Acute on Chronic Thromboembolic Pulmonary Hypertension: Case Series and Review of Management
Abstract
1. Introduction
2. Clinical Cases and Results
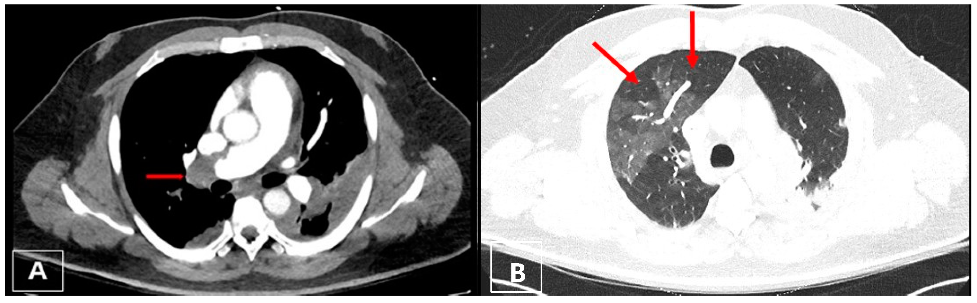
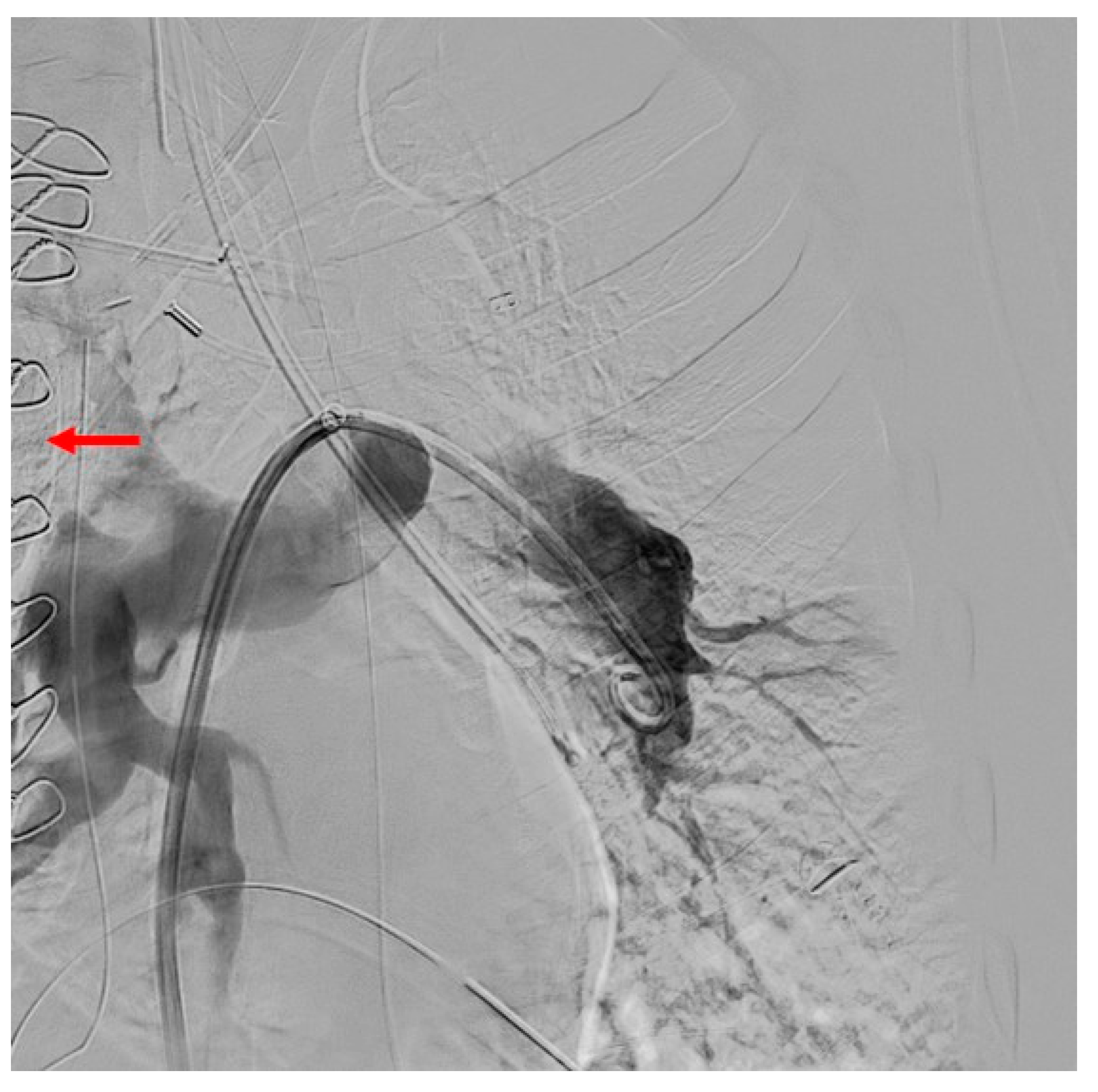
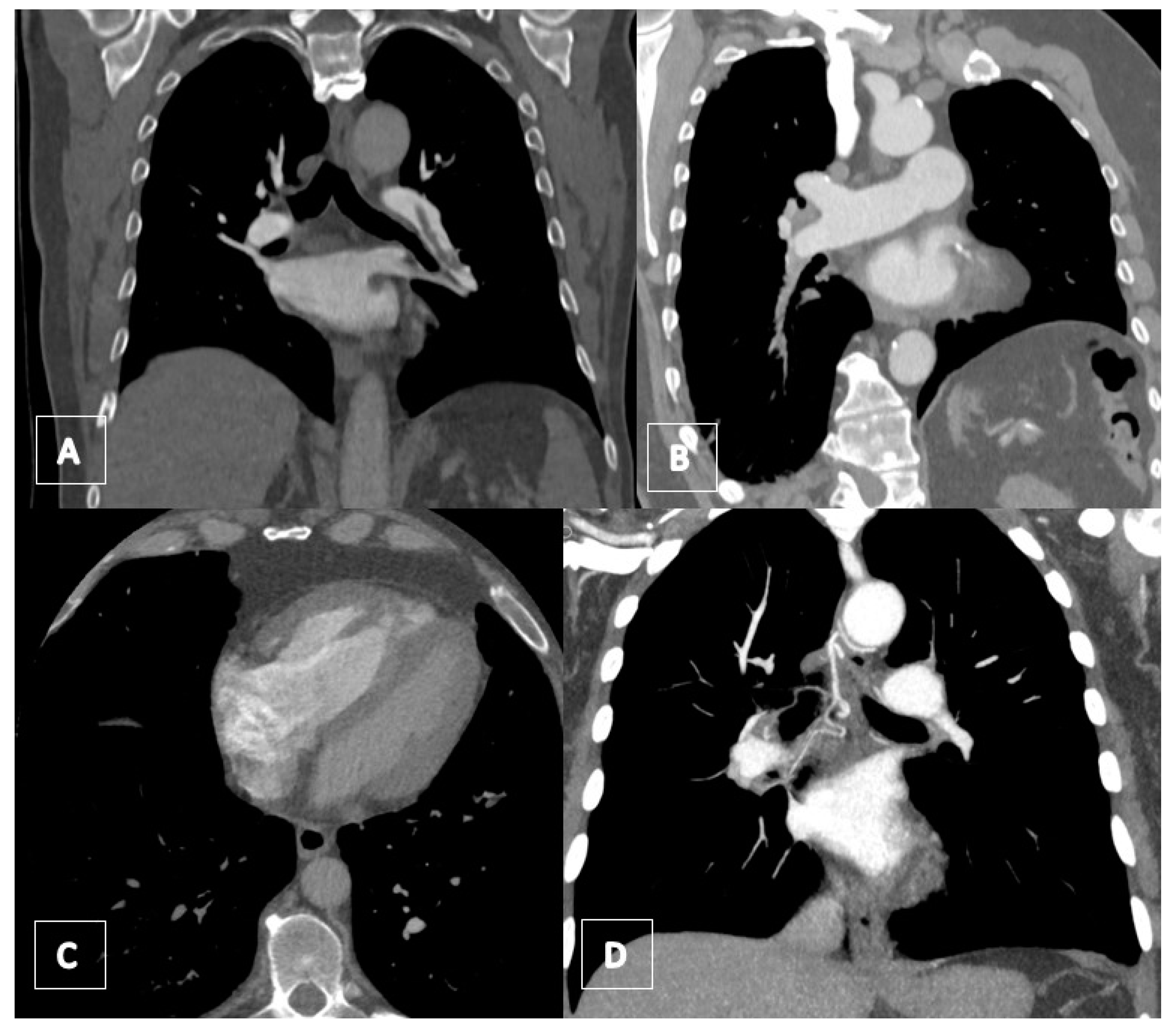
2.1. Case 1
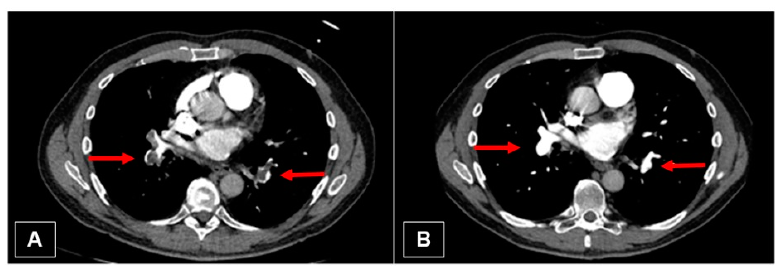
2.2. Case 2
2.3. Case 3
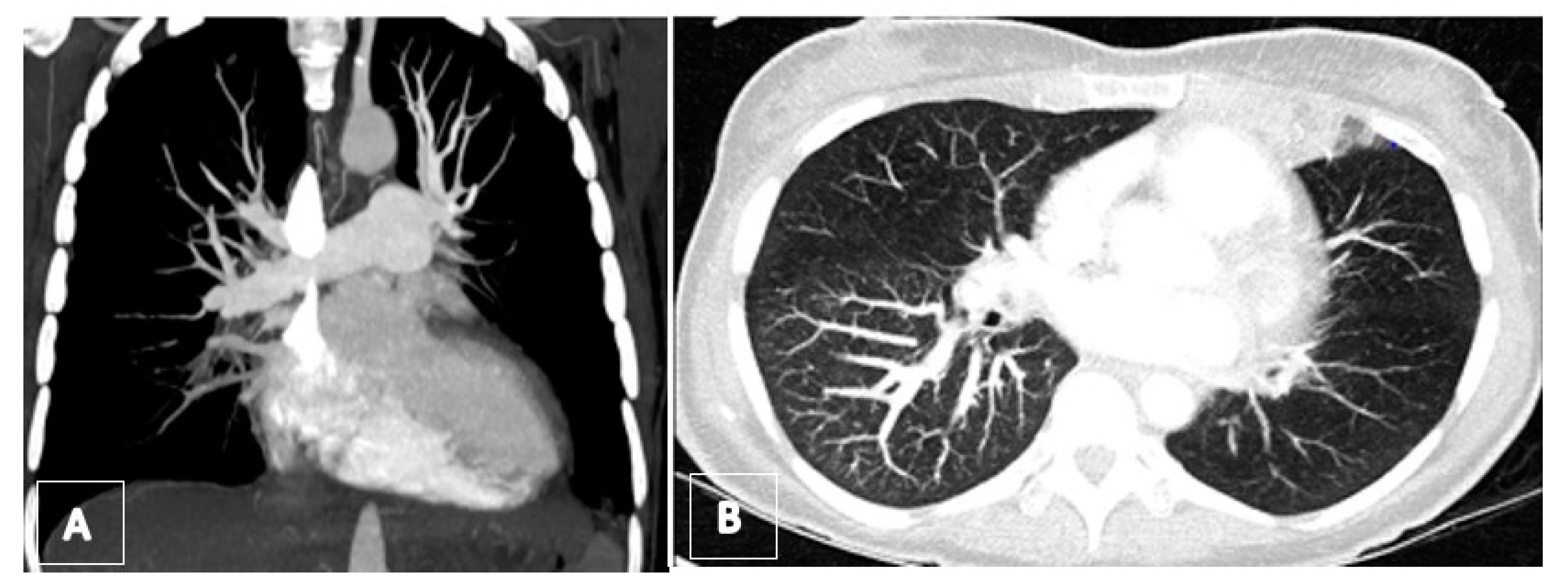
2.4. Case 4
3. Discussion
3.1. Acute on Chronic Disease
3.2. Misdiagnosis and Overlapping
3.3. Imaging
3.4. Computed Tomography Pulmonary Angiography (CTPA)
3.5. Transthoracic Echocardiography
3.6. Treatment Options
3.7. Cases Discussion: Decision-Making Process
4. Conclusions
Author Contributions
Funding
Institutional Review Board Statement
Informed Consent Statement
Data Availability Statement
Acknowledgments
Conflicts of Interest
References
- Wendelboe, A.M.; Raskob, G.E. Global Burden of Thrombosis: Epidemiologic Aspects. Circ. Res. 2016, 118, 1340–1347. [Google Scholar] [CrossRef] [PubMed]
- Konstantinides, S.V.; Meyer, G.; Becattini, C.; Bueno, H.; Geersing, G.J.; Harjola, V.P.; Huisman, M.V.; Humbert, M.; Jennings, C.S.; Jiménez, D.; et al. 2019 ESC Guidelines for the diagnosis and management of acute pulmonary embolism developed in collaboration with the European Respiratory Society (ERS): The Task Force for the diagnosis and management of acute pulmonary embolism of the European Society of Cardiology (ESC). Eur. Respir. J. 2019, 54, 1901647. [Google Scholar] [CrossRef] [PubMed]
- Klok, F.A.; Delcroix, M.; Bogaard, H.J. Chronic thromboembolic pulmonary hypertension from the perspective of patients with pulmonary embolism. J. Thromb. Haemost. 2018, 16, 1040–1051. [Google Scholar] [CrossRef] [PubMed]
- Morris, T.A. Why acute pulmonary embolism becomes chronic thromboembolic pulmonary hypertension: Clinical and genetic insights. Curr. Opin. Pulm. Med. 2013, 19, 422–429. [Google Scholar] [CrossRef] [PubMed]
- Yu, Y.; Yang, L.; Zhang, Y.; Dong, L.; Xia, J.; Zhu, N.; Han, X.; Fang, L.; Chai, Y.; Niu, M.; et al. Incidence and risk factors of chronic thromboembolic pulmonary hypertension in patients with diagnosis of pulmonary embolism for the first time in real world. Clin. Respir. J. 2018, 12, 2551–2558. [Google Scholar] [CrossRef] [PubMed]
- Mahmud, E.; Madani, M.M.; Kim, N.H.; Poch, D.; Ang, L.; Behnamfar, O.; Patel, M.P.; Auger, W.R. Chronic Thromboembolic Pulmonary Hypertension: Evolving Therapeutic Approaches for Operable and Inoperable Disease. J. Am. Coll. Cardiol. 2018, 71, 2468–2486. [Google Scholar] [CrossRef]
