Expression of Bordetella pertussis Antigens Fused to Different Vectors and Their Effectiveness as Vaccines
Abstract
1. Introduction
2. Materials and Methods
2.1. Strains, Culture Conditions, and Plasmids
2.2. Construction of Expression Vectors
2.3. SDS-PAGE
2.4. Protein Purification
2.5. Animal Immunization Experiments
2.6. Enzyme-Linked Immunosorbent Assay (ELISA)
2.7. In Vitro Serum Bactericidal Assay
2.8. Determination of Bacterial Loads in the Lungs and Spleens
2.9. Histopathological Analysis of Lung Tissues
2.10. Challenge Experiment
2.11. Statistical Analysis
3. Results
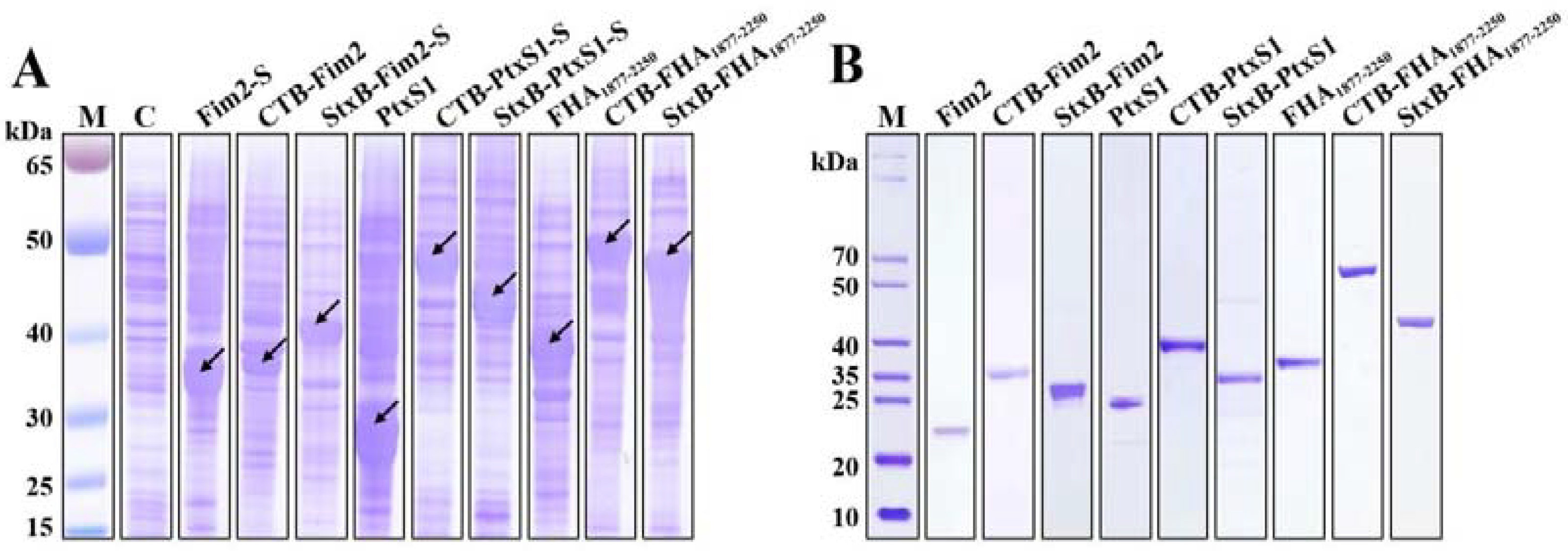
3.1. Protein Expression and Purification
3.2. Potency Assays of Serum Antibody
3.3. In Vitro Bactericidal Assay of Serum against B. pertussis
3.4. Measurement of Bacterial Loads in Spleens and Lungs
3.5. Histopathology Analysis of Lung Tissues
3.6. Protective Immunity against Lethal Challenge with B. pertussis by Vaccination
4. Discussion
Supplementary Materials
Author Contributions
Funding
Institutional Review Board Statement
Informed Consent Statement
Data Availability Statement
Acknowledgments
Conflicts of Interest
References
- Zhang, J.S.; Wang, H.M.; Yao, K.H.; Liu, Y.; Lei, Y.L.; Deng, J.K.; Yang, Y.H. Clinical characteristics, molecular epidemiology and antimicrobial susceptibility of pertussis among children in southern China. World J. Pediatr. 2020, 16, 185–192. [Google Scholar] [CrossRef]
- Tan, T.; Dalby, T.; Forsyth, K.; Halperin, S.A.; Heininger, U.; Hozbor, D.; Plotkin, S.; Ulloa-Gutierrez, R.; Wirsing von Konig, C.H. Pertussis Across the Globe: Recent Epidemiologic Trends From 2000 to 2013. Pediatr. Infect. Dis. 2015, 34, e222–e232. [Google Scholar] [CrossRef] [PubMed]
- Nguyen, V.T.N.; Simon, L. Pertussis: The Whooping Cough. Prim Care 2018, 45, 423–431. [Google Scholar] [CrossRef] [PubMed]
- Lambert, L.C. Pertussis vaccine trials in the 1990s. J. Infect. Dis. 2014, 209 (Suppl. 1), S4–S9. [Google Scholar] [CrossRef]
- Belchior, E.; Guillot, S.; Poujol, I.; Thabuis, A.; Chouin, L.; Martel, M.; Delisle, E.; Six, C.; Guiso, N.; Levy-Bruhl, D. Comparison of whole-cell versus acellular pertussis vaccine effectiveness in school clusters of pertussis, France, 2013. Med. Mal. Infect. 2020, 50, 617–619. [Google Scholar] [CrossRef]
- Kamachi, K.; Konda, T.; Arakawa, Y. DNA vaccine encoding pertussis toxin S1 subunit induces protection against Bordetella pertussis in mice. Vaccine 2003, 21, 4609–4615. [Google Scholar] [CrossRef]
