68Ga-DOTATOC PET/CT Follow Up after Single or Hypofractionated Gamma Knife ICON Radiosurgery for Meningioma Patients
Abstract
1. Introduction
2. Materials and Methods
2.1. 68Ga-DOTATOC PET/CT
2.2. Planning and Treatment
2.3. Statistical Analysis
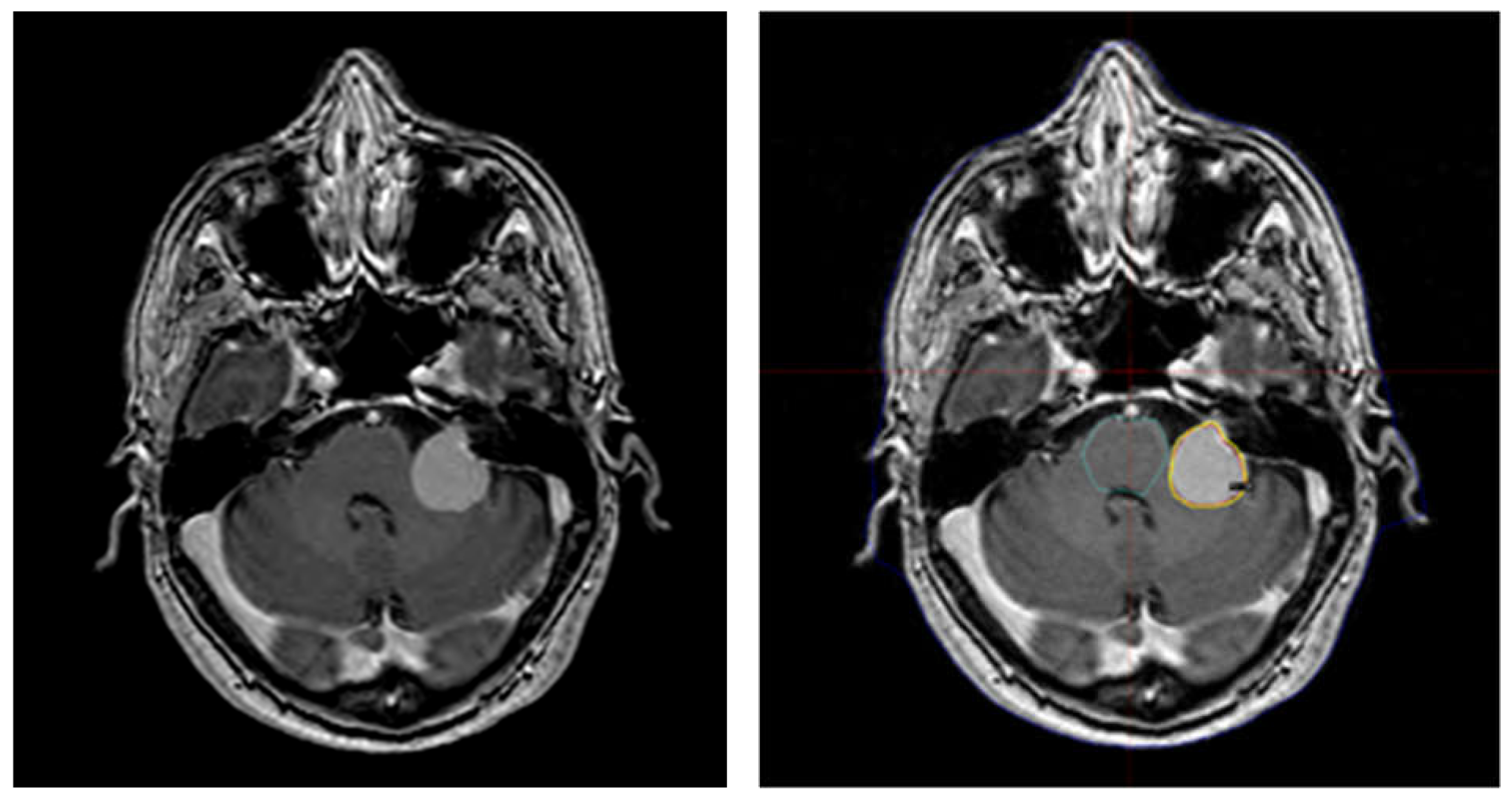
3. Results
4. Discussion
5. Conclusions
Author Contributions
Funding
Institutional Review Board Statement
Informed Consent Statement
Conflicts of Interest
References
- Achey, R.L.; Gittleman, H.; Schroer, J.; Khanna, V.; Kruchko, C.; Barnholtz-Sloan, J.S. Nonmalignant and Malignant Meningioma Incidence and Survival in the Elderly, 2005–2015, Using the Central Brain Tumor Registry of the United States. Neuro. Oncol. 2019, 21, 380–391. [Google Scholar] [CrossRef] [PubMed]
- Almefty, R.; Haddad, G.; Al-Mefty, O. Meningiomas. In Youmans and Winn Neurological Surgery, 7th ed.; Winn, H.R., Youmans, J.R., Eds.; Elsevier: Philadelphia, PA, USA, 2016; pp. 1107–1131. [Google Scholar]
- Jordan, J.T.; Plotkin, S.R. Benign Intracranial Tumors. Neurol. Clin. 2018, 36, 501–516. [Google Scholar] [CrossRef]
- Rogers, L.; Barani, I.; Chamberlain, M.; Kaley, T.J.; McDermott, M.; Raizer, J.; Schiff, D.; Weber, D.C.; Wen, P.Y.; Vogelbaum, M.A. Meningiomas: Knowledge Base, Treatment Outcomes, and Uncertainties. A RANO Review. J. Neurosurg. 2015, 122, 4–23. [Google Scholar] [CrossRef]
- Barone, F.; Alberio, N.; Iacopino, D.G.; Giammalva, G.R.; D’Arrigo, C.; Tagnese, W.; Graziano, F.; Cicero, S.; Maugeri, R. Brain Mapping as Helpful Tool in Brain Glioma Surgical Treatment-Toward the “Perfect Surgery”? Brain Sci. 2018, 8, 192. [Google Scholar] [CrossRef]
- International Commission of Radiation Units and Measurements. Prescribing, Recording, and Reporting Photon BeamTherapy; Report no. 50; ICRU: Bethesda, MD, USA, 1993. [Google Scholar]
- Moghaddasi, L.; Bezak, E.; Marcu, L.G. Current challenges in clinical target volume definition: Tumour margins and microscopic extensions. Acta Oncol. 2012, 51, 984–995. [Google Scholar] [CrossRef] [PubMed]
- Hong, T.S.; Tome, W.A.; Harari, P.M. Heterogeneity in head and neck IMRT target design and clinical practice. Radiother. Oncol. 2012, 103, 92–98. [Google Scholar] [CrossRef]