- Elwing, J.M.; Vaidya, A.; Auger, W.R. Chronic Thromboembolic Pulmonary Hypertension: An Update. Clin. Chest Med. 2018, 39, 605–620. [Google Scholar] [CrossRef]
- Mullin, C.J.; Klinger, J.R. Chronic Thromboembolic Pulmonary Hypertension. Heart Fail. Clin. 2018, 14, 339–351. [Google Scholar] [CrossRef]
- Opitz, I.; Ulrich, S. Chronic thromboembolic pulmonary hypertension. Swiss. Med. Wkly. 2018, 148, w14702. [Google Scholar] [CrossRef]
- Kim, N.H.; Delcroix, M.; Jais, X.; Madani, M.M.; Matsubara, H.; Mayer, E.; Ogo, T.; Tapson, V.F.; Ghofrani, H.A.; Jenkins, D.P. Chronic thromboembolic pulmonary hypertension. Eur. Respir. J. 2019, 53, 1801915. [Google Scholar] [CrossRef]
- Ende-Verhaar, Y.M.; Meijboom, L.J.; Kroft, L.J.M.; Beenen, L.F.M.; Boon, G.; Middeldorp, S.; Nossent, E.J.; Symersky, P.; Huisman, M.V.; Bogaard, H.J.; et al. Usefulness of standard computed tomography pulmonary angiography performed for acute pulmonary embolism for identification of chronic thromboembolic pulmonary hypertension: Results of the InShape III study. J. Heart Lung Transplant. 2019, 38, 731–738. [Google Scholar] [CrossRef] [PubMed]
- Jaff, M.R.; McMurtry, M.S.; Archer, S.L.; Cushman, M.; Goldenberg, N.; Goldhaber, S.Z.; Jenkins, J.S.; Kline, J.A.; Michaels, A.D.; Thistlethwaite, P.; et al. Management of massive and submassive pulmonary embolism, iliofemoral deep vein thrombosis, and chronic thromboembolic pulmonary hypertension: A scientific statement from the American Heart Association. Circulation 2011, 123, 1788–1830. [Google Scholar] [CrossRef]
- Galie, N.; Humbert, M.; Vachiery, J.L.; Gibbs, S.; Lang, I.; Torbicki, A.; Simonneau, G.; Peacock, A.; Vonk Noordegraaf, A.; Beghetti, M.; et al. 2015 ESC/ERS Guidelines for the diagnosis and treatment of pulmonary hypertension: The Joint Task Force for the Diagnosis and Treatment of Pulmonary Hypertension of the European Society of Cardiology (ESC) and the European Respiratory Society (ERS): Endorsed by: Association for European Paediatric and Congenital Cardiology (AEPC), International Society for Heart and Lung Transplantation (ISHLT). Eur. Respir. J. 2015, 46, 903–975. [Google Scholar] [CrossRef] [PubMed]
- Rubin, L.J.; Hoeper, M.M.; Klepetko, W.; Galiè, N.; Lang, I.M.; Simonneau, G. Current and future management of chronic thromboembolic pulmonary hypertension: From diagnosis to treatment responses. Proc. Am. Thorac. Soc. 2006, 3, 601–607. [Google Scholar] [CrossRef]
