Retrograde Autologous Talar Osteocancellous Bone Grafting for the Treatment of Osteochondral Lesions of the Talus: A Technical Note
Abstract
1. Introduction
2. Surgical Procedures
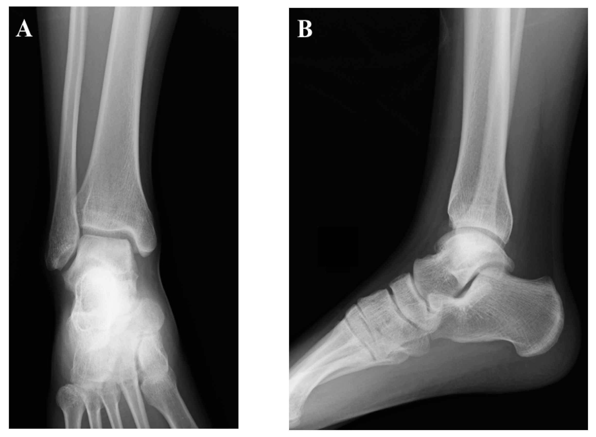
2.1. Preoperative Evaluation
2.2. Surgical Techniques
2.3. Postoperative Rehabilitation
3. Discussion
Author Contributions
Funding
Institutional Review Board Statement
Informed Consent Statement
Data Availability Statement
Acknowledgments
Conflicts of Interest
References
- Gianakos, A.L.; Yasui, Y.; Hannon, C.P.; Kennedy, J.G. Current management of talar osteochondral lesions. World J. Orthop. 2017, 8, 12–20. [Google Scholar] [CrossRef]
 - Dahmen, J.; Lambers, K.T.A.; Reilingh, M.L.; van Bergen, C.J.A.; Stufkens, S.A.S.; Kerkhoffs, G.M.M.J. No superior treatment for primary osteochondral defects of the talus. Knee Surg. Sports Traumatol. Arthrosc. 2017, 26, 2142–2157. [Google Scholar] [CrossRef]
 - Gottschalk, O.; Altenberger, S.; Baumbach, S.; Kriegelstein, S.; Dreyer, F.; Mehlhorn, A.; Hörterer, H.; Töpfer, A.; Röser, A.; Walther, M. Functional Medium-Term Results after Autologous Matrix-Induced Chondrogenesis for Osteochondral Lesions of the Talus: A 5-Year Prospective Cohort Study. J. Foot Ankle Surg. 2017, 56, 930–936. [Google Scholar] [CrossRef] [PubMed]
 - Kreulen, C.; Giza, E.; Walton, J.; Sullivan, M. Seven-Year Follow-up of Matrix-Induced Autologous Implantation in Talus Articular Defects. Foot Ankle Spec. 2018, 11, 133–137. [Google Scholar] [CrossRef] [PubMed]
 - Park, C.H.; Song, K.S.; Kim, J.R.; Lee, S.W. Retrospective evaluation of outcomes of bone peg fixation for osteochondral lesion of the talus. Bone Jt. J. 2020, 102-B, 1349–1353. [Google Scholar] [CrossRef] [PubMed]
 - Lenz, C.G.; Tan, S.; Carey, A.L.; Ang, K.; Schneider, T. Matrix-Induced Autologous Chondrocyte Implantation (MACI) Grafting for Osteochondral Lesions of the Talus. Foot Ankle Int. 2020, 41, 1099–1105. [Google Scholar] [CrossRef]
 - Hurley, E.T.; Stewart, S.K.; Kennedy, J.G.; Strauss, E.J.; Calder, J.; Ramasamy, A. Current management strategies for osteochondral lesions of the talus. Bone Jt. J. 2021, 103-B, 207–212. [Google Scholar] [CrossRef]
 - Rikken, Q.G.H.; Dahmen, J.; Stufkens, S.A.S.; Kerkhoffs, G.M.M.J. Satisfactory long-term clinical outcomes after bone marrow stimulation of osteochondral lesions of the talus. Knee Surg. Sports Traumatol. Arthrosc. 2021, 29, 3525–3533. [Google Scholar] [CrossRef]
 - Park, J.H.; Park, K.H.; Cho, J.Y.; Han, S.H.; Lee, J.W. Bone Marrow Stimulation for Osteochondral Lesions of the Talus: Are Clinical Outcomes Maintained 10 Years Later? Am. J. Sports Med. 2021, 49, 1220–1226. [Google Scholar] [CrossRef]
 - Ramponi, L.; Yasui, Y.; Murawski, C.D.; Ferkel, R.D.; DiGiovanni, C.W.; Kerkhoffs, G.M.M.J.; Calder, J.D.F.; Takao, M.; Vannini, F.; Choi, W.J.; et al. Lesion Size Is a Predictor of Clinical Outcomes after Bone Marrow Stimulation for Osteochondral Lesions of the Talus: A Systematic Review. Am. J. Sports Med. 2017, 45, 1698–1705. [Google Scholar] [CrossRef]
 - Yang, H.Y.; Lee, K.B. Arthroscopic Microfracture for Osteochondral Lesions of the Talus: Second-Look Arthroscopic and Magnetic Resonance Analysis of Cartilage Repair Tissue Outcomes. J. Bone Jt. Surg. Am. 2020, 102, 10–20. [Google Scholar] [CrossRef] [PubMed]
