Gingival Necrosis Related to Sepsis-Induced Agranulocytosis Due to Pseudomonas aeruginosa Bacteraemia: A Case Report
Abstract
1. Introduction
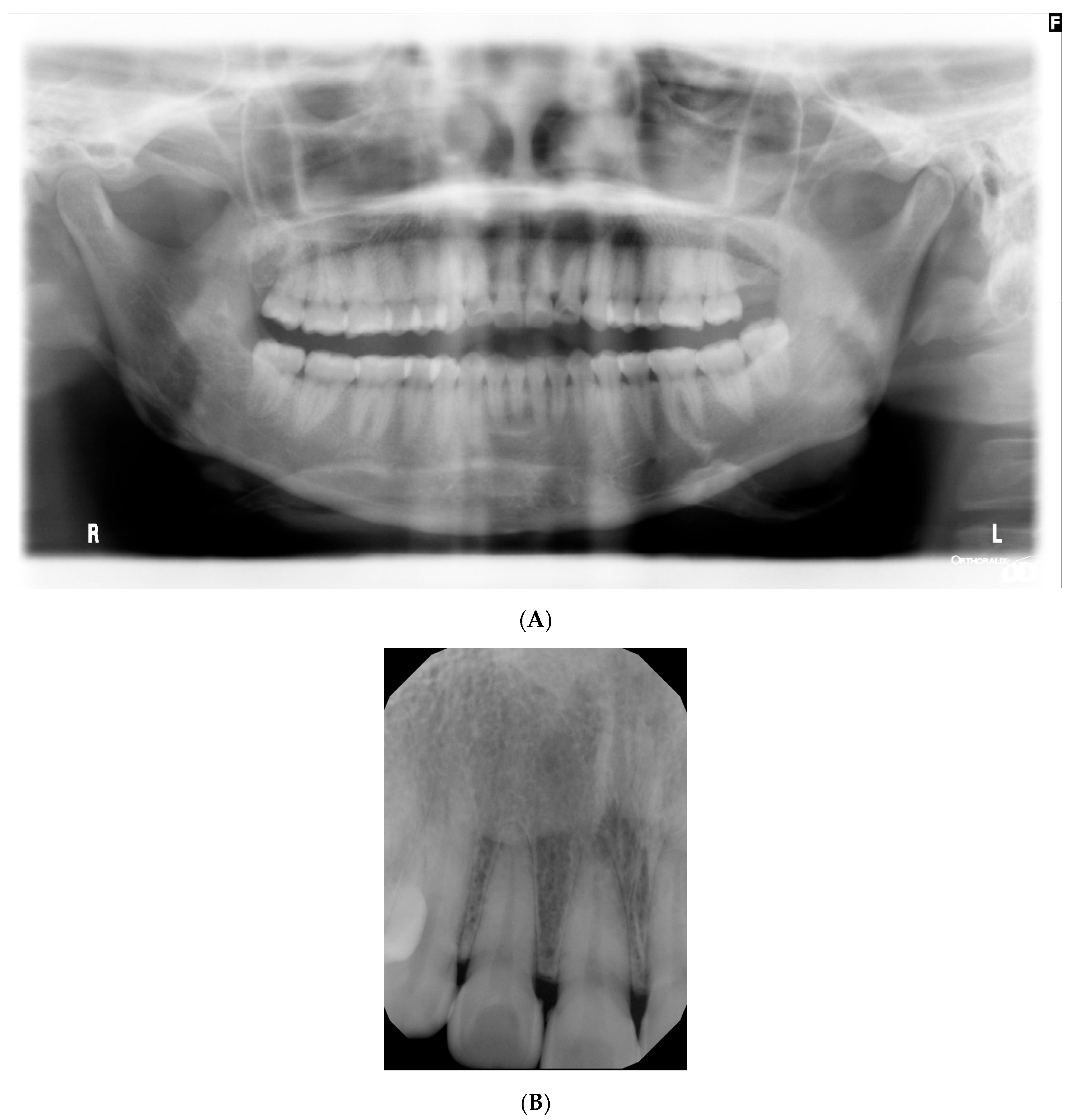
2. Case Presentation
3. Discussion
4. Conclusions
Supplementary Materials
Author Contributions
Funding
Institutional Review Board Statement
Informed Consent Statement
Data Availability Statement
Acknowledgments
Conflicts of Interest
References
- Burn, G.L.; Foti, A.; Marsman, G.; Patel, D.F.; Zychlinsky, A. The Neutrophil. Immunity 2021, 54, 1377–1391. [Google Scholar] [CrossRef]
- Andrès, E.; Lorenzo Villalba, N.; Zulfiqar, A.-A.; Serraj, K.; Mourot-Cottet, R.; Gottenberg, J.-E. Gottenberg State of Art of Idiosyncratic Drug-Induced Neutropenia or Agranulocytosis, with a Focus on Biotherapies. J. Clin. Med. 2019, 8, 1351. [Google Scholar] [CrossRef]
- Palmblad, J.; Siersma, V.; Lind, B.; Bjerrum, O.W.; Hasselbalch, H.; Andersen, C.L. Age-related Prevalence and Clinical Significance of Neutropenia—Isolated or Combined with Other Cytopenias: Real World Data from 373 820 Primary Care Individuals. Am. J. Hematol. 2020, 95, 521–528. [Google Scholar] [CrossRef]
- Na, S.J.; Oh, D.K.; Park, S.; Lee, Y.J.; Hong, S.-B.; Park, M.-H.; Ko, R.-E.; Lim, C.-M.; Jeon, K. Clinical Characteristics and Outcomes of Neutropenic Sepsis: A Multicenter Cohort Study. Shock 2022, 57, 659–665. [Google Scholar] [CrossRef] [PubMed]
- Chapple, I.L.C.; Hirschfeld, J.; Kantarci, A.; Wilensky, A.; Shapira, L. The Role of the Host—Neutrophil Biology. Periodontol. 2000 2023. [Google Scholar] [CrossRef] [PubMed]
- Chang, Y.-Y.; Tseng, C.-W.; Yuan, K. Severe Gingival Ulceration and Necrosis Caused by an Antithyroid Drug: One Case Report and Proposed Clinical Approach. Clin. Adv. Periodontics 2017, 8, 11–16. [Google Scholar] [CrossRef]
- Uriarte, S.M.; Hajishengallis, G. Neutrophils in the Periodontium: Interactions with Pathogens and Roles in Tissue Homeostasis and Inflammation. Immunol. Rev. 2023, 314, 93–110. [Google Scholar] [CrossRef]
- Diekema, D.J.; Hsueh, P.-R.; Mendes, R.E.; Pfaller, M.A.; Rolston, K.V.; Sader, H.S.; Jones, R.N. The Microbiology of Bloodstream Infection: 20-Year Trends from the SENTRY Antimicrobial Surveillance Program. Antimicrob. Agents Chemother. 2019, 63, e00355-19. [Google Scholar] [CrossRef] [PubMed]
- Zhang, Y.; Li, Y.; Zeng, J.; Chang, Y.; Han, S.; Zhao, J.; Fan, Y.; Xiong, Z.; Zou, X.; Wang, C.; et al. Risk Factors for Mortality of Inpatients with Pseudomonas Aeruginosa Bacteremia in China: Impact of Resistance Profile in the Mortality. Infect. Drug Resist. 2020, 13, 4115–4123. [Google Scholar] [CrossRef]
- Montero, M.M.; López Montesinos, I.; Knobel, H.; Molas, E.; Sorlí, L.; Siverio-Parés, A.; Prim, N.; Segura, C.; Duran-Jordà, X.; Grau, S.; et al. Risk Factors for Mortality among Patients with Pseudomonas Aeruginosa Bloodstream Infections: What Is the Influence of XDR Phenotype on Outcomes? J. Clin. Med. 2020, 9, 514. [Google Scholar] [CrossRef]
- Hernández-Jiménez, P.; López-Medrano, F.; Fernández-Ruiz, M.; Silva, J.T.; Corbella, L.; San-Juan, R.; Lizasoain, M.; Díaz-Regañón, J.; Viedma, E.; Aguado, J.M. Risk Factors and Outcomes for Multidrug Resistant Pseudomonas Aeruginosa Infection in Immunocompromised Patients. Antibiotics 2022, 11, 1459. [Google Scholar] [CrossRef]
- Li, Y.; Roberts, J.A.; Walker, M.M.; Aslan, A.T.; Harris, P.N.A.; Sime, F.B. The Global Epidemiology of Ventilator-Associated Pneumonia Caused by Multi-Drug Resistant Pseudomonas Aeruginosa: A Systematic Review and Meta-Analysis. Int. J. Infect. Dis. 2024, 139, 78–85. [Google Scholar] [CrossRef] [PubMed]
- Souza, L.C.D.; Lopes, F.F.; Bastos, E.G.; Alves, C.M.C. Oral Infection by Pseudomonas Aeruginosa in Patient with Chronic Kidney Disease—A Case Report. J. Bras. Nefrol. 2018, 40, 82–85. [Google Scholar] [CrossRef] [PubMed]
- Barasch, A.; Gordon, S.; Geist, R.Y.; Geist, J.R. Necrotizing Stomatitis: Report of 3 Pseudomonas Aeruginosa–Positive Patients. Oral Surg. Oral Med. Oral Pathol. Oral Radiol. Endodontology 2003, 96, 136–140. [Google Scholar] [CrossRef] [PubMed]
