Neurovascular Issues in Antiphospholipid Syndrome: Arterial Vasculopathy from Small to Large Vessels in a Neuroradiological Perspective
Abstract
1. Introduction
2. Updated Classification Criteria and Their Implication on Neurovascular Issues
- (1)
- clinical features: thrombosis or pregnancy morbidity;
- (2)
- laboratory tests (LAC, IgG/IgM aCL, and/or IgG/IgM anti-β2GPI) with at least two aPL tests performed at least 12 weeks apart.
3. Neurological Manifestations in APS
4. Neurovascular Issues
4.1. Pathological Findings
4.2. Neuroradiological Patterns
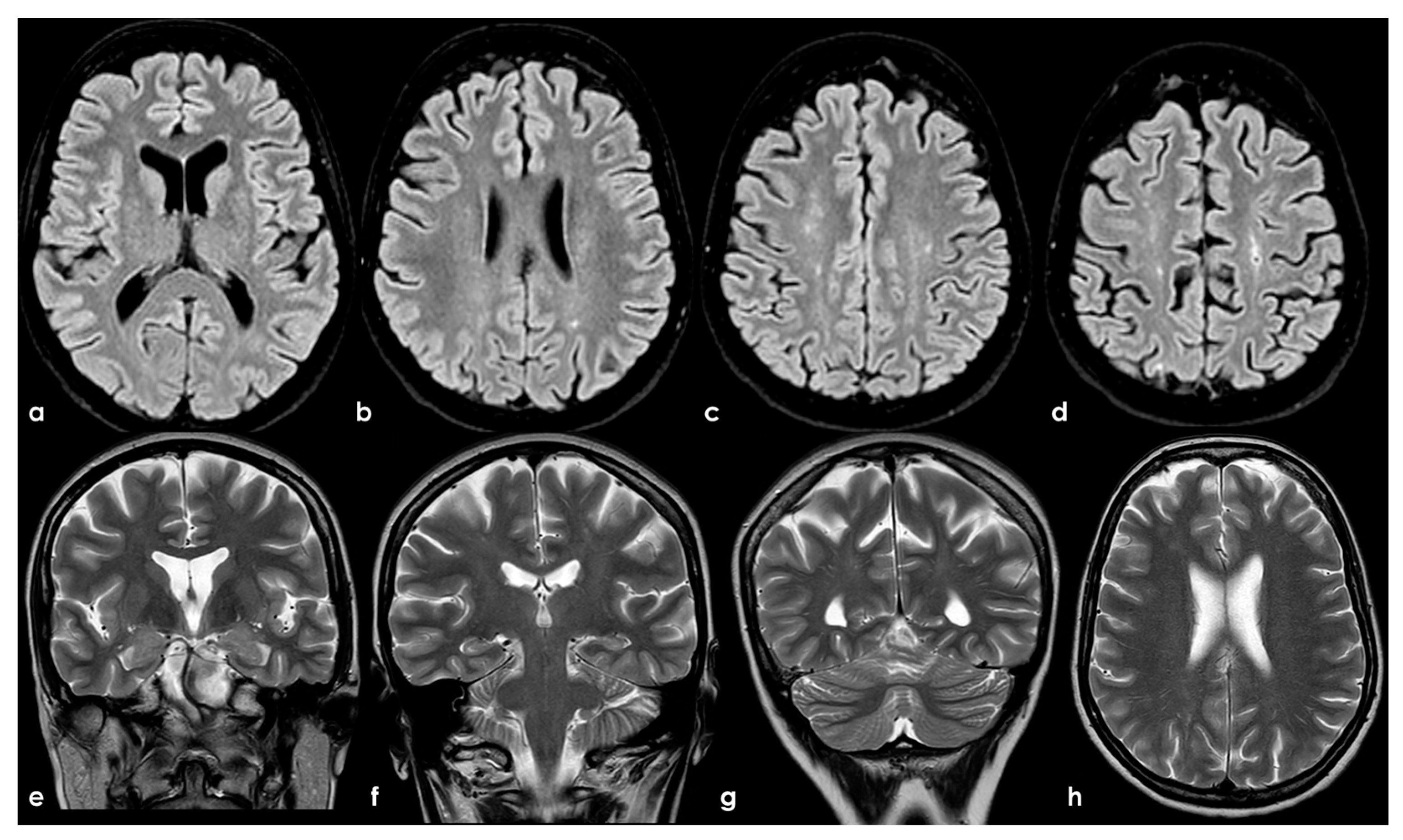
4.2.1. Small-Vessel Disease
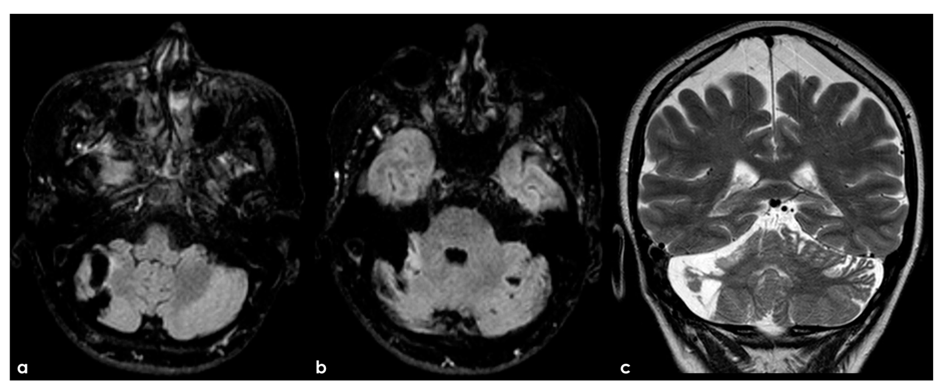
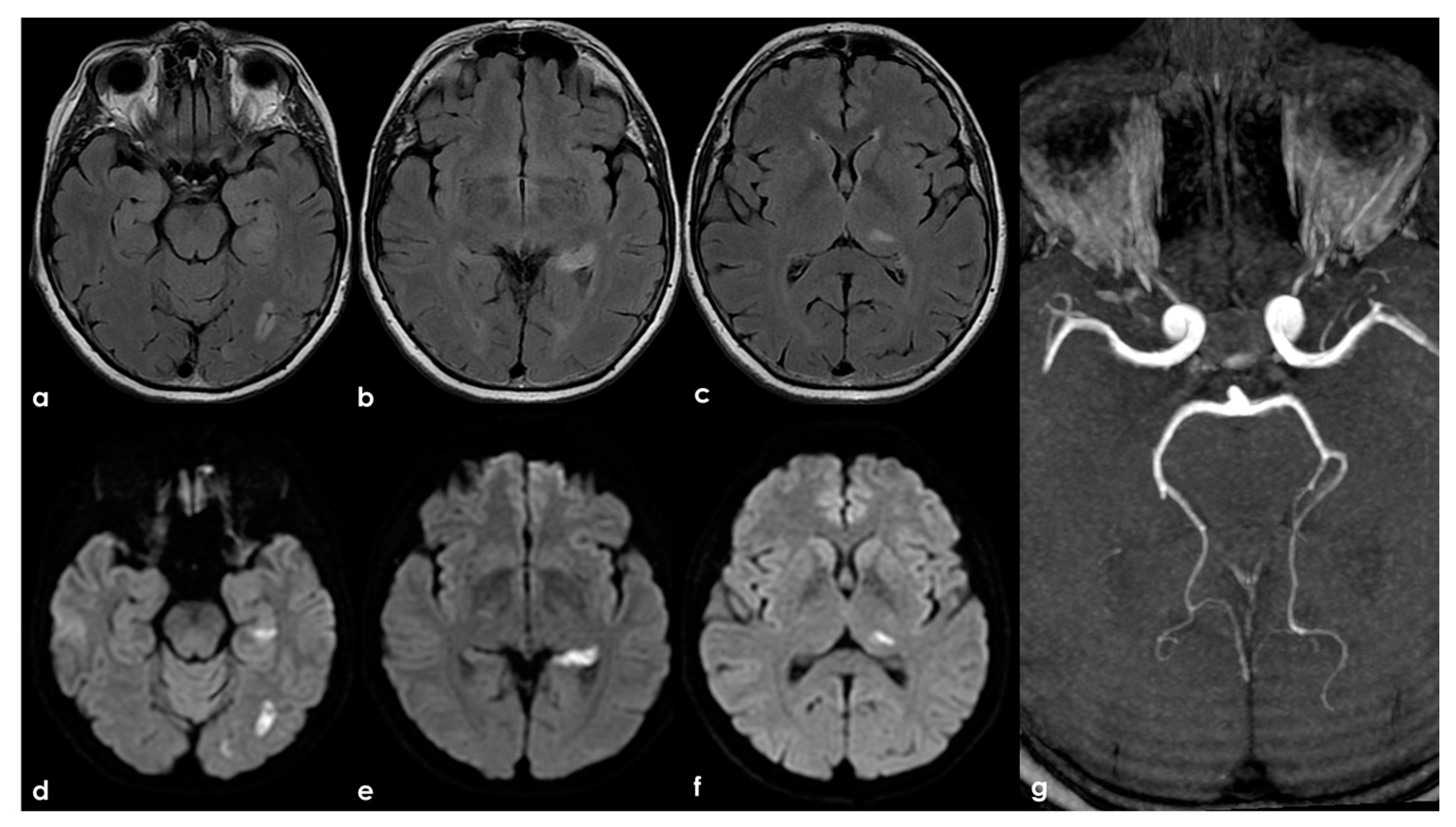
4.2.2. Large-Vessel Involvement
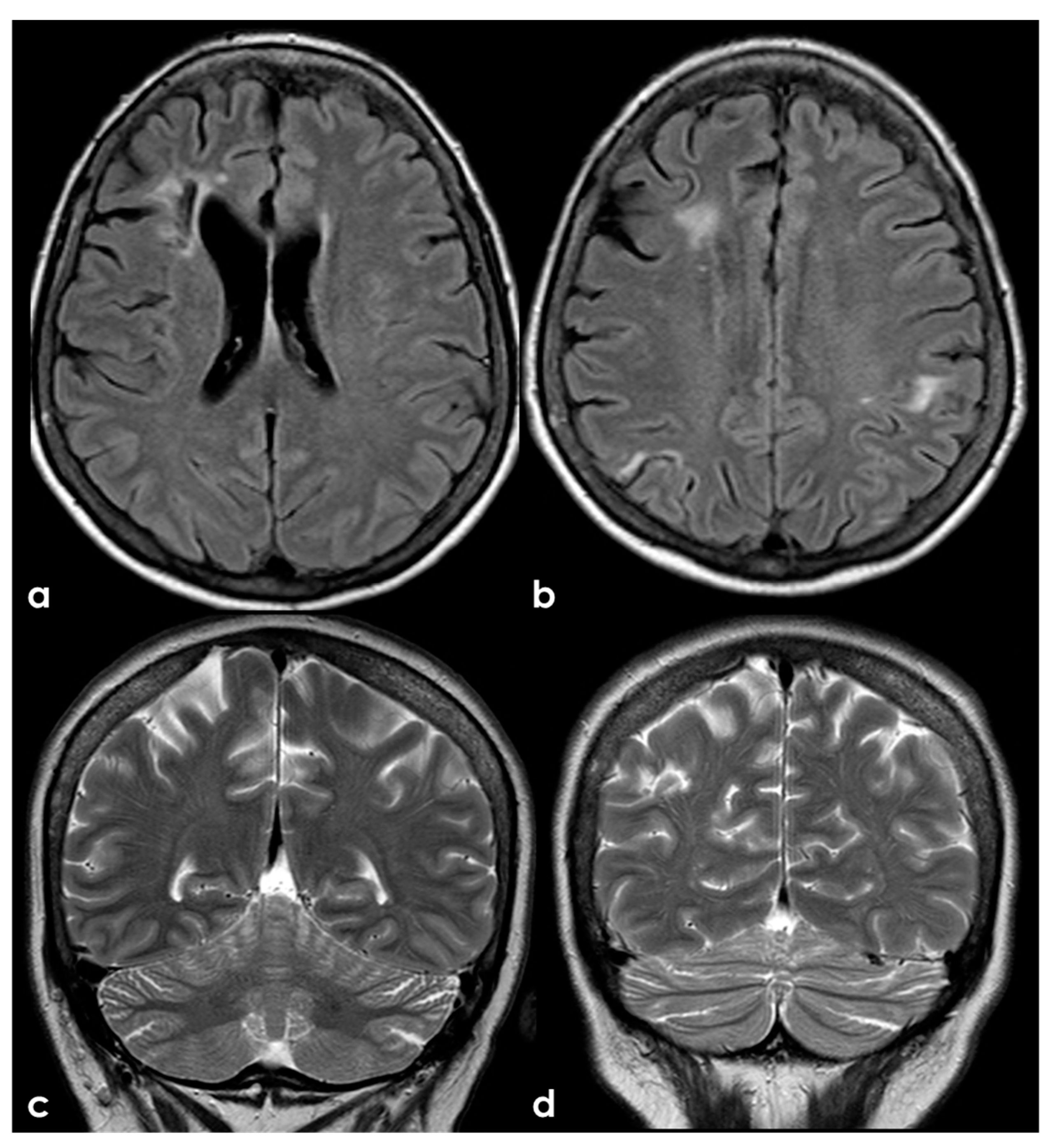
4.2.3. Brain Parenchyma
4.2.4. SLE with APS
5. Extra-Criteria Neurological Patients
6. Conclusions
Author Contributions
Funding
Conflicts of Interest
References
- Hughes, G.R. The antiphospholipid syndrome: Ten years on. Lancet 1993, 342, 341–344. [Google Scholar] [CrossRef] [PubMed]
- Corban, M.T.; Duarte-Garcia, A.; McBane, R.D.; Matteson, E.L.; Lerman, L.O.; Lerman, A. Antiphospholipid Syndrome: Role of Vascular Endothelial Cells and Implications for Risk Stratification and Targeted Therapeutics. J. Am. Coll. Cardiol. 2017, 69, 2317–2330. [Google Scholar] [CrossRef]
- Cervera, R. Antiphospholipid syndrome. Thromb. Res. 2017, 151 (Suppl. S1), S43–S47. [Google Scholar] [CrossRef]
- Schreiber, K.; Sciascia, S.; de Groot, P.G.; Devreese, K.; Jacobsen, S.; Ruiz-Irastorza, G.; Salmon, J.E.; Shoenfeld, Y.; Shovman, O.; Hunt, B.J. Antiphospholipid syndrome. Nat. Rev. Dis. Prim. 2018, 4, 17103. [Google Scholar] [CrossRef] [PubMed]
- Vila, P.; Hernández, M.C.; López-Fernández, M.F.; Batlle, J. Prevalence, follow-up and clinical significance of the anticardiolipin antibodies in normal subjects. Thromb. Haemost. 1994, 72, 209–213. [Google Scholar] [CrossRef]
- Mustonen, P.; Lehtonen, K.V.; Javela, K.; Puurunen, M. Persistent antiphospholipid antibody (aPL) in asymptomatic carriers as a risk factor for future thrombotic events: A nationwide prospective study. Lupus 2014, 23, 1468–1476. [Google Scholar] [CrossRef]
- Cervera, R.; Serrano, R.; Pons-Estel, G.J.; Ceberio-Hualde, L.; Shoenfeld, Y.; de Ramón, E.; Buonaiuto, V.; Jacobsen, S.; Zeher, M.M.; Tarr, T.; et al. Morbidity and mortality in the antiphospholipid syndrome during a 10-year period: A multicentre prospective study of 1000 patients. Ann. Rheum. Dis. 2015, 74, 1011–1018. [Google Scholar] [CrossRef]
- Matyja-Bednarczyk, A.; Swadzba, J.; Iwaniec, T.; SanakM; Dziedzina, S.; Cmiel, A.; Musiał, J. Risk factors for arterial thrombosis in antiphospholipid syndrome. Thromb. Res. 2014, 133, 173–176. [Google Scholar] [CrossRef] [PubMed]
- Ginsburg, K.S.; Liang, M.H.; Newcomer, L.; Goldhaber, S.Z.; Schur, P.H.; Hennekens, C.H.; Stampfer, M.J. Anticardiolipin antibodies and the risk for ischemic stroke and venous thrombosis. Ann. Intern. Med. 1992, 117, 997–1002. [Google Scholar] [CrossRef]
- Cervera, R.; Khamashta, M.A.; Shoenfeld, Y.; Camps, M.T.; Jacobsen, S.; Kiss, E.; Zeher, M.M.; Tincani, A.; Kontopoulou-Griva, I.; Galeazzi, M.; et al. Morbidity and mortality in the antiphospholipid syndrome during a 5-year period: A multicentre prospective study of 1000 patients. Ann. Rheum. Dis. 2009, 68, 1428–1432. [Google Scholar] [CrossRef]
- Wilson, W.A.; Gharavi, A.E.; Koike, T.; Lockshin, M.D.; Branch, D.W.; Piette, J.-C.; Brey, R.; Derksen, R.; Harris, E.N.; Hughes, G.R.V.; et al. International consensus statement on preliminary classification criteria for definite antiphospholipid syndrome: Report of an international workshop. Arthritis Rheumatol. 1999, 42, 1309–1311. [Google Scholar] [CrossRef]
- Miyakis, S.; Lockshin, M.D.; Atsumi, T.; Branch, D.W.; Brey, R.L.; Cervera, R.; Derksen, R.H.W.M.; De Groot, P.G.; Koike, T.; Meroni, P.L.; et al. International consensus statement on an update of the classification criteria for definite antiphospholipid syndrome. J. Thromb. Haemost. 2006, 4, 295–306. [Google Scholar] [CrossRef] [PubMed]
- Lim, W. Antiphospholipid syndrome. Hematol. Am. Soc. Hematol. Educ. Program 2013, 2013, 675–680. [Google Scholar] [CrossRef] [PubMed]
- Barbhaiya, M.; Zuily, S.; Naden, R.; Hendry, A.; Manneville, F.; Amigo, M.C.; Amoura, Z.; Andrade, D.; Andreoli, L.; Artim-Esen, B.; et al. The 2023 ACR/EULAR Antiphospholipid Syndrome Classification Criteria. Arthritis Rheumatol. 2023, 75, 1687–1702. [Google Scholar] [CrossRef] [PubMed]
- Adams, H.P., Jr.; Bendixen, B.H.; Kappelle, L.J.; Biller, J.; Love, B.B.; Gordon, D.L.; Marsh, E.E., 3rd. Classification of subtype of acute ischemic stroke. Definitions for use in a multicenter clinical trial. TOAST. Trial of Org 10172 in Acute Stroke Treatment. Stroke 1993, 24, 35–41. [Google Scholar] [CrossRef] [PubMed]
