Dynamic Radial MR Imaging for Endoleak Surveillance after Endovascular Repair of Abdominal Aortic Aneurysms with Inconclusive CT Angiography: A Prospective Study
Abstract
1. Introduction
2. Materials and Methods
2.1. Study Design and Participants
2.2. Imaging Protocols
2.2.1. Computed Tomography
2.2.2. Magnetic Resonance Imaging
2.3. Image Analysis
2.4. Outcome Variables
2.4.1. Image Quality Analysis
2.4.2. Detection/Classification of Endoleaks
2.5. Statistical Analysis
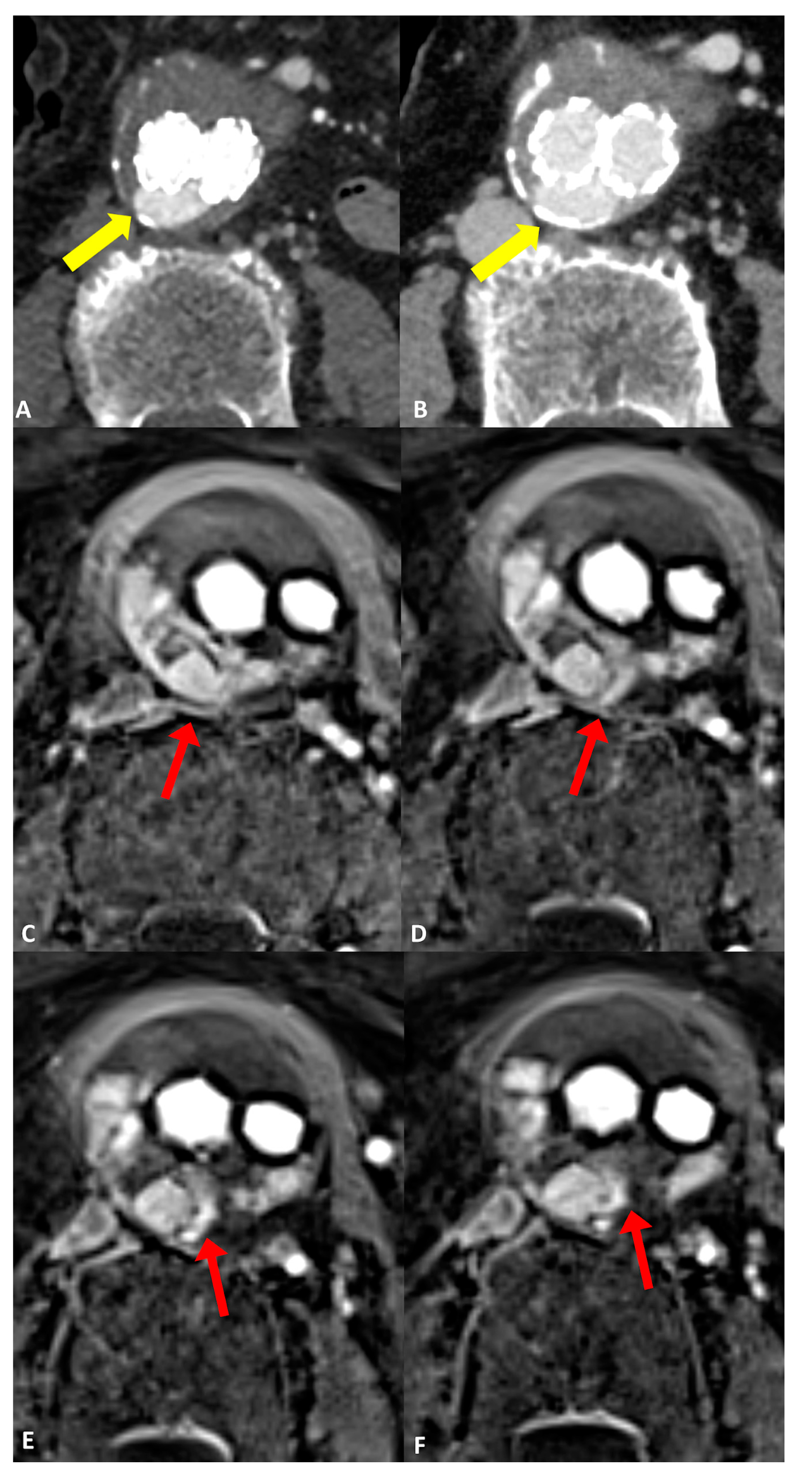
3. Results
3.1. Participant Characteristics
3.2. Technical Analysis
3.3. Frequency of Endoleaks and Intermethod Concordance
3.4. Diagnostic Performance
4. Discussion
5. Conclusions
Author Contributions
Funding
Institutional Review Board Statement
Informed Consent Statement
Data Availability Statement
Acknowledgments
Conflicts of Interest
References
- van Zandwijk, J.K.; Schuurmann, R.C.L.; Haken, B.T.; Stassen, C.M.; Geelkerken, R.H.; de Vries, J.P.M.; Simonis, F.F.J. Endograft position and endoleak detection after endovascular abdominal aortic repair with low-field tiltable MRI: A feasibility study. Eur. Radiol. Exp. 2023, 7, 82. [Google Scholar] [CrossRef]
- Stavropoulos, S.W.; Charagundla, S.R. Imaging techniques for detection and management of endoleaks after endovascular aortic aneurysm repair. Radiology 2007, 243, 641–655. [Google Scholar] [CrossRef] [PubMed]
- Borgen, L.; Aasekjaer, K.; Skoe, O.W. Exploiting endovascular aortic repair as a minimally invasive method—Nine years of experience in a non-university hospital. Eur. J. Radiol. Open 2023, 11, 100522. [Google Scholar] [CrossRef] [PubMed]
- Knappich, C.; Kirchhoff, F.; Fritsche, M.-K.; Egert-Schwender, S.; Wendorff, H.; Kallmayer, M.; Haller, B.; Hyhlik-Duerr, A.; Reeps, C.; Eckstein, H.-H.; et al. Endovascular aortic repair with sac embolization for the prevention of type II endoleaks (the EVAR-SE study): Study protocol for a randomized controlled multicentre study in Germany. Trials 2024, 25, 17. [Google Scholar] [CrossRef]
- Secchi, F.; Capra, D.; Monti, C.B.; Mobini, N.; Ortiz, M.D.M.G.; Trimarchi, S.; Mazzaccaro, D.; Righini, P.; Nano, G.; Sardanelli, F. Safe Follow-Up after Endovascular Aortic Repair with Unenhanced MRI: The SAFEVAR Study. Diagnostics 2022, 13, 20. [Google Scholar] [CrossRef]
- Williams, A.B.; Williams, Z.B. Imaging modalities for endoleak surveillance. J. Med. Radiat. Sci. 2021, 68, 446–452. [Google Scholar] [CrossRef]