- Eduardo, F.P.; Bezinelli, L.M.; Gobbi, M.F.; Santos, V.M.; Maluf, F.C.; Corrêa, L. Severe Oral Infection Caused by Pseudomonas Aeruginosa Effectively Treated with Methylene Blue-Mediated Photodynamic Inactivation. Photodiagn. Photodyn. Ther. 2019, 26, 284–286. [Google Scholar] [CrossRef] [PubMed]
- Fujiki, Y.; Mato, N.; Watanabe, S.; Shibano, T.; Tonai, K.; Takahashi, K.; Saito, T.; Okuyama, A.; Takigami, A.; Bando, M.; et al. Virulent Pseudomonas Aeruginosa Pneumonia in an Immunocompetent Adult Associated with a Home Whirlpool Bath: A Case Report. Respir. Med. Case Rep. 2022, 38, 101673. [Google Scholar] [CrossRef] [PubMed]
- Barp, N.; Marcacci, M.; Biagioni, E.; Serio, L.; Busani, S.; Ventura, P.; Franceschini, E.; Orlando, G.; Venturelli, C.; Menozzi, I.; et al. A Fatal Case of Pseudomonas Aeruginosa Community-Acquired Pneumonia in an Immunocompetent Patient: Clinical and Molecular Characterization and Literature Review. Microorganisms 2023, 11, 1112. [Google Scholar] [CrossRef] [PubMed]
- de Campos, F.P.F.; Silva, A.F.; de Melo Lopes, A.C.F.M.; Passadore, L.F.; Guida, S.M.; Balabakis, A.J.; dos Santos Martines, J.A. Community-Acquired Pseudomonas Aeruginosa-Pneumonia in a Previously Healthy Man Occupationally Exposed to Metalworking Fluids. Autops. Case Rep. 2014, 4, 31–37. [Google Scholar] [CrossRef][Green Version]
- Wang, T.; Hou, Y.; Wang, R. A Case Report of Community-Acquired Pseudomonas Aeruginosa Pneumonia Complicated with MODS in a Previously Healthy Patient and Related Literature Review. BMC Infect. Dis. 2019, 19, 130. [Google Scholar] [CrossRef]
- Hatchette, T.F.; Gupta, R.; Marrie, T.J. Pseudomonas aeruginosa Community-Acquired Pneumonia in Previously Healthy Adults: Case Report and Review of the Literature. Clin. Infect. Dis. 2000, 31, 1349–1356. [Google Scholar] [CrossRef]
- Kishimbo, P.; Sogone, N.M.; Kalokola, F.; Mshana, S.E. Prevalence of Gram Negative Bacteria Causing Community Acquired Pneumonia among Adults in Mwanza City, Tanzania. Pneumonia 2020, 12, 7. [Google Scholar] [CrossRef]
- Gharabaghi, M.A.; Abdollahi, S.M.M.; Safavi, E.; Abtahi, S.H. Community Acquired Pseudomonas Pneumonia in an Immune Competent Host. Case Rep. 2012, 2012, bcr0120125673. [Google Scholar] [CrossRef]
- Shah, B.; Singh, G.; Naik, M.; Dhobi, G. Bacteriological and Clinical Profile of Community Acquired Pneumonia in Hospitalized Patients. Lung India 2010, 27, 54. [Google Scholar] [CrossRef]
- Vukić Lušić, D.; Maestro, N.; Cenov, A.; Lušić, D.; Smolčić, K.; Tolić, S.; Maestro, D.; Kapetanović, D.; Marinac-Pupavac, S.; Tomić Linšak, D.; et al. Occurrence of P. Aeruginosa in Water Intended for Human Consumption and in Swimming Pool Water. Environments 2021, 8, 132. [Google Scholar] [CrossRef]
- Knibbs, L.D.; Johnson, G.R.; Kidd, T.J.; Cheney, J.; Grimwood, K.; Kattenbelt, J.A.; O’Rourke, P.K.; Ramsay, K.A.; Sly, P.D.; Wainwright, C.E.; et al. Viability of Pseudomonas Aeruginosa in Cough Aerosols Generated by Persons with Cystic Fibrosis. Thorax 2014, 69, 740–745. [Google Scholar] [CrossRef]
- Wood, M.E.; Stockwell, R.E.; Johnson, G.R.; Ramsay, K.A.; Sherrard, L.J.; Kidd, T.J.; Cheney, J.; Ballard, E.L.; O’Rourke, P.; Jabbour, N.; et al. Cystic Fibrosis Pathogens Survive for Extended Periods within Cough-Generated Droplet Nuclei. Thorax 2019, 74, 87–90. [Google Scholar] [CrossRef] [PubMed]
- Guarino, M.; Perna, B.; Cesaro, A.E.; Maritati, M.; Spampinato, M.D.; Contini, C.; De Giorgio, R. 2023 Update on Sepsis and Septic Shock in Adult Patients: Management in the Emergency Department. J. Clin. Med. 2023, 12, 3188. [Google Scholar] [CrossRef] [PubMed]
- Nagaraju, N.; Varma, A.; Taksande, A.; Meshram, R.J. Bone Marrow Changes in Septic Shock: A Comprehensive Review. Cureus 2023, 15, e42517. [Google Scholar] [CrossRef]
- Belok, S.H.; Bosch, N.A.; Klings, E.S.; Walkey, A.J. Evaluation of Leukopenia during Sepsis as a Marker of Sepsis-Defining Organ Dysfunction. PLoS ONE 2021, 16, e0252206. [Google Scholar] [CrossRef] [PubMed]
