The Impact of Tumor Elongation on Facial Nerve Outcome after Surgery for Koos Grade 3 and 4 Vestibular Schwannomas in the Semi-Sitting Position via the Retrosigmoid Approach
Abstract
1. Introduction
2. Materials and Methods
2.1. Study Design and Patient Characteristics
2.2. Data Recording
2.3. Surgical Procedure and Follow-Up Regime
2.4. Immunohistochemistry
2.5. Statistics of Institutional Data
3. Results
3.1. Patient Characteristics
3.2. Patient Characteristics in Good and Poor Facial Nerve Outcome
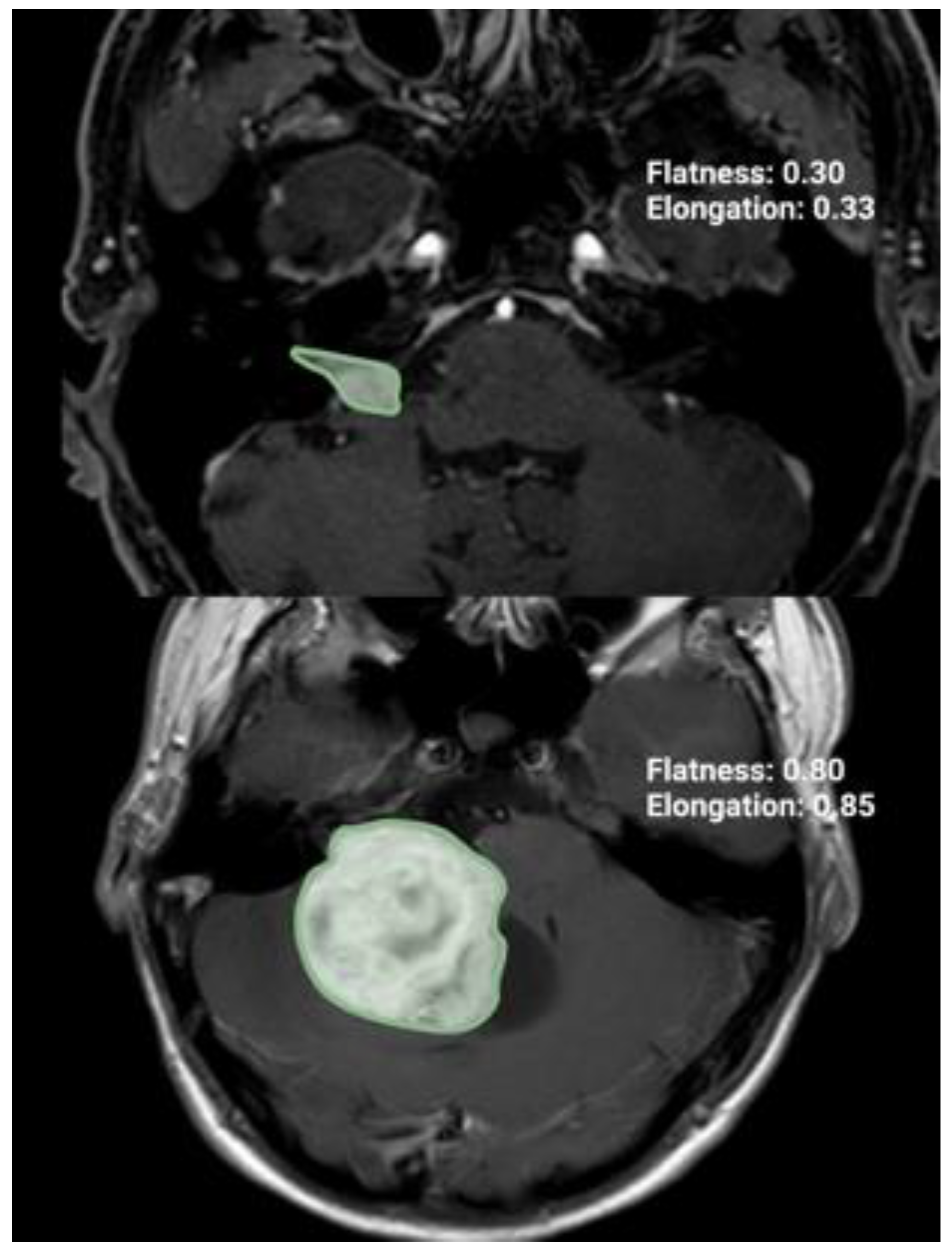
3.3. Association between Elongation and Facial Nerve Outcome
3.4. Association between Shape and Proliferation
4. Discussion
5. Conclusions
Supplementary Materials
Author Contributions
Funding
Institutional Review Board Statement
Informed Consent Statement
Data Availability Statement
Acknowledgments
Conflicts of Interest
References
- Bonneville, F.; Savatovsky, J.; Chiras, J. Imaging of cerebellopontine angle lesions: An update. Part 1: Enhancing extra-axial lesions. Eur. Radiol. 2007, 17, 2472–2482. [Google Scholar] [CrossRef] [PubMed]
- Samii, M.; Gerganov, V.M.; Samii, A. Functional outcome after complete surgical removal of giant vestibular schwannomas. J. Neurosurg. 2010, 112, 860–867. [Google Scholar] [CrossRef]
- Iwai, Y.; Ishibashi, K.; Watanabe, Y.; Uemura, G.; Yamanaka, K. Functional Preservation after Planned Partial Resection Followed by Gamma Knife Radiosurgery for Large Vestibular Schwannomas. World Neurosurg. 2015, 84, 292–300. [Google Scholar] [CrossRef] [PubMed]
- Sughrue, M.E.; Kaur, R.; Rutkowski, M.J.; Kane, A.J.; Kaur, G.; Yang, I.; Pitts, L.H.; Parsa, A.T. Extent of resection and the long-term durability of vestibular schwannoma surgery. Comp. Study J. Neurosurg. 2011, 114, 1218–1223. [Google Scholar] [CrossRef]
