Sixteen-Year Follow-Up in a Cavernous Sinus Hemangiopericytoma: Improved Outcomes over Radiotherapy Advances
Abstract
:1. Introduction
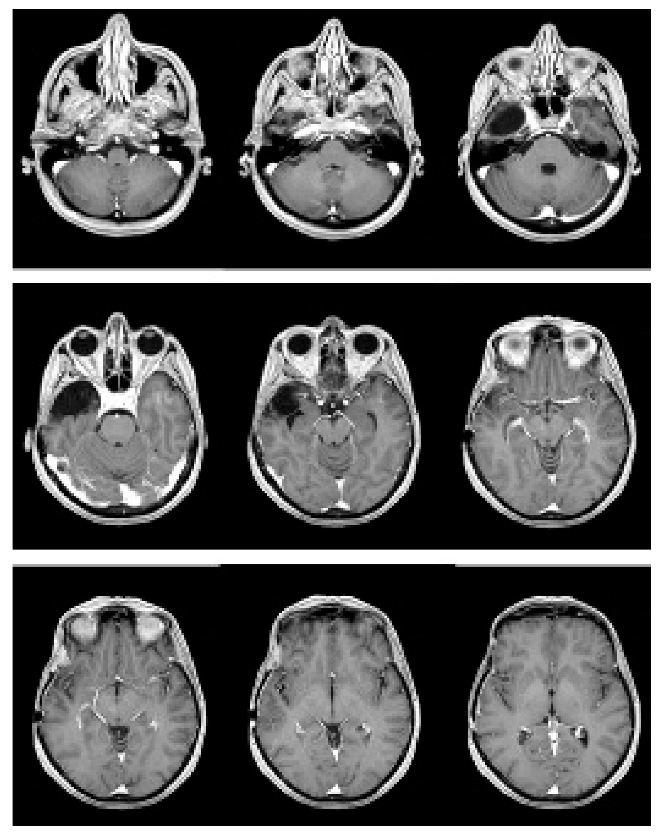
2. Case Presentation
3. Discussion
4. Conclusions
Author Contributions
Funding
Institutional Review Board Statement
Informed Consent Statement
Data Availability Statement
Conflicts of Interest
References
- Stout, A.P.; Murray, M.R. Hemangiopericytoma: A vascular tumor featuring Zimmermann’s pericytes. Ann. Surg. 1942, 116, 26–33. [Google Scholar] [CrossRef]
- Ciappetta, P.; Celli, P.; Palma, L.; Mariottini, A. Intraspinal Hemangiopericytomas. Report of two cases and review of the literature. Spine 1985, 10, 27–31. [Google Scholar] [CrossRef]
- Enzinger, F.M.; Smith, B.H. Hemangiopericytoma: An analysis of 106 cases. Hum. Pathol. 1976, 7, 61–82. [Google Scholar] [CrossRef]
- Jaaskelainen, J.; Servo, A.; Haltia, M.; Wahlstrom, T.; Valtonen, S. Intracranial hemangiopericytoma: Radiology, surgery, radiotherapy, and outcome in 21 patients. Surg. Neurol. 1985, 23, 227–236. [Google Scholar] [CrossRef]
- Dufour, H.; Bouillot, P.; Figarella-Branger Ndoye, N.; Regis, J.; Njee Bugha, T.; Grisoli, F. Hemangiopericytomes meninges. Revue retrospective de 20 cas. Neurochirugie 1998, 44, 5–18. [Google Scholar]
- Goellner, J.R.; Laws, E.R.; Soule, E.H.; Okazaki, H. Hemangiopericytoma of the meninges: Mayo Clinic experience. Am. J. Clin. Pathol. 1978, 70, 375–380. [Google Scholar] [CrossRef]
- Louis, D.N.; Ohgaki, H.; Wiestler, O.D.; Cavenee, W.K. World Health Organization Classification of Tumours. Pathology and Genetics of Tumours of the Nervous System. In A Must-Read and Must-Have Book for Anyone Involved in the Brain Tumor Field; IARC: Lyon, France, 2007. [Google Scholar]
- Louis, D.N.; Perry, A.; Reifenberger, G.; Von Deimling, A.; Figarella-Branger, D.; Cavenee, W.K.; Ohgaki, H.; Wiestler, O.D.; Kleihues, P.; Ellison, D.W. The 2016 World Health Organization Classification of Tumors of the Central Nervous System: A summary. Acta Neuropathol. 2016, 131, 803–820. [Google Scholar] [CrossRef]
- Louis, D.N.; Perry, A.; Wesseling, P.; Brat, D.J.; Cree, I.A.; Figarella-Branger, D.; Hawkins, C.; Ng, H.K.; Pfister, S.M.; Reifenberger, G.; et al. The 2021 WHO Classification of Tumors of the Central Nervous System: A summary. Neuro Oncol. 2021, 23, 1231–1251. [Google Scholar] [CrossRef]
- Shin, D.-W.; Kim, J.H.; Chong, S.; Song, S.W.; Kim, Y.-H.; Cho, Y.H.; Hong, S.H.; Nam, S.J. Intracranial solitary fibrous tumor/hemangiopericytoma: Tumor reclassification and assessment of treatment outcome via the 2016 WHO classification. J. Neurooncol. 2021, 154, 171–178. [Google Scholar] [CrossRef]
- Du, H.; Dreier, J.R.; Zarei, M.; Wu, C.L.; Bronson, R.W.; Kwiatkowski, D.J. A novel mouse model of hemangiopericytoma due to loss of Tsc2. Hum. Mol. Genet. 2018, 27, 4169–4175. [Google Scholar] [CrossRef]
