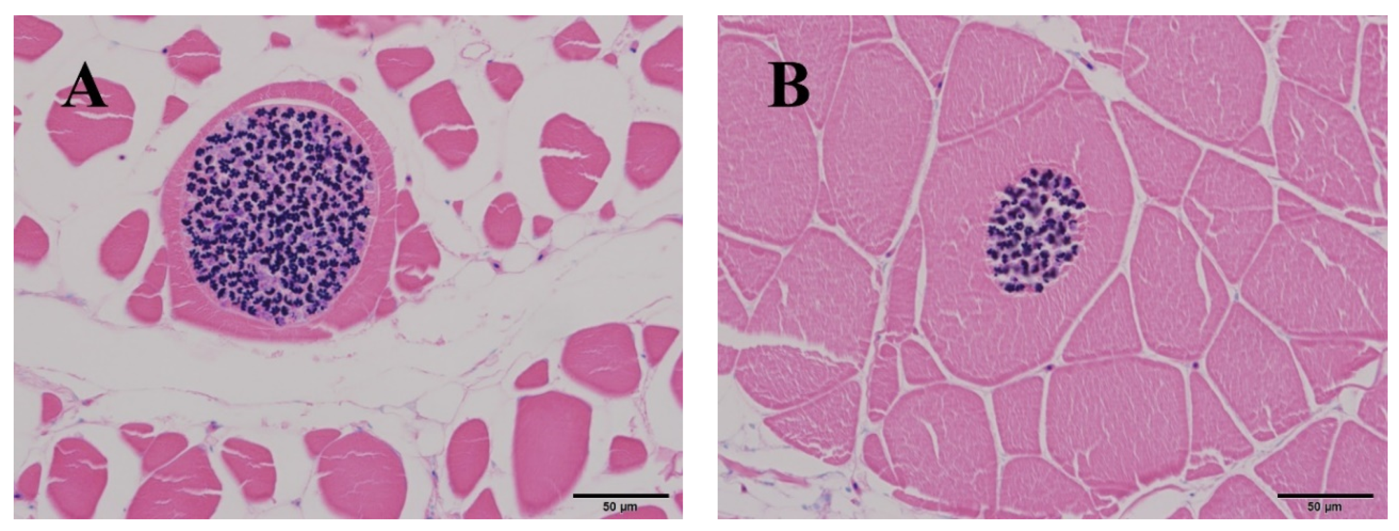
2.5. Histological Analysis
2.6. DNA Extraction, Polymerase Chain Reaction (PCR), and Sequence Analysis
3. Results
3.1. Condition Factor and Haematological Data
3.2. Morphological and Histological Analysis
3.3. Polymerase Chain Reaction (PCR) and Sequence Analysis
4. Discussion
5. Conclusions
Author Contributions
Funding
Acknowledgments
Conflicts of Interest
References
- Shamsi, S. Seafood-Borne Parasitic Diseases: A “One-Health” Approach Is Needed. Fishes 2019, 4, 9. [Google Scholar] [CrossRef]
- Kang, Y.M.; Kim, M.J.; Park, S.Y.; Heu, M.S.; Kim, J.S. Survey and Exposure Assessment of Biogenic Amines in Fish Species Commonly Consumed in Korea. J. Food Prot. 2019, 82, 151–158. [Google Scholar] [CrossRef] [PubMed]
- Vergara-Solana, F.J.; Araneda-Padilla, M.; Pardo, J.R.S.; Ortega-Garcia, S.; Seigo, J.C.; Ponce-Diaz, G. Growth and survival model of Pacific bluefin tuna (Thunnus orientalis) for capture-based aquaculture in Mexico. Aquac. Res. 2019, 50, 3549–3558. [Google Scholar] [CrossRef]
- Harada, T.; Kawai, T.; Sato, H.; Yokoyama, H.; Kumeda, Y. Development of a quantitative polymerase chain reaction assay for detection of Kudoa septempunctata in olive flounder (Paralichthys olivaceus). Int. J. Food Microbiol. 2012, 156, 161–167. [Google Scholar] [CrossRef] [PubMed]
- Kawai, T.; Sekizuka, T.; Yahata, Y.; Kuroda, M.; Kumeda, Y.; Iijima, Y.; Kamata, Y.; Sugita-Konishi, Y.; Ohnishi, T. Identification of Kudoa septempunctata as the Causative Agent of Novel Food Poisoning Outbreakes in Japan by Consumption of Paralichthys olivaceus in Raw Fish. Clin. Infect. Dis. 2012, 54, 1046–1052. [Google Scholar] [CrossRef] [PubMed]
- Arai, S.; Yoshinari, T.; Terajima, J.; Hara-Kudo, Y.; Ohnishi, T. Detection of Kudoa hexapunctata and Kudoa neothunni from retail raw tuna in Japan using a novel duplex polymerase chain reaction. Parasitol. Int. 2020, 75, 102048. [Google Scholar] [CrossRef] [PubMed]
- Suzuki, J.; Murata, R.; Yokoyama, H.; Sadamasu, K.; Kai, A. Detection rate of diarrhea-causing Kudoa hexapunctata in Pacific bluefin tuna Thunnus orientalis from Japanese waters. Int. J. Food Microbiol. 2015, 194, 1–6. [Google Scholar] [CrossRef] [PubMed]
- Kasai, A.; Tsuduki, H.; Jimenez, L.A.; Li, Y.C.; Tanaka, S.; Sato, H. Incidence of three Kudoa spp., K. neothunni, K. hexapunctata, and K. thunni (Myxosporea: Multivalvulida), in Thunnus tunas distributed in the western Pacific Ocean. Parasitol. Res. 2017, 116, 1137–1150. [Google Scholar] [CrossRef]
