Light and the Brain: A Clinical Case Depicting the Effects of Light on Brainwaves and Possible Presence of Plasma-like Brain Energy
Abstract
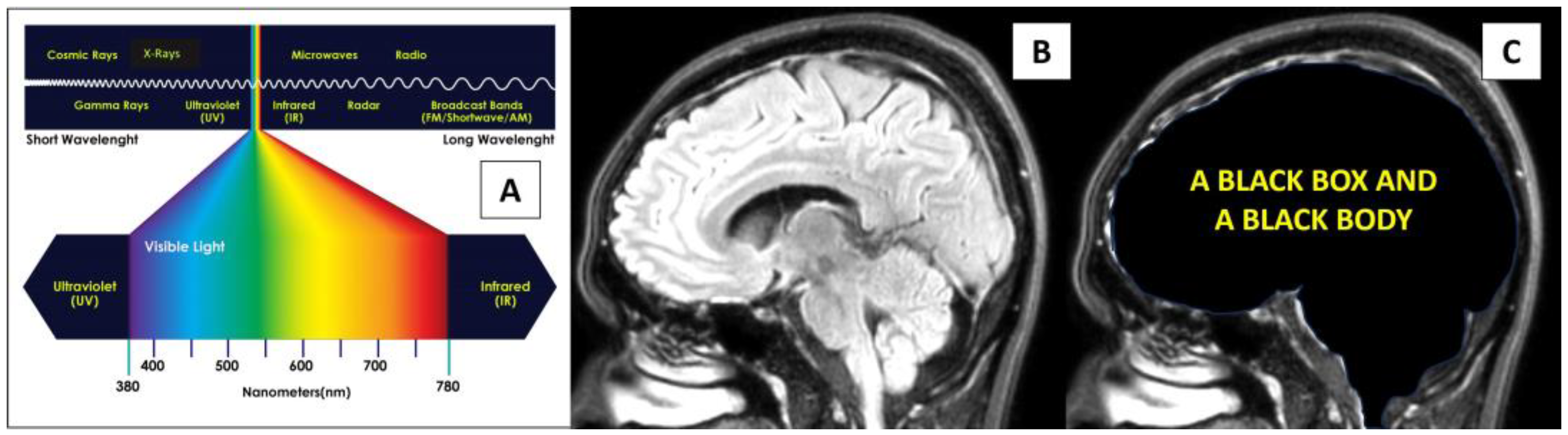
1. Introduction
2. Case Report
2.1. Clinical Description
2.2. Awake Brain Surgery—Marked and Rapid Brainwave Changes When the Brain Was Directly Exposed to Different Wavelengths of Light
3. Discussion
3.1. Physics Perspective on Direct Light Energy onto the Brain
3.2. Photobiomodulation (PBM) and Medical Application
4. Strengths, Limitations, and Future Directions
5. Conclusions
Author Contributions
Funding
Institutional Review Board Statement
Informed Consent Statement
Data Availability Statement
Conflicts of Interest
References
- Wyse, C.A.; Selman, C.; Page, M.M.; Coogan, A.N.; Hazlerigg, D.G. Circadian desynchrony and metabolic dysfunction; did light pollution make us fat? Med. Hypotheses 2011, 77, 1139–1144. [Google Scholar] [CrossRef]
- Yu, B.; Wang, C.Y. Osteoporosis and periodontal diseases—An update on their association and mechanistic links. Periodontology 2022, 89, 99–113. [Google Scholar] [CrossRef]
- Schulz, P.; Steimer, T. Neurobiology of circadian systems. CNS Drugs 2009, 23 (Suppl. 2), 3–13. [Google Scholar] [CrossRef]
- Walker, W.H., 2nd; Walton, J.C.; DeVries, A.C.; Nelson, R.J. Circadian rhythm disruption and mental health. Transl. Psychiatry 2020, 10, 28. [Google Scholar] [CrossRef]
- Wirz-Justice, A.; Skene, D.J.; Münch, M. The relevance of daylight for humans. Biochem. Pharmacol. 2021, 191, 114304. [Google Scholar] [CrossRef] [PubMed]
- Cakir, M.; Colak, A.; Calikoglu, C.; Taspinar, N.; Sagsoz, M.E.; Kadioglu, H.H.; Hacimuftuoglu, A.; Seven, S. Once the Light Touch to the Brain: Cytotoxic Effects of Low-Dose Gamma-Ray, Laser Light, and Visible Light on Rat Neuronal Cell Culture. Eurasian J. Med. 2016, 48, 76–83. [Google Scholar] [CrossRef] [PubMed]
- Maccaferri, N.; Zubritskaya, I.; Razdolski, I.; Chioar, I.-A.; Belotelov, V.; Kapaklis, V.; Oppeneer, P.M.; Dmitriev, A. Nanoscale magnetophotonics. J. Appl. Phys. 2020, 127, 080903. [Google Scholar] [CrossRef]
- Hassan, U.; Amer, F.; Hussain, M.; Mushtaq, S.; Loya, A.; Abu Bakar, M. Gemistocytic Differentiation in Isocitrate Dehydrogenase Mutant Astrocytomas: A Histopathological and Survival Analysis. Cureus 2023, 15, e37542. [Google Scholar] [CrossRef]
- Ballestero, M.F.M.; Furlanetti, L.L.; Augusto, L.P.; Chaves, P.H.C.; Santos, M.V.; de Oliveira, R.S. Decompressive craniectomy for severe traumatic brain injury in children: Analysis of long-term neuropsychological impairment and review of the literature. Child’s Nerv. Syst. 2019, 35, 1507–1515. [Google Scholar] [CrossRef]
- Yang, X.F.; Wen, L.; Shen, F.; Li, G.; Lou, R.; Liu, W.G.; Zhan, R.Y. Surgical complications secondary to decompressive craniectomy in patients with a head injury: A series of 108 consecutive cases. Acta Neurochir. 2008, 150, 1241–1248. [Google Scholar] [CrossRef]
- Woo, P.Y.M.; Mak, C.H.K.; Mak, H.K.F.; Tsang, A.C.O. Neurocognitive recovery and global cerebral perfusion improvement after cranioplasty in chronic sinking skin flap syndrome of 18 years: Case report using arterial spin labelling magnetic resonance perfusion imaging. J. Clin. Neurosci. 2020, 77, 213–217. [Google Scholar] [CrossRef] [PubMed]