- Amarenco, P.; Bogousslavsky, J.; Caplan, L.R. The ASCOD phenotyping of ischemic stroke (updated ASCO phenotyping). Cerebrovasc. Dis. 2013, 36, 1–5. [Google Scholar] [CrossRef] [PubMed]
- Cervera, R.; Boffa, M.C.; Khamashta, M.A.; Hughes, G.R.V. The Euro-Phospholipid project: Epidemiology of the antiphospholipid syndrome in Europe. Lupus 2009, 18, 889–893. [Google Scholar] [CrossRef]
- Tektonidou, M.G.; Varsou, N.; Kotoulas, G.; Antoniou, A.; Moutsopoulos, H.M. Cognitive deficits in patients with antiphospholipid syndrome: Association with clinical, laboratory, and brain magnetic resonance imaging findings. Arch. Intern. Med. 2006, 166, 2278–2284. [Google Scholar] [CrossRef]
- Trysberg, E.; Nylen, K.; Rosengren, L.E.; Tarkowski, A. Neuronal and astrocytic damage in systemic lupus erythematosus patients with central nervous system involvement. Arthritis Rheum. 2003, 48, 2881–2887. [Google Scholar] [CrossRef]
- Andreoli, L.; Chighizola, C.B.; Banzato, A.; Pons-Estel, G.J.; De Jesus, G.R.; Erkan, D. Estimated frequency of antiphospholipid antibodies in patients with pregnancy morbidity, stroke, myocardial infarction, and deep vein thrombosis: A critical review of the literature. Arthritis Care Res. 2013, 65, 1869–1873. [Google Scholar] [CrossRef]
- Gašperšič, N.; Zaletel, M.; Kobal, J.; Žigon, P.; Čučnik, S.; Šemrl, S.S.; Tomšič, M.; Ambrožič, A. Stroke and antiphospholipid syndrome—Antiphospholipid antibodies are a risk factor for an ischemic cerebrovascular event. Clin. Rheumatol. 2019, 38, 379–384. [Google Scholar] [CrossRef] [PubMed]
- Babikian, V.L.; Brey, R.L.; Coull, B.M.; The Antiphospholipid Antibodies in Stroke Study Group. Clinical and laboratory findings in patients with antiphospholipid antibodies and cerebral ischemia. Stroke 1990, 21, 1268–1273. [Google Scholar] [CrossRef] [PubMed]
- Fleetwood, T.; Cantello, R.; Comi, C. Antiphospholipid syndrome and the neurologist: From pathogenesis to therapy. Front. Neurol. 2018, 9, 1001. [Google Scholar] [CrossRef] [PubMed]
- Hughes, G.R.V. Migraine, memory loss, and “multiple sclerosis”. Neurological features of the an-tiphospholipid (Hughes’) syndrome. Postgrad. Med. J. 2003, 79, 81–83. [Google Scholar] [CrossRef]
- Sciascia, S.; Sanna, G.; Khamashta, M.A.; Cuadrado, M.J.; Erkan, D.; Andreoli, L.; Bertolaccini, M.L. The estimated frequency of Antiphospholipid antibodies in young adults with cerebrovascular events: A systematic review. Ann. Rheum. Dis. 2015, 74, 2028–2033. [Google Scholar] [CrossRef] [PubMed]
- Roldan, J.F.; Brey, R.L. Neurologic Manifestations of the antiphospholipid syndrome. Curr. Rheumatol. Rep. 2007, 9, 109–115. [Google Scholar] [CrossRef] [PubMed]
- Brey, R.L. Management of the neurological manifestations of APS-what do the trials tell us? Thromb. Res. 2004, 114, 489–499. [Google Scholar] [CrossRef] [PubMed]
- Provenzale, J.M.; Barboriak, D.P.; Allen, N.B.; Ortel, T.L. Antiphospholipid antibodies: Findings at arteriography. Am. J. Neuroradiol. 1998, 19, 611–616. [Google Scholar] [PubMed]
- Ricarte, I.F.; Dutra, L.A.; Abrantes, F.F.; Toso, F.F.; Barsottini, O.G.P.; Silva, G.S.; de Souza, A.W.S.; Andrade, D. Neurologic manifestations of antiphospholipid syndrome. Lupus 2018, 27, 1404–1414. [Google Scholar] [CrossRef]
- De Amorim, L.C.D.; Maia, F.M.; Rodrigues, C.E.M. Stroke in systemic lupus erythematosus and antiphospholipid syndrome: Risk factors, clinical manifestations, neuroimaging, and treatment. Lupus 2017, 26, 529–536. [Google Scholar] [CrossRef]
- Erdogan, D.; Goren, M.T.; Diz-Kucukkaya, R.; Inanc, M. Assessment of cardiac structure and left atrial appendage functions in primary antiphospholipid syndrome: A transesophageal echocardiographic study. Stroke 2005, 36, 592–596. [Google Scholar] [CrossRef]
- Koniari, I.; Siminelakis, S.N.; Baikoussis, N.G.; Papadopoulos, G.; Goudevenos, J.; Apostolakis, E. Antiphospholipid syndrome; its implication in cardiovascular diseases: A review. J. Cardiothorac. Surg. 2010, 5, 101. [Google Scholar] [CrossRef] [PubMed][Green Version]
- Panichpisal, K.; Rozner, E.; Levine, S.R. The management of stroke in antiphospholipid syndrome. Curr. Rheumatol. Rep. 2012, 14, 99–106. [Google Scholar] [CrossRef] [PubMed]
- Provenzale, J.M.; Barboriak, D.P.; Alen, N.B.; Ortel, T.L. Patients with antiphospholipid antibodies: CT and MR findings of the brain. AJR 1996, 167, 1573–1578. [Google Scholar] [CrossRef] [PubMed]
- Silvis, S.M.; De Sousa, D.A.; Ferro, J.M.; Coutinho, J.M. Cerebral venous thrombosis. Nat. Rev. Neurol. 2017, 13, 555–565. [Google Scholar] [CrossRef]
- Martinelli, I.; Battaglioli, T.; Pedotti, P.; Cattaneo, M.; Mannucci, P.M. Hyperhomocysteinemia in cerebral vein thrombosis. Blood 2003, 102, 1363–1366. [Google Scholar] [CrossRef]
- Christopher, R.; Nagaraja, D.; Dixit, N.S.; Narayanan, C.P. Anticardiolipin antibodies: A study in cerebral venous thrombosis. Acta Neurol. Scand. 1999, 99, 121–124. [Google Scholar] [CrossRef]