- Raffa, G.; Picht, T.; Scibilia, A.; Rösler, J.; Rein, J.; Conti, A.; Ricciardo, G.; Cardali, S.M.; Vajkoczy, P.; Germanò, A. Surgical Treatment of Meningiomas Located in the Rolandic Area: The Role of Navigated Transcranial Magnetic Stimulation for Preoperative Planning, Surgical Strategy, and Prediction of Arachnoidal Cleavage and Motor Outcome. J. Neurosurg. 2019, 133, 107–118. [Google Scholar] [CrossRef]
- Unterrainer, M.; Ruf, V.; Ilhan, H.; Vettermann, F.J.; Cyran, C.C.; Niyazi, M.; Bartenstein, P.; Tonn, J.C.; Albert, N.L. 68Ga-DOTATOC PET/CT Differentiates Meningioma From Dural Metastases. Clin. Nucl. Med. 2019, 44, 412–413. [Google Scholar] [CrossRef] [PubMed]
- Galldiks, N.; Albert, N.L.; Sommerauer, M.; Grosu, A.L.; Ganswindt, U.; Law, I.; Preusser, M.; Le Rhun, E.; Vogelbaum, M.A.; Zadeh, G.; et al. PET imaging in patients with meningioma-report of the RANO/PET Group. Neuro. Oncol. 2017, 19, 1576–1587. [Google Scholar] [CrossRef]
- Rahman, A.; Ahmed, N.; Baniya, P.; Scalia, G.; Umana, G.E.; Chaurasia, B. Primary Sellar Neuroblastoma Mimicking Invasive Pituitary Adenoma: A Systematic Review. J. Neurosurg. Sci. 2020, 64, 377–382. [Google Scholar] [CrossRef]
- Purandare, N.C.; Puranik, A.; Shah, S.; Agrawal, A.; Gupta, T.; Moiyadi, A.; Shetty, P.; Shridhar, E.; Patil, V.; Rangarajan, V. Differentiating dural metastases from meningioma: Role of 68Ga DOTA-NOC PET/CT. Nucl. Med. Commun. 2020, 41, 356–362. [Google Scholar] [CrossRef] [PubMed]
- Savage, N.M.; Alleyne, C.H.; Vender, J.R.; Figueroa, R.; Zhang, H.; Samuel, T.A.; Sharma, S. Dural-based metastatic carcinomas mimicking primary CNS neoplasia: Report of 7 cases emphasizing the role of timely surgery and accurate pathologic evaluation. Int. J. Clin. Exp. Pathol. 2011, 4, 530–540. [Google Scholar]
- Reubi, J.C.; Schaer, J.C.; Waser, B.; Mengod, G. Expression and localization of somatostatin receptor SSTR1, SSTR2, and SSTR3 messenger RNAs in primary human tumors using in situ hybridization. Cancer Res. 1994, 54, 3455–3459. [Google Scholar]
- Ge, Y.; Liu, D.; Zhang, Z.; Li, Y.; Lin, Y.; Wang, G.; Zong, Y.; Liu, E. Gamma Knife Radiosurgery for Intracranial Benign Meningiomas: Follow-up Outcome in 130 Patients. Neurosurg. Focus 2019, 46, E7. [Google Scholar] [CrossRef] [PubMed]
