Evaluation of Lower Leg Arteries and Fibular Perforators before Microsurgical Fibular Transfer Using Noncontrast-Enhanced Quiescent-Interval Slice-Selective (QISS) Magnetic Resonance Angiography
Abstract
1. Introduction
2. Materials and Methods
2.1. Patients
2.2. MRA Imaging
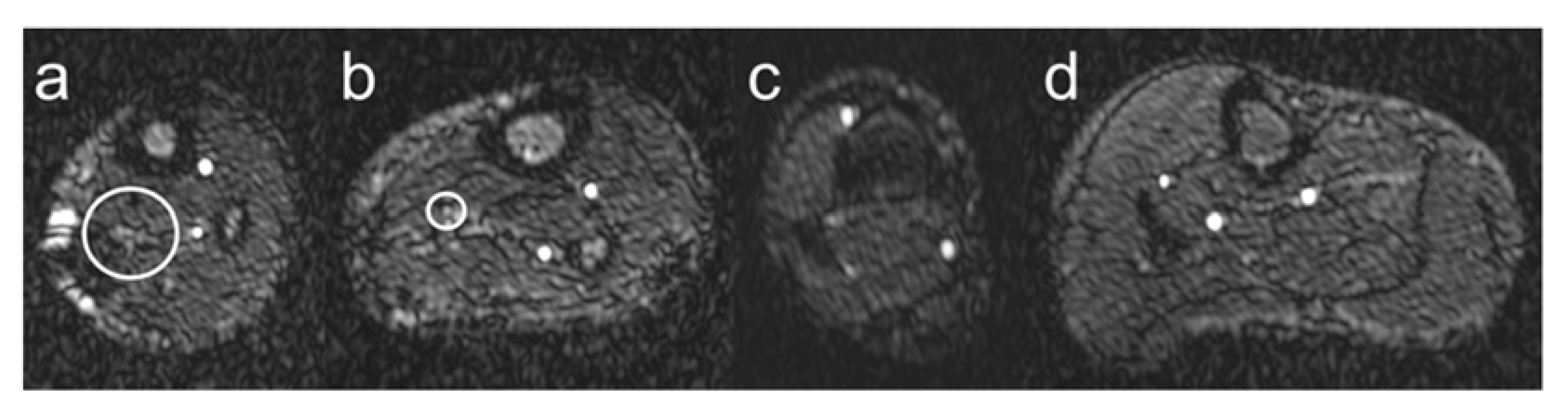
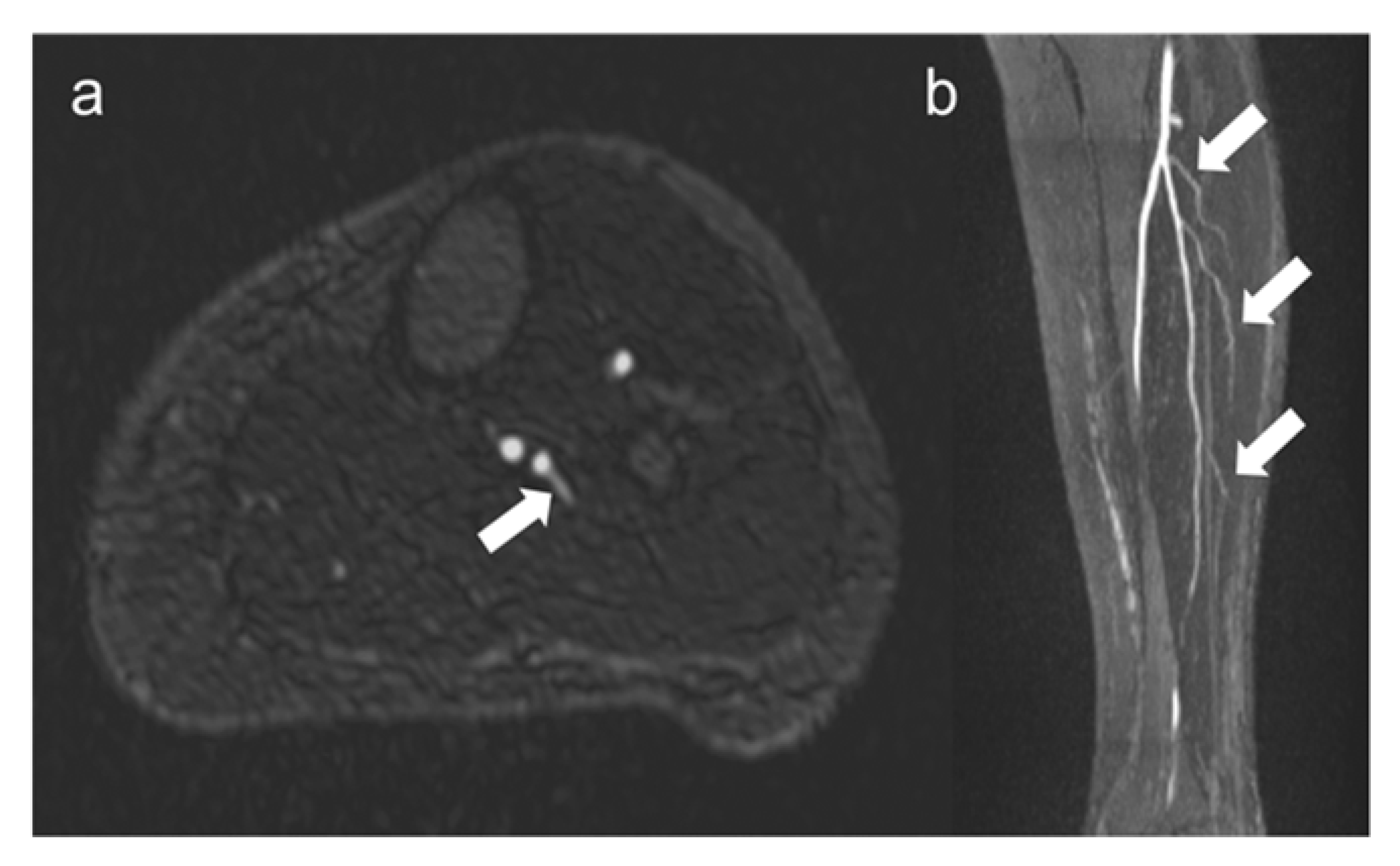
2.3. Image Analysis
- Grade 0: Absence of imaging artifacts
- Grade 1: Presence of
- (a)
- Venous contamination,
- (b)
- Signal dropout due to endoprostheses or other ferromagnetic implants,
- (c)
- Stair-step artifacts,
- (d)
- Motion artifacts,
- (e)
- Different signal intensities within a measurement slab.
- Regular pattern with three supplying arteries (Type I-A),
- Irregular pattern with- Trifurcation of the three lower leg arteries (Type I-B),
- First exit of PT below the knee joint, then the joint exit of FA and AT via a common trunk (Type I-C),
- AT arises above the knee joint (Type II-A),
- As I-C, but PT exits at the level of the knee joint (Type II-B),
- The FA arises above the knee joint (Type II-C),
- Hypoplastic PT (Type III-A),
- Hypoplastic AT (Type III-B),
- Hypoplastic PT and AT (Type III-C), also called “PAM” (peroneal magnus artery).
 
- Grade 1: Nondiagnostic, barely visible lumen rendering the segment.
- Grade 2: Fair, ill-defined vessel borders with suboptimal image quality for diagnosis.
- Grade 3: Good, minor inhomogeneities not influencing vessel delineation.
- Grade 4: Excellent, sharply defined arterial borders with excellent image quality for highly confident diagnosis.
- Score 0: no stenosis.
