Decreased ALFF and Functional Connectivity of the Thalamus in Vestibular Migraine Patients
Abstract
1. Introduction
2. Materials and Methods
2.1. Patients
2.2. Imaging Data Acquisition
2.3. Image Processing
2.4. ALFF Analysis
2.5. Functional Connectivity Analysis
2.6. Statistical Analysis
2.6.1. Demographic and Clinical Data
2.6.2. ALFF Analysis
2.6.3. Seed-Based FC Analysis
3. Results
3.1. Demographic and Clinical Data
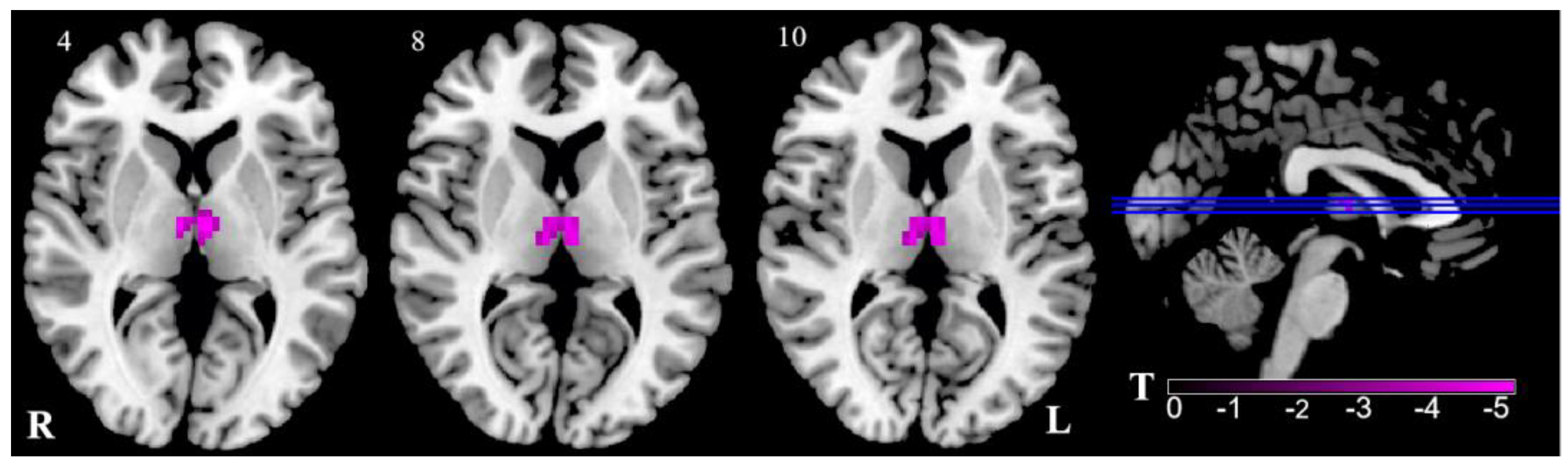
3.2. ALFF Results
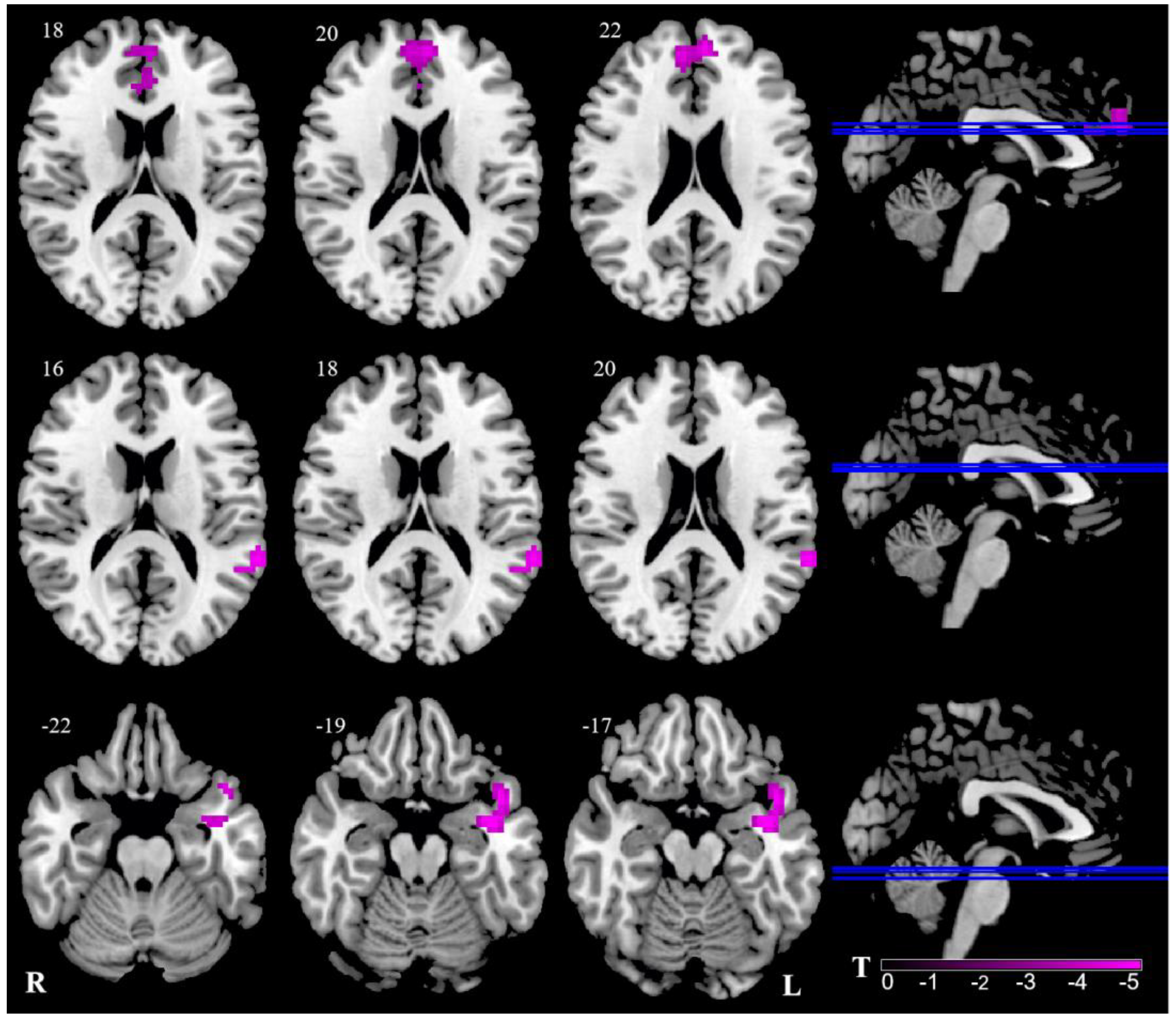
3.3. Seed-Based FC Results
3.4. Correlation of Clinical Parameters with ALFF and FC
4. Discussion
5. Limitations
6. Conclusions
Author Contributions
Funding
Institutional Review Board Statement
Informed Consent Statement
Data Availability Statement
Acknowledgments
Conflicts of Interest
References
- Formeister, E.J.; Rizk, H.G.; Kohn, M.A.; Sharon, J.D. The Epidemiology of Vestibular Migraine: A Population-based Survey Study. Otol. Neurotol. 2018, 39, 1037–1044. [Google Scholar] [CrossRef] [PubMed]
- Lempert, T.; Von Brevern, M. Vestibular Migraine. Neurol. Clin. 2019, 37, 695–706. [Google Scholar] [CrossRef] [PubMed]
- Neuhauser, H.K.; Radtke, A.; Von Brevern, M.; Feldmann, M.; Lezius, F.; Ziese, T.; Lempert, T. Migrainous vertigo: Prevalence and impact on quality of life. Neurology 2006, 67, 1028–1033. [Google Scholar] [CrossRef] [PubMed]
- Shin, J.H.; Kim, Y.K.; Kim, H.-J.; Kim, J.-S. Altered brain metabolism in vestibular migraine: Comparison of interictal and ictal findings. Cephalalgia 2013, 34, 58–67. [Google Scholar] [CrossRef] [PubMed]
- Obermann, M.; Wurthmann, S.; Steinberg, B.S.; Theysohn, N.; Diener, H.-C.; Naegel, S. Central vestibular system modulation in vestibular migraine. Cephalalgia 2014, 34, 1053–1061. [Google Scholar] [CrossRef]
- Messina, R.; Rocca, M.A.; Colombo, B.; Teggi, R.; Falini, A.; Comi, G.; Filippi, M. Structural brain abnormalities in patients with vestibular migraine. J. Neurol. 2016, 264, 295–303. [Google Scholar] [CrossRef]
- Wang, S.; Wang, H.; Zhao, D.; Liu, X.; Yan, W.; Wang, M.; Zhao, R. Grey matter changes in patients with vestibular migraine. Clin. Radiol. 2019, 74, 898.e1–898.e5. [Google Scholar] [CrossRef] [PubMed]
- Zhe, X.; Gao, J.; Chen, L.; Zhang, D.; Tang, M.; Yan, X.; Bai, F.; Zhang, X.; Zou, Z.; Chen, W.; et al. Altered structure of the vestibular cortex in patients with vestibular migraine. Brain Behav. 2020, 10, e01572. [Google Scholar] [CrossRef]