 - Lee, K.B.; Bai, L.B.; Yoon, T.R.; Jung, S.T.; Seon, J.K. Second-look arthroscopic findings and clinical outcomes after microfracture for osteochondral lesions of the talus. Am. J. Sports Med. 2009, 37 (Suppl. 1), 63S–70S. [Google Scholar] [CrossRef] [PubMed]
 - Walther, M.; Valderrabano, V.; Wiewiorski, M.; Usuelli, F.G.; Richter, M.; Baumfeld, T.S.; Kubosch, J.; Gottschalk, O.; Wittmann, U. Is there clinical evidence to support autologous matrix-induced chondrogenesis (AMIC) for chondral defects in the talus? A systematic review and meta-analysis. Foot Ankle Surg. 2021, 27, 236–245. [Google Scholar] [CrossRef]
 - Kreuz, P.C.; Steinwachs, M.; Erggelet, C.; Lahm, A.; Henle, P.; Niemeyer, P. Mosaicplasty with autogenous talar autograft for osteochondral Iesions of the talus after failed primary arthroscopjc management: A prospective study with a 4-year follow-up. Am. J. Sports Med. 2006, 34, 55–63. [Google Scholar] [CrossRef]
 - Migliorini, F.; Maffulli, N.; Bell, A.; Hildebrand, F.; Weber, C.D.; Lichte, P. Autologous Matrix-Induced Chondrogenesis (AMIC) for Osteochondral Defects of the Talus: A Systematic Review. Life 2022, 12, 1738. [Google Scholar] [CrossRef]
 - Weigelt, L.; Hartmann, R.; Pfirrmann, C.; Espinosa, N.; Wirth, S.H. Autologous Matrix-Induced Chondrogenesis for Osteochondral Lesions of the Talus: A Clinical and Radiological 2- to 8-Year Follow-up Study. Am. J. Sports Med. 2019, 47, 1679–1686. [Google Scholar] [CrossRef] [PubMed]
 - Murphy, E.P.; McGoldrick, N.P.; Curtin, M.; Kearns, S.R. A prospective evaluation of bone marrow aspirate concentrate and microfracture in the treatment of osteochondral lesions of the talus. Foot Ankle Surg. 2019, 25, 441–448. [Google Scholar] [CrossRef]
 - Seow, D.; Ubillus, H.A.; Azam, M.T.; Mercer, N.; Yasui, Y.; Hui, J.; Pearce, C.J.; Kennedy, J.G. Limited evidence of adjuvant biologics with bone marrow stimulation for the treatment of osteochondral lesion of the talus: A systematic review. Knee Surg. Sports Traumatol. Arthrosc. 2022, 30, 4238–4249. [Google Scholar] [CrossRef]
 - Yausep, O.E.; Madhi, I.; Trigkilidas, D. Platelet rich plasma for treatment of osteochondral lesions of the talus: A systematic review of clinical trials. J. Orthop. 2020, 18, 218–225. [Google Scholar] [CrossRef]
 - Shimozono, Y.; Yasui, Y.; Hurley, E.T.; Paugh, R.A.; Deyer, T.W.; Kennedy, J.G. Concentrated Bone Marrow Aspirate May Decrease Postoperative Cyst Occurrence Rate in Autologous Osteochondral Transplantation for Osteochondral Lesions of the Talus. Arthroscopy 2019, 35, 99–105. [Google Scholar] [CrossRef]
 - Sammarco, G.J.; Makwana, N.K. Treatment of talar osteochondral lesions using local osteochondral graft. Foot Ankle Int. 2002, 23, 693–698. [Google Scholar] [CrossRef] [PubMed]
 - Scranton, P.E., Jr.; Frey, C.C.; Feder, K.S. Outcome of osteochondral autograft transplantation for type-V cystic osteochondral lesions of the talus. J. Bone Jt. Surg. Br. 2006, 88, 614–619. [Google Scholar] [CrossRef] [PubMed]
 - Baltzer, A.W.; Arnold, J.P. Bone-cartilage transplantation from the ipsilateral knee for chondral lesions of the talus. Arthroscopy 2005, 21, 159–166. [Google Scholar] [CrossRef]
