Effects of Seaweed Polysaccharide on the Growth and Physiological Health of Largemouth Bass, Micropterus salmoides
Abstract
1. Introduction
2. Materials and Methods
2.1. Experimental Diets and Additives
2.2. Experimental Fish
2.3. Experimental Management
2.4. Sample Collection
2.5. Sample Analysis
2.6. Statistical Analysis
3. Results
3.1. Growth Performance
3.2. Whole-Body Composition
3.3. Antioxidant Parameters
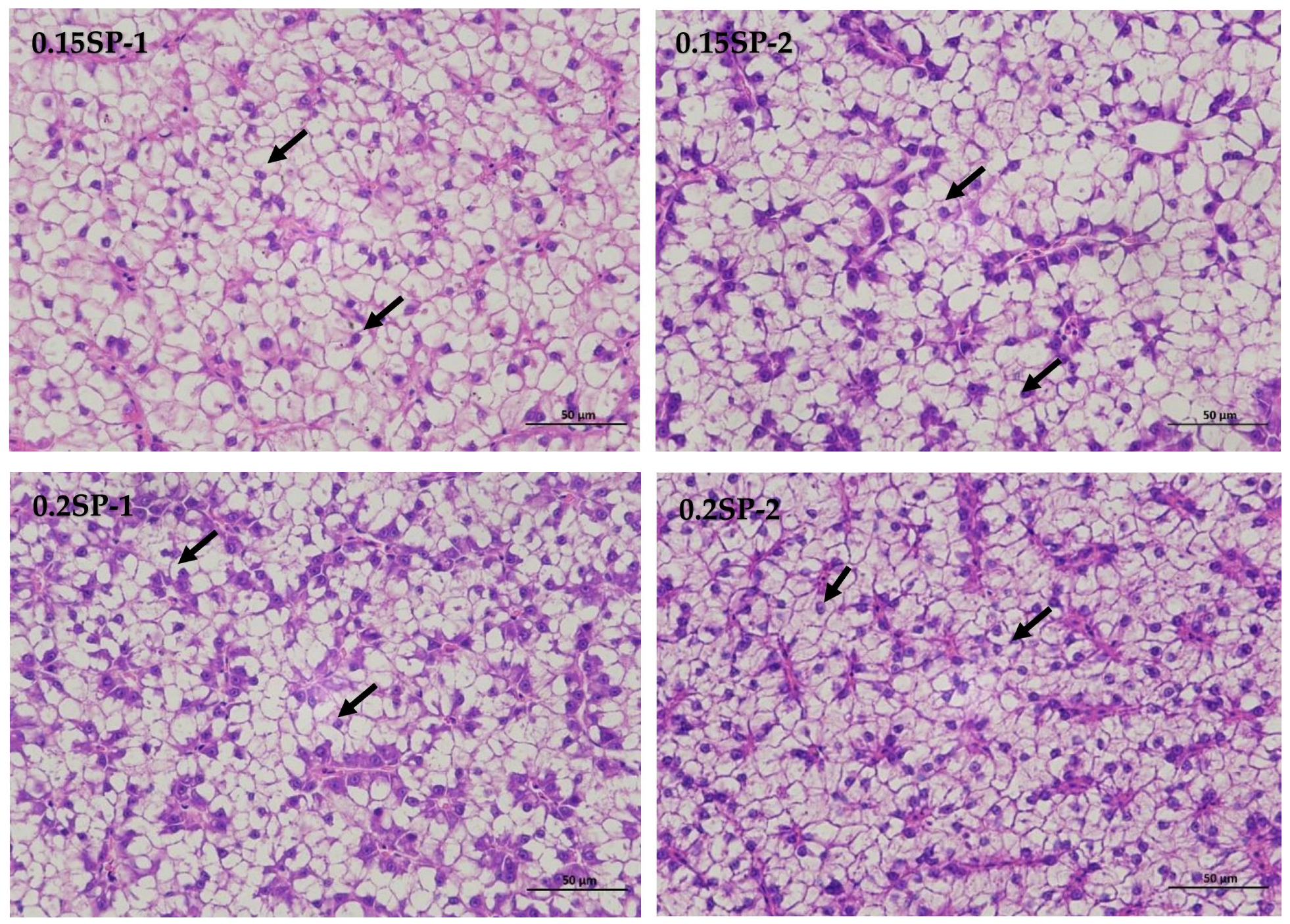
3.4. Histopathological Analysis
3.5. Expression of Protein Metabolism-Related Genes
3.6. Expression of Immune Response-Related Genes
3.7. Expression of Endoplasmic Reticulum Stress-Related Genes
3.8. Regression Analysis
4. Discussion
5. Conclusions
Author Contributions
Funding
Institutional Review Board Statement
Informed Consent Statement
Data Availability Statement
Conflicts of Interest
References
- Bai, J.J.; Li, S.J. Current status and development trend on China largemouth bass industry. Chin. Fish. Econ. 2013, 31, 104–108. [Google Scholar] [CrossRef]
- Ministry of Agriculture and Rural Fisheries Administration, National Fisheries Technology Extension Station, Chinese Fisheries Society. China Fishery Statistical Yearbook; China Agriculture Press: Beijing, China, 2024. [Google Scholar]
- Xu, X.Y.; Yang, H.; Zhang, C.Y.; Bian, Y.H.; Yao, W.X.; Xu, Z.; Wang, Y.Y.; Li, X.Q.; Leng, X.J. Effects of replacing fishmeal with cottonseed protein concentrate on growth performance, flesh quality and gossypol deposition of largemouth bass (Micropterus salmoides). Aquaculture 2022, 548, 737551. [Google Scholar] [CrossRef]
- Zhang, Q.L.; Liang, H.L.; Longshaw, M.; Wang, J.; Ge, X.P.; Zhu, J.; Li, S.L.; Ren, M.C. Effects of replacing fishmeal with methanotroph (Methylococcus capsulatus, Bath) bacteria meal (FeedKind(R)) on growth and intestinal health status of juvenile largemouth bass (Micropterus salmoides). Fish Shellfish Immunol. 2022, 122, 298–305. [Google Scholar] [CrossRef] [PubMed]
- Yang, P.; Li, X.Q.; Song, B.W.; He, M.; Wu, C.Y.; Leng, X.J. The potential of Clostridium autoethanogenum, a new single cell protein, in substituting fish meal in the diet of largemouth bass (Micropterus salmoides): Growth, feed utilization and intestinal histology. Aquac. Fish. 2023, 8, 67–75. [Google Scholar] [CrossRef]
- Cochran, N.J.; Coyle, S.D.; Tidwell, J.H. Evaluation of Reduced Fish Meal Diets for Second Year Growout of the Largemouth Bass, Micropterus salmoides. J. World Aquac. Soc. 2010, 40, 735–743. [Google Scholar] [CrossRef]
- Chen, Y.M.; Lan, H.B.; Jia, M.X.; Huang, Y.Z.; Zhang, M.; Zhu, W.M. Effects of different contents of krill meal equally replacing fish meal on growth performance, physiological and biochemical indexes of Micropterus salmoides. Feed Ind. 2018, 39, 7. [Google Scholar] [CrossRef]
