Pulmonary Function in Pulmonary Sarcoidosis
Abstract
1. Introduction
2. Methods
3. Results
3.1. PFT in the Initial and Follow-up Evaluation of Sarcoidosis
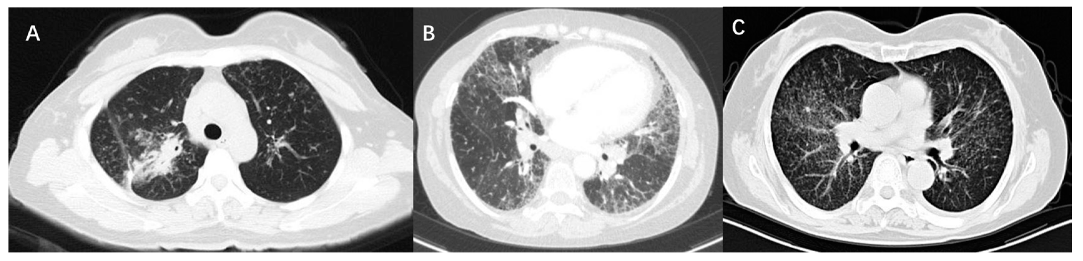
3.2. Correlation between PFT and Chest Imaging in Sarcoidosis
3.3. Evaluation of Severe Sarcoidosis
3.4. Scoring System for Sarcoidosis
3.5. The 6-Minute Walk Distance (6MWD) and Cardiopulmonary Exercise Testing (CPET)
3.6. Decision Making and Evaluation of Treatment
4. Conclusions
Author Contributions
Funding
Data Availability Statement
Conflicts of Interest
References
- Sève, P.; Pacheco, Y.; Durupt, F.; Jamilloux, Y.; Gerfaud-Valentin, M.; Isaac, S.; Boussel, L.; Calender, A.; Androdias, G.; Valeyre, D.; et al. Sarcoidosis: A Clinical Overview from Symptoms to Diagnosis. Cells 2021, 10, 766. [Google Scholar] [CrossRef] [PubMed]
- Statement on sarcoidosis. Joint statement of the american thoracic society (ATS), the european respiratory society (ERS) and the world association of sarcoidosis and other granulomatous disorders (WASOG) adopted by the ATS board of directors and by the ERS executive committee, february 1999. Am. J. Respir. Crit. Care Med. 1999, 160, 736–755. [Google Scholar]
- Baughman, R.P.; Drent, M.; Culver, D.A.; Grutters, J.C.; Handa, T.; Humbert, M.; Judson, M.A.; Lower, E.E.; Mana, J.; Pereira, C.A.; et al. Endpoints for clinical trials of sarcoidosis. Sarcoidosis Vasc. Diffus. Lung Dis. 2012, 29, 90–98. [Google Scholar]
- Chambellan, A.; Turbie, P.; Nunes, H.; Brauner, M.; Battesti, J.P.; Valeyre, D. Endoluminal stenosis of proximal bronchi in sarcoidosis: Bronchoscopy, function, and evolution. Chest 2005, 127, 472–481. [Google Scholar] [CrossRef] [PubMed]
- Walsh, S.L.; Wells, A.U.; Sverzellati, N.; Keir, G.J.; Calandriello, L.; Antoniou, K.M.; Copley, S.J.; Devaraj, A.; Maher, T.M.; Renzoni, E.; et al. An integrated clinicoradiological staging system for pulmonary sarcoidosis: A case-cohort study. Lancet Respir. Med. 2014, 2, 123–130. [Google Scholar] [CrossRef]
- Sulica, R.; Teirstein, A.S.; Kakarla, S.; Nemani, N.; Behnegar, A.; Padilla, M.L. Distinctive clinical, radiographic, and functional characteristics of patients with sarcoidosis-related pulmonary hypertension. Chest 2005, 128, 1483–1489. [Google Scholar] [CrossRef]
- Chappell, A.G.; Cheung, W.Y.; Hutchings, H.A. Sarcoidosis: A long-term follow up study. Sarcoidosis Vasc. Diffus. Lung Dis. 2000, 17, 167–173. [Google Scholar]
- Mana, J.; Salazar, A.; Pujol, R.; Manresa, F. Are the pulmonary function tests and the markers of activity helpful to establish the prognosis of sarcoidosis? Respiration 1996, 63, 298–303. [Google Scholar] [CrossRef]
- Baughman, R.P.; Winget, D.B.; Bowen, E.H.; Lower, E.E. Predicting respiratory failure in sarcoidosis patients. Sarcoidosis Vasc. Diffus. Lung Dis. 1997, 14, 154–158. [Google Scholar]