- Seike, Y.; Matsuda, H.; Shimizu, H.; Ishimaru, S.; Hoshina, K.; Michihata, N.; Yasunaga, H.; Komori, K. Nationwide Analysis of Persistent Type II Endoleak and Late Outcomes of Endovascular Abdominal Aortic Aneurysm Repair in Japan: A Propensity-Matched Analysis. Circulation 2022, 145, 1056–1066. [Google Scholar] [CrossRef] [PubMed]
- Zaiem, F.; Almasri, J.; Tello, M.; Prokop, L.J.; Chaikof, E.L.; Murad, M.H. A systematic review of surveillance after endovascular aortic repair. J. Vasc. Surg. 2018, 67, 320–331.e37. [Google Scholar] [CrossRef]
- Charisis, N.; Bouris, V.; Conway, A.M.; Labropoulos, N. A Systematic Review and Pooled Meta-Analysis on the Incidence and Temporal Occurrence of Type II Endoleak Following an Abdominal Aortic Aneurysm Repair. Ann. Vasc. Surg. 2021, 75, 406–419. [Google Scholar] [CrossRef]
- Cifuentes, S.; Mendes, B.C.; Tabiei, A.; Scali, S.T.; Oderich, G.S.; DeMartino, R.R. Management of Endoleaks After Elective Infrarenal Aortic Endovascular Aneurysm Repair: A Review. JAMA Surg. 2023, 158, 965–973. [Google Scholar] [CrossRef]
- Cassagnes, L.; Pérignon, R.; Amokrane, F.; Petermann, A.; Bécaud, T.; Saint-Lebes, B.; Chabrot, P.; Rousseau, H.; Boyer, L. Aortic stent-grafts: Endoleak surveillance. Diagn. Interv. Imaging 2016, 97, 19–27. [Google Scholar] [CrossRef] [PubMed]
- Chaikof, E.L.; Dalman, R.L.; Eskandari, M.K.; Jackson, B.M.; Lee, W.A.; Mansour, M.A.; Mastracci, T.M.; Mell, M.; Murad, M.H.; Nguyen, L.L.; et al. The Society for Vascular Surgery practice guidelines on the care of patients with an abdominal aortic aneurysm. J. Vasc. Surg. 2018, 67, 2–77.e2. [Google Scholar] [CrossRef] [PubMed]
- Smith, T.; Quencer, K.B. Best Practice Guidelines: Imaging Surveillance After Endovascular Aneurysm Repair. AJR Am. J. Roentgenol. 2020, 214, 1165–1174. [Google Scholar] [CrossRef] [PubMed]
- Pandey, N.; Litt, H.I. Surveillance Imaging Following Endovascular Aneurysm Repair. Semin. Intervent Radiol. 2015, 32, 239–248. [Google Scholar] [CrossRef] [PubMed]
- Morell-Hofert, D.; Gruber, L.; Gruber, H.; Glodny, B.; Gruber, I.; Loizides, A. Contrast-Enhanced Ultrasound after Endovascular Aortic Repair: Supplement and Potential Substitute for CT in Early- and Long-Term Follow-Up. Ann. Vasc. Surg. 2024, 102, 9–16. [Google Scholar] [CrossRef]
- Froelich, M.F.; Kunz, W.G.; Kim, S.H.; Sommer, W.H.; Clevert, D.-A.; Ruebenthaler, J. Cost-effectiveness of contrast-enhanced ultrasound for the detection of endovascular aneurysm repair-related endoleaks requiring treatment. J. Vasc. Surg. 2021, 73, 232–239.e2. [Google Scholar] [CrossRef] [PubMed]
