Effects of Aging on Orbicularis Oculi Muscle Strength and Ultrastructure in Dermatochalasis: A Pilot Study
Abstract
1. Introduction
1.1. Surface EMG
1.2. Ultrastructural Changes in Aging
1.3. Study Objective
2. Materials and Methods
2.1. Participants
2.2. Ethics Approval
2.3. Surface Electromyography
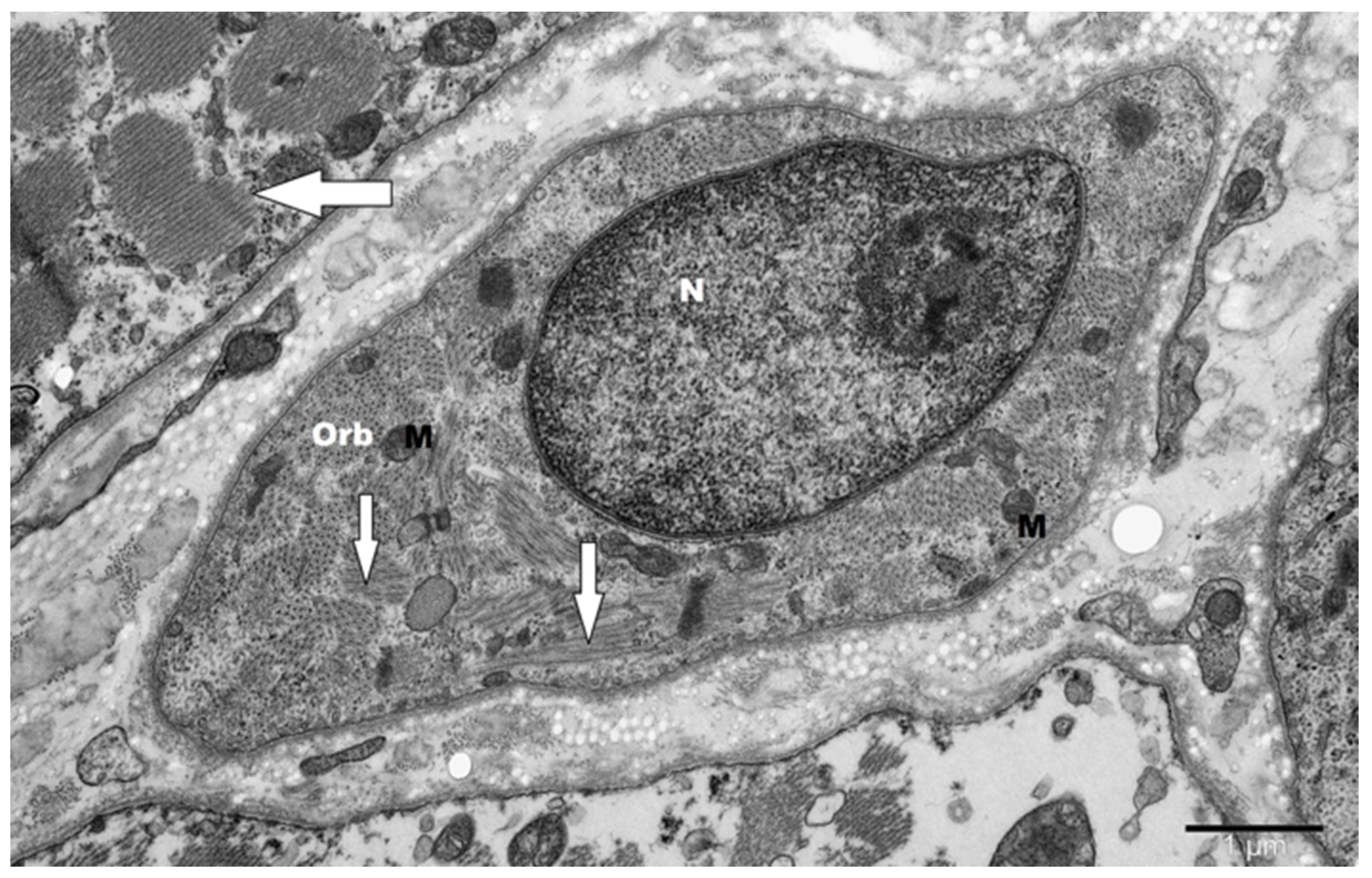
2.4. Ultrastructural Examinations
2.5. Statistical Analysis
3. Results
3.1. Muscle Fiber Pathology
3.2. Mitochondrial Pathology
3.3. Other Disorders
4. Discussion
4.1. Functional Decline with Age
4.2. Age-Related Ultrastructural Damage
4.3. The Influence of Structural Damage on Muscle Function
4.4. Limitations
5. Conclusions
Author Contributions
Funding
Institutional Review Board Statement
Informed Consent Statement
Data Availability Statement
Conflicts of Interest
References
- Curtis, E.; Litwic, A.; Cooper, C.; Dennison, E. Determinants of Muscle and Bone Aging. J. Cell. Physiol. 2015, 230, 2618–2625. [Google Scholar] [CrossRef] [PubMed]
- Lang, T.; Streeper, T.; Cawthon, P.; Baldwin, K.; Taaffe, D.R.; Harris, T.B. Sarcopenia: Etiology, clinical consequences, intervention, and assessment. Osteoporos. Int. 2010, 21, 543–559. [Google Scholar] [CrossRef] [PubMed]
- Boccia, G.; Dardanello, D.; Rosso, V.; Pizzigalli, L.; Rainoldi, A. The Application of sEMG in Aging: A Mini Review. Gerontology 2015, 61, 477–484. [Google Scholar] [CrossRef] [PubMed]
- Merletti, R.; Farina, D.; Gazzoni, M. The linear electrode array: A useful tool with many applications. J. Electromyogr. Kinesiol. 2003, 13, 37–47. [Google Scholar] [CrossRef]
- Crisco, J.J.; Jokl, P.; Heinen, G.T.; Connell, M.D.; Panjabi, M.M. A muscle contusion injury model. Biomechanics, physiology, and histology. Am. J. Sports Med. 1994, 22, 702–710. [Google Scholar] [CrossRef]
- Arnold, L.; Henry, A.; Poron, F.; Baba-Amer, Y.; van Rooijen, N.; Plonquet, A.; Gherardi, R.K.; Chazaud, B. Inflammatory monocytes recruited after skeletal muscle injury switch into antiinflammatory macrophages to support myogenesis. J. Exp. Med. 2007, 204, 1057–1069. [Google Scholar] [CrossRef]
- Chen, B.; Shan, T. The role of satellite and other functional cell types in muscle repair and regeneration. J. Muscle Res. Cell Motil. 2019, 40, 1–8. [Google Scholar] [CrossRef]
- Wang, E.X.; Hwang, C.E.; Nguyen, J.N.; Segovia, N.A.; Abrams, G.D.; Kussman, A. Factors Associated With a Prolonged Time to Return to Play After a Concussion. Am. J. Sports Med. 2022, 50, 1695–1701. [Google Scholar] [CrossRef]
- McPhee, J.S.; Cameron, J.; Maden-Wilkinson, T.; Piasecki, M.; Yap, M.H.; Jones, D.A.; Degens, H. The Contributions of Fiber Atrophy, Fiber Loss, In Situ Specific Force, and Voluntary Activation to Weakness in Sarcopenia. J. Gerontol. A Biol. Sci. Med. Sci. 2018, 73, 1287–1294. [Google Scholar] [CrossRef]