- Smith, K.; Talukder, A.; Kruse, E.J. Intracranial Hemangiopericytoma: A Rare but Aggressive Tumor. Am. Surg. 2015, 81, 314–315. [Google Scholar] [CrossRef]
- Guthrie, B.L.; Ebersold, M.J.; Scheithauer, B.W.; Shaw, E.G. Meningeal hemangiopericytoma: Histopathological features, treatment, and long-term follow-up of 44 cases. Neurosurgery 1989, 25, 514–522. [Google Scholar] [CrossRef] [PubMed]
- Alén, J.F.; Lobato, R.D.; Gómez, P.A.; Boto, G.R.; Lagares, A.; Ramos, A. Intracranial hemangiopericytoma:study of 12 cases. Acta Neurochir. 2001, 143, 575–586. [Google Scholar] [CrossRef] [PubMed]
- Chiechi, M.V.; Smirniotopoulos, J.G.; Mena, H. Intracranial hemangiopericytomas: MR and CT features. Am. J. Neuroradiol. 1996, 17, 1365–1371. [Google Scholar]
- Bai, L.; Luo, T.; Zhu, H.; Xu, R. MRI features of intracranial anaplastic hemangiopericytoma. Oncol. Lett. 2017, 13, 2945–2948. [Google Scholar] [CrossRef]
- Marc, J.A.; Takei, Y.; Schechter, M.M.; Hoffman, J.C. Intracranial hemangiocytomas. Angiography, pathology and differential diagnosis. Am. J. Roentgenol. 1975, 125, 823–832. [Google Scholar] [CrossRef]
- Stout, A.P. Hemangiopericytoma; a study of 25 cases. Cancer 1949, 2, 1027–1054. [Google Scholar] [CrossRef]
- Gengler, C.; Guillou, L. Solitary fibrous tumour and haemangiopericytoma: Evolution of a concept. Histopathology 2006, 48, 63–74. [Google Scholar] [CrossRef]
- Mravic, M.; Asatrian, G.; Soo, C.; Lugassy, C.; Barnhill, R.L.; Dry, S.M.; Peault, B.; James, A.W. From pericytes to perivascular tumours: Correlation between pathology, stem cell biology, and tissue engineering. Int. Orthop. 2014, 38, 1819–1824. [Google Scholar] [CrossRef]
- Uemura, S.; Kuratsu, J.; Hamada, J.; Yoshioka, S.; Kochi, M.; Ushio, Y.; Nakahara, T.; Kishida, K. Effect of Radiation Therapy Against Intracranial Hemangiopericytoma. Neurol. Med. Chir. 1992, 32, 328–332. [Google Scholar] [CrossRef]
- Kim, B.S.; Kong, D.S.; Seol, H.J.; Nam, D.H.; Lee, J.I. Gamma knife radiosurgery for residual or recurrent intracranial hemangiopericytomas. J. Clin. Neurosci. 2017, 35, 35–41. [Google Scholar] [CrossRef] [PubMed]
- Begg, C.F.; Garret, R. Hemangiopericytoma occurring in the meninges. Cancer 1954, 7, 602–606. [Google Scholar] [CrossRef]
- Warren, B.A. In vivo and electron microscopic study of vessels in a haemangiopericytoma of the hamster. Angiologica 1968, 5, 230–249. [Google Scholar] [CrossRef] [PubMed]
- Macagno, N.; Vogels, R.; Appay, R.; Colin, C.; Mokhtari, K.; French CNS SFT/HPC Consortium; Dutch CNS SFT/HPC Consortium; Küsters, B.; Wesseling, P.; Figarella-Branger, D.; et al. Grading of meningeal solitary fibrous tumors/hemangiopericytomas: Analysis of the prognostic value of the Marseille Grading System in a cohort of 132 patients. Brain Pathol. 2019, 29, 18–27. [Google Scholar] [CrossRef]