- Maldonado, S.T.; Naples, J.G.; Fathy, R.; Eliades, S.J.; Lee, J.Y.K.; Brant, J.A.; Ruckenstein, M.J. Recent Trends in Vestibular Schwannoma Management: An 11-Year Analysis of the National Cancer Database. Otolaryngol. Head Neck Surg. 2019, 161, 137–143. [Google Scholar] [CrossRef]
- Leon, J.; Trifiletti, D.M.; Waddle, M.R.; Vallow, L.; Ko, S.; May, B.; Tzou, K.; Ruiz-Garcia, H.; Lundy, L.; Chaichana, K.; et al. Trends in the initial management of vestibular schwannoma in the United States. J. Clin. Neurosci. 2019, 68, 174–178. [Google Scholar] [CrossRef] [PubMed]
- Wach, J.; Brandecker, S.; Güresir, A.; Schuss, P.; Vatter, H.; Güresir, E. The impact of the MIB-1 index on facial nerve outcomes in vestibular schwannoma surgery. Acta Neurochir. 2020, 162, 1205–1213. [Google Scholar] [CrossRef] [PubMed]
- Bloch, D.C.; Oghalai, J.S.; Jackler, R.K.; Osofsky, M.; Pitts, L.H. The fate of the tumor remnant after less-than-complete acoustic neuroma resection. Otolaryngol. Head Neck Surg. 2004, 130, 104–112. [Google Scholar] [CrossRef]
- Gurgel, R.K.; Dogru, S.; Amdur, R.L.; Monfared, A. Facial nerve outcomes after surgery for large vestibular schwannomas: Do surgical approach and extent of resection matter? Neurosurg. Focus 2012, 33, E16. [Google Scholar] [CrossRef]
- Jeltema, H.R.; Bakker, N.A.; Bijl, H.P.; Wagemakers, M.; Metzemaekers, J.D.M.; van Dijk, J.M.C. Near total extirpation of vestibular schwannoma with salvage radiosurgery. Laryngoscope 2015, 125, 1703–1707. [Google Scholar] [CrossRef]
- George-Jones, N.A.; Wang, K.; Wang, J.; Hunter, J.B. Prediction of Vestibular Schwannoma Enlargement After Radiosurgery Using Tumor Shape and MRI Texture Features. Otol. Neurotol. 2020, 42, e348–e354. [Google Scholar] [CrossRef] [PubMed]
- de Vries, M.; Hogendoorn, P.C.W.; Bruyn, I.B.-D.; Malessy, M.J.A.; van der Mey, A.G.L. Intratumoral hemorrhage, vessel density, and the inflammatory reaction contribute to volume increase of sporadic vestibular schwannomas. Virchows Arch. 2012, 460, 629–636. [Google Scholar] [CrossRef] [PubMed]