- Baker, J.L.; Mark Welch, J.L.; Kauffman, K.M.; McLean, J.S.; He, X. The Oral Microbiome: Diversity, Biogeography and Human Health. Nat. Rev. Microbiol. 2024, 22, 89–104. [Google Scholar] [CrossRef] [PubMed]
- Walter, C.; Renné, C. Osteomyelitis, Osteoradionecrosis, and Medication-Related Osteonecrosis of Jaws. In Oral and Maxillofacial Surgery for the Clinician; Bonanthaya, K., Panneerselvam, E., Manuel, S., Kumar, V.V., Rai, A., Eds.; Springer Nature: Singapore, 2021; pp. 461–472. ISBN 9789811513459. [Google Scholar]
- Meghji, S. Surface-Associated Protein from Staphylococcus Aureus Stimulates Osteoclastogenesis: Possible Role in S. Aureus-Induced Bone Pathology. Rheumatology 1998, 37, 1095–1101. [Google Scholar] [CrossRef]
- Fenelon, M.; Gernandt, S.; Aymon, R.; Scolozzi, P. Identifying Risk Factors Associated with Major Complications and Refractory Course in Patients with Osteomyelitis of the Jaw: A Retrospective Study. J. Clin. Med. 2023, 12, 4715. [Google Scholar] [CrossRef]
- Azapağası, E.; Öz, F.N.; Uysal Yazıcı, M.; Ceylan, D.; Ocak, E.; Taşçı Yıldız, Y.; Aytekin, C. Pseudomonas Aeruginosa Sepsis in a Previously Healthy Infant with Subcutaneous Nodules and Mastoid Bone Destruction. J. Pediatr. Intensive Care 2021, 10, 148–151. [Google Scholar] [CrossRef]
- Wu, D.C.; Chan, W.W.; Metelitsa, A.I.; Fiorillo, L.; Lin, A.N. Pseudomonas Skin Infection: Clinical Features, Epidemiology, and Management. Am. J. Clin. Dermatol. 2011, 12, 157–169. [Google Scholar] [CrossRef] [PubMed]
- Hou, G.-L.; Tsai, C.-C. Oral Manifestations of Agranulocytosis Associated with Methimazole Therapy. J. Periodontol. 1988, 59, 244–248. [Google Scholar] [CrossRef] [PubMed]
- Kim, E.-C.; Park, J.B.; Hong, J.-Y.; Kang, K.L. Extensive Gingival Necrosis and Sequestration of the Alveolar Bone Caused by Methimazole-Induced Neutropenia and Three-Year Follow-Up. J. Periodontal Implant. Sci. 2015, 45, 76–80. [Google Scholar] [CrossRef] [PubMed]
- Arora, R.; Sharma, A.; Dimri, D.; Sharma, H. Methimazole-Induced Neutropenic Gingival Ulcerations and Necrosis in a Middle-Aged Female: A Case Report with Clinical Management. J. Midlife Health 2018, 9, 106–109. [Google Scholar] [CrossRef]
- Xing, H.; Guan, X. Necrotizing Gingivostomatitis and Osteonecrosis Associated with Antithyroid Drug Propylthiouracil Therapy. Oral Surg. Oral Med. Oral Pathol. Oral Radiol. 2015, 119, e65–e68. [Google Scholar] [CrossRef] [PubMed]
- Tewari, S.; Tewari, S.; Sharma, R.K.; Abrol, P.; Sen, R. Necrotizing Stomatitis: A Possible Periodontal Manifestation of Deferiprone-Induced Agranulocytosis. Oral Surg. Oral Med. Oral Pathol. Oral Radiol. Endodontology 2009, 108, e13–e19. [Google Scholar] [CrossRef] [PubMed]
- Swenson, H.M.; Redish, C.H.; Manne, M. Agranulocytosis: Two Case Reports. J. Periodontol. 1965, 36, 466–470. [Google Scholar] [CrossRef] [PubMed]
- Ohishi, M.; Oobu, K.; Miyanoshita, Y.; Yamaguchi, K. Acute Gingival Necrosis Caused by Drug-Induced Agranulocytosis. Oral Surg. Oral Med. Oral Pathol. 1988, 66, 194–196. [Google Scholar] [CrossRef]
- Myoken, Y.; Sugata, T.; Kyo, T.; Fujihara, M.; Sugai, M. Pseudomonas-Induced Necrotizing Gingivostomatitis. Oral Surg. Oral Med. Oral Pathol. Oral Radiol. Endodontology 1999, 88, 644–645. [Google Scholar] [CrossRef]
- Myoken, Y.; Sugata, T.; Kyo, T.; Fujihara, M. Oral Fusarium Infection in a Granulocytopenic Patient with Acute Myelogenous Leukemia: A Case Report. J. Oral Pathol. Med. 1995, 24, 237–240. [Google Scholar] [CrossRef]
- Myoken, Y.; Sugata, T.; Fujita, Y.; Asaoku, H.; Fujihara, M.; Mikami, Y. Fatal Necrotizing Stomatitis Due to Trichoderma Longibrachiatum in a Neutropenic Patient with Malignant Lymphoma: A Case Report. Int. J. Oral Maxillofac. Surg. 2002, 31, 688–691. [Google Scholar] [CrossRef] [PubMed]
- Amirisetty, R.; Zade, V.; Boddun, M.; Gupta, R.; Kumari, M.; Suryawanshi, H. Treatment Emergent Agranulocytosis with Skin and Gingival Lesions in a Chronic Lymphocytic Leukemia Patient: A Case Report. J. Clin. Diagn. Res. 2016, 10, ZD13–ZD16. [Google Scholar] [CrossRef] [PubMed]