- Rao, Y.; Xiang, X.; Huang, X.Z.; Duan, B. Effects of replacement of fish meal with silkworm powder on growth performance, feed intake, and body composition of juvenile black bass (Micropterus salmonides). Prog. Fish. Sci. 2019, 40, 31–38. [Google Scholar] [CrossRef]
- Ma, S.F.; Liang, X.F.; Chen, P.; Wang, J.; Gu, X.; Qin, Y.C.; Blecker, C.; Xue, M. A new single cell protein from Clostridium autoethanogenum as a functional protein for largemouth bass (Micropterus salmoides). Anim. Nutr. 2022, 10, 99–110. [Google Scholar] [CrossRef]
- Liu, X.; Deng, H.Y.; Xu, Q.Q.; Luo, K.; Zhou, J.; Wang, Z.D.; Zhang, H.Z.; Zhou, X.Q. Effects of tea tree essential oil supplementation in low fish meal diet on growth, lipid metabolism, anti-oxidant capacity and immunity of largemouth bass (Micropterus salmoides). Aquac. Rep. 2022, 27, 101380. [Google Scholar] [CrossRef]
- Ren, X.; Ma, H.J.; Liu, X.X.; Wu, Y.B. Effects of taurine supplementation on growth, feed utilization, antioxidant capacity, and intestinal microflora of largemouth bass fed a low fish meal diet. N. Am. J. Aquac. 2022, 84, 285–294. [Google Scholar] [CrossRef]
- Cai, W.J.; Fu, L.L.; Liu, H.K.; Yi, J.H.; Hua, L.H.; He, L.Y.; Han, D.; Zhu, X.M.; Yang, Y.X.; Jin, J.Y.; et al. Dietary yeast glycoprotein supplementation improves the growth performance, intestinal health and disease resistance of largemouth bass (Micropterus salmoides) fed low-fishmeal diets. Front. Immunol. 2023, 14, 1164087. [Google Scholar] [CrossRef]
- Mori, N.; Nakasone, K.; Tomimori, K.; Ishikawa, C. Beneficial effects of fucoidan in patients with chronic hepatitis C virus infection. World J. Gastroenterol. 2012, 18, 2225–2230. [Google Scholar] [CrossRef] [PubMed]
- Wang, T.T.; Sun, Y.X.; Jin, L.J.; Xu, Y.P.; Wang, L.; Ren, T.J.; Wang, K.L. Enhancement of non-specific immune response in sea cucumber (Apostichopus japonicus) by Astragalus membranaceus and its polysaccharides. Fish Shellfish Immunol. 2009, 27, 757–762. [Google Scholar] [CrossRef]
- Jiao, L.L.; Li, X.; Li, T.B.; Jiang, P.; Zhang, L.X.; Wu, M.J.; Zhang, L.P. Characterization and anti-tumor activity of alkali extracted polysaccharide from Enteromorpha intestinalis. Int. Immunopharmacol. 2009, 9, 324–329. [Google Scholar] [CrossRef] [PubMed]
- Hindu, S.V.; Hindu, S.V.; Chandrasekaran, N.; Mukherjee, A.; Thomas, J. A review on the impact of seaweed polysaccharide on the growth of probiotic bacteria and its application in aquaculture. Aquac. Int. 2019, 27, 227–238. [Google Scholar] [CrossRef]