- Viskum, K.; Vestbo, J. Vital prognosis in intrathoracic sarcoidosis with special reference to pulmonary function and radiological stage. Eur. Respir. J. 1993, 6, 349–353. [Google Scholar] [CrossRef]
- Alnaimat, F.; Al, O.K.; Alrwashdeh, A.; Alnashrati, A.; Barham, S.; Hijaz, M.; Murad, D.; Alshelleh, S.; Obeidat, N. Sarcoidosis in jordan: A study of the clinical phenotype and disease outcome. Arch. Rheumatol. 2020, 35, 226–238. [Google Scholar] [CrossRef] [PubMed]
- Handa, T.; Nagai, S.; Fushimi, Y.; Miki, S.; Ohta, K.; Niimi, A.; Mishima, M.; Izumi, T. Clinical and radiographic indices associated with airflow limitation in patients with sarcoidosis. Chest 2006, 130, 1851–1856. [Google Scholar] [CrossRef] [PubMed]
- Iranmanesh, A.M.; Washington, L. Pulmonary sarcoidosis: A pictorial review. Semin. Ultrasound CT MR 2019, 40, 200–212. [Google Scholar] [CrossRef] [PubMed]
- Nardi, A.; Brillet, P.Y.; Letoumelin, P.; Girard, F.; Brauner, M.; Uzunhan, Y.; Naccache, J.M.; Valeyre, D.; Nunes, H. Stage IV sarcoidosis: Comparison of survival with the general population and causes of death. Eur. Respir. J. 2011, 38, 1368–1373. [Google Scholar] [CrossRef] [PubMed]
- Liang, N.C.; Truong, K.T.; Afshar, K. Key management considerations in sarcoidosis from the American Thoracic Society 2016 Conference. J. Thorac. Dis. 2016, 8, S569–S572. [Google Scholar] [CrossRef] [PubMed][Green Version]
- Baughman RP, Nunes H, Sweiss NJ, Lower EE: Established and experimental medical therapy of pulmonary sarcoidosis. Eur. Respir. J. 2013, 41, 1424–1438. [CrossRef]
- Ganesh, R.; Martine, R.J.; Luca, R.; Carey, C.T.; Yoshikazu, I.; Takeshi, J.; Michael, K.; David, A.L.; Toby, M.M.; Fernando, J.M.; et al. Idiopathic Pulmonary Fibrosis (an Update) and Progressive Pulmonary Fibrosis in Adults: An Official ATS/ERS/JRS/ALAT Clinical Practice Guideline. Am. J. Respir. Crit. Care Med. 2022, 1, e18–e47. [Google Scholar]
- Sweiss, N.J.; Lower, E.E.; Mirsaeidi, M.; Dudek, S.; Garcia, J.G.; Perkins, D.; Finn, P.W.; Baughman, R.P. Rituximab in the treatment of refractory pulmonary sarcoidosis. Eur. Respir. J. 2014, 43, 1525–1528. [Google Scholar] [CrossRef]
- Sharma, O.P.; Johnson, R. Airway obstruction in sarcoidosis. A study of 123 nonsmoking black American patients with sarcoidosis. Chest 1988, 94, 343–346. [Google Scholar] [CrossRef]
- Yeager, H.; Rossman, M.D.; Baughman, R.P.; Teirstein, A.S.; Judson, M.A.; Rabin, D.L.; Iannuzzi, M.C.; Rose, C.; Bresnitz, E.A.; DePalo, L.; et al. Pulmonary and psychosocial findings at enrollment in the ACCESS study. Sarcoidosis Vasc. Diffus. Lung Dis. 2005, 22, 147–153. [Google Scholar]
- Wessendorf, T.E.; Bonella, F.; Costabel, U. Diagnosis of sarcoidosis. Clin. Rev. Allergy Immunol. 2015, 49, 54–62. [Google Scholar] [CrossRef] [PubMed]
