Effect of Postnatal Epigallocatechin-Gallate Treatment on Cardiac Function in Mice Prenatally Exposed to Alcohol
Abstract
1. Introduction
2. Materials and Methods
2.1. Animals, Housing, and Ethical Statement
- (1)
- Control: mice were given maltodextrin solution (8.4 g/kg/day) between Day 1 and Day 19 of pregnancy by oral gavage and no postnatal treatment.
- (2)
- Med alcohol (EtOH) pattern: mice were given 1.5 g/kg/day of ethanol between Day 1 and Day 19 of pregnancy by oral gavage and no postnatal treatment.
- (3)
- Med EtOH pattern + EGCG: mice were given 1.5 g/kg/day of ethanol between Day 1 and Day 19 of pregnancy by oral gavage and postnatal EGCG at 60 mg/kg/day until pups were 60 days old.
- (4)
- Bin EtOH pattern: mice were given 4.5 g/kg/day of ethanol between Day 1 and Day 19 of pregnancy by oral gavage and no postnatal treatment.
- (5)
- Bin EtOH pattern + EGCG: mice were given 4.5 g/kg/day of ethanol between Day 1 and Day 19 of pregnancy by oral gavage and postnatal EGCG at 60 mg/kg/day until pups were 60 days old.
2.2. Alcohol Administration
2.3. Postnatal Life and EGCG Administration
2.4. Functional Echocardiography Performance
2.5. Blood Alcohol Concentration
2.6. Western Blot Analysis
2.7. Antibodies
2.8. Statistical Analyses
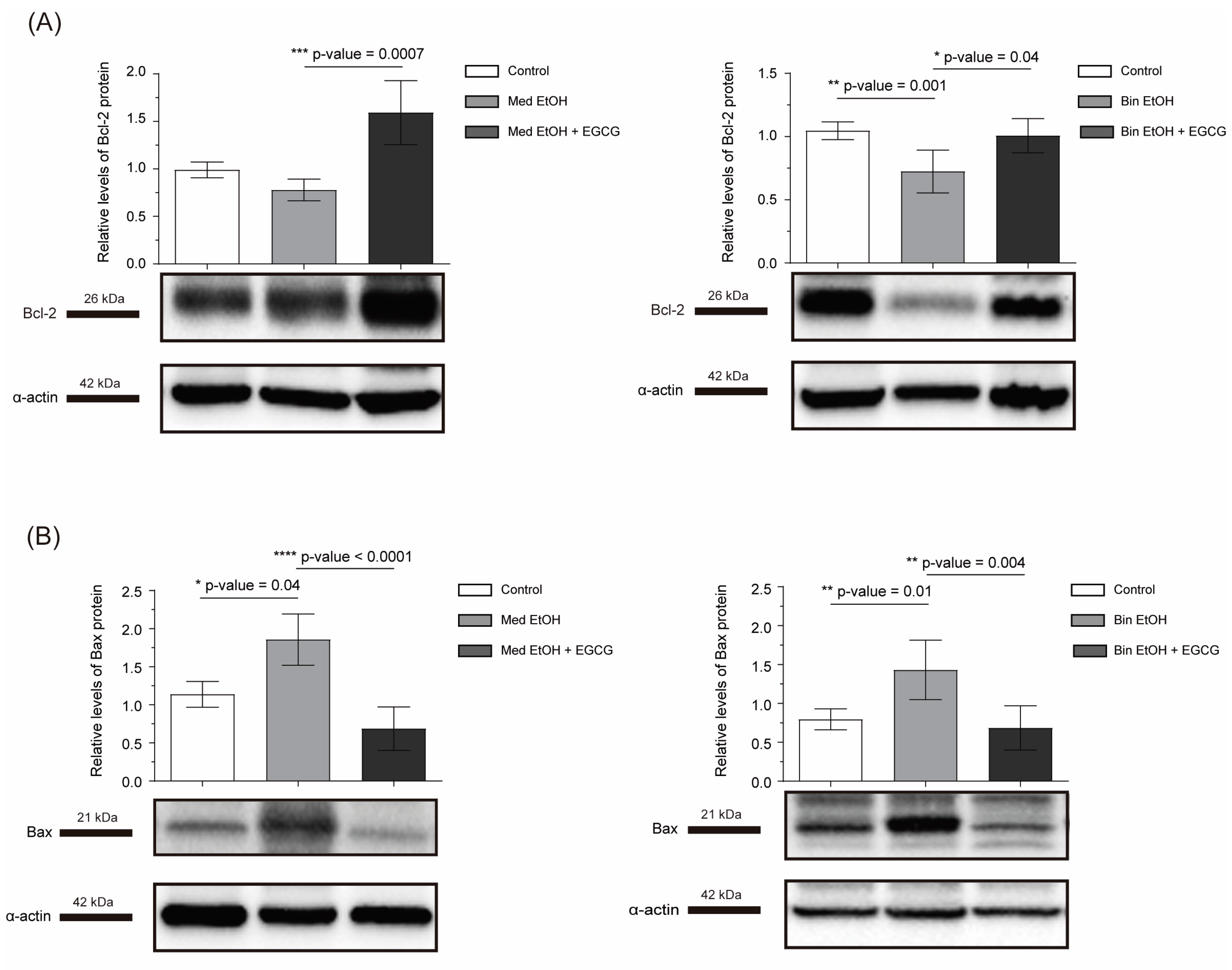
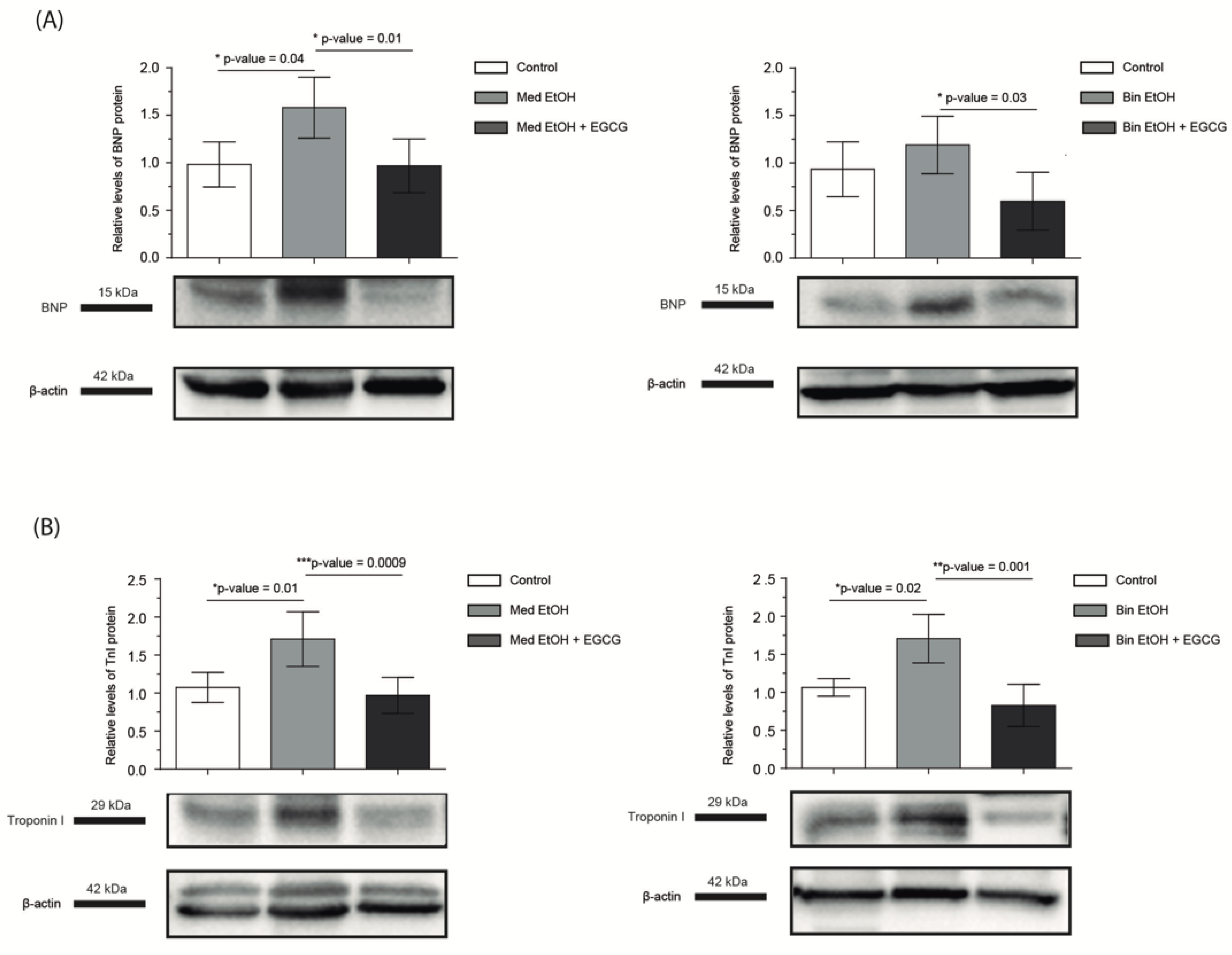
3. Results
3.1. Analysis of Cardiac Biomarkers
3.2. Echocardiographic Analysis
4. Discussion
5. Conclusions
Author Contributions
Funding
Institutional Review Board Statement
Informed Consent Statement
Data Availability Statement
Conflicts of Interest
References
- Sokol, R.J.; Delaney-Black, V.; Nordstrom, B. Fetal alcohol spectrum disorder. JAMA 2003, 290, 2996–2999. [Google Scholar] [CrossRef] [PubMed]
- Pruett, D.; Waterman, E.H.; Caughey, A.B. Fetal alcohol exposure: Consequences, diagnosis, and treatment. Obstet. Gynecol. Surv. 2013, 68, 62–69. [Google Scholar] [CrossRef] [PubMed]
- Gupta, K.K.; Gupta, V.K.; Shirasaka, T. An Update on Fetal Alcohol Syndrome—Pathogenesis, Risks, and Treatment. Alcohol. Clin. Exp. Res. 2016, 40, 1594–1602. [Google Scholar] [CrossRef] [PubMed]
- Hoyme, H.E.; Kalberg, W.O.; Elliott, A.J.; Blankenship, J.; Buckley, D.; Marais, A.S.; Manning, M.A.; Robinson, L.K.; Adam, M.P.; Abdul-Rahman, O.; et al. Updated clinical guidelines for diagnosing fetal alcohol spectrum disorders. Pediatrics 2016, 138, e20154256. [Google Scholar] [CrossRef]
- Popova, S.; Lange, S.; Shield, K.; Mihic, A.; Chudley, A.E.; Mukherjee, R.A.S.; Bekmuradov, D.; Rehm, J. Comorbidity of fetal alcohol spectrum disorder: A systematic review and meta-analysis. Lancet 2016, 387, 978–987. [Google Scholar] [CrossRef]
- Chen, Z.; Li, S.; Guo, L.; Peng, X.; Liu, Y. Prenatal alcohol exposure induced congenital heart diseases: From bench to bedside. Birth Defects Res. 2020, 113, 521–534. [Google Scholar] [CrossRef]
- Zhang, T.-N.; Wu, Q.-J.; Liu, Y.-S.; Lv, J.-L.; Sun, H.; Chang, Q.; Liu, C.-F.; Zhao, Y.-H. Environmental Risk Factors and Congenital Heart Disease: An Umbrella Review of 165 Systematic Reviews and Meta-Analyses with more than 120 Million Participants. Front. Cardiovasc. Med. 2021, 8, 640729. [Google Scholar] [CrossRef]
- U.S. Department of Agriculture and U.S. Department of Health and Human Services. Dietary Guidelines for Americans, 2020–2025. 9th Edition; December 2020. Available online: DietaryGuidelines.gov (accessed on 25 March 2023).
- Astley, S.J. Validation of the fetal alcohol spectrum disorder (FASD) 4-Digit diagnostic code. J. Popul. Ther. Clin. Pharmacol. 2013, 20, 416–467. [Google Scholar]
- O’Leary, C.M.; Bower, C. Guidelines for pregnancy: What’s an acceptable risk, and how is the evidence (finally) shaping up? Drug Alcohol Rev. 2012, 31, 170–183. [Google Scholar] [CrossRef]
- Alexander, B.T.; Dasinger, J.H.; Intapad, S. Fetal programming and cardiovascular pathology. Compr. Physiol. 2015, 5, 997–1025. [Google Scholar] [CrossRef]
- Ninh, V.K.; El Hajj, E.C.; Mouton, A.J.; Gardner, J.D. Prenatal Alcohol Exposure Causes Adverse Cardiac Extracellular Matrix Changes and Dysfunction in Neonatal Mice. Cardiovasc. Toxicol. 2019, 19, 389–400. [Google Scholar] [CrossRef] [PubMed]
- Nguyen, V.B.; Probyn, M.E.; Campbell, F.; Yin, K.V.; Samuel, C.S.; Zimanyi, M.A.; Bertram, J.F.; Black, M.J.; Moritz, K.M. Low-Dose maternal alcohol consumption: Effects in the hearts of offspring in early life and adulthood. Physiol. Rep. 2014, 2, e12087. [Google Scholar] [CrossRef] [PubMed]