- Habets, J.; Zandvoort, H.; Reitsma, J.; Bartels, L.; Moll, F.; Leiner, T.; van Herwaarden, J. Magnetic resonance imaging is more sensitive than computed tomography angiography for the detection of endoleaks after endovascular abdominal aortic aneurysm repair: A systematic review. Eur. J. Vasc. Endovasc. Surg. 2013, 45, 340–350. [Google Scholar] [CrossRef]
- Kawada, H.; Goshima, S.; Sakurai, K.; Noda, Y.; Kajita, K.; Tanahashi, Y.; Kawai, N.; Ishida, N.; Shimabukuro, K.; Doi, K.; et al. Utility of Noncontrast Magnetic Resonance Angiography for Aneurysm Follow-Up and Detection of Endoleaks after Endovascular Aortic Repair. Korean J. Radiol. 2021, 22, 513–524. [Google Scholar] [CrossRef]
- Cantisani, V.; Grazhdani, H.; Clevert, D.-A.; Iezzi, R.; Aiani, L.; Martegani, A.; Fanelli, F.; Di Marzo, L.; Wlderk, A.; Cirelli, C.; et al. EVAR: Benefits of CEUS for monitoring stent-graft status. Eur. J. Radiol. 2015, 84, 1658–1665. [Google Scholar] [CrossRef]
- Cantisani, V.; Ricci, P.; Grazhdani, H.; Napoli, A.; Fanelli, F.; Catalano, C.; Galati, G.; D’andrea, V.; Biancari, F.; Passariello, R. Prospective comparative analysis of colour-Doppler ultrasound, contrast-enhanced ultrasound, computed tomography and magnetic resonance in detecting endoleak after endovascular abdominal aortic aneurysm repair. Eur. J. Vasc. Endovasc. Surg. 2011, 41, 186–192. [Google Scholar]
- Goldman-Yassen, A.E.; Raz, E.; Borja, M.J.; Chen, D.; Derman, A.; Dogra, S.; Block, K.T.; Dehkharghani, S. Highly time-resolved 4D MR angiography using golden-angle radial sparse parallel (GRASP) MRI. Sci. Rep. 2022, 12, 15099. [Google Scholar] [CrossRef] [PubMed]
- Feng, L.; Grimm, R.; Block, K.T.; Chandarana, H.; Kim, S.; Xu, J.; Axel, L.; Sodickson, D.K.; Otazo, R. Golden-angle radial sparse parallel MRI: Combination of compressed sensing, parallel imaging, and golden-angle radial sampling for fast and flexible dynamic volumetric MRI. Magn. Reson. Med. 2014, 72, 707–717. [Google Scholar] [CrossRef] [PubMed]
- Hur, S.-J.; Choi, Y.; Yoon, J.; Jang, J.; Shin, N.-Y.; Ahn, K.-J.; Kim, B.-S. Intraindividual Comparison between the Contrast-Enhanced Golden-Angle Radial Sparse Parallel Sequence and the Conventional Fat-Suppressed Contrast-Enhanced T1-Weighted Spin-Echo Sequence for Head and Neck MRI. AJNR Am. J. Neuroradiol. 2021, 42, 2009–2015. [Google Scholar] [CrossRef] [PubMed]