- Pepke-Zaba, J.; Delcroix, M.; Lang, I.; Mayer, E.; Jansa, P.; Ambroz, D.; Treacy, C.; D’Armini, A.M.; Morsolini, M.; Snijder, R.; et al. Chronic thromboembolic pulmonary hypertension (CTEPH): Results from an international prospective registry. Circulation 2011, 124, 1973–1981. [Google Scholar] [CrossRef] [PubMed]
- Blauwet, L.A.; Edwards, W.D.; Tazelaar, H.D.; McGregor, C.G. Surgical pathology of pulmonary thromboendarterectomy: A study of 54 cases from 1990 to 2001. Hum. Pathol. 2003, 34, 1290–1298. [Google Scholar] [CrossRef] [PubMed]
- Mayer, E.; Jenkins, D.; Lindner, J.; D’Armini, A.; Kloek, J.; Meyns, B.; Ilkjaer, L.B.; Klepetko, W.; Delcroix, M.; Lang, I.; et al. Surgical management and outcome of patients with chronic thromboembolic pulmonary hypertension: Results from an international prospective registry. J. Thorac. Cardiovasc. Surg. 2011, 141, 702–710. [Google Scholar] [CrossRef]
- Gopalan, D.; Delcroix, M.; Held, M. Diagnosis of chronic thromboembolic pulmonary hypertension. Eur. Respir. Rev. Off. J. Eur. Respir. Soc. 2017, 26, 160108. [Google Scholar] [CrossRef]
- Fedullo, P.; Kerr, K.M.; Kim, N.H.; Auger, W.R. Chronic thromboembolic pulmonary hypertension. Am. J. Respir. Crit. Care Med. 2011, 183, 1605–1613. [Google Scholar] [CrossRef]
- Bonderman, D.; Wilkens, H.; Wakounig, S.; Schafers, H.J.; Jansa, P.; Lindner, J.; Simkova, I.; Martischnig, A.M.; Dudczak, J.; Sadushi, R.; et al. Risk factors for chronic thromboembolic pulmonary hypertension. Eur. Respir. J. 2009, 33, 325–331. [Google Scholar] [CrossRef]
- Rich, S. Primary pulmonary hypertension. Prog. Cardiovasc. Dis. 1988, 31, 205–238. [Google Scholar] [CrossRef][Green Version]
- Guerin, L.; Couturaud, F.; Parent, F.; Revel, M.P.; Gillaizeau, F.; Planquette, B.; Pontal, D.; Guegan, M.; Simonneau, G.; Meyer, G.; et al. Prevalence of chronic thromboembolic pulmonary hypertension after acute pulmonary embolism. Prevalence of CTEPH after pulmonary embolism. Thromb. Haemost. 2014, 112, 598–605. [Google Scholar] [CrossRef] [PubMed]
- McDonald, I.G.; Hirsh, J.; Hale, G.S.; O’Sullivan, E.F. Major pulmonary embolism, a correlation of clinical findings, haemodynamics, pulmonary angiography, and pathological physiology. Br. Heart J. 1972, 34, 356–364. [Google Scholar] [CrossRef] [PubMed]
- McIntyre, K.M.; Sasahara, A.A. The hemodynamic response to pulmonary embolism in patients without prior cardiopulmonary disease. Am. J. Cardiol. 1971, 28, 288–294. [Google Scholar] [CrossRef]