- Ohnishi, T.; Kikuchi, Y.; Furusawa, H.; Kamata, Y.; Sugita-Konishi, Y. Kudoa septempunctata Invasion Increases the Permeability of Human Intestinal Epithelial Monolayer. Foodborne Pathog. Dis. 2013, 10. [Google Scholar] [CrossRef]
- Yokoyama, H.; Suzuki, J.; Shirakashi, S. Kudoa hexapunctata n. sp. (Myxozoa: Multivalvulida) from the somatic muscle of Pacific bluefin tuna Thunnus orientalis and re-description of K. neothunni in yellowfin tuna T. albacares. Parasitol. Int. 2014, 63, 571–579. [Google Scholar] [CrossRef] [PubMed]
- Do, J.W.; Cho, M.; Jung, S.H.; Lee, N.S. A Study about Analysis Results for Kudoa septempunctata (Myxosporea: Multivalvulida) in Tissue at Olive Flounder, using PCR (polymerase chain reaction) and Histological Methods. Korean J. Environ. Biol. 2017, 35, 468–475. [Google Scholar] [CrossRef]
- Yokoyama, H.; Whipps, C.M.; Kent, M.L.; Mizuno, K.; Kawakami, H. Kudoa thyrsites from Japanese Flounder and Kudoa lateolabracis n. sp. from Chinese Sea Bass: Causative Myxozoans of Post-Mortem Myoliquefaction. Fish Pathol. 2004, 39, 79–85. [Google Scholar] [CrossRef]
- Matsukane, Y.; Sato, H.; Tanaka, S.; Kamata, Y.; Sugita-Konishi, Y. Kudoa septempunctata n. sp. (Myxosporea: Multivalvulida) from an aquacultured olive flounder (Paralichthys olivaceus) imported from Korea. Parasitol. Res. 2010, 107, 865–872. [Google Scholar] [CrossRef]
- Sugita-Konishi, Y.; Sato, H.; Ohnishi, T. Novel Foodborne Disease Associated with Consumption of Raw Fish, Olive Flounder (Paralichthys olivaceus). Food Saf. 2014, 2, 141–150. [Google Scholar] [CrossRef]
- Barnham, C.; Baxter, A. Fisheries Notes: Condition Factor, K, for Salmonid Fish; Department of Primary Industries: Orange, Australia, 1998; p. FN0005. [Google Scholar]
- Biswas, A.; Nakajima, M.; Nakao, T.; Takaoka, O.; Takii, K. Determination of suitable protein and lipid levels in diets for Pacific bluefin tuna, Thunnus orientalis at grow-out stage. Aquac. Sci. 2016, 64, 281–288. [Google Scholar]
- Barta, J.R.; Martin, D.S.; Liberator, P.A.; Dashkevicz, M.; Anderson, J.W.; Feighner, S.D.; Elbrecht, A.; Perkins-Barrow, A.; Jenkins, M.C.; Danforth, H.D.; et al. Phylogenetic Relationships among Eight Eimeria Species Infecting Domestic Fowl Inferred Using Complete Small Subunit Ribosomal DNA Sequences. J. Parasitol. 1997, 83, 262–271. [Google Scholar] [CrossRef]
- Fiala, I. The phylogeny of Myxosporea (Myxozoa) based on small subunit ribosomal RNA gene analysis. Int. J. Parasitol. 2016, 36, 1521–1534. [Google Scholar] [CrossRef]