- Gehler, B.; Paulsen, F.; Oksüz, M.O.; Hauser, T.-K.; Eschmann, S.M.; Bares, R.; Pfannenberg, C.; Bamberg, M.; Bartenstein, P.; Belka, C.; et al. [68Ga]-DOTATOC-PET/CT for Meningioma IMRT Treatment Planning. Radiat. Oncol. 2009, 4, 56. [Google Scholar] [CrossRef]
- Graf, R.; Nyuyki, F.; Steffen, I.G.; Michel, R.; Fahdt, D.; Wust, P.; Brenner, W.; Budach, V.; Wurm, R.; Plotkin, M. Contribution of 68Ga-DOTATOC PET/CT to Target Volume Delineation of Skull Base Meningiomas Treated with Stereotactic Radiation Therapy. Int. J. Radiat. Oncol. Biol. Phys. 2013, 85, 68–73. [Google Scholar] [CrossRef] [PubMed]
- Milker-Zabel, S.; Zabel-du Bois, A.; Henze, M.; Huber, P.; Schulz-Ertner, D.; Hoess, A.; Haberkorn, U.; Debus, J. Improved Target Volume Definition for Fractionated Stereotactic Radiotherapy in Patients with Intracranial Meningiomas by Correlation of CT, MRI, and [68Ga]-DOTATOC-PET. Int. J. Radiat. Oncol. Biol. Phys. 2006, 65, 222–227. [Google Scholar] [CrossRef]
- Stade, F.; Dittmar, J.-O.; Jäkel, O.; Kratochwil, C.; Haberkorn, U.; Debus, J.; Combs, S.E. Influence of 68Ga-DOTATOC on Sparing of Normal Tissue for Radiation Therapy of Skull Base Meningioma: Differential Impact of Photon and Proton Radiotherapy. Radiat. Oncol. 2018, 13, 58. [Google Scholar] [CrossRef] [PubMed]
- Acker, G.; Kluge, A.; Lukas, M.; Conti, A.; Pasemann, D.; Meinert, F.; Anh Nguyen, P.T.; Jelgersma, C.; Loebel, F.; Budach, V.; et al. Impact of 68Ga-DOTATOC PET/MRI on Robotic Radiosurgery Treatment Planning in Meningioma Patients: First Experiences in a Single Institution. Neurosurg. Focus 2019, 46, E9. [Google Scholar] [CrossRef]
- Chen, W.; Wang, X.; Liu, F.; Chen, J. Gamma Knife Radiosurgery for Patients with Multiple Intracranial Meningiomas. World Neurosurg. 2019, 128, e495–e500. [Google Scholar] [CrossRef] [PubMed]
- Kondziolka, D.; Patel, A.D.; Kano, H.; Flickinger, J.C.; Lunsford, L.D. Long-Term Outcomes After Gamma Knife Radiosurgery for Meningiomas. Am. J. Clin. Oncol. 2016, 39, 453–457. [Google Scholar] [CrossRef] [PubMed]
- Jang, C.K.; Jung, H.H.; Chang, J.H.; Chang, J.W.; Park, Y.G.; Chang, W.S. Long-Term Results of Gamma Knife Radiosurgery for Intracranial Meningioma. Brain Tumor Res. Treat. 2015, 3, 103–107. [Google Scholar] [CrossRef] [PubMed]