- He, J.; Fang, W.; Lv, B.; He, J.G.; Xiong, C.M.; Liu, Z.H.; He, Z.X. Diagnosis of chronic thromboembolic pulmonary hypertension: Comparison of ventilation/perfusion scanning and multidetector computed tomography pulmonary angiography with pulmonary angiography. Nucl. Med. Commun. 2012, 33, 459–463. [Google Scholar] [CrossRef] [PubMed]
- Lang, I.M.; Plank, C.; Sadushi-Kolici, R.; Jakowitsch, J.; Klepetko, W.; Maurer, G. Imaging in pulmonary hypertension. JACC Cardiovasc. Imaging 2010, 3, 1287–1295. [Google Scholar] [CrossRef] [PubMed]
- Hoeper, M.M.; Mayer, E.; Simonneau, G.; Rubin, L.J. Chronic thromboembolic pulmonary hypertension. Circulation 2006, 113, 2011–2020. [Google Scholar] [CrossRef] [PubMed]
- Ley, S.; Ley-Zaporozhan, J.; Pitton, M.B.; Schneider, J.; Wirth, G.M.; Mayer, E.; Duber, C.; Kreitner, K.F. Diagnostic performance of state-of-the-art imaging techniques for morphological assessment of vascular abnormalities in patients with chronic thromboembolic pulmonary hypertension (CTEPH). Eur. Radiol. 2012, 22, 607–616. [Google Scholar] [CrossRef]
- Reichelt, A.; Hoeper, M.M.; Galanski, M.; Keberle, M. Chronic thromboembolic pulmonary hypertension: Evaluation with 64-detector row CT versus digital substraction angiography. Eur. J. Radiol. 2009, 71, 49–54. [Google Scholar] [CrossRef]
- Sugiura, T.; Tanabe, N.; Matsuura, Y.; Shigeta, A.; Kawata, N.; Jujo, T.; Yanagawa, N.; Sakao, S.; Kasahara, Y.; Tatsumi, K. Role of 320-slice CT imaging in the diagnostic workup of patients with chronic thromboembolic pulmonary hypertension. Chest 2013, 143, 1070–1077. [Google Scholar] [CrossRef]
- Grosse, A.; Grosse, C.; Lang, I. Evaluation of the CT imaging findings in patients newly diagnosed with chronic thromboembolic pulmonary hypertension. PLoS ONE 2018, 13, e0201468. [Google Scholar] [CrossRef] [PubMed]
- Becattini, C.; Agnelli, G.; Vedovati, M.C.; Pruszczyk, P.; Casazza, F.; Grifoni, S.; Salvi, A.; Bianchi, M.; Douma, R.; Konstantinides, S.; et al. Multidetector computed tomography for acute pulmonary embolism: Diagnosis and risk stratification in a single test. Eur. Heart J. 2011, 32, 1657–1663. [Google Scholar] [CrossRef] [PubMed]
- Henzler, T.; Roeger, S.; Meyer, M.; Schoepf, U.J.; Nance, J.W., Jr.; Haghi, D.; Kaminski, W.E.; Neumaier, M.; Schoenberg, S.O.; Fink, C. Pulmonary embolism: CT signs and cardiac biomarkers for predicting right ventricular dysfunction. Eur. Respir. J. 2012, 39, 919–926. [Google Scholar] [CrossRef] [PubMed]