- Doherty, T.J. Invited review: Aging and sarcopenia. J. Appl. Physiol. 2003, 95, 1717–1727. [Google Scholar] [CrossRef]
- Rahman, R.; Berry-Brincat, A.; Thaller, V.T. A new grading system for assessing orbicularis muscle function. Eye 2003, 17, 610–612. [Google Scholar] [CrossRef] [PubMed]
- Krajewska-Węglewicz, L.; Felczak, P.; Adamek, D.; Dorobek, M. Damage to the orbicularis oculi muscle may impair the development of dermatochalasis. Sci. Rep. 2024, 14, 2417. [Google Scholar] [CrossRef] [PubMed]
- Imrani, L.; Boudaoud, S.; Lahaye, C.; Moreau, C.; Ghezal, M.; Ben Manaa, S.; Doulazmi, M.; Laforêt, J.; Marin, F.; Kinugawa, K. High-density Surface Electromyography as Biomarker of Muscle Aging. J. Gerontol. A Biol. Sci. Med. Sci. 2023, 78, 25–33. [Google Scholar] [CrossRef]
- Larsson, L.; Degens, H.; Li, M.; Salviati, L.; Lee, Y.I.; Thompson, W.; Kirkland, J.L.; Sandri, M. Sarcopenia: Aging-Related Loss of Muscle Mass and Function. Physiol. Rev. 2019, 99, 427–511. [Google Scholar] [CrossRef]
- Ertekin, C.; Bademkiran, F.; Yildiz, N.; Ozdedeli, K.; Altay, B.; Aydogdu, I.; Uludag, B. Central and peripheral motor conduction to cremasteric muscle. Muscle Nerve 2005, 31, 349–354. [Google Scholar] [CrossRef]
- Enoka, R.M.; Christou, E.A.; Hunter, S.K.; Kornatz, K.W.; Semmler, J.G.; Taylor, A.M.; Tracy, B.L. Mechanisms that contribute to differences in motor performance between young and old adults. J. Electromyogr. Kinesiol. 2003, 13, 1–12. [Google Scholar] [CrossRef]
- Hepple, R.T.; Rice, C.L. Innervation and neuromuscular control in ageing skeletal muscle. J. Physiol. 2016, 594, 1965–1978. [Google Scholar] [CrossRef]
- Piasecki, M.; Ireland, A.; Jones, D.A.; McPhee, J.S. Age-dependent motor unit remodelling in human limb muscles. Biogerontology 2016, 17, 485–496. [Google Scholar] [CrossRef]
- Connelly, D.M.; Rice, C.L.; Roos, M.R.; Vandervoort, A.A. Motor unit firing rates and contractile properties in tibialis anterior of young and old men. J. Appl. Physiol. 1999, 87, 843–852. [Google Scholar] [CrossRef]
- Castronovo, A.M.; Mrachacz-Kersting, N.; Stevenson, A.J.T.; Holobar, A.; Enoka, R.M.; Farina, D. Decrease in force steadiness with aging is associated with increased power of the common but not independent input to motor neurons. J. Neurophysiol. 2018, 120, 1616–1624. [Google Scholar] [CrossRef]
- Farina, D.; Merletti, R.; Enoka, R.M. The Extraction Of Neural Strategies From The Surface Emg: 2004–2024. J. Appl. Physiol. 2024, in press. [Google Scholar] [CrossRef] [PubMed]
- Goodmurphy, C.W.; Ovalle, W.K. Morphological study of two human facial muscles: Orbicularis oculi and corrugator supercilii. Clin. Anat. 1999, 12, 1–11. [Google Scholar] [CrossRef]
- Radnót, M.; Follmann, P. Ultrastructural changes in senile atrophy of the orbicularis oculi muscle. Am. J. Ophthalmol. 1974, 78, 689–699. [Google Scholar] [CrossRef] [PubMed]