- Liu, W.C.; Zhou, S.H.; Balasubramanian, B.; Zeng, F.Y.; Sun, C.B.; Pang, H.Y. Dietary seaweed (Enteromorpha) polysaccharides improves growth performance involved in regulation of immune responses, intestinal morphology and microbial community in banana shrimp Fenneropenaeus merguiensis. Fish Shellfish Immunol. 2020, 104, 202–212. [Google Scholar] [CrossRef] [PubMed]
- Arizo, M.A.; Simeon, E.C.; Layosa, M.J.; Mortel, R.M.; Pineda, C.; Lim, J.J.; Maningas, M.B. Crude fucoidan from Sargassum polycystum stimulates growth and immune response of Macrobrachium rosenbergii against white spot syndrome virus (WSSV). Aquac. Aquar. Conserv. Legis. 2015, 8, 532–543. [Google Scholar] [CrossRef]
- Mohsen, A.T.; Ramasamy, H.; Gunapathy, D.; Eijaz, A.B. Stimulatory effects of seaweed Laminaria digitata polysaccharides additives on growth, immune-antioxidant potency and related genes induction in Rohu carp (Labeo rohita) during Flavobacterium columnare infection. Aquaculture 2023, 579, 740253. [Google Scholar] [CrossRef]
- Bakky, M.A.K.; Tran, N.T.; Zhang, Y.S.; Hu, H.; Lin, H.T.; Zhang, M.; Liang, H.F.; Zhang, Y.L.; Li, S.K. Effects of dietary supplementation of Gracilaria lemaneiformis-derived sulfated polysaccharides on the growth, antioxidant capacity, and innate immunity of rabbitfish (Siganus canaliculatus). Fish Shellfish Immunol. 2023, 139, 108933. [Google Scholar] [CrossRef]
- Bahnamiri, A.J.; Kenari, A.A.; Babaei, S.; Banaverh, A.; Soltanian, S. Dietary sulfated polysaccharides extracted from Caulerpa sp. and Padina sp. modulated physiological performance, antibacterial activity and ammonia challenge test in juvenile rainbow trout (Oncorhynchus mykiss). J. Od Anim. Physiol. Anim. Nutr. 2024, 108, 324–337. [Google Scholar] [CrossRef]
- Safavi, S.V.; Kenari, A.A.; Tabarsa, M.; Esmaeili, M. Effect of sulfated polysaccharides extracted from marine macroalgae (Ulva intestinalis and Gracilariopsis persica) on growth performance, fatty acid profile, and immune response of rainbow trout (Oncorhynchus mykiss). J. Appl. Phycol. 2019, 31, 4021–4035. [Google Scholar] [CrossRef]
- AOAC, Association of Official Analytical Chemists. Official Methods of Analysis of the Association of Official Analytical Chemists, 15th ed.; Association of Official Analytical Chemists: Rockville, MD, USA, 2003. [Google Scholar]
- Liang, H.L.; Ji, K.; Ge, X.P.; Xi, B.W.; Ren, M.C.; Zhang, L.; Chen, X.R. Tributyrin Plays an Important Role in Regulating the Growth and Health Status of Juvenile Blunt Snout Bream (Megalobrama amblycephala), as Evidenced by Pathological Examination. Front. Immunol. 2021, 12, 652294. [Google Scholar] [CrossRef]
- Pfaffl, M.W. A new mathematical model for relative quantification in real-time RT-PCR. Nucleic Acids Res. 2001, 29, E45. [Google Scholar] [CrossRef] [PubMed]