- Blanchard, D.G.; Malouf, P.J.; Gurudevan, S.V.; Auger, W.R.; Madani, M.M.; Thistlethwaite, P.; Waltman, T.J.; Daniels, L.B.; Raisinghani, A.B.; DeMaria, A.N. Utility of right ventricular Tei index in the noninvasive evaluation of chronic thromboembolic pulmonary hypertension before and after pulmonary thromboendarterectomy. JACC Cardiovasc. Imaging 2009, 2, 143–149. [Google Scholar] [CrossRef] [PubMed]
- Goldhaber, S.Z.; Visani, L.; De Rosa, M. Acute pulmonary embolism: Clinical outcomes in the International Cooperative Pulmonary Embolism Registry (ICOPER). Lancet 1999, 353, 1386–1389. [Google Scholar] [CrossRef]
- Grifoni, S.; Olivotto, I.; Cecchini, P.; Pieralli, F.; Camaiti, A.; Santoro, G.; Conti, A.; Agnelli, G.; Berni, G. Short-term clinical outcome of patients with acute pulmonary embolism, normal blood pressure, and echocardiographic right ventricular dysfunction. Circulation 2000, 101, 2817–2822. [Google Scholar] [CrossRef]
- Ribeiro, A.; Lindmarker, P.; Juhlin-Dannfelt, A.; Johnsson, H.; Jorfeldt, L. Echocardiography Doppler in pulmonary embolism: Right ventricular dysfunction as a predictor of mortality rate. Am. Heart J. 1997, 134, 479–487. [Google Scholar] [CrossRef]
- Frémont, B.; Pacouret, G.; Jacobi, D.; Puglisi, R.; Charbonnier, B.; de Labriolle, A. Prognostic value of echocardiographic right/left ventricular end-diastolic diameter ratio in patients with acute pulmonary embolism: Results from a monocenter registry of 1,416 patients. Chest 2008, 133, 358–362. [Google Scholar] [CrossRef]
- Wolfe, M.W.; Lee, R.T.; Feldstein, M.L.; Parker, J.A.; Come, P.C.; Goldhaber, S.Z. Prognostic significance of right ventricular hypokinesis and perfusion lung scan defects in pulmonary embolism. Am. Heart J. 1994, 127, 1371–1375. [Google Scholar] [CrossRef]
- Kasper, W.; Konstantinides, S.; Geibel, A.; Tiede, N.; Krause, T.; Just, H. Prognostic significance of right ventricular afterload stress detected by echocardiography in patients with clinically suspected pulmonary embolism. Heart 1997, 77, 346–349. [Google Scholar] [CrossRef]
- Raisinghani, A.; Ben-Yehuda, O. Echocardiography in chronic thromboembolic pulmonary hypertension. Semin. Thorac. Cardiovasc. Surg. 2006, 18, 230–235. [Google Scholar] [CrossRef] [PubMed]
- Kim, N.H.; Delcroix, M.; Jenkins, D.P.; Channick, R.; Dartevelle, P.; Jansa, P.; Lang, I.; Madani, M.M.; Ogino, H.; Pengo, V.; et al. Chronic thromboembolic pulmonary hypertension. J. Am. Coll. Cardiol. 2013, 62, D92–D99. [Google Scholar] [CrossRef] [PubMed]