- Tsai, C.L.; Hueng, D.Y.; Tsao, W.L.; Lin, J.C. Cerebral venous sinus thrombosis as an initial manifestation of primary antiphospholipid syndrome. Am. J. Emerg. Med. 2013, 31, 888.e1–888.e3. [Google Scholar] [CrossRef]
- Ferro, J.M.; Bousser, M.G.; Canhão, P.; Coutinho, J.M.; Crassard, I.; Dentali, F.; di Minno, M.; Maino, A.; Martinelli, I.; Masuhr, F.; et al. European Stroke Organization guideline for the diagnosis and treatment of cerebral venous thrombosis–endorsed by the European Academy of Neurology. Eur. J. Neurol. 2017, 24, 1203–1213. [Google Scholar] [CrossRef]
- Samanta, D.; Cobb, S.; Arya, K. Sneddon syndrome: A comprehensive overview. J. Stroke Cerebrovasc. Dis. 2019, 28, 2098–2108. [Google Scholar] [CrossRef]
- Francès, C.; Papo, T.; Wechsler, B.; Laporte, J.-L.; Biousse, V.; Piette, J.-C. Sneddon syndrome with or without antiphospholipid antibodies: A comparative study in 46 patients. Medicine 1999, 78, 209–219. [Google Scholar] [CrossRef] [PubMed]
- Wu, S.; Xu, Z.; Liang, H. Sneddon’s syndrome: A comprehensive review of the literature. Orphanet J. Rare Dis. 2014, 9, 215. [Google Scholar] [CrossRef] [PubMed]
- Gupta, S.; Zivadinov, R.; Ramasamy, D.; Ambrus, J.L. Reversible cerebral vasoconstriction syndrome (RCVS) in antiphospholipid antibody syndrome (APLA): The role of centrally acting vasodilators. Case series and review of literature. Clin. Rheumatol. 2014, 33, 1829–1833. [Google Scholar] [CrossRef] [PubMed]
- Wang, Z.; Fu, Z.; Wang, J.; Cui, H.; Zhang, Z.; Zhang, B. Moyamoya syndrome with antiphospholipid antibodies: A case report and literature review. Lupus 2014, 23, 1204–1206. [Google Scholar] [CrossRef] [PubMed]
- Volkov, I.; Seguro, L.; Leon, E.P.; Kovács, L.; Roggenbuck, D.; Schierack, P.; Gilburd, B.; Doria, A.; Tektonidou, M.G.; Agmon-Levin, N. Profiles of criteria and noncriteria anti-phospholipid autoantibodies are associated with clinical phenotypes of the antiphospholipid syndrome. Autoimmun. Highlights 2020, 11, 8. [Google Scholar] [CrossRef]
- Erkan, D.; Barbhaiya, M.; George, D.; Sammaritano, L.; Lockshin, M. Moderate versus high-titer persistently anticardiolipin antibody positive patients: Are they clinically different and does high-titer anti-beta 2-glycoprotein-I antibody positivity offer additional predictive information? Lupus 2010, 19, 613–619. [Google Scholar] [CrossRef]
- Cervera, R.; Piette, J.C.; Font, J.; Khamashta, M.A.; Shoenfeld, Y.; Camps, M.T.; Jacobsen, S.; Lakos, G.; Tincani, A.; Kontopoulou-Griva, I.; et al. Antiphospholipid syndrome: Clinical and immunologic manifestations and patterns of disease expression in a cohort of 1000 patients. Arthritis Rheum. 2002, 46, 1019–1027. [Google Scholar] [CrossRef]
- Orzechowski, N.M.; Wolanskyj, A.P.; Ahlskog, J.E.; Kumar, N.; Moder, K.G. Antiphospholipid antibody-associated chorea. J. Rheumatol. 2008, 35, 2165–2170. [Google Scholar] [CrossRef]
- Reine, P.; Galanaud, D.; Leroux, G.; Vidailhet, M.; Haroche, J.; Huong, D.L.T.; Francès, C.; Papo, T.; de Gennes, C.; Musset, L.; et al. Long-term outcome of 32 patients with chorea and systemic lupus erythematosus or antiphospholipid antibodies. Mov. Disord. 2011, 26, 2422–2427. [Google Scholar] [CrossRef]
- Filippidou, N.; Krashias, G.; Christodoulou, C.; Pantzaris, M.; Lambrianides, A. Mechanisms of activation induced by antiphospholipid antibodies in multiple sclerosis: Potential biomarkers of disease? J. Immunol. Methods 2019, 474, 112663. [Google Scholar] [CrossRef]
- Filippidou, N.; Krashias, G.; Pericleous, C.; Rahman, A.; Ioannou, Y.; Giles, I.; Demetriou, C.; Anatolitou, A.; Christodoulou, C.; Pantzaris, M.; et al. The association between IgG and IgM antibodies against cardiolipin, β2-glycoprotein I and Domain I of β2-glycoprotein I with disease profile in patients with multiple sclerosis. Mol. Immunol. 2016, 75, 161–167. [Google Scholar] [CrossRef] [PubMed]
- Froman, E.M.; Racke, M.K.; Raine, C.S. Multiple sclerosis: The plaque and its pathogenesis. N. Engl. J. Med. 2006, 354, 942–955. [Google Scholar] [CrossRef] [PubMed]
- Bidot, C.J.; Jy, W.; Horstman, L.L.; Ahn, E.R.; Jimenez, J.J.; Yaniz, M.; Lander, G.; Ahn, Y.S. Antiphospholipid antibodies in immune thrombocytopenic purpura tend to emerge in exacerbation and decline in remission. Br. J. Haematol. 2004, 128, 366–372. [Google Scholar] [CrossRef] [PubMed]
- Fukazawa, T.; Moriwaka, F.; Mukai, M.; Hamada, T.; Koike, T.; Tashiro, K. Anticardiolipin antibodies in Japanese patients with multiple sclerosis. Acta Neurol. Scand. 1993, 88, 184–189. [Google Scholar] [CrossRef] [PubMed]
- Tourbah, A.; Clapin, A.; Gout, O.; Fontaine, B.; Liblau, R.; Batteux, F.; Stievenart, J.L.; Weill, B.; Lubetski, C.; Lyon-Caen, O. Systemic autoimmune features and multiple sclerosis: A 5-year follow-up study. Arch. Neurol. 1998, 55, 517–521. [Google Scholar] [CrossRef]
