Complete Pathologic Response to PARP Inhibitor Olaparib in a Patient with Stage IVB Recurrent Endometrioid Endometrial Adenocarcinoma
Abstract
1. Introduction
2. Case Presentation
2.1. History of Presenting Illness
2.2. Surgical Findings
2.3. Pathology
2.4. Immunohistochemistry (IHC)
2.5. Somatic Tumor Testing
2.6. Adjuvant Therapy and First Recurrence
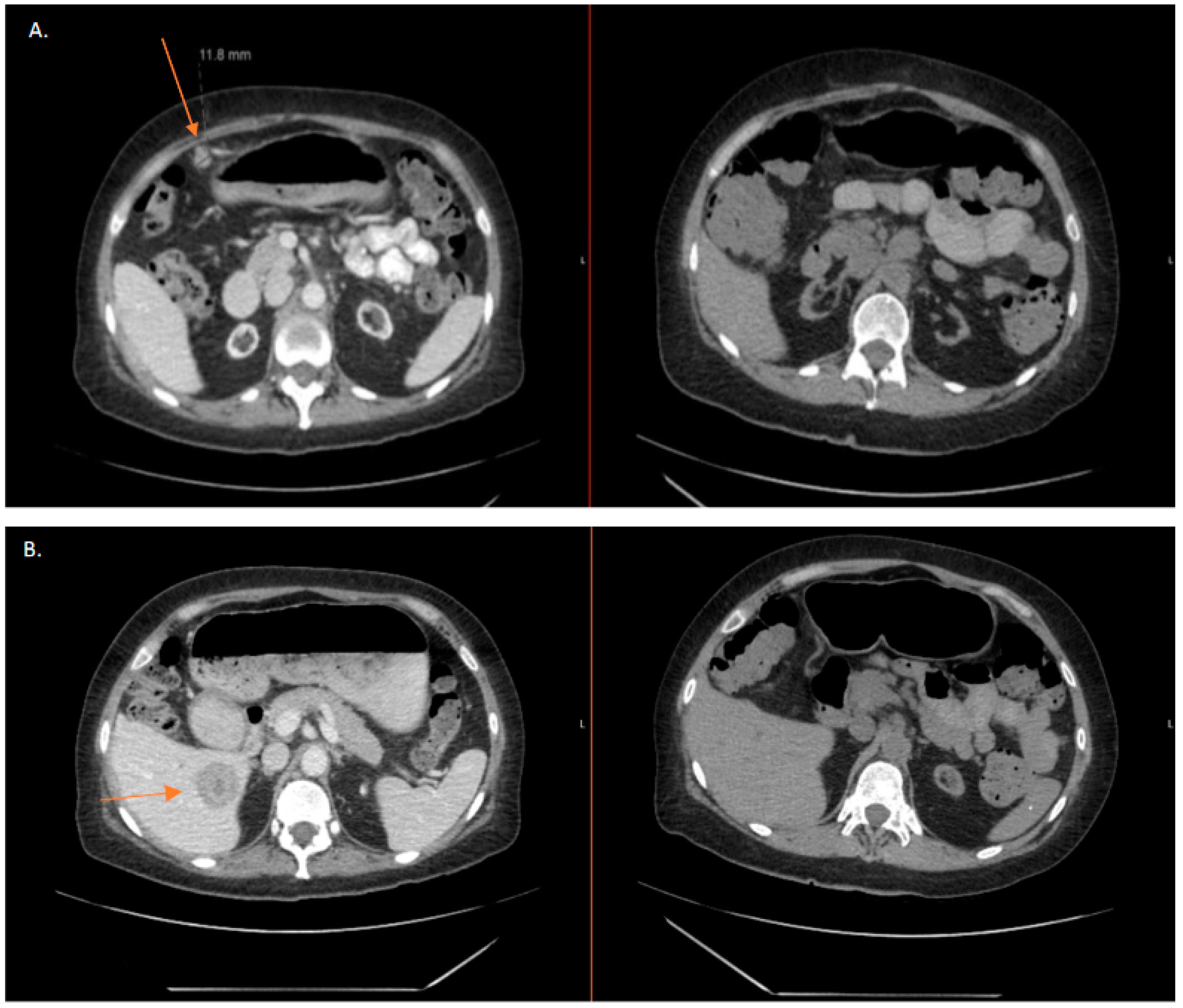
2.7. Compassionate Treatment with Olaparib
3. Discussion
Author Contributions
Funding
Institutional Review Board Statement
Informed Consent Statement
Data Availability Statement
Acknowledgments
Conflicts of Interest
References
- Cancer Stat Facts: Uterine Cancer. 2022. Available online: https://seer.cancer.gov/statfacts/html/corp.html (accessed on 17 April 2023).