- Idris, Z.; Mustapha, M.; Abdullah, J.M. Microgravity environment and compensatory: Decompensatory phases for intracranial hypertension form new perspectives to explain mechanism underlying communicating hydrocephalus and its related disorders. Asian J. Neurosurg. 2014, 9, 7–13. [Google Scholar] [CrossRef] [PubMed][Green Version]
- Tekatas, A.; Mungen, B. Migraine headache triggered specifically by sunlight: Report of 16 cases. Eur. Neurol. 2013, 70, 263–266. [Google Scholar] [CrossRef] [PubMed]
- Lema, A.K.; Anbesu, E.W. Computer vision syndrome and its determinants: A systematic review and meta-analysis. SAGE Open Med. 2022, 10, 20503121221142402. [Google Scholar] [CrossRef] [PubMed]
- Naeser, M.A.; Zafonte, R.; Krengel, M.H.; Martin, P.I.; Frazier, J.; Hamblin, M.R.; Knight, J.A.; Meehan, W.P.; Baker, E.H. Significant improvements in cognitive performance post-transcranial, red/near-infrared light-emitting diode treatments in chronic, mild traumatic brain injury: Open-protocol study. J. Neurotrauma 2014, 31, 1008–1017. [Google Scholar] [CrossRef]
- Salehpour, F.; Mahmoudi, J.; Kamari, F.; Sadigh-Eteghad, S.; Rasta, S.H.; Hamblin, M.R. Brain Photobiomodulation Therapy: A Narrative Review. Mol. Neurobiol. 2018, 55, 6601–6636. [Google Scholar] [CrossRef]
- Salehpour, F.; Gholipour-Khalili, S.; Farajdokht, F.; Kamari, F.; Walski, T.; Hamblin, M.R.; DiDuro, J.O.; Cassano, P. Therapeutic potential of intranasal photobiomodulation therapy for neurological and neuropsychiatric disorders: A narrative review. Rev. Neurosci. 2020, 31, 269–286. [Google Scholar] [CrossRef]
- Abijo, A.; Lee, C.Y.; Huang, C.Y.; Ho, P.C.; Tsai, K.J. The Beneficial Role of Photobiomodulation in Neurodegenerative Diseases. Biomedicines 2023, 11, 1828. [Google Scholar] [CrossRef]
- Semyachkina-Glushkovskaya, O.; Abdurashitov, A.; Klimova, M.; Dubrovsky, A.; Shirokov, A.; Fomin, A.; Terskov, A.; Agranovich, I.; Mamedova, A.; Khorovodov, A.; et al. Photostimulation of cerebral and peripheral lymphatic functions. Transl. Biophotonics 2020, 2, e201900036. [Google Scholar] [CrossRef]
- Rab, A.S.; Polino, E.; Man, Z.X.; Ba An, N.; Xia, Y.J.; Spagnolo, N.; Franco, R.L.; Sciarrino, F. Entanglement of photons in their dual wave-particle nature. Nat. Commun. 2017, 8, 915. [Google Scholar] [CrossRef]
- Collell, G.; Fauquet, J. Brain activity and cognition: A connection from thermodynamics and information theory. Front. Psychol. 2015, 6, 818. [Google Scholar] [CrossRef] [PubMed]
- Hayward, J.N.; Baker, M.A. A comparative study of the role of the cerebral arterial blood in the regulation of brain temperature in five mammals. Brain Res. 1969, 16, 417–440. [Google Scholar] [CrossRef] [PubMed]
- Wang, H.; Wang, B.; Normoyle, K.P.; Jackson, K.; Spitler, K.; Sharrock, M.F.; Miller, C.M.; Best, C.; Llano, D.; Du, R. Brain temperature, and its fundamental properties: A review for clinical neuroscientists. Front. Neurosci. 2014, 8, 307. [Google Scholar] [CrossRef] [PubMed]