- Russo, A.; Marcelli, V.; Esposito, F.; Corvino, V.; Marcuccio, L.; Giannone, A.; Conforti, R.; Marciano, E.; Tedeschi, G.; Tessitore, A. Abnormal thalamic function in patients with vestibular migraine. Neurology 2014, 82, 2120–2126. [Google Scholar] [CrossRef]
- Teggi, R.; Colombo, B.; Rocca, M.A.; Bondi, S.; Messina, R.; Comi, G.; Filippi, M. A review of recent literature on functional MRI and personal experience in two cases of definite vestibular migraine. Neurol. Sci. 2016, 37, 1399–1402. [Google Scholar] [CrossRef] [PubMed]
- Fornito, A.; Bullmore, E. What can spontaneous fluctuations of the blood oxygenation-level-dependent signal tell us about psychiatric disorders? Curr. Opin. Psychiatry 2010, 23, 239–249. [Google Scholar] [CrossRef] [PubMed]
- Fox, M.D.; Raichle, M.E. Spontaneous fluctuations in brain activity observed with functional magnetic resonance imaging. Nat. Rev. Neurosci. 2007, 8, 700–711. [Google Scholar] [CrossRef]
- Duff, E.P.; Johnston, L.; Xiong, J.; Fox, P.T.; Mareels, I.; Egan, G.F. The power of spectral density analysis for mapping endogenous BOLD signal fluctuations. Hum. Brain Mapp. 2008, 29, 778–790. [Google Scholar] [CrossRef] [PubMed]
- Liu, L.; Hu, X.; Zhang, Y.; Pan, Q.; Zhan, Q.; Tan, G.; Wang, K.; Zhou, J. Effect of Vestibular Rehabilitation on Spontaneous Brain Activity in Patients with Vestibular Migraine: A Resting-State Functional Magnetic Resonance Imaging Study. Front. Hum. Neurosci. 2020, 14, 227. [Google Scholar] [CrossRef]
- Chen, T.; Taniguchi, W.; Chen, Q.-Y.; Tozaki-Saitoh, H.; Song, Q.; Liu, R.-H.; Koga, K.; Matsuda, T.; Kaito-Sugimura, Y.; Wang, J.; et al. Top-down descending facilitation of spinal sensory excitatory transmission from the anterior cingulate cortex. Nat. Commun. 2018, 9, 1886. [Google Scholar] [CrossRef] [PubMed]
- Margulies, D.S.; Vincent, J.L.; Kelly, C.; Lohmann, G.; Uddin, L.Q.; Biswal, B.B.; Villringer, A.; Castellanos, F.X.; Milham, M.P.; Petrides, M. Precuneus shares intrinsic functional architecture in humans and monkeys. Proc. Natl. Acad. Sci. USA 2009, 106, 20069–20074. [Google Scholar] [CrossRef] [PubMed]
- Uddin, L.; Kelly, C.; Biswal, B.B.; Castellanos, F.X.; Milham, M.P. Functional connectivity of default mode network components: Correlation, anticorrelation, and causality. Hum. Brain Mapp. 2008, 30, 625–637. [Google Scholar] [CrossRef]
- Huang, X.; Zhang, D.; Chen, Y.; Wang, P.; Mao, C.; Miao, Z.; Liu, C.; Xu, C.; Wu, X.; Yin, X. Altered functional connectivity of the red nucleus and substantia nigra in migraine without aura. J. Headache Pain 2019, 20, 104. [Google Scholar] [CrossRef]