- Jamieson, S.W.; Kapelanski, D.P. Pulmonary endarterectomy. Curr. Probl. Surg. 2000, 37, 165–252. [Google Scholar] [CrossRef]
- Jamieson, S.W.; Kapelanski, D.P.; Sakakibara, N.; Manecke, G.R.; Thistlethwaite, P.A.; Kerr, K.M.; Channick, R.N.; Fedullo, P.F.; Auger, W.R. Pulmonary endarterectomy: Experience and lessons learned in 1,500 cases. Ann. Thorac. Surg. 2003, 76, 1457–1462. [Google Scholar] [CrossRef]
- Madani, M.M. Surgical Treatment of Chronic Thromboembolic Pulmonary Hypertension: Pulmonary Thromboendarterectomy. Methodist. Debakey Cardiovasc. J. 2016, 12, 213–218. [Google Scholar] [CrossRef]
- Brener, M.I.; Green, P.; Parikh, S.A.; Sethi, S.S. Acute pulmonary embolism unmasking underlying chronic thromboembolic pulmonary hypertension and iliac vein compression syndrome. Catheter. Cardiovasc. Interv. 2020, 95, 462–466. [Google Scholar] [CrossRef]
- Gerges, M.; Yacoub, M. Chronic thromboembolic pulmonary hypertension—Still evolving. Glob. Cardiol. Sci. Pract. 2020, 2020, e202011. [Google Scholar] [CrossRef]
- Mayer, E. Surgical and post-operative treatment of chronic thromboembolic pulmonary hypertension. Eur. Respir. Rev. Off. J. Eur. Respir. Soc. 2010, 19, 64–67. [Google Scholar] [CrossRef]
- Humbert, M.; Lau, E.M.; Montani, D.; Jaïs, X.; Sitbon, O.; Simonneau, G. Advances in therapeutic interventions for patients with pulmonary arterial hypertension. Circulation 2014, 130, 2189–2208. [Google Scholar] [CrossRef]
- Jais, X.; D’Armini, A.M.; Jansa, P.; Torbicki, A.; Delcroix, M.; Ghofrani, H.A.; Hoeper, M.M.; Lang, I.M.; Mayer, E.; Pepke-Zaba, J.; et al. Bosentan for treatment of inoperable chronic thromboembolic pulmonary hypertension: BENEFiT (Bosentan Effects in iNopErable Forms of chronIc Thromboembolic pulmonary hypertension), a randomized, placebo-controlled trial. J. Am. Coll. Cardiol. 2008, 52, 2127–2134. [Google Scholar] [CrossRef]
- Ghofrani, H.A.; D’Armini, A.M.; Grimminger, F.; Hoeper, M.M.; Jansa, P.; Kim, N.H.; Mayer, E.; Simonneau, G.; Wilkins, M.R.; Fritsch, A.; et al. Riociguat for the treatment of chronic thromboembolic pulmonary hypertension. N. Engl. J. Med. 2013, 369, 319–329. [Google Scholar] [CrossRef] [PubMed]