- Score 1: presence of a hemodynamically relevant stenosis in the
2.4. Statistical Analysis
3. Results
3.1. Demographic and Clinical Characteristics of the Study Population
3.2. SNR and CNR
3.3. Anatomical Data
3.4. Clinical Image Quality
3.5. Imaging Artifacts
3.6. Interobserver Agreement
3.7. Surgical Outcome
4. Discussion
4.1. Technical Aspects
4.2. Clinical Aspects
5. Conclusions
Supplementary Materials
Author Contributions
Funding
Institutional Review Board Statement
Informed Consent Statement
Data Availability Statement
Acknowledgments
Conflicts of Interest
References
- Taylor, G.I.; Miller, G.D.; Ham, F.J. The free vascularized bone graft. A clinical extension of microvascular techniques. Plast. Reconstr. Surg. 1975, 55, 533–544. [Google Scholar] [CrossRef]
- Hidalgo, D.A. Fibula free flap: A new method of mandible reconstruction. Plast. Reconstr. Surg. 1989, 84, 71–79. [Google Scholar] [CrossRef]
- Kansy, K.; Mueller, A.A.; Mücke, T.; Kopp, J.-B.; Koersgen, F.; Wolff, K.D.; Zeilhofer, H.-F.; Hölzle, F.; Pradel, W.; Schneider, M.; et al. Microsurgical reconstruction of the head and neck—Current concepts of maxillofacial surgery in Europe. J. Craniomaxillofac. Surg. 2014, 42, 1610–1613. [Google Scholar] [CrossRef]
- Kumar, B.P.; Venkatesh, V.; Kumar, K.A.J.; Yadav, B.Y.; Mohan, S.R. Mandibular Reconstruction: Overview. J. Maxillofac. Oral. Surg. 2016, 15, 425–441. [Google Scholar] [CrossRef]
- Attia, S.; Wiltfang, J.; Streckbein, P.; Wilbrand, J.-F.; El Khassawna, T.; Mausbach, K.; Howaldt, H.-P.; Schaaf, S. Functional and aesthetic treatment outcomes after immediate jaw reconstruction using a fibula flap and dental implants. J. Craniomaxillofac. Surg. 2019, 47, 786–791. [Google Scholar] [CrossRef]
- Fukaya, E.; Grossman, R.F.; Saloner, D.; Leon, P.; Nozaki, M.; Mathes, S.J. Magnetic resonance angiography for free fibula flap transfer. J. Reconstr. Microsurg. 2007, 23, 205–211. [Google Scholar] [CrossRef]
- Hölzle, F.; Ristow, O.; Rau, A.; Mücke, T.; Loeffelbein, D.J.; Mitchell, D.A.; Stimmer, H.; Wolff, K.-D.; Kesting, M.R. Evaluation of the vessels of the lower leg before microsurgical fibular transfer. Part I: Anatomical variations in the arteries of the lower leg. Br. J. Oral. Maxillofac. Surg. 2011, 49, 270–274. [Google Scholar] [CrossRef]
- Rosson, G.D.; Singh, N.K. Devascularizing complications of free fibula harvest: Peronea arteria magna. J. Reconstr. Microsurg. 2005, 21, 533–538. [Google Scholar] [CrossRef]
- Fukaya, E.; Saloner, D.; Leon, P.; Wintermark, M.; Grossman, R.F.; Nozaki, M. Magnetic resonance angiography to evaluate septocutaneous perforators in free fibula flap transfer. J. Plast. Reconstr. Aesthet. Surg. 2010, 63, 1099–1104. [Google Scholar] [CrossRef]
- Yu, P.; Chang, E.I.; Hanasono, M.M. Design of a reliable skin paddle for the fibula osteocutaneous flap: Perforator anatomy revisited. Plast. Reconstr. Surg. 2011, 128, 440–446. [Google Scholar] [CrossRef]