- Wei, H.-L.; Li, J.; Guo, X.; Zhou, G.-P.; Wang, J.-J.; Chen, Y.-C.; Yu, Y.-S.; Yin, X.; Li, J.; Zhang, H. Functional connectivity of the visual cortex differentiates anxiety comorbidity from episodic migraineurs without aura. J. Headache Pain 2021, 22, 40. [Google Scholar] [CrossRef]
- Wang, S.; Wang, H.; Liu, X.; Yan, W.; Wang, M.; Zhao, R. A resting-state functional MRI study in patients with vestibular migraine during interictal period. Acta Neurol. Belg. 2021, 1–7. [Google Scholar] [CrossRef]
- Lee, J.-O.; Lee, E.-S.; Kim, J.-S.; Lee, Y.-B.; Jeong, Y.; Choi, B.S.; Kim, J.-H.; Staab, J.P. Altered brain function in persistent postural perceptual dizziness: A study on resting state functional connectivity. Hum. Brain Mapp. 2018, 39, 3340–3353. [Google Scholar] [CrossRef] [PubMed]
- Li, K.; Si, L.; Cui, B.; Ling, X.; Shen, B.; Yang, X. Altered spontaneous functional activity of the right precuneus and cuneus in patients with persistent postural-perceptual dizziness. Brain Imaging Behav. 2019, 14, 2176–2186. [Google Scholar] [CrossRef] [PubMed]
- Sherman, S.M.; Guillery, R.W. Distinct functions for direct and transthalamic corticocortical connections. J. Neurophysiol. 2011, 106, 1068–1077. [Google Scholar] [CrossRef] [PubMed]
- Amin, F.M.; Hougaard, A.; Magon, S.; Sprenger, T.; Wolfram, F.; Rostrup, E.; Ashina, M. Altered thalamic connectivity during spontaneous attacks of migraine without aura: A resting-state fMRI study. Cephalalgia 2017, 38, 1237–1244. [Google Scholar] [CrossRef] [PubMed]
- Qin, Z.X.; Su, J.J.; He, X.W.; Zhu, Q.; Cui, Y.Y.; Zhang, J.L.; Wang, M.X.; Gao, T.T.; Tang, W.; Hu, Y.; et al. Altered resting-state functional connectivity between subregions in the thalamus and cortex in migraine without aura. Eur. J. Neurol. 2020, 27, 2233–2241. [Google Scholar] [CrossRef]
- Goadsby, P.; Holland, P.; Martins-Oliveira, M.; Hoffmann, J.; Schankin, C.; Akerman, S. Pathophysiology of Migraine: A Disorder of Sensory Processing. Physiol. Rev. 2017, 97, 553–622. [Google Scholar] [CrossRef]
- Burstein, R.; Jakubowski, M.; Garcia-Nicas, E.; Kainz, V.; Bajwa, Z.; Hargreaves, R.; Becerra, L.; Borsook, D. Thalamic sensitization transforms localized pain into widespread allodynia. Ann. Neurol. 2010, 68, 81–91. [Google Scholar] [CrossRef]
- Chen, Z.; Xiao, L.; Liu, H.; Zhang, Q.; Wang, Q.; Lv, Y.; Zhai, Y.; Zhang, J.; Dong, S.; Wei, X.; et al. Altered thalamo-cortical functional connectivity in patients with vestibular migraine: A resting-state fMRI study. Neuroradiology 2021, 64, 119–127. [Google Scholar] [CrossRef]