- Feng, L.; Wen, Q.; Huang, C.; Tong, A.; Liu, F.; Chandarana, H. GRASP-Pro: ImProving GRASP DCE-MRI through self-calibrating subspace-modeling and contrast phase automation. Magn. Reson. Med. 2020, 83, 94–108. [Google Scholar] [CrossRef] [PubMed]
- Hainc, N.; Stippich, C.; Reinhardt, J.; Stieltjes, B.; Blatow, M.; Mariani, L.; Bink, A. Golden-angle radial sparse parallel (GRASP) MRI in clinical routine detection of pituitary microadenomas: First experience and feasibility. Magn. Reson. Imaging 2019, 60, 38–43. [Google Scholar] [CrossRef] [PubMed]
- Mogen, J.; Block, K.; Bansal, N.; Patrie, J.; Mukherjee, S.; Zan, E.; Hagiwara, M.; Fatterpekar, G.; Patel, S. Dynamic Contrast-Enhanced MRI to Differentiate Parotid Neoplasms Using Golden-Angle Radial Sparse Parallel Imaging. AJNR Am. J. Neuroradiol. 2019, 40, 1029–1036. [Google Scholar] [CrossRef] [PubMed]
- Weiss, J.; Ruff, C.; Grosse, U.; Grözinger, G.; Horger, M.; Nikolaou, K.; Gatidis, S. Assessment of Hepatic Perfusion Using GRASP MRI: Bringing Liver MRI on a New Level. Investig. Radiol. 2019, 54, 737–743. [Google Scholar] [CrossRef] [PubMed]
- Winkel, D.J.; Heye, T.J.; Benz, M.R.; Glessgen, C.G.; Wetterauer, C.; Bubendorf, L.; Block, T.K.; Boll, D.T. Compressed Sensing Radial Sampling MRI of Prostate Perfusion: Utility for Detection of Prostate Cancer. Radiology 2019, 290, 702–708. [Google Scholar] [CrossRef] [PubMed]
- Chun, J.-Y.; de Haan, M.; Maleux, G.; Osman, A.; Cannavale, A.; Morgan, R. CIRSE Standards of Practice on Management of Endoleaks Following Endovascular Aneurysm Repair. Cardiovasc. Intervent. Radiol. 2024, 47, 161–176. [Google Scholar] [CrossRef]
- Lee, Y.-L.; Huang, Y.-K.; Hsu, L.-S.; Chen, P.-Y.; Chen, C.-W. The use of non-contrast-enhanced MRI to evaluate serial changes in endoleaks after aortic stenting: A case report. BMC Med. Imaging 2019, 19, 82. [Google Scholar] [CrossRef]
- Cohen, E.I.; Weinreb, D.B.; Siegelbaum, R.H.; Honig, S.; Marin, M.; Weintraub, J.L.; Lookstein, R.A. Time-resolved MR angiography for the classification of endoleaks after endovascular aneurysm repair. J. Magn. Reson. Imaging 2008, 27, 500–503. [Google Scholar] [CrossRef] [PubMed]
- Lookstein, R.A.; Goldman, J.; Pukin, L.; Marin, M.L. Time-resolved magnetic resonance angiography as a noninvasive method to characterize endoleaks: Initial results compared with conventional angiography. J. Vasc. Surg. 2004, 39, 27–33. [Google Scholar] [CrossRef] [PubMed]
- van der Laan, M.J.; Bakker, C.J.; Blankensteijn, J.D.; Bartels, L.W. Dynamic CE-MRA for endoleak classification after endovascular aneurysm repair. Eur. J. Vasc. Endovasc. Surg. 2006, 31, 130–135. [Google Scholar] [CrossRef] [PubMed][Green Version]