- Kelly, A.M.; Cronin, P.; Hussain, H.K.; Londy, F.J.; Chepeha, D.B.; Carlos, R.C. Preoperative MR angiography in free fibula flap transfer for head and neck cancer: Clinical application and influence on surgical decision making. AJR Am. J. Roentgenol. 2007, 188, 268–274. [Google Scholar] [CrossRef]
- Sandhu, G.S.; Rezaee, R.P.; Wright, K.; Jesberger, J.A.; Griswold, M.A.; Gulani, V. Time-resolved and bolus-chase MR angiography of the leg: Branching pattern analysis and identification of septocutaneous perforators. AJR Am. J. Roentgenol. 2010, 195, 858–864. [Google Scholar] [CrossRef]
- Kanda, T.; Ishii, K.; Kawaguchi, H.; Kitajima, K.; Takenaka, D. High signal intensity in the dentate nucleus and globus pallidus on unenhanced T1-weighted MR images: Relationship with increasing cumulative dose of a gadolinium-based contrast material. Radiology 2014, 270, 834–841. [Google Scholar] [CrossRef]
- Guo, B.J.; Yang, Z.L.; Zhang, L.J. Gadolinium Deposition in Brain: Current Scientific Evidence and Future Perspectives. Front. Mol. Neurosci. 2018, 11, 335. [Google Scholar] [CrossRef]
- Edelman, R.R.; Sheehan, J.J.; Dunkle, E.; Schindler, N.; Carr, J.; Koktzoglou, I. Quiescent-interval single-shot unenhanced magnetic resonance angiography of peripheral vascular disease: Technical considerations and clinical feasibility. Magn. Reason. Med. 2010, 63, 951–958. [Google Scholar] [CrossRef]
- Carr, J.C. QISS MR Angiography: An Alternative to CT Angiography for Peripheral Vascular Evaluation. JACC Cardiovasc. Imaging 2017, 10, 1125–1127. [Google Scholar] [CrossRef]
- Hodnett, P.A.; Koktzoglou, I.; Davarpanah, A.H.; Scanlon, T.G.; Collins, J.D.; Sheehan, J.J.; Dunkle, E.E.; Gupta, N.; Carr, J.C.; Edelman, R.R. Evaluation of peripheral arterial disease with nonenhanced quiescent-interval single-shot MR angiography. Radiology 2011, 260, 282–293. [Google Scholar] [CrossRef]
- Brown, R.W.; Haacke, E.M.; Thompson, M.R.; Venkatesan, R.; Cheng, Y.-C.N. Magnetic Resonance Imaging: Physical Principles and Sequence Design; John Wiley & Sons Inc.: Hoboken, NJ, USA, 2014. [Google Scholar]
- Kim, D.; Orron, D.E.; Skillman, J.J. Surgical significance of popliteal arterial variants. A unified angiographic classification. Ann. Surg. 1989, 210, 776–781. [Google Scholar] [CrossRef]
- Weaver, K.F.; Morales, V.C.; Dunn, S.L. An Introduction to Statistical Analysis in Research: With Applications in the Biological and Life Sciences; John Wiley & Sons Inc.: Hoboken, NJ, USA, 2018. [Google Scholar]
- Scott Jones, J. Learn to Use the Phi Coefficient Measure and Test in R with Data from the Welsh Health Survey (Teaching Dataset) (2009); SAGE Publications: London, UK, 2019. [Google Scholar]
- Akoglu, H. User’s guide to correlation coefficients. Turk. J. Emerg. Med. 2018, 18, 91–93. [Google Scholar] [CrossRef]