- Boddu, P.; Chen, P.-L.; Nagarajan, P.; Prieto, V.G.; Won, A.; Chambers, M.; Kornblau, S. Necrotizing Fungal Gingivitis in a Patient with Acute Myelogenous Leukemia: Visible yet Obscure. J. Oral Maxillofac. Surg. Med. Pathol. 2018, 30, 50–54. [Google Scholar] [CrossRef] [PubMed]
- Vučićević Boras, V.; Vidović Juras, D.; Aurer, I.; Bašić-Kinda, S.; Mikulić, M. Gingival Ulcerations in a Patient with Acute Myeloid Leukemia: A Case Report and Literature Review. Acta Clin. Croat. 2019, 58, 556–560. [Google Scholar] [CrossRef] [PubMed]
- Fatahzadeh, M. The Dentist’s Role in the Prevention and Management of Necrotizing Stomatitis in the Immunosuppressed. Quintessence Int. 2018, 49, 399–405. [Google Scholar] [CrossRef]
- Ximenes, I.D.S.; Filho, O.V.D.O.; Malta, C.E.N.; Dantas, T.S.; Alves, A.P.N.N.; Mota, M.R.L.; Sousa, F.B. Dental Infection Associated with Exuberant Gingival Necrosis in a Patient with Paroxysmal Nocturnal Hemoglobinuria: A Case Report. Spec. Care Dent. 2021, 41, 277–281. [Google Scholar] [CrossRef]
- Jandial, A.; Mishra, K.; Panda, A.; Lad, D.; Prakash, G.; Khadwal, A.; Varma, N.; Varma, S.; Malhotra, P. Necrotising Ulcerative Gingivitis: A Rare Manifestation of Pseudomonas Infection. Indian J. Hematol. Blood Transfus. 2018, 34, 578–580. [Google Scholar] [CrossRef]
- Wang, M.Z.; Jordan, R.C. Localized Juvenile Spongiotic Gingival Hyperplasia: A Report of 27 Cases. J. Cutan. Pathol. 2019, 46, 839–843. [Google Scholar] [CrossRef] [PubMed]
- Argyris, P.P.; Nelson, A.C.; Papanakou, S.; Merkourea, S.; Tosios, K.I.; Koutlas, I.G. Localized Juvenile Spongiotic Gingival Hyperplasia Featuring Unusual p16INK4A Labeling and Negative Human Papillomavirus Status by Polymerase Chain Reaction. J. Oral Pathol. Med. 2015, 44, 37–44. [Google Scholar] [CrossRef] [PubMed]
- Siamantas, I.; Kalogirou, E.-M.; Tosios, K.I.; Fourmousis, I.; Sklavounou, A. Spongiotic Gingival Hyperplasia Synchronously Involving Multiple Sites: Case Report and Review of the Literature. Head Neck Pathol. 2018, 12, 517–521. [Google Scholar] [CrossRef] [PubMed]
- Vargo, R.J.; Bilodeau, E.A. Reappraising Localized Juvenile Spongiotic Gingival Hyperplasia. J. Am. Dent. Assoc. 2019, 150, 147–153.e2. [Google Scholar] [CrossRef]
- Solomon, L.W.; Trahan, W.R.; Snow, J.E. Localized Juvenile Spongiotic Gingival Hyperplasia: A Report of 3 Cases. Pediatr. Dent. 2013, 35, 360–363. [Google Scholar]





| Haemoglobin (g/dL) | WBC Count (×109/L) | Platelet Count (×109/L) | RBC Count (×1012/L) | MCV (fL) | MCH (pg) | MCHC (g/dL) | RBC Distribution Width (%) | Mean Platelet Volume (fL) | Haematocrit (%) |
|---|---|---|---|---|---|---|---|---|---|
| ↓ 10.8 | ↓↓ 0.19 | 182 | ↓ 4.02 | 80.6 | ↓ 26.9 | 33.3 | 13.4 | 10.4 | ↓ 32.4 |
| Reference | Cause of Agranulocytosis | Patient Characteristics | Systemic Signs | Extra-Oral Lesions | Septic Shock | Extent of Necrosis | Other Intraoral Lesions | Bone Exposure |
|---|---|---|---|---|---|---|---|---|
| Swenson et al., 1965 [41] | Suspected to be due to medication: Alka-Seltzer, aspirin, Haley’s M-O, penicillin, antihistamine, Tofranil, Milpath | 59-year-old white female, non-smoker, non-drinker, no history of narcotic use | Severe heartburn and indigestion two months before. Hepatitis, jaundice, malaise, pharyngitis, nausea, vomiting | NA | NA | Absence of almost all marginal and attached gingiva in maxilla and mandible, buccally and lingually. Only exposed bone noted | 1 cm gangrenous ulcer on tongue | Y, already formed sequestration at first presentation. Exposure depths 1–4 mm. 2–3 mm of sequestrum separated from alveolar bone on X-ray |
| Hou and Tsai, 1988 [36] | Methimazole | 34-year-old female with hyperthyroidism | Pharyngitis, fever, chills, insomnia for two months. Sudden-onset pneumonia thereafter | Tonsillar enlargement with pus coating in the crypt. Red swollen painful wound on left index finger. Yellow crust on lips | Y | Generalised gingival necrosis with numerous diffuse ulcerative lesions | Spread to hard and soft palate | NA |
| Ohishi et al., 1988 [42] | Suspected to be due to medication: sulpyrine, cefmetazole, indomethacin | 47-year-old female with springtime pollinosis | Fever, chills, nausea, vomiting, loss of consciousness | NA | NA | Generalised, involving all free and attached gingiva | Heavy coating on tongue, white plaques on palate | NA |