- Vargas, R.; Rauh-Hain, J.A.; Clemmer, J.; Clark, R.M.; Goodman, A.; Growdon, W.B.; Schorge, J.O.; del Carmen, M.G.; Horowitz, N.S.; Boruta, D.M. Tumor size, depth of invasion, and histologic grade as prognostic factors of lymph node involvement in endometrial cancer: A SEER analysis. Gynecol. Oncol. 2014, 133, 216–220. [Google Scholar] [CrossRef] [PubMed]
- de Boer, S.M.; Powell, M.E.; Mileshkin, L.; Katsaros, D.; Bessette, P.; Haie-Meder, C.; Tubiana-Mathieu, N. Adjuvant chemoradiotherapy versus radiotherapy alone in women with high-risk endometrial cancer (PORTEC-3): Patterns of recurrence and post-hoc survival analysis of a randomised phase 3 trial. Lancet Oncol. 2019, 20, 1273–1285. [Google Scholar] [CrossRef] [PubMed]
- Levine, D.A.; The Cancer Genome Atlas Research Network. Integrated genomic characterization of endometrial carcinoma. Nature 2013, 497, 67–73. [Google Scholar] [CrossRef] [PubMed]
- Uterine Neoplasms. Available online: https://www.nccn.org/professionals/physician_gls/pdf/uterine.pdf (accessed on 17 April 2023).
- Consortium, R.R. Refining adjuvant treatment in endometrial cancer based on molecular features: The RAINBO clinical trial program. Int. J. Gynecol. Cancer 2023, 33, 109–117. [Google Scholar] [CrossRef] [PubMed]
- Moore, K.; Colombo, N.; Scambia, G.; Kim, B.G.; Oaknin, A.; Friedlander, M.; DiSilvestro, P. Maintenance Olaparib in Patients with Newly Diagnosed Advanced Ovarian Cancer. N. Engl. J. Med. 2018, 379, 2495–2505. [Google Scholar] [CrossRef] [PubMed]
- González-Martín, A.; Pothuri, B.; Vergote, I.; DePont Christensen, R.; Graybill, W.; Mirza, M.R.; Monk, B.J. Niraparib in Patients with Newly Diagnosed Advanced Ovarian Cancer. N. Engl. J. Med. 2019, 381, 2391–2402. [Google Scholar] [CrossRef] [PubMed]
- Monk, B.J.; Parkinson, C.; Lim, M.C.; O’Malley, D.M.; Oaknin, A.; Wilson, M.K.; Kristeleit, R.S. A Randomized, Phase III Trial to Evaluate Rucaparib Monotherapy as Maintenance Treatment in Patients with Newly Diagnosed Ovarian Cancer (ATHENA–MONO/GOG-3020/ENGOT-ov45). J. Clin. Oncol. 2022, 40, 3952–3964. [Google Scholar] [CrossRef] [PubMed]
- Poveda, A.; Floquet, A.; Ledermann, J.A.; Asher, R.; Penson, R.T.; Oza, A.M.; Hegg, R. Olaparib tablets as maintenance therapy in patients with platinum-sensitive relapsed ovarian cancer and a BRCA1/2 mutation (SOLO2/ENGOT-Ov21): A final analysis of a double-blind, randomised, placebo-controlled, phase 3 trial. Lancet Oncol. 2021, 22, 620–631. [Google Scholar] [CrossRef] [PubMed]
- Mirza, M.R.; Monk, B.J.; Herrstedt, J.; Oza, A.M.; Mahner, S.; Redondo, A.; Matulonis, U.A. Niraparib Maintenance Therapy in Platinum-Sensitive, Recurrent Ovarian Cancer. N. Engl. J. Med. 2016, 375, 2154–2164. [Google Scholar] [CrossRef] [PubMed]