- McKelvie, P.; Satchi, K.; McNab, A.A.; Kennedy, P. Orbicularis oculi: Morphological changes mimicking mitochondrial cytopathy in a series of control normal muscles. Clin. Exp. Ophthalmol. 2012, 40, 497–502. [Google Scholar] [CrossRef]
- Tomonaga, M. Histochemical and Ultrastructural Changes in Senile Human Skeletal Muscle. J. Am. Geriatr. Soc. 1977, 25, 125–131. [Google Scholar] [CrossRef]
- Nelson, C.C.; Blaivas, M. Orbicularis oculi muscle in children. Histologic and histochemical characteristics. Investig. Ophthalmol. Vis. Sci. 1991, 32, 646–654. [Google Scholar]
- Sayed, R.K.A.; de Leonardis, E.C.; Guerrero-Martínez, J.A.; Rahim, I.; Mokhtar, D.M.; Saleh, A.M.; Abdalla, K.E.H.; Pozo, M.J.; Escames, G.; López, L.C.; et al. Identification of morphological markers of sarcopenia at early stage of aging in skeletal muscle of mice. Exp. Gerontol. 2016, 83, 22–30. [Google Scholar] [CrossRef]
- Man, C.Y.W.; Chinnery, P.; Griffiths, P. Extraocular muscles have fundamentally distinct properties that make them selectively vulnerable to certain disorders. Neuromuscul. Disord. 2005, 15, 17–23. [Google Scholar] [CrossRef]
- Martinez, A.J.; Hay, S.; McNeer, K.W. Extraocular muscles: Light microscopy and ultrastructural features. Acta Neuropathol. 1976, 34, 237–253. [Google Scholar] [CrossRef]
- Vandebrouck, A.; Domazetovska, A.; Mokbel, N.; Cooper, S.T.; Ilkovski, B.; North, K.N. In Vitro Analysis of Rod Composition and Actin Dynamics in Inherited Myopathies. J. Neuropathol. Exp. Neurol. 2010, 69, 429–441. [Google Scholar] [CrossRef]
- Sewry, C.A.; Laitila, J.M.; Wallgren-Pettersson, C. Nemaline myopathies: A current view. J. Muscle Res. Cell Motil. 2019, 40, 111–126. [Google Scholar] [CrossRef] [PubMed]
- Yun, M. Changes in Regenerative Capacity through Lifespan. IJMS 2015, 16, 25392–25432. [Google Scholar] [CrossRef] [PubMed]
- Musarò, A. Muscle Homeostasis and Regeneration: From Molecular Mechanisms to Therapeutic Opportunities. Cells 2020, 9, 2033. [Google Scholar] [CrossRef] [PubMed]
- Huo, F.; Liu, Q.; Liu, H. Contribution of muscle satellite cells to sarcopenia. Front. Physiol. 2022, 13, 892749. [Google Scholar] [CrossRef] [PubMed]
- Sousa-Victor, P.; García-Prat, L.; Muñoz-Cánoves, P. Control of satellite cell function in muscle regeneration and its disruption in ageing. Nat. Rev. Mol. Cell Biol. 2022, 23, 204–226. [Google Scholar] [CrossRef] [PubMed]
- Yanay, N.; Rabie, M.; Nevo, Y. Impaired Regeneration in Dystrophic Muscle-New Target for Therapy. Front. Mol. Neurosci. 2020, 13, 69. [Google Scholar] [CrossRef]
- Campbell, M.J.; McComas, A.J.; Petito, F. Physiological changes in ageing muscles. J. Neurol. Neurosurg. Psychiatry 1973, 36, 174–182. [Google Scholar] [CrossRef] [PubMed]
- Aagaard, P.; Simonsen, E.B.; Andersen, J.L.; Magnusson, P.; Dyhre-Poulsen, P. Increased rate of force development and neural drive of human skeletal muscle following resistance training. J. Appl. Physiol. 2002, 93, 1318–1326. [Google Scholar] [CrossRef] [PubMed]
