Saussurea lappa Ethanolic Extract Attenuates Triamcinolone Acetonide-Induced Pulmonary and Splenic Tissue Damage in Rats via Modulation of Oxidative Stress, Inflammation, and Apoptosis
Abstract
1. Introduction
2. Materials and Methods
2.1. Plant Material Extraction
2.2. Gas Chromatography/Mass Spectrometry Analysis (GC–MS) of S. lappa Ethanol Extract
2.3. Tested Drugs, Chemicals, and Reagents
2.4. Animal Grouping and Experimental Design
- Gp. 1 (control): Each rat was orally administered 1 ml distilled water for three successive weeks.
- Gp. 2 (S. lappa): Each rat orally received 600 mg S. lappa ethanolic extract/kg daily via a gastric tube [10] for three weeks.
- Gp. 3 (TA): Each rat was orally administered distilled water (1 ml/rat) for one week, then intraperitoneally injected with 40 mg/kg of TA twice a week for two weeks [38].
- Gp. 4 (co-treated): Each rat was orally administered distilled water (1 mL/rat) for one week, then concurrently treated with TA and S. lappa extract for two weeks by the same previous doses and routes.
- Gp. 5 (prophylactic group): Each rat received S. lappa extract for one week, and then was concurrently treated with TA and S. lappa extract for two weeks by the same previous doses and routes. Rats were given their S. Lappa dose via gastric gavage needle in 1 mL distilled water.
2.5. Blood and Tissue Sampling
2.6. Hematological Studies
2.7. Analysis of Inflammatory Markers and Immunoglobulins Level
2.8. Screening of Lipid Peroxidation and Antioxidant Enzymes
2.9. Histopathological Investigation
2.10. Immuno-Histochemical Technique
2.11. Statistical Analysis
3. Results
3.1. GC-MS Profile of S. lappa Ethanolic Extract
3.2. Body and Organ Weight Changes
3.3. Hematological Findings
3.4. Inflammatory and Immunological Markers
3.5. Tissue Antioxidative Status and Lipid Peroxidation
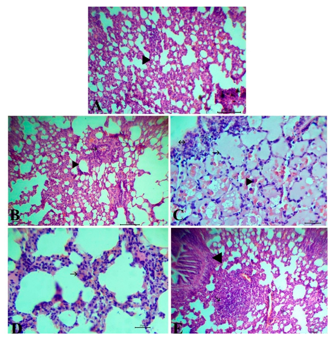
3.6. Histopathological Observation of Lung and Spleen
3.7. Immunohistochemical Results
4. Discussion
5. Conclusions
Author Contributions
Funding
Acknowledgments
Conflicts of Interest
Abbreviations
| CRP | C-reactive protein |
| GC–MS | gas chromatography/mass spectrometry analysis |
| GCs | glucocorticoids |
| GPx | glutathione peroxidase |
| IgG | immunoglobulins G |
| IgM | immunoglobulins M |
| IL-12 | interleukin-12 |
| MDA | malondialdehyde |
| NO | nitric oxide |
| ROS | reactive oxygen species |
| SOD | superoxide dismutase |
| TA | triamcinolone acetonide |
| TNF-α | tumor necrosis factor-alpha |
References
- Deavall, D.G.; Martin, E.A.; Horner, J.M.; Roberts, R. Drug-induced oxidative stress and toxicity. J. Toxicol. 2012, 2012. [Google Scholar] [CrossRef] [PubMed]
- Mohamed, W.A.; Abd-Elhakim, Y.M.; Ismail, S.A. Involvement of the anti-inflammatory, anti-apoptotic, and anti-secretory activity of bee venom in its therapeutic effects on acetylsalicylic acid-induced gastric ulceration in rats. Toxicology 2019, 419, 11–23. [Google Scholar] [CrossRef] [PubMed]
- Fan, W. The Role of Potential Antioxidant in Medicinal Drug-Induced Oxidative Stress. Ph.D. Thesis, Missouri University of Science and Technology, Rolla, MI, USA, 2014. [Google Scholar]
- Press, N.J.; Joly, E.; Ertl, P. Chapter Four—Natural product drug delivery: A special challenge? In Progress in Medicinal Chemistry; Witty, D.R., Cox, B., Eds.; Elsevier: Amsterdam, The Netherlands, 2019; Volume 58, pp. 157–187. [Google Scholar]
- Patwardhan, B.; Gautam, M. Botanical immunodrugs: Scope and opportunities. Drug Discov. Today 2005, 10, 495–502. [Google Scholar] [CrossRef]
- Abd-Elhakim, Y.M.; El Bohi, K.M.; Hassan, S.K.; El Sayed, S.; Abd-Elmotal, S.M. Palliative effects of Moringa olifera ethanolic extract on hemato-immunologic impacts of melamine in rats. Food Chem. Toxicol. 2018, 114, 1–10. [Google Scholar] [CrossRef] [PubMed]
- Abd-Elhakim, Y.M.; Mohamed, W.A.M. Assessment of the role of thymol in combating chromium (VI)-induced oxidative stress in isolated rat erythrocytes in vitro. Toxicol. Environ. Chem. 2016, 98, 1227–1240. [Google Scholar] [CrossRef]
- Zahara, K.; Tabassum, S.; Sabir, S.; Arshad, M.; Qureshi, R.; Amjad, M.S.; Chaudhari, S.K. A review of therapeutic potential of Saussurea lappa-An endangered plant from Himalaya. Asian Pac. J. Trop. Med. 2014, 7, S60–S69. [Google Scholar] [CrossRef]
- Chang, K.M.; Choi, S.I.; Kim, G.H. Anti-oxidant Activity of Saussurea lappa C.B. Clarke Roots. Prev. Nutr. Food Sci. 2012, 17, 306–309. [Google Scholar] [CrossRef]