- Idris, Z.; Yee, A.S.; Wan Hassan, W.M.N.; Hassan, M.H.; Ab Mukmin, L.; Mohamed Zain, K.A.; Manaf, A.A.; Balandong, R.P.; Tang, T.B. Clinical outcomes and thermodynamics aspect of direct brain cooling in severe head injury. Surg. Neurol. Int. 2023, 14, 158. [Google Scholar] [CrossRef]
- Zon Józef, R. Physical Plasma Switchability in the Brain. Electromagn. Biol. Med. 2005, 24, 273–281. [Google Scholar] [CrossRef]
- Nakada, T. Neuroscience of water molecules: A salute to Professor Linus Carl Pauling. Cytotechnology 2009, 59, 145–152. [Google Scholar] [CrossRef][Green Version]
- Nicholson, C.; Hrabětová, S. Brain Extracellular Space: The Final Frontier of Neuroscience. Biophys. J. 2017, 113, 2133–2142. [Google Scholar] [CrossRef]
- Lei, Y.; Han, H.; Yuan, F.; Javeed, A.; Zhao, Y. The brain interstitial system: Anatomy, modeling, in vivo measurement, and applications. Prog. Neurobiol. 2017, 157, 230–246. [Google Scholar] [CrossRef]
- Purushotham, S.S.; Buskila, Y. Astrocytic modulation of neuronal signalling. Front. Netw. Physiol. 2023, 3, 1205544. [Google Scholar] [CrossRef]
- James, E.; Jake, B.; Frederik, L.; Vindy, T.; Ian, H.; Emily, H.; Collingwood, J.F.; Telling, N.D. Illuminating the brain: Revealing brain biochemistry with synchrotron X-ray spectromicroscopy. J. Electron Spectrosc. Relat. Phenom. 2023, 266, 147355. [Google Scholar] [CrossRef]
- Bruggeman, P.J.; Kushner, M.J.; Locke, B.R.; Gardeniers, J.G.E.; Graham, W.G.; Graves, D.B.; Hofman-Caris, R.C.H.M.; Maric, D.; Reid, J.P.; Ceriani, E.; et al. Plasma–liquid interactions: A review and roadmap. Plasma Sources Sci. Technol. 2016, 25, 053002. [Google Scholar] [CrossRef]
- Peng, Y.; Alsagri, A.S.; Afrand, M.; Moradi, R. A numerical simulation for magnetohydrodynamic nanofluid flow and heat transfer in rotating horizontal annulus with thermal radiation. RSC Adv. 2019, 9, 22185–22197. [Google Scholar] [CrossRef] [PubMed]
- Suzuki, K.; Yamada, K.; Nakada, K.; Suzuki, Y.; Watanabe, M.; Kwee, I.L.; Nakada, T. MRI characteristics of the glia limitans externa: A 7T study. Magn. Reson. Imaging 2017, 44, 140–145. [Google Scholar] [CrossRef]
- Zhang, Y.; Guo, S.; Sun, M.; Mariniello, L.; Tozzi, A.; Zhao, X. Front Waves of Chemical Reactions and Travelling Waves of Neural Activity. J. NeuroPhilosophy 2022, 1, 222–239. [Google Scholar] [CrossRef]
- Andersen, S.S.; Jackson, A.D.; Heimburg, T. Towards a thermodynamic theory of nerve pulse propagation. Prog. Neurobiol. 2009, 88, 104–113. [Google Scholar] [CrossRef]
- Drukarch, B.; Wilhelmus, M.M.M.; Shrivastava, S. The thermodynamic theory of action potential propagation: A sound basis for unification of the physics of nerve impulses. Rev. Neurosci. 2021, 33, 285–302. [Google Scholar] [CrossRef]
- Idris, Z.; Zakaria, Z.; Yee, A.S.; Fitzrol, D.N.; Ghani, A.R.I.; Abdullah, J.M.; Hassan, W.M.N.W.; Hassan, M.H.; Manaf, A.A.; Heng, R.O.C. Quantum and Electromagnetic Fields in Our Universe and Brain: A New Perspective to Comprehend Brain Function. Brain Sci. 2021, 11, 558. [Google Scholar] [CrossRef]
- Idris, Z. Quantum Physics Perspective on Electromagnetic and Quantum Fields Inside the Brain. Malays. J. Med. Sci. MJMS 2020, 27, 1–5. [Google Scholar] [CrossRef]