- Vychopen, M.; Arlt, F.; Güresir, E.; Wach, J. How to position the patient? A meta-analysis of positioning in vestibular schwannoma surgery via the retrosigmoid approach. Front. Oncol. 2023, 13, 1106819. [Google Scholar] [CrossRef] [PubMed]
- Wong, R.H.; Copeland, W.R.; Jacob, J.T.; Sivakanthan, S.; Van Gompel, J.J.; van Loveren, H.; Link, M.J.; Agazzi, S. Anterior Extension of Tumor is as Important as Tumor Size to Facial Nerve Outcome and Extent of Resection for Vestibular Schwannomas. J. Neurol. Surg. B Skull Base 2017, 78, 473–480. [Google Scholar] [CrossRef]
- Mautner, V.-F.; Baser, M.E.; Thakkar, S.D.; Feigen, U.M.; Friedman, J.M.; Kluwe, L. Vestibular schwannoma growth in patients with neurofibromatosis Type 2: A longitudinal study. J. Neurosurg. 2002, 96, 223–228. [Google Scholar] [CrossRef]
- Coy, S.; Rashid, R.; Stemmer-Rachamimov, A.; Santagata, S. An update on the CNS manifestations of neurofibromatosis type 2. Acta Neuropathol. 2020, 139, 643–665. [Google Scholar] [CrossRef]
- Won, S.-Y.; Kilian, A.; Dubinski, D.; Gessler, F.; Dinc, N.; Lauer, M.; Wolff, R.; Freiman, T.; Senft, C.; Konczalla, J.; et al. Microsurgical Treatment and Follow-Up of KOOS Grade IV Vestibular Schwannoma: Therapeutic Concept and Future Perspective. Front. Oncol. 2020, 10, 605137. [Google Scholar] [CrossRef]
- Fedorov, A.; Beichel, R.; Kalpathy-Cramer, J.; Finet, J.; Fillion-Robin, J.-C.; Pujol, S.; Bauer, C.; Jennings, D.; Fennessy, F.; Sonka, M.; et al. 3D Slicer as an image computing platform for the Quantitative Imaging Network. Magn. Reson. Imaging 2012, 30, 1323–1341. [Google Scholar] [CrossRef]
- Pinter, C.; Lasso, A.; Bauer, C.; Pieper, S.; Sunderland, K. Segment Statistics. Revision 5eda3875. Available online: https://slicer.readthedocs.io/en/latest/user_guide/modules/segmentstatistics.html (accessed on 9 June 2024).