- Serrano, M.; Han, M.; Brinez, P.; Linask, K.K. Fetal alcohol syndrome: Cardiac birth defects in mice and prevention with folate. Am. J. Obstet. Gynecol. 2010, 203, e7–e75. [Google Scholar] [CrossRef] [PubMed]
- Karunamuni, G.; Sheehan, M.M.; Doughman, Y.Q.; Gu, S.; Sun, J.; Li, Y.; Strainic, J.P.; Andrew, M.; Jenkins, M.W.; Watanabe, M.; et al. Supplementation with the methyl donor betaine prevents congenital defects induced by prenatal alcohol exposure. Alcohol. Clin. Exp. Res. 2017, 41, 1917–1927. [Google Scholar] [CrossRef] [PubMed]
- Jawaid, S.; Strainic, J.P.; Kim, J.; Ford, M.R.; Thrane, L.; Karunamuni, G.H.; Sheehan, M.M.; Chowdhury, A.; Gillespie, C.A.; Rollins, A.M.; et al. Glutathione Protects the Developing Heart from Defects and Global DNA Hypomethylation Induced by Prenatal Alcohol Exposure. Alcohol. Clin. Exp. Res. 2021, 45, 69–78. [Google Scholar] [CrossRef] [PubMed]
- Eng, Q.Y.; Thanikachalam, P.V.; Ramamurthy, S. Molecular understanding of Epigallocatechin gallate (EGCG) in cardiovascular and metabolic diseases. J. Ethnopharmacol. 2018, 210, 296–310. [Google Scholar] [CrossRef]
- Ma, Y.; Hu, Y.; Wu, J.; Wen, J.; Li, S.; Zhang, L.; Zhang, J.; Li, Y.; Li, J. Epigallocatechin-3-gallate inhibits angiotensin II-induced cardiomyocyte hypertrophy via regulating Hippo signaling pathway in H9c2 rat cardiomyocytes. Acta Biochim. Biophys. Sin. 2019, 51, 422–430. [Google Scholar] [CrossRef]
- Cai, Y.; Zhao, L.; Qin, Y.; Wu, X.Q. EGCG blocked phenylephrin-induced hypertrophy in H9C2 cardiomyocytes, by activating AMPK-dependent pathway. Korean J. Physiol. Pharmacol. 2015, 19, 203–210. [Google Scholar] [CrossRef]
- Chen, K.; Chen, W.; Liu, S.L.; Wu, T.S.; Yu, K.F.; Qi, J.; Wang, Y.; Yao, H.; Huang, X.Y.; Han, Y.; et al. Epigallocatechingallate attenuates myocardial injury in a mouse model of heart failure through TGF-β1/Smad3 signaling pathway. Mol. Med. Rep. 2018, 17, 7652–7660. [Google Scholar] [CrossRef]
- Almeida-Toledano, L.; Andreu-Fernández, V.; Aras-López, R.; García-Algar, Ó.; Martínez, L.; Gómez-Roig, M.D. Epigallocatechin gallate ameliorates the effects of prenatal alcohol exposure in a fetal alcohol spectrum disorder-like mouse model. Int. J. Mol. Sci. 2021, 22, 715. [Google Scholar] [CrossRef]
- Antonio, A.M.; Druse, M.J. Antioxidants prevent ethanol-associated apoptosis in fetal rhombencephalic neurons. Brain Res. 2008, 1204, 16–23. [Google Scholar] [CrossRef]
- Tiwari, V.; Kuhad, A.; Chopra, K. Epigallocatechin-3-gallate ameliorates alcohol-induced cognitive dysfunctions and apoptotic neurodegeneration in the developing rat brain. Int. J. Neuropsychopharmacol. 2010, 13, 1053–1066. [Google Scholar] [CrossRef] [PubMed]
- Long, L.; Li, Y.; Wang, Y.D.; He, Q.Y.; Li, M.; Cai, X.D.; Peng, K.; Li, X.P.; Xie, D.; Wen, Y.L.; et al. The preventive effect of oral EGCG in a fetal alcohol spectrum disorder mouse model. Alcohol. Clin. Exp. Res. 2010, 34, 1929–1936. [Google Scholar] [CrossRef] [PubMed]
- Almeida, L.; Andreu-Fernández, V.; Navarro-Tapia, E.; Aras-López, R.; Serra-Delgado, M.; Martínez, L.; García-Algar, O.; Gómez-Roig, M.D. Murine Models for the Study of Fetal Alcohol Spectrum Disorders: An Overview. Front. Pediatr. 2020, 8, 359. [Google Scholar] [CrossRef] [PubMed]
- Ren, Z.; Wang, X.; Xu, M.; Yang, F.; Frank, J.A.; Ke, Z.-J.; Luo, J. Binge ethanol exposure causes endoplasmic reticulum stress, oxidative stress and tissue injury in the pancreas. Oncotarget 2016, 7, 54303–54316. [Google Scholar] [CrossRef]
- Dastidar, S.G.; Warner, J.B.; Warner, D.R.; McClain, C.J.; Kirpich, I.A. Rodent Models of Alcoholic Liver Disease: Role of Binge Ethanol Administration. Biomolecules 2018, 8, 3. [Google Scholar] [CrossRef]
- Olateju, O.I.; Spocter, M.A.; Patzke, N.; Ihunwo, A.O.; Manger, P.R. Hippocampal neurogenesis in the C57BL/6J mice at early adulthood following prenatal alcohol exposure. Metab. Brain Dis. 2018, 33, 397–410. [Google Scholar] [CrossRef]
- Landmann, M.; Sellmann, C.; Engstler, A.J.; Ziegenhardt, D.; Jung, F.; Brombach, C.; Bergheim, I. Hops (Humulus lupulus) Content in Beer Modulates Effects of Beer on the Liver after Acute Ingestion in Female Mice. Alcohol Alcohol. 2017, 52, 48–55. [Google Scholar] [CrossRef]