- Chen, T.; Jiang, B.; Zheng, Y.; She, D.; Zhang, H.; Xing, Z.; Cao, D. Differentiating intracranial solitary fibrous tumor/hemangiopericytoma from meningioma using diffusion-weighted imaging and susceptibility-weighted imaging. Neuroradiology 2020, 62, 175–184. [Google Scholar] [CrossRef]
- Wei, J.; Li, L.; Han, Y.; Gu, D.; Chen, Q.; Wang, J.; Li, R.; Zhan, J.; Tian, J.; Zhou, D. Accurate Preoperative Distinction of Intracranial Hemangiopericytoma From Meningioma Using a Multihabitat and Multisequence-Based Radiomics Diagnostic Technique. Front. Oncol. 2020, 10, 534. [Google Scholar] [CrossRef]
- Fan, Y.; Liu, P.; Li, Y.; Liu, F.; He, Y.; Wang, L.; Zhang, J.; Wu, Z. Non-Invasive Preoperative Imaging Differential Diagnosis of Intracranial Hemangiopericytoma and Angiomatous Meningioma: A Novel Developed and Validated Multiparametric MRI-Based Clini-Radiomic Model. Front. Oncol. 2022, 11, 792521. [Google Scholar] [CrossRef]
- Chenhui, Z.; He, G.; Wu, Z.; Rong, J.; Ma, F.; Wang, Z.; Fang, J.; Gao, W.; Song, H.; Zhang, F.; et al. Intracranial solitary fibrous tumor/hemangiopericytomas: A clinical analysis of a series of 17 patients. Br. J. Neurosurg. 2021; 1–8, Online ahead of print. [Google Scholar] [CrossRef]
- Del Pont, F.M.; Centeno, T.R.; Villalonga, J.F.; Giovannini, S.J.M.; Caffaratti, G.; Lorefice, E.; Cervio, A. Results in the treatment of intracranial hemangiopericytomas. Case series. Neurocirugia 2021, 32, 62–68. [Google Scholar] [CrossRef]
- Soyuer, S.; Chang, E.L.; Selek, U.; McCutcheon, I.E.; Maor, M.H. Intracranial Meningeal Hemangiopericytoma: The Role of Radiotherapy Report of 29 Cases and Review of the Literature. Cancer 2004, 100, 1491–1497. [Google Scholar] [CrossRef]
- Kim, J.-H.; Jung, H.-W.; Kim, Y.-S.; Kim, C.J.; Hwang, S.-K.; Paek, S.H.; Kim, D.G. Meningeal hemangiopericytomas: Long-term outcome and biological behavior. Surg. Neurol. 2003, 59, 47–54. [Google Scholar] [CrossRef]
- Schiariti, M.; Goetz, P.; El-Maghraby, H.; Tailor, J.; Kitchen, N. Hemangiopericytoma: Long-term outcome revisited. J. Neurosurg. 2011, 114, 747–755. [Google Scholar] [CrossRef] [PubMed]
- Ghia, A.J.; Chang, E.L.; Allen, P.K.; Mahajan, A.; Penas-Prado, M.; McCutcheon, I.E.; Brown, P.D. Intracranial hemangiopericytoma: Patterns of failure and the role of radiation therapy. Neurosurgery 2013, 73, 624–630, discussion 630–631. [Google Scholar] [CrossRef] [PubMed]
- Ciliberti, M.P.; D’Agostino, R.; Gabrieli, L.; Nikolaou, A.; Sardaro, A. The radiation therapy options of intracranial hemangiopericytoma: An overview and update on a rare vascular mesenchymal tumor. Oncol. Rev. 2018, 12, 354. [Google Scholar] [CrossRef]
- Lottin, M.; Escande, A.; Peyre, M.; Sevestre, H.; Maurage, C.A.; Chauffert, B.; Penel, N. What’s new in the management of meningeal solitary fibrous tumor/hemangiopericytoma? Bull. Cancer 2020, 107, 1260–1273. [Google Scholar] [CrossRef]