- Bae, C.W.; Cho, Y.H.; Hong, S.H.; Kim, J.H.; Lee, J.-K.; Kim, C.J. The anatomical location and course of the facial nerve in vestibular schwannomas: A study of 163 surgically treated cases. J. Korean Neurosurg. Soc. 2007, 42, 450–454. [Google Scholar] [CrossRef][Green Version]
- Wach, J.; Naegeli, J.; Vychopen, M.; Seidel, C.; Barrantes-Freer, A.; Grunert, R.; Güresir, E.; Arlt, F. Impact of Shape Irregularity in Medial Sphenoid Wing Meningiomas on Postoperative Cranial Nerve Functioning, Proliferation, and Progression-Free Survival. Cancers 2023, 15, 3096. [Google Scholar] [CrossRef]
- Jung, S.; Kang, S.-S.; Kim, T.-S.; Kim, H.-J.; Jeong, S.-K.; Chul, S.; Lee, J.-K.; Kim, J.-H.; Kim, S.-H.; Lee, J.-H. Current surgical results of retrosigmoid approach in extralarge vestibular schwannomas. Surg. Neurol. 2000, 53, 370–377; discussion 377–378. [Google Scholar] [CrossRef] [PubMed]
- Briggs, R.J.S.; Luxford, W.M.; Atkins, J.S.; Hitselberger, W.E. Translabyrinthine removal of large acoustic neuromas. Neurosurgery 1994, 34, 785–790; discussion 790–791. [Google Scholar] [CrossRef]
- Mamikoglu, B.; Wiet, R.J.; Esquivel, C.R. Translabyrinthine approach for the management of large and giant vestibular schwannomas. Otol. Neurotol. 2002, 23, 224–227. [Google Scholar] [CrossRef] [PubMed]
- Samii, M.; Matthies, C. Management of 1000 vestibular schwannomas (acoustic neuromas): Surgical management and results with an emphasis on complications and how to avoid them. Neurosurgery 1997, 40, 11–21; discussion 21–23. [Google Scholar] [CrossRef]
- Samii, M.; Gerganov, V.; Samii, A. Improved preservation of hearing and facial nerve function in vestibular schwannoma surgery via the retrosigmoid approach in a series of 200 patients. J. Neurosurg. 2006, 105, 527–535. [Google Scholar] [CrossRef]
- Zhang, X.; Fei, Z.; Chen, Y.-J.; Fu, L.-A.; Zhang, J.-N.; Liu, W.-P.; He, X.-S.; Jiang, X.-F. Facial nerve function after excision of large acoustic neuromas via the suboccipital retrosigmoid approach. J. Clin. Neurosci. 2005, 12, 405–408. [Google Scholar] [CrossRef] [PubMed]
- Daniel, R.T.; Tuleasca, C.; George, M.; Pralong, E.; Schiappacasse, L.; Zeverino, M.; Maire, R.; Levivier, M. Preserving normal facial nerve function and improving hearing outcome in large vestibular schwannomas with a combined approach: Planned subtotal resection followed by gamma knife radiosurgery. Acta Neurochir. 2017, 159, 1197–1211. [Google Scholar] [CrossRef] [PubMed]
- Al-Shudifat, A.R.; Kahlon, B.; Höglund, P.; Lindberg, S.; Magnusson, M.; Siesjo, P. A Patient-Assessed Morbidity to Evaluate Outcome in Surgically Treated Vestibular Schwannomas. World Neurosurg. 2016, 94, 544–550.e2. [Google Scholar] [CrossRef]
- Vakilian, S.; Souhami, L.; Melançon, D.; Zeitouni, A. Volumetric measurement of vestibular schwannoma tumour growth following partial resection: Predictors for recurrence. J. Neurol. Surg. B Skull Base 2012, 73, 117–120. [Google Scholar] [CrossRef]
- Pan, H.-C.; Sheehan, J.; Sheu, M.-L.; Chiu, W.-T.; Yang, D.-Y. Intracapsular decompression or radical resection followed by Gamma Knife surgery for patients harboring a large vestibular schwannoma. J. Neurosurg. 2012, 117, 69–77. [Google Scholar] [CrossRef]