- Fu, Z.; Zhen, W.; Yuskavage, J.; Liu, D. Epigallocatechin gallate delays the onset of type 1 diabetes in spontaneous non-obese diabetic mice. Br. J. Nutr. 2011, 105, 1218–1225. [Google Scholar] [CrossRef]
- Wang, D.; Gao, Q.; Wang, T.; Kan, Z.; Li, X.; Hu, L.; Peng, C.-Y.; Qian, F.; Wang, Y.; Granato, D. Green tea polyphenols and epigallocatechin-3-gallate protect against perfluorodecanoic acid induced liver damage and inflammation in mice by inhibiting NLRP3 inflammasome activation. Food Res. Int. 2020, 127, 108628. [Google Scholar] [CrossRef]
- Gu, J.W.; Makey, K.L.; Tucker, K.B.; Chinchar, E.; Mao, X.; Pei, I.; Thomas, E.Y.; Miele, L. EGCG, a major green tea catechin suppresses breast tumor angiogenesis and growth via inhibiting the activation of HIF-1α and NFκB, and VEGF expression. Vasc. Cell 2013, 5, 9. [Google Scholar] [CrossRef] [PubMed]
- Lesser, M.N.R.; Keen, C.L.; Lanoue, L. Reproductive and developmental outcomes, and influence on maternal and offspring tissue mineral concentrations, of (-)-epicatechin, (+)-catechin, and rutin ingestion prior to, and during pregnancy and lactation in C57BL/6J mice. Toxicol. Rep. 2015, 2, 443–449. [Google Scholar] [CrossRef] [PubMed]
- Isbrucker, R.A.; Edwards, J.A.; Wolz, E.; Davidovich, A.; Bausch, J. Safety studies on epigallocatechin gallate (EGCG) preparations. Part 3: Teratogenicity and reproductive toxicity studies in rats. Food Chem. Toxicol. 2006, 44, 651–661. [Google Scholar] [CrossRef] [PubMed]
- Gao, S.; Ho, D.; Vatner, D.E.; Vatner, S.F. Echocardiography in Mice. Curr. Protoc. Mouse Biol. 2011, 1, 71–83. [Google Scholar] [CrossRef] [PubMed]
- Ren, J.; Wold, L.E.; Natavio, M.; Ren, B.H.; Hannigan, J.H.; Brown, R.A. Influence of prenatal alcohol exposure on myocardial contractile function in adult rat hearts: Role of intracellular calcium and apoptosis. Alcohol Alcohol. 2002, 37, 30–37. [Google Scholar] [CrossRef] [PubMed]
- Cavieres, M.F.; Smith, S.M. Genetic and developmental modulation of cardiac deficits in prenatal alcohol exposure. Alcohol. Clin. Exp. Res. 2000, 24, 102–109. [Google Scholar] [CrossRef] [PubMed]
- Ananchaipatana-auitragoon, P.; Ananchaipatana-auitragoon, Y.; Siripornpanich, V.; Kotchabhakdi, N.; Campus, S.; Ananchaipatana-auitragoon, P.; Kotchabhakdi, N. Protective role of taurine in developing offspring affected by maternal alcohol consumption. EXCLI J. 2015, 14, 660–671. [Google Scholar]
- Bottom, R.T.; Abbott, C.W.; Huffman, K.J. Rescue of ethanol-induced FASD-like phenotypes via prenatal co-administration of choline. Neuropharmacology 2020, 168, 107990. [Google Scholar] [CrossRef]
- Sigh, S.P.; Snyder, A.K. Ethanol ingestion during pregnancy: Effects on pregnant rats and their offspring. J. Nutr. 1982, 112, 98–103. [Google Scholar] [CrossRef]
- Shirpoor, A.; Gaderi, R.; Naderi, R. Ethanol exposure in prenatal and early postnatal induced cardiac injury in rats: Involvement of oxidative stress, Hsp70, ERK 1/2, JNK, and apoptosis in a 3-month follow-up study. Cell Stress Chaperones 2019, 24, 917–926. [Google Scholar] [CrossRef]
- Goodlett, C.R.; Horn, K.H.; Zhou, F.C. Alcohol teratogenesis: Mechanisms of damage and strategies for intervention. Exp. Biol. Med. 2005, 230, 394–406. [Google Scholar] [CrossRef] [PubMed]
- Drever, N.; Yin, H.; Kechichian, T.; Costantine, M.; Longo, M.; Saade, G.R.; Bytautiene, E. The expression of antioxidant enzymes in a mouse model of fetal alcohol syndrome. Am. J. Obstet. Gynecol. 2012, 206, e19–e358. [Google Scholar] [CrossRef] [PubMed]
- Mahdinia, R.; Goudarzi, I.; Lashkarbolouki, T.; Salmani, M.E. Maternal ethanol exposure induces behavioral deficits through oxidative stress and brain-derived neurotrophic factor interrelation in rat offspring. Int. J. Dev. Neurosci. 2021, 81, 717–730. [Google Scholar] [CrossRef] [PubMed]
- Kim, M.R.; Lee, K.N.; Yon, J.M.; Lee, S.R.; Jin, Y.; Baek, I.J.; Lee, B.J.; Yun, Y.W.; Nam, S.Y. Capsaicin prevents ethanol-induced teratogenicity in cultured mouse whole embryos. Reprod. Toxicol. 2008, 26, 292–297. [Google Scholar] [CrossRef] [PubMed]
- Atum, A.L.B.; de Matos, L.P.; de Jesus, B.C.; Nasuk, G.R.; da Silva, G.A.; Gomes, C.P.; Pesquero, J.B.; Zamuner, S.R.; Júnior, J.A.S. Impact of Prenatal Alcohol Exposure on the Development and Myocardium of Adult Mice: Morphometric Changes, Transcriptional Modulation of Genes Related to Cardiac Dysfunction, and Antioxidant Cardioprotection. Antioxidants 2023, 12, 256. [Google Scholar] [CrossRef] [PubMed]