- Tag, H.M.; Khaled, H.E.; Ismail, H.A.; El-Shenawy, N.S. Evaluation of anti-inflammatory potential of the ethanolic extract of the Saussurea lappa root (costus) on adjuvant-induced monoarthritis in rats. J. Basic Clin. Physiol. Pharm. 2016, 27, 71–78. [Google Scholar] [CrossRef]
- Sutar, N.; Garai, R.; Shankar Sharma, U.; Singh, N.; Deb Roy, S. Antiulcerogenic activity of Saussurea lappa root. Int. J. Pharm. Life Sci. 2011, 2, 516–520. [Google Scholar]
- Damre, A.A.; Damre, A.S.; Saraf, M.N. Evaluation of sesquiterpene lactone fraction of Saussurea lappa on transudative, exudative and proliferative phases of inflammation. Phytother. Res. 2003, 17, 722–725. [Google Scholar] [CrossRef]
- Cho, J.Y.; Baik, K.U.; Jung, J.H.; Park, M.H. In vitro anti-inflammatory effects of cynaropicrin, a sesquiterpene lactone, from Saussurea lappa. Eur. J. Pharmacol. 2000, 398, 399–407. [Google Scholar] [CrossRef]
- Abd-Elhakim, Y.M.; Ghoneim, M.H.; Khairy, M.H.; Eissa, S.A. Single or combined protective and therapeutic impact of taurine and hesperidin on carbon tetrachloride-induced acute hepatic injury in rat. Environ. Sci. Pollut. Res. 2020. [Google Scholar] [CrossRef] [PubMed]
- Frew, A.J. 86—Glucocorticoids. In Clinical Immunology, 5th ed.; Rich, R.R., Fleisher, T.A., Shearer, W.T., Schroeder, H.W., Frew, A.J., Weyand, C.M., Eds.; Elsevier: Amsterdam, The Netherlands, 2019; pp. 1165–1175. [Google Scholar] [CrossRef]
- Scherholz, M.L.; Schlesinger, N.; Androulakis, I.P. Chronopharmacology of glucocorticoids. Adv. Drug Deliv. Rev. 2019. [Google Scholar] [CrossRef]
- Kok, H.; Lau, C.; Maycock, N.; McCluskey, P.; Lightman, S. Outcome of intravitreal triamcinolone in uveitis. Ophthalmology 2005, 112, 1916.e1–1916.e7. [Google Scholar] [CrossRef] [PubMed]
- Coll, S.; Monfort, N.; Alechaga, E.; Matabosch, X.; Perez-Mana, C.; Ventura, R. Additional studies on triamcinolone acetonide use and misuse in sports: Elimination profile after intranasal and high-dose intramuscular administrations. Steroids 2019, 151, 108464. [Google Scholar] [CrossRef] [PubMed]
- Abozinadah, N.Y.; Al-Dhahri, R.Y. Effect of triamcinolone acetonide (TA) drug on surface markers in lymphocytes of male mice feeding with betacarotene. Egypt. J. Exp. Biol. 2010, 6, 39–48. [Google Scholar]
- Molleda, J.; Tardón, R.; Gallardo, J.; Martín-Suárez, E. The ocular effects of intravitreal triamcinolone acetonide in dogs. Vet. J. 2008, 176, 326–332. [Google Scholar] [CrossRef]
- Knych, H.K.; Vidal, M.; Casbeer, H.; McKemie, D. Pharmacokinetics of triamcinolone acetonide following intramuscular and intra-articular administration to exercised T horoughbred horses. Equine Vet. J. 2013, 45, 715–720. [Google Scholar] [CrossRef]
- Frisbie, D.D.; Kawcak, C.E.; Trotter, G.W.; Powers, B.E.; Walton, R.M.; McIlwraith, C.W. Effects of triamcinolone acetonide on an in vivo equine osteochondral fragment exercise model. Equine Vet. J. 1997, 29, 349–359. [Google Scholar] [CrossRef]
- Kay, A.T.; Bolt, D.M.; Ishihara, A.; Rajala-Schultz, P.J.; Bertone, A.L. Anti-inflammatory and analgesic effects of intra-articular injection of triamcinolone acetonide, mepivacaine hydrochloride, or both on lipopolysaccharide-induced lameness in horses. Am. J. Vet. Res. 2008, 69, 1646–1654. [Google Scholar] [CrossRef]
- Stelmach, I.; Grzelewski, T.; Stelmach, W.; Majak, P.; Jerzynska, J.; Gorski, P.; Kuna, P. Effect of triamcinolone acetonide, montelukast, nedocromil sodium and formoterol on eosinophil blood counts, ECP serum levels and clinical progression of asthma in children. Pol. Merkur. Lek. 2002, 12, 208–213. [Google Scholar]
- Chen, D.; Bao, W.; Wang, Q. Immunological regulations of dendritic cell in abnormal scarring tissue. Zhonghua Zheng Xing Wai Ke Za Zhi 2001, 17, 282–284. [Google Scholar] [PubMed]
- Tempfer, H.; Gehwolf, R.; Lehner, C.; Wagner, A.; Mtsariashvili, M.; Bauer, H.-C.; Resch, H.; Tauber, M. Effects of crystalline glucocorticoid triamcinolone acetonide on cultered human supraspinatus tendon cells. Acta Orthop. 2009, 80, 357–362. [Google Scholar] [CrossRef]
- Anderson, D.; Roberson, B.; Dixon, O. Immunosuppression induced by a corticosteroid of an alkylating agent in rainbow trout (Salmo gairdneri) administered in a Yersinia ruckeri bacterin. Dev. Comp. Immunol. 1982, 2, 197–204. [Google Scholar]
- Syed, F.; Bingham, B.; Johnson, M.; Markham, A.F.; Morrison, J.F. The CD4+ T lymphocyte is a site of steroid resistance in asthma. QJM 1998, 91, 567–572. [Google Scholar] [CrossRef] [PubMed][Green Version]