- Yin, P.; Xie, S.W.; Huo, Y.J.; Guo, T.Y.; Fang, H.H.; Zhang, Y.M.; Liu, Y.J.; Tian, L.X.; Niu, J. Effects of dietary oxidized fish oil on growth performance, antioxidant defense system, apoptosis and mitochondrial function of juvenile largemouth bass (Micropterus salmoides). Aquaculture 2019, 500, 347–358. [Google Scholar] [CrossRef]
- Zhao, L.L.; Liang, J.; Chen, F.K.; Tang, X.H.; Liao, L.; Liu, Q.; Du, Z.J.; Li, Z.Q.; Luo, W.; Yang, S.; et al. High carbohydrate diet induced endoplasmic reticulum stress and oxidative stress, promoted inflammation and apoptosis, impaired intestinal barrier of juvenile largemouth bass (Micropterus salmoides). Fish Shellfish Immunol. 2021, 119, 308–317. [Google Scholar] [CrossRef] [PubMed]
- Lin, H.B.; Liang, P.; Zhu, Q.G.; Qiu, M.L. Effects of seaweed polysaccharide on growth performance and immunity of large yellow croaker. China Feed 2017, 19, 40–44. [Google Scholar] [CrossRef]
- Tan, L.J.; Lin, H.Z.; Huang, Z.; Zhou, C.P.; Xun, P.W.; Huang, Q.Q.; Yu, W.F.; Huang, X.L.; Yu, W. Effects of Lycium barbarum Polysaccharide on Growth Performance, Antioxidant Capacity, Serum Immune and Biochemical Indexes of Juvenile Golden Pompano (Trachinotus ovatus). Chin. J. Anim. Nutr. 2019, 31, 418–427. [Google Scholar] [CrossRef]
- Jacob, J.P.; Pescatore, A.J. Barley β-glucan in poultry diets. Ann. Transl. Med. 2014, 2, 20. [Google Scholar] [CrossRef] [PubMed]
- Inoki, K.; Ouyang, H.; Li, Y.; Guan, K.L. Signaling by target of rapamycin proteins in cell growth control. Microbiol. Mol. Biol. Rev. 2005, 69, 79–100. [Google Scholar] [CrossRef]
- Sabatini, D.M. Twenty-five years of mTOR: Uncovering the link from nutrients to growth. Proc. Natl. Acad. Sci. USA 2017, 114, 11818–11825. [Google Scholar] [CrossRef] [PubMed]
- Gow, D.J.; Sester, D.P.; Hume, D.A. CSF-1, IGF-1, and the control of postnatal growth and development. J. Leukoc. Biol. 2010, 88, 475–481. [Google Scholar] [CrossRef] [PubMed]
- Gabriel, N.N.; Wilhelm, M.R.; Habte-Tsion, H.; Chimwamurombe, P.; Omoregie, E. Dietary garlic (Allium sativum) crude polysaccharides supplementation on growth, haematological parameters, whole body composition and survival at low water pH challenge in African catfish (Clarias gariepinus) juveniles. Sci. Afr. 2019, 5, e00128. [Google Scholar] [CrossRef]
- Li, X.Y.; Zheng, S.X.; Cheng, K.M.; Ma, X.K.; Wu, G.Y. Use of alternative protein sources for fishmeal replacement in the diet of largemouth bass (Micropterus salmoides). Part II: Effects of supplementation with methionine or taurine on growth, feed utilization, and health. Amino Acids 2021, 53, 49–62. [Google Scholar] [CrossRef]
- Ye, H.; Wang, K.Q.; Zhou, C.H.; Liu, J.; Zeng, X.X. Purification antitumor and antioxidant activities in vitro of polysaccharides from the brown seaweed Sargassum pallidum. Food Chem. 2008, 111, 428–432. [Google Scholar] [CrossRef]