- Santacroce, A.; Walier, M.; Régis, J.; Liščák, R.; Motti, E.; Lindquist, C.; Kemeny, A.; Kitz, K.; Lippitz, B.; Martínez Álvarez, R.; et al. Long-Term Tumor Control of Benign Intracranial Meningiomas after Radiosurgery in a Series of 4565 Patients. Neurosurgery 2012, 70, 32–39. [Google Scholar] [CrossRef] [PubMed]




| Number of Patient | Years | Sex | Location | Tumor Diameter (cm) | Tumor Volume (cm3) | Gy Gamma Knife | SUV Pre-Gamma Knife | PET Time from Gamma Knife (Months) | SUV Post-Gamma Knife | DeltaSUV | D_Marg |
|---|---|---|---|---|---|---|---|---|---|---|---|
| 1 | 36 | male | right fronto-orbital | 3.679 | 208.476808 | 13 | 10.2 | 19 | 13.1 | 28% | 13.0 |
| 2 | 56 | female | left cerebellar | 1.310 | 9.41200765 | 14 | 3.5 | 18 | 2.6 | −26% | 14.0 |
| 3 | 63 | male | left petroclival | 4.593 | 405.655829 | 13 | 2.3 | 14 | 2.3 | 0% | 13.0 |
| 4 | 36 | female | right tentorial | 5.4 | 659.24928 | 12.5 | 53 | 11 | 35.7 | −33% | 12.5 |
| 5 | 33 | male | right parasagittal | 22.265 | 46210.0548 | 5 | 13 | 8 | 12.5 | −4% | |
| 6 | 47 | male | left parasagittal | 1.494 | 13.9611173 | 13.5 | 31.6 | 9 | 44.6 | 41% | 13.5 |
| 7 | 72 | female | left cerebellopontine angle | 5.514 | 701.889378 | 13 | 7.2 | 6 | 4.3 | −40% | 13.0 |
| 8 | 58 | female | olfactory groove | 6.046 | 925.279229 | 13 | 25.8 | 5 | 15.1 | −41% | 12.8 |
| 9 | 58 | female | left cavernous sinus | 0.931 | 3.37844947 | 12.5 | 11.5 | 1 | 10.6 | −8% | 12.8 |
| 10 | 70 | male | right clinoidal | 3.517 | 182.131678 | 13.5 | 24 | 3 | 24 | 0% | 13.5 |
| 11 | 50 | female | left sphenopetrocavernous | 19.8 | 32498.5478 | 4 | 20.8 | 15 | 18.4 | −12% | |
| 12 | 52 | male | right posterior petrous bone | 2 | 33.4933333 | 14 | 68.6 | 14.0 | |||
| 13 | 55 | male | right parasagittal | 10.078 | 4285.4008 | 15 | 7.1 | 15.0 | |||
| 14 | 80 | male | left parietal | 3.608 | 196.638237 | 16 | 9.8 | 16.0 | |||
| 15 | 80 | male | right tentorial | 3.712 | 214.137283 | 13.5 | 7.5 | 16.0 | |||
| 16 | 65 | female | left parieto-occipital | 14.1 | 11736.1519 | 13 | 9 | 13.0 | |||
| 16 | 52 | female | left cerebellar | 2.35 | 54.3340367 | 13 | 2.9 | 13.0 | |||
| 18 | 52 | female | right posterior petrous bone | 1.284 | 8.86264709 | 13 | 92 | 13.0 | |||
| 19 | 51 | female | right tentorial | 0.118 | 0.00687883 | 13 | 16.3 | 13.0 | |||
| 20 | 47 | male | left frontal | 3.684 | 209.327964 | 13 | 10.4 | 16.2 | 56% | 13.0 |