- Osztrogonacz, P.; Berczeli, M.; Chinnadurai, P.; Chang, S.-M.; Shah, D.J.; Lumsden, A.B. Dynamic Imaging of Aortic Pathologies: Review of Clinical Applications and Imaging Protocols. Methodist. Debakey Cardiovasc. J. 2023, 19, 4–14. [Google Scholar] [CrossRef]
- Wanhainen, A.; Van Herzeele, I.; Bastos Goncalves, F.; Bellmunt Montoya, S.; Berard, X.; Boyle, J.R.; D’Oria, M.; Prendes, C.F.; Karkos, C.D.; Kazimierczak, A.; et al. Editor’s Choice—European Society for Vascular Surgery (ESVS) 2024 Clinical Practice Guidelines on the Management of Abdominal Aorto-Iliac Artery Aneurysms. Eur. J. Vasc. Endovasc. Surg. 2024, 67, 192–331. [Google Scholar]



| Parameter | Value |
|---|---|
| Acquisition time (min:s) | 2:54 |
| Temporal Resolution (s) | 3.1 |
| Voxel Size (mm3) | 0.9 × 0.9 × 3.0 |
| Number of Excitations/Number of Signal Averages | 1 |
| Orientation | Axial |
| Slice Thickness (mm) | 3 |
| Number of slices per slab | 72 |
| Repetition Time (ms) | 3 |
| Echo Time (ms) | 1.57 |
| Flip angle (°) | 15 |
| Bandwidth (Hz/Px) | 980 |
| Acceleration | Compressed sensing |
| Characteristics | n = 17 |
|---|---|
| Age (y) | 70 ± 9 |
| Sex * | |
| Female | 4 (23) |
| Male | 13 (77) |
| BMI | 27 ± 3 |
| GFR at CT (mL/min/1.73 m2) | 72 ± 19 |
| Postoperative EVAR-related Symptoms * | |
| Yes | 2 (12) |
| No | 15 (88) |
| CT Phase Acquisition * | |
| Biphasic CTA | 11 (65) |
| Triple phase CTA | 6 (35) |
| Radiation Dose (DLP in mGycm) | 907.9 ± 374.2 |
| Nitinol-based Stent Graft * | 17 (100) |
| Time from EVAR to Inconclusive CT (m) | 16 ± 30 |
| Time Between Modalities (d) | 26 ± 23 |
| Patients Undergoing Interventional Treatment | 7 (41) |
| Last Follow-Up Since Inconclusive CT (m) | 31 ± 26 |
| Modality | CT | MRI | ||||||
|---|---|---|---|---|---|---|---|---|
| Rater 1 * | Rater 2 * | p | Interrater Agreement † | Rater 1 * | Rater 2 * | p | Interrater Agreement † | |
| Motion | 1 (1, 1, 1, 2) | 1 (1, 1, 1, 2) | 0.32 | 0.69 (0.45, 0.83) | 1 (1, 1, 2, 2) | 1 (1, 1, 1, 2) | 0.16 | 0.72 (0.50, 0.85 |
| Artifacts | 2 (1, 2, 2, 3) | 2 (1, 1, 2, 3) | 0.66 | 0.68 (0.44, 0.83) | 2 (1, 2, 3, 4) | 2 (1, 2, 3, 4) | 0.66 | 0.76 (0.56, 0.87) |
| Image Noise | 2 (1, 2, 3, 3) | 2 (2, 2, 3, 4) | 0.32 | 0.71 (0.48, 0.85) | 2 (1, 2, 2, 4) | 2 (1, 2, 2, 3) | 0.08 | 0.83 (0.68, 0.91) |
| Edge Sharpness | - | - | - | - | 2 (1, 2, 2, 3) | 2 (1, 1, 2, 3) | 0.63 (0.37, 0.80) | |