- Lempert, T.; Olesen, J.; Furman, J.; Waterston, J.; Seemungal, B.; Carey, J.; Bisdorff, A.; Versino, M.; Evers, S.; Newman-Toker, D. Vestibular migraine: Diagnostic criteria. J. Vestib. Res. 2012, 22, 167–172. [Google Scholar] [CrossRef]
- Yan, C.-G.; Wang, X.-D.; Zuo, X.-N.; Zang, Y.-F. DPABI: Data Processing & Analysis for (Resting-State) Brain Imaging. Neuroinformatics 2016, 14, 339–351. [Google Scholar] [CrossRef]
- Wang, X.; Li, J.; Wang, M.; Yuan, Y.; Zhu, L.; Shen, Y.; Zhang, H.; Zhang, K. Alterations of the amplitude of low-frequency fluctuations in anxiety in Parkinson’s disease. Neurosci. Lett. 2018, 668, 19–23. [Google Scholar] [CrossRef] [PubMed]
- Herrero, M.-T.; Barcia, C.; Navarro, J. Functional anatomy of thalamus and basal ganglia. Child’s Nerv. Syst. 2002, 18, 386–404. [Google Scholar] [CrossRef] [PubMed]
- Noseda, R.; Jakubowski, M.; Kainz, V.; Borsook, D.; Burstein, R. Cortical Projections of Functionally Identified Thalamic Trigeminovascular Neurons: Implications for Migraine Headache and Its Associated Symptoms. J. Neurosci. 2011, 31, 14204–14217. [Google Scholar] [CrossRef] [PubMed]
- Lopez, C.; Blanke, O. The thalamocortical vestibular system in animals and humans. Brain Res. Rev. 2011, 67, 119–146. [Google Scholar] [CrossRef] [PubMed]
- Wijesinghe, R.; Protti, D.A.; Camp, A.J. Vestibular Interactions in the Thalamus. Front. Neural Circuits 2015, 9, 79. [Google Scholar] [CrossRef]
- Tolner, E.A.; Chen, S.-P.; Eikermann-Haerter, K. Current understanding of cortical structure and function in migraine. Cephalalgia 2019, 39, 1683–1699. [Google Scholar] [CrossRef] [PubMed]
- Espinosa-Sanchez, J.M.; Lopez-Escamez, J.A. New Insights into Pathophysiology of Vestibular Migraine. Front. Neurol. 2015, 6, 12. [Google Scholar] [CrossRef] [PubMed]
- Noseda, R.; Burstein, R. Migraine pathophysiology: Anatomy of the trigeminovascular pathway and associated neurological symptoms, cortical spreading depression, sensitization, and modulation of pain. Pain 2013, 154, S44–S53. [Google Scholar] [CrossRef]
- Seminowicz, D.A.; Davis, K.D. Cortical responses to pain in healthy individuals depends on pain catastrophizing. Pain 2006, 120, 297–306. [Google Scholar] [CrossRef]
- Perlaki, G.; Orsi, G.; Schwarcz, A.; Bodi, P.; Plozer, E.; Biczo, K.; Aradi, M.; Doczi, T.; Komoly, S.; Hejjel, L.; et al. Pain-related autonomic response is modulated by the medial prefrontal cortex: An ECG–fMRI study in men. J. Neurol. Sci. 2015, 349, 202–208. [Google Scholar] [CrossRef] [PubMed]