- Aleksoniene, R.; Zeleckiene, I.; Mataciunas, M.; Puronaite, R.; Jurgauskiene, L.; Malickaite, R.; Strumiliene, E.; Gruslys, V.; Zablockis, R.; Danila, E. Relationship between radiologic patterns, pulmonary function values and bronchoalveolar lavage fluid cells in newly diagnosed sarcoidosis. J. Thorac. Dis. 2017, 9, 88–95. [Google Scholar] [CrossRef] [PubMed]
- Nunes, H.; Uzunhan, Y.; Gille, T.; Lamberto, C.; Valeyre, D.; Brillet, P.Y. Imaging of sarcoidosis of the airways and lung parenchyma and correlation with lung function. Eur. Respir. J. 2012, 40, 750–765. [Google Scholar] [CrossRef]
- Baughman, R.P.; Teirstein, A.S.; Judson, M.A.; Rossman, M.D.; Yeager, H.J.; Bresnitz, E.A.; DePalo, L.; Hunninghake, G.; Iannuzzi, M.C.; Johns, C.J.; et al. Clinical characteristics of patients in a case control study of sarcoidosis. Am. J. Respir. Crit. Care Med. 2001, 164, 1885–1889. [Google Scholar] [CrossRef] [PubMed]
- Judson, M.A.; Baughman, R.P.; Thompson, B.W.; Teirstein, A.S.; Terrin, M.L.; Rossman, M.D.; Yeager, H.J.; McLennan, G.; Bresnitz, E.A.; DePalo, L.; et al. Two year prognosis of sarcoidosis: The ACCESS experience. Sarcoidosis Vasc. Diffus. Lung Dis. 2003, 20, 204–211. [Google Scholar]
- Judson, M.A.; Gilbert, G.E.; Rodgers, J.K.; Greer, C.F.; Schabel, S.I. The utility of the chest radiograph in diagnosing exacerbations of pulmonary sarcoidosis. Respirology 2008, 13, 97–102. [Google Scholar] [CrossRef] [PubMed]
- Zappala, C.J.; Desai, S.R.; Copley, S.J.; Spagnolo, R.; Cramer, D.; Sen, D.; Alam, S.M.; du Bois, R.M.; Hansell, D.M.; Wells, A.U. Optimal scoring of serial change on chest radiography in sarcoidosis. Sarcoidosis Vasc. Diffus. Lung Dis. 2011, 28, 130–138. [Google Scholar]
- Abehsera, M.; Valeyre, D.; Grenier, P.; Jaillet, H.; Battesti, J.P.; Brauner, M.W. Sarcoidosis with pulmonary fibrosis: CT patterns and correlation with pulmonary function. AJR Am. J. Roentgenol. 2000, 174, 1751–1757. [Google Scholar] [CrossRef]
- Ors, F.; Gumus, S.; Aydogan, M.; Sari, S.; Verim, S.; Deniz, O. HRCT findings of pulmonary sarcoidosis; Relation to pulmonary function tests. Multidiscip. Respir. Med. 2013, 8, 8. [Google Scholar] [CrossRef]
- Hansell, D.M.; Milne, D.G.; Wilsher, M.L.; Wells, A.U. Pulmonary sarcoidosis: Morphologic associations of airflow obstruction at thin-section CT. Radiology 1998, 209, 697–704. [Google Scholar] [CrossRef]
- Davies, C.W.; Tasker, A.D.; Padley, S.P.; Davies, R.J.; Gleeson, F.V. Air trapping in sarcoidosis on computed tomography: Correlation with lung function. Clin. Radiol. 2000, 55, 217–221. [Google Scholar] [CrossRef] [PubMed]
- Mostard, R.L.; Verschakelen, J.A.; van Kroonenburgh, M.J.; Nelemans, P.J.; Wijnen, P.A.; Voo, S.; Drent, M. Severity of pulmonary involvement and (18)F-FDG PET activity in sarcoidosis. Respir. Med. 2013, 107, 439–447. [Google Scholar] [CrossRef] [PubMed]