- Hang, D.; Kang, N.S.; Pyo, S.; Billiar, T.R.; Sohn, E.H. Differential regulation by fucoidan of IFN-γ-induced NO production in glial cells and macrophages. J. Cell. Biochem. 2010, 111, 1337–1345. [Google Scholar] [CrossRef]
- Hu, J.R.; Zhu, X.F.; Li, G.L.; Zhao, H.X.; Wang, G.X.; Huang, W.Q.; Huang, Y.H. Effects of dietary β-glucan on growth, body composition and antioxidant capacity of largemouth bass (Micropterus salmoides). Freshw. Fish. 2023, 53, 43–49. [Google Scholar] [CrossRef]
- Liu, X.J.; Ni, H. Progress in the Application of Seaweed Polysaccharides in Dairy Industry. J. Dairy Sci. Technol. 2021, 6, 31–38. [Google Scholar] [CrossRef]
- Wang, J.; Hu, S.; Nie, S.; Yu, Q.; Xie, M. Reviews on mechanisms of in vitro antioxidant activity of polysaccharides. Oxidative Med. Cell. Longev. 2016, 64, 5692852. [Google Scholar] [CrossRef] [PubMed]
- Rajasekar, P.; Palanisamy, S.; Anjali, R.; Vinosha, M.; Elakkiya, M.; Marudhupandi, T.; Tabarsa, M.; You, S.G.; Prabhu, N.M. Isolation and structural characterization of sulfated polysaccharide from Spirulina platensis and its bioactive potential: In vitro antioxidant, antibacterial activity and zebrafish growth and reproductive performance. Int. J. Biol. Macromol. 2019, 141, 809–821. [Google Scholar] [CrossRef]
- Abdala Diaz, R.T.; Casas Arrojo, V.; Arrojo Agudo, M.A.; Cardenas, C.; Dobretsov, S.; Figueroa, F.L. Immunomodulatory and antioxidant activities of sulfated polysaccharides from Laminaria ochroleuca, Porphyra umbilicalis, and Gelidium corneum. Mar. Biotechnol. 2019, 21, 577–587. [Google Scholar] [CrossRef] [PubMed]
- Zhong, Y.; Han, S.Y.; Chen, J. Development of Study on Immunomodulatory Activity of Seaweed Polysaccharide. China Food Saf. Mag. 2022, 31, 116–120. [Google Scholar] [CrossRef]
- Ye, J.; Chen, D.H.; Ye, Z.C.; Huang, Y.Y.; Zhang, N.; Liu, E.M.K.; Xue, A.H.; Miao, M.T. Fucoidan isolated from Saccharina japonica inhibits LPS-induced inflammation in macrophages via blocking NF-κB, MAPK and JAK-STAT Pathways. Mar. Drugs 2020, 18, 328. [Google Scholar] [CrossRef]
- Wang, L.; Oh, J.Y.; Yang, H.W.; Fu, X.T.; Kim, J.; Jeon, Y.J. Fucoidan isolated from the popular edible brown seaweed Sargassum fusiforme suppresses lipopolysaccharide-induced inflammation by blocking NF-κB signal pathway. J. Appl. Phycol. 2021, 33, 1845–1852. [Google Scholar] [CrossRef]
- Su, L.W.; Song, F.Q.; Yang, X.M.; Xie, L. The effect of Laminaria Polysaecharide on inflammatory stress induced by lipopolysaccharide in vascular endothelial cells. Lingnan J. Emerg. Med. 2017, 6, 513–516. [Google Scholar] [CrossRef]
- Tian, B.; Liu, J. Immune intervention of porphyra polysaccharide to T cell subsets and cell factor in suckling mouse model of enterovirus 71 infection. Chin. J. Biol. 2018, 2, 145–149. [Google Scholar] [CrossRef]