- Ghofrani, H.A.; Simonneau, G.; D’Armini, A.M.; Fedullo, P.; Howard, L.S.; Jais, X.; Jenkins, D.P.; Jing, Z.C.; Madani, M.M.; Martin, N.; et al. Macitentan for the treatment of inoperable chronic thromboembolic pulmonary hypertension (MERIT-1): Results from the multicentre, phase 2, randomised, double-blind, placebo-controlled study. Lancet Respir. Med. 2017, 5, 785–794. [Google Scholar] [CrossRef]
- Feinstein, J.A.; Goldhaber, S.Z.; Lock, J.E.; Ferndandes, S.M.; Landzberg, M.J. Balloon pulmonary angioplasty for treatment of chronic thromboembolic pulmonary hypertension. Circulation 2001, 103, 10–13. [Google Scholar] [CrossRef]
- Sugimura, K.; Fukumoto, Y.; Satoh, K.; Nochioka, K.; Miura, Y.; Aoki, T.; Tatebe, S.; Miyamichi-Yamamoto, S.; Shimokawa, H. Percutaneous transluminal pulmonary angioplasty markedly improves pulmonary hemodynamics and long-term prognosis in patients with chronic thromboembolic pulmonary hypertension. Circ. J. 2012, 76, 485–488. [Google Scholar] [CrossRef] [PubMed]
- Kataoka, M.; Inami, T.; Kawakami, T.; Fukuda, K.; Satoh, T. Balloon Pulmonary Angioplasty (Percutaneous Transluminal Pulmonary Angioplasty) for Chronic Thromboembolic Pulmonary Hypertension: A Japanese Perspective. JACC Cardiovasc. Interv. 2019, 12, 1382–1388. [Google Scholar] [CrossRef] [PubMed]
- Mizoguchi, H.; Ogawa, A.; Munemasa, M.; Mikouchi, H.; Ito, H.; Matsubara, H. Refined balloon pulmonary angioplasty for inoperable patients with chronic thromboembolic pulmonary hypertension. Circ. Cardiovasc. Interv. 2012, 5, 748–755. [Google Scholar] [CrossRef]
- D’Armini, A.M.; Morsolini, M.; Mattiucci, G.; Grazioli, V.; Pin, M.; Sciortino, A.; Arbustini, E.; Goggi, C.; Viganò, M. Chronic thromboembolic pulmonary hypertension: From transplantation to distal pulmonary endarterectomy. J. Heart Lung Transplant. 2016, 35, 827–831. [Google Scholar] [CrossRef]
- Sutton, G.C.; Hall, R.J.; Kerr, I.H. Clinical course and late prognosis of treated subacute massive, acute minor, and chronic pulmonary thromboembolism. Br. Heart J. 1977, 39, 1135–1142. [Google Scholar] [CrossRef]















| Patient 1 | Patient 2 | Patient 4 | |
|---|---|---|---|
| Age | 49 years | 48 years | 52 years |
| Gender | male | male | female |
| Comorbidities/associated events | Atrial septal defect | - | Recurrent hemoptysis, anticoagulation therapy for known CTEPH |
| Acute event-surgery interval | 2 days | 14 days | 53 days |
| HR at acute event | 90 bpm | 89 bpm | 75 bpm |
| sPAP at acute event | 50 mmHg | 54 mmHg | 55 mmHg |
| Medical treatment before surgery | Double antiplatelet therapy, i.v. heparin | i.v: heparin, levosimendan, sildenafil, iloprost inhalation, antiplatelet | Sildenafil, macitentan, phenprocoumon |