| Contrast Resolution | - | - | - | - | 2 (1, 2, 3, 3) | 2 (1, 2, 2, 3) | 0.32 | 0.70 (0.47, 0.84) |
| Fat Suppression | - | - | - | - | 1 (1, 1, 1, 2) | 1 (1, 1, 1, 2) | >0.99 | 1.0 (1.0, 1.0) |
| Partial Volume Effect | - | - | - | - | 2 (1, 2, 2, 3) | 2 (1, 1, 2, 2) | 0.6 | 0.60 (0.32, 0.78) |
| Overall Image Quality | 2 (1, 1, 2, 2) | 2 (1, 1, 2, 3) | 0.16 | 0.82 (0.66, 0.81) | 2 (1, 2, 2, 3) | 2 (1, 2, 2, 3) | 0.08 | 0.72 (0.50, 0.85) |
| Diagnostic Confidence | 2 (1, 2, 2, 3) | 2 (1, 1, 3, 4) | 0.41 | 0.70 (0.48, 0.92) | 1 (1, 1, 2, 3) | 1 (1, 1, 2, 3) | 0.32 | 0.69 (0.45, 0.84) |
| Abnormality * | Reference Standard † | Rater 1 | Rater 2 | ||||
|---|---|---|---|---|---|---|---|
| Frequency (n = 17) † | Intermethod Agreement ‡ | Frequency (n = 17) † | Intermethod Agreement ‡ | ||||
| CT | MRI | CT | MRI | ||||
| Endoleak | 10 (59) | 10 (59) | 11 (65) | 0.38 (0.0, 0.76) | 12 (71) | 11 (65) | 0.23 (0.0, 0.68) |
| Type I | 3 (18) | 5 (29) | 3 (18) | 0.36 (0.0, 0.82) | 5 (29) | 3 (18) | 0.36 (0.0, 0.85) |
| Ia | 1 (6) | 2 (12) | 1 (6) | 0.64 (0.17, 1.0) | 2 (12) | 1 (6) | 0.64 (0.17, 1.0) |
| Ib | 2 (12) | 3 (18) | 2 (12) | 0.3 (0.0, 0.89) | 3 (18) | 2 (12) | 0.3 (0.0, 0.89) |
| Type II | 6 (35) | 4 (24) | 6 (35) | 0.44 (0.0, 0.89) | 5 (29) | 7 (41) | 0.24 (0.0, 0.7) |
| Type III | 1 (6) | 1 (6) | 2 (12) | 0.64 (0.17, 1.0) | 2 (12) | 1 (6) | 0.64 (0.17, 1.0) |
| Abnormality ** and Modality | Interrater Agreement ‡ | No. of Findings * | Sensitivity (%) | Specificity (%) | AUC | p | |||
|---|---|---|---|---|---|---|---|---|---|
| TP | FP | TN | FN | ||||||
| Endoleak | 0.12 | ||||||||
| CT | 0.38 (0.0, 0.76) | 9 | 3 | 3 | 2 | 82 (48, 98) | 50 (12, 88) | 0.69 (0.45, 0.92) | |
| MRI | 0.74 (0.39, 1.0) | 10 | 1 | 6 | 0 | 100 (69, 100) | 86 (42, 99) | 0.93 (0.79, 1.0) | |
| EL Type I | 0.12 | ||||||||
| CT | 0.43 (0.03, 0.83) | 2 | 3 | 11 | 1 | 67 (9, 99) | 79 (49, 95) | 0.73 (0.38, 1.0) | |
| MRI | 1.0 (1.0, 1.0) | 3 | 0 | 14 | 0 | 100 (29, 100) | 100 (77, 100) | 1.0 (1.0, 1.0) | |
| Type Ia | >0.99 | ||||||||
| CT | 0.43 (0.03, 0.83) | 1 | 1 | 15 | 0 | 100 (3, 100) | 94 (70, 100) | 0.97 (0.91, 1.0) | |
| MRI | 1.0 (1.0, 1.0) | 1 | 0 | 16 | 0 | 100 (3, 100) | 100 (79, 100) | 1.0 (1.0, 1.0) | |
| Type Ib | 0.21 | ||||||||
| CT | 0.60 (0.09, 1.0) | 1 | 2 | 13 | 1 | 50 (2, 99) | 87 (60, 98) | 0.68 (0.19, 1.0) | |
| MRI | 1.0 (1.0, 1.0) | 2 | 0 | 15 | 0 | 100 (16, 100) | 100 (78, 100) | 1.0 (1.0, 1.0) | |
| EL Type II | 0.03 | ||||||||