| Myoken et al., 1995 [44] | AML on chemotherapy (etoposide, cytarabine, epirubicin, vindesine, mercaptopurine, prednisolone) | 73-year-old male with AML | Fever, dysphagia, hypersalivation | None | NA | Not clearly mentioned but at least upper anteriors | Spread to upper lip and palate | Y, necrotic |
| Myoken et al., 1999 [43] | AML on chemotherapy | 48-year-old female with AML | Fever | None | Y (Sepsis with hypotension) | Palatal gingiva of two teeth † | Small portion of palate close to the two teeth | NA |
| Myoken et al., 2002 [45] | Diffuse large B-cell lymphoma, non-Hodgkin lymphoma starting chemotherapy (doxorubicin, cyclophosphamide, vindesine, prednisolone) | 66-year-old Japanese female with diffuse large B-cell lymphoma, non-Hodgkin lymphoma | Fever, hypersalivation | Lung nodules | NA | Left maxilla † | Sequestrum present within gingiva | |
| Barasch et al., 2003 [14] | ALL with intraluminal catheter placement the day before (no chemotherapy started) | 23-year-old female with ALL | Fever, pain at catheter site | NA | NA | 2.5 cm necrosis at anterior left maxillary gingiva | NA | NA |
| Tewari et al., 2009 [40] | Long-term deferiprone | 14-year-old male with β-thalassemia major, on regular blood transfusions every two to three weeks | High-grade fever, malaise, and generalised weakness, loss of appetite, lymphadenopathy, and dysphagia. Extreme pallor, bilateral submandibular lymphadenopathy, and splenomegaly | Necrosis around lip commissures when medical intervention started | NA | Around all surfaces of all teeth | Left palate to median palatal raphe, spreading to right palate when medical intervention started | Y |
| Kim et al., 2015 [37] | Methimazole | 31-year-old female with hyperthyroidism | Pharyngitis, fever | NA | Unclear. Steroids administered to “control severe inflammatory reactions” | Generalised from free gingival margin to mucogingival junction, also involving palatal and lingual aspects | NA | NA |
| Xing and Guan, 2015 [39] | Propylthiouracil | 43-year-old Chinese female with hyperthyroidism | Dysphagia, reduced appetite | NA | NA | Extensive, at least around incisors and premolars | Started as inner lip ulcer that spread to gingiva. Hard palate necrosis | Y, partially necrotic |
| Amirisetty et al., 2016 [46] | Stage I CLL on chemotherapy (bendamustine, rituximab) and IV antibiotics three days prior due to skin lesions (unknown antibiotic) | 51-year-old male with stage I CLL | Palpable lymph nodes, fever, vomiting | Maculopapular rashes on forearms and palms | NA | Buccal and lingual aspects of tooth #22–#24 25 mm × 8 mm | NA | Y |
| Chang et al., 2017 [6] | Methimazole | 25-year-old Asian female with Grave’s disease | Fever, pharyngitis, oral ulcer, chills, dysphagia, trismus | Pharyngeal ulcers | NA | Generalised | Tongue ulcers | NA |
| Arora et al., 2018 [38] | Methimazole | 46-year-old female with hyperthyroidism | Sore throat, fever associated with chills, swelling over nose, gingival pain, trismus | Left forearm ~2 cm black necrotic ulcer, multiple ~1 cm pustular nodular erythematous lesions on her nose and back | NA | Buccal gingiva of #14, #15, #17, #25, #26, #33, #34, #35, #42, #44, and #45 | Angular cheilitis | NA |
| Boddu et al., 2018 [47] | AML on chemotherapy (cladribine, idarubicin, decitabine) | 62-year-old female with myelodysplastic syndrome that transformed into AML | NA | Later developed skin lesions on forehead and shoulders, multiple nodular pulmonary lesions | NA | Buccal of incisors and premaxillary region nearest the interincisal papillae. Gingival hyperplasia also noted | Sublingual ulcers | NA |
| Fatahzadeh, 2018 [49] | Kidney transplant, end-stage renal disease, diabetes mellitus (amongst other conditions), on mycophenolic acid, tacrolimus, valganciclovir, etc. | 58-year-old male with multiple comorbidities. Previous surgeries include kidney transplantation (2016) and dialysis fistula surgery | NA | NA | NA | Lower incisors, palatal of #18 | Necrosis extended to anterior floor of mouth and buccal vestibule | NA |