- Sugiyama, Y.; Yamamoto, Y. Characterization of serum anti-phospholipid antibodies in patients with multiple sclerosis. Tohoky J. Exp. Med. 1996, 178, 203–215. [Google Scholar] [CrossRef] [PubMed][Green Version]
- Ijdo, J.W.; Conti-Kelly, A.M.; Greco, P.; Abedi, M.; Amos, M.; Provenzale, J.M.; Greco, T.P. Anti-phospholipid antibodies in patients with multiple sclerosis and MS-like illnesses: MS or APS? Lupus 1999, 8, 109–115. [Google Scholar] [CrossRef] [PubMed]
- Garg, N.; Zivadinov, R.; Ramanathan, M.; Vasiliu, I.; Locke, J.; Watts, K.; Lema, J.; Rajeswary, J.; Munschauer, F.E.; Ambrus, J.; et al. Clinical and MRI correlates of autoreactive antibodies in multiple sclerosis patients. J. Neuroimmunol. 2007, 187, 159–165. [Google Scholar] [CrossRef]
- Bidot, C.J.; Horstman, L.L.; Jy, W.; Jimenez, J.J.; Bidot, C., Jr.; Ahn, Y.S.; Alexander, J.S.; Gonzalez-Toledo, E.; Kelley, R.E.; Minagar, A. Clinical and neuroimaging correlates of antiphospholipid antibodies in multiple sclerosis: A preliminary study. BMC Neurol. 2007, 7, 36. [Google Scholar] [CrossRef]
- Yelnik, C.M.; Kozora, E.; Appenzeller, S. Non-stroke central neurologic manifestations in antiphospholipid syndrome. Curr. Rheumatol. Rep. 2016, 18, 11. [Google Scholar] [CrossRef]
- Janardhan, V.; Wolf, P.A.; Kase, C.S.; Massaro, J.M.; D’Agostino, R.B.; Franzblau, C.; Wilson, P.W. Anticar-diolipin antibodies and risk of ischemic stroke and transient ischemic attack: The Framingham Cohort and Offspring Study. Stroke 2004, 35, 736–741. [Google Scholar] [CrossRef] [PubMed]
- Brey, R.L.; Abbott, R.D.; Curb, J.D.; Sharp, D.S.; Ross, G.W.; Stallworth, C.L.; Kittner, S.J. β(2)-Glycoprotein 1-dependent anticardiolipin antibodies and risk of ischemic stroke and myocardial infarction: The Honolulu Heart Program. Stroke 2001, 32, 1701–1706. [Google Scholar] [CrossRef] [PubMed]
- Arnaud, L.; Mathian, A.; Ruffatti, A.; Erkan, D.; Tektonidou, M.; Cervera, R.; Forastiero, R.; Pengo, V.; Lambert, M.; Martinez-Zamora, M.A.; et al. Efficacy of aspirin for the primary prevention of thrombosis in patients with antiphospholipid antibodies: An international and collaborative meta-analysis. Autoimmun. Rev. 2014, 13, 281–291. [Google Scholar] [CrossRef]
- Arvanitakis, Z.; Brey, R.L.; Rand, J.H.; Schneider, J.A.; Capuano, A.W.; Yu, L.; Leurgans, S.E.; Bennett, D.A.; Levine, S.R. Relation of antiphospholipid antibodies to postmortem brain infarcts in older people. Circulation 2015, 131, 182–189. [Google Scholar] [CrossRef] [PubMed]
- Ziporen, L.; Polak-Charcon, S.; Korczyn, D.A.; Goldberg, I.; Afek, A.; Kopolovic, J.; Chapman, J.; Shoenfeld, Y. Neurological dysfunction associated with antiphospholipid syndrome: Histopathological brain findings of thrombotic changes in a mouse model. Clin. Dev. Immunol. 2004, 11, 67–75. [Google Scholar] [CrossRef] [PubMed]
- Arvanitakis, Z.; Capuano, A.W.; Brey, R.; Fleischman, D.A.; Arfanakis, K.; Buchman, A.S.; Schneider, J.A.; Levine, S.R.; Bennett, D.A. Antiphospholipid Antibodies: Cognitive and Motor Decline, Neuroimaging and Neuropathology. Neuroepidemiology 2019, 53, 100–107. [Google Scholar] [CrossRef] [PubMed]
- Zhu, D.S.; Fu, J.; Zhang, Y.; Li, S.X.; Zhang, G.X.; Guan, Y.T.; Dong, Q. Neurological antiphospholipid syndrome: Clinical, neuroimaging, and pathological characteristics. J. Neurol. Sci. 2014, 346, 138–144. [Google Scholar] [CrossRef] [PubMed]
- Taraborelli, M.; Andreoli, L.; Tincani, A. Much more than thrombosis and pregnancy loss: The antiphospholipid syndrome as a ’systemic disease’. Best. Pract. Res. Clin. Rheumatol. 2012, 26, 79–90. [Google Scholar] [CrossRef] [PubMed]
- Keeling, D.; Mackie, I.; Moore, G.W.; Greer, I.A.; Greaves, M. British Committee for Standards in H. Guidelines on the investigation and management of antiphospholipid syndrome. Br. J. Haematol. 2012, 157, 47–58. [Google Scholar] [CrossRef]
- Johnson, R.T.; Richardson, E.P. The neurological manifestations of systemic lupus erythematosus. Medicine 1968, 47, 337–369. [Google Scholar] [CrossRef]
- O’Connor, J.F.; Musher, D.M. Central nervous system involvement in systemic lupus erythematosus: A study of 150 cases. Arch. Neurol. 1966, 14, 157–164. [Google Scholar] [CrossRef] [PubMed]
- Harris, E.N.; Gharavi, A.E.; Asherson, R.A.; Boey, M.L.; Hughes, G.R. Cerebral infarction in systemic lupus: Association with anticardiolipin antibodies. Clin. Exp. Rheumatol. 1984, 2, 47–51. [Google Scholar] [PubMed]
- Harris, E.N.; Gharavi, A.E.; Mackworth-Young, C.G.; Patel, B.M.; Derue, G.; Hughes, G.R. Lupoid sclerosis: A possible pathogenetic role for antiphospholipid antibodies. Ann. Rheum. Dis. 1985, 44, 281–283. [Google Scholar] [CrossRef] [PubMed]
- Sibbitt, W.L., Jr.; Brooks, W.M.; Kornfeld, M.; Hart, B.L.; Bankhurst, A.D.; Roldan, C.A. Magnetic resonance imaging and brain histopathology in neuropsychiatric systemic lupus erythematosus. Semin. Arthritis Rheum. 2010, 40, 32–52. [Google Scholar] [CrossRef] [PubMed]