| CT | 0.85 (0.57, 1.0) | 3 | 2 | 9 | 3 | 50 (12, 88) | 82 (48, 98) | 0.66 (0.41, 0.91) | |
| MRI | 0.88 (0.64, 1.0) | 6 | 1 | 10 | 0 | 100 (54, 100) | 91 (59, 1.0) | 0.96 (0.87, 1.0 | |
| EL Type III | >0.99 | ||||||||
| CT | 0.64 (0.17, 1.0) | 1 | 1 | 15 | 0 | 100 (3, 100) | 94 (70, 100) | 0.97 (0.79, 1.0) | |
| MRI | 0.64 (0.17, 1.0) | 1 | 0 | 16 | 0 | 100 (3, 100) | 100 (79, 100) | 1.0 (1.0, 1.0) | |
Disclaimer/Publisher’s Note: The statements, opinions and data contained in all publications are solely those of the individual author(s) and contributor(s) and not of MDPI and/or the editor(s). MDPI and/or the editor(s) disclaim responsibility for any injury to people or property resulting from any ideas, methods, instructions or products referred to in the content. |
© 2024 by the authors. Licensee MDPI, Basel, Switzerland. This article is an open access article distributed under the terms and conditions of the Creative Commons Attribution (CC BY) license (https://creativecommons.org/licenses/by/4.0/).
Share and Cite
Almansour, H.; Mustafi, M.; Lescan, M.; Grosse, U.; Andic, M.; Schmehl, J.; Artzner, C.; Grözinger, G.; Walter, S.S. Dynamic Radial MR Imaging for Endoleak Surveillance after Endovascular Repair of Abdominal Aortic Aneurysms with Inconclusive CT Angiography: A Prospective Study. J. Clin. Med. 2024, 13, 2913. https://doi.org/10.3390/jcm13102913
Almansour H, Mustafi M, Lescan M, Grosse U, Andic M, Schmehl J, Artzner C, Grözinger G, Walter SS. Dynamic Radial MR Imaging for Endoleak Surveillance after Endovascular Repair of Abdominal Aortic Aneurysms with Inconclusive CT Angiography: A Prospective Study. Journal of Clinical Medicine. 2024; 13(10):2913. https://doi.org/10.3390/jcm13102913
Chicago/Turabian StyleAlmansour, Haidara, Migdat Mustafi, Mario Lescan, Ulrich Grosse, Mateja Andic, Jörg Schmehl, Christoph Artzner, Gerd Grözinger, and Sven S. Walter. 2024. "Dynamic Radial MR Imaging for Endoleak Surveillance after Endovascular Repair of Abdominal Aortic Aneurysms with Inconclusive CT Angiography: A Prospective Study" Journal of Clinical Medicine 13, no. 10: 2913. https://doi.org/10.3390/jcm13102913
APA StyleAlmansour, H., Mustafi, M., Lescan, M., Grosse, U., Andic, M., Schmehl, J., Artzner, C., Grözinger, G., & Walter, S. S. (2024). Dynamic Radial MR Imaging for Endoleak Surveillance after Endovascular Repair of Abdominal Aortic Aneurysms with Inconclusive CT Angiography: A Prospective Study. Journal of Clinical Medicine, 13(10), 2913. https://doi.org/10.3390/jcm13102913