- Chung, H.; Hwang, J.J.; Koh, J.Y.; Kim, J.G.; Yoon, Y.H. Triamcinolone acetonide-mediated oxidative injury in retinal cell culture: Comparison with dexamethasone. Invest. Ophthalmol. Vis. Sci. 2007, 48, 5742–5749. [Google Scholar] [CrossRef]
- Inkielewicz-Stepniak, I.; Radomski, M.W.; Wozniak, M. Fisetin prevents fluoride- and dexamethasone-induced oxidative damage in osteoblast and hippocampal cells. Food Chem. Toxicol. 2012, 50, 583–589. [Google Scholar] [CrossRef]
- Harada, Y.; Kokubu, T.; Mifune, Y.; Inui, A.; Sakata, R.; Muto, T.; Takase, F.; Kurosaka, M. Dose- and time-dependent effects of triamcinolone acetonide on human rotator cuff-derived cells. Bone Jt. Res. 2014, 3, 328–334. [Google Scholar] [CrossRef][Green Version]
- Ahmed, A.; Thliveris, J.A.; Shaw, A.; Sowa, M.; Gilchrist, J.; Scott, J.E. Caspase 3 activity in isolated fetal rat lung fibroblasts and rat periodontal ligament fibroblasts: Cigarette smoke induced alterations. Tob. Induc. Dis. 2013, 11, 25. [Google Scholar] [CrossRef][Green Version]
- Nicholson, D.W.; Thornberry, N.A. Caspases: Killer proteases. Trends Biochem. Sci. 1997, 22, 299–306. [Google Scholar] [CrossRef]
- Cohen, G.M. Caspases: The executioners of apoptosis. Biochem. J. 1997, 326 Pt 1, 1–16. [Google Scholar] [CrossRef]
- McColl, K.S.; He, H.; Zhong, H.; Whitacre, C.M.; Berger, N.A.; Distelhorst, C.W. Apoptosis induction by the glucocorticoid hormone dexamethasone and the calcium-ATPase inhibitor thapsigargin involves Bc1-2 regulated caspase activation. Mol. Cell. Endocrinol. 1998, 139, 229–238. [Google Scholar] [CrossRef]
- Dorscheid, D.R.; Low, E.; Conforti, A.; Shifrin, S.; Sperling, A.I.; White, S.R. Corticosteroid-induced apoptosis in mouse airway epithelium: Effect in normal airways and after allergen-induced airway inflammation. J. Allergy Clin. Immunol. 2003, 111, 360–366. [Google Scholar] [CrossRef] [PubMed]
- Pandey, R.S. Saussurea lappa extract modulates cell mediated and humoral immune response in mice. Pharm. Lett. 2012, 4, 1868–1873. [Google Scholar]
- Qiao, J.; Kontoyiannis, D.P.; Calderone, R.; Li, D.; Ma, Y.; Wan, Z.; Li, R.; Liu, W. Afyap1, encoding a bZip transcriptional factor of Aspergillus fumigatus, contributes to oxidative stress response but is not essential to the virulence of this pathogen in mice immunosuppressed by cyclophosphamide and triamcinolone. Med. Mycol. 2008, 46, 773–782. [Google Scholar] [CrossRef] [PubMed][Green Version]
- Wang, Z.; Wang, Y.; Xu, B.; Liu, J.; Ren, Y.; Dai, Z.; Cui, D.; Su, X.; Si, S.; Song, S.J. Vitamin D improves immune function in immunosuppressant mice induced by glucocorticoid. Biomed. Rep. 2017, 6, 120–124. [Google Scholar] [CrossRef] [PubMed]
- Buttarello, M.; Plebani, M. Automated blood cell counts: State of the art. Am. J. Clin. Pathol. 2008, 130, 104–116. [Google Scholar] [CrossRef]
- Grassi, J.; Roberge, C.J.; Frobert, Y. Determination of IL-10, IL-lB and IL-2 in biological media using specific enzyme immunometric assay. Immunol. Rev. 1991, 119, 125–145. [Google Scholar] [CrossRef]
- Beutler, B.; Greenwald, D.; Hulmes, J.D.; Chang, M.; Pan, Y.C.; Mathison, J.; Ulevitch, R.; Cerami, A. Identity of tumour necrosis factor and the macrophage-secreted factor cachectin. Nature 1985, 316, 552–554. [Google Scholar] [CrossRef]
- Liuzzo, G.; Biasucci, L.M.; Gallimore, J.R.; Grillo, R.L.; Rebuzzi, A.G.; Pepys, M.B.; Maseri, A. The prognostic value of C-reactive protein and serum amyloid a protein in severe unstable angina. N. Engl. J. Med. 1994, 331, 417–424. [Google Scholar] [CrossRef] [PubMed]
- Whicher, J.T.; Price, C.P.; Spencer, K. Immunonephelometric and immunoturbidimetric assays for proteins. Crit. Rev. Clin. Lab. Sci. 1983, 18, 213–260. [Google Scholar] [CrossRef] [PubMed]
- Kakkar, P.; Das, B.; Viswanathan, P.N. A modified spectrophotometric assay of superoxide dismutase. Indian J. Biochem. Biophys. 1984, 21, 130–132. [Google Scholar] [PubMed]
- Paglia, D.E.; Valentine, W.N. Studies on the quantitative and qualitative characterization of erythrocyte glutathione peroxidase. J. Lab. Clin. Med. 1967, 70, 158–169. [Google Scholar]
- Ohkawa, H.; Ohishi, N.; Yagi, K. Assay for lipid peroxides in animal tissues by thiobarbituric acid reaction. Anal. Biochem. 1979, 95, 351–358. [Google Scholar] [CrossRef]
- Suvarna, K.S.; Layton, C.; Bancroft, J.D. Bancroft’s Theory and Practice of Histological Techniques E-Book; Elsevier Health Sciences: Amsterdam, The Netherlands, 2018. [Google Scholar]