- Kristeleit, R.; Lisyanskaya, A.; Fedenko, A.; Dvorkin, M.; de Melo, A.C.; Shparyk, Y.; Oza, A.M. Rucaparib versus standard-of-care chemotherapy in patients with relapsed ovarian cancer and a deleterious BRCA1 or BRCA2 mutation (ARIEL4): An international, open-label, randomised, phase 3 trial. Lancet Oncol. 2022, 23, 465–478. [Google Scholar] [CrossRef] [PubMed]
- Heeke, A.L.; Pishvaian, M.J.; Lynce, F.; Xiu, J.; Brody, J.R.; Chen, W.-J.; Baker, T.M.; Marshall, J.L.; Isaacs, C. Prevalence of Homologous Recombination-Related Gene Mutations Across Multiple Cancer Types. JCO Precis Oncol. 2018, 2018, 1–13. [Google Scholar] [CrossRef] [PubMed]
- Joly, F.; Brachet, P.E.; Lacourtoisie, S.A.; Asselain, B.; Floquet, A.; Collard, O.; Alexandre, J. Multicentre randomized phase II trial of olaparib as maintenance therapy in platinum-sensitive advanced endometrial carcinoma: The GINECO-UTOLA study. J. Clin. Oncol. 2020, 38 (Suppl. 15), TPS6109. [Google Scholar] [CrossRef]
- Musacchio, L.; Caruso, G.; Pisano, C.; Cecere, S.C.; Di Napoli, M.; Attademo, L.; Tambaro, R.; Russo, D.; Califano, D.; Palaia, I.; et al. PARP Inhibitors in Endometrial Cancer: Current Status and Perspectives. Cancer Manag. Res. 2020, 12, 6123–6135. [Google Scholar] [CrossRef] [PubMed]
- White, T.; Szelinger, S.; LoBello, J.; King, A.; Aldrich, J.; Garinger, N.; Halbert, M.; Richholt, R.F.; Mastrian, S.D.; Babb, C.; et al. Analytic validation and clinical utilization of the comprehensive genomic profiling test, GEM ExTra(®). Oncotarget 2021, 12, 726–739. [Google Scholar] [CrossRef] [PubMed]
- Rehm, H.L.; Bale, S.J.; Bayrak-Toydemir, P.; Berg, J.S.; Brown, K.K.; Deignan, J.L.; Friez, M.J.; Funke, B.H.; Hegde, M.R.; Lyon, E. ACMG clinical laboratory standards for next-generation sequencing. Genet. Med. 2013, 15, 733–747. [Google Scholar] [CrossRef] [PubMed]
- Nakamura, K.; Aimono, E.; Tanishima, S.; Imai, M.; Nagatsuma, A.K.; Hayashi, H.; Yoshimura, Y.; Nakayama, K.; Kyo, S.; Nishihara, H. Olaparib Monotherapy for BRIP1-Mutated High-Grade Serous Endometrial Cancer. JCO Precis. Oncol. 2020, 4, 283–290. [Google Scholar] [CrossRef] [PubMed]
- Yu, X.; Chini, C.C.S.; He, M.; Mer, G.; Chen, J. The BRCT domain is a phospho-protein binding domain. Science 2003, 302, 639–642. [Google Scholar] [CrossRef] [PubMed]
- Ouhtit, A.; Gupta, I.; Shaikh, Z. BRIP1, a potential candidate gene in development of non-BRCA1/2 breast cancer. Front. Biosci. Elite Ed. 2016, 8, 289–298. [Google Scholar] [CrossRef] [PubMed]
- Magrin, L.; Fanale, D.; Brando, C.; Fiorino, A.; Corsini, L.R.; Sciacchitano, R.; Filorizzo, C.; Dimino, A.; Russo, A.; Bazan, V. POLE, POLD1, and NTHL1: The last but not the least hereditary cancer-predisposing genes. Oncogene 2021, 40, 5893–5901. [Google Scholar] [CrossRef] [PubMed]
- Abe, A.; Imoto, I.; Ueki, A.; Nomura, H.; Kanao, H. Moderate-Risk Genes for Hereditary Ovarian Cancers Involved in the Homologous Recombination Repair Pathway. Int. J. Mol. Sci. 2022, 23, 11790. [Google Scholar] [CrossRef] [PubMed]