- Lakhan, S.; Avramut, M.; Tepper, S.J. Structural and Functional Neuroimaging in Migraine: Insights From 3 Decades of Research. Headache 2012, 53, 46–66. [Google Scholar] [CrossRef] [PubMed]
- Schwedt, T.J.; Chiang, C.-C.; Chong, C.D.; Dodick, D.W. Functional MRI of migraine. Lancet Neurol. 2015, 14, 81–91. [Google Scholar] [CrossRef]
- Lieberman, M.D.; Eisenberger, N.I. The dorsal anterior cingulate cortex is selective for pain: Results from large-scale reverse inference. Proc. Natl. Acad. Sci. USA 2015, 112, 15250–15255. [Google Scholar] [CrossRef]
- Tan, L.L.; Pelzer, P.; Heinl, C.; Tang, W.; Gangadharan, V.; Flor, H.; Sprengel, R.; Kuner, T.; Kuner, R. A pathway from midcingulate cortex to posterior insula gates nociceptive hypersensitivity. Nat. Neurosci. 2017, 20, 1591–1601. [Google Scholar] [CrossRef] [PubMed]
- Jiang, Y.-Y.; Shao, S.; Zhang, Y.; Zheng, J.; Chen, X.; Cui, S.; Liu, F.-Y.; Wan, Y.; Yi, M. Neural pathways in medial septal cholinergic modulation of chronic pain: Distinct contribution of the anterior cingulate cortex and ventral hippocampus. Pain 2018, 159, 1550–1561. [Google Scholar] [CrossRef]
- Vogt, B.A. Pain and emotion interactions in subregions of the cingulate gyrus. Nat. Rev. Neurosci. 2005, 6, 533–544. [Google Scholar] [CrossRef] [PubMed]
- Zhuo, M. Long-term potentiation in the anterior cingulate cortex and chronic pain. Philos. Trans. R. Soc. B Biol. Sci. 2014, 369, 20130146. [Google Scholar] [CrossRef]
- Guo, B.; Wang, J.; Yao, H.; Ren, K.; Chen, J.; Yang, J.; Cai, G.; Liu, H.; Fan, Y.; Wang, W.; et al. Chronic Inflammatory Pain Impairs mGluR5-Mediated Depolarization-Induced Suppression of Excitation in the Anterior Cingulate Cortex. Cereb. Cortex 2017, 28, 2118–2130. [Google Scholar] [CrossRef]
- Coppola, G.; di Renzo, A.; Tinelli, E.; Iacovelli, E.; Lepre, C.; Di Lorenzo, C.; Di Lorenzo, G.; Di Lenola, D.; Parisi, V.; Serrao, M.; et al. Evidence for brain morphometric changes during the migraine cycle: A magnetic resonance-based morphometry study. Cephalalgia 2014, 35, 783–791. [Google Scholar] [CrossRef]
- Yu, Z.-B.; Peng, J.; Lv, Y.-B.; Zhao, M.; Xie, B.; Liang, M.-L.; Li, H.-T.; Zhou, Z.-H. Different mean thickness implicates involvement of the cortex in migraine. Medicine 2016, 95, e4824. [Google Scholar] [CrossRef]