- Marasini, D.; Quatto, P.; Ripamonti, E. Assessing the inter-rater agreement for ordinal data through weighted indexes. Stat. Methods Med. Res. 2016, 25, 2611–2633. [Google Scholar] [CrossRef]
- Landis, J.R.; Koch, G.G. The measurement of observer agreement for categorical data. Biometrics 1977, 33, 159–174. [Google Scholar] [CrossRef]
- Kokosis, G.; Schmitz, R.; Powers, D.B.; Erdmann, D. Mandibular Reconstruction Using the Free Vascularized Fibula Graft: An Overview of Different Modifications. Arch. Plast. Surg. 2016, 43, 3–9. [Google Scholar] [CrossRef]
- Rozen, W.M.; Ashton, M.W.; Stella, D.L.; Phillips, T.J.; Taylor, G.I. Magnetic resonance angiography and computed tomographic angiography for free fibular flap transfer. J. Reconstr. Microsurg. 2008, 24, 457–458. [Google Scholar] [CrossRef]
- Bui, T.D.; Gelfand, D.; Whipple, S.; Wilson, S.E.; Fujitani, R.M.; Conroy, R.; Pham, H.; Gordon, I.L. Comparison of CT and catheter arteriography for evaluation of peripheral arterial disease. Vasc. Endovascular Surg. 2005, 39, 481–490. [Google Scholar] [CrossRef]
- Ma, C.; Wang, L.; Tian, Z.; Qin, X.; Zhu, D.; Qin, J.; Shen, Y. Standardize routine angiography assessment of leg vasculatures before fibular flap harvest: Lessons of congenital and acquired vascular anomalies undetected by color Doppler and physical examinations. Acta Radiol. 2021, 62, 1716–1725. [Google Scholar] [CrossRef]
- Wiens, C.N.; Artz, N.S.; Jang, H.; McMillan, A.B.; Koch, K.M.; Reeder, S.B. Fully phase-encoded MRI near metallic implants using ultrashort echo times and broadband excitation. Magn. Reason. Med. 2018, 79, 2156–2163. [Google Scholar] [CrossRef]
- Edelman, R.R.; Koktzoglou, I. “Push-button” noncontrast MR angiography using balanced T1 relaxation-enhanced steady-state (bT1RESS). Magn. Reason. Med. 2021, 85, 1248–1257. [Google Scholar] [CrossRef]
- Varga-Szemes, A.; Aouad, P.; Schoepf, U.J.; Emrich, T.; Yacoub, B.; Todoran, T.M.; Koktzoglou, I.; Edelman, R.R. Comparison of 2D and 3D quiescent-interval slice-selective non-contrast MR angiography in patients with peripheral artery disease. MAGMA 2021, 34, 649–658. [Google Scholar] [CrossRef]
- Zhang, B.; Sodickson, D.K.; Cloos, M.A. A high-impedance detector-array glove for magnetic resonance imaging of the hand. Nat. Biomed. Eng. 2018, 2, 570–577. [Google Scholar] [CrossRef]
- Lorenz, R.R.; Esclamado, R. Preoperative magnetic resonance angiography in fibular-free flap reconstruction of head and neck defects. Head Neck 2001, 23, 844–850. [Google Scholar] [CrossRef]
- Verma, M.; Pandey, N.N.; Singh, V.; Jagia, P. A meta-analysis of the diagnostic performance of quiescent-interval-single-shot magnetic resonance angiography in peripheral arterial disease. Eur. Radiol. 2022, 32, 2393–2403. [Google Scholar] [CrossRef]
- Schuderer, J.G.; Meier, J.K.; Klingelhöffer, C.; Gottsauner, M.; Reichert, T.E.; Wendl, C.M.; Ettl, T. Magnetic resonance angiography for free fibula harvest: Anatomy and perforator mapping. Int. J. Oral. Maxillofac. Surg. 2020, 49, 176–182. [Google Scholar] [CrossRef]