| Gene Name | Gene Symbol | Mutation | 
|---|---|---|
| AT-rich interactive domain-containing protein 1A | ARID1A | E1767* | 
| ATM serine/threonine kinase | ATM | H1380Y | 
| R23* | ||
| c.2921 + 1G>A | ||
| BRCA1 interacting protein C-terminal helicase 1 | BRIP1 | c.2098-2A>G | 
| Cyclin-dependent kinase inhibitor 2A | CDKN2A | D74N | 
| F-Box and WD repeat domain containing 7 | FBXW7 | R479Q | 
| MutL homolog 3 | MLH3 | K703fs | 
| MutS homolog 2 | MSH2 | E580* | 
| MutS homolog 6 | MSH6 | E641*) | 
| Mammalian target of rapamycin | MTOR | A469T | 
| Neurofibromin 1 | NF1 | W221* | 
| Phosphatidylinositol-4,5-bisphosphate 3-kinase catalytic subunit alpha | PIK3CA | E545D | 
| R348* | ||
| DNA polymerase epsilon catalytic subunit | POLE | V411L | 
| Phosphatase and tensin homolog | PTEN | R233* | 
| T277A | ||
| RAD51 paralog C | RAD51C | R370* | 
| Tumor protein P53 | TP53 | N131I | 
| Tuberous sclerosis complex 2 | TSC2 | G1157* | 
| Tumor mutational burden | TMB | High 344 mut/mB | 
| Microsatellite instability | MSI | Stable | 
| Disclaimer/Publisher’s Note: The statements, opinions and data contained in all publications are solely those of the individual author(s) and contributor(s) and not of MDPI and/or the editor(s). MDPI and/or the editor(s) disclaim responsibility for any injury to people or property resulting from any ideas, methods, instructions or products referred to in the content. | 
© 2023 by the authors. Licensee MDPI, Basel, Switzerland. This article is an open access article distributed under the terms and conditions of the Creative Commons Attribution (CC BY) license (https://creativecommons.org/licenses/by/4.0/).
Share and Cite
Senguttuvan, R.N.; Wei, C.; Raoof, M.; Dellinger, T.H.; Wang, E.W. Complete Pathologic Response to PARP Inhibitor Olaparib in a Patient with Stage IVB Recurrent Endometrioid Endometrial Adenocarcinoma. J. Clin. Med. 2023, 12, 3839. https://doi.org/10.3390/jcm12113839
Senguttuvan RN, Wei C, Raoof M, Dellinger TH, Wang EW. Complete Pathologic Response to PARP Inhibitor Olaparib in a Patient with Stage IVB Recurrent Endometrioid Endometrial Adenocarcinoma. Journal of Clinical Medicine. 2023; 12(11):3839. https://doi.org/10.3390/jcm12113839
Chicago/Turabian StyleSenguttuvan, Rosemary Noel, Christina Wei, Mustafa Raoof, Thanh H. Dellinger, and Edward Wenge Wang. 2023. "Complete Pathologic Response to PARP Inhibitor Olaparib in a Patient with Stage IVB Recurrent Endometrioid Endometrial Adenocarcinoma" Journal of Clinical Medicine 12, no. 11: 3839. https://doi.org/10.3390/jcm12113839
APA StyleSenguttuvan, R. N., Wei, C., Raoof, M., Dellinger, T. H., & Wang, E. W. (2023). Complete Pathologic Response to PARP Inhibitor Olaparib in a Patient with Stage IVB Recurrent Endometrioid Endometrial Adenocarcinoma. Journal of Clinical Medicine, 12(11), 3839. https://doi.org/10.3390/jcm12113839
 
        


 
       