- Zhang, J.; Wu, Y.-L.; Su, J.; Yao, Q.; Wang, M.; Li, G.-F.; Zhao, R.; Shi, Y.-H.; Zhao, Y.; Zhang, Q.; et al. Assessment of gray and white matter structural alterations in migraineurs without aura. J. Headache Pain 2017, 18, 74. [Google Scholar] [CrossRef] [PubMed]
- Demarquay, G.; Royet, J.; Mick, G.; Ryvlin, P. Olfactory Hypersensitivity in Migraineurs: A H215O-PET Study. Cephalalgia 2008, 28, 1069–1080. [Google Scholar] [CrossRef] [PubMed]
- Moulton, E.A.; Becerra, L.; Maleki, N.; Pendse, G.; Tully, S.; Hargreaves, R.; Burstein, R.; Borsook, D. Painful Heat Reveals Hyperexcitability of the Temporal Pole in Interictal and Ictal Migraine States. Cereb. Cortex 2010, 21, 435–448. [Google Scholar] [CrossRef] [PubMed]
- Zhang, F.; Li, F.; Yang, H.; Jin, Y.; Lai, W.; Roberts, N.; Jia, Z.; Gong, Q. Effect of experimental orthodontic pain on gray and white matter functional connectivity. CNS Neurosci. Ther. 2020, 27, 439–448. [Google Scholar] [CrossRef]
- Liotti, M.; Mayberg, H.S.; Brannan, S.K.; McGinnis, S.; Jerabek, P.; Fox, P.T. Differential limbic–cortical correlates of sadness and anxiety in healthy subjects: Implications for affective disorders. Biol. Psychiatry 2000, 48, 30–42. [Google Scholar] [CrossRef]
- Helmchen, C.; Ye, Z.; Sprenger, A.; Münte, T.F. Changes in resting-state fMRI in vestibular neuritis. Anat. Embryol. 2013, 219, 1889–1900. [Google Scholar] [CrossRef]
- Neuhauser, H.; Leopold, M.; von Brevern, M.; Arnold, G.; Lempert, T. The interrelations of migraine, vertigo, and migrainous vertigo. Neurology 2001, 56, 436–441. [Google Scholar] [CrossRef]
- Zhang, Y.; Kong, Q.; Chen, J.; Li, L.; Wang, D.; Zhou, J. International Classification of Headache Disorders 3rd edition beta-based field testing of vestibular migraine in China: Demographic, clinical characteristics, audiometric findings and diagnosis statues. Cephalalgia 2015, 36, 240–248. [Google Scholar] [CrossRef]



| Characteristics | VM (n = 28) Mean ± SD | HC (n = 28) Mean ± SD | p Value |
|---|---|---|---|
| Sex (female/male) * | 24/4 | 24/4 | 1.00 |
| Age (years) | 40.18 ± 10.26 | 38.25 ± 12.47 | 0.53 |
| Education (years) | 13.82 ± 3.65 | 15.00 ± 1.98 | 0.14 |
| Disease duration (years) | 8.68 ± 7.52 | ||
| VM Episode frequency (number) | 8.82 ± 6.64 | ||
| Type of vertigo, N (%) | |||
| Spontaneous vertigo | 14/28 (50.00%) | ||
| Positional vertigo | 9/28 (32.14%) | ||
| Visually induced vertigo | 1/28 (3.57%) | ||
| Head-motion-induced vertigo | 4/28 (14.29%) | ||
| Vomiting | 10/28 (35.71%) | ||
| Nausea | 12/28 (42.85%) | ||
| Photophobia | 21/28 (75%) | ||