- Chen, Y.; Zheng, Y.K.; Li, D.B.; Xing, Y.Y. Effects of plant polysaccharides on endoplasmic reticulum stress-mediated apoptosis, inflammation and oxidative damage of animal cells and their mechanisms. Chin. J. Anim. Nutr. 2023, 35, 7641–7647. [Google Scholar] [CrossRef]
- Oliver, O.; Kerstin, S.; Ulrich, D.; Dietrich, D.R. L-BMAA Induced ER Stress and Enhanced Caspase 12 Cleavage in Human Neuroblastoma SH-SY5Y Cells at Low Nonexcitotoxic Concentration. Toxicol. Sci. 2013, 131, 217–224. [Google Scholar] [CrossRef]
- Mozzini, C.; Cominacini, L.; Garbin, U.; Fratta Pasini, A.M. Endoplasmic Reticulum Stress, NRF2 Signalling and Cardiovascular Diseases in a Nutshell. Curr. Atheroscler. Rep. 2017, 19, 33. [Google Scholar] [CrossRef]
- Hu, C.C.; Bi, H.M.; Zhang, Y.M.; Ouyang, J.P. Effect of Astragalus Polysaccharide (APS) on CHOP Expression in the Hepatic Tissue of Type 2 Diabetic Rats. Chin. J. Microcirc. 2010, 20, 12. [Google Scholar] [CrossRef]
- Li, L.J.; Wan, S.F.; Li, R.K.; Zhang, L.; Yang, Y.L.; Zhang, Y.N.; Xun, M.Q. Effects of Hedysarum Polybotrys Polysaccharide on the Smooth Muscle of Gastric Antrum Tissue in Diabetic Gastroparesis Rats Based on ATF6/CHOP Pathway. Chin. J. Inf. Tradit. Chin. Med. 2022, 11, 62–72. [Google Scholar] [CrossRef]
- Song, S.; Tan, J.; Miao, Y.; Li, M.; Zhang, Q. Crosstalk of autophagy and apoptosis: Involvement of the dual role of autophagy under ER stress. J. Cell. Physiol. 2017, 232, 2977–2984. [Google Scholar] [CrossRef] [PubMed]






| Ingredients | |||
|---|---|---|---|
| Fish meal | 25.00 | Fish oil | 2.80 |
| Domestic poultry by product meal | 12.00 | Soybean oil | 5.00 |
| Soya protein concentrate | 12.57 | Mono-calcium Phosphate | 3.08 |
| Soybean meal | 15.77 | Mineral and Vitamin premix | 2.00 |
| Wheat gluten | 2.90 | Choline Chloride | 0.50 |
| Porcine hemoglobin meal | 5.12 | Vitamin C | 0.10 |
| Wheat flour | 8.00 | Lysine | 0.03 |
| Tapioca starch | 5.00 | Methionine | 0.13 |
| Total | 100.0 | ||
| Analyzed proximate composition | |||
| Crude protein (%) | 47.37 ± 0.08 | ||
| Crude lipid (%) | 11.61 ± 0.15 |
| Items | Methods | Assay Kits/Testing Equipment |
|---|---|---|
| Composition of diets/ingredients | ||
| Moisture | Drying method | Electric blast drying oven (Shanghai Yiheng Scientific Instrument Co., Ltd., Shanghai, China) |
| Protein | Kjeldahl | Auto kieldahl apparatus: Hanon K1100 (Jinan Hanon Instruments Co., Ltd., Jinan, China) |
| Lipid | Soxhlet | Auto fat analyzer: Hanon SOX606 (Jinan Hanon Instruments Co., Ltd., Jinan, China) |
| Ash | Combustion | Muffle: XL- 2A (Hangzhou Zhuochi Instrument, Hangzhou, China) |