| Average Age | Minimum | Maximum | ||
|---|---|---|---|---|
| Female | 10 | 54.29 | 33 | 80 |
| Male | 10 | |||
| Total | 20 | |||
| Average SUV_pre | Minimum SUV_pre | Maxium SUV_pre | ||
| 21.325 | 2.3 | 92 | ||
| Average D_marg | Minimum D_marg | Maxium D_marg | ||
| 14.45 Gy | 12.5 Gy | 25 Gy | ||
| Average Tumor diameter (cm3) | Minimum Tumor diameter (cm3) | Maxium Tumor diameter (cm3) | ||
| 5.78 | 0.118 | 22.27 |
Publisher’s Note: MDPI stays neutral with regard to jurisdictional claims in published maps and institutional affiliations. |
© 2021 by the authors. Licensee MDPI, Basel, Switzerland. This article is an open access article distributed under the terms and conditions of the Creative Commons Attribution (CC BY) license (http://creativecommons.org/licenses/by/4.0/).
Share and Cite
Barone, F.; Inserra, F.; Scalia, G.; Ippolito, M.; Cosentino, S.; Crea, A.; Sabini, M.G.; Valastro, L.; Patti, I.V.; Mele, S.; et al. 68Ga-DOTATOC PET/CT Follow Up after Single or Hypofractionated Gamma Knife ICON Radiosurgery for Meningioma Patients. Brain Sci. 2021, 11, 375. https://doi.org/10.3390/brainsci11030375
Barone F, Inserra F, Scalia G, Ippolito M, Cosentino S, Crea A, Sabini MG, Valastro L, Patti IV, Mele S, et al. 68Ga-DOTATOC PET/CT Follow Up after Single or Hypofractionated Gamma Knife ICON Radiosurgery for Meningioma Patients. Brain Sciences. 2021; 11(3):375. https://doi.org/10.3390/brainsci11030375
Chicago/Turabian StyleBarone, Fabio, Francesco Inserra, Gianluca Scalia, Massimo Ippolito, Sebastiano Cosentino, Antonio Crea, Maria Gabriella Sabini, Lucia Valastro, Iolanda Valeria Patti, Stefania Mele, and et al. 2021. "68Ga-DOTATOC PET/CT Follow Up after Single or Hypofractionated Gamma Knife ICON Radiosurgery for Meningioma Patients" Brain Sciences 11, no. 3: 375. https://doi.org/10.3390/brainsci11030375
APA StyleBarone, F., Inserra, F., Scalia, G., Ippolito, M., Cosentino, S., Crea, A., Sabini, M. G., Valastro, L., Patti, I. V., Mele, S., Acquaviva, G., Tocco, A., Tamburo, M., Graziano, F., Tomasi, O. S., Maugeri, R., Iacopino, G., Cicero, S., Strigari, L., & Umana, G. E. (2021). 68Ga-DOTATOC PET/CT Follow Up after Single or Hypofractionated Gamma Knife ICON Radiosurgery for Meningioma Patients. Brain Sciences, 11(3), 375. https://doi.org/10.3390/brainsci11030375