- Delbono, O. Neural control of aging skeletal muscle. Aging Cell 2003, 2, 21–29. [Google Scholar] [CrossRef] [PubMed]
- Jang, Y.C.; Van Remmen, H. Age-associated alterations of the neuromuscular junction. Exp. Gerontol. 2011, 46, 193–198. [Google Scholar] [CrossRef] [PubMed]
- Deschenes, M.R.; Roby, M.A.; Eason, M.K.; Harris, M.B. Remodeling of the neuromuscular junction precedes sarcopenia related alterations in myofibers. Exp. Gerontol. 2010, 45, 389–393. [Google Scholar] [CrossRef] [PubMed]
- Boros, K.; Freemont, T. Physiology of ageing of the musculoskeletal system. Best Pract. Res. Clin. Rheumatol. 2017, 31, 203–217. [Google Scholar] [CrossRef] [PubMed]
- Ciciliot, S.; Rossi, A.C.; Dyar, K.A.; Blaauw, B.; Schiaffino, S. Muscle type and fiber type specificity in muscle wasting. Int. J. Biochem. Cell Biol. 2013, 45, 2191–2199. [Google Scholar] [CrossRef] [PubMed]
- Lexell, J.; Downham, D. What is the effect of ageing on type 2 muscle fibres? J. Neurol. Sci. 1992, 107, 250–251. [Google Scholar] [CrossRef]


| <60 | ≥60 | ||||||
|---|---|---|---|---|---|---|---|
| Age | Damage | Mean Amplitude | RMS | Age | Damage | Mean Amplitude | RMS |
| 37 | 2 | 464.3 | 223.7 | 79 | 2 | 294.7 | 112.3 |
| 46 | 2 | 328 | 136.3 | 66 | 1 | 481.7 | 173.3 |
| 56 | 2 | 476 | 222 | 64 | 1 | 330 | 125.3 |
| 50 | 2 | 355.7 | 172.7 | 64 | 3 | 397.7 | 125.3 |
| 58 | 3 | 470.3 | 221.3 | 74 | 3 | 355.7 | 187.7 |
| 57 | 2 | 313.7 | 127.3 | 76 | 1 | 310 | 105.6 |
| 46 | 1 | 568.3 | 285 | 79 | 1 | 295 | 112.9 |
| 56 | 3 | 352 | 153.3 | 63 | 3 | 230 | 78.3 |
| 59 | 3 | 317.3 | 127.7 | 61 | 2 | 393.7 | 175.3 |
| 49 | 2 | 439 | 204.7 | 63 | 3 | 288.3 | 109.3 |
| 52 | 3 | 278.7 | 106.9 | 60 | 3 | 470.7 | 118 |
| 45 | 3 | 358 | 139.3 | 72 | 3 | 284 | 109 |
| 38 | 2 | 429.7 | 201.3 | 75 | 2 | 252 | 233.3 |
| <60 | ≥60 | |||||
|---|---|---|---|---|---|---|
| MVC OOM | M | SD | M | SD | U | p |
| Mean amplitude | 401.55 | 83.56 | 326.07 | 70.67 | 41.50 | 0.029 |
| RMS | 174.25 | 52.65 | 137.30 | 44.80 | 45.00 | 0.045 |
| Patients’ Ages | ||
|---|---|---|
| Structural Parameters | OR | p |
| Loss of myofilaments | 1.02 | 0.674 |
| Disorganization of myofilaments | 0.99 | 0.708 |
| Obliterated myofilaments | 1.00 | 0.935 |
| Nemaline bodies (rods) | 0.99 | 0.879 |
| Empty fibers | 0.99 | 0.811 |
| Atrophic fibers | 0.94 | 0.121 |
| Folding basal lamina | 0.88 | 0.025 |
| Deformed muscle fiber | 0.86 | 0.078 |
| Loss of cristae | 0.99 | 0.859 |
| Excess of cristae | 1.01 | 0.795 |
| Concentric cristae | 1.12 | 0.127 |
| Mitochondrial inclusions | 1.00 | 0.977 |
| Enlargement of mitochondria | 1.00 | 0.986 |
| Irregularly shaped mitochondria | 1.04 | 0.576 |
| Swelling of mitochondria | 1.03 | 0.556 |
| Local increase in the number of mitochondria | 1.04 | 0.369 |