- Miller, M.E.; Moriarty, J.M.; Blackwell, K.E.; Finn, J.P.; Yiee, J.H.; Nabili, V. Preoperative magnetic resonance angiography detection of septocutaneous perforators in fibula free flap transfer. Arch. Facial. Plast. Surg. 2011, 13, 36–40. [Google Scholar] [CrossRef]
- Awad, M.E.; Altman, A.; Elrefai, R.; Shipman, P.; Looney, S.; Elsalanty, M. The use of vascularized fibula flap in mandibular reconstruction; A comprehensive systematic review and meta-analysis of the observational studies. J. Craniomaxillofac. Surg. 2019, 47, 629–641. [Google Scholar] [CrossRef]
- Smith-Bindman, R.; Lipson, J.; Marcus, R.; Kim, K.-P.; Mahesh, M.; Gould, R.; de González, A.B.; Miglioretti, D.L. Radiation dose associated with common computed tomography examinations and the associated lifetime attributable risk of cancer. Arch. Intern. Med. 2009, 169, 2078–2086. [Google Scholar] [CrossRef]
- Edelman, R.R.; Koktzoglou, I. Noncontrast MR angiography: An update. J. Magn. Reason. Imaging 2019, 49, 355–373. [Google Scholar] [CrossRef]
- Edelman, R.R.; Carr, M.; Koktzoglou, I. Advances in non-contrast quiescent-interval slice-selective (QISS) magnetic resonance angiography. Clin. Radiol. 2019, 74, 29–36. [Google Scholar] [CrossRef]








| Variable | Value | 
|---|---|
| Demographic data | |
| Female gender, n (%) | 21 (42) | 
| Median Age [IQR] (years) | 65.8 [58.8, 69.4] | 
| Median Weight [IQR] (kg) | 75.0 [63.5, 83.0] | 
| Median BMI [IQR] (kg/m2) | 24.3 [22.1, 27.9] | 
| Clinical data | |
| Smoker, n (%) | 23 (46) | 
| Diabetes (Type 2), n (%) | 6 (12) | 
| Hypercholesterolemia, n (%) | 6 (12) | 
| Arterial hypertension, n (%) | 23 (46) | 
| Obesity, n (%) | 19 (38) | 
| Overweight (BMI: 25–29.9 kg/m2) | 10 | 
| Obesity grade I (BMI: 30–34.9 kg/m2) | 5 | 
| Obesity grade II (BMI: 35–39.9 kg/m2) | 3 | 
| Obesity grade III (BMI: ≥40 kg/m2) | 1 | 
| Renal insufficiency, n (%) | 0 (0) | 
| Median GFR value [IQR] (mL/min/1.73 m2) | 85.5 [70.8, 94.8] | 
| Underlying tumor diagnosis | |
| Oral squamous cell carcinoma, n (%) | 37 (74) | 
| Osteoradionecrosis, n (%) | 3 (6) | 
| Osteochemonecrosis, n (%) | 2 (4) | 
| Keratocystic odontogenic tumor, n (%) | 2 (4) | 
| Ameloblastoma, n (%) | 2 (4) | 
| Osteoradiochemonecrosis, n (%) | 1 (2) | 
| Adenoid cystic carcinoma, n (%) | 1 (2) | 
| Osteomyelitis, n (%) | 1 (2) | 
| Mucoepidermoid carcinoma mandible, n (%) | 1 (2) | 
| Vessels | Right | Left | p-Value | 
|---|---|---|---|
| SNR | |||
| Aortic bifurcation | 192.4 [137.5, 248.9] | ||
| Popliteal artery | 259.7 [195.9, 352.6] | 276.6 [201.5, 368.3] | 0.74 | 
| Anterior tibial artery | 328.6 [246.6, 493.7] | 289.4 [230.2, 438.2] | 0.18 | 
| Fibular artery | 339.7 [222.7, 455.9] | 324.0 [219.8, 431.1] | 0.53 | 
| Posterior tibial artery | 337.7 [259.1, 486.2] | 307.9 [219.9, 442.8] | 0.26 | 
| CNR | |||