| Jandial et al., 2018 [51] | AML, post-allogenic hematopoietic stem cell transplant with graft failure | 19-year-old female with AML, post-allogenic hematopoietic stem cell transplant with graft failure | Fever, tachycardia, tachypnoea, trismus, pain on chewing | NA | NA | Generalised gingival erythema and oedema. 10 × 10 mm necrotic plaque along right upper premolar | NA | NA |
| Souza et al., 2018 [13] | HIV +ve, chronic kidney disease, P. aeruginosa pneumonia | 6-year-old female with chronic kidney disease undergoing peritoneal dialysis, HIV +ve | Fever, difficulty eating and drinking | NA | Y | Around all surfaces of all teeth | N | Y, osteomyelitis |
| Boras et al., 2019 [48] | AML and dilated cardiomyopathy on meds. On chemotherapy (azacytidine) | 40-year-old female in remission for stage IVA diffuse large B-cell lymphoma (10 months ago), with dilated cardiomyopathy and AML | NA | NA | Staphylococcus hominis sepsis (unknown if shock present) | 1 cm diameter lesions on vestibular mucosa above #21, #22, #25, and #26, and around #45 and #46 | Ulcers on tongue and retromolar area | NA |
| Ximenes et al., 2021 [50] | Paroxysmal nocturnal haemoglobinuria associated with aplastic anaemia | 60-year-old male with paroxysmal nocturnal haemoglobinuria associated with aplastic anaemia, defaulted eculizumab (for his condition) for 45 days | NA | NA | NA | 2 cm necrosis palatal to #24 | Fistula at #24 buccal | NA |
| Reference | Relevant Swab/Histology/Culture Results †† | Dental Treatment Protocol | Medical Treatment | Time to Resolution | Dental Complications |
|---|---|---|---|---|---|
| Swenson et al., 1965 [41] | NA | Scaling performed. Gingiva improved but bone remained. Sequestrum all removed but teeth remained excessively mobile, necessitating full mouth clearance after three months | Administered penicillin, erythromycin, prednisolone, Surbex | Within three months | Generalised severe mobility and self-exfoliation of one tooth. Likely had pre-existing periodontitis |
| Hou and Tsai, 1988 [36] | Throat +ve Pseudomonas aeruginosa pneumonia Blood −ve | 2.5–3% H2O2 and 2% CHX for irrigation twice weekly 0.2% CHX rinse while admitted Scaling and root planing, and OHI when gingiva improved after two weeks | Discontinued methimazole Administered amikacin, piperacillin | Shedding from day 11 Resolution around three months | Recession |
| Ohishi et al., 1988 [42] | Swab +ve fungus (species not mentioned) | Lidocaine viscous, amphotericin B syrup (10× dilution) Scaling after symptoms subsided | Discontinued all medication except antibiotics and steroids Given vitamin B2, B6, B12 | Shedding from day 13 Resolution on day 20 | Recession |
| Myoken et al., 1995 [44] | Histology and swab +ve for Fusarium moniliforme Blood −ve (already on antibiotics and antifungals) | Oral rinses with amphotericin B syrup (l0 mg/mL) | Before lesions: laminar airflow room, administered broad-spectrum antibiotics, empirical fluconazole, and amphotericin B syrup Fluconazole changed to amphotericin B on alternate days when granulocytopenia noted | NA (patient death) | NA (patient death) |
| Myoken et al., 1999 [43] | Blood, sputum, histology +ve for Pseudomonas aeruginosa | NA | Before lesions: laminar airflow room When ANC = 0, administered empirical panipenem, amikacin, fluconazole, itraconazole, and recombinant granulocyte-colony stimulating factor. Later, medications changed to meropenem, amikacin, then oral levofloxacin | 25 days | NA |
| Myoken et al., 2002 [45] | Blood and urine −ve, histology +ve and culture +ve for Trichoderma Longibrachiatum | NA | Before lesions: laminar airflow room, prophylactic itraconazole, amphotericin B, tosufloxacin Administered amikacin, panipenem/betamipron, amphotericin B, recombinant human granulocyte colony-stimulating factor (started before necrosis). Later continued amphotericin B | NA (progressively worsened) | NA (patient death) |