- Bartosova, P.; Fiala, I.; Hypsa, V. Concatenated SSU and LSU rDNA data confirm the main evolutionary trends within myxosporeans (Myxozoa: Myxosporea) and provide an effective tool for their molecular phylogenetics. Mol. Phylogenet. Evol. 2009, 53, 81–93. [Google Scholar] [CrossRef] [PubMed]
- Grabner, D.S.; Yokoyama, H.; Shirakashi, S.; Kinami, R. Diagnostic PCR assays to detect and differentiate Kudoa septempunctata, K. thyrsites and K. lateolabracis (Myxozoa, Multivalvulida) in muscle tissue of olive flounder (Paralichthys olivaceus). Aquaculture 2012, 338, 36–40. [Google Scholar] [CrossRef]




| Condition Factor (CF) | Comments |
|---|---|
| 1.60 | Excellent condition, trophy class fish. |
| 1.40 | A good, well-proportioned fish |
| 1.20 | A fair fish, acceptable to many anglers. |
| 1.00 | A poor fish, long and thin. |
| 0.80 | Extremely poor fish, resembling a barracuda, with a big head and narrow, thin body. |
| Primer | Sequences (5′–3′) | PCR Conditions | Length of Seq. | Reference |
|---|---|---|---|---|
| ERIB1 | ACCTGGTTGATCCTGCCAG | 30 cycles of 95 °C for 1 min, 48 °C for 1 min and 72 °C for 2 min, followed by 10 min incubation at 72 °C | - | Barta et al. [17] |
| ERIB10 | CTTCCGCAGGTTCACCTACGG | |||
| MyxospecF | TTCTGCCCTATCAACTWGTTG | 30 cycles of 95 °C for 1 min, 52 °C for 1 min and 72 °C for 2 min, followed by 10 min incubation at 72 °C | 769 | Ivan Fiala [18] |
| MyxospecR | GGTTTCNCDGRGGGMCCAAC | |||
| K. hexF | GCGACGGTTCAATCGTCAG | Incubation for 2 min at 94 °C, 35 cycles of 30 s at 94 °C, 1 min at 68 °C, and a final extension for 5 min at 68 °C | 197 | Arai et al. [6] |
| K. hexR | CACTGGTTGTTGAACTACCACACG | |||
| K. neoF | GGCTACGTGCGGAAAAGTTGTA | 1045 | ||
| K. neoR | CGCGGATTCCAACCTATATCCAG |
| Parameters | 1 | 2 | 3 | 4 | 5 |
|---|---|---|---|---|---|
| Weight (kg) | 17.4 | 17.8 | 14.5 | 10.4 | 13 |
| Length (cm) | 103 | 101 | 98 | 90 | 97 |
| Condition factor (CF) | 1.59 | 1.73 | 1.54 | 1.43 | 1.42 |
| ALP (U/L) | 170 | 190 | 382 | 185 | 367 |
| BUN (mg/dL) | 2.2 | 2.1 | 3 | 1.8 | 2 |
| Ca (mg/dL) 1 | 9.5 | 10.9 | 12.8 | 9.4 | 10.2 |
| GLU (mg/dL) | 86 | 96 | 97 | 102 | 102 |
| GOT (U/L) | 453 | 347 | 563 | 295 | 354 |
| GPT (U/L) | 42 | 32 | 401 | 65 | 47 |
| Haemoglobin (g/dL) | 16.25 | 14.99 | 14.37 | 14.47 | 10.90 |
| Haematocrit (%) | 41 | 45 | 52 | 40 | 34 |
| LDH (U/L) 2 | 503 | 393 | 497 | 314 | 287 |
| TCHO (mg/dL) | 141 | 141 | 204 | 204 | 197 |
| TP (g/dL) | 6.7 | 7.7 | 8.5 | 5.4 | 5.3 |
| Kudoa hexapunctata from Cultured Pacific Bluefin Tuna (Thunnus orientalis) in South Korea |