- Idris, Z.; Yee, A.S.; Wan Hassan, W.M.N.; Hassan, M.H.; Mohd Zain, K.A.; Abdul Manaf, A. A Clinical Test for a Newly Developed Direct Brain Cooling System for the Injured Brain and Pattern of Cortical Brainwaves in Cooling, Noncooling, and Dead Brain. Ther. Hypothermia Temp. Manag. 2022, 12, 103–114. [Google Scholar] [CrossRef]
- Schiffer, F.; Johnston, A.L.; Ravichandran, C.; Polcari, A.; Teicher, M.H.; Webb, R.H.; Hamblin, M.R. Psychological benefits 2 and 4 weeks after a single treatment with near infrared light to the forehead: A pilot study of 10 patients with major depression and anxiety. Behav. Brain Funct. BBF 2009, 5, 46. [Google Scholar] [CrossRef]
- Hamblin, M.R. Shining light on the head: Photobiomodulation for brain disorders. BBA Clin. 2016, 6, 113–124. [Google Scholar] [CrossRef] [PubMed]
- Peoples, C.; Spana, S.; Ashkan, K.; Benabid, A.L.; Stone, J.; Baker, G.E.; Mitrofanis, J. Photobiomodulation enhances nigral dopaminergic cell survival in a chronic MPTP mouse model of Parkinson’s disease. Park. Relat. Disord. 2012, 18, 469–476. [Google Scholar] [CrossRef] [PubMed]







Disclaimer/Publisher’s Note: The statements, opinions and data contained in all publications are solely those of the individual author(s) and contributor(s) and not of MDPI and/or the editor(s). MDPI and/or the editor(s) disclaim responsibility for any injury to people or property resulting from any ideas, methods, instructions or products referred to in the content. |
© 2024 by the authors. Licensee MDPI, Basel, Switzerland. This article is an open access article distributed under the terms and conditions of the Creative Commons Attribution (CC BY) license (https://creativecommons.org/licenses/by/4.0/).
Share and Cite
Idris, Z.; Zakaria, Z.; Yee, A.S.; Fitzrol, D.N.; Ismail, M.I.; Ghani, A.R.I.; Abdullah, J.M.; Hassan, M.H.; Suardi, N. Light and the Brain: A Clinical Case Depicting the Effects of Light on Brainwaves and Possible Presence of Plasma-like Brain Energy. Brain Sci. 2024, 14, 308. https://doi.org/10.3390/brainsci14040308
Idris Z, Zakaria Z, Yee AS, Fitzrol DN, Ismail MI, Ghani ARI, Abdullah JM, Hassan MH, Suardi N. Light and the Brain: A Clinical Case Depicting the Effects of Light on Brainwaves and Possible Presence of Plasma-like Brain Energy. Brain Sciences. 2024; 14(4):308. https://doi.org/10.3390/brainsci14040308
Chicago/Turabian StyleIdris, Zamzuri, Zaitun Zakaria, Ang Song Yee, Diana Noma Fitzrol, Muhammad Ihfaz Ismail, Abdul Rahman Izaini Ghani, Jafri Malin Abdullah, Mohd Hasyizan Hassan, and Nursakinah Suardi. 2024. "Light and the Brain: A Clinical Case Depicting the Effects of Light on Brainwaves and Possible Presence of Plasma-like Brain Energy" Brain Sciences 14, no. 4: 308. https://doi.org/10.3390/brainsci14040308
APA StyleIdris, Z., Zakaria, Z., Yee, A. S., Fitzrol, D. N., Ismail, M. I., Ghani, A. R. I., Abdullah, J. M., Hassan, M. H., & Suardi, N. (2024). Light and the Brain: A Clinical Case Depicting the Effects of Light on Brainwaves and Possible Presence of Plasma-like Brain Energy. Brain Sciences, 14(4), 308. https://doi.org/10.3390/brainsci14040308