| Barasch et al., 2003 [14] | Blood −ve but elevated HSV antibodies Swab +ve HSV and Pseudomonas aeruginosa | NA | Administered empirical ceftazidime, acyclovir (added when HSV antibodies were elevated) | Two days | NA (patient death) |
| Tewari et al., 2009 [40] | Blood −ve and swab −ve Staphylococcus spp., Fusobacterium spp., Treponema spp. noted in crushed necrotic tissue | Supragingival debridement without disturbing involved tissues and profuse subgingival irrigation with 1% povidone iodine and H2O2 Necrotic tissues and loose sequestrum removed without anaesthetic when they started detaching Hawley retainer issued to protect against sensitivity when eating 0.12% CHX rinse | Discontinued deferiprone transfusions Administered cefepime, metronidazole, linospan, and ornidazole | Shedding at day 10 Resolution at two months | Progressed to acute periodontitis with some mobility around the maxillary and mandibular canines and premolars, but without interdental crater formation Sequestrum at 14 days |
| Kim et al., 2015 [37] | NA | 50% policresulen and 0.1% CHX, then policresulen substituted for H2O2 when shedding started When WBC stabilised, periodontal debridement performed during every follow-up visit | Discontinued methimazole Administered amoxicillin/clavulanic acid, isepamicin sulphate, granulocyte colony-stimulating factor To control inflammation, administered dexamethasone disodium phosphate and later hydrocortisone sodium succinate | Shedding at day three Gingiva grew back within two weeks, but complete healing noted at one year | Sequestrum at 21 months Black triangles (mild) |
| Xing and Guan, 2015 [39] | Culture +ve Candida albicans (unclear sampling site) Refused bacterial culture Non-specific histologic results for microbiology | 3% H2O2 supragingival irrigation, ultrasonic scaling CHX, nystatin, OHI Planned for regular supragingival ultrasonic scaling, surgical removal of necrotic bone (when thyroid function was normal, radioactive iodine treatment was recommended), extractions of periodontally involved teeth, soft tissue grafting when she returned | Discontinued propylthiouracil Administered metronidazole and amoxicillin | Regeneration around 10 months, except around the surface of the necrotic alveolar bone. Patient had rejected treatment earlier due to cost | Osteonecrosis Severe mobility of mandibular incisors, moderate mobility of upper incisors and posteriors (splinted bridge) Likely had pre-existing periodontitis Recession after small necrotic bone particles were removed |
| Amirisetty et al., 2016 [46] | Histology of necrotic tissue showed Candidal hyphae | Necrotic tissue removed after confirming the absence of thrombocytopenia. Site was cleaned w 3% H2O2, SRP with hand instruments performed Metronidazole 1%/CHX 0.25% gel empirically prescribed. Changed to clotrimazole cream after final diagnosis | Prescribed topical vitamin K for skin lesions | Skin lesions resolved at one month Gingival lesions resolved at three months | Unclear if recession fully resolved |
| Chang et al., 2017 [6] | Blood −ve | 0.2% CHX and 0.05% lidocaine, encouraged brushing while admitted | Was on amoxicillin, sulfamethoxazole, acyclovir before admission, but did not stop methimazole Discontinued methimazole on admission Ceftazidime swapped for ciprofloxacin (due to mildly elevated eosinophil count), recombinant granulocyte colony-stimulating factor | More than eight months (still erythematous and had sequestrum around two teeth) | Sequestrum spontaneously exfoliated at eight weeks, resulting in reduction in pain |
| Arora et al., 2018 [38] | NA | H2O2 and CHX while admitted Improvement after one week Periodontal debridement and 0.2% CHX at discharge | Discontinued methimazole Administered IV antibiotics | Around six months | NIL |
| Boddu et al., 2018 [47] | Blood −ve Skin histology and oral histology +ve Fusarium | Oral rinses (unknown) | Administered empirical broad-spectrum antimicrobials, caspofungin, posaconazole, keratinocyte growth factor and recombinant granulocyte colony-stimulating factor Added liposomal amphotericin, voriconazole, posaconazole, and WBC transfusions after fungal diagnosis | Improvement noted, but patient died due to other causes | Suspected osteomyelitis on scans |