| Accumulation of glycogen | 1.01 | 0.917 |
| Lipofuscin deposits | 1.05 | 0.341 |
| Abnormal vacuoles | 1.01 | 0.917 |
| Accumulation of collagen fibrils between muscle fibers | 1.04 | 0.334 |
| Age | ||||
|---|---|---|---|---|
| <60 | >60 | |||
| n | % | n | % | |
| L | 1 | 7.7 | 4 | 30.7 |
| P | 6 | 46.1 | 3 | 23.0 |
| E | 6 | 46.1 | 6 | 46.1 |
| Total | 13 | 100 | 13 | 100 |
| (A) | |||||||||||||
| Types of Damage Orbicularis Oculi | No. Patient/Age (Year)/Sex: Female (f) or Male (m) | ||||||||||||
| 1/37/f | 2/79/f | 3/46/f | 4/55/f | 5/49/f | 6/65/f | 7/57/f | 8/63/f | 9/57/f | 10/63/f | 11/74/f | 12/75/f | 13/78/f | |
| 1. The degree of the damage to muscle fiber: Extensive E/Partial P/Local L | P | P | P | P | P | L | E | L | P | E | E | L | L |
| 2. Damage to myofiber | |||||||||||||
| Loss of myofilaments | + | + | + | + | + | + | + | + | + | + | |||
| Disorganization of myofilaments | + | + | + | + | + | + | + | + | + | + | |||
| Obliterated myofilaments | + | + | + | + | + | + | + | + | + | ||||
| Nemaline bodies (rods) | + | + | + | ||||||||||
| Empty fibers | + | + | + | + | + | + | + | + | + | + | |||
| Atrophic fibers | + | + | + | + | + | + | |||||||
| Folding basal lamina | + | + | + | + | + | + | + | ||||||
| Deformed muscle fiber | + | + | + | + | + | + | + | + | + | + | + | ||
| 3. Damage to mitochondria | |||||||||||||
| Loss of cristae | + | + | + | + | + | + | + | ||||||
| Excess of cristae | + | + | + | + | |||||||||
| Concentric cristae | + | + | + | ||||||||||
| Mitochondrial inclusions | + | ||||||||||||
| Enlargement of mitochondria | + | + | + | + | + | + | + | + | + | + | |||
| Irregularly shaped mitochondria | + | + | + | + | + | + | + | + | + | + | + | + | |
| Swelling of mitochondria | + | + | + | + | + | + | + | + | + | + | + | ||
| Local increase in the number of mitochondria | + | + | + | + | + | + | + | + | + | + | + | + | |
| 4. Other disorders | |||||||||||||
| Accumulation of glycogen | + | + | + | + | + | + | + | + | + | + | + | + | |
| Lipofuscin deposits | + | ||||||||||||
| Abnormal vacuoles | + | + | + | + | + | + | + | + | + | + | |||
| Accumulation of collagen fibrils between muscle fibers | + | + | + | + | + | + | + | ||||||
| (B) | |||||||||||||
| Types of Damage Orbicularis Oculi | No. Patient/Age (Year)/Sex: Female (f) or Male (m) | ||||||||||||
| 14/45/f | 15/55/f | 16/58/f | 17/48/f | 18/62/m | 19/51/f | 20/60/f | 21/62/f | 22/75/f | 23/71/f | 24/44/f | 25/59/f | 26/37/f | |
| 1. The degree of the damage to muscle fiber: Extensive E/Partial P/Local L | L | E | E | P | E | E | P | P | E | P | E | E | E |
| 2. Damage to myofiber | |||||||||||||
| Loss of myofilaments | + | + | + | + | + | + | + | + | + | + | + | ||
| Disorganization of myofilaments | + | + | + | + | + | + | |||||||
| Obliterated myofilaments | + | + | + | + | + | + | + | + | + | ||||