- Jeltsch-David, H.; Muller, S. Neuropsychiatric systemic lupus erythematosus: Pathogenesis and biomarkers. Nat. Rev. Neurol. 2014, 10, 579–596. [Google Scholar] [CrossRef] [PubMed]
- Sarwar, S.; Mohamed, A.S.; Rogers, S.; Sarmast, S.T.; Kataria, S.; Mohamed, K.H.; Khalid, M.Z.; Saeeduddin, M.O.; Shiza, S.T.; Ahmad, S.; et al. Neuropsychiatric systemic lupus erythematosus: A 2021 update on diagnosis, management, and current challenges. Cureus 2021, 13, e17969. [Google Scholar] [CrossRef] [PubMed]
- Thirunavukkarasu, B.; Gupta, K.; Nada, R.; Rathi, M.; Dhir, V.; Ahuja, C.K.; Sharma, A.; Lal, V.; Radotra, B.D. Neuropathological spectrum in systemic lupus erythematosus: A single institute autopsy experience. J. Neuroimmunol. 2021, 353, 577518. [Google Scholar] [CrossRef] [PubMed]
- Duering, M.; Biessels, G.J.; Brodtmann, A.; Chen, C.; Cordonnier, C.; de Leeuw, F.E.; Debette, S.; Frayne, R.; Jouvent, E.; Rost, N.S.; et al. Neuroimaging standards for research into small vessel disease-advances since 2013. Lancet Neurol. 2023, 22, 602–618. [Google Scholar] [CrossRef] [PubMed]
- D’Angelo, C.; Franch, O.; Fernández-Paredes, L.; Oreja-Guevara, C.; Núñez-Beltrán, M.; Comins-Boo, A.; Reale, M.; Sánchez-Ramón, S. Antiphospholipid Antibodies Overlapping in Isolated Neurological Syndrome and Multiple Sclerosis: Neurobiological Insights and Diagnostic Challenges. Front. Cell. Neurosci. 2019, 13, 107. [Google Scholar] [CrossRef]
- Chapman, J. The interface of multiple sclerosis and antiphospholipid antibodies. Thromb. Res. 2004, 114, 477–481. [Google Scholar] [CrossRef]
- Ferreira, S.; D’Cruz, D.P.; Hughes, G.R. Multiple sclerosis, neuropsychiatric lupus and antiphospholipid syndrome: Where do we stand? Rheumatology 2005, 44, 434–442. [Google Scholar] [CrossRef] [PubMed]
- Uthman, I.; Noureldine, M.H.; Berjawi, A.; Skaf, M.; Haydar, A.A.; Merashli, M.; Hughes, G.R.V. Hughes syndrome and multiple sclerosis. Lupus 2015, 24, 115–121. [Google Scholar] [CrossRef] [PubMed]
- Stosic, M.; Ambrus, J.; Garg, N.; Weinstock-Guttman, B.; Ramanathan, M.; Kalman, B.; Minagar, A.; Munschauer, F.E.; Galey, T.M.; Hussein, S.; et al. MRI characteristics of patients with antiphospholipid syndrome and multiple sclerosis. J. Neurol. 2010, 257, 63–71. [Google Scholar] [CrossRef] [PubMed]
- Roussel, V.; Yi, F.; Jauberteau, M.O.; Couderq, C.; Lacombe, C.; Michelet, V.; Gil, R.; Couratier, P.; Vallat, J.; Preud’homme, J. Prevalence and clinical significance of anti-phospholipid antibodies in multiple sclerosis: A study of 89 patients. J. Autoimmun. 2000, 14, 259–265. [Google Scholar] [CrossRef] [PubMed]
- Jacobson, M.W.; Rapport, L.J.; Keenan, P.A.; Coleman, R.D.; Tietjen, G.E. Neuropsychological deficits associated with antiphospholipid antibodies. J. Clin. Exp. Neuropsychol. 1999, 21, 251–264. [Google Scholar] [CrossRef] [PubMed]
- Coín, M.A.; Vilar-López, R.; Peralta-Ramírez, I.; Hidalgo-Ruzzante, N.; Callejas-Rubio, J.L.; Ortego-Centeno, N.; Pérez-García, M. The role of antiphospholipid autoantibodies in the cognitive deficits of patients with systemic lupus erythematosus. Lupus 2015, 24, 875–879. [Google Scholar] [CrossRef] [PubMed]
- Donnellan, C.; Cohen, H.; Werring, D.J. Cognitive dysfunction and associated neuroimaging biomarkers in antiphospholipid syndrome: A systematic review. Rheumatology 2021, 61, 24–41. [Google Scholar] [CrossRef] [PubMed]
- Man, Y.L.; Sanna, G. Neuropsychiatric Manifestations of Antiphospholipid Syndrome—A Narrative Review. Brain Sci. 2022, 12, 91. [Google Scholar] [CrossRef] [PubMed]
- Sevim, E.; Zisa, D.; Andrade, D.; Sciascia, S.; Pengo, V.; Tektonidou, M.G.; Ugarte, A.; Gerosa, M.; Belmont, H.M.; Zamorano, M.A.A.; et al. Characteristics of Patients with Antiphospholipid Antibody Positivity in the APS ACTION International Clinical Database and Repository. Arthritis Care Res. 2020, 74, 324–335. [Google Scholar] [CrossRef]
- Gómez-Puerta, J.A.; Cervera, R.; Calvo, L.M.; Gómez-Ansón, B.; Espinosa, G.; Claver, G.; Bucciarelli, S.; Bové, A.; Ramos-Casals, M.; Ingelmo, M.; et al. Dementia associated with the antiphospholipid syndrome: Clinical and radiological characteristics of 30 patients. Rheumatology 2005, 44, 95–99. [Google Scholar] [CrossRef]
- Sanna, G.; Bertolaccini, M.L.; Cuadrado, M.J.; Khamashta, M.A.; Hughes, G.R.V. Central nervous system involvement in the antiphospholipid (Hughes) syndrome. Rheumatology 2003, 42, 200–213. [Google Scholar] [CrossRef] [PubMed]
- Erkan, D.; Vega, J.; Ramón, G.; Kozora, E.; Lockshin, M.D. A pilot open-label phase II trial of rituximab for non-criteria manifestations of antiphospholipid syndrome. Arthritis Rheum. 2013, 65, 464–471. [Google Scholar] [CrossRef] [PubMed]
- Mosek, A.; Yust, I.; Treves, T.A.; Vardinon, N.; Korczyn, A.D.; Chapman, J. Dementia and antiphospholipid antibodies. Dement. Geriatr. Cogn. Disord. 2000, 11, 36–38. [Google Scholar] [CrossRef] [PubMed]