- Ausar, S.F.; Zhu, S.; Duprez, J.; Cohen, M.; Bertrand, T.; Steier, V.; Wilson, D.J.; Li, S.; Sheung, A.; Brookes, R.H.; et al. Genetically detoxified pertussis toxin displays near identical structure to its wild-type and exhibits robust immunogenicity. Commun. Biol. 2020, 3, 427. [Google Scholar] [CrossRef]
- Asgarian-Omran, H.; Golara, M.; Abdolmaleki, S.; Navabi, S.S.; Alipour, H.; Khoshnoodi, J.; Hemmati, A.; Zarei, S.; Jeddi-Tehrani, M.; Shokri, F. Restricted antibody response to Bordetella pertussis filamentous hemagglutinin induced by whole-cell and acellular pertussis vaccines. Infect. Dis. 2016, 48, 127–132. [Google Scholar] [CrossRef]
- Kuchar, E.; Karlikowska-Skwarnik, M.; Han, S.; Nitsch-Osuch, A. Pertussis: History of the Disease and Current Prevention Failure. Adv. Exp. Med. Biol. 2016, 934, 77–82. [Google Scholar]
- Esposito, S.; Stefanelli, P.; Fry, N.K.; Fedele, G.; He, Q.; Paterson, P.; Tan, T.; Knuf, M.; Rodrigo, C.; Weil Olivier, C.; et al. Pertussis Prevention: Reasons for Resurgence, and Differences in the Current Acellular Pertussis Vaccines. Front. Immunol. 2019, 10, 1344. [Google Scholar] [CrossRef]
- Beddoe, T.; Paton, A.W.; Le Nours, J.; Rossjohn, J.; Paton, J.C. Structure, biological functions and applications of the AB5 toxins. Trends Biochem. Sci. 2010, 35, 411–418. [Google Scholar] [CrossRef] [PubMed]
- Sapon, K.; Maziarz, D.; Janas, T.; Sikorski, A.F.; Janas, T. Cholera Toxin Subunit B for Sensitive and Rapid Determination of Exosomes by Gel Filtration. Membranes 2020, 10, 172. [Google Scholar] [CrossRef] [PubMed]
- George-Chandy, A.; Eriksson, K.; Lebens, M.; Nordstrom, I.; Schon, E.; Holmgren, J. Cholera toxin B subunit as a carrier molecule promotes antigen presentation and increases CD40 and CD86 expression on antigen-presenting cells. Infect. Immun. 2001, 69, 5716–5725. [Google Scholar] [CrossRef] [PubMed]
- Stratmann, T. Cholera Toxin Subunit B as Adjuvant—An Accelerator in Protective Immunity and a Break in Autoimmunity. Vaccines 2015, 3, 579–596. [Google Scholar] [CrossRef]
- Sun, P.; Pan, C.; Zeng, M.; Liu, B.; Liang, H.; Wang, D.; Liu, X.; Wang, B.; Lyu, Y.; Wu, J.; et al. Design and production of conjugate vaccines against S. Paratyphi A using an O-linked glycosylation system in vivo. NPJ Vaccines 2018, 3, 4. [Google Scholar] [CrossRef]
- Pan, C.; Sun, P.; Liu, B.; Liang, H.; Peng, Z.; Dong, Y.; Wang, D.; Liu, X.; Wang, B.; Zeng, M.; et al. Biosynthesis of Conjugate Vaccines Using an O-Linked Glycosylation System. mBio 2016, 7, e00443-16. [Google Scholar] [CrossRef]