|---|
| (1) 769 bp (Ivan Fiala [18]; Barta et al. [17]) |
| 5′-TTCTGCCCTATCAACTAGTTGGTGAGGTAGTGGCTCACCAAGGTTGTGACGGGTAACGGGGGATCAGGGTTCGATTCCGGAGAGGGAGCCTGAGAAACGGCTACCACATCTAAGGAAGGCAGCAGGCGCGCAAATTACCCAATCCAGACTTTGGGAGGTAGTGACGAGAAATACCGGAGTAGACCGTTAATTGGTTCACTATCGGAATGAACGTAATTTAATACCTTCGATGAGTAGCTACTGGAGGGCAAGTCTGGTGCCAGCAGCCGCGGTAATTCCAGCTCCAGTAGTGTATATCAAAATTGTTGCGGTTAAAACGCTCGTAGTTGGATTACAAAAGCTCTTTGGCGGTTAAATCAAGGTTTGATCGCTGTGGGGTTTTTTTATCGCGAGAGCCGCACGTGGGATTAAATTCTTGTGTGTGGTCACTTGCGAGGTGTGCCTTGAATAAAGCACAGTGCCCAAAGCAGGCGTAAGCTTGAATGTTATAGCATGGAACGATTATGTTAATCTTGTCGACTGTTGGTTGTTGGCAGTGGTCTCGATTAAAAGGGACATTTGAGGGCGTTAGTACTTGGTGGCGAGGGGTGAAATCCTTAGACCCATCAAAGACTAACTAATGCGAAAGCATTCGCCAAGAGTGTTTTCATTAATCAAGAACGAAAGTTGGAGGTTCGAAGACGATCAGATACCGTCCTAGTTCCATACAGTAAACTATGCCAACATGGGATTAGCCCGGTTTAATCCAGGTTGGTCCCTCAGAGAAACC-3′ |
| (2) 197 bp (Arai et al. [6]) |
| 5′-CACTGGTTGTTGAACTACCACACGACTTTTCCGCACGTAGCCACAATGTGACCAGCACGAAACGCCGCACAGCACCAACCGACCATACATCACCAACGCTCCATCACATACATATCAGCACACGAGGCGGATCACCAGCCGCAACCACGAAACATTTGAGTGTTCCGTGACAGCCATGCTGACGATTGAACCGTCGC-3′ |
© 2020 by the authors. Licensee MDPI, Basel, Switzerland. This article is an open access article distributed under the terms and conditions of the Creative Commons Attribution (CC BY) license (http://creativecommons.org/licenses/by/4.0/).
Share and Cite
Kang, G.; Choi, K.-M.; Cho, D.-H.; Joo, M.-S.; Heo, M.-J.; Woo, W.-S.; Park, C.-I. The First Detection of Kudoa hexapunctata in Farmed Pacific Bluefin Tuna in South Korea, Thunnus orientalis (Temminck and Schlegel, 1844). Animals 2020, 10, 1705. https://doi.org/10.3390/ani10091705
Kang G, Choi K-M, Cho D-H, Joo M-S, Heo M-J, Woo W-S, Park C-I. The First Detection of Kudoa hexapunctata in Farmed Pacific Bluefin Tuna in South Korea, Thunnus orientalis (Temminck and Schlegel, 1844). Animals. 2020; 10(9):1705. https://doi.org/10.3390/ani10091705
Chicago/Turabian StyleKang, Gyoungsik, Kwang-Min Choi, Dong-Hee Cho, Min-Soo Joo, Min-Jin Heo, Won-Sik Woo, and Chan-Il Park. 2020. "The First Detection of Kudoa hexapunctata in Farmed Pacific Bluefin Tuna in South Korea, Thunnus orientalis (Temminck and Schlegel, 1844)" Animals 10, no. 9: 1705. https://doi.org/10.3390/ani10091705
APA StyleKang, G., Choi, K.-M., Cho, D.-H., Joo, M.-S., Heo, M.-J., Woo, W.-S., & Park, C.-I. (2020). The First Detection of Kudoa hexapunctata in Farmed Pacific Bluefin Tuna in South Korea, Thunnus orientalis (Temminck and Schlegel, 1844). Animals, 10(9), 1705. https://doi.org/10.3390/ani10091705