- Soliman, M.M.; Abdo Nassan, M.; Ismail, T.A. Immunohistochemical and molecular study on the protective effect of curcumin against hepatic toxicity induced by paracetamol in Wistar rats. BMC Complement. Altern. Med. 2014, 14, 457. [Google Scholar] [CrossRef] [PubMed]
- Abd-Elhakim, Y.M.; El-Sharkawy, N.I.; Mohammed, H.H.; Ebraheim, L.L.M.; Shalaby, M.A. Camel milk rescues neurotoxic impairments induced by fenpropathrin via regulating oxidative stress, apoptotic, and inflammatory events in the brain of rats. Food Chem. Toxicol. 2020, 135, 111055. [Google Scholar] [CrossRef] [PubMed]
- Hashem, M.A.; Shoeeb, S.B.A.; Abd-Elhakim, Y.M.; Mohamed, W.A.M. The antitumor activity of Arthrospira platensis and/or cisplatin in a murine model of Ehrlich ascites carcinoma with hematinic and hepato-renal protective action. J. Funct. Foods 2020, 66, 103831. [Google Scholar] [CrossRef]
- Abd El-Hakim, Y.M.; Mohamed, W.A.; El-Metwally, A.E. Spirulina platensis attenuates furan reprotoxicity by regulating oxidative stress, inflammation, and apoptosis in testis of rats. Ecotoxicol. Environ. Saf. 2018, 161, 25–33. [Google Scholar] [CrossRef] [PubMed]
- Mohamed, W.A.; Ismail, S.A.; El-Hakim, Y.M.A. Spirulina platensis ameliorative effect against GSM 900-MHz cellular phone radiation-induced genotoxicity in male Sprague-Dawley rats. Comp. Clin. Pathol. 2014, 23, 1719–1726. [Google Scholar] [CrossRef]
- Mohamed, W.A.M.; Abd-Elhakim, Y.M.; Farouk, S.M. Protective effects of ethanolic extract of rosemary against lead-induced hepato-renal damage in rabbits. Exp. Toxicol. Pathol. 2016, 68, 451–461. [Google Scholar] [CrossRef] [PubMed]
- Elewa, Y.H.A.; Mohamed, A.A.R.; Galal, A.A.A.; El-naseery, N.I.; Ichii, O.; Kon, Y. Food Yellow4 reprotoxicity in relation to localization of DMC1 and apoptosis in rat testes: Roles of royal jelly and cod liver oil. Ecotoxicol. Environ. Saf. 2019, 169, 696–706. [Google Scholar] [CrossRef]
- Alnahdi, H.S. Injury in metabolic gland induced by pyrethroid insecticide could be reduced by aqueous extract of sassura lappa. Int. J. Pharm. Res. Allied Sci. 2017, 6, 86–97. [Google Scholar]
- Kadhem, M. Protective of ethanolic extract of Saussurea lappa against paracetamol-induced hepatic and renal damage in male rabbits. Asian J. Pharm. Clin. Res. 2019, 12, 68–73. [Google Scholar] [CrossRef]
- Fan, G.; Ren, H.; Yuan, Y.; Lui, H. Effect of Saussurea involucrata Kar Et Kir Ex maxim flavone on murine immunology function. J. Xi’an Med. Univ. 1996, 17, 452–454. [Google Scholar]
- Tang, J.I.; Seckl, J.R.; Nyirenda, M.J. Prenatal glucocorticoid overexposure causes permanent increases in renal erythropoietin expression and red blood cell mass in the rat offspring. Endocrinology 2011, 152, 2716–2721. [Google Scholar] [CrossRef]
- Makita, T.; Duncan, S.A.; Sucov, H.M. Retinoic acid, hypoxia, and GATA factors cooperatively control the onset of fetal liver erythropoietin expression and erythropoietic differentiation. Dev. Biol. 2005, 280, 59–72. [Google Scholar] [CrossRef]
- Ohkaru, Y.; Arai, N.; Ohno, H.; Sato, S.; Sakakibara, Y.; Suzuki, H.; Aritoshi, S.; Akimoto, S.; Ban, T.; Tanihata, J.; et al. Acute and Subacute Effects of Dexamethasone on the Number of White Blood Cells in Rats. J. Health Sci. 2010, 56, 215–220. [Google Scholar] [CrossRef]
- Dhabhar, F.S. Enhancing versus suppressive effects of stress on immune function: Implications for immunoprotection and immunopathology. Neuroimmunomodulation 2009, 16, 300–317. [Google Scholar] [CrossRef]
- Ronchetti, S.; Ricci, E.; Migliorati, G.; Gentili, M.; Riccardi, C. How glucocorticoids affect the neutrophil life. Int. J. Mol. Sci. 2018, 19, 4090. [Google Scholar] [CrossRef]
- Cox, G. Glucocorticoid treatment inhibits apoptosis in human neutrophils. Separation of survival and activation outcomes. J. Immunol. 1995, 154, 4719–4725. [Google Scholar]
- Weber, P.S.; Toelboell, T.; Chang, L.C.; Tirrell, J.D.; Saama, P.M.; Smith, G.W.; Burton, J.L. Mechanisms of glucocorticoid-induced down-regulation of neutrophil L-selectin in cattle: Evidence for effects at the gene-expression level and primarily on blood neutrophils. J. Leukoc. Biol. 2004, 75, 815–827. [Google Scholar] [CrossRef]
- Nittoh, T.; Fujimori, H.; Kozumi, Y.; Ishihara, K.; Mue, S.; Ohuchi, K. Effects of glucocorticoids on apoptosis of infiltrated eosinophils and neutrophils in rats. Eur. J. Pharmacol. 1998, 354, 73–81. [Google Scholar] [CrossRef]
- Petru, C.D.; Noboru, W.; Mitsuaki, I. Apoptosis of peripheral blood lymphocytes is induced by catecholamines. Jpn. Heart J. 2000, 41, 385–398. [Google Scholar] [CrossRef]