- Melone, A.G.; D’Elia, A.; Santoro, F.; Salvati, M.; Delfini, R.; Cantore, G.; Santoro, A. Intracranial Hemangiopericytoma-Our Experience in 30 Years: A Series of 43 Cases and review of the Literature. World Neurosurg. 2014, 81, 556–562. [Google Scholar] [CrossRef]
- Kim, Y.J.; Park, J.H.; Kim, Y.I.; Jeun, S.S. Treatment Strategy of Intracranial Hemangiopericytoma. Brain Tumor Res. Treat. 2015, 3, 68–74. [Google Scholar] [CrossRef]
- Dufour, H.; Metellus, P.; Fuentes, S.; Murracciole, S.; Regis, J.; Figarella-Branger, M. Meningeal hemangiopericytoma: A retrospective study of 21 patients with special review of postoperative external radiotherapy. Neurosurgery 2001, 48, 756–763. [Google Scholar]
- Haas, R.L.; Walraven, I.; Lecointe-Artzner, E.; Van Houdt, W.J.; Scholten, A.N.; Strauss, D.; Schrage, Y.; Hayes, A.J.; Raut, C.P.; Fairweather, M.; et al. Management of meningeal solitary fibrous tumors/hemangiopericytoma; surgery alone or surgery plus postoperative radiotherapy? Acta Oncol. 2021, 60, 35–41. [Google Scholar] [CrossRef]
- Rutkowski, M.J.; Jian, B.J.; Bloch, O.; Cheng, C.; Sughrue, E.; Tihan, T.; Barani, I.J.; Berger, M.S.; McDermott, M.W.; Parsa, A.T. Intracranial Hemangiopericytoma. Clinical experience and Treatment Considerations in a Modern Series of 40 Adult Patients. Cancer 2012, 118, 1628–1636. [Google Scholar] [CrossRef]
- Kumar, N.; Kumar, R.; Kapoor, R.; Ghoshal, S.; Kumar, P.; Salunke, P.S.; Radotra, B.D.; Sharma, S.C. Intracranial meningeal hemangiopericytoma: 10 years experience of a tertiary care Institute. Acta Neurochir. 2012, 154, 1647–1651. [Google Scholar] [CrossRef] [PubMed]
- Jeon, S.H.; Park, S.H.; Kim, J.W.; Park, C.K.; Paek, S.H.; Kim, I.H. Efficacy of adjuvant radiotherapy in the intracranial hemangiopericytoma. J. Neurooncol. 2018, 137, 567–573. [Google Scholar] [CrossRef] [PubMed]
- Xiao, J.; Xu, L.; Ding, Y.; Wang, W.; Chen, F.; Zhou, Y.; Zhang, F.; Zhou, Q.; Wu, X.; Li, J.; et al. Does post-operative radiotherapy improve the treatment outcomes of intracranial hemangiopericytoma? A retrospective study. BMC Cancer 2021, 21, 915. [Google Scholar] [CrossRef] [PubMed]
- Lee, J.H.; Jeon, S.H.; Park, C.K.; Park, S.H.; Yoon, H.I.; Chang, J.H.; Suh, C.O.; Kang, S.J.; Lim, D.H.; Kim, I.A.; et al. The Role of Postoperative Radiotherapy in Intracranial Solitary Fibrous Tumor/Hemangiopericytoma: A Multi-institutional Retrospective Study (KROG 18-11). Cancer Res. Treat. 2022, 54, 65–74. [Google Scholar] [CrossRef]
- Staples, J.J.; Robinson, R.A.; Wen, B.C.; Hussey, D.H. Hemangiopericytoma: The role of radiotherapy. Int. J. Radiat. Oncol. Biol. Phys. 1990, 19, 445–451. [Google Scholar] [CrossRef]
- Kim, J.W.; Kim, D.G.; Chung, H.T.; Duvic, M.; Prince, H.M.; Lessin, S.R.; Wood, G.S. Gamma Knife stereotactic radiosurgery for intracranial Hemangiopericytomas. J. Neurooncol. 2010, 99, 115–122. [Google Scholar] [CrossRef]