| Plasma parameters related to antioxidant capacity | ||
| SOD 1 | WST-1 method | Assay kits purchased from Jian Cheng Bioengineering Institute (Nanjing, China); Spectrophotometer (Thermo Fisher Multiskan GO, Shanghai, China). |
| T-AOC 2 | ABTS method | |
| GSH 3 | Microplate method | |
| GSH-Px 4 | Colorimetric method | |
| MDA 5 | TBA method | |
| CAT 6 | Ammonium molybdenum acid method | |
| Genes | Primer Sequence (5′-3′) | Accession Number/Reference | |
|---|---|---|---|
| tor | Forward | TTTGGAACCAAACCCCGTCA | XM_038723321.1 |
| Reverse | ATCAGCTCACGGCAGTATCG | ||
| s6k | Forward | TCCAGAGACTCGTGACACCT | XM_038713349.1 |
| Reverse | AGCTTGGCATACTCTGAGGC | ||
| 4ebp1 | Forward | CCAGGATCATCTATGACCGAAAG | XM_038703879.1 |
| Reverse | TGCAGCGATATTGTTGTTGTTC | ||
| igf1 | Forward | CCTCTGCCTGTGTATAATCA | XM_038738328.1 |
| Reverse | TGTCCGTCTTAGCCATCT | ||
| nfκb | Forward | AGAAGACGACTCGGGGATGA | XM_038699793.1 |
| Reverse | GCTTCTGCAGGTTCTGGTCT | ||
| tnfα | Forward | CTTCGTCTACAGCCAGGCATCG | XM_038710731.1 |
| Reverse | TTTGGCACACCGACCTCACC | ||
| il-8 | Forward | GAGGGTACATGTCTGGGGGA | XM_038713529.1 |
| Reverse | CCTTGAAGGTTTGTTCTTCATCGT | ||
| il-10 | Forward | CGGCACAGAAATCCCAGAGC | XM_038696252.1 |
| Reverse | CAGCAGGCTCACAAAATAAACATCT | ||
| atf6 | Forward | CACCTCATAACACCTACAGT | XM_038716053.1 |
| Reverse | GCAACACCACAGACATCT | ||
| chopα | Forward | AGAGGACAGCAGCAGTAA | XM_038701049.1 |
| Reverse | GAGCGATGATGAGCAGAT | ||
| bcl-xl | Forward | CATCCTCCTTGGCTCTGG | [26] |
| Reverse | GGGTCTGTTTGCCTTTGG | ||
| bax | Forward | ACTTTGGATTACCTGCGGGA | [27] |
| Reverse | TGCCAGAAATCAGGAGCAGA | ||
| β-actin | Forward | GGTGTGATGGTTGGTATGG | MH018565.1 |
| Reverse | CTCGTTGTAGAAGGTGTGAT |
| Groups | IW (g) | FW (g) | WGR (%) | SGR (%/Day) | FCR | SR (%) |
|---|---|---|---|---|---|---|
| Control | 1.51 ± 0.01 | 7.38 ± 0.08 ab | 389.02 ± 6.74 b | 3.69 ± 0.10 b | 0.81 ± 0.01 ab | 100.00 ± 0.00 |
| 0.05SP | 1.53 ± 0.01 | 7.48 ± 0.15 b | 389.46 ± 7.79 b | 3.70 ± 0.04 b | 0.79 ± 0.03 a | 100.00 ± 0.00 |
| 0.1SP | 1.52 ± 0.01 | 7.23 ± 0.07 ab | 375.99 ± 5.16 ab | 3.63 ± 0.03 ab | 0.82 ± 0.01 ab | 100.00 ± 0.00 |
| 0.15SP | 1.52 ± 0.01 | 7.22 ± 0.16 ab | 374.92 ± 12.62 ab | 3.62 ± 0.06 ab | 0.83 ± 0.02 ab | 100.00 ± 0.00 |
| 0.2SP | 1.51 ± 0.01 | 7.01 ± 0.03 a | 360.93 ± 3.54 a | 3.55 ± 0.02 a | 0.85 ± 0.01 b | 100.00 ± 0.00 |
| p-value | ||||||
| Linear trend | 0.471 | 0.018 | 0.017 | 0.015 | 0.050 | — |
| Quadratic trend | 0.540 | 0.398 | 0.586 | 0.536 | 0.357 | — |
| Groups | Moisture (%) | Crude Protein (%) | Crude Lipid (%) | Crude Ash (%) |
|---|---|---|---|---|
| Control | 75.87 ± 0.66 | 14.53 ± 0.13 | 5.67 ± 0.89 | 3.01 ± 0.14 |
| 0.05SP | 76.71 ± 0.17 | 14.61 ± 0.11 | 5.28 ± 0.28 | 3.06 ± 0.05 |