- Yoshimura, C.; Miyamasu, M.; Nagase, H.; Iikura, M.; Yamaguchi, M.; Kawanami, O.; Morita, Y.; Iwata, T.; Yamamoto, K.; Hirai, K. Glucocorticoids induce basophil apoptosis. J. Allergy Clin. Immunol. 2001, 108, 215–220. [Google Scholar] [CrossRef]
- Meagher, L.C.; Cousin, J.M.; Seckl, J.R.; Haslett, C. Opposing effects of glucocorticoids on the rate of apoptosis in neutrophilic and eosinophilic granulocytes. J. Immunol. 1996, 156, 4422–4428. [Google Scholar]
- Grace, U.; Steve, O.; Teddy, E.; Shakirat, B. Immunostimulatory and biochemical effects of ethanolic extract of Mangiferaindica stem bark on dexamethasone-induced immunosuppressed male rats. Int. J. Pharm. Pharm. Sci. 2013, 5, 569–572. [Google Scholar]
- Anafi, S.B.; Kwanashie, H.O.; Anuka, J.A. Study on the effect of dexamethasone as an immunosuppressive agent on some blood parameters in wistar rats. Niger. J. Pharm. Sci. 2014, 13, 20–27. [Google Scholar]
- Choi, E.M.; Kim, G.-H.; Lee, Y.S. Protective effects of dehydrocostus lactone against hydrogen peroxide-induced dysfunction and oxidative stress in osteoblastic MC3T3-E1 cells. Toxicol. Vitr. 2009, 23, 862–867. [Google Scholar] [CrossRef]
- Zhao, Q.; Chen, A.; Wang, X.; Zhang, Z.; Zhao, Y.; Huang, Y.; Ren, S.; Zhu, Y. Protective effects of dehydrocostuslactone on rat hippocampal slice injury induced by oxygenglucose deprivation/reoxygenation. Int. J. Mol. Med. 2018, 42, 1190–1198. [Google Scholar] [CrossRef]
- Butturini, E.; Cavalieri, E.; de Prati, A.C.; Darra, E.; Rigo, A.; Shoji, K.; Murayama, N.; Yamazaki, H.; Watanabe, Y.; Suzuki, H. Two naturally occurring terpenes, dehydrocostuslactone and costunolide, decrease intracellular GSH content and inhibit STAT3 activation. PLoS ONE 2011, 6, e20174. [Google Scholar] [CrossRef]
- Jeong, G.-S.; Pae, H.-O.; Jeong, S.-O.; Kim, Y.-C.; Kwon, T.-O.; Lee, H.S.; Kim, N.-S.; Park, S.D.; Chung, H.-T. The α-methylene-γ-butyrolactone moiety in dehydrocostus lactone is responsible for cytoprotective heme oxygenase-1 expression through activation of the nuclear factor E2-related factor 2 in HepG2 cells. Eur. J. Pharmacol. 2007, 565, 37–44. [Google Scholar] [CrossRef]
- Park, E.J.; Park, S.W.; Kim, H.J.; Kwak, J.H.; Lee, D.U.; Chang, K.C. Dehydrocostuslactone inhibits LPS-induced inflammation by p38MAPK-dependent induction of hemeoxygenase-1 in vitro and improves survival of mice in CLP-induced sepsis in vivo. Int. Immunopharmacol. 2014, 22, 332–340. [Google Scholar] [CrossRef]
- Sunkara, Y.; Robinson, A.; Babu, K.; Naidu, V.; Vishnuvardhan, M.; Ramakrishna, S.; Madhavendra, S.; Rao, J. Anti-inflammatory and cytotoxic activity of chloroform extract of roots of Saussurea lappa Clarke. J. Pharm. Res. 2010, 3, 1775–1778. [Google Scholar]
- Lim, H.S.; Jin, S.E.; Kim, O.S.; Shin, H.K.; Jeong, S.J. Alantolactone from Saussurea lappa Exerts Antiinflammatory Effects by Inhibiting Chemokine Production and STAT1 Phosphorylation in TNF-alpha and IFN-gamma-induced in HaCaT cells. Phytother. Res. 2015, 29, 1088–1096. [Google Scholar] [CrossRef]
- Mortensen, R.F. C-reactive protein, inflammation, and innate immunity. Immunol. Res. 2001, 24, 163–176. [Google Scholar] [CrossRef]
- Vieira, P.L.; Kalinski, P.; Wierenga, E.A.; Kapsenberg, M.L.; de Jong, E.C. Glucocorticoids inhibit bioactive IL-12p70 production by in vitro-generated human dendritic cells without affecting their T cell stimulatory potential. J. Immunol. 1998, 161, 5245–5251. [Google Scholar]
- Wu, C.Y.; Wang, K.; McDyer, J.F.; Seder, R.A. Prostaglandin E2 and dexamethasone inhibit IL-12 receptor expression and IL-12 responsiveness. J. Immunol. 1998, 161, 2723–2730. [Google Scholar]
- Siebelt, M.; Korthagen, N.; Wei, W.; Groen, H.; Bastiaansen-Jenniskens, Y.; Muller, C.; Waarsing, J.H.; de Jong, M.; Weinans, H. Triamcinolone acetonide activates an anti-inflammatory and folate receptor-positive macrophage that prevents osteophytosis in vivo. Arthritis Res. Ther. 2015, 17, 352. [Google Scholar] [CrossRef]
- Ardiana, O.; Rifa’i, M. The effect of dexamethasone treatment to humoral immunity in BALB/C mice models. Biotropika: J. Trop. Biol. 2015, 3, 112–116. [Google Scholar]
- Imai, T.; Sato, T.; Fujita, T. Inhibitory effect of glucocorticoid on complement activation induced by lipopolysaccharide. Circ Shock 1982, 9, 55–62. [Google Scholar]
- Chen, L.; Jondal, M.; Yakimchuk, K. Regulatory effects of dexamethasone on NK and T cell immunity. Inflammopharmacology 2018, 26, 1331–1338. [Google Scholar] [CrossRef]