| Phonophobia | 19/28 (67.85%) | ||
| VAS | 5.07 ± 2.73 | ||
| MIDAS | 47.46 ± 43.58 | ||
| HIT-6 | 51.86 ± 19.36 | ||
| DHI | 47.71 ± 16.04 |
| Brain Regions | Peak MNI | Cluster Voxels | T | p | |||
|---|---|---|---|---|---|---|---|
| x | y | z | |||||
| R | Thalamus | 6 | −12 | 6 | 41 | −4.83 | 0.000 |
| L | Thalamus | −3 | −12 | 6 | 43 | −4.83 | 0.000 |
| Seed Points | Brain Regions | BA | Peak MNI | Cluster Voxels | T | |||
|---|---|---|---|---|---|---|---|---|
| x | y | z | ||||||
| L Thalamus | L | Medial prefrontal cortex | 9 | −6 | 54 | 27 | 74 | −5.36 |
| R | Medial prefrontal cortex | 32 | 7 | 52 | 26 | 64 | −5.36 | |
| L | Anterior cingulum cortex | 24 | −2 | 36 | 18 | 10 | −5.36 | |
| R | Anterior cingulum cortex | 32/24 | 5 | 48 | 22 | 15 | −5.36 | |
| L | Superior temporal gyrus | 42 | −63 | −42 | 19 | 58 | −4.25 | |
| L | Middle temporal gyrus | 21 | −51 | −48 | 3 | 66 | −4.25 | |
| L | Temporal pole | 38 | −42 | −3 | −18 | 58 | −4.86 | |
Disclaimer/Publisher’s Note: The statements, opinions and data contained in all publications are solely those of the individual author(s) and contributor(s) and not of MDPI and/or the editor(s). MDPI and/or the editor(s) disclaim responsibility for any injury to people or property resulting from any ideas, methods, instructions or products referred to in the content. |
© 2023 by the authors. Licensee MDPI, Basel, Switzerland. This article is an open access article distributed under the terms and conditions of the Creative Commons Attribution (CC BY) license (https://creativecommons.org/licenses/by/4.0/).
Share and Cite
Zhe, X.; Tang, M.; Ai, K.; Lei, X.; Zhang, X.; Jin, C. Decreased ALFF and Functional Connectivity of the Thalamus in Vestibular Migraine Patients. Brain Sci. 2023, 13, 183. https://doi.org/10.3390/brainsci13020183
Zhe X, Tang M, Ai K, Lei X, Zhang X, Jin C. Decreased ALFF and Functional Connectivity of the Thalamus in Vestibular Migraine Patients. Brain Sciences. 2023; 13(2):183. https://doi.org/10.3390/brainsci13020183
Chicago/Turabian StyleZhe, Xia, Min Tang, Kai Ai, Xiaoyan Lei, Xiaoling Zhang, and Chenwang Jin. 2023. "Decreased ALFF and Functional Connectivity of the Thalamus in Vestibular Migraine Patients" Brain Sciences 13, no. 2: 183. https://doi.org/10.3390/brainsci13020183
APA StyleZhe, X., Tang, M., Ai, K., Lei, X., Zhang, X., & Jin, C. (2023). Decreased ALFF and Functional Connectivity of the Thalamus in Vestibular Migraine Patients. Brain Sciences, 13(2), 183. https://doi.org/10.3390/brainsci13020183