| Extracorporeal membrane oxygenation | ECMO | ECMO | No |
| Post-operative length of stay | 36 days | 29 days | 11 days |
| Complications | SIRS, septal hematoma, atrial fibrillation and flutter, atelectasis, delirium | sepis, aspergillosis, pneumonia, recurrent hematothorax, acute kidney failure, reperfusion edema, recurrent atelectasis, wound infection, groin abscess, femoral artery dissection, fingers and toes necrosis, SIRS and multi organ failure, death | delirium |
| HR at 1-year follow-up | 78 bpm | - | 66 bpm |
| sPAP at 1-year follow-up | 28 mmHg | - | 40 mmHg |
| mPAP/PVR at 1-year | 18 mmHg/1.3 WU | 27 mmHg/3.2 WU | |
| NYHA class at 1-year follow-up | I | - | I |
Publisher’s Note: MDPI stays neutral with regard to jurisdictional claims in published maps and institutional affiliations. |
© 2022 by the authors. Licensee MDPI, Basel, Switzerland. This article is an open access article distributed under the terms and conditions of the Creative Commons Attribution (CC BY) license (https://creativecommons.org/licenses/by/4.0/).
Share and Cite
Opitz, I.; Patella, M.; Lauk, O.; Inci, I.; Bettex, D.; Horisberger, T.; Schüpbach, R.; Keller, D.I.; Frauenfelder, T.; Kucher, N.; et al. Acute on Chronic Thromboembolic Pulmonary Hypertension: Case Series and Review of Management. J. Clin. Med. 2022, 11, 4224. https://doi.org/10.3390/jcm11144224
Opitz I, Patella M, Lauk O, Inci I, Bettex D, Horisberger T, Schüpbach R, Keller DI, Frauenfelder T, Kucher N, et al. Acute on Chronic Thromboembolic Pulmonary Hypertension: Case Series and Review of Management. Journal of Clinical Medicine. 2022; 11(14):4224. https://doi.org/10.3390/jcm11144224
Chicago/Turabian StyleOpitz, Isabelle, Miriam Patella, Olivia Lauk, Ilhan Inci, Dominique Bettex, Thomas Horisberger, Reto Schüpbach, Dagmar I. Keller, Thomas Frauenfelder, Nils Kucher, and et al. 2022. "Acute on Chronic Thromboembolic Pulmonary Hypertension: Case Series and Review of Management" Journal of Clinical Medicine 11, no. 14: 4224. https://doi.org/10.3390/jcm11144224
APA StyleOpitz, I., Patella, M., Lauk, O., Inci, I., Bettex, D., Horisberger, T., Schüpbach, R., Keller, D. I., Frauenfelder, T., Kucher, N., Granton, J., Pfammatter, T., de Perrot, M., & Ulrich, S. (2022). Acute on Chronic Thromboembolic Pulmonary Hypertension: Case Series and Review of Management. Journal of Clinical Medicine, 11(14), 4224. https://doi.org/10.3390/jcm11144224