- Cremers, J.P.; Van Kroonenburgh, M.J.; Mostard, R.L.; Voo, S.A.; Wijnen, P.A.; Koek, G.H.; Drent, M. Extent of disease activity assessed by 18F-FDG PET/CT in a Dutch sarcoidosis population. Sarcoidosis Vasc. Diffus. Lung Dis. 2014, 31, 37–45. [Google Scholar]
- Kemal, C.T.; Aylin, O.A.; Volkan, K.; Seda, M.; Recep, B.; Can, S. The importance of PET/CT findings and hematological parameters in prediction of progression in sarcoidosis cases. Sarcoidosis Vasc. Diffus. Lung Dis. 2017, 34, 242–250. [Google Scholar]
- Keijsers, R.G.; Verzijlbergen, E.J.; van den Bosch, J.M.; Zanen, P.; van de Garde, E.M.; Oyen, W.J.; Grutters, J.C. 18F-FDG PET as a predictor of pulmonary function in sarcoidosis. Sarcoidosis Vasc. Diffus. Lung Dis. 2011, 28, 123–129. [Google Scholar]
- Vorselaars, A.D.; Crommelin, H.A.; Deneer, V.H.; Meek, B.; Claessen, A.M.; Keijsers, R.G.; van Moorsel, C.H.; Grutters, J.C. Effectiveness of infliximab in refractory FDG PET-positive sarcoidosis. Eur. Respir. J. 2015, 46, 175–185. [Google Scholar] [CrossRef]
- Keijsers, R.G.; Verzijlbergen, J.F.; van Diepen, D.M.; van den Bosch, J.M.; Grutters, J.C. 18F-FDG PET in sarcoidosis: An observational study in 12 patients treated with infliximab. Sarcoidosis Vasc. Diffus. Lung Dis. 2008, 25, 143–149. [Google Scholar]
- Spagnolo, P.; Rossi, G.; Trisolini, R.; Sverzellati, N.; Baughman, R.P.; Wells, A.U. Pulmonary sarcoidosis. Lancet Respir. Med. 2018, 6, 389–402. [Google Scholar] [CrossRef]
- Patterson, K.C.; Strek, M.E. Pulmonary fibrosis in sarcoidosis. Clinical features and outcomes. Ann. Am. Thorac. Soc. 2013, 10, 362–370. [Google Scholar] [CrossRef]
- Kirkil, G.; Lower, E.E.; Baughman, R.P. Predictors of mortality in pulmonary sarcoidosis. Chest 2018, 153, 105–113. [Google Scholar] [CrossRef]
- Boucly, A.; Cottin, V.; Nunes, H.; Jais, X.; Tazi, A.; Prevot, G.; Reynaud-Gaubert, M.; Dromer, C.; Viacroze, C.; Horeau-Langlard, D.; et al. Management and long-term outcomes of sarcoidosis-associated pulmonary hypertension. Eur. Respir. J. 2017, 50. [Google Scholar] [CrossRef] [PubMed]
- Handa, T.; Nagai, S.; Miki, S.; Fushimi, Y.; Ohta, K.; Mishima, M.; Izumi, T. Incidence of pulmonary hypertension and its clinical relevance in patients with sarcoidosis. Chest 2006, 129, 1246–1252. [Google Scholar] [CrossRef] [PubMed]
- Jeny, F.; Bernaudin, J.F.; Cohen, A.F.; Brillet, P.Y.; Bouvry, D.; Nunes, H.; Valeyre, D. Diagnosis issues in sarcoidosis. Respir. Med. Res. 2020, 77, 37–45. [Google Scholar] [CrossRef] [PubMed]
- Baughman, R.P.; Engel, P.J.; Taylor, L.; Lower, E.E. Survival in sarcoidosis-associated pulmonary hypertension: The importance of hemodynamic evaluation. Chest 2010, 138, 1078–1085. [Google Scholar] [CrossRef]