| Anterior tibial artery | 243.2 [183.7, 383.8] | 248.3 [187.2, 368.7] | 0.77 | 
| Fibular artery | 265.2 [176.9, 356.8] | 280.1 [184.5, 367.0] | 0.66 | 
| Posterior tibial artery | 268.4 [185.9, 360.6] | 262.0 [191.8, 386.1] | 0.91 | 
| Variable | Right Leg | Left Leg | p-Value (Right vs. Left) | 
|---|---|---|---|
| Perforators, n | |||
| Observer 1 | 2 [1, 3] | 3 [1, 3] | 0.36 | 
| Observer 2 | 2 [1, 3] | 3 [1, 3] | 0.46 | 
| Interobserver p-value | 0.79 | 0.97 | |
| Both observers | 2 [1, 3] | 3 [1, 3] | 0.24 | 
| Grading of vessels | |||
| FA Grading | |||
| Observer 1 | 4 [4, 4] | 4 [4, 4] | 0.97 | 
| Observer 2 | 4 [4, 4] | 4 [4, 4] | 0.26 | 
| Interobserver p-value | 0.61 | 0.57 | |
| Both observers | 4 [4, 4] | 4 [4, 4] | 0.41 | 
| AT Grading | |||
| Observer 1 | 4 [4, 4] | 4 [4, 4] | 0.79 | 
| Observer 2 | 4 [4, 4] | 4 [4, 4] | 0.87 | 
| Interobserver p-value | 0.83 | 0.75 | |
| Both observers | 4 [4, 4] | 4 [4, 4] | 0.75 | 
| PT Grading | |||
| Observer 1 | 4 [4, 4] | 4 [4, 4] | 0.54 | 
| Observer 2 | 4 [4, 4] | 4 [4, 4] | 0.70 | 
| Interobserver p-value | 0.63 | 0.80 | |
| Both observers | 4 [4, 4] | 4 [4, 4] | 0.50 | 
| Variable | Right Side | Left Side | ||||
|---|---|---|---|---|---|---|
| Observer 1 | Observer 2 | p-Value | Observer 1 | Observer 2 | p-Value | |
| % | % | |||||
| Imaging artifacts | ||||||
| a | 2.0 (1/50) | 2.0 (1/50) | 0.82 | 2.0 (1/50) | 4.0 (2/50) | 0.29 | 
| b | 2.0 (1/50) | 2.0 (1/50) | 2.0 (1/50) | 2.0 (1/50) | ||
| c | 70.0 (35/50) | 76.0 (38/50) | 64.0 (32/50) | 76.0 (38/50) | ||
| d | 10.0 (5/50) | 6.0 (3/50) | 8.0 (4/50) | 6.0 (3/50) | ||
| e | 8.0 (4/50) | 10.0 (5/50) | 4.0 (2/50) | 10.0 (5/50) | ||
| Scoring scale | ||||||
| FA | ||||||
| 0 | 96.0 (48/50 vessels) | 94.0 (47/50 vessels) | 0.08 | 100.0 (50/50 vessels) | 94.0 (47/50 vessels) | 0.56 | 
| 1 | ||||||
| A | 2.0 (1/50 vessels) | 2.0 (1/50 vessels) | 0 | 4.0 (2/50 vessels) | ||
| B | 0 | 0 | 0 | 2.0 (1/50 vessels) | ||
| C | 0 | 2.0 (1/50 vessels) | 0 | 0 | ||
| AB | 0 | 0 | 0 | 0 | ||
| ABC | 0 | 0 | 0 | 0 | ||
| Missing vessels | 2.0 (1/50 vessels) | 2.0 (1/50 vessels) | 0 | 0 | ||
| AT | ||||||
| 0 | 94.0 (47/50 vessels) | 98.0 (49/50 vessels) | 0.30 | 94.0 (47/50 vessels) | 96.0 (48/50 vessels) | 0.16 | 
| 1 | ||||||
| A | 0 | 2.0 (1/50 vessels) | 0 | |||
| B | 0 | 0 | 2.0 (1/50 vessels) | 0 | ||
| C | 4.0 (2/50 vessels) | 0 | 2.0 (1/50 vessels) | 0 | ||
| AB | 0 | 0 | 0 | 0 | ||
| ABC | 2.0 (1/50 vessels) | 0 | 0 | 0 | ||
| Missing vessels | 0 | 2.0 (1/50 vessels) | 4.0 (2/50 vessels) | |||
| PT | ||||||
| 0 | 96.0 (48/50 vessels) | 90.0 (45/50 vessels) | 0.03 | 92.0 (46/50 vessels) | 92.0 (46/50 vessels) | 1 | 
| 1 | ||||||
| A | 0 | 2.0 (1/50 vessels) | 0 | 0 | ||
| B | 0 | 2.0 (1/50 vessels) | 0 | 0 | ||
| C | 0 | 4.0 (2/50 vessels) | 0 | 0 | ||
| AB | 0 | 0 | 2.0 (1/50 vessels) | 2.0 (1/50 vessels) | ||
| ABC | 0 | 2.0 (1/50 vessels) | 2.0 (1/50 vessels) | 2.0 (1/50 vessels) | ||