- Shanmugam, S.; Patel, D.; Wolpert, J.M.; Keshvani, C.; Liu, X.; Bergeson, S.E.; Kidambi, S.; Mahimainathan, L.; Henderson, G.I.; Narasimhan, M. Ethanol impairs NRF2/antioxidant and growth signaling in the intact placenta in vivo and in human trophoblasts. Biomolecules 2019, 9, 669. [Google Scholar] [CrossRef]
- Dong, J.; Sulik, K.K.; Chen, S.-Y. Nrf2-mediated transcriptional induction of antioxidant response in mouse embryos exposed to ethanol in vivo: Implications for the prevention of fetal alcohol spectrum disorders. Antioxid. Redox Signal. 2008, 10, 2023–2033. [Google Scholar] [CrossRef]
- Sun, W.; Liu, X.; Zhang, H.; Song, Y.; Li, T.; Liu, X.; Liu, Y.; Guo, L.; Wang, F.; Yang, T.; et al. Epigallocatechin gallate upregulates NRF2 to prevent diabetic nephropathy via disabling KEAP1. Free Radic. Biol. Med. 2017, 108, 840–857. [Google Scholar] [CrossRef]
- Morris, N.L.; Yeligar, S.M. Role of HIF-1α in alcohol-mediated multiple organ dysfunction. Biomolecules 2018, 8, 170. [Google Scholar] [CrossRef]
- Knutson, A.K.; Williams, A.L.; Boisvert, W.A.; Shohet, R.V. HIF in the heart: Development, metabolism, ischemia, and atherosclerosis. J. Clin. Investig. 2021, 131, e137557. [Google Scholar] [CrossRef]
- Domingo, D.S.; Camouse, M.M.; Hsia, A.H.; Matsui, M.; Maes, D.; Ward, N.L.; Cooper, K.D.; Baron, E.D. Anti-angiogenic effects of epigallocatechin-3-gallate in human skin. Int. J. Clin. Exp. Pathol. 2010, 3, 705–709. [Google Scholar]
- Lin, S.-K.; Shun, C.-T.; Kok, S.-H.; Wang, C.-C.; Hsiao, T.-Y.; Liu, C.-M. Hypoxia-stimulated vascular endothelial growth factor production in human nasal polyp fibroblasts: Effect of epigallocatechin-3-gallate on hypoxia-inducible factor-1 alpha synthesis. Arch. Otolaryngol. Head. Neck Surg. 2008, 134, 522–527. [Google Scholar] [CrossRef] [PubMed]
- Yan, X.; Pan, B.; Lv, T.; Liu, L.; Zhu, J.; Shen, W.; Huang, X.; Tian, J. Inhibition of histone acetylation by curcumin reduces alcohol-induced fetal cardiac apoptosis. J. Biomed. Sci. 2017, 24, 1. [Google Scholar] [CrossRef]
- Ferenczyová, K.; Kindernay, L.; Vlkovičová, J.; Kaločayová, B.; Rajtík, T.; Barteková, M. Pharmacology of Catechins in Ischemia-Reperfusion Injury of the Heart. Antioxidants 2021, 10, 1390. [Google Scholar] [CrossRef] [PubMed]
- Hall, C. NT-ProBNP: The mechanism behind the marker. J. Card. Fail. 2005, 11, 81–83. [Google Scholar] [CrossRef] [PubMed]
- Levin, E.R.; Gardner, D.G.; Samson, W.K. Natriuretic Peptides. N. Engl. J. Med. 1998, 339, 321–328. [Google Scholar] [CrossRef]
- Harada, M.; Saito, Y.; Kuwahara, K.; Ogawa, E.; Ishikawa, M.; Nakagawa, O.; Miyamoto, Y.; Kamitani, S.; Hamanaka, I.; Kajiyama, N.; et al. Interaction of myocytes and nonmyocytes is necessary for mechanical stretch to induce ANP/BNP production in cardiocyte culture. J. Cardiovasc. Pharmacol. 1998, 31 (Suppl. S1), S357–S359. [Google Scholar] [CrossRef]
- Yokota, N.; Bruneau, B.G.; Fernandez, B.E.; Kuroskidebold, M.; Piazza, L.A.; Eid, H.; de Bold, A.J. Dissociation of cardiac hypertrophy, myosin heavy chain isoform expression, and natriuretic peptide production in DOCA-salt rats. Am. J. Hypertens. 1995, 8, 301–310. [Google Scholar] [CrossRef]
- Hall, C. Essential biochemistry and physiology of (NT-pro)BNP. Eur. J. Heart Fail. 2004, 6, 257–260. [Google Scholar] [CrossRef]
- Nishikimi, T.; Maeda, N.; Matsuoka, H. The role of natriuretic peptides in cardioprotection. Cardiovasc. Res. 2006, 69, 318–328. [Google Scholar] [CrossRef]
- Kuwahara, K.; Nakao, K. Regulation and significance of atrial and brain natriuretic peptides as cardiac hormones. Endocr. J. 2010, 57, 555–565. [Google Scholar] [CrossRef] [PubMed]
- Sevrieva, I.R.; Brandmeier, B.; Ponnam, S.; Gautel, M.; Irving, M.; Campbell, K.S.; Sun, Y.B.; Kampourakis, T. Cardiac myosin regulatory light chain kinase modulates cardiac contractility by phosphorylating both myosin regulatory light chain and troponin I. J. Biol. Chem. 2020, 295, 4398–4410. [Google Scholar] [CrossRef] [PubMed]
- Bishop, S.P.; Zhang, J.; Ye, L. Cardiomyocyte Proliferation from Fetal- to Adult- and from Normal- to Hypertrophy and Failing Hearts. Biology 2022, 11, 880. [Google Scholar] [CrossRef] [PubMed]
- Adamcova, M.; Pelouch, V. Isoforms of Troponin in Normal and Diseased Myocardium. Physiol. Res. 1999, 48, 235–247. [Google Scholar]