- Kumari, P.; Singh, S.; Dimri, U.; Kataria, M.; Ahlawat, S. Immunostimulatory activities of Withania somnifera root extract in dexamethasone induced immunocompromised mice and in vitro model. Asian J. Complement. Altern. Med. 2014, 2, 6–10. [Google Scholar]
- Pashikanti, G.; Kulundaivelu, U.; Jupalli, V.; Sheshagiri, S.B.; Eggadi, V. Anti-arthritic activity of ethanolic extract from the leaves of Commiphora caudata (Linn.) in complete Freund’s adjuvant-induced arthritic rats. Niger. J. Exp. Clin. Biosci. 2014, 2, 42–48. [Google Scholar] [CrossRef]
- Li, J.; Du, J.; Liu, D.; Cheng, B.; Fang, F.; Weng, L.; Wang, C.; Ling, C. Ginsenoside Rh1 potentiates dexamethasone’s anti-inflammatory effects for chronic inflammatory disease by reversing dexamethasone-induced resistance. Arthritis Res. Ther. 2014, 16, R106. [Google Scholar] [CrossRef]
- Abdel-Rahman, M.; Rezk, M.M.; Ahmed-Farid, O.A.; Essam, S.; Moneim, A.E.A. Saussurea lappa root extract ameliorates the hazards effect of thorium induced oxidative stress and neuroendocrine alterations in adult male rats. Environ. Sci. Pollut. Res. 2020. [Google Scholar] [CrossRef]
- Sathuvan, M.; Vignesh, A.; Thangam, R.; Palani, P.; Rengasamy, R.; Murugesan, K. In vitro antioxidant and anticancer potential of bark of costus pictus D. Don. Asian Pac. J. Trop. Biomed. 2012, 2, S741–S749. [Google Scholar] [CrossRef]
- Benedetto, C.; D’Auria, M.; Mecca, M.; Prasad, P.; Singh, P.; Singh, S.; Sinisgalli, C.; Milella, L. Chemical and biological evaluation of essential oil from Saussurea costus (Falc.) Lipsch. from Garhwal Himalaya collected at different harvesting periods. Nat. Prod. Res. 2019, 33, 2355–2358. [Google Scholar] [CrossRef]
- Yi, J.; Zhu, R.; Wu, J.; Wu, J.; Tan, Z. Ameliorative effect of betulinic acid on oxidative damage and apoptosis in the splenocytes of dexamethasone treated mice. Int. Immunopharmacol. 2015, 27, 85–94. [Google Scholar] [CrossRef]
- Feng, Y.L.; Tang, X.L. Effect of glucocorticoid-induced oxidative stress on the expression of Cbfa1. Chem. Biol. Interact. 2014, 207, 26–31. [Google Scholar] [CrossRef]
- Alnahdi, H.S.; Ayaz, N.O.; Elhalwagy, M.E. Prophylactic effect of cousts saussurea lappa against liver injury induced by deltamethrin intoxication. Int. J. Clin. Exp. Pathol. 2016, 9, 387–394. [Google Scholar]
- Saleem, T.M.; Lokanath, N.; Prasanthi, A.; Madhavi, M.; Mallika, G.; Vishnu, M. Aqueous extract of Saussurea lappa root ameliorate oxidative myocardial injury induced by isoproterenol in rats. J. Adv. Pharm. Technol. Res. 2013, 4, 94. [Google Scholar] [CrossRef] [PubMed]
- Abd Eldaim, M.A.; Tousson, E.; El Sayed, I.E.T.; Awd, W.M. Ameliorative effects of Saussurea lappa root aqueous extract against Ethephon-induced reproductive toxicity in male rats. Environ. Toxicol. 2019, 34, 150–159. [Google Scholar] [CrossRef] [PubMed]
- Cateni, F.; Zilic, J.; Zacchigna, M.; Bonivento, P.; Frausin, F.; Scarcia, V. Synthesis and biological properties of new alpha-methylene-gamma-butyrolactones and alpha,beta-unsaturated delta-lactones. Eur. J. Med. Chem. 2006, 41, 192–200. [Google Scholar] [CrossRef] [PubMed]
- Eliza, J.; Daisy, P.; Ignacimuthu, S. Antioxidant activity of costunolide and eremanthin isolated from Costus speciosus (Koen ex. Retz) Sm. Chem. Biol. Interact. 2010, 188, 467–472. [Google Scholar] [CrossRef]
- Anyasor, G.N.; Onajobi, F.; Osilesi, O.; Adebawo, O.; Oboutor, E.M. Anti-inflammatory and antioxidant activities of Costus afer Ker Gawl. hexane leaf fraction in arthritic rat models. J. Ethnopharmacol. 2014, 155, 543–551. [Google Scholar] [CrossRef]
- Tabata, K.; Nishimura, Y.; Takeda, T.; Kurita, M.; Uchiyama, T.; Suzuki, T. Sesquiterpene lactones derived from Saussurea lappa induce apoptosis and inhibit invasion and migration in neuroblastoma cells. J. Pharmacol. Sci. 2015, 127, 397–403. [Google Scholar] [CrossRef]
- Hsu, Y.-L.; Wu, L.-Y.; Kuo, P.-L. Dehydrocostuslactone, a medicinal plant-derived sesquiterpene lactone, induces apoptosis coupled to endoplasmic reticulum stress in liver cancer cells. J. Pharmacol. Exp. Ther. 2009, 329, 808–819. [Google Scholar] [CrossRef]
- Oh, G.; Pae, H.; Chung, H.; Kwon, J.; Lee, J.; Kwon, T.; Kwon, S.; Chon, B.; Yun, Y.G. Dehydrocostus Lactone Enhances Tumor Necrosis Factor-α-Induced Apoptosis of Human Leukemia HL-60 Cells. Immunopharmacol. Immunotoxicol. 2004, 26, 163–175. [Google Scholar] [CrossRef]
- Hung, J.-Y.; Hsu, Y.-L.; Ni, W.-C.; Tsai, Y.-M.; Yang, C.-J.; Kuo, P.-L.; Huang, M.-S. Oxidative and endoplasmic reticulum stress signaling are involved in dehydrocostuslactone-mediated apoptosis in human non-small cell lung cancer cells. Lung Cancer 2010, 68, 355–365. [Google Scholar] [CrossRef]