- Huang, J.; Pan, C.; Sun, P.; Feng, E.; Wu, J.; Zhu, L.; Wang, H. Application of an O-Linked Glycosylation System in Yersinia enterocolitica Serotype O:9 to Generate a New Candidate Vaccine against Brucella abortus. Microorganisms 2020, 8, 436. [Google Scholar] [CrossRef]
- Choi, N.W.; Estes, M.K.; Langridge, W.H. Oral immunization with a shiga toxin B subunit: Rotavirus NSP4(90) fusion protein protects mice against gastroenteritis. Vaccine 2005, 23, 5168–5176. [Google Scholar] [CrossRef]
- Li, X.; Pan, C.; Liu, Z.; Sun, P.; Hua, X.; Feng, E.; Yu, Y.; Wu, J.; Zhu, L.; Wang, H. Safety and immunogenicity of a new glycoengineered vaccine against Acinetobacter baumannii in mice. Microb. Biotechnol. 2021. [CrossRef]
- Clark, T.A.; Bobo, N. CDC update on pertussis surveillance and Tdap vaccine recommendations. NASN Sch. Nurse 2012, 27, 297–300. [Google Scholar] [CrossRef]
- Kapil, P.; Merkel, T.J. Pertussis vaccines and protective immunity. Curr. Opin. Immunol. 2019, 59, 72–78. [Google Scholar] [CrossRef]
- Fabricius, G.; Martin Aispuro, P.; Bergero, P.; Bottero, D.; Gabrielli, M.; Hozbor, D. Pertussis epidemiology in Argentina: TRENDS after the introduction of maternal immunisation. Epidemiol. Infect. 2018, 146, 858–866. [Google Scholar] [CrossRef]
- Vidor, E.; Plotkin, S.A. Immunogenicity of a two-component (PT & FHA) acellular pertussis vaccine in various combinations. Hum. Vaccine 2008, 4, 328–340. [Google Scholar]
- Xu, Y.; Wang, Y.; Tan, Y.; Zhang, H.; Wu, L.; Wang, L.; Hou, Q.; Zhang, S. Production and characterization of recombinant pertactin, fimbriae 2 and fimbriae 3 from Bordetella pertussis. BMC Microbiol. 2009, 9, 274. [Google Scholar] [CrossRef] [PubMed]
- Wiedinger, K.; Pinho, D.; Bitsaktsis, C. Utilization of cholera toxin B as a mucosal adjuvant elicits antibody-mediated protection against S. pneumoniae infection in mice. Ther. Adv. Vaccines 2017, 5, 15–24. [Google Scholar] [CrossRef] [PubMed]
- Ibrahim, E.H.; Taha, R.; Ghramh, H.A.; Kilany, M. Development of Rift Valley fever (RVF) vaccine by genetic joining of the RVF-glycoprotein Gn with the strong adjuvant subunit B of cholera toxin (CTB) and expression in bacterial system. Saudi J. Biol. Sci. 2019, 26, 1676–1681. [Google Scholar] [CrossRef] [PubMed]
- Yamaji, T. Preparation of Fluorescent Recombinant Shiga Toxin B Subunit and Its Application to Flow Cytometry. Methods Mol. Biol. 2020, 2132, 463–474. [Google Scholar]