- Thakur, V.; Alcoreza, N.; Delgado, M.; Joddar, B.; Chattopadhyay, M. Cardioprotective Effect of Glycyrrhizin on Myocardial Remodeling in Diabetic Rats. Biomolecules 2021, 11, 569. [Google Scholar] [CrossRef]
- Pan, B.; Xu, Z.W.; Xu, Y.; Liu, L.J.; Zhu, J.; Wang, X.; Nan, C.; Zhang, Z.; Shen, W.; Huang, X.P.; et al. Diastolic dysfunction and cardiac troponin I decrease in aging hearts. Arch. Biochem. Biophys. 2016, 603, 20–28. [Google Scholar] [CrossRef]
- Burd, L.; Deal, E.; Rios, R.; Adickes, E.; Wynne, J.; Klug, M.G. Congenital heart defects and fetal alcohol spectrum disorders. Congenit. Heart Dis. 2007, 2, 250–255. [Google Scholar] [CrossRef]
- Ninh, V.K.; El Hajj, E.C.; Ronis, M.J.; Gardner, J.D. N-Acetylcysteine prevents the decreases in cardiac collagen I/III ratio and systolic function in neonatal mice with prenatal alcohol exposure. Toxicol. Lett. 2019, 315, 87–95. [Google Scholar] [CrossRef]
- McDonnell, P.; Fornell, P.; Ponce, S.; Dyer, L. Baseline heart rate in infants with prenatal alcohol exposure: A systematic review and independent analysis. Birth Defects Res. 2022, 115, 474–487. [Google Scholar] [CrossRef]
- Fifer, W.P.; Fingers, S.T.; Youngman, M.; Gomez-Gribben, E.; Myers, M.M. Effects of alcohol and smoking during pregnancy on infant autonomic control. Dev. Psychobiol. 2009, 51, 234–242. [Google Scholar] [CrossRef]
- Jurczyk, M.; Dyląg, K.A.; Skowron, K.; Gil, K. Prenatal alcohol exposure and autonomic nervous system dysfunction: A review article. Folia Med. Cracov. 2019, 59, 15–21. [Google Scholar] [CrossRef]
- Walton, S.L.; Tjongue, M.; Tare, M.; Kwok, E.; Probyn, M.; Parkington, H.C.; Bertram, J.F.; Moritz, K.M.; Denton, K.M. Chronic low alcohol intake during pregnancy programs sex-specific cardiovascular deficits in rats. Biol. Sex Differ. 2019, 10, 21. [Google Scholar] [CrossRef] [PubMed]
- Piano, M.R. Alcoholic Cardiomyopathy: Incidence, Clinical Characteristics, and Pathophysiology. Chest 2002, 121, 1638–1650. [Google Scholar] [CrossRef] [PubMed]
- Kryzhanovskii, S.A.; Kolik, L.G.; Tsorin, I.B.; Ionova, E.O.; Stolyaruk, V.N.; Sorokina, A.V.; Vititnova, M.B.; Miroshkina, I.A. Evidence of Echocardiography Validity in Model Experiments on Small Animals. Bull. Exp. Biol. Med. 2016, 161, 434–438. [Google Scholar] [CrossRef] [PubMed]
- Zhang, L.; Nan, C.; Chen, Y.; Tian, J.; Jean-Charles, P.Y.; Getfield, C.; Wang, X.; Huang, X. Calcium desensitizer catechin reverses diastolic dysfunction in mice with restrictive cardiomyopathy. Arch. Biochem. Biophys. 2015, 573, 69–76. [Google Scholar] [CrossRef]
- Starbuck, J.M.; Llambrich, S.; Gonzàlez, R.; Albaigès, J.; Sarlé, A.; Wouters, J.; González, A.; Sevillano, X.; Sharpe, J.; De La Torre, R.; et al. Green tea extracts containing epigallocatechin-3-gallate modulate facial development in Down syndrome. Sci. Rep. 2021, 11, 4715. [Google Scholar] [CrossRef]
- Scala, I.; Valenti, D.; Scotto D’Aniello, V.; Marino, M.; Riccio, M.P.; Bravaccio, C.; Vacca, R.A.; Strisciuglio, P. Epigallocatechin-3-Gallate Plus Omega-3 Restores the Mitochondrial Complex I and F(0)F(1)-ATP Synthase Activities in PBMCs of Young Children with Down Syndrome: A Pilot Study of Safety and Efficacy. Antioxidants 2021, 10, 469. [Google Scholar] [CrossRef]
- Lambert, J.D.; Lee, M.-J.; Lu, H.; Meng, X.; Hong, J.J.J.; Seril, D.N.; Sturgill, M.G.; Yang, C.S. Epigallocatechin-3-gallate is absorbed but extensively glucuronidated following oral administration to mice. J. Nutr. 2003, 133, 4172–4177. [Google Scholar] [CrossRef]
- Lin, L.C.; Wang, M.N.; Tseng, T.Y.; Sung, J.S.; Tsai, T.H. Pharmacokinetics of (-)-epigallocatechin-3-gallate in conscious and freely moving rats and its brain regional distribution. J. Agric. Food Chem. 2007, 55, 1517–1524. [Google Scholar] [CrossRef]
- Ishii, S.; Kitazawa, H.; Mori, T.; Kirino, A.; Nakamura, S.; Osaki, N.; Shimotoyodome, A.; Tamai, I. Identification of the Catechin Uptake Transporter Responsible for Intestinal Absorption of Epigallocatechin Gallate in Mice. Sci. Rep. 2019, 9, 11014. [Google Scholar] [CrossRef]
- James, K.D.; Forester, S.C.; Lambert, J.D. Dietary pretreatment with green tea polyphenol, (-)-epigallocatechin-3-gallate reduces the bioavailability and hepatotoxicity of subsequent oral bolus doses of (-)-epigallocatechin-3-gallate. Food Chem. Toxicol. Int. J. Publ. Br. Ind. Biol. Res. Assoc. 2015, 76, 103–108. [Google Scholar] [CrossRef] [PubMed]