- Shlobin, O.A.; Nathan, S.D. Management of end-stage sarcoidosis: Pulmonary hypertension and lung transplantation. Eur. Respir. J. 2012, 39, 1520–1533. [Google Scholar] [CrossRef]
- Savale, L.; Huitema, M.; Shlobin, O.; Kouranos, V.; Nathan, S.D.; Nunes, H.; Gupta, R.; Grutters, J.C.; Culver, D.A.; Post, M.C.; et al. WASOG statement on the diagnosis and management of sarcoidosis-associated pulmonary hypertension. Eur. Respir. Rev. 2022, 31. [Google Scholar] [CrossRef]
- Bourbonnais, J.M.; Samavati, L. Clinical predictors of pulmonary hypertension in sarcoidosis. Eur. Respir. J. 2008, 32, 296–302. [Google Scholar] [CrossRef]
- Shlobin, O.A.; Kouranos, V.; Barnett, S.D.; Alhamad, E.H.; Culver, D.A.; Barney, J.; Cordova, F.C.; Carmona, E.M.; Scholand, M.B.; Wijsenbeek, M.; et al. Physiological predictors of survival in patients with sarcoidosis-associated pulmonary hypertension: Results from an international registry. Eur. Respir. J. 2020, 55, 1901747. [Google Scholar] [CrossRef]
- Wells, A.U.; Desai, S.R.; Rubens, M.B.; Goh, N.S.; Cramer, D.; Nicholson, A.G.; Colby, T.V.; du Bois, R.M.; Hansell, D.M. Idiopathic pulmonary fibrosis: A composite physiologic index derived from disease extent observed by computed tomography. Am. J. Respir. Crit. Care Med. 2003, 167, 962–969. [Google Scholar] [CrossRef]
- Baughman, R.P.; Sweiss, N.; Keijsers, R.; Birring, S.S.; Shipley, R.; Saketkoo, L.A.; Lower, E.E. Repository corticotropin for Chronic Pulmonary Sarcoidosis. Lung 2017, 195, 313–322. [Google Scholar] [CrossRef]
- Baughman, R.P.; Tillinger, M.; Qin, Y.; Sweiss, N.; Lower, E.E. A composite score to assess treatment response in pulmonary sarcoidosis: The Sarcoidosis Treatment Score (STS). Sarcoidosis Vasc. Diffus. Lung Dis. 2019, 36, 86–88. [Google Scholar]
- Mirsaeidi, M.; Baughman, R.P.; Sahoo, D.; Tarau, E. Results from a phase 4, multicenter, randomized, Double-Blind, Placebo-Controlled study of repository corticotropin injection for the treatment of pulmonary sarcoidosis. Pulm. Ther. 2023, 9, 237–253. [Google Scholar] [CrossRef] [PubMed]
- Lin, N.W.; Arbet, J.; Mroz, M.M.; Liao, S.Y.; Restrepo, C.I.; Mayer, A.S.; Li, L.; Barkes, B.Q.; Schrock, S.; Hamzeh, N.; et al. Clinical phenotyping in sarcoidosis using cluster analysis. Respir. Res. 2022, 23, 88. [Google Scholar] [CrossRef] [PubMed]
- Baughman, R.P.; Sparkman, B.K.; Lower, E.E. Six-minute walk test and health status assessment in sarcoidosis. Chest 2007, 132, 207–213. [Google Scholar] [CrossRef] [PubMed]
- Pescaru, C.; Frandes, M.; Marc, M.; Traila, D.; Pescaru, A.; Oancea, C. Physical activity and respiratory muscle strength in patients with sarcoidosis: An observational study. Int. J. Gen. Med. 2022, 15, 291–297. [Google Scholar] [CrossRef]