- Strickland, B.A.; Ravina, K.; Rennert, R.C.; Jackanich, A.; Aaron, K.; Bakhsheshian, J.; Russin, J.J.; Friedman, R.A.; Giannotta, S.L. Intentional Subtotal Resection of Vestibular Schwannoma: A Reexamination. J. Neurol. Surg. B Skull Base 2020, 81, 136–141. [Google Scholar] [CrossRef] [PubMed]
- Nakatomi, H.; Jacob, J.T.; Carlson, M.L.; Tanaka, S.; Tanaka, M.; Saito, N.; Lohse, C.M.; Driscoll, C.L.W.; Link, M.J. Long-term risk of recurrence and regrowth after gross-total and subtotal resection of sporadic vestibular schwannoma. J. Neurosurg. 2017, 133, 1052–1058. [Google Scholar] [CrossRef]
- Jacob, J.T.; Carlson, M.L.; Driscoll, C.L.; Link, M.J. Volumetric analysis of tumor control following subtotal and near-total resection of vestibular schwannoma. Laryngoscope 2016, 126, 1877–1882. [Google Scholar] [CrossRef] [PubMed]
- Monfared, A.; Corrales, C.E.; Theodosopoulos, P.V.; Blevins, N.H.; Oghalai, J.S.; Selesnick, S.H.; Lee, H.; Gurgel, R.K.; Hansen, M.R.; Nelson, R.F.; et al. Facial nerve outcome and tumor control rate as a function of degree of resection in treatment of large acoustic neuromas: Preliminary Report of the Acoustic Neuroma Subtotal Resection Study (ANSRS) Neurosurgery. Neurosurgery 2016, 79, 194–203. [Google Scholar] [CrossRef] [PubMed]
- Zhang, S.; Liu, W.; Hui, X.; You, C. Surgical Treatment of Giant Vestibular Schwannomas: Facial Nerve Outcome and Tumor Control. World Neurosurg. 2016, 94, 137–144. [Google Scholar] [CrossRef]
- Yang, H.-C.; Kano, H.; Awan, N.R.; Lunsford, L.D.; Niranjan, A.; Flickinger, J.C.; Novotny, J.; Bhatnagar, J.P.; Kondziolka, D. Gamma Knife radiosurgery for larger-volume vestibular schwannomas. Clinical article. J. Neurosurg. 2011, 114, 801–807. [Google Scholar] [CrossRef]
- Dzierzęcki, S.; Turek, G.; Czapski, B.; Dyttus-Cebulok, K.; Tomasiuk, R.; Kaczor, S.; Ząbek, M. Gamma knife surgery in the treatment of intracanalicular vestibular schwannomas. Acta Neurol. Scand. 2020, 141, 415–422. [Google Scholar] [CrossRef]
- Chung, W.-Y.; Liu, K.-D.; Shiau, C.Y.; Wu, H.-M.; Wang, L.-W.; Guo, W.-Y.; Ho, D.M.-T.; Pan, D.H.-C. Gamma knife surgery for vestibular schwan-noma: 10-year experience of 195 cases. J. Neurosurg. 2005, 102, 87–96. [Google Scholar] [CrossRef]
- Combs, S.E.; Thilmann, C.; Debus, J.; Schulz-Ertner, D. Long-term outcome of Stereotactic Radiosurgery (SRS) in patients with acoustic neuromas. Int. J. Radiat. Oncol. BiolPhys 2006, 64, 1341–1347. [Google Scholar] [CrossRef]
- Flickinger, J.C.; Kondziolka, D.; Niranjan, A.; Maitz, A.; Voynov, G.; Lunsford, L. Acoustic neuroma radiosurgery with marginal tumor doses of 12 to 13 gy. Int. J. Radiat. Oncol. Biol Phys. 2004, 60, 225–230. [Google Scholar] [CrossRef]
- Erickson, N.J.; Schmalz, P.G.R.; Agee, B.S.; Fort, M.; Walters, B.C.; McGrew, B.M.; Fisher, W.S. Koos Classification of Vestibular Schwannomas: A Reliability Study. Neurosurgery 2019, 85, 409–414. [Google Scholar] [CrossRef] [PubMed]
- Friedman, W.A.; Bradshaw, P.; Myers, A.; Bova, F.J. Linear accelerator radiosurgery for vestibular schwannomas. J. Neurosurg. 2006, 105, 657–661. [Google Scholar] [CrossRef] [PubMed]
- Lunsford, L.D.; Niranjan, A.; Flickinger, J.C.; Maitz, A.; Kondziolka, D. Radiosurgery of vestibular schwannomas: Summary of experience in 829 cases. J. Neurosurg. 2005, 102, 195–199. [Google Scholar] [CrossRef]