- Islam, M.A.; Alam, F.; Kamal, M.A.; Gan, S.H.; Sasongko, T.H.; Wong, K.K. Presence of anticardiolipin antibodies in patients with dementia: A systematic review and meta-analysis. Front. Aging Neurosci. 2017, 9, 250. [Google Scholar] [CrossRef] [PubMed]
- Shoenfeld, Y.; Nahum, A.; Korczyn, A.D.; Dano, M.; Rabinowitz, R.; Beilin, O.; Pick, C.G.; Leider-Trejo, L.; Kalashnikova, L.; Blank, M.; et al. Neuronal-binding antibodies from patients with antiphospholipid syndrome induce cognitive deficits following intrathecal passive transfer. Lupus 2003, 12, 436–442. [Google Scholar] [CrossRef] [PubMed]
- Appenzeller, S.; Lapa, A.T.; Guirau, C.R.; de Carvalho, J.F.; Shoenfeld, Y. Cognitive impairment in antiphospholipid syndrome: Evidence from animal models. Clin. Rheumatol. 2012, 31, 403–406. [Google Scholar] [CrossRef] [PubMed]
- Abreu, M.M.; Danowski, A.; Wahl, D.G.; Amigo, M.C.; Tektonidou, M.; Pacheco, M.S.; Fleming, N.; Domingues, V.; Sciascia, S.; Lyra, J.O.; et al. The relevance of “non-criteria” clinical manifestations of antiphospholipid syndrome: 14th international congress on antiphospholipid antibodies technical task force report on antiphospholipid syndrome clinical features. Autoimmun. Rev. 2015, 14, 401–414. [Google Scholar] [CrossRef] [PubMed]
- Hassan, F.; Naffaa, M.E.; Saab, A.; Putterman, C. Cognitive Impairment in Anti-Phospholipid Syndrome and Anti-Phospholipid Antibody Carriers. Brain Sci. 2022, 12, 222. [Google Scholar] [CrossRef]
- Yelnik, C.M.; Kozora, E.; Appenzeller, S. Cognitive disorders and anti-phospholipid antibodies. Autoimmun. Rev. 2016, 15, 1193–1198. [Google Scholar] [CrossRef]
- Colucci, A.T.; Di Lorenzo, G.; Ingrassia, A.; Crescimanno, G. Blood anti-phospholipid antibody levels are influenced by age, sex and HLA-B8, DR3 phenotype. Exp. Clin. Immunogenet. 1992, 9, 72–79. [Google Scholar]
- Estévez, M.Á.; Lanio, N.; Molina, Á.; Jiménez-León, M.R.; Picado, M.J.; Esteban, E.; Sánchez, S.; Pallarés, L.; Julià, M.R. Extra-criteria antiphospholipid antibodies in patients with small vessel brain lesions and clinical manifestations associated with antiphospholipid syndrome. J. Stroke Cerebrovasc. Dis. 2023, 32, 107034. [Google Scholar] [CrossRef] [PubMed]
- Fazekas, F.; Chawluk, J.B.; Alavi, A.; Hurtig, H.I.; Zimmerman, R.A. MR signal abnormalities at 1.5 T in Alzheimer’s dementia and normal aging. AJR Am. J. Roentgenol. 1987, 149, 351–356. [Google Scholar] [CrossRef]
- Pascarella, R.; Antonenko, K.; Boulouis, G.; De Boysson, H.; Giannini, C.; Heldner, M.R.; Kargiotis, O.; Nguyen, T.N.; Rice, C.M.; Salvarani, C.; et al. European Stroke Organisation (ESO) guidelines on Primary Angiitis of the Central Nervous System (PACNS). Eur. Stroke J. 2023, 8, 842–879. [Google Scholar] [CrossRef] [PubMed]
- Ford, S.E.; Kennedy, L.; Ford, P.M. Clinicopathologic correlations of antiphospholipid antibodies: An autopsy study. Arch. Pathol. Lab. Med. 1994, 118, 491–495. [Google Scholar] [PubMed]
- Lie, J.T. Vasculitis in the antiphospholipid syndrome: Culprit or consort? J. Rheumatol. 1994, 21, 397–399. [Google Scholar] [PubMed]
- Alarcon-Segovia, D.J.; Cardiel, M.H.; Reyes, E. Antiphospholipid arterial vasculopathy. J. Rheumatol. 1989, 16, 762–767. [Google Scholar] [PubMed]
- Kuroda, S.; Fujimura, M.; Takahashi, J.; Kataoka, H.; Ogasawara, K.; Iwama, T.; Tominaga, T.; Miyamoto, S.; Research Committee on Moyamoya Disease (Spontaneous Occlusion of Circle of Willis) of the Ministry of Health, Labor, and Welfare, Japan. Diagnostic Criteria for Moyamoya Disease-2021 Revised Version. Neurol. Med. Chir. 2022, 62, 307–312. [Google Scholar] [CrossRef]
- Bersano, A.; Khan, N.; Fuentes, B.; Acerbi, F.; Canavero, I.; Tournier-Lasserve, E.; Vajcoczy, P.; Zedde, M.L.; Hussain, S.; Lémeret, S.; et al. European Stroke Organisation (ESO) Guidelines on Moyamoya angiopathy Endorsed by Vascular European Reference Network (VASCERN). Eur. Stroke J. 2023, 8, 55–84. [Google Scholar] [CrossRef]
- Gonzalez, N.R.; Amin-Hanjani, S.; Bang, O.Y.; Coffey, C.; Du, R.; Fierstra, J.; Fraser, J.F.; Kuroda, S.; Tietjen, G.E.; Yaghi, S.; et al. Adult Moyamoya Disease and Syndrome: Current Perspectives and Future Directions: A Scientific Statement from the American Heart Association/American Stroke Association. Stroke 2023, 54, e465–e479. [Google Scholar] [CrossRef]
- Kalashnikova, L.A.; Nasonov, E.L.; Kushekbaeva, A.E.; Gracheva, L.A. Anticardiolipin antibodies in Sneddon’s syndrome. Neurology 1994, 40, 464–467. [Google Scholar] [CrossRef]
- Kalashnikova, L.A.; Nasonov, E.L.; Stoyanovich, L.Z.; Kovalyov, V.U.; Kosheleva, N.M.; Reshetnyak, T.M. Sneddon’s syndrome and the primary antiphospholipid syndrome. Cerebrovasc. Dis. 1998, 4, 76–82. [Google Scholar] [CrossRef]
- DeVeber, G. Vascular occlusion in moyamoya: A multitude of mechanisms? Stroke 2001, 32, 1791–1792. [Google Scholar]
- Yeo, J.; Hwang, I.; Sohn, C.H.; Lee, E.E.; Lee, S.T.; Lee, E.B.; Park, J.K. Proliferative Vasculopathy Associated With Antiphospholipid Antibodies in Patients With Neurological Symptoms. Front. Med. 2022, 9, 913203. [Google Scholar] [CrossRef] [PubMed]