- Keir, G.J.; Walsh, S.L.; Gatzoulis, M.A.; Marino, P.S.; Dimopoulos, K.; Alonso, R.; Raposeiras-Roubin, S.; Renzoni, E.A.; Maher, T.M.; Wells, A.U.; et al. Treatment of sarcoidosis-associated pulmonary hypertension: A single centre retrospective experience using targeted therapies. Sarcoidosis Vasc. Diffus. Lung Dis. 2014, 31, 82–90. [Google Scholar]
- Barnett, C.F.; Bonura, E.J.; Nathan, S.D.; Ahmad, S.; Shlobin, O.A.; Osei, K.; Zaiman, A.L.; Hassoun, P.M.; Moller, D.R.; Barnett, S.D.; et al. Treatment of sarcoidosis-associated pulmonary hypertension. A two-center experience. Chest 2009, 135, 1455–1461. [Google Scholar] [CrossRef]
- Sweiss, N.J.; Barnathan, E.S.; Lo, K.; Judson, M.A.; Baughman, R. C-reactive protein predicts response to infliximab in patients with chronic sarcoidosis. Sarcoidosis Vasc. Diffus. Lung Dis. 2010, 27, 49–56. [Google Scholar]
- Baughman, R.P.; Lower, E.E. Six-minute walk test in managing and monitoring sarcoidosis patients. Curr. Opin. Pulm. Med. 2007, 13, 439–444. [Google Scholar] [CrossRef]
- Marcellis, R.G.J.; Lenssen, A.F.; Vries, G.J.; Baughman, R.P.; Grinten, C.P.; Verschakelen, J.A.; Vries, J.D.; Drent, M. Is there an added value of cardiopulmonary exercise testing in sarcoidosis patients? Lung 2013, 191, 43–52. [Google Scholar] [CrossRef]
- Jeong, Y.J.; Lynch, D.A.; Rho, J.Y.; Hamzeh, N.Y.; Suh, Y.J. Computed Tomographic Scoring Systems in Sarcoidosis: Comparison With Cardiopulmonary Exercise Testing Parameters. J. Thorac. Imaging. 2016, 31, 104–110. [Google Scholar] [CrossRef] [PubMed]
- Kiani, A.; Eslaminejad, A.; Shafeipour, M.; Razavi, F.; Seyyedi, S.R.; Sharif-Kashani, B.; Emami, H.; Bakhshayesh-Karam, M.; Abedini, A. Spirometry, cardiopulmonary exercise testing and the six-minute walk test results in sarcoidosis patients. Sarcoidosis Vasc. Diffuse Lung Dis. 2019, 36, 185–194. [Google Scholar]
- Ungprasert, P.; Crowson, C.S.; Carmona, E.M.; Matteson, E.L. Outcome of pulmonary sarcoidosis: A population-based study 1976–2013. Sarcoidosis Vasc. Diffus. Lung Dis. 2018, 35, 123–128. [Google Scholar]
- Judson, M.A. The treatment of pulmonary sarcoidosis. Respir. Med. 2012, 106, 1351–1361. [Google Scholar] [CrossRef]
- Pietinalho, A.; Tukiainen, P.; Haahtela, T.; Persson, T.; Selroos, O. Oral prednisolone followed by inhaled budesonide in newly diagnosed pulmonary sarcoidosis: A double-blind, placebo-controlled multicenter study. Finnish Pulmonary Sarcoidosis Study Group. Chest 1999, 116, 424–431. [Google Scholar] [CrossRef] [PubMed]
- du Bois, R.M.; Greenhalgh, P.M.; Southcott, A.M.; Johnson, N.M.; Harris, T.A. Randomized trial of inhaled fluticasone propionate in chronic stable pulmonary sarcoidosis: A pilot study. Eur. Respir. J. 1999, 13, 1345–1350. [Google Scholar] [CrossRef] [PubMed]