- Ullmann, U.; Haller, J.; Decourt, J.D.; Girault, J.; Spitzer, V.; Weber, P. Plasma-kinetic characteristics of purified and isolated green tea catechin epigallocatechin gallate (EGCG) after 10 days repeated dosing in healthy volunteers. Int. J. Vitam. Nutr. Res. 2004, 74, 269–278. [Google Scholar] [CrossRef] [PubMed]
- Chow, H.-H.S.; Cai, Y.; Hakim, I.A.; Crowell, J.A.; Shahi, F.; Brooks, C.A.; Dorr, R.T.; Hara, Y.; Alberts, D.S. Pharmacokinetics and safety of green tea polyphenols after multiple-dose administration of epigallocatechin gallate and polyphenon E in healthy individuals. Clin. Cancer Res. Off. J. Am. Assoc. Cancer Res. 2003, 9, 3312–3319. [Google Scholar]
- Fernández, V.A.; Toledano, L.A.; Lozano, N.P.; Tapia, E.N.; Roig, M.D.G.; Fornell, R.D.l.T.; Algar, Ó.G. Bioavailability of epigallocatechin gallate administered with different nutritional strategies in healthy volunteers. Antioxidants 2020, 9, 440. [Google Scholar] [CrossRef] [PubMed]
- Rust, R.; Chien, C.; Scheel, M.; Brandt, A.U.; Dörr, J.; Wuerfel, J.; Klumbies, K.; Zimmermann, H.; Lorenz, M.; Wernecke, K.D.; et al. Epigallocatechin Gallate in Progressive MS: A Randomized, Placebo-Controlled Trial. Neurol. Neuroimmunol. Neuroinflamm. 2021, 8, e964. [Google Scholar] [CrossRef]
- de la Torre, R.; de Sola, S.; Hernandez, G.; Farré, M.; Pujol, J.; Rodriguez, J.; Espadaler, J.M.; Langohr, K.; Cuenca-Royo, A.; Principe, A.; et al. Safety and efficacy of cognitive training plus epigallocatechin-3-gallate in young adults with Down’s syndrome (TESDAD): A double-blind, randomised, placebo-controlled, phase 2 trial. Lancet Neurol. 2016, 15, 801–810. [Google Scholar] [CrossRef] [PubMed]
- Abdelmeguid, N.E.; Hammad, T.M.; Abdel-Moneim, A.M.; Salam, S.A. Effect of Epigallocatechin-3-gallate on Stress-Induced Depression in a Mouse Model: Role of Interleukin-1β and Brain-Derived Neurotrophic Factor. Neurochem. Res. 2022, 47, 3464–3475. [Google Scholar] [CrossRef]
- Zhu, F.; Xu, Y.; Pan, J.; Li, M.; Chen, F.; Xie, G. Epigallocatechin Gallate Protects against MNNG-Induced Precancerous Lesions of Gastric Carcinoma in Rats via PI3K/Akt/mTOR Pathway. Evid. Based. Complement. Alternat. Med. 2021, 2021, 8846813. [Google Scholar] [CrossRef]
- Souchet, B.; Guedj, F.; Penke-Verdier, Z.; Daubigney, F.; Duchon, A.; Herault, Y.; Bizot, J.C.; Janel, N.; Créau, N.; Delatour, B.; et al. Pharmacological correction of excitation/inhibition imbalance in down syndrome mouse models. Front. Behav. Neurosci. 2015, 9, 267. [Google Scholar] [CrossRef]
- Sabri, N.A.M.; Lee, S.-K.; Murugan, D.D.; Ling, W.C. Epigallocatechin gallate (EGCG) alleviates vascular dysfunction in angiotensin II-infused hypertensive mice by modulating oxidative stress and eNOS. Sci. Rep. 2022, 12, 17633. [Google Scholar] [CrossRef]
- Mehmood, S.; Maqsood, M.; Mahtab, N.; Khan, M.I.; Sahar, A.; Zaib, S.; Gul, S. Epigallocatechin gallate: Phytochemistry, bioavailability, utilization challenges, and strategies. J. Food Biochem. 2022, 46, e14189. [Google Scholar] [CrossRef] [PubMed]
- Galderisi, M.; Benjamin, E.J.; Evans, J.C.; D’Agostino, R.B.; Fuller, D.L.; Lehman, B.; Levy, D. Impact of heart rate and PR interval on Doppler indexes of left ventricular diastolic filling in an elderly cohort (the Framingham Heart Study). Am. J. Cardiol. 1993, 72, 1183–1187. [Google Scholar] [CrossRef] [PubMed]
- Lavine, S.J. Effect of heart rate and preload on index of myocardial performance in the normal and abnormal left ventricle. J. Am. Soc. Echocardiogr. Off. Publ. Am. Soc. Echocardiogr. 2005, 18, 133–141. [Google Scholar] [CrossRef] [PubMed]








| Echocardiographic Variables | Experimental Groups | n | Mean | Standard Deviation | Standard Error | 95% Confidence Interval | Minimum | Maximum | |
|---|---|---|---|---|---|---|---|---|---|
| Lower Limit | Upper Limit | ||||||||
| Left ventricular internal dimension at diastole (LVIDd) | Control | 33 | 4.546 | 0.663 | 0.115 | 4.311 | 4.781 | 3.157 | 5.678 |
| Med EtOH | 12 | 4.556 | 0.895 | 0.258 | 3.987 | 5.125 | 2.204 | 5.441 | |
| Med EtOH + EGCG | 12 | 4.389 | 0.693 | 0.200 | 3.949 | 4.829 | 3.312 | 5.785 | |
| Bin EtOH | 14 | 4.660 | 0.670 | 0.179 | 4.273 | 5.047 | 3.795 | 6.410 | |
| Bin EtOH + EGCG | 7 | 4.705 | 0.501 | 0.189 | 4.242 | 5.169 | 4.225 | 5.745 | |