- Rees, J.D.; Lanca, S.; Marques, P.V.; Gomez-Puerta, J.A.; Moco, R.; Oliveri, C.; A Khamashta, M.; Hughes, G.R.V.; D’cruz, D.P. Prevalence of the antiphospholipid syndrome in primary systemic vasculitis. Ann. Rheum. Dis. 2006, 65, 109–111. [Google Scholar] [CrossRef] [PubMed]
- Degnan, A.J.; Gallagher, G.; Teng, Z.; Lu, J.; Liu, Q.; Gillard, J.H. angiography and imaging for the evaluation of middle cerebral artery atherosclerotic disease. AJNR Am. J. Neuroradiol. 2012, 33, 1427–1435. [Google Scholar] [CrossRef] [PubMed]
- Urowitz, M.B.; Bookman, A.A.; Koehler, B.E.; Gordon, D.A.; Smythe, H.A.; Ogryzlo, M.A. The bimodal mortality pattern of systemic lupus erythematosus. Am. J. Med. 1976, 60, 221–225. [Google Scholar] [CrossRef] [PubMed]
- Doherty, N.E.; Siegel, R.J. Cardiovascular manifestations of systemic lupus erythematosus. Am. Heart J. 1985, 110, 1257–1265. [Google Scholar] [CrossRef] [PubMed]
- Kravvariti, E.; Konstantonis, G.; Tentolouris, N.; Sfikakis, P.P.; Tektonidou, M.G. Carotid and femoral atherosclerosis in antiphospholipid syndrome: Equivalent risk with diabetes mellitus in a case-control study. Semin. Arthritis Rheum. 2018, 47, 883–889. [Google Scholar] [CrossRef] [PubMed]
- Booth, F.; Yanofsky, R.; Ross, I.B.; Lawrence, P.; Oen, K. Primary antiphospholipid syndrome with moyamoya-like vascular changes. Pediatr. Neurosurg. 1999, 31, 45–48. [Google Scholar] [CrossRef]
- Xiao, F.; Tian, X.; Wang, X.F. Antiphospholipid syndrome causing reversible internal carotid artery thrombosis. Lancet 2018, 391, 2641. [Google Scholar] [CrossRef]
- Power, S.; Matouk, C.; Casaubon, L.K.; Silver, F.L.; Krings, T.; Mikulis, D.J.; Mandell, D.M.; J, P.; M, R.; M, E.; et al. Vessel wall magnetic resonance imaging in acute ischemic stroke: Effects of embolism and mechanical thrombectomy on the arterial wall. Stroke 2014, 45, 2330–2334. [Google Scholar] [CrossRef]
- Jang, W.; Kwak, H.S.; Chung, G.H.; Hwang, S.B. Three-dimensional blackblood contrast-enhanced MRI improves detection of intraluminal thrombi in patients with acute ischaemic stroke. Eur. Radiol. 2018, 28, 3840–3847. [Google Scholar] [CrossRef]
- Djokovic, A.; Stojanovich, L.; Stanisavljevic, N.; Banicevic, S.; Smiljanic, D.; Milovanovic, B. Relationship between cerebrovascular and valvular manifestations in a Serbian cohort of patients with antiphospholipid syndrome. Clin. Exp. Rheumatol. 2018, 36, 850–855. [Google Scholar] [PubMed]
- Lasjaunias, P.L.; Landrieu, P.; Rodesch, G.; Alvarez, H.; Ozanne, A.; Holmin, S.; Zhao, W.Y.; Geibprasert, S.; Ducreux, D.; Krings, T. Cerebral proliferative angiopathy: Clinical and angiographic description of an entity different from cerebral AVMs. Stroke 2008, 39, 878–885. [Google Scholar] [CrossRef] [PubMed]
- Yamaki, V.N.; Solla, D.J.F.; Telles, J.P.M.; Liem, G.L.J.; da Silva, S.A.; Caldas, J.G.M.P.; Teixeira, M.J.; Paschoal, E.H.A.; Figueiredo, E.G. The current clinical picture of cerebral proliferative angiopathy: Systematic review. Acta Neurochir. 2020, 162, 1727–1733. [Google Scholar] [CrossRef]
- Levine, S.R.; Deegan, M.J.; Futrell, N.; Welch, K.M. Cerebrovascular and neurologic disease associated with antiphospholipid antibodies: 48 cases. Neurology 1990, 40, 1181–1189. [Google Scholar] [CrossRef]
- Yang, W.; Kang, M.K.; Ha, S.Y.; Kang, D.; Bae, J.; Lee, E.; Jeong, H.; Kim, J.; Jung, K.; Lee, S. Current status role of antiphospholipid antibody testing in cryptogenic stroke. Eur. J. Neurol. 2022, 29, 753–760. [Google Scholar] [CrossRef]
- Pengo, V.; Denas, G.; Zoppellaro, G.; Jose, S.P.; Hoxha, A.; Ruffatti, A.; Andreoli, L.; Tincani, A.; Cenci, C.; Prisco, D.; et al. Rivaroxaban vs warfarin in high-risk patients with antiphospholipid syndrome. Blood 2018, 132, 1365–1371. [Google Scholar] [CrossRef]
- Ordi-Ros, J.; Sáez-Comet, L.; Pérez-Conesa, M.; Vidal, X.; Riera-Mestre, A.; Castro-Salomó, A.; Cuquet-Pedragosa, J.; Ortiz-Santamaria, V.; Mauri-Plana, M.; Solé, C.; et al. Rivaroxaban versus vitamin K antagonist in antiphospholipid syndrome: A randomized noninferiority trial. Ann. Intern. Med. 2019, 171, 685. [Google Scholar] [CrossRef] [PubMed]
- Woller, S.C.; Stevens, S.M.; Kaplan, D.; Wang, T.-F.; Branch, D.W.; Groat, D.; Wilson, E.L.; Armbruster, B.; Aston, V.T.; Lloyd, J.F.; et al. Apixaban compared with warfarin to prevent thrombosis in thrombotic antiphospholipid syndrome: A randomized trial. Blood Adv. 2022, 6, 1661–1670. [Google Scholar] [CrossRef]
- Yang, W.; Kang, D.W.; Kim, J.M.; Jung, K.H.; Lee, S.H. Neuroimaging features of antiphospholipid antibody-related stroke compared with atrial fibrillation-related stroke. Sci. Rep. 2022, 12, 11686. [Google Scholar] [CrossRef] [PubMed]
- Cheng, C.; Cheng, G.Y.; Denas, G.; Pengo, V. Arterial thrombosis in antiphospholipid syndrome (APS): Clinical approach and treatment A systematic review. Blood Rev. 2021, 48, 100788. [Google Scholar] [CrossRef] [PubMed]