- Pollock, B.E.; Lunsford, L.D.; Flickinger, J.C.; Clyde, B.L.; Kondziolka, D. Vestibular schwannoma man-agement. Part I. Failed microsurgery and the role of delayed stereotactic radiosurgery. J. Neurosurg. 1998, 89, 944–948. [Google Scholar] [CrossRef] [PubMed]
- Prasad, D.; Steiner, M.; Steiner, L. Gamma surgery for vestibular schwannoma. J. Neurosurg. 2000, 92, 745–759. [Google Scholar] [CrossRef]
- Hasegawa, T.; Fujitani, S.; Katsumata, S.; Kida, Y.; Yoshimoto, M.; Koike, J. Stereotactic radiosurgery for vestib-ular schwannomas: Analysis of 317 patients followed morethan 5 years. Neurosurgery 2005, 57, 257–265. [Google Scholar] [CrossRef]
- Inoue, H.K. Low-dose radiosurgery for large vestibular schwannomas: Long--term results of functional preservation. J. Neurosurg. 2005, 102, 111–113. [Google Scholar] [CrossRef]
- Lederman, G.; Lowry, J.; Wertheim, S.; Fine, M.; Lombardi, E.; Wronski, M.; Arbit, E. Acoustic neuroma: Potential benefits of fractionated stereotactic radiosurgery. Ster. Funct. Neurosurg. 1997, 69, 175–182. [Google Scholar] [CrossRef]
- Mandl, E.S.; Meijer, O.W.; Slotman, B.J.; Vandertop, W.P.; Peerdeman, S.M. Stereotactic radiation therapyfor large vestibular schwannomas. Radiother. Oncol. 2010, 95, 94–98. [Google Scholar] [CrossRef]
- Roethlisberger, M.; Moffa, G.; Rychen, J.; Saemann, A.; Straumann, S.; Taub, E.; Zumofen, D.W.; Neddersen, H.; Westermann, B.; Bodmer, D.; et al. Long-term tumor control in Koos grade IV vestibular schwannomas without the need for gross-total resection. J. Neurosurg. 2023, 140, 1591–1604. [Google Scholar] [CrossRef]
- Liu, S.-W.; Jiang, W.; Zhang, H.-Q.; Li, X.-P.; Wan, X.-Y.; Emmanuel, B.; Shu, K.; Chen, J.-C.; Chen, J.; Lei, T. Intraoperative neuromonitoring for removal of large vestibular schwannoma: Facial nerve outcome and predictive factors. Clin. Neurol. Neurosurg. 2015, 133, 83–89. [Google Scholar] [CrossRef] [PubMed]
- Hobson, C.E.; Saliba, J.; Vorasubin, N.; Lyles, R.H.; Mastrodimos, B.; Cueva, R.A. Vestibular Schwannoma Cerebellopontine Angle Position Impacts Facial Outcome. Laryngoscope 2021, 132, 1093–1098. [Google Scholar] [CrossRef] [PubMed]
- Roessler, K.; Krawagna, M.; Bischoff, B.; Rampp, S.; Ganslandt, O.; Iro, H.; Schmitt, H.; Buchfelder, M. Improved Postoperative Facial Nerve and Hearing Function in Retrosigmoid Vestibular Schwannoma Surgery Significantly Associated with Semisitting Position. World Neurosurg. 2016, 87, 290–297. [Google Scholar] [CrossRef]
- Schackert, G.; Ralle, S.; Martin, K.D.; Reiss, G.; Kowalski, M.; Sobottka, S.B.; Hennig, S.; Podlesek, D.; Sandi-Gahun, S.; Juratli, T.A. Vestibular Schwannoma Surgery: Outcome and Complications in Lateral Decubitus Position versus Semi-sitting Position—A Personal Learning Curve in a Series of 544 Cases over 3 Decades. World Neurosurg. 2021, 148, e182–e191. [Google Scholar] [CrossRef] [PubMed]




| Characteristics | N = 61 |
|---|---|
| Median age (years, ±SD) | 57 (15.39) |
| Female sex | 32 (57.4%) |
| Median preoperative KPS (IQR) | 90 (50–100) |
| Dysphagia preoperative | 4 (6.6%) |
| Preoperative CN VII dysfunction | |
| HB II | 2 (3.3%) |
| HB III | 0 |
| HB IV | 1 (1.6%) |
| Hydrocephalus preoperative | 2 (3.3%) |
| Arterial HT | 32 (52.5%) |
| Surface area, (mean ± SD), cm2 | 24.34 ± 21.74 |