 - Leumann, A.; Horisberger, M.; Buettner, O.; Mueller-Gerbl, M.; Valderrabano, V. Medial malleolar osteotomy for the treatment of talar osteochondral lesions: Anatomical and morbidity considerations. Knee Surg. Sports Traumatol. Arthrosc. 2016, 24, 2133–2139. [Google Scholar] [CrossRef] [PubMed]
 - Kuettner, K.E.; Cole, A.A. Cartilage degeneration in different human joints. Osteoarthr. Cartil. 2005, 13, 93–103. [Google Scholar] [CrossRef] [PubMed]
 - Eger, W.; Schumacher, B.L.; Mollenhauer, J.; Kuettner, K.E.; Cole, A.A. Human knee and ankle cartilage explants: Catabolic differences. J. Orthop. Res. 2002, 20, 526–534. [Google Scholar] [CrossRef]
 - Kempson, G.E. Age-related changes in the tensile properties of human articular cartilage: A comparative study between the femoral head of the hip joint and the talus of the ankle joint. Biochim. Biophys. Acta 1991, 1075, 223–230. [Google Scholar] [CrossRef]
 - Takao, M.; Innami, K.; Komatsu, F.; Matsushita, T. Retrograde cancellous bone plug transplantation for the treatment of advanced osteochondral lesions with large subchondral lesions of the ankle. Am. J. Sports Med. 2010, 38, 1653–1660. [Google Scholar] [CrossRef]
 - Iwasaki, N.; Kato, H.; Kamishima, T.; Suenaga, N.; Minami, A. Donor site evaluation after autologous osteochondral mosaicplasty for cartilaginous lesions of the elbow joint. Am. J. Sports Med. 2007, 35, 2096–2100. [Google Scholar] [CrossRef]
 - Nakagawa, Y.; Mukai, S.; Setoguchi, Y.; Goto, T.; Furukawa, T.; Nakamura, T. Clinical Outcomes of Donor Sites after Osteochondral Graft Harvest from Healthy Knees. Orthop. J. Sports Med. 2017, 5, 2325967117732525. [Google Scholar] [CrossRef]
 - Andrade, R.; Vasta, S.; Pereira, R.; Pereira, H.; Papalia, R.; Karahan, M.; Oliveira, J.M.; Reis, R.L.; Espregueira-Mendes, J. Knee donor-site morbidity after mosaicplasty-a systematic review. J. Exp. Orthop. 2016, 3, 31. [Google Scholar] [CrossRef]
 - Greenwald, A.S.; Boden, S.D.; Goldberg, V.M.; Khan, Y.; Laurencin, C.T.; Rosier, R.N.; American Academy of Orthopaedic Surgeons. The committee on biological implants. Bone-graft substitutes: Facts, fictions, and applications. J. Bone Jt. Surg. Am. 2001, 83 Pt 2 (Suppl. 2), 98–103. [Google Scholar] [CrossRef]
 - Dimitriou, R.; Mataliotakis, G.I.; Angoules, A.G.; Kanakaris, N.K.; Giannoudis, P.V. Complications following autologous bone graft harvesting from the iliac crest and using the RIA: A systematic review. Injury 2011, 42 (Suppl. 2), S3–S15. [Google Scholar] [CrossRef]
 - Sagi, H.C.; Young, M.L.; Gerstenfeld, L.; Einhorn, T.A.; Tornetta, P. Qualitative and quantitative differences between bone graft obtained from the medullary canal (with a Reamer/Irrigator/Aspirator) and the iliac crest of the same patient. J. Bone Jt. Surg. Am. 2012, 94, 2128–2135. [Google Scholar] [CrossRef] [PubMed]
 - Ebraheim, N.A.; Sabry, F.F.; Nadim, Y. Internal architecture of the talus: Implication for talar fracture. Foot Ankle Int. 1999, 20, 794–796. [Google Scholar] [CrossRef]
 - Krause, M.; Rupprecht, M.; Mumme, M.; Püschel, K.; Amling, M.; Barvencik, F. Bone Microarchitecture of the Talus Changes with Aging. Clin. Orthop. Relat. Res. 2013, 471, 3663–3671. [Google Scholar] [CrossRef]