- Kim, E.J.; Lim, S.S.; Park, S.Y.; Shin, H.-K.; Kim, J.-S.; Park, J.H.Y. Apoptosis of DU145 human prostate cancer cells induced by dehydrocostus lactone isolated from the root of Saussurea lappa. Food Chem. Toxicol. 2008, 46, 3651–3658. [Google Scholar] [CrossRef]
- Sadhukhan, P.; Saha, S.; Sinha, K.; Brahmachari, G.; Sil, P.C. Selective pro-apoptotic activity of novel 3, 3′-(aryl/alkyl-methylene) bis (2-hydroxynaphthalene-1, 4-dione) derivatives on human cancer cells via the induction reactive oxygen species. PLoS ONE 2016, 11, e0158694. [Google Scholar] [CrossRef] [PubMed]
- Abd-Elhakim, Y.M.; Khalil, S.R.; Awad, A.; Al-Ayadhi, L.Y. Combined cytogenotoxic effects of bee venom and bleomycin on rat lymphocytes: An in vitro study. Biomed Res. Int. 2014, 2014. [Google Scholar] [CrossRef] [PubMed]
- Ovadje, P.; Chochkeh, M.; Akbari-Asl, P.; Hamm, C.; Pandey, S. Selective induction of apoptosis and autophagy through treatment with dandelion root extract in human pancreatic cancer cells. Pancreas 2012, 41, 1039–1047. [Google Scholar] [CrossRef] [PubMed]
- Sinha, K.; Das, J.; Pal, P.B.; Sil, P.C. Oxidative stress: The mitochondria-dependent and mitochondria-independent pathways of apoptosis. Arch. Toxicol. 2013, 87, 1157–1180. [Google Scholar] [CrossRef]
- Khalil, S.R.; Abd-Elhakim, Y.M.; Selim, M.E.; Al-Ayadhi, L.Y. Apitoxin protects rat pups brain from propionic acid-induced oxidative stress: The expression pattern of Bcl-2 and Caspase-3 apoptotic genes. NeuroToxicology 2015, 49, 121–131. [Google Scholar] [CrossRef]
- Mohammed, A.T.; Mohamed, A.A.-R.; Ali, H. Pulmonary apoptotic and oxidative damaging effects of Triclosan alone or in combination with Fluoride in Sprague Dawley rats. Acta Histochem. 2017, 119, 357–363. [Google Scholar] [CrossRef]
- Smith, L.K.; Cidlowski, J.A. Glucocorticoid-induced apoptosis of healthy and malignant lymphocytes. Prog. Brain Res. 2010, 182, 1–30. [Google Scholar] [CrossRef]
- Lingaiah, H.B.; Thamaraiselvan, R.; Periyasamy, B. Dexamethasone induced alterations in lipid peroxidation, antioxidants, membrane bound ATPase in wistar albino rats. Int. J. Pharm. Pharm. Sci. 2012, 4, 497–499. [Google Scholar]
- Kelly, F.J.; Goldspink, D.F. The differing responses of four muscle types to dexamethasone treatment in the rat. Biochem. J. 1982, 208, 147–151. [Google Scholar] [CrossRef]
- Woo, Y.; Hyun, M.K. Safety of herbal medicine for elderly patients with chronic disease in the Republic of Korea. Eur. J. Integr. Med. 2019, 30, 100934. [Google Scholar] [CrossRef]
- Garg, R.; Kumar, R.; Nathiya, D.; Goshain, O.; Trivedi, V.; Sharma, A.K.; Murti, K. Comparative acute toxicity studies of selected indigenous herbal plants in Swiss albino mice. IOSR J. Pharm. Biol. Sci. 2016, 11, 20–27. [Google Scholar]








| Compound | RT (min) | Peak Area % | Molecular Formula | Molecular Weight |
|---|---|---|---|---|
| Dehydrocostuslactone | 30.41 | 49.68 | C15H18O2 | 230 |
| Dihydrodehydrocostus lactone | 29.21 | 16.34 | C15H20O2 | 232 |
| Caryophyllene oxide | 27.02 | 11.03 | C15H24O | 220 |
| Saussurea lactone | 23.26 | 4.16 | C15H22O2 | 234 |
| Costunolide | 26.31 | 3.59 | C15H20O2 | 232 |
| Beta-costol | 25.55 | 2.74 | C15H24O | 220 |
| (+)-Isovalencenol | 31.71 | 2.52 | C15H24O | 220 |
| Linoleic acid, methyl ester | 32.1 | 2.15 | C19H34O2 | 294 |
| 9-Octadecenoic acid, methyl ester | 32.22 | 1.54 | C19H36O2 | 296 |
| Aristol-1(10)-en-9-ol | 25.67 | 1.41 | C15H24O | 220 |
| Hexadecanoic acid,methyl ester | 28.89 | 0.85 | C17H34O2 | 270 |
| Linolenic acid, methyl ester | 29.59 | 0.54 | C19H32O2 | 292 |
| Valerenol | 30.64 | 0.46 | C15H24O | 220 |
| Reynosin | 31.05 | 0.39 | C15H20O3 | 248 |
| Beta-caryophyllene oxide | 21.4 | 0.38 | C15H24O | 220 |
| Linolein, 2-mono- | 19.07 | 0.38 | C21H38O4 | 354 |
| 10-Heptadecen-8-ynoic acid, methyl ester, (E)- | 32.44 | 0.25 | C18H30O2 | 278 |
| Octadecanoic acid, methyl ester | 32.71 | 0.24 | C19H38O2 | 298 |
| 16-Methyloxacyclohexadeca-3,5-dien-2-one | 32.81 | 0.24 | C16H26O2 | 250 |
| Santamarine | 28.43 | 0.22 | C15H20O3 | 248 |
| Glycidyl oleate | 33.39 | 0.22 | C21H38O3 | 338 |
| Santamarine | 38.59 | 0.18 | C15H20O3 | 248 |
| Farnesene epoxide, E- | 33.49 | 0.17 | C15H24O | 220 |
| Linolein, 2-mono | 17.61 | 0.16 | C21H38O4 | 354 |
| Eudesm-4(14)-en-11-ol | 20.62 | 0.16 | C15H26O | 222 |
| Trans-á-Ionone | 38.52 | 0.15 | C13H20O | 192 |
| Parameters | Experimental Groups | ||||
|---|---|---|---|---|---|