| Tumor volume, (mean ± SD), cm3 | 9.94 ± 12.8 |
| Tumor size preoperative (cm) axial (mean ± SD) | 3.16 ± 2.8 |
| Flatness | 1.22 ± 0.11 |
| Roundness | 0.83 ± 0.06 |
| Elongation | 0.46 ± 0.19 |
| MIB-1 index (mean ± SD) | 3.0 ± 1.3 |
| Koos Grade | |
| 3 | 23 (37.7%) |
| 4 | 38 (62.3%) |
| Characteristics | Good FNO (n = 50) | Poor FNO (n = 11) | p-Value |
|---|---|---|---|
| Mean age (years +/− SD) | 53.73 +/− 15.342 | 62.0 +/− 14.327 | 0.096 |
| Male sex Female sex | 22 (84.6%) 28 (80.0%) | 4 (15.4%) 7 (20.0%) | 0.75 |
| Mean preoperative KPS (+/−SD) | 90.0 +/− 8.08 | 89.1 +/− 8.31 | 0.74 |
| Cystic VS | 25 (50.0%) | 8 (72.7%) | 0.32 |
| Surface area, (mean ± SD), cm2 | 24.20 +/− 22.87 | 24.92 +/− 17.18 | 0.919 |
| Tumor volume, (mean ± SD), cm3 | 10.03 +/− 13.73 | 9.56 +/− 8.43 | 0.914 |
| Tumor size (size of tumor preoperative (cm) axial (mean ± SD)) | 3.21 +/− 3.05 | 2.95 +/− 0.89 | 0.77 |
| Elongation (+/−SD) | 0.48 +/− 0.20 | 0.36 +/− 0.13 | 0.047 |
| MIB-1 index, (mean ± SD) | 3.0 +/− 1.3 | 2.8 +/− 1.3 | 0.61 |
| Extent of resection | |||
| GTR or NTR STR or partial resection | 22 (71.0%) 28 (93.3%) | 9 (29.0%) 2 (6.7%) | 0.04 |
Disclaimer/Publisher’s Note: The statements, opinions and data contained in all publications are solely those of the individual author(s) and contributor(s) and not of MDPI and/or the editor(s). MDPI and/or the editor(s) disclaim responsibility for any injury to people or property resulting from any ideas, methods, instructions or products referred to in the content. |
© 2024 by the authors. Licensee MDPI, Basel, Switzerland. This article is an open access article distributed under the terms and conditions of the Creative Commons Attribution (CC BY) license (https://creativecommons.org/licenses/by/4.0/).
Share and Cite
Glieme, F.; Haddad, L.; Arlt, F.; Vychopen, M.; Seidel, C.; Barrantes-Freer, A.; Güresir, E.; Wach, J. The Impact of Tumor Elongation on Facial Nerve Outcome after Surgery for Koos Grade 3 and 4 Vestibular Schwannomas in the Semi-Sitting Position via the Retrosigmoid Approach. J. Clin. Med. 2024, 13, 5319. https://doi.org/10.3390/jcm13175319
Glieme F, Haddad L, Arlt F, Vychopen M, Seidel C, Barrantes-Freer A, Güresir E, Wach J. The Impact of Tumor Elongation on Facial Nerve Outcome after Surgery for Koos Grade 3 and 4 Vestibular Schwannomas in the Semi-Sitting Position via the Retrosigmoid Approach. Journal of Clinical Medicine. 2024; 13(17):5319. https://doi.org/10.3390/jcm13175319
Chicago/Turabian StyleGlieme, Franziska, Lisa Haddad, Felix Arlt, Martin Vychopen, Clemens Seidel, Alonso Barrantes-Freer, Erdem Güresir, and Johannes Wach. 2024. "The Impact of Tumor Elongation on Facial Nerve Outcome after Surgery for Koos Grade 3 and 4 Vestibular Schwannomas in the Semi-Sitting Position via the Retrosigmoid Approach" Journal of Clinical Medicine 13, no. 17: 5319. https://doi.org/10.3390/jcm13175319
APA StyleGlieme, F., Haddad, L., Arlt, F., Vychopen, M., Seidel, C., Barrantes-Freer, A., Güresir, E., & Wach, J. (2024). The Impact of Tumor Elongation on Facial Nerve Outcome after Surgery for Koos Grade 3 and 4 Vestibular Schwannomas in the Semi-Sitting Position via the Retrosigmoid Approach. Journal of Clinical Medicine, 13(17), 5319. https://doi.org/10.3390/jcm13175319