- Nalli, C.; Andreoli, L.; Casu, C.; Tincani, A. Management of recurrent thrombosis in antiphospholipid syndrome. Curr. Rheumatol. Rep. 2014, 16, 405. [Google Scholar] [CrossRef]
- Valdes-Ferrer, S.I.; Vega, F.; Cantu-Brito, C.; Ceballos-Ceballos, J.; Estañol, B.; García-Ramos, G.; Cabral, A.R. Cerebral changes in SLE with or without antiphospholipid syndrome: A case-control MRI study. J. Neuroimaging 2008, 18, 62–65. [Google Scholar] [CrossRef] [PubMed]
- Kaichi, Y.; Kakeda, S.; Moriya, J.; Ohnari, N.; Saito, K.; Tanaka, Y.; Tatsugami, F.; Date, S.; Awai, K.; Korogi, Y. Brain MR findings in patients with systemic lupus erythematosus with and without antiphospholipid antibody syndrome. AJNR Am. J. Neuroradiol. 2014, 35, 100–105. [Google Scholar] [CrossRef] [PubMed]
- Sciascia, S.; Amigo, M.C.; Roccatello, D.; Khamashta, M. Diagnosing antiphospholipid syndrome: ’extra-criteria’ manifestations and technical advances. Nat. Rev. Rheumatol. 2017, 13, 548–560. [Google Scholar] [CrossRef] [PubMed]
- Bertolaccini, M.L.; Amengual, O.; Atsumi, T.; Binder, W.L.; de Laat, B.; Forastiero, R.; Kutteh, W.H.; Lambert, M.; Matsubayashi, H.; Murthy, V.; et al. ’Non-criteria’ aPL tests: Report of a task force and preconference workshop at the 13th International Congress on Antiphospholipid Antibodies, Galveston, TX, USA, April 2010. Lupus 2011, 20, 191–205. [Google Scholar] [CrossRef] [PubMed]
- Bertolaccini, M.L.; Amengual, O.; Andreoli, L.; Atsumi, T.; Chighizola, C.B.; Forastiero, R.; de Groot, P.; Lakos, G.; Lambert, M.; Meroni, P.; et al. 14th International Congress on Antiphospholipid Antibodies Task Force. Report on antiphospholipid syndrome laboratory diagnostics and trends. Autoimmun. Rev. 2014, 13, 917–930. [Google Scholar] [CrossRef]
- Nayfe, R.; Uthman, I.; Aoun, J.; Aldin, E.S.; Merashli, M.; Khamashta, M.A. Seronegative antiphospholipid syndrome. Rheumatology 2013, 52, 1358–1367. [Google Scholar] [CrossRef]








| High CVD Risk Factors (Any of the Following at the Time of the Event) | Moderate CVD Risk Factors (≥3 of the Following at the Time of the Event) |
|---|---|
| Severe arterial hypertension a | Arterial hypertension on treatment, or with persistent systolic BP ≥ 140 mm Hg or diastolic BP ≥ 90 mm Hg |
| Chronic kidney disease b | Current tobacco smoking |
| Diabetes mellitus with organ damage or long disease duration c | Diabetes mellitus with no organ damage and short disease duration e |
| Severe hyperlipidemia d | Moderate hyperlipidemia on treatment, Total cholesterol above the normal range but <310 mg/dL (8 mmol/L), or LDL cholesterol above the normal range and <190 mg/dL (4.9 mmol/L) |
| Obesity f |
Disclaimer/Publisher’s Note: The statements, opinions and data contained in all publications are solely those of the individual author(s) and contributor(s) and not of MDPI and/or the editor(s). MDPI and/or the editor(s) disclaim responsibility for any injury to people or property resulting from any ideas, methods, instructions or products referred to in the content. |
© 2024 by the authors. Licensee MDPI, Basel, Switzerland. This article is an open access article distributed under the terms and conditions of the Creative Commons Attribution (CC BY) license (https://creativecommons.org/licenses/by/4.0/).
Share and Cite
Zedde, M.; Grisendi, I.; Assenza, F.; Napoli, M.; Moratti, C.; Lara, B.; Di Cecco, G.; D’Aniello, S.; Pavone, C.; Pezzella, F.R.; et al. Neurovascular Issues in Antiphospholipid Syndrome: Arterial Vasculopathy from Small to Large Vessels in a Neuroradiological Perspective. J. Clin. Med. 2024, 13, 3667. https://doi.org/10.3390/jcm13133667
Zedde M, Grisendi I, Assenza F, Napoli M, Moratti C, Lara B, Di Cecco G, D’Aniello S, Pavone C, Pezzella FR, et al. Neurovascular Issues in Antiphospholipid Syndrome: Arterial Vasculopathy from Small to Large Vessels in a Neuroradiological Perspective. Journal of Clinical Medicine. 2024; 13(13):3667. https://doi.org/10.3390/jcm13133667
Chicago/Turabian StyleZedde, Marialuisa, Ilaria Grisendi, Federica Assenza, Manuela Napoli, Claudio Moratti, Bonacini Lara, Giovanna Di Cecco, Serena D’Aniello, Claudio Pavone, Francesca Romana Pezzella, and et al. 2024. "Neurovascular Issues in Antiphospholipid Syndrome: Arterial Vasculopathy from Small to Large Vessels in a Neuroradiological Perspective" Journal of Clinical Medicine 13, no. 13: 3667. https://doi.org/10.3390/jcm13133667
APA StyleZedde, M., Grisendi, I., Assenza, F., Napoli, M., Moratti, C., Lara, B., Di Cecco, G., D’Aniello, S., Pavone, C., Pezzella, F. R., Candelaresi, P., Andreone, V., Valzania, F., & Pascarella, R. (2024). Neurovascular Issues in Antiphospholipid Syndrome: Arterial Vasculopathy from Small to Large Vessels in a Neuroradiological Perspective. Journal of Clinical Medicine, 13(13), 3667. https://doi.org/10.3390/jcm13133667