| Left ventricular internal dimension at systole (LVIDs) | Control | 33 | 2.624 | 0.597 | 0.104 | 2.413 | 2.836 | 1.455 | 3.629 |
| Med EtOH | 12 | 3.212 | 0.735 | 0.212 | 2.745 | 3.679 | 1.578 | 4.044 | |
| Med EtOH + EGCG | 12 | 2.243 | 0.610 | 0.176 | 1.855 | 2.631 | 1.458 | 3.323 | |
| Bin EtOH | 14 | 2.939 | 0.584 | 0.156 | 2.601 | 3.276 | 2.232 | 4.332 | |
| Bin EtOH + EGCG | 7 | 3.060 | 0.493 | 0.186 | 2.604 | 3.516 | 2.229 | 3.479 | |
| Fractional shortening (FS) (%) | Control | 33 | 42.513 | 8.486 | 1.477 | 39.504 | 45.522 | 28.825 | 59.340 |
| Med EtOH | 12 | 29.575 | 7.380 | 2.131 | 24.885 | 34.264 | 19.160 | 41.932 | |
| Med EtOH + EGCG | 12 | 49.433 | 7.813 | 2.255 | 44.469 | 54.397 | 40.098 | 65.754 | |
| Bin EtOH | 14 | 37.266 | 4.922 | 1.315 | 34.424 | 40.107 | 29.424 | 44.032 | |
| Bin EtOH + EGCG | 7 | 34.797 | 10.001 | 3.780 | 25.548 | 44.046 | 23.772 | 47.243 | |
| Ejection fraction (EF) (%) | Control | 29 | 84.366 | 0.072 | 0.013 | 81.609 | 87.124 | 70.948 | 95.488 |
| Med EtOH | 14 | 66.977 | 0.122 | 0.032 | 59.902 | 74.052 | 47.171 | 86.084 | |
| Med EtOH + EGCG | 15 | 84.025 | 0.067 | 0.017 | 80.273 | 87.776 | 74.451 | 95.984 | |
| Bin EtOH | 15 | 75.515 | 0.062 | 0.016 | 72.094 | 78.936 | 64.846 | 84.318 | |
| Bin EtOH + EGCG | 7 | 70.601 | 0.129 | 0.049 | 58.625 | 82.576 | 55.705 | 85.316 | |
| LV posterior wall thicknesses at systole (PWs) (mm) | Control | 32 | 1.777 | 0.469 | 0.083 | 1.608 | 1.946 | 0.956 | 3.028 |
| Med EtOH | 12 | 1.476 | 0.600 | 0.173 | 1.095 | 1.857 | 0.944 | 3.046 | |
| Med EtOH + EGCG | 15 | 1.969 | 0.665 | 0.172 | 1.601 | 2.337 | 1.094 | 3.865 | |
| Bin EtOH | 17 | 1.548 | 0.278 | 0.068 | 1.405 | 1.691 | 1.238 | 2.208 | |
| Bin EtOH + EGCG | 7 | 1.596 | 0.339 | 0.128 | 1.282 | 1.910 | 1.131 | 2.019 | |
| LV posterior wall thicknesses at diastole (PWd) (mm) | Control | 28 | 1.054 | 0.219 | 0.041 | 1.067 | 1.237 | 0.868 | 1.807 |
| Med EtOH | 11 | 0.833 | 0.082 | 0.261 | 0.783 | 0.901 | 0.743 | 0.972 | |
| Med EtOH + EGCG | 16 | 1.076 | 0.573 | 0.143 | 1.044 | 1.655 | 0.669 | 2.506 | |
| Bin EtOH | 14 | 0.940 | 0.138 | 0.037 | 0.850 | 1.010 | 0.683 | 1.171 | |
| Bin EtOH + EGCG | 7 | 0.882 | 0.367 | 0.139 | 0.715 | 1.395 | 0.748 | 1.656 | |
| LV posterior wall thickening (PWT) (%) | Control | 32 | 55.719 | 23.492 | 4.153 | 47.250 | 64.189 | 7.280 | 105.470 |
| Med EtOH | 12 | 50.715 | 26.815 | 7.741 | 33.677 | 67.752 | 19.206 | 95.570 | |
| Med EtOH + EGCG | 15 | 57.288 | 30.999 | 8.004 | 40.122 | 74.455 | 12.189 | 116.284 | |
| Bin EtOH | 17 | 53.593 | 26.763 | 6.491 | 39.832 | 67.353 | 16.067 | 114.348 | |
| Bin EtOH + EGCG | 7 | 58.035 | 30.691 | 11.600 | 29.650 | 86.419 | 15.157 | 108.690 | |
| Beat interval (seg) | Control | 29 | 0.134 | 0.021 | 0.004 | 0.126 | 0.142 | 0.114 | 0.183 |
| Med EtOH | 14 | 0.134 | 0.010 | 0.003 | 0.129 | 0.140 | 0.119 | 0.149 | |
| Med EtOH + EGCG | 14 | 0.137 | 0.023 | 0.006 | 0.124 | 0.151 | 0.113 | 0.183 | |
| Bin EtOH | 14 | 0.113 | 0.008 | 0.002 | 0.108 | 0.118 | 0.101 | 0.131 | |
| Bin EtOH + EGCG | 6 | 0.124 | 0.010 | 0.004 | 0.114 | 0.135 | 0.115 | 0.143 | |
| Heart rate (HR) (bpm) | Control | 29 | 456.910 | 61.584 | 11.436 | 433.484 | 480.335 | 327.869 | 526.316 |
| Med EtOH | 14 | 448.759 | 32.689 | 8.736 | 429.885 | 467.633 | 402.685 | 504.202 | |
| Med EtOH + EGCG | 14 | 446.234 | 65.407 | 17.481 | 408.469 | 483.999 | 327.869 | 530.973 | |
| Bin EtOH | 14 | 532.799 | 37.528 | 10.030 | 511.131 | 554.467 | 458.015 | 594.059 | |
| Bin EtOH + EGCG | 6 | 484.995 | 36.146 | 14.756 | 447.062 | 522.927 | 419.580 | 521.739 | |
| E wave velocity (cm/s) | Control | 27 | 0.131 | 0.197 | 0.038 | 0.053 | 0.209 | 0.028 | 1.040 |
| Med EtOH | 15 | 0.069 | 0.040 | 0.010 | 0.047 | 0.091 | 0.033 | 0.171 | |
| Med EtOH + EGCG | 13 | 0.105 | 0.072 | 0.020 | 0.062 | 0.149 | 0.045 | 0.266 | |
| Bin EtOH | 15 | 0.092 | 0.063 | 0.016 | 0.057 | 0.126 | 0.035 | 0.242 | |
| Bin EtOH + EGCG | 6 | 0.078 | 0.075 | 0.031 | -0.002 | 0.157 | 0.041 | 0.231 | |
| A wave velocity (cm/s) | Control | 27 | 0.068 | 0.096 | 0.018 | 0.030 | 0.106 | 0.019 | 0.500 |
| Med EtOH | 15 | 0.036 | 0.020 | 0.005 | 0.025 | 0.047 | 0.018 | 0.079 | |
| Med EtOH + EGCG | 13 | 0.058 | 0.047 | 0.013 | 0.030 | 0.086 | 0.024 | 0.162 | |
| Bin EtOH | 15 | 0.053 | 0.036 | 0.009 | 0.034 | 0.073 | 0.019 | 0.134 | |
| Bin EtOH + EGCG | 6 | 0.048 | 0.049 | 0.020 | -0.003 | 0.099 | 0.026 | 0.147 | |