- Pietinalho, A.; Tukiainen, P.; Haahtela, T.; Persson, T.; Selroos, O. Early treatment of stage II sarcoidosis improves 5-year pulmonary function. Chest 2002, 121, 24–31. [Google Scholar] [CrossRef]
- Baughman, R.P.; Drent, M.; Kavuru, M.; Judson, M.A.; Costabel, U.; du Bois, R.; Albera, C.; Brutsche, M.; Davis, G.; Donohue, J.F.; et al. Infliximab therapy in patients with chronic sarcoidosis and pulmonary involvement. Am. J. Respir. Crit. Care Med. 2006, 174, 795–802. [Google Scholar] [CrossRef]
- Broos, C.E.; Wapenaar, M.; Looman, C.; In, T.V.J.; van den Toorn, L.M.; Overbeek, M.J.; Grootenboers, M.; Heller, R.; Mostard, R.L.; Poell, L.; et al. Daily home spirometry to detect early steroid treatment effects in newly treated pulmonary sarcoidosis. Eur. Respir. J. 2018, 51, 1702089. [Google Scholar] [CrossRef]
- Broos, C.E.; Poell, L.; Looman, C.; In, T.V.J.; Grootenboers, M.; Heller, R.; van den Toorn, L.M.; Wapenaar, M.; Hoogsteden, H.C.; Kool, M.; et al. No evidence found for an association between prednisone dose and FVC change in newly-treated pulmonary sarcoidosis. Respir. Med. 2018, 138S, S31–S37. [Google Scholar] [CrossRef]
- Baughman, R.P.; Valeyre, D.; Korsten, P.; Mathioudakis, A.G.; Wuyts, W.A.; Wells, A.; Rottoli, P.; Nunes, H.; Lower, E.E.; Judson, M.A.; et al. ERS clinical practice guidelines on treatment of sarcoidosis. Eur. Respir. J. 2021, 58, 2004079. [Google Scholar] [CrossRef]
- Grunewald, J.; Grutters, J.C.; Arkema, E.V.; Saketkoo, L.A.; Moller, D.R.; Muller-Quernheim, J. Sarcoidosis. Nat. Rev. Dis. Primers 2019, 5, 45. [Google Scholar] [CrossRef]
- Gottlieb, J.E.; Israel, H.L.; Steiner, R.M.; Triolo, J.; Patrick, H. Outcome in sarcoidosis. The relationship of relapse to corticosteroid therapy. Chest 1997, 111, 623–631. [Google Scholar] [CrossRef]
- Paramothayan, S.; Jones, P.W. Corticosteroid therapy in pulmonary sarcoidosis: A systematic review. JAMA 2002, 287, 1301–1307. [Google Scholar] [CrossRef]
- Schutt, A.C.; Bullington, W.M.; Judson, M.A. Pharmacotherapy for pulmonary sarcoidosis: A Delphi consensus study. Respir. Med. 2010, 104, 717–723. [Google Scholar] [CrossRef] [PubMed]
- Baughman, R.P.; Winget, D.B.; Lower, E.E. Methotrexate is steroid sparing in acute sarcoidosis: Results of a double blind, randomized trial. Sarcoidosis Vasc. Diffus. Lung Dis. 2000, 17, 60–66. [Google Scholar]
- Vorselaars, A.; Wuyts, W.A.; Vorselaars, V.; Zanen, P.; Deneer, V.; Veltkamp, M.; Thomeer, M.; van Moorsel, C.; Grutters, J.C. Methotrexate vs azathioprine in second-line therapy of sarcoidosis. Chest 2013, 144, 805–812. [Google Scholar] [CrossRef] [PubMed]
- Vucinic VM: What is the future of methotrexate in sarcoidosis? A study and review. Curr. Opin. Pulm. Med. 2002, 8, 470–476. [CrossRef]
- Lower, E.E.; Baughman, R.P. Prolonged use of methotrexate for sarcoidosis. Arch. Intern. Med. 1995, 155, 846–851. [Google Scholar] [CrossRef]