| 0.1SP | 76.83 ± 0.38 | 14.14 ± 0.30 | 5.79 ± 0.32 | 2.89 ± 0.09 |
| 0.15SP | 76.53 ± 0.53 | 14.13 ± 0.22 | 5.69 ± 0.46 | 3.05 ± 0.11 |
| 0.2SP | 76.27 ± 0.54 | 14.18 ± 0.11 | 6.54 ± 0.51 | 3.08 ± 0.13 |
| p-value | ||||
| Linear trend | 0.692 | 0.077 | 0.234 | 0.703 |
| Quadratic trend | 0.176 | 0.582 | 0.373 | 0.472 |
| Groups | CAT (U/mgprot) | SOD (U/mgprot) | GSH (μmol/gprot) | GSH-Px (U/mgprot) | T-AOC (mmol/gprot) | MDA (nmol/mgprot) |
|---|---|---|---|---|---|---|
| Control | 15.84 ± 2.17 a | 7.09 ± 0.23 | 0.26 ± 0.09 | 12.19 ± 1.29 a | 0.25 ± 0.03 | 0.48 ± 0.15 |
| 0.05SP | 24.49 ± 2.92 b | 6.92 ± 0.29 | 0.22 ± 0.04 | 13.73 ± 1.26 ab | 0.24 ± 0.03 | 0.47 ± 0.08 |
| 0.1SP | 26.55 ± 1.10 b | 6.44 ± 0.16 | 0.24 ± 0.09 | 12.98 ± 0.72 ab | 0.27 ± 0.03 | 0.46 ± 0.07 |
| 0.15SP | 21.44 ± 2.54 ab | 7.03 ± 0.37 | 0.21 ± 0.06 | 16.19 ± 0.77 b | 0.23 ± 0.05 | 0.57 ± 0.05 |
| 0.2SP | 21.68 ± 2.74 ab | 6.31 ± 0.32 | 0.18 ± 0.07 | 14.21 ± 1.14 ab | 0.26 ± 0.06 | 0.71 ± 0.09 |
| p-value | ||||||
| Linear trend | 0.305 | 0.162 | 0.473 | 0.089 | 0.957 | 0.068 |
| Quadratic trend | 0.008 | 0.979 | 0.997 | 0.380 | 0.946 | 0.243 |
Disclaimer/Publisher’s Note: The statements, opinions and data contained in all publications are solely those of the individual author(s) and contributor(s) and not of MDPI and/or the editor(s). MDPI and/or the editor(s) disclaim responsibility for any injury to people or property resulting from any ideas, methods, instructions or products referred to in the content. |
© 2025 by the authors. Licensee MDPI, Basel, Switzerland. This article is an open access article distributed under the terms and conditions of the Creative Commons Attribution (CC BY) license (https://creativecommons.org/licenses/by/4.0/).
Share and Cite
Huang, D.; Gu, J.; Liang, H.; Ren, M.; Xue, C. Effects of Seaweed Polysaccharide on the Growth and Physiological Health of Largemouth Bass, Micropterus salmoides. Antioxidants 2025, 14, 52. https://doi.org/10.3390/antiox14010052
Huang D, Gu J, Liang H, Ren M, Xue C. Effects of Seaweed Polysaccharide on the Growth and Physiological Health of Largemouth Bass, Micropterus salmoides. Antioxidants. 2025; 14(1):52. https://doi.org/10.3390/antiox14010052
Chicago/Turabian StyleHuang, Dongyu, Jiaze Gu, Hualiang Liang, Mingchun Ren, and Chunyu Xue. 2025. "Effects of Seaweed Polysaccharide on the Growth and Physiological Health of Largemouth Bass, Micropterus salmoides" Antioxidants 14, no. 1: 52. https://doi.org/10.3390/antiox14010052
APA StyleHuang, D., Gu, J., Liang, H., Ren, M., & Xue, C. (2025). Effects of Seaweed Polysaccharide on the Growth and Physiological Health of Largemouth Bass, Micropterus salmoides. Antioxidants, 14(1), 52. https://doi.org/10.3390/antiox14010052