| Nemaline bodies (rods) | + | ||||||||||||
| Empty fibers | + | + | + | + | + | + | + | + | + | + | + | + | |
| Atrophic fibers | + | + | + | + | + | + | + | + | + | ||||
| Folding basal lamina | + | + | + | + | + | + | + | + | + | + | + | + | |
| Deformed muscle fiber | + | + | + | + | + | + | + | + | + | + | + | ||
| 3. Damage to mitochondria | |||||||||||||
| Loss of cristae | + | + | + | + | + | + | + | + | |||||
| Excess of cristae | + | + | + | + | + | ||||||||
| Concentric cristae | |||||||||||||
| Mitochondrial inclusions | |||||||||||||
| Enlargement of mitochondria | + | + | + | + | + | + | + | + | + | + | + | ||
| Irregularly shaped mitochondria | + | + | + | + | + | + | + | + | + | + | + | + | |
| Swelling of mitochondria | + | + | + | + | + | + | + | + | + | + | + | ||
| Local increase in the number of mitochondria | + | + | + | + | + | + | + | + | + | + | |||
| 4. Other disorders | |||||||||||||
| Accumulation of glycogen | + | + | + | + | + | + | + | + | + | ||||
| Lipofuscin deposits | + | + | + | ||||||||||
| Abnormal vacuoles | + | + | + | + | + | + | + | + | + | + | + | ||
| Accumulation of collagen fibrils between muscle fibers | + | + | + | + | + | + | + | + | |||||
Disclaimer/Publisher’s Note: The statements, opinions and data contained in all publications are solely those of the individual author(s) and contributor(s) and not of MDPI and/or the editor(s). MDPI and/or the editor(s) disclaim responsibility for any injury to people or property resulting from any ideas, methods, instructions or products referred to in the content. |
© 2024 by the authors. Licensee MDPI, Basel, Switzerland. This article is an open access article distributed under the terms and conditions of the Creative Commons Attribution (CC BY) license (https://creativecommons.org/licenses/by/4.0/).
Share and Cite
Krajewska-Węglewicz, L.; Felczak, P.; Dorobek, M. Effects of Aging on Orbicularis Oculi Muscle Strength and Ultrastructure in Dermatochalasis: A Pilot Study. J. Clin. Med. 2025, 14, 162. https://doi.org/10.3390/jcm14010162
Krajewska-Węglewicz L, Felczak P, Dorobek M. Effects of Aging on Orbicularis Oculi Muscle Strength and Ultrastructure in Dermatochalasis: A Pilot Study. Journal of Clinical Medicine. 2025; 14(1):162. https://doi.org/10.3390/jcm14010162
Chicago/Turabian StyleKrajewska-Węglewicz, Larysa, Paulina Felczak, and Małgorzata Dorobek. 2025. "Effects of Aging on Orbicularis Oculi Muscle Strength and Ultrastructure in Dermatochalasis: A Pilot Study" Journal of Clinical Medicine 14, no. 1: 162. https://doi.org/10.3390/jcm14010162
APA StyleKrajewska-Węglewicz, L., Felczak, P., & Dorobek, M. (2025). Effects of Aging on Orbicularis Oculi Muscle Strength and Ultrastructure in Dermatochalasis: A Pilot Study. Journal of Clinical Medicine, 14(1), 162. https://doi.org/10.3390/jcm14010162