| Missing vessels | 4.0 (2/50 vessels) | 0 | 4.0 (2/50 vessels) | 4.0 (2/50 vessels) | ||
| Variable | Interobserver Agreement | 
|---|---|
| Both sides | |
| Imaging artifacts | |
| a | 0.98 (0.94–1.00) | 
| b | 1.00 (1.00–1.00) | 
| c | 0.66 (0.50–0.80) | 
| d | 0.86 (0.74–0.96) | 
| e | 0.84 (0.72–0.94) | 
| Grading of vessel visualization | |
| FA | 0.97 (0.96–0.99) | 
| AT | 0.97 (0.96–0.99) | 
| PT | 0.97 (0.95–0.98) | 
| Scoring of vessel stenosis | |
| FA | 0.97 (0.92–1.00) | 
| AT | 0.88 (0.75–0.97) | 
| PT | 0.91 (0.81–0.99) | 
| Disclaimer/Publisher’s Note: The statements, opinions and data contained in all publications are solely those of the individual author(s) and contributor(s) and not of MDPI and/or the editor(s). MDPI and/or the editor(s) disclaim responsibility for any injury to people or property resulting from any ideas, methods, instructions or products referred to in the content. | 
© 2023 by the authors. Licensee MDPI, Basel, Switzerland. This article is an open access article distributed under the terms and conditions of the Creative Commons Attribution (CC BY) license (https://creativecommons.org/licenses/by/4.0/).
Share and Cite
Lebenatus, A.; Tesch, K.; Rudolph, W.; Naujokat, H.; Koktzoglou, I.; Edelman, R.R.; Graessner, J.; Jansen, O.; Salehi Ravesh, M. Evaluation of Lower Leg Arteries and Fibular Perforators before Microsurgical Fibular Transfer Using Noncontrast-Enhanced Quiescent-Interval Slice-Selective (QISS) Magnetic Resonance Angiography. J. Clin. Med. 2023, 12, 1634. https://doi.org/10.3390/jcm12041634
Lebenatus A, Tesch K, Rudolph W, Naujokat H, Koktzoglou I, Edelman RR, Graessner J, Jansen O, Salehi Ravesh M. Evaluation of Lower Leg Arteries and Fibular Perforators before Microsurgical Fibular Transfer Using Noncontrast-Enhanced Quiescent-Interval Slice-Selective (QISS) Magnetic Resonance Angiography. Journal of Clinical Medicine. 2023; 12(4):1634. https://doi.org/10.3390/jcm12041634
Chicago/Turabian StyleLebenatus, Annett, Karolin Tesch, Wiebke Rudolph, Hendrik Naujokat, Ioannis Koktzoglou, Robert R. Edelman, Joachim Graessner, Olav Jansen, and Mona Salehi Ravesh. 2023. "Evaluation of Lower Leg Arteries and Fibular Perforators before Microsurgical Fibular Transfer Using Noncontrast-Enhanced Quiescent-Interval Slice-Selective (QISS) Magnetic Resonance Angiography" Journal of Clinical Medicine 12, no. 4: 1634. https://doi.org/10.3390/jcm12041634
APA StyleLebenatus, A., Tesch, K., Rudolph, W., Naujokat, H., Koktzoglou, I., Edelman, R. R., Graessner, J., Jansen, O., & Salehi Ravesh, M. (2023). Evaluation of Lower Leg Arteries and Fibular Perforators before Microsurgical Fibular Transfer Using Noncontrast-Enhanced Quiescent-Interval Slice-Selective (QISS) Magnetic Resonance Angiography. Journal of Clinical Medicine, 12(4), 1634. https://doi.org/10.3390/jcm12041634
 
        



 
       