- Kaslow, D.C.; Shiver, J.W. Clostridium difficile and methicillin-resistant Staphylococcus aureus: Emerging concepts in vaccine development. Annu. Rev. Med. 2011, 62, 201–215. [Google Scholar] [CrossRef]
- Han, J.; Zhao, D.; Li, D.; Wang, X.; Jin, Z.; Zhao, K. Polymer-Based Nanomaterials and Applications for Vaccines and Drugs. Polymers 2018, 10, 31. [Google Scholar] [CrossRef] [PubMed]
- Pan, C.; Wu, J.; Qing, S.; Zhang, X.; Zhang, L.; Yue, H.; Zeng, M.; Wang, B.; Yuan, Z.; Qiu, Y.; et al. Biosynthesis of Self-Assembled Proteinaceous Nanoparticles for Vaccination. Adv. Mater. 2020, 32, e2002940. [Google Scholar] [CrossRef]
- Brune, K.D.; Leneghan, D.B.; Brian, I.J.; Ishizuka, A.S.; Bachmann, M.F.; Draper, S.J.; Biswas, S.; Howarth, M. Plug-and-Display: Decoration of Virus-Like Particles via isopeptide bonds for modular immunization. Sci. Rep. 2016, 6, 19234. [Google Scholar] [CrossRef]






| Publisher’s Note: MDPI stays neutral with regard to jurisdictional claims in published maps and institutional affiliations. | 
© 2021 by the authors. Licensee MDPI, Basel, Switzerland. This article is an open access article distributed under the terms and conditions of the Creative Commons Attribution (CC BY) license (https://creativecommons.org/licenses/by/4.0/).
Share and Cite
Xu, H.; Huang, J.; Liu, Z.; Li, X.; Wang, K.; Feng, E.; Wu, J.; Zhu, L.; Yao, K.; Pan, C.; et al. Expression of Bordetella pertussis Antigens Fused to Different Vectors and Their Effectiveness as Vaccines. Vaccines 2021, 9, 542. https://doi.org/10.3390/vaccines9060542
Xu H, Huang J, Liu Z, Li X, Wang K, Feng E, Wu J, Zhu L, Yao K, Pan C, et al. Expression of Bordetella pertussis Antigens Fused to Different Vectors and Their Effectiveness as Vaccines. Vaccines. 2021; 9(6):542. https://doi.org/10.3390/vaccines9060542
Chicago/Turabian StyleXu, Han, Jing Huang, Zhaolu Liu, Xin Li, Kangfeng Wang, Erling Feng, Jun Wu, Li Zhu, Kaihu Yao, Chao Pan, and et al. 2021. "Expression of Bordetella pertussis Antigens Fused to Different Vectors and Their Effectiveness as Vaccines" Vaccines 9, no. 6: 542. https://doi.org/10.3390/vaccines9060542
APA StyleXu, H., Huang, J., Liu, Z., Li, X., Wang, K., Feng, E., Wu, J., Zhu, L., Yao, K., Pan, C., & Wang, H. (2021). Expression of Bordetella pertussis Antigens Fused to Different Vectors and Their Effectiveness as Vaccines. Vaccines, 9(6), 542. https://doi.org/10.3390/vaccines9060542
 
         
                                                