- Payne, B.R.; Prasad, D.; Steiner, M.; Steiner, L. Gamma Surgery for Hemangiopericytomas. Acta Neurochir. 2000, 142, 527–537. [Google Scholar] [CrossRef]
- Sheehan, J.; Kondziolka, D.; Flickinger, J.; Lunsford, L.D. Radiosurgery fortreatment of recurrent intracranial hemangiopericytomas. Neurosurgery 2002, 51, 905–911. [Google Scholar]
- Kano, H.; Niranjan, A.; Kondziolka, D.; Flickinger, C.; Lunsford, L.D. Adjuvant stereotactic radiosurgery after resection of intracranial hemangiopericytomas. Int. J. Radiat. Oncol. Biol. Phys. 2008, 72, 1333–1339. [Google Scholar] [CrossRef]
- Tsugawa, T.; Mori, Y.; Kobayashi, T.; Hashizume, C.; Shibamoto, Y.; Wakabayashi, T. Gamma knife stereotactic radiosurgery for intracranial hemangiopericytoma. J. Radiosurg. SBRT 2014, 3, 29–35. [Google Scholar]
- Huang, L.; Bai, J.; Zhang, Y.; Cui, Z.; Zhang, Z.; Li, J.; Wang, J.; Yu, X.; Ling, Z.; Qu, B.; et al. Treatment of Residual, Recurrent, or Metastatic Intracranial Hemangiopericytomas With Stereotactic Radiotherapy Using CyberKnife. Front. Oncol. 2021, 11, 577054. [Google Scholar] [CrossRef] [PubMed]
- Cohen-Inbar, O.; Lee, C.-C.; Mousavi, S.H.; Kano, H.; Mathieu, D.; Meola, A.; Nakaji, P.; Honea, N.; Johnson, M.; Abbassy, M.; et al. Stereotactic radiosurgery for intracranial hemangiopericytomas: A multicenter study. J. Neurosurg. 2017, 126, 744–754. [Google Scholar] [CrossRef] [PubMed] [Green Version]



Publisher’s Note: MDPI stays neutral with regard to jurisdictional claims in published maps and institutional affiliations. |
© 2022 by the authors. Licensee MDPI, Basel, Switzerland. This article is an open access article distributed under the terms and conditions of the Creative Commons Attribution (CC BY) license (https://creativecommons.org/licenses/by/4.0/).
Share and Cite
Detti, B.; Bardoscia, L.; Pisani, A.R.; Cozzi, S.; Roghi, M.; Mammucci, P.; Sardaro, A. Sixteen-Year Follow-Up in a Cavernous Sinus Hemangiopericytoma: Improved Outcomes over Radiotherapy Advances. Brain Sci. 2022, 12, 1209. https://doi.org/10.3390/brainsci12091209
Detti B, Bardoscia L, Pisani AR, Cozzi S, Roghi M, Mammucci P, Sardaro A. Sixteen-Year Follow-Up in a Cavernous Sinus Hemangiopericytoma: Improved Outcomes over Radiotherapy Advances. Brain Sciences. 2022; 12(9):1209. https://doi.org/10.3390/brainsci12091209
Chicago/Turabian StyleDetti, Beatrice, Lilia Bardoscia, Antonio Rosario Pisani, Salvatore Cozzi, Manuele Roghi, Paolo Mammucci, and Angela Sardaro. 2022. "Sixteen-Year Follow-Up in a Cavernous Sinus Hemangiopericytoma: Improved Outcomes over Radiotherapy Advances" Brain Sciences 12, no. 9: 1209. https://doi.org/10.3390/brainsci12091209
APA StyleDetti, B., Bardoscia, L., Pisani, A. R., Cozzi, S., Roghi, M., Mammucci, P., & Sardaro, A. (2022). Sixteen-Year Follow-Up in a Cavernous Sinus Hemangiopericytoma: Improved Outcomes over Radiotherapy Advances. Brain Sciences, 12(9), 1209. https://doi.org/10.3390/brainsci12091209