 - Pal, G.P.; Routal, R.V. Architecture of the cancellous bone of the human talus. Anat. Rec. 1998, 252, 185–193. [Google Scholar] [CrossRef]
 - Rothrauff, B.B.; Murawski, C.D.; Angthong, C.; Becher, C.; Nehrer, S.; Niemeyer, P.; Sullivan, M.; Valderrabano, V.; Walther, M.; Ferkel, R.D.; et al. Scaffold-Based Therapies: Proceedings of the International Consensus Meeting on Cartilage Repair of the Ankle. Foot Ankle Int. 2018, 39 (Suppl. 1), 41S–47S. [Google Scholar] [CrossRef] [PubMed]
 - Gorgun, B.; Gamlı, A.; Duran, M.E.; Bayram, B.; Ulku, T.K.; Kocaoglu, B. Collagen Scaffold Application in Arthroscopic Reconstruction of Osteochondral Lesions of the Talus with Autologous Cancellous Bone Grafts. Orthop. J. Sports Med. 2023, 11, 23259671221145733. [Google Scholar] [CrossRef]
 - Becher, C.; Malahias, M.A.; Ali, M.M.; Maffulli, N.; Thermann, H. Arthroscopic microfracture vs. arthroscopic autologous matrix-induced chondrogenesis for the treatment of articular cartilage defects of the talus. Knee Surg. Sports Traumatol. Arthrosc. 2019, 27, 2731–2736. [Google Scholar] [CrossRef]
 









| Advantages | 
| 1. Healthy talar cancellous bone can be used as an autograft. | 
| 2. No need for malleolar osteotomy. | 
| 3. No need to harvest an autograft (iliac crest, knee). | 
| Disadvantages | 
| 1. The hyaline cartilage cannot be restored. | 
| 2. There is a risk of iatrogenic damage to the talar insertion of the ATFL. | 
| 3. There is a risk of iatrogenic damage to the tibial articular cartilage. | 
Disclaimer/Publisher’s Note: The statements, opinions and data contained in all publications are solely those of the individual author(s) and contributor(s) and not of MDPI and/or the editor(s). MDPI and/or the editor(s) disclaim responsibility for any injury to people or property resulting from any ideas, methods, instructions or products referred to in the content.  | 
© 2023 by the authors. Licensee MDPI, Basel, Switzerland. This article is an open access article distributed under the terms and conditions of the Creative Commons Attribution (CC BY) license (https://creativecommons.org/licenses/by/4.0/).
Share and Cite
Yokoe, T.; Tajima, T.; Yamaguchi, N.; Morita, Y.; Chosa, E. Retrograde Autologous Talar Osteocancellous Bone Grafting for the Treatment of Osteochondral Lesions of the Talus: A Technical Note. J. Clin. Med. 2023, 12, 3431. https://doi.org/10.3390/jcm12103431
Yokoe T, Tajima T, Yamaguchi N, Morita Y, Chosa E. Retrograde Autologous Talar Osteocancellous Bone Grafting for the Treatment of Osteochondral Lesions of the Talus: A Technical Note. Journal of Clinical Medicine. 2023; 12(10):3431. https://doi.org/10.3390/jcm12103431
Chicago/Turabian StyleYokoe, Takuji, Takuya Tajima, Nami Yamaguchi, Yudai Morita, and Etsuo Chosa. 2023. "Retrograde Autologous Talar Osteocancellous Bone Grafting for the Treatment of Osteochondral Lesions of the Talus: A Technical Note" Journal of Clinical Medicine 12, no. 10: 3431. https://doi.org/10.3390/jcm12103431
APA StyleYokoe, T., Tajima, T., Yamaguchi, N., Morita, Y., & Chosa, E. (2023). Retrograde Autologous Talar Osteocancellous Bone Grafting for the Treatment of Osteochondral Lesions of the Talus: A Technical Note. Journal of Clinical Medicine, 12(10), 3431. https://doi.org/10.3390/jcm12103431
        