| Ratio of peak velocity of early to late filling of mitral inflow (E/A) | Control | 27 | 1.928 | 0.398 | 0.077 | 1.771 | 2.085 | 1.273 | 2.651 |
| Med EtOH | 15 | 1.932 | 0.378 | 0.098 | 1.722 | 2.141 | 1.397 | 2.600 | |
| Med EtOH + EGCG | 13 | 1.934 | 0.433 | 0.120 | 1.673 | 2.196 | 1.500 | 2.933 | |
| Bin EtOH | 15 | 1.752 | 0.315 | 0.081 | 1.577 | 1.926 | 1.353 | 2.194 | |
| Bin EtOH + EGCG | 6 | 1.675 | 0.316 | 0.129 | 1.344 | 2.006 | 1.414 | 2.269 | |
| Isovolumic contraction time (IVCT) (% Cardiac cycle (CC)) | Control | 24 | 6.260 | 1.394 | 0.284 | 5.671 | 6.848 | 3.529 | 8.333 |
| Med EtOH | 13 | 8.043 | 1.028 | 0.285 | 7.422 | 8.664 | 6.250 | 10.16 | |
| Med EtOH + EGCG | 8 | 6.977 | 1.747 | 0.617 | 5.516 | 8.437 | 5.072 | 9.836 | |
| Bin EtOH | 14 | 8.790 | 1.862 | 0.498 | 7.715 | 9.864 | 5.723 | 13.36 | |
| Bin EtOH + EGCG | 5 | 6.150 | 1.422 | 0.636 | 4.385 | 7.916 | 3.922 | 7.692 | |
| Isovolumic relaxation time (IVRT) (% CC) | Control | 20 | 7.662 | 1.458 | 0.3260 | 6.980 | 8.345 | 5.303 | 10.86 |
| Med EtOH | 14 | 12.96 | 3.488 | 0.932 | 10.94 | 14.97 | 8.271 | 18.45 | |
| Med EtOH + EGCG | 11 | 10.59 | 2.361 | 0.712 | 9.002 | 12.17 | 6.780 | 13.86 | |
| Bin EtOH | 12 | 11.27 | 2.370 | 0.684 | 9.761 | 12.77 | 8.621 | 15.49 | |
| Bin EtOH + EGCG | 5 | 8.464 | 2.502 | 1.119 | 5.358 | 11.57 | 4.724 | 10.78 | |
| Left ventricular ejection time (LVET) (ms) | Control | 28 | 0.057 | 0.017 | 0.003 | 0.050 | 0.063 | 0.038 | 0.107 |
| Med EtOH | 12 | 0.051 | 0.011 | 0.003 | 0.044 | 0.058 | 0.028 | 0.067 | |
| Med EtOH + EGCG | 13 | 0.062 | 0.014 | 0.004 | 0.054 | 0.071 | 0.040 | 0.091 | |
| Bin EtOH | 12 | 0.044 | 0.011 | 0.003 | 0.037 | 0.052 | 0.031 | 0.068 | |
| Bin EtOH + EGCG | 6 | 0.040 | 0.007 | 0.003 | 0.032 | 0.048 | 0.034 | 0.051 | |
| Tei index (TI) | Control | 2 | 0.350 | 0.117 | 0.022 | 0.305 | 0.395 | 0.155 | 0.521 |
| Med EtOH | 13 | 0.658 | 0.174 | 0.050 | 0.547 | 0.768 | 0.403 | 1.000 | |
| Med EtOH + EGCG | 8 | 0.352 | 0.131 | 0.036 | 0.273 | 0.432 | 0.187 | 0.586 | |
| Bin EtOH | 12 | 0.788 | 0.299 | 0.086 | 0.599 | 0.978 | 0.419 | 1.286 | |
| Bin EtOH + EGCG | 5 | 0.635 | 0.203 | 0.083 | 0.422 | 0.847 | 0.422 | 0.905 | |
Disclaimer/Publisher’s Note: The statements, opinions and data contained in all publications are solely those of the individual author(s) and contributor(s) and not of MDPI and/or the editor(s). MDPI and/or the editor(s) disclaim responsibility for any injury to people or property resulting from any ideas, methods, instructions or products referred to in the content. |
© 2023 by the authors. Licensee MDPI, Basel, Switzerland. This article is an open access article distributed under the terms and conditions of the Creative Commons Attribution (CC BY) license (https://creativecommons.org/licenses/by/4.0/).
Share and Cite
Andreu-Fernández, V.; Serra-Delgado, M.; Almeida-Toledano, L.; García-Meseguer, À.; Vieiros, M.; Ramos-Triguero, A.; Muñoz-Lozano, C.; Navarro-Tapia, E.; Martínez, L.; García-Algar, Ó.; et al. Effect of Postnatal Epigallocatechin-Gallate Treatment on Cardiac Function in Mice Prenatally Exposed to Alcohol. Antioxidants 2023, 12, 1067. https://doi.org/10.3390/antiox12051067
Andreu-Fernández V, Serra-Delgado M, Almeida-Toledano L, García-Meseguer À, Vieiros M, Ramos-Triguero A, Muñoz-Lozano C, Navarro-Tapia E, Martínez L, García-Algar Ó, et al. Effect of Postnatal Epigallocatechin-Gallate Treatment on Cardiac Function in Mice Prenatally Exposed to Alcohol. Antioxidants. 2023; 12(5):1067. https://doi.org/10.3390/antiox12051067
Chicago/Turabian StyleAndreu-Fernández, Vicente, Mariona Serra-Delgado, Laura Almeida-Toledano, Àgueda García-Meseguer, Melina Vieiros, Anna Ramos-Triguero, Concha Muñoz-Lozano, Elisabet Navarro-Tapia, Leopoldo Martínez, Óscar García-Algar, and et al. 2023. "Effect of Postnatal Epigallocatechin-Gallate Treatment on Cardiac Function in Mice Prenatally Exposed to Alcohol" Antioxidants 12, no. 5: 1067. https://doi.org/10.3390/antiox12051067
APA StyleAndreu-Fernández, V., Serra-Delgado, M., Almeida-Toledano, L., García-Meseguer, À., Vieiros, M., Ramos-Triguero, A., Muñoz-Lozano, C., Navarro-Tapia, E., Martínez, L., García-Algar, Ó., & Gómez-Roig, M. D. (2023). Effect of Postnatal Epigallocatechin-Gallate Treatment on Cardiac Function in Mice Prenatally Exposed to Alcohol. Antioxidants, 12(5), 1067. https://doi.org/10.3390/antiox12051067