| Control | S. Lappa | TA | Co-Treated | Prophylactic | |
| Initial body weight (g) | 154.67 ± 3.18 a | 158.00 ±1.53 a | 157 ± 1.53 a | 157.67 ± 2.73 a | 157.33 ± 1.45 a |
| Final body weight (g) | 173.3 ± 7.26 a | 178.33 ± 4.41 a | 130 ± 0.58 c | 144.00 ± 3.06 b | 149.33 ± 0.88 b |
| Body weight gain (g) | 18.67 ± 4.10 a | 20.33 ± 3.18 a | -25.67 ± 0.67 c | −13.67 ± 0.33 b | −8.00 ± 0.58 b |
| Lung weight (mg) | 1500 ± 11.55 a | 1506.67 ± 6.67 a | 913.3 ± 8.82 d | 1133.3 ± 35.28 c | 1225 ± 18.93 b |
| Lung index (mg/g) | 8.68 ± 0.33 a | 8.45 ± 0.19 ab | 7.02 ± 0.10 c | 7.86 ± 0.08 b | 8.07 ± 0.05 b |
| Spleen weight (mg) | 530 ±11.55 a | 520.00 ± 11.55 a | 303.33 ±12.02 d | 366.67 ±14.53 c | 420.00 ±17.32 b |
| Spleen index (mg/g) | 3.06 ± 0.07 a | 2.93 ± 0.08 a | 2.32 ± 0.11 c | 2.56 ± 0.10 bc | 2.81 ± 0.13 ab |
| Parameters | Experimental Groups | ||||
|---|---|---|---|---|---|
| Control | S. Lappa | TA | Co-Treated | Prophylactic | |
| RBCs (× 106/µL) | 6.92 ± 0.12 d | 6.84 ± 0.21 d | 10.77 ± 0.20 a | 8.69 ± 0.26 b | 7.66 ± 0.39 cd |
| Hb (gm %) | 14.47 ± 0.67 d | 14.83 ± 0.36 d | 21.40 ± 0.46 a | 17.93 ± 0.35 b | 16.35 ± 0.26 c |
| PCV (%) | 43.58 ± 0.98 d | 44.17 ± 0.52 d | 64.60 ± 1.18 a | 56.24 ± 1.19 b | 49.00 ± 1.10 c |
| TLC (103/µL) | 10.87 ± 0.15 d | 15.68 ± 0.64 a | 16.34 ± 0.45 a | 14.24 ± 0.20 b | 12.78 ± 0.21 c |
| Neutrophil (103/µL) | 2.14 ± 0.05 d | 2.25 ± 0.10 d | 10.38 ± 0.28 a | 7.86 ± 0.16 b | 5.37 ± 0.25 c |
| Lymphocyte (103/µL) | 8.30 ± 0.18 b | 13.00 ± 0.56 a | 5.69 ± 0.28 d | 6.05 ± 0.10 cd | 7.02 ± 0.06 c |
| Monocyte (103/µL) | 0.24 ± 0.01 ab | 0.25 ± 0.02 a | 0.14 ± 0.01 d | 0.18 ± 0.01 c | 0.21 ± 0.01 b |
| Eosinophil (103/µL) | 0.17 ± 0.01 ab | 0.18 ± 0.01 a | 0.11 ± 0.01 d | 0.13 ± 0.01 c | 0.15 ± 0.00 b |
| Basophil (103/µL) | 0.02 ± 0.001 a | 0.02 ± 0.003 a | 0.01 ± 0.001 c | 0.01 ± 0.001 bc | 0.02 ± 0.001 ab |
| Organs | Descriptive Lesions | Control | S. Lappa | TA | Co-Treated | Prophylactic |
|---|---|---|---|---|---|---|
| Spleen | Thickening in the wall of center arterioles | − | − | +++ | − | − |
| Congestion of red pulp with inflammatory cells infiltration | − | − | +++ | + | − | |
| Depletion of lymphocytes inside white pulp | − | − | +++ | − | − | |
| Hyperplasia of white pulp | − | − | − | + | ++ | |
| Splenic CD8+ | ++++ (51%–75%) | ++++ (51%–75%) | + (<10%) | ++ (10%–25%) | +++ (26%–50%) | |
| Lung | Pulmonary edema | − | − | +++ | − | − |
| Thickening of interalvealar septa | − | − | +++ | + | − | |
| A focal area of necrosis | − | − | +++ | − | − | |
| Aggregation of lymphocytes to form lymphoid follicles | − | − | − | + | ++ | |
| Lung Caspase-3 | + (<10%) | + (<10%) | ++++ (51%–75%) | +++ (26%–50%) | ++ (10%–25%) |
© 2020 by the authors. Licensee MDPI, Basel, Switzerland. This article is an open access article distributed under the terms and conditions of the Creative Commons Attribution (CC BY) license (http://creativecommons.org/licenses/by/4.0/).
Share and Cite
Abd El-Rahman, G.I.; Behairy, A.; Elseddawy, N.M.; Batiha, G.E.-S.; Hozzein, W.N.; Khodeer, D.M.; M. Abd-Elhakim, Y. Saussurea lappa Ethanolic Extract Attenuates Triamcinolone Acetonide-Induced Pulmonary and Splenic Tissue Damage in Rats via Modulation of Oxidative Stress, Inflammation, and Apoptosis. Antioxidants 2020, 9, 396. https://doi.org/10.3390/antiox9050396
Abd El-Rahman GI, Behairy A, Elseddawy NM, Batiha GE-S, Hozzein WN, Khodeer DM, M. Abd-Elhakim Y. Saussurea lappa Ethanolic Extract Attenuates Triamcinolone Acetonide-Induced Pulmonary and Splenic Tissue Damage in Rats via Modulation of Oxidative Stress, Inflammation, and Apoptosis. Antioxidants. 2020; 9(5):396. https://doi.org/10.3390/antiox9050396
Chicago/Turabian StyleAbd El-Rahman, Ghada I., Amany Behairy, Nora M. Elseddawy, Gaber El-Saber Batiha, Wael N. Hozzein, Dina M. Khodeer, and Yasmina M. Abd-Elhakim. 2020. "Saussurea lappa Ethanolic Extract Attenuates Triamcinolone Acetonide-Induced Pulmonary and Splenic Tissue Damage in Rats via Modulation of Oxidative Stress, Inflammation, and Apoptosis" Antioxidants 9, no. 5: 396. https://doi.org/10.3390/antiox9050396
APA StyleAbd El-Rahman, G. I., Behairy, A., Elseddawy, N. M., Batiha, G. E.-S., Hozzein, W. N., Khodeer, D. M., & M. Abd-Elhakim, Y. (2020). Saussurea lappa Ethanolic Extract Attenuates Triamcinolone Acetonide-Induced Pulmonary and Splenic Tissue Damage in Rats via Modulation of Oxidative Stress, Inflammation, and Apoptosis. Antioxidants, 9(5), 396. https://doi.org/10.3390/antiox9050396