| Fatahzadeh, 2018 [49] | Histology +ve gram +ve bacteria including Actinomyces | Removal of involved mobile teeth and debridement of necrotic areas under antibiotic prophylaxis with amoxicillin, post-op amoxicillin, and CHX 0.12% Scaling and polishing when more stable | Discontinued mycophenolic acid Administered recombinant granulocyte colony-stimulating factor | Not mentioned, but resolved | Severe bone loss and mobility at lower incisors Likely had pre-existing periodontitis |
| Jandial et al., 2018 [51] | Blood and urine −ve Swab +ve for Pseudomonas aeruginosa | 1% clotrimazole mouth paint and CHX | Administered empirical cefoperazone, sulbactam, vancomycin with supportive measures (fentanyl transdermal patch and morphine IV boluses for pain relief) Due to sterile blood culture report and continuous high-grade fever, antibiotics were changed to cefepime and amikacin | Shedding completed by day 17 | NA |
| Souza et al., 2018 [13] | Blood and nasal +ve, gingival swab and bone culture +ve for Pseudomonas aeruginosa | Supragingival scraping 0.12% CHX rinse Bone lesions and mobile primary teeth surgically removed under antibiotic prophylaxis, with one week of post-op antibiotics | Administered vancomycin, ampicillin-sulbactam, amikacin, piperacillin-tazobactam, and polymyxin B, then levofloxacin for 15 days | 15 days after surgery | Mobility, bone loss, and CAL without pocketing around central incisors and first molars Chronic hematogenous osteomyelitis |
| Boras et al., 2019 [48] | Fungal/viral swab −ve, later Stenotrophomonas maltophilia and Enterobacterium faecalis +ve, but suspect concomitant finding as ulcers were there for three months before bacteria were found | CHX, lidocaine gel, Gelclair® (Helsinn Healthcare SA, Lugano, Switzerland), benzydamine hydrochloride, betamethasone in Orabase® | Blood transfusions | NA (patient death) | NA (patient death) |
| Ximenes et al., 2021 [50] | Biopsy No swab or microbiological examination performed | Minimally traumatic excisional biopsy and extraction of associated tooth with local haemostatic measures and pre-op antibiotics despite no improvement in blood picture Low-level laser therapy CHX | Administered Augmentin® Blood transfusion when blood picture did not improve | At least 30 days | NA |
Disclaimer/Publisher’s Note: The statements, opinions and data contained in all publications are solely those of the individual author(s) and contributor(s) and not of MDPI and/or the editor(s). MDPI and/or the editor(s) disclaim responsibility for any injury to people or property resulting from any ideas, methods, instructions or products referred to in the content. |
© 2024 by the authors. Licensee MDPI, Basel, Switzerland. This article is an open access article distributed under the terms and conditions of the Creative Commons Attribution (CC BY) license (https://creativecommons.org/licenses/by/4.0/).
Share and Cite
Tan, J.Y.; Teo, G.N.; Ng, E.; Tay, A.B.G.; Tay, J.R.H. Gingival Necrosis Related to Sepsis-Induced Agranulocytosis Due to Pseudomonas aeruginosa Bacteraemia: A Case Report. J. Clin. Med. 2024, 13, 1285. https://doi.org/10.3390/jcm13051285
Tan JY, Teo GN, Ng E, Tay ABG, Tay JRH. Gingival Necrosis Related to Sepsis-Induced Agranulocytosis Due to Pseudomonas aeruginosa Bacteraemia: A Case Report. Journal of Clinical Medicine. 2024; 13(5):1285. https://doi.org/10.3390/jcm13051285
Chicago/Turabian StyleTan, Jia Ying, Guo Nian Teo, Ethan Ng, Andrew Ban Guan Tay, and John Rong Hao Tay. 2024. "Gingival Necrosis Related to Sepsis-Induced Agranulocytosis Due to Pseudomonas aeruginosa Bacteraemia: A Case Report" Journal of Clinical Medicine 13, no. 5: 1285. https://doi.org/10.3390/jcm13051285
APA StyleTan, J. Y., Teo, G. N., Ng, E., Tay, A. B. G., & Tay, J. R. H. (2024). Gingival Necrosis Related to Sepsis-Induced Agranulocytosis Due to Pseudomonas aeruginosa Bacteraemia: A Case Report. Journal of Clinical Medicine, 13(5), 1285. https://doi.org/10.3390/jcm13051285