- Fang, C.; Zhang, Q.; Wang, N.; Jing, X.; Xu, Z. Effectiveness and tolerability of methotrexate in pulmonary sarcoidosis: A single center real-world study. Sarcoidosis Vasc. Diffus. Lung Dis. 2019, 36, 217–227. [Google Scholar]
- Brill, A.K.; Ott, S.R.; Geiser, T. Effect and safety of mycophenolate mofetil in chronic pulmonary sarcoidosis: A retrospective study. Respiration 2013, 86, 376–383. [Google Scholar] [CrossRef] [PubMed]
- Hamzeh, N.; Voelker, A.; Forssen, A.; Gottschall, E.B.; Rose, C.; Mroz, P.; Maier, L.A. Efficacy of mycophenolate mofetil in sarcoidosis. Respir. Med. 2014, 108, 1663–1669. [Google Scholar] [CrossRef] [PubMed]

| First Author (Ref.) | Year | Treatment | Duration | Improvement in FVC % Pred | Improvement in FVC (L) |
|---|---|---|---|---|---|
| Anne Pietinalho [65] | 1999 | oral prednisolone + inhaled budesonide | 3 months + 15 months | 11.4% | 0.15 L |
| RM du Bois [66] | 1999 | inhaled fluticasone propionate | 6 months | Not Reported | 0.08 L |
| Anne Pietinalho [67] | 2002 | oral prednisolone + inhaled budesonide | 3 months + 15 months | Not Reported | 0.33 L |
| Robert P Baughman [68] | 2006 | intravenous infusions of infliximab | 24 weeks | 2.5% | Not Reported |
| Adriane D M Vorselaars [36] | 2015 | intravenous infusions of infliximab | 26 weeks | 6.6% | Not Reported |
| Caroline E. Broos [69] | 2018 | oral prednisone | 1 months | 11.8% | Not Reported |
| Caroline E. Broos [70] | 2018 | oral prednisone | 12 months | 9.6% | Not Reported |
Disclaimer/Publisher’s Note: The statements, opinions and data contained in all publications are solely those of the individual author(s) and contributor(s) and not of MDPI and/or the editor(s). MDPI and/or the editor(s) disclaim responsibility for any injury to people or property resulting from any ideas, methods, instructions or products referred to in the content. |
© 2023 by the authors. Licensee MDPI, Basel, Switzerland. This article is an open access article distributed under the terms and conditions of the Creative Commons Attribution (CC BY) license (https://creativecommons.org/licenses/by/4.0/).
Share and Cite
Yao, Q.; Ji, Q.; Zhou, Y. Pulmonary Function in Pulmonary Sarcoidosis. J. Clin. Med. 2023, 12, 6701. https://doi.org/10.3390/jcm12216701
Yao Q, Ji Q, Zhou Y. Pulmonary Function in Pulmonary Sarcoidosis. Journal of Clinical Medicine. 2023; 12(21):6701. https://doi.org/10.3390/jcm12216701
Chicago/Turabian StyleYao, Qian, Qiuliang Ji, and Ying Zhou. 2023. "Pulmonary Function in Pulmonary Sarcoidosis" Journal of Clinical Medicine 12, no. 21: 6701. https://doi.org/10.3390/jcm12216701
APA StyleYao, Q., Ji, Q., & Zhou, Y. (2023). Pulmonary Function in Pulmonary Sarcoidosis. Journal of Clinical Medicine, 12(21), 6701. https://doi.org/10.3390/jcm12216